Científica Dental: febrero 2021 (edición exclusiva online)
Caso clínico
Anitua E. Atrofia combinada maxilo-mandibular. uso de implantes cortos y estrechos (BTI® CORE y BTI® 3.0). Cient. Dent. 2021; 18; 1; 21-28
Atrofia combinada maxilomandibular. uso de implantes cortos y estrechos (BTI® CORE y BTI® 3.0)
Cada día con más frecuencia en las clínicas odontológicas nos enfrentamos a atrofias maxilares y mandibulares más extremas y en muchos casos con el re-tratamiento de implantes fracasados biológica y/o mecánicamente. En el presente caso clínico mostramos una paciente con una atrofia combinada (horizontal y verticalmente) además de un tratamiento con implantes dentales fracasado.
More and more frequently in dental clinics we are confronted with more extreme maxillary and mandibular atrophy and in many cases with the re-treatment of biologically and/or mechanically failed implants. In the present clinical case we show a patient with a combined atrophy (horizontally and vertically) in addition to a failed dental implant treatment.
Hoy en día, en nuestra práctica clínica diaria los implantes dentales son una técnica más para rehabilitar a los pacientes que nos demandan tratamiento. El mayor impedimento para el uso de los implantes nos lo encontramos en aquellos casos con un menor volumen óseo residual debido a edentulismo de larga duración o procesos infecciosos o destructivos dentales que han ocasionado defectos y reabsorciones severas1-3. Para afrontar estos casos más complejos podemos optar por las técnicas convencionales de regeneración, tanto en sentido horizontal como vertical (injertos en bloque, particulados, regeneración ósea guiada, uso de distractores óseos…), como por técnicas mas novedosas con menor intervención4-8. La implantología dental, al igual que otras áreas de la odontología y la medicina, ha sufrido un cambio en los últimos tiempos en el que se ha virado hacia enfoques cada vez más conservadores y con un abordaje mínimamente invasivo1 . Estas cirugías mínimamente invasivas en implantología oral suponen una serie de ventajas para el paciente (menor morbilidad, menor número de actos quirúrgicos, mejor recuperación post-operatoria) y para los cirujanos (menores costes, menor tiempo y en algunos casos, simplificación de la técnica quirúrgica)9-11 .
Los casos más complejos son cada vez más numerosos en la consulta dental y las técnicas quirúrgicas se adaptan, utilizando uno o varios métodos de tratamiento combinados para solventarlos. Por ello, no es infrecuente que nos encontremos con pacientes con atrofias combinadas vertical y horizontalmente que precisan soluciones para resolver ambos problemas. En estos casos, el uso de los implantes cortos y extra-cortos unido a los implantes estrechos nos facilita el abordaje.
Los implantes cortos y extra-cortos son una opción cada vez más empleada con el fin de evitar cirugías agresivas y con alta morbilidad, siendo también una alternativa para la rehabilitación del maxilar posterior atrófico en altura, evitando la realización de técnicas de elevación de seno en casos donde la altura ósea residual lo permita, con tasas de supervivencia por encima del 98% en la mayoría de los casos12-16. Los implantes estrechos son una alternativa similar a los cortos para reabsorciones horizontales. Revisiones sistemáticas que valoran la supervivencia de implantes de diámetro reducido (menor de 3 mm) encuentran una tasa de supervivencia para estos implantes superior al 90% en un período de seguimiento de 1 a 3 años, siendo mayor la tasa de supervivencia (93,8%) para los implantes de diámetros entre 3 y 3,25 mm (con un seguimiento de 1 a 5 años17- 20. El sistema de implantes Core (BTI® Core) nos permite el abordaje de casos de espacio óseo comprometido mesio-distalmente y reabsorciones horizontales extremas, aportándonos una correcta estabilidad primaria debido a su ápice cónico. La consecución de estabilidad primaria disminuyendo la compresión y la plataforma reducida del implante le hacen una opción ideal para casos de extrema reabsorción horizontal.
El diámetro de este implante abarca una familia desde 3,3 hasta 4,25 mm, permitiendo de este modo el cambio de plataforma desde el implante de 3,75 mm, existiendo diferentes longitudes en todos ellos para adaptarnos a las diferentes situaciones clínicas (Figura 1).

En el siguiente caso clínico mostramos un caso tratado mediante el uso de los implantes cortos y extra-cortos unido a implantes de plataforma estrecha Core.
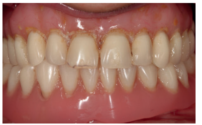
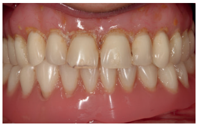
Presentamos el caso de una mujer de 67 años que acude a la consulta para solicitar un tratamiento que mejore la estética y la funcionalidad de las prótesis removibles que porta. En la radiografía panorámica inicial se observan dos implantes en la región anterior mandibular que actualmente no están formando parte de la rehabilitación, que en algún momento sostuvieron una barra para una sobredentadura (Figura 2). En la imagen de sonrisa e intraoral podemos ver la prótesis removible superior e inferior deteriorada y con zonas fracturadas (incisivo central superior derecho) (Figura 3). Al retirar las prótesis podemos observar los implantes con dos tornillos fracturados en su interior (Figura 4).



Se realiza un CBCT dental para la planificación del caso y poder rehabilitar el maxilar superior e inferior. En la mandíbula se planifica retirar los dos implantes de forma atraumática (mediante el kit de extracción a contra-torque) y la inserción de cuatro implantes para la confección de una nueva prótesis implanto-soportada. Los cortes de planificación muestran la necesidad de que los implantes insertados sean cortos y algunos de ellos, como el caso del implante en posición 44, por lingual del nervio dentario. (Figuras 5-7).

En el caso del maxilar superior, la atrofia es combinada, existiendo una gran atrofia vertical en los sectores posteriores que requiere la inserción de implantes cortos y extra-cortos, para evitar una elevación de seno a ese nivel. En las zonas anteriores (de premolar a premolar) existe una extrema reabsorción horizontal que obliga a la inserción de implantes estrechos, siendo los seleccionados cuatro implantes de plataforma reducida (3.0) y un implante de plataforma reducida Core en una zona de transición entre la atrofia anterior y posterior, que presenta una atrofia mixta (zona de 15-16) (Figuras 8-10).

En el mismo acto quirúrgico se realiza el abordaje de la zona superior e inferior, retirando los implantes antiguos y colocando nuevos implantes en ambos maxilares. La reabsorción horizontal de la zona anterior es extrema, pudiéndose observar en las imágenes de la cirugía como se transparentan los implantes a través de la tabla ósea, por lo que se decide realizar una sobre-corrección vestibular con hueso particulado obtenido del fresado mezclado con PRGF-Endoret fracción 2 activado y biomaterial (hidroxiapatita bovina). Finalmente toda la zona se cubre con membranas de fibrina (PRGF-Endoret fracción 1 activada y retraída). (Figuras 11-13).

sobrecorrección con biomaterial+hueso autólogo y PRGFEndoret y se cubre todo con membranas de fibrina (fracción 1 PRGF-Endoret activado y retraído).
En la misma cirugía de inserción de los implantes se colocan transepiteliales para la carga inmediata, realizándose la misma 24 horas después de la cirugía, debido al uso de barras articuladas que nos facilitan la consecución de la estructura en un tiempo muy bajo, con un correcto ajuste pasivo y hermetismo en la unión transepitelial-prótesis. Los únicos implantes no englobados en la carga inmediata son los más distales del maxilar superior debido a la baja densidad ósea que presentaba el lecho óseo (Figuras 14-16).

Cinco meses después de la confección de la prótesis de carga inmediata se procede a realizar una prótesis de carga progresiva para el maxilar superior, agregando los dos implantes que no se habían cargado en la primera fase (Figura 17).

Con este tipo de prótesis se consigue una carga paulatina sobre los implantes con menor torque y en huesos de baja densidad. Una vez transcurrido un tiempo con estas prótesis podemos elaborar la prótesis definitiva, dándole tiempo también a la oclusión y articulación temporo-mandibular para acomodarse a la nueva dimensión vertical.
Las prótesis definitivas serán realizadas con una estructura por Cad-Cam sobre la que asentarán dos prótesis híbridas. La confección por Cad-Cam de la estructura nos permite además angular las chimeneas de salida para colocarlas en zonas más favorables (para la masticación y para la estética de la prótesis). Para ello se realiza un encerado sobre los cilindros que será probado en boca, para luego trasladar la información de la oclusión obtenida en esa prueba a un escaneado que nos permitirá conocer la posición de los dientes en relación a la posición de la futura barra fresada. El diseño del encerado convencional puede importarse como archivo de imagen y superponerse al diseño tridimensional de la estructura (Figuras 18-23).


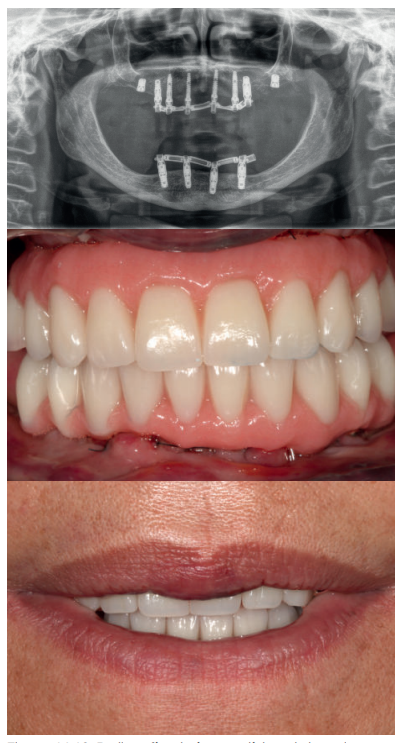
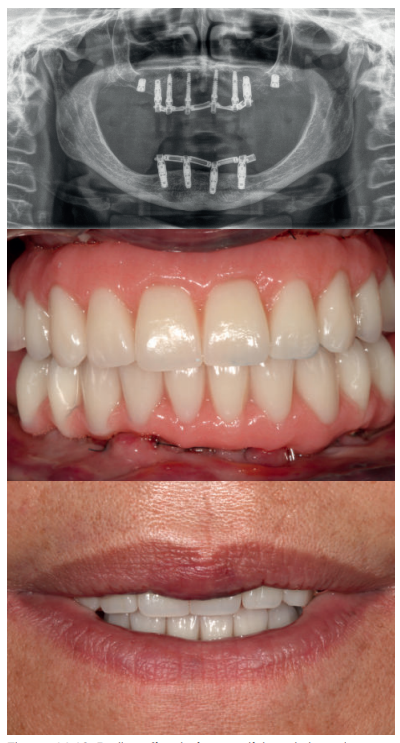
Una vez finalizada la confección de la prótesis, se coloca en el paciente. En las imágenes podemos observar el resultado clínico final y la radiografía, donde puede verse el ajuste de las estructuras sobre los implantes (Figuras 24-26).


Podemos observar la comparación entre el estado inicial y el resultado final, que satisface los deseos estéticos y funcionales de la paciente y además recupera la dimensión vertical perdida con las prótesis removibles (Figuras 27-30).

En casos de atrofia vertical mandibular severa, donde es necesaria la inserción de implantes dentales para una correcta rehabilitación funcional del paciente, existen diferentes técnicas de aumento óseo o de ganancia de espacio para la colocación de los implantes que nos permiten la inserción de los mismos.
Los implantes cortos y extra-cortos son una opción segura para la rehabilitación de sectores posteriores maxilares y mandibulares, como alternativa a técnicas de aumento óseo más complejas, con cifras de supervivencia a largo plazo superiores al 98%8-12 .
Los implantes estrechos por su parte, también presentan una supervivencia entre el 90 y el 94% según los estudios publicados, aunque cuando se separa la supervivencia de las técnicas de expansión y/o de regeneración que acompañan generalmente a estos implantes la cifra es mayor, llegando en algunos estudios al 100%13-16 .
Comparadas con la reconstrucción ósea, estas técnicas presentan algunas ventajas, como no necesitar un área donante, la inserción de los implantes en una única intervención y un menor coste económico para el paciente21 .
La unión de ambas técnicas en un caso de atrofia combinada puede resultar en el éxito del tratamiento, con menor necesidad de cirugías complejas y reduciendo también la complejidad del abordaje quirúrgico para el profesional que se enfrenta al caso.
En este caso el uso de técnicas mínimamente invasivas ha permitido la rehabilitación de un paciente con extrema reabsorción vertical de forma predecible.
Stopa Z, Siewert-Gutowska M, Abed K, Szubińska-Lelonkiewicz D, Kamiński A, Fiedor P. Evaluation of the safety and clinical efficacy of allogeneic bone grafts in the reconstruction of the maxilla and mandible. Transplant Proc 2018; 50: 2199-2201.
Monje A, Chan HL, Galindo-Moreno P, Elnayef B, Suarez-Lopez del Amo F, Wang F, Wang HL. Alveolar bone architecture: A systematic review and meta-analysis. J Periodontol 2015; 86: 1231-48.
Kuć J, Sierpińska T, Gołębiewska M. Alveolar ridge atrophy related to facial morphology in edentulous patients. Clin Interv Aging 2017; 12: 1481-94.
Hernández-Alfaro F, Sancho-Puchades M, Guijarro-Martínez R. Total reconstruction of the atrophic maxilla with intraoral bone grafts and biomaterials: a prospective clinical study with cone beam computed tomography validation. Int J Oral Maxillofac Implants 2013; 28: 241-51.
Sbordone L, Toti P, Menchini-Fabris G, Sbordone C, Guidetti F. Implant survival in maxillary and mandibular osseous onlay grafts and native bone: a 3-year clinical and computerized tomographic follow-up. Int J Oral Maxillofac Implants 2009; 24: 695-703.
Faot F, Marcello-Machado RM, Hermann C, Fontão FNGK. Splinted wide-short implants in the posterior region of an atrophic mandible opposed by an edentulous maxilla: immediate loading and 1-year follow-up. Gen Dent 2019; 67: 29-33.
Ravidà A, Barootchi S, Askar H, SuárezLópez Del Amo F, Tavelli L, Wang HL. Long-Term Effectiveness of extra-short (≤ 6 mm) dental implants: A systematic review. Int J Oral Maxillofac Implants 2019; 34: 68-84.
Amato F. Overcoming anatomical limitations: The new frontier of Implantology. Compend Contin Educ Dent 2018; 39: 13-5.
Mijiritsky E, Barbu H, Lorean A, Shohat I, Danza M, Levin L. Use of implant-derived minimally invasive sinus floor elevation: A multicenter clinical observational study with 12- to 65-month follow-up. J Oral Implantol 2016; 42: 343-8.
Franceschetti G, Trombelli L, Minenna L, Franceschetti G, Farina R. Learning curve of a minimally invasive technique for transcrestal sinus floor elevation: A split-group analysis in a prospective case series with multiple clinicians. Implant Dent 2015; 24: 517-26.
Rajput N, Mohammed J. Minimally invasive transmucosal insertion and immediate provisonalization of one-piece implant in partially edentulous posterior mandible. J Clin Diagn Res 2013; 7: 2070-3.
Anitua E, Alkhraisat MH. Clinical performance of short dental implants supporting single crown restoration in the molar-premolar region: Cement versus screw retention. Int J Oral Maxillofac Implants 2019; 34: 969–76.
Anitua E, Alkhraisat MH. Fifteen-year follow-up of short dental implants in the completely edentulous jaw: Submerged versus nonsubmerged healing. Implant Dent 2019 Dec; 28: 551-5.
Anitua E, Alkhraisat MH. 15-year followup of short dental implants placed in the partially edentulous patient: Mandible vs maxilla. Ann Anat 2019; 222: 88-93.
Anitua E, Piñas L, Begoña L, Orive G. Long-term retrospective evaluation of short implants in the posterior areas: clinical results after 10-12 years. J Clin Periodontol 2014; 41: 404-11.
Anitua E, Saracho J, Begoña L, Alkhraisat MH. Long-term follow-up of 2.5 mm narrow-diameter implants supporting a fixed prostheses. Clin Implant Dent Relat Res 2016; 18: 769-77.
Anitua E, Errazquin JM, de Pedro J, Barrio P, Begoña L, Orive G. Clinical evaluation of Tiny® 2.5- and 3.0-mm narrow-diameter implants as definitive implants in different clinical situations: a retrospective cohort study. Eur J Oral Implantol 2010; 3: 315-22.
Klein MO, Schiegnitz E, Al-Nawas B. Systematic review on success of narrowdiameter dental implants. Int J Oral Maxillofac Implants 2014; 29 Suppl: 43- 54.
Ortega-Oller I, Suarez F, Galindo-Moreno P, Torrecillas-Martinez L, Monje A, Catena A, Wang HL. The influence of implant diameter on its survival: a meta-analysis based on prospective clinical trials. J Periodontol 2014; 85: 569-80.
Pommer B, Mailath-Pokorny G, Haas R, Busenlechner D, Furhauser R, Watzek G. Patients’ preferences towards minimally invasive treatment alternatives for implant rehabilitation of edentulous jaws. Eur J Oral Implantol 2014; 7 Suppl 2: S91-109.
Pimentel AC, Sanches MA, Ramalho GC, Roman-Torres CV, Manzi MR, Sendyk WR. Lateralization technique and inferior alveolar nerve transposition. Case Rep Dent 2016; 2016: 4802637.
Anitua, Eduardo
Práctica privada en implantología oral, Clínica Eduardo Anitua, Vitoria, España. Instituto universitario para la medicina oral regenerativa y la implantología. (UPV/EHU Fundación Eduardo Anitua), Vitoria. 3 BTI Biotechnology institute (BTI), Vitoria.