Ir al contenido principal
Todos los articulos de: Uncategorized

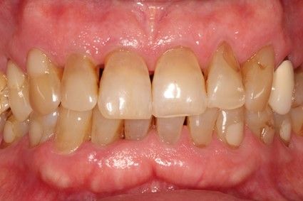
Estabilidad periodontal y ortodóncica de la Ortodoncia Osteogénica Periodontalmente Acelerada (PAOO)

Efectos de los cigarrillos electrónicos sobre la salud oral: una revisión de la literatura

Medir qué cosas: las variables (I)

Retención de segundos molares mandibulares: evaluación mediante CBCT y consideraciones terapéuticas ante un caso clínico

Rehabilitación unitaria con implantes extracortos estrechos (3–3,5 mm de diámetro, 6,5 mm de longitud): estudio prospectivo

Rehabilitación implantosoportada sobre implantes dentales y cigomáticos en un paciente con radioterapia por un carcinoma adenoide. A propósito de un caso clínico

Implantes de 4,5mm de longitud utilizados en atrofia ósea en altura (hueso residual ≤ 4,5m). Estudio retrospectivo

La causalidad y la confusión

Surgical and restorative management of a dental implant in the esthetic zone and volumetric evaluation following deepithelialized connective tissue graft: a case report

From mild COVID to long COVID: comprehensive oral health assessment

Correlation between the presence of sleep apnea and prosthetic and implant fractures. Series of clinical cases with identification of the process and treatment with mandibular advancement device

Osteonecrosis of the jaws in patients treated with monoclonal antibodies: A review of the literature

Clinical, radiographic and histomorphometric behaviour of the autologous tooth as a biomaterial in lateral access maxillary sinus elevation. Case report with six months of post-prosthetic loading follow-up

Pulp regeneration/revitalization in immature permanent teeth

Comparación de espacio retromolar óseo disponible para la distalización molar maxilar en pacientes adultos con maloclusiones clase I y clase II

Análisis de las posibles complicaciones ante un quiste dentígero mandibular en estrecha relación con estructuras nerviosas: a propósito de un caso clínico

Actualización en irrigación y desinfección en endodoncia

Displasia cemento-ósea florida: caso clínico y revisión de la literatura

pH salival en pacientes con aparatos fijos de ortodoncia

Detección de calcificaciones carotídeas mediante radiografía panorámica dental. Una acción promotora de salud general desde la clínica dental

La significación insignificante [1]

Implantes insertados en zonas regeneradas con injerto en bloque y PRGF-Endoret para resolver la atrofia horizontal severa. Serie de casos con 10 años de seguimiento posterior a la carga

Utilización de soluciones esclerosantes en los hemangiomas de la cavidad bucal. Revisión bibliográfica

Influencia de un adhesivo a base de cianoacrilato en el dolor y cicatrización de la zona donante palatina tras la toma de injertos de tejido conectivo: resultados preliminares de un ensayo clínico aleatorizado multicéntrico

Enfoque microinvasivo para el manejo de lesiones de mancha blanca en un caso de amelogénesis imperfecta

Implantes cortos Core-X® para lograr una mejora de la estabilidad primaria en el maxilar posterior con atrofi a vertical y baja densidad. A propósito de un caso

Medir las cosas. La precisión y la exactitud

Sinusitis maxilar de origen endodóntico. Revisión de la literatura

Activación del eje HPA ante un agente estresante. Actualización de la determinación mediante cortisol salival

Manejo quirúrgico y restaurador de un implante en área estética y evaluación volumétrica tras un injerto de tejido conectivo desepitelizado. Descripción de un caso clínico

Hipomineralización incisivo-molar: clínica, diagnóstico y enfoque terapéutico

Autotrasplante dental inmediato guiado mediante simulación virtual y prototipo 3D

Elevación de seno mediante abordaje transcrestal sin material de relleno con implantes extracortos (5,5 y 6,5 mm). Estudio retrospectivo con un seguimiento de 10 años

La ciencia, el método científico, el azar y la navaja de Ockham

Osteonecrosis en mandíbula y/o maxilar en pacientes tratados con anticuerpos monoclonales: revisión de la literatura

Supervivencia de implantes cortos y extracortos frente a implantes de longitud estándar

Influence of non-alternating unilateral mastication in maxillofacial development and early treatment

Integral surgical and orthodontic treatment of an autotransplanted maxillary canine: case report

Implant explantation poorly positioned in an aesthetic sector and subsequent regeneration with block grafting. Clinical case

Maxillary reconstruction with a subperiosteal implant in a case of severe atrophy. From planning to rehabilitation following a fully digital protocol. About a clinical case and bibliographic review

Implants of 4.5 and 5.5 mm length inserted directly in crestal elevation with autologous bone attached to PRFG-Endoret in residual bone heights of 2-3 mm: retrospective study

Antiplatelet therapy and oral surgery: to discontinue or not, that is the question

Evaluación de los cambios faciales y dentoalveolares en pacientes tratados con twin block modificado: resultados preliminares

Manejo quirúrgico del paciente con patología pseudoquística sinusal: a propósito de un caso.

Comportamiento clínico, radiográfico e histomorfométrico del diente autólogo como biomaterial en elevación de seno maxilar de acceso lateral. Caso clínico con seis meses de seguimiento post-carga protésica

Regeneración / revitalización pulpar en dientes permanentes inmaduros

Del COVID leve al síndrome persistente: evaluación integral de la salud oral

Asociación entre el biotipo facial y la posición del labio superior en la sonrisa

Hiperplasia de la apófisis coronoides

Queilitis actinica

Puesta al día en adhesivos para prótesis removibles

Manifestaciones orales en la insuficiencia renal

¿Qué rol desempeña el odontólogo en el tratamiento del paciente oncológico? ¿Aporta la tecnología láser algún beneficio en el tratamiento bucal a estos enfermos?

Implante dental migrado al seno maxilar: a propósito de un caso

Granuloma Piógeno Oral: Tratamiento

Entrevista entre expertos Científica Dental: enero-febrero-marzo 2012

Cordales heterotópicos. Estudio comparativo y revisión bibliográfica

Diagnóstico diferencial entre ameloblastoma y quiste radicular. A propósito de un caso

Morfología interna del primer molar mandibular permanente. Influencia del uso de ultrasonidos y del microscopio operatorio en la localización de conductos

Editorial Científica Dental: enero-febrero-marzo 2012

Sialoendoscopia en las patologías obstructivas de las glándulas salivales

Hemangioma arteriovenoso en región geniana derecha. A propósito de un caso

¿Constituyen los tratamientos por bisfosfonatos en mujeres con osteoporosis un riesgo real en nuestras terapias de implantes?

Mediastinitis descendente necrotizante de causa odontogénica. A propósito de un caso

Medidas de inclinación de la trayectoria condílea y del ángulo de bennet de la población occidental, actualización y revisión bibliográfica

Hemangioma cavernoso. A propósito de un caso

Entrevista entre expertos Científica Dental: mayo-junio-julio-agosto 2012

Polimorfismo de la Interleukina 1 (IL-1) en la periodontitis: revisión de la literatura

Turismo, deportes de riesgo y barodontalgia

Lesión del nervio lingual tras exodoncias de terceros molares inferiores. Revisión sistemática

Manifestaciones clínicas de un paciente HIv+: Periodontitis Necrosante y sarcoma de Kaposi

¿síndrome de eagle, síndrome estilohioideo o síndrome carotideo? Aportación de ocho casos

Distracción alveolar para la colocación de implantes. Revisión de la literatura

Editorial Científica Dental: mayo-junio-julio-agosto 2012

Actualización en técnicas de blanqueamiento de baja agresividad sobre dientes vitales: una necesidad ética y legal (primera parte)

Quiste folicular en el paciente pediátrico. A propósito de un caso

Qué material consideras como el más indicado hoy en día para prótesis. Si quieres SUSTITUIR un diente en el sector anterior, ¿qué material elegirías? y ¿de QUÉ dependerá?

Protocolo actual en la terapia de la periimplantitis

Procedimiento de estética inmediata en región anteriorinferior. Presentación de un caso clínico

Complejidad del sistema de conductos en la raíz distal de un primer molar mandibular