Científica Dental: febrero 2021 (edición exclusiva online)
caso clínico
Trávez-Pacheco S, Parise-Vasco J, Silva-Silva J. Técnica combinada de microabrasión y blanqueamiento dental para tratamiento de pigmentaciones asociadas a fluorosis. Reporte de un caso. Cient. Dent. 2021; 18; 1; 51-56
Técnica combinada de microabrasión y blanqueamiento dental para tratamiento de pigmentaciones asociadas a fluorosis. Reporte de un caso
La fluorosis dental es una condición irreversible originada durante el desarrollo dental que genera pigmentaciones intrínsecas, alteraciones en el esmalte manifestadas a manera de manchas blancas, amarillas o marrones, que perjudican la estética y repercuten en el desenvolvimiento social. El presente reporte de caso clínico describe la combinación de los procedimientos de microabrasión y blanqueamiento dental, como alternativas en la eliminación de pigmentaciones dentales. Después del diagnóstico de la patología, verificación de ausencia de lesiones pulpares y caries, una explicación minuciosa a la paciente y obtención del consentimiento informado, se realizó limpieza de las superficies dentales y, bajo aislamiento absoluto, se procedió a realizar la técnica de microabrasión mediante ácido clorhídrico al 6,6% siguiendo las instrucciones del fabricante. Concluido el procedimiento y, observando que era posible mejorar aún más la estética, se decidió ejecutar el procedimiento de blanqueamiento dental, a base de peróxido de hidrógeno al 40% en el consultorio, seguido por peróxido de carbamida al 10% aplicado en el domicilio. Al finalizar el tratamiento se observó uniformidad en el color dental, conjugados con una evidente mejora en la calidad de vida y relación social de la paciente.
La combinación de procedimientos, como el reportado en este caso, constituye una excelente alternativa de tratamiento para eliminar pigmentaciones fluoróticas moderadas.
Dental fluorosis is an irreversible condition caused during dental development that generates intrinsic pigmentation, enamel alterations manifested as white, yellow, or brown spots, which impair aesthetics and have an impact on social development. This clinical case report describes the combination of microabrasion and teeth whitening procedures, as alternatives in the elimination of dental pigmentations. After the diagnosis of the pathology, verification of absence of pulpal lesions and caries, a thorough explanation to the patient and obtaining informed consent; dental surfaces were cleaned and, under absolute isolation, the microabrasion technique was performed using 6.6% hydrochloric acid following the manufacturer’s instructions. Once the procedure was concluded and observing that it was possible to improve the aesthetics even further, it was decided to perform the teeth whitening procedure, based on 40% hydrogen peroxide, in the dental office, followed by 10% carbamide peroxide applied at home. At the end of the treatment, uniformity in tooth color was observed, combined with an evident improvement in the quality of life and social relationship of the patient.
The combination of procedures, such as that reported in this case, constitutes an excellent treatment alternative to eliminate moderate fluorotic pigmentation.
Las pigmentaciones dentales son causa frecuente de preocupación en el paciente, por la asociación estética existente con sus actividades y relaciones sociales, desencadenando con su presencia problemas emocionales y psicosociales1 . Estas pigmentaciones dentales están asociadas a factores intrínsecos o extrínsecos2 en su localización de acuerdo a la estructura comprometida y a las causas, congénitas o adquiridas que las producen3 .
Los estudios epidemiológicos realizados en Ecuador señalan la elevada presencia de fluorosis dental en la zona interandina del país4 , considerando la adquisición de la lesión durante el proceso de formación y maduración dental5 . Su etiología ha sido atribuida a la ingesta excesiva y crónica de flúor, principalmente, a través del agua potable6 . El resultado de esta ingesta produce manchas a manera de estrías de color amarillo, marrón o blanco opaco, sin brillo o patrón definido7 , que pueden llegar hasta la pérdida de la capa externa de esmalte8 , alteraciones que pueden provocar un impacto negativo en la calidad de vida en quien la padece2,9 .
Los tratamientos propuestos para solucionar estas alteraciones son diversos y dependientes del grado de compromiso a nivel dental existente, estos procedimientos propuestos se extienden desde el blanqueamiento dental, la microabrasión químico-mecánica del esmalte10, hasta procedimientos restauradores más invasivos11. El empleo de peróxido de hidrógeno y peróxido de carbamida como agentes blanqueadores12, en distintas concentraciones, aplicados en el consultorio por el profesional o en el hogar por el paciente13, cuentan con una elevada aceptación debido a lo poco invasivos gracias a su mecanismo de acción, basado en su bajo peso molecular y capacidad de desnaturalizar proteínas, incrementando el movimiento de iones a través de la estructura dental, convirtiendo los compuestos orgánicos causantes de la pigmentación en dióxido de carbono y agua hasta eliminarlos por difusión14 , observando mayor eficacia y resultados en menor tiempo con la combinación de técnicas de blanqueamiento, en consulta y hogar15 .
La técnica de microabrasión dental constituye un procedimiento basado en la remoción de pigmentos por erosión y abrasión microscópica en el esmalte7 , en el que mediante ácido clorhídrico al 6% asociado con carburo de silicio como agente abrasivo es aplicado sobre la superficie dental afectada con irregularidades o manchas, el procedimiento se muestra idóneo ante dientes afectados por fluorosis en grados en que el compromiso se limite al esmalte dental16 .
Frente a lo expuesto, se reporta el caso clínico de un paciente con fluorosis dental grado 3 según el índice de Thylstrup y Fejerskov17, que recibió tratamiento combinado de una técnica de microabrasión y dos métodos de blanqueamiento dental para eliminar pigmentaciones asociadas a fluorosis.
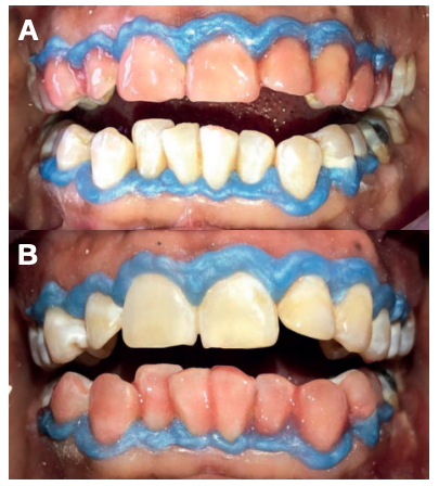
Paciente de sexo femenino de 47 años, acude a la Clínica Universitaria de la Universidad UTE, Quito-Ecuador, manifestando inconformidad con las manchas color café presentes sobre sus dientes, relata ser originaria de la provincia de Cotopaxi-Ecuador, consumir agua potable diariamente y haber recibido tratamiento para tuberculosis a los 24 años. En el examen clínico intraoral se confirma la presencia de periodontitis crónica severa generalizada, pigmentaciones opacas generalizadas de color café-amarillento y líneas blancas horizontales marcadas sobre las superficies dentales compatibles con fluorosis dental grado 3 según el índice de fluorosis de Thylstrup y Fejerskov (TF)17, estimándose mediante transiluminación 0,5 mm de profundidad de esmalte afectado (Figura 1).

Se realizó el análisis de fotografías, radiografías y modelos de estudio obtenidos de la paciente, constatando la necesidad de realizar un tratamiento integral a la paciente, iniciando con la ejecución de terapia periodontal mediante el raspado y alisado de las superficies radiculares a campo cerrado, profilaxis y refuerzo de la técnica de cepillado dental, conjugado con la modificación de sus hábitos nutricionales y de higiene. A nivel dental se restauraron los dientes 16-25-37, con resina microhíbrida, Enamel Plus HFO (Micerium S.p.A., Avegno, Italy), bajo aislamiento absoluto.
Concluida la fase primaria y, considerando la necesidad estética referida por la paciente, se procedió a la intervención estética a través de microabrasión, tras la limpieza de las superficies dentales con clorhexidina al 0,12% y piedra pómez; bajo aislamiento absoluto, se aplicó ácido clorhídrico al 6,6% con micropartículas de carburo de silicio, Opalustre® (Ultradent Products, Inc., South Jordan, Utah, USA), sobre las superficies vestibulares de los dientes anteriores desde el 15 al 25 en la arcada superior y desde el 35 al 45 en la arcada inferior, mediante la utilización de una copa de goma a baja velocidad (aproximadamente 500 rpm), en un total de 12 aplicaciones por un tiempo no mayor a 60 segundos por diente (Figura 2). Concluido el procedimiento, las superficies fueron pulidas con gomas de caucho y pasta diamantada, aplicando finalmente una capa delgada y uniforme de flúor en barniz al 5%, ClinproTM White Varnish (3M ESPE, Leicestershire, UK), con el propósito de reducir una posible sensibilidad dental.

Al concluir el procedimiento se realizaron fotografías de control posoperatorio, verificando la eliminación de la capa superficial porosa de esmalte con pigmentaciones marrones, sin perjudicar el espesor del esmalte, se estima que por cada aplicación se elimina 10 μm de esmalte, eliminándose aproximadamente 160 μm, cumpliendo con la recomendación de desgaste máximo de 200 μm18,19 .
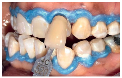
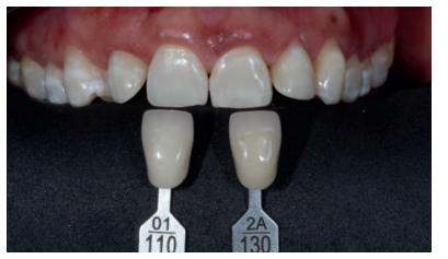
Dos semanas después del procedimiento de microabrasión ejecutado, se realizó un registro de color con el colorímetro Chromascop (Ivoclar Vivadent AG, Schaan, Liechtenstein), en donde el color de caninos y premolares fue 4C/520 y de incisivos 2A/130 (Figura 3); se colocaron recubrimientos de ionómero de vidrio en las zonas cervicales de dientes con recesiones gingivales, haciendo previamente una limpieza del esmalte con piedra pómez y clorhexidina al 0,12%, se aplicó barrera gingival para protección de tejidos blandos y se efectuó el blanqueamiento en consulta con peróxido de hidrógeno al 40%, Opalescence® Boost (Ultradent Products, Inc., South Jordan, Utah, USA), por 20 minutos por aplicación, sobre las superficies vestibulares de los dientes 15 a 25 y desde 35 a 45, se realizó un total de dos aplicaciones. Se recomendó el empleo de una pasta dental desensibilizante con nitrato de potasio al 2% para minimizar la hipersensibilidad dental.


Una semana después se inició con la aplicación de peróxido de carbamida al 10%, Opalescence® PF 10% (Ultradent Products, Inc., South Jordan, Utah, USA), en el hogar mediante el empleo de una cubeta individual confeccionada con acetato blando de 0,40 mm sobre modelos de maxilar superior e inferior, obtenidos a partir de una impresión con alginato en arcada superior e inferior, en los que fueron establecidos nichos de almacenaje del producto de 0,50 mm de espesor sobre la superficie vestibular de los dientes anteriores superiores e inferiores (Figura 5). Una vez comprobada la adaptación de las cubetas, el paciente recibió instrucciones sobre el método de colocación del agente blanqueador en la cubeta, ubicación de las cubetas en boca, tiempo de empleo máximo 4 horas diarias durante 4 semanas, y sobre posibles complicaciones como hipersensibilidad dental (Figura 6 y 7).

carbamida al 10% A: confección de cubetas, B: indicaciones de uso del blanqueador, C: adaptación de cubetas en boca.


Los tratamientos ejecutados en este caso clínico mejoraron el aspecto estético de los dientes de la paciente. Un diagnóstico adecuado, como el propuesto, permitió percibir que se trataba de un caso de fluorosis dental grado 3 según el índice de Thylstrup y Fejerskov17 , como microabrasión conjugado o no con blanqueamiento dental10 , que permitieran encontrar una armonía no solo estética sino funcional.
Los procedimientos descritos en este caso clínico fueron planteados tras la realización de un diagnóstico fotográfico y radiográfico, que permitió visualizar de forma íntegra la salud de la paciente. La literatura refiere como el desgaste químico-mecánico que se ejecuta en un diente con la realización de un procedimiento de microabrasión es generalmente reducido20, por esta razón fue el primer procedimiento planteado y ejecutado en la paciente, sin embargo la estética que la paciente anhelaba no fue alcanzada, lo que obligó a complementar sinérgicamente el tratamiento con varios blanqueamientos dentales.
Al realizar el blanqueamiento dental con peróxido de hidrógeno al 40% se logró eliminar pigmentaciones que permanecieron después de la microabrasión, posteriormente con el blanqueamiento a domicilio se obtuvo cambios de tono de toda la superficie dental, consiguiendo una apariencia estética y se eliminó, aproximadamente, el 80% de pigmentaciones. Se presentó sensibilidad dental transitoria como efecto adverso después de la aplicación de peróxido de hidrógeno al 40%; reacción adversa que se logró minimizar con una pasta desensibilizante de Nitrato de Potasio al 2%.
Los resultados del presente caso clínico fueron satisfactorios y concuerdan con otros estudios que señalan que utilizar la técnica de microabrasión asociada a blanqueamiento dental es efectivo para reducir pigmentaciones, mejorando el aspecto estético y psicológico del paciente2,20. Respecto a la sensibilidad dental que presentó la paciente durante el tratamiento es un efecto secundario comúnmente reportado; Bernardon et al., en un estudio realizado en Brasil con 90 pacientes, advierte un aumento de este síntoma con la técnica de blanqueamiento en consultorio21, concordando con estudios que consideran que el uso de aclaradores dentales es un factor de riesgo para presentar hipersensibilidad dental transitorio postratamiento22,23 .
Existe controversia en el orden de aplicación entre la técnica de blanqueamiento dental y microabrasión; Greenwall describe que los agentes blanqueadores producen rugosidad y porosidades en el esmalte, defectos que se pueden reducir después de realizar la técnica de microabrasión y pulir la superficie dental24. A diferencia de Celik y cols., quienes señalan que al eliminar una capa de esmalte durante la microabrasión el diente se observa de color más amarillento u oscuro, coloración que se logra modificar con el aclarador18, en este reporte de caso se llevó a cabo primero la microabrasión y luego el blanqueamiento dental, obteniendo resultados favorables en la eliminación de pigmentaciones y aclaramiento del tono de la superficies de los dientes tratados.
Una de las limitaciones al realizar la combinación de la técnica de microabrasión con blanqueamiento dental en consulta y a domicilio fue que los resultados dependieron, en gran medida, de la colaboración y seguimiento de instrucciones por parte del paciente.
La combinación de microabrasión de esmalte asociado al blanqueamiento dental en consulta, con peróxido de hidrógeno al 40% y a domicilio con peróxido de carbamida al 10%, ayudó a obtener una eliminación de un 80% de pigmentaciones de fluorosis dental grado 3, según el índice de Thylstrup y Fejerskov. Estas técnicas mostraron resultados satisfactorios en la mejora de la estética dental, considerándose una alternativa conservadora y de bajo coste para la eliminación de pigmentaciones fluoróticas.
Sadana G, Gupta T, Rai HK. Effect of esthetic defects in anterior teeth on the emotional and social well-being of children: a survey. Int J Clin Pediatr Dent 2019;12: 229-32.
Sundfeld D, Pavani CC, Pini N, Machado LS, Schott TC, Sundfeld RH. Enamel microabrasion and dental bleaching on teeth presenting severe-pitted enamel fluorosis: a case report. Oper Dent 2019;44: 566-73.
Chumpitaz-Durand R, Córdova-Sotomayor D. Prevalence and risk factors for extrinsic discoloration in deciduous dentition of peruvian schoolchildren. Rev Fac Odontol Univ Antioq 2018;29: 257-72.
Armas-Vega A, González-Martínez F, Rivera-Martínez M, Mayorga-Solórzano M, Banderas-Benítez V, GuevaraCabrera O. Factors associated with dental fluorosis in three zones of Ecuador. J Clin Exp Dent 2019;11: e42-8.
Ramesh M, Narasimhan M, Krishnan R, Chalakkal P, Aruna RM, Kuruvilah S. The prevalence of dental fluorosis and its associated factors in Salem district. Contemp Clin Dent 2016;7: 203-8.
Kotecha P, Patel S, Bhalani K, Shah D, Shah V, Mehta K. Prevalence of dental fluorosis & dental caries in association with high levels of drinking water fluoride content in a district of Gujarat, India. Indian J Med Res 2012;135: 873-7.
Ramesh M, Malathi N, Ramesh K, Aruna R, Kuruvilla S. Comparative evaluation of dental and skeletal fluorosis in an endemic fluorosed district, Salem, Tamil Nadu. J Pharm Bioallied Sci 2017;9: S88-91.
Ramesh M, Narasimhan M, Krishnan R, Aruna R, Kuruvilla S. The effect of fluorosis on human teeth under light microscopy: A cross-sectional study. J Oral Maxillofac Pathol 2017;21: 345-50.
Abanto J, Rezende K, Marocoho S, Alves F, Celiberti P, Ciamponi A. Dental fluorosis: exposure, prevention and management. Med Oral Patol Oral Cir Bucal 2009;14: E103-7.
Shahroom N, Mani G, Ramakrishnan M. Interventions in management of dental fluorosis, an endemic disease: a systematic review. J Fam Med Prim Care 2019;8: 3108-13.
Gupta R, Bharadwaj S, Singh A. Smile makeover by veneers: a case report. J Oral Res 2019;8: 351-4.
Peixoto A, Vaez S, Pereira N, Santana C, Soares K, Romão A, et al. Highconcentration carbamide peroxide can reduce the sensitivity caused by inoffice tooth bleaching: a single-blinded randomized controlled trial. J Appl Oral Sci 2018;26: e20170573.
Carey C. Tooth whitening: what we now know. J Evid Based Dent Pract 2014;14: 70-6.
Rodríguez-Martínez J, Valiente M, Sánchez-Martín MJ. Tooth whitening: from the established treatments to novel approaches to prevent side effects. J Esthet Restor Dent 2019;31: 431-40.
Moradas-Estrada M. ¿Qué material y técnica seleccionamos a la hora de realizar un blanqueamiento dental y por qué?: protocolo para evitar hipersensibilidad dental posterior. Av Odontoestomatol 2017;33: 103-12.
Azzahim L, Chala S, Abdallaoui F. Role of enamel microabrasion associated with external bleaching in the management of patients with dental fluorosis. Pan Afr Med J 2019;34: 72.
García L, Moreno V, Pushaina J. Severidad de la fluorosis dental en siete instituciones de salud de Barranquilla (Colombia) durante el período enero de 2013-junio de 2014. Acta odontol Colomb 2019;9: 36-46.
Celik E, Yazkan B, Yildiz G, Tunac A. Clinical performance of a combined approach for the esthetic management of fluorosed teeth: Three-year results. Niger J Clin Pract 2017;20: 943-51.
Tong L, Pang M, Mok N, King N, Wei S. The effects of etching, micro-abrasion, and bleaching on surface enamel. J Dent Res 1993;72: 67-71.
Romero M, Babb C, Delash J, Brackett W. Minimally invasive esthetic improvement in a patient with dental fluorosis by using microabrasion and bleaching: a clinical report. J Prosthet Dent 2018;120: 323-6.
Bernardon J, Sartori N, Ballarin A, Perdigão J, Lopes G, Baratieri L. Clinical performance of vital bleaching techniques. Oper Dent 2010;35: 3-10.
Cartagena A, Parreiras S, Loguercio A, Reis A, Campanha N. In-office bleaching effects on the pulp flow and tooth sensitivity – case series. Braz Oral Res 2015;29: 1-6.
Rezende M, Loguercio A, Kossatz S, Reis A. Predictive factors on the efficacy and risk/intensity of tooth sensitivity of dental bleaching: a multi regression and logistic analysis. J Dent 2016;45: 1-6.
Greenwall L, Freedman G, Kee-Cho J, Murtra-Ferré J. Técnicas de blanqueamiento en odontología restaurada: guía ilustrada. Barcelona: Ars Médica 2002: 260-6.

Trávez-Pacheco, Samantha
Odontólogo. Facultad de Ciencias de la Salud “Eugenio Espejo”. Universidad UTE, Quito-Ecuador.
Parise-Vasco, Juan
Odontólogo. Centro de Investigación en Salud Oral (CISO). Facultad de Ciencias de la Salud “Eugenio Espejo”. Universidad UTE, Quito-Ecuador.
Silva-Silva, Javier
Especialista y Profesor Rehabilitación Oral. Facultad de Ciencias de la Salud “Eugenio Espejo”. Universidad UTE, Quito-Ecuador.
Indexada en / Indexed in: – IME – IBECS – LATINDEX – GOOGLE ACADÉMICO







