Técnica combinada de microabrasión y blanqueamiento dental para tratamiento de pigmentaciones asociadas a fluorosis. Reporte de un caso
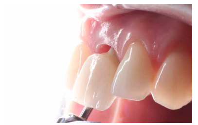
La fluorosis dental es una condición irreversible originada durante el desarrollo dental que genera pigmentaciones intrínsecas, alteraciones en el esmalte manifestadas a manera de manchas blancas, amarillas o marrones, que perjudican la estética y repercuten en el desenvolvimiento social. El presente reporte de caso clínico describe la combinación de los procedimientos de microabrasión y blanqueamiento dental, como alternativas en la eliminación de pigmentaciones dentales. Después del diagnóstico de la patología, verificación de ausencia de lesiones pulpares y caries, una explicación minuciosa a la paciente y obtención del consentimiento informado, se realizó limpieza de las superficies dentales y, bajo aislamiento absoluto, se procedió a realizar la técnica de microabrasión mediante ácido clorhídrico al 6,6% siguiendo las instrucciones del fabricante. Concluido el procedimiento y, observando que era posible mejorar aún más la estética, se decidió ejecutar el procedimiento de blanqueamiento dental, a base de peróxido de hidrógeno al 40% en el consultorio, seguido por peróxido de carbamida al 10% aplicado en el domicilio. Al finalizar el tratamiento se observó uniformidad en el color dental, conjugados con una evidente mejora en la calidad de vida y relación social de la paciente.
La combinación de procedimientos, como el reportado en este caso, constituye una excelente alternativa de tratamiento para eliminar pigmentaciones fluoróticas moderadas.







































































