Científica Dental: febrero 2021 (edición exclusiva online)
Caso clínico
Quispe López N, García-Faria García C, Garrido Martínez P, Morales Sánchez A, Mena Álvarez J, Sánchez Santos J. Tratamiento de recesiones gingivales unitarias y múltiples en la zona anterior mandibular mediante técnica de Edlan-Mejchar modificado. Descripción de la técnica quirúrgica y resultados. Cient. Dent. 2021; 18; 1; 35-41
Tratamiento de recesiones gingivales unitarias y múltiples en la zona anterior mandibular mediante técnica de Edlan-Mejchar modificado. Descripción de la técnica quirúrgica y resultados
El tratamiento de recesiones gingivales utilizando procedimientos de cirugía plástica periodontal es habitualmente requerido en la odontología moderna. El objetivo final de estos procedimientos es la cobertura completa de la raíz y los resultados estéticos agradables. La literatura muestra que el colgajo de avance coronal + injerto de tejido conectivo podría ser considerado como el “gold standard” para el tratamiento de recesiones gingivales unitarias. Sin embargo, en la arcada inferior podemos encontrarnos con limitaciones anatómicas que nos impidan realizar las técnicas convencionales de cirugía mucogingival.
En este trabajo se presenta y describe el tratamiento de recesiones gingivales unitarias y múltiples que afectan a la zona anteroinferior, las cuales se trataron mediante la técnica de Edlan-Mejchar modificada.
La utilización de la técnica de Edlan-Mejchar modificada muestra resultados positivos para tratar recesiones gingivales en el sector anteroinferior.
Treatment of gingival recessions using periodontal plastic surgery procedures is routinely required in modern dentistry. The ultimate goal of these procedures is complete root coverage and pleasing aesthetic results. The literature shows that the coronal advancement flap + connective tissue graft could be considered as the “gold standard” for the treatment of single gingival recessions. However, in the lower arch we can find anatomical limitations that prevent us from performing conventional mucogingival surgery techniques.
In this work we present and describe the treatment of single and multiple gingival recessions that affect the lower anterior zone, which were treated using the modified Edlan-Mejchar technique.
The use of the modified Edlan-Mejchar technique shows positive results to treat gingival recessions in the mandibular anterior area.
La Academia Americana de Periodoncia (AAP) en 2001, define la recesión gingival como la migración apical del margen gingival en relación con la unión amelocementaria, que expone las superficies radiculares1 . La recesión gingival es una manifestación clínica muy extendida pudiendo afectar a la superficie radicular de uno o varios dientes2 .
Los datos procedentes de una muestra de 1460 sujetos indican una prevalencia de recesiones de al menos 1mm en aproximadamente el 80% de la población. La aparición de recesiones gingivales tiende a incrementarse con la edad, y es más común en fumadores y en sujetos con afectación periodontal3 . La hipersensibilidad radicular, la caries radicular, las abrasiones y los defectos estéticos son algunos de los problemas que genera la exposición radicular4,5 .
Se han descrito diferentes clasificaciones de las recesiones gingivales a lo largo de la historia, sin embargo, la clasificación de Miller6 en 1985, junto a la clasificación de Cairo7 en 2011, son de las más citadas en la literatura científica. Cairo en 2011, propuso un sistema de clasificación que identificaba tres tipos de recesión gingival;
- RT1: Recesiones gingivales sin pérdida de inserción interproximal. Representan defectos más probablemente asociados con el cepillado dental traumático solo en el tejido periodontal sano.
- RT2: Defecto que mostraba una perdida interproximal menor o igual que el sitio bucal (es decir, una recesión gingival asociada con una pérdida ósea horizontal).
- RT3: Recesiones que muestran una mayor pérdida en interproximal que el sitio bucal (es decir, una recesión gingival asociada con un defecto interproximal infraóseo)7 .
En esta clasificación, las recesiones gingivales sin pérdida de inserción interproximal se consideraron como defectos RT1. Las recesiones gingivales asociadas con la presencia de pérdida de inserción clínica se dividieron en las clases RT2 y RT3, agrupando así los defectos asociados con la enfermedad periodontal.
En las últimas décadas se ha demostrado que, con diferentes técnicas, se puede conseguir de forma predecible un recubrimiento radicular completo en recesiones unitarias y múltiples8,9. Entre los diferentes procedimientos, el colgajo de avance coronal más un injerto de tejido conectivo (ITC) constituye el tratamiento más eficaz de la recesión con o sin perdida de inserción clínica interproximal10-13. Encontramos más ensayos clínicos y revisiones sistemáticas que se centran sobre todo en las recesiones gingivales maxilares, mientras que se dispone de poca información sobre tratamientos de defectos mandibulares14 .
En localizaciones anatómicas como la zona anterior mandibular podemos encontrarnos inserciones musculares altas, frenillos de inserción muy coronal y vestíbulos poco profundos, con lo cual, las técnicas de avance coronal pueden ser poco predecibles.
Dada esta situación, es necesario utilizar una técnica quirúrgica que nos permita aumentar la profundidad del vestíbulo y la recuperación de los niveles de inserción clínicos, como es el caso de la técnica de Edlan-Mejchar modificada15 .
A continuación, se presentan dos casos clínicos de recesiones en el quinto sextante. El primer caso clínico se trata de una recesión aislada o unitaria y el segundo son recesiones múltiples, ambas resueltas mediante la técnica de Edlan-Mejchar modificada.
Mujer de 38 años no fumadora, cuya historia médica no revelaba datos significativos. La paciente acude a nuestra clínica por presentar una recesión gingival en el diente 31 con dolor y sangrado al cepillado.
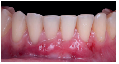
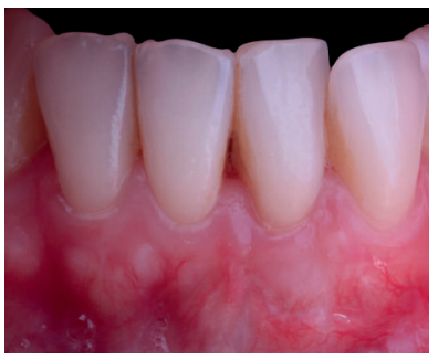
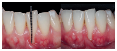
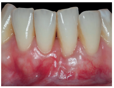
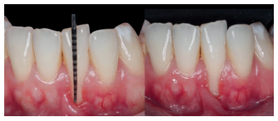
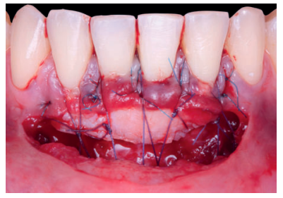
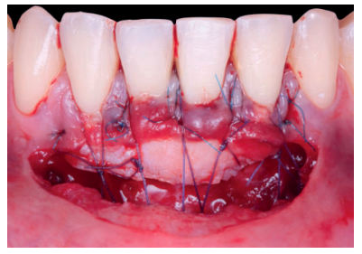
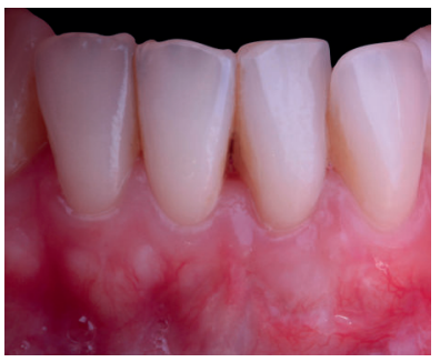
El examen clínico periodontal reveló la presencia de recesión gingival de 5 mm en el diente 31 con una profundidad de sondaje vestibular de 2 mm (perdida de inserción clínica de 7 mm). Presentaba inflamación gingival, además de un frenillo labial inferior insertado en el margen apical de la recesión gingival. El tejido queratinizado faltaba por completo a nivel del diente con recesión (Figura 1). Debido a que el defecto gingival se extendía más allá de la línea mucogingival, así como a la presencia de malposición dentaria, la recesión se categorizó como clase III de Miller6 y RT2 de Cairo7 .

Por lo tanto, el objetivo del tratamiento fue:
- Obtener el mayor porcentaje de recubrimiento radicular posible.
- Eliminar el frenillo e incrementar la cantidad de encía queratinizada disponible para crear una situación más compatible con salud periodontal y, por lo tanto, libre de inflamación.
- Mejorar la estética, consiguiendo que el tejido resultante que cubra las recesiones imite de forma natural los tejidos vecinos en color, forma y consistencia.
La técnica quirúrgica elegida para abordar esta recesión unitaria en el diente 31 fue mediante la técnica de Edlan-Mejchar modificada.
Procedimiento quirúrgico
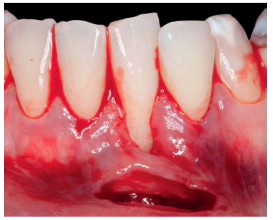
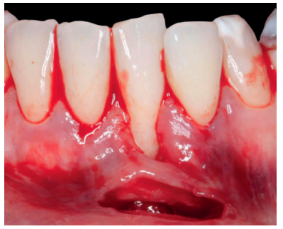
Previamente a la intervención, la paciente se enjuagó durante 1 minuto con un colutorio de clorhexidina. La técnica quirúrgica comenzó con la preparación del lecho receptor, para ello se realizó una incisión sulcular a espesor parcial a nivel de la recesión, se continúo diseccionando apical y lateralmente, extendiéndose de 3 a 5 mm de la recesión para permitir la entrada del ITC y su estabilización. Posteriormente, se realizó una incisión en el fondo de vestíbulo, dejando un puente de tejido que servirá para un doble aporte sanguíneo al injerto (Figura 2).

A continuación, se procedió al tratamiento de descontaminación mecánica y química de la superficie radicular. Para ello, se alisó cuidadosamente la zona radicular expuesta con fresas Perioset ultrafinas. Tras el minucioso desbridamiento y suavizado de la superficie radicular, la raíz expuesta se trató químicamente con ácido etilendiaminotetraacético (PrefGel® ) al 24% durante dos minutos, seguido de un lavado abundante con suero salino. Tras el aclarado profuso con solución salina estéril, se colocó el gel de Emdogain® sobre la superficie radicular expuesta.
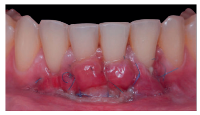
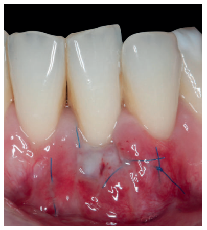
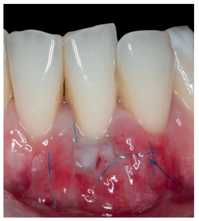
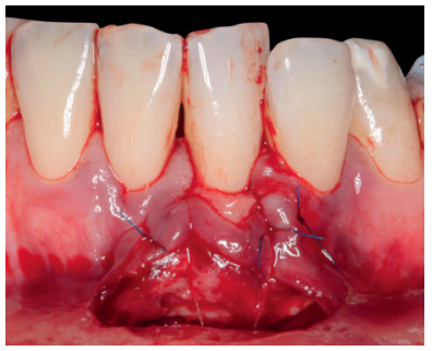
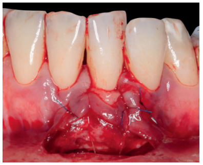
Una vez creado el lecho receptor, se procedió a la obtención de un ITC de la mucosa masticatoria palatina y a la sutura de dicho injerto mediante dos puntos colchoneros horizontales, uno situado en la parte mesial y otro en la parte distal del sobre. Para mayor adaptación y estabilización de las papilas se realizó un punto suspensorio cogiendo papila e ITC, mediante sutura de 6/0 no reabsorbible (Figura 3).

También, se realizó una sutura dentosuspendida para asegurar el injerto en posición apical, este punto se ancló en el periostio apical al injerto y suspendido alrededor de la cara lingual del diente con recesión mediante sutura de 5/0 reabsorbible. Se dejó cicatrizar por segunda intención en la base (zona de la vestibuloplastia).
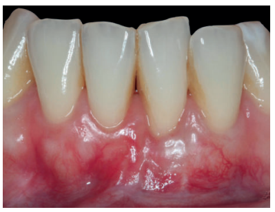
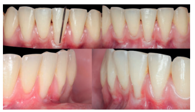
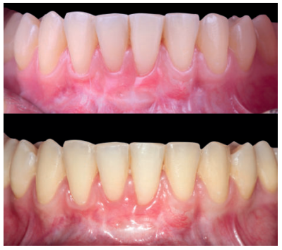
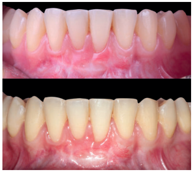
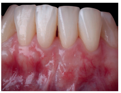
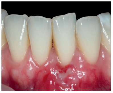
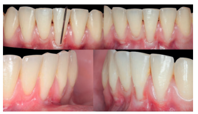
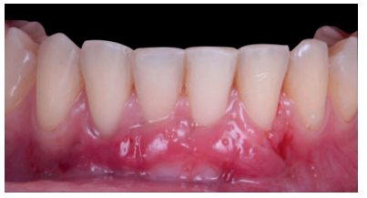
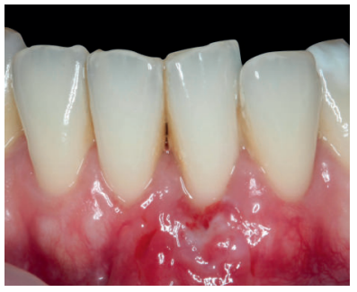
Se realizó control a la semana de la intervención (Figura 4) y tras 15 días se retiró la sutura, observando la revascularización del injerto y la epitelización del área cruenta apical al sobre (Figura 5). Se realizó seguimiento al mes (Figura 6), a los 3 meses (Figura 7) y al año y medio del procedimiento (Figura 8).





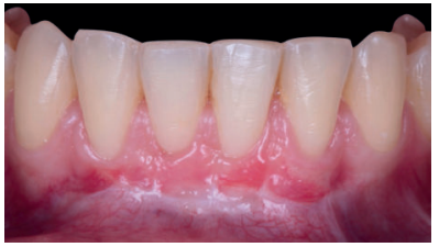
Mujer de 23 años que acudió a nuestra consulta debido a la presencia de múltiples recesiones gingivales desde el diente 32 al 42. La paciente refiere que nota sus dientes más largos, no presenta problemas de hipersensibilidad y había terminado el tratamiento ortodóncico hacía 1 año. La historia médica de la paciente no mostraba datos relevantes. No informó de alergias y no tomaba medicación de ningún tipo. El examen clínico periodontal reveló múltiples recesiones gingivales vestibulares que afectaban a los dientes 32, 31, 41 y 42 (Figura 9), con ausencia de tejido queratinizado apical a las recesiones de los dientes 31 y 32. Tras el estudio radiográfico (Figura 10) se observa pérdida ósea horizontal leve entre los incisivos inferiores (clase III de Miller y RT2 de Cairo).


La técnica quirúrgica elegida para abordar el tratamiento fue mediante Edlan-Mejchar modificada.
Procedimiento quirúrgico
Previamente a la intervención, la paciente se enjuagó durante un minuto con un colutorio de clorhexidina. La técnica quirúrgica comenzó con la preparación del lecho receptor, se realizaron incisiones intrasulculares a nivel cervical hasta la línea ángulo de todos los dientes del frente antero-inferior (33-43), desinsertando la base de la papila sin seccionarla con la ayuda de instrumentos de tunelización. Posteriormente se realizó una incisión en el fondo de vestíbulo (Figura 11). A continuación, se obtuvo un injerto de tejido conectivo del paladar introduciéndolo en el lecho receptor, siendo todas las suturas realizadas de la misma manera que en el caso clínico 1, usando tanto material reabsorbible como no reabsorbible de 5/0 y 6/0 ceros (Figura 12).


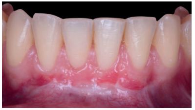
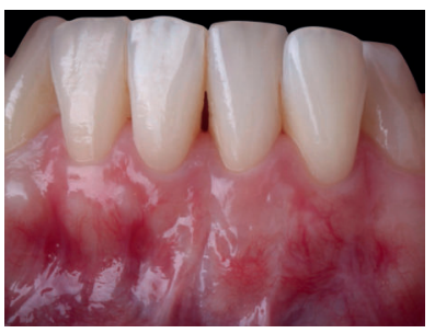
El control a la semana (Figura 13) presentaba inflamación moderada y a las 2 semanas (Figura 14) se retiraron los puntos de sutura. La paciente acudió a los 4 meses (Figura 15) y al año (Figura 16) a visitas de revisión, donde se apreció una buena banda de tejido queratinizado y una pequeña cicatriz.




Las recesiones gingivales pueden afectar a raíces de forma unitaria o múltiple y están frecuentemente asociadas a problemas estéticos, hipersensibilidad y dificultad para mantener una buena higiene oral. Para reconstruir los tejidos blandos sobre la recesión se cuenta con técnicas predecibles, básicamente mediante colgajos pediculados (ya sea lateral o coronalmente posicionados) que cubran la superficie radicular denudada, con o sin el uso de un ITC. Revisiones sistemáticas han evaluado la eficacia de estos procedimientos, estableciendo unos porcentajes de cubrimiento radicular que oscilaban entre el 35% y el 97%, siendo el injerto de tejido conectivo subepitelial obtenido de la mucosa palatina el tratamiento quirúrgico que mejores resultados obtiene16,17 .
Los presentes casos clínicos demuestran que la técnica de Edlan-Mejchar modificada (vestibuloplastia + ITC) es eficaz para el tratamiento de recesiones gingivales unitarias y múltiples con 1 mm o menos de tejido queratinizado apical en el sector anteroinferior, presentando estabilidad después de 18 meses.
En la zona anterior mandibular las recesiones gingivales están frecuentemente asociadas con problemas mucogingivales, debido a la existencia de poco tejido queratinizado, fondos de vestíbulo poco profundos e inserción de frenillos muy coronales que dificultan el buen control de placa.
La selección de esta técnica quirúrgica frente a los colgajos pediculados fue principalmente por la presencia en ambos casos clínicos de un vestíbulo poco profundo, además de la inserción alta del frenillo. Para la realización de dicha técnica, uno de los artículos que tomamos como referencia es el artículo de Remolina y cols.,15 en 2006, donde queda reflejada la evolución de dicha técnica, desde sus orígenes en 1963 por los estomatólogos checos Edlan y Mejchar, modificada en 1979 por Schmid y cols.18
El cambio principal respecto a la técnica tradicional se debe a la introducción de un ITC. Bethaz y cols.19 publicaron en 2014 una serie de casos con seguimiento a 2 años, donde proponen hacer la primera incisión horizontal en mucosa alveolar a 7 mm del margen gingival. Sin embargo, en los presentes casos clínicos se empieza con la incisión sulcular, para después hacer la incisión horizontal en el fondo de vestíbulo. En nuestra opinión, empezar por una o u otra incisión no conlleva diferencias significativas, además proponemos alejar un mínimo de 10 mm o más la incisión horizontal en fondo de vestíbulo.
Una limitación de la técnica quirúrgica es la formación de una pequeña cicatriz en el fondo del vestíbulo. Bethaz y cols.19 encuentran, tras la maduración de los tejidos, la formación de una pequeña cicatriz en 5 de los 7 casos (71.4%). Se puede observar la formación de una pequeña cicatriz en el segundo caso clínico presentado, no existiendo formación de dicha cicatriz en el primer caso clínico.
Respecto al uso de derivados de la matriz del esmalte (EMD – Emdogain® ), se sabe que son proteínas de origen porcino, con un alto grado de homogeneidad con las proteínas del esmalte humano, presentando un mecanismo de actuación biomimético, ya que este grupo de proteínas tienen un rol importante en el desarrollo embrionario de la raíz y la cementogénesis. Clínicamente, los EMD se usan para regeneración periodontal (defectos intraóseos, defectos infraóseos de 2 o 3 paredes, defectos de furca clase II), cobertura de recesiones y reimplante dental20 .
Hammarström y cols.21 en 1997 fueron los primeros en aplicar EMD sobre una superficie radicular denudada con recesiones de 6 mm creadas quirúrgicamente en monos. Tras 8 semanas de curación, la superficie radicular mostraba una regeneración con nuevo cemento acelular, ligamento periodontal y hueso alveolar.
La primera demostración histológica de regeneración periodontal verdadera en humanos fue presentada por Heijl en 199722. Se trató con EMD una dehiscencia vestibular creada quirúrgicamente en un incisivo mandibular. Tras 4 meses de curación se observó, mediante examen con microscopio, la formación de un ligamento periodontal nuevo con fibras de colágeno orientadas funcionalmente y nuevo hueso alveolar. El nuevo cemento cubría el 73% del defecto original. La ganancia ósea consistía en un 65% de la altura prequirúrgica de hueso.
Carnio y cols.23, en 2002 realizaron un estudio histológico en humanos para observar el posible efecto añadido al combinar EMD con un ITC en el tratamiento de recesiones. No se observó formación de cemento o hueso, de manera que este estudio demuestra que la combinación de EMD y un ITC no presenta un beneficio añadido en el tipo de adhesión que se obtiene, ni promueve la regeneración. Por el contrario, Rasperini y cols.24 en 2000, trataron un diente con una recesión clase III de Miller con un ITC junto con EMD y observaron una nueva adhesión de tejido conectivo, nuevo cemento y hueso.
- La técnica Edlan-Mejchar modificada es efectiva para tratar recesiones gingivales, tanto unitarias como múltiples, perdurando los cambios en el tiempo.
- Es una técnica de gran utilidad para tratar recesiones gingivales en incisivos mandibulares, con la ventaja de conseguir altos porcentajes de cobertura radicular en un solo acto quirúrgico.
The American Academy of Periodontology. Glossary of Periodontal Terms, 4th ed. Chicago: The American Academy of Periodontology; 2001.44
Kassab MM, Cohen RE. The etiology and prevalence of gingival recession. J Am Dent Assoc 2003; 134: 220-5.
Susin C, Haas AN, Oppermann RV, Haugejorden O, Albandar JM. Gingival recession: epidemiology and risk indicators in a representative urban Brazilian population. J Periodontol. 2004; 75: 1377–86.
Leong DJ, Wang HL. A decision tree for soft tissue grafting. Int J Periodontics Restorative Dent 2011; 31: 307-13.
Hugoson A, Sjöin B, Norderyd O. Trends over 30 years, 1973-2003, in the prevalence and severity of periodontal disease. J Clin Periodontol 2008; 35: 405-14.
Miller PD. A classification of marginal tissue recession. Int J Periodontics Restorative Dent 1985; 5: 8-13.
Cairo F, Nieri M, Cincinelli S, Mervelt J, Pagliaro U. The interproximal clinical attachment level to classify gingival recessions and predict root coverage outcomes: an explorative and reliability study. J Clin Periodontol 2011; 38: 661-6.
Cairo F, Pagliaro U, Nieri M. Treatment of gingival recession with coronally advanced flap procedures: a systematic review. J Clin Periodontol 2008; 35(8 suppl): 136-62.
Cairo F, Nieri M, Pagliaro U. Efficacy of periodontal plastic surgery procedures in the treatment of localized facial gingival recessions. A systematic review. J Clin Periodontol 2014; 41(suppl 15): s44-s62.
Cairo F, Cortellini P, Tonetti M, et al. Coronally advanced flap with and without connective tissue graft for the treatment of single maxillary gingival recession with loss of inter-dental attachment. A randomized controlled clinical trial. J Clin Periodontol 2012; 39: 760-8.
Hofmänner P, Alessandri R, Laugisch O, et al. Predictability of surgical techniques used for coverage of multiple adjacent recessions. A systematic review. Quintessence Int 2012; 43: 545-54
Graziani F, Gennai S, Roldan S, Discepoli D, Buti J, Madianos P & Herrera D. Efficacy of periodontal plastic procedures in the treatment of multiple gingival recessions. J Clin Periodontol 2014, 41: s63–76.
Aroca S, Keglevich T, Nikolidakis D, Gera I, Nagy K, Azzi R & Etienne D. Treatment of class III multiple gingival recessions: a randomized-clinical trial. J Clin Periodontol 2010, 37: 88–97.
Tonetti MS, Jepsen S; Working group 2 of the European Workshop on Periodontology. Clinical efficacy of periodontal plastic surgery procedures: consensus report of group 2 of the 10th European Workshop on Periodontology. J Clin Periodontol 2014; 41: s36-43.
Remolina A, Aguirre L.A, Bayona J.M, Ruiz de Badanelli M. Técnica de Edlan-Mejchar modificada: un nuevo procedimiento quirúrgico para tratar recesiones asociadas a un frenillo de inserción alta. Periodoncia y Osteointegración 2006; 16: 21-32.
Chambrone L, Sukekava F, Araujo MG, Pustiglioni FE, Chambrone LA, Lima LA. Root-coverage procedures for the treatment of localized recession-type defects: a Cochrane systematic review. J Periodontol 2010; 81: 452–78.
Tatakis DN, Chambrone L, Allen EP, Langer B, McGuire MK, Richardson CR, Zabalegui I, Zadeh HH. Periodontal soft tissue root coverage procedures: a consensus report from the AAP Regeneration Workshop. J Periodontol. 2015; 86: s52-5.
Schmid MO, Mörmann W, Bachmann A. Mucogingival surgery. The subperiosteal vestibule extension. Clinical results 2 years after surgery. J Clin Periodontol 1979; 6: 22-32.
Bethaz N, Romano F, Ferrarotti F, Mariani GM, Aimetti M. A mucogingival technique for the treatment of multiple recession defects in the mandibular anterior region: a case series with a 2-year follow-up. Int J Periodontics Restorative Dent 2014; 34: 345-52.
Miron RJ, Sculean A, Cochran DL, Froum S, Zucchelli G, Nemcovsky C, Donos N, Lyngstadaas SP, Deschner J, Dard M, Stavropoulos A, Zhang Y, Trombelli L, Kasaj A, Shirakata Y, Cortellini P, Tonetti M, Rasperini G, Jepsen S, Bosshardt DD. Twenty years of enamel matrix derivative: the past, the present and the future. J Clin Periodontol 2016; 43: 668–83.
Hammarström L, Heijl L, Gestrelius S. Periodontal regeneration in a buccal dehiscence model in monkeys after application of enamel matrix proteins. J Clin Periodontol 1997; 24: 669–77.
Heijl. Periodontal regeneration with enamel matrix derivative in one human experimental defect. A case report. J Clin Periodontol 1997; 24: 693-6.
Carnio J, Camargo PM, Kenney EB, Schenk RK. (2002) Histological evaluation of 4 cases of root coverage following a connective tissue graft combined with an enamel matrix derivative preparation. J Periodontol 2002; 73: 1534–43.
Rasperini G, Silvestri M, Schenk RK, Nevins ML. (2000) Clinical and histologic evaluation of human gingival recession treated with a subepithelial connective tissue graft and enamel matrix derivative (Emdogain): a case report. Int J Periodontics Restorative Dent 2000; 20: 269–75.
Quispe López, Norberto
Doctor en Odontología Universidad Alfonso X El Sabio (UAX). Profesor colaborador en el máster y especialista de endodoncia UAX. Profesor asociado del departamento de cirugía área estomatología Universidad de Salamanca (USAL). Profesor colaborador del Máster en cirugía Bucal USAL.
García-Faria García, Carmen
Licenciada en odontología UAX. Máster especialista Europeo en Ortodoncia UAX.
Garrido Martínez, Pablo
Doctor en Odontología Universidad Complutense de Madrid (UCM). Máster de Prótesis Bucofacial y Oclusión UCM. Profesor Asociado de Prótesis y Oclusión UAX.
Morales Sánchez, Araceli
Médico estomatólogo. Doctor en medicina Universidad de Granada.
Mena Álvarez, Jesús
Licenciado en Odontología UCM. Director Máster universitario en Endodoncia UAX. Doctor en Odontología UAX.
Sánchez Santos, Juan
Doctor en Odontología UAX. Profesor del Máster Universitario en Cirugía Oral, Implantología y Periodoncia UAX.