Puesta al día
Ruiz Sáenz PL, López Rodríguez MA, García Corbatón O, Martínez Rodríguez N, Meniz García C, Martínez González JM. Manejo clínico odontológico de un paciente con mucopolisacaridosis tipo III (Síndrome de Sanfilippo) Cient. Dent. 2021; 18; 5; 293-301
Manejo clínico odontológico de un paciente con mucopolisacaridosis tipo III (Síndrome de Sanfilippo)
El síndrome de Sanfilippo (mucopolisacaridosis tipo III) es un trastorno lisosomal causado por un defecto en el catabolismo del sulfato de heparano. La mucopolisacaridosis tipo III es el tipo más común de todas las mucopolisacaridosis. La base patógena de la enfermedad consiste en el almacenamiento de sustrato no degradado en el sistema nervioso central. El deterioro cognitivo progresivo que resulta en demencia y anomalías de comportamiento son las principales características clínicas del síndrome de Sanfilippo.
La mucopolisacaridosis tipo III puede diagnosticarse erróneamente como otras formas de retraso del desarrollo, trastorno por déficit de atención/hiperactividad y trastornos del espectro autista, debido a la falta de síntomas somáticos y a la presencia de formas leves y atípicas de la enfermedad. Los pacientes con síndrome de Sanfilippo pueden tener niveles de glicosaminoglicanos en la orina comparativamente bajos, lo que da como resultado un ensayo urinario falso negativo. El diagnóstico definitivo se realiza mediante un ensayo enzimático en leucocitos y fibroblastos cultivados. Actualmente no existe un tratamiento eficaz de la mucopolisacaridosis tipo III, aunque las investigaciones en curso sobre el gen, la reducción de sustratos y las terapias de reemplazo de enzimas intratecales esperan obtener un método curativo para alterar el daño devastador del sistema nervioso central en un futuro próximo.
El tratamiento odontológico de los pacientes con MPS-III requiere colaboración multidisciplinar, siendo de vital importancia el mantenimiento y controles periódicos, sobre todo en fases tempranas de la enfermedad. En estados avanzados se requerirá el uso de la anestesia general o la sedación profunda para dichos tratamientos, lo que supondrá un enorme reto para el profesional.
Sanfilippo syndrome (mucopolysaccharidosis type III) is a lysosomal disorder caused by a defect in the catabolism of heparan sulfate. Mucopolysaccharidosis type III is the most common type of mucopolysaccharidosis. The pathogenic basis of the disease consists of the storage of non-degraded substrate in the central nervous system. The progressive cognitive deterioration that results in dementia and behavioral abnormalities are the main clinical features of Sanfilippo syndrome.
Mucopolysaccharidosis type III can be misdiagnosed as other forms of developmental delay, attention deficit/hyperactivity disorder and autistic spectrum disorders due to the lack of somatic symptoms, the presence of mild and atypical forms of the disease. Patients with Sanfilippo syndrome may have comparatively low glycosaminoglycan levels in the urine, resulting in a falsenegative urinary test. The definitive diagnosis is made by an enzymatic assay in cultured leukocytes and fibroblasts. There is currently no effective treatment for mucopolysaccharidosis type III, although ongoing research on the gene, substrate reduction and intrathecal enzyme replacement therapies hope to obtain a curative method to alter the devastating damage of the central nervous system in the future next.
The dental treatment of patients with MPS-III requires multidisciplinary collaboration, being of vital importance the maintenance and periodic controls especially in early phases of the disease. In advanced stages, the use of general anesthesia or deep sedation will be required for dental procedures, which will be a huge challenge for the professional.
La mucopolisacaridosis tipo III (MPS III) o síndrome de Sanfilippo es una de las 40 enfermedades lisosomales actualmente descritas. Se considera la más común de las MPS1 , estimándose una prevalencia de 0,28 – 4,1 casos cada 100.000 nacimientos. La enfermedad se hereda de forma autosómica recesiva (Figura 1).

Fue descrita por primera vez por el pediatra Dr. Silvestre Sanfilippo, aunque se descubrió en 1961 cuando se publicaron las manifestaciones clínicas de una niña con hepato-esplenomegalia, evaluación esquelética normal y excreción de grandes cantidades de heparán sulfato en la orina. En 1963, Sanfilippo y cols.2 describieron ocho niños con retraso mental y la excreción elevada de un único glucosaminoglicano (GAG), el heparán sulfato.
La enfermedad de Sanfilippo está causada por la acumulación lisosomal de heparán sulfato, debido a una deficiencia congénita en uno de los cuatro enzimas implicados en su degradación secuencial: heparán N-sulfatasa, α-N-acetilglucosaminidasa, acetil-CoA α-glucosaminidaacetiltransferasa y N-acetilglucosamina 6-sulfatasa3 .
La acumulación progresiva de heparán sulfato en los lisosomas y la excreción del mismo en la orina, conduce finalmente a la manifestación clínica de la enfermedad. Además, se sugiere que el heparán sulfato en exceso podría alterar la síntesis y/o tráfico de los gangliósidos, provocando una acumulación secundaria de los gangliósidos GM2 y GM3, que puede también contribuir a la patología de la MPS-III. Recientemente, Yubero y cols.4 han observado un déficit combinado de Coenzima Q10 y piridoxal fosfato (PLP) (coenzima y forma activa de la vitamina B6) en pacientes con MPS-III lo que podría estar relacionado con la compleja fisiopatología de esta enfermedad5-7.
Se clasifica en función del déficit de las cuatro enzimas anteriormente mencionadas: Tipo A (Déficit de heparán N-sulfatasa, que hidroliza sulfato unido al grupo amino de la glucosamina); Tipo B (Déficit de α-N-acetil-D-glucosaminidasa, que hidroliza el enlace a 1 y 4 entre N-acetilglucosamina y el ácido urónico); Tipo C (déficit acetil-CoA α-glucosamida acetiltransferasa, que cataliza la acetilación de grupos amino); Tipo D (déficit de N-acetilglucosamina6-sulfatasa, que es la encargada de eliminar el grupo sulfato de C6-hidroxil de los residuos de N- acetilglucosamina)8 .




Los 4 subtipos presentan clínica muy similar y en su forma clásica se manifiestan típicamente entre los dos y siete años, siendo lo más característico la afectación a nivel del sistema nervioso central. Además, los pacientes con síndrome de Sanfilippo presentan otras manifestaciones que comparten con otros tipos de MPS como la ósea, digestiva, respiratoria alta, oído y oftalmológicas, aunque todas ellas con características propias. A pesar de la gran similitud clínica entre los distintos subtipos, se han descrito diferencias demográficas y en gravedad9-11
Los pacientes con MPS tipo III-A presentan las formas más graves y tempranas y con menor supervivencia. Se ha establecido una mayor incidencia de MPS III-A en el noroeste europeo mientras que el subtipo III-B se presenta con mayor frecuencia en el suroeste europeo. En España, paradójicamente, el tipo III-A es el más frecuente con el 62% de los casos12.
Alteración del desarrollo (Tabla 1)
La afectación del sistema nervioso es la clínica predominante en la MPS III. Existe una gran variabilidad en la forma de presentación de la afectación del sistema nervioso central. Existen formas más severas o clásicas en las que la presentación de los síntomas comienza antes de los 2 años y formas más atenuadas donde la aparición es más tardía. Se han descrito tres fases: Estadio 1 (ocurre frecuentemente en la época preescolar. Se observa que manteniendo la apariencia normal presentan involución en el desarrollo y comportamiento hiperactivo. En esta época se empiezan a ver también infecciones de oído y respiratorias, así como diarreas); Estadio 2 (se observa un comportamiento destructivo, ansioso y agresivo de estos pacientes. La alteración en el sueño también es muy frecuente, afectando hasta el 90% de los pacientes, que al igual que la hiperactividad son de muy difícil control); Estadio 3 (a partir de los 3-6 años se observa una regresión intelectual, del lenguaje y motora; la pérdida total del lenguaje se da en los MPS III-A cerca de los 10 años y a los 15 en el tipo III-B. A los 20-30 años serán incapaces de caminar. Progresivamente se desarrolla un estado vegetativo con dependencia total)13-16.

Alteración ósea y de crecimiento
Las manifestaciones óseas son características en los distintos tipos de MPS. En el caso de la MPS III las manifestaciones son menos prevalentes y de menor gravedad, necesitando rara vez de intervención quirúrgica.
A nivel de miembros superiores se observa también en el síndrome de Sanfilippo una mayor incidencia de túnel carpiano. En la columna se puede observar escoliosis, aunque más leve que en otras MPS, hipoplasia de cuerpos vertebrales, pero no las alteraciones a nivel cervical que se observan en los otros grupos de MPS. Es bastante frecuente también el hallazgo de osteonecrosis de cadera. Las contracturas son frecuentes en dicho síndrome, llegando a limitar la movilidad de los pacientes. Las alteraciones del crecimiento se dan sólo en el 50% de pacientes mayores a los 12 años17.
Dismorfias
A pesar de ser menos llamativas que en los otros tipos de MPS, también se puede observar cejas prominentes, pestañas oscuras, pelo grueso, hipertricosis, dolicocefalia, labios con una morfología característica (labio inferior grueso) o alteraciones morfológicas en el cartílago auricular. Los rasgos se exageran con la edad18.
Alteraciones digestivas
Se han descrito manifestaciones gastrointestinales en forma de diarrea o estreñimiento en pacientes con MPS III. Esta sintomatología podría estar enmascarada por la clínica neurológica. En los primeros años se observa una mayor incidencia de diarrea mientras que, a medida que los pacientes evolucionan, se ve una mayor incidencia de estreñimiento. Aunque menos frecuente que en el resto de las MPS, donde son en muchas ocasiones el primer signo que aparece, en las MPS III se pueden observar visceromegalias o hernias que son más leves que en los otros tipos de MPS19,20.
Infecciones otorrinolaringológicas y de vías respiratorias
Es frecuente que en las distintas fases de la enfermedad se desarrollen infecciones, en forma de otitis media serosa. Las infecciones respiratorias altas debidas a alteraciones estructurales que se daban en otros subtipos de MPS no son tan frecuentes en el Síndrome de Sanfilippo. Con la evolución de la enfermedad son frecuentes las neumonías aspirativas que son causa de morbimortalidad21.
Alteraciones oculares y auditivas
En los pacientes con MPS III se observan, mediante retinograma, casos de retinopatía moderada o severa con degeneración pigmentaria asociada. No es característico que se observen opacidades corneales como en los otros tipos de MPS.
Los problemas en la audición son comunes en este grupo de patologías. Se trata de alteraciones en la conducción o del nervio o por una asociación de ambas. Empeoran con la frecuente asociación de infecciones recurrentes. En muchas ocasiones el nivel de déficit auditivo es difícil de evaluar por ir acompañado de deterioro cognitivo22.
Afectación cardiovascular
A pesar de que es en el síndrome de Hurler donde existen mayores indicios de patología coronaria, existen estudios en biopsias de pacientes con MPS III donde se observa una importante infiltración de GAG en tejido vascular y endomiocárdico. A nivel de ecocardiografía, a diferencia de otras MPS, no se observa gran incidencia de valvulopatía. En un estudio realizado a 20 pacientes con síndrome de Sanfilippo se observó que existía alteración estructural (ecográfica o en autopsia) en un 50% de los pacientes. De este 50% con afectación, se observó que la mayoría presentaban formas leves de alteración de la pared de carácter hipertrófico y solo en un caso se observó la presencia de valvulopatía aórtica23-24.
Alteraciones dentarias
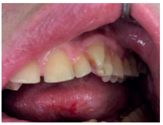
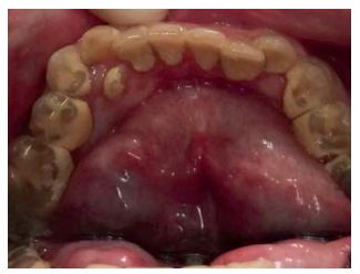
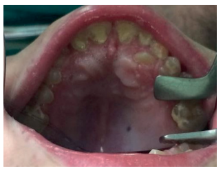
No es frecuente que estos pacientes presenten alteraciones a nivel dentario y gingival como en otros tipos de MPS, pero sí se ha observado una mayor incidencia de bruxismo. Además, pueden presentar dientes supernumerarios con la consiguiente maloclusión que, debido al deterioro del sistema nervioso central desde edades muy tempranas, no puede llevarse a cabo el control por el ortodoncista. En los casos en que, debido a inclusiones dentarias o dientes supernumerarios que provocan patología y se requiere su tratamiento quirúrgico, éste deberá llevarse a cabo bajo sedación25-27 (Figuras 6, 7 y 8).



Tratamiento sintomático
Las manifestaciones a nivel del SNC (epilepsia, sueño, alteración del comportamiento), deben ser tratadas lo antes posible mediante terapias conductuales y en última instancia, farmacológicamente.
Muchos pacientes requerirán de intervenciones para el drenaje en infecciones auditivas. El uso de audífonos en estos pacientes no suele ser bien tolerado.
Las infecciones de vías altas y bajas deberán ser investigadas y tratadas con antibióticos. Son la primera causa de mortalidad en estos pacientes en estadios neurológicos avanzados28,29.
Aunque con menor frecuencia que en otros subtipos de MPS, en el síndrome de Sanfilippo existen pacientes que deben ser tratados de deformaciones de equinos o equinovaros o de síndrome del túnel carpiano.
Los casos de osteonecrosis mandibular son frecuentes en pacientes con MPS tipo III y en algunos de los casos el diagnóstico se realiza en fases avanzadas por CBTC rutinarios, como mencionan Koehne y cols.30.
Diarrea y estreñimiento: ante la diarrea hay estudios que sugieren que dietas basadas en triglicéridos de cadena mediana pueden dar lugar a mejoría. En fases más avanzadas, donde el síntoma principal es el estreñimiento, hay que evaluar el uso de laxantes o la extracción manual para evitar el malestar de los pacientes31 .
En la tercera fase del síndrome de Sanfilippo se observa un deterioro general con tendencia a la demencia precoz. Entre las complicaciones más frecuentes está el riesgo de aspiración. Es aconsejable realizar estudios de deglución y, si fuese necesaria, la realización de una gastrostomía.
Como en otros tipos de MPS, para el uso de anestesia general y sedación hay que tomar una serie de precauciones. A pesar de que estos pacientes con MPS III raramente presentan alteraciones a nivel de la columna cervical, se ha podido demostrar que existe mayor riesgo de complicaciones con la intubación orotraqueal que con la máscara laríngea, siendo ésta aconsejable32.
Por lo tanto, se pone de manifiesto la necesidad de un tratamiento y seguimiento multidisciplinar para el control de estos pacientes, en sus diferentes etapas, debiendo establecerse, tal y como se muestra en la Tabla 2, un cronograma de revisiones por especialidades de manera rutinaria para descartar y prevenir problemas que agraven la situación clínica del paciente.

Tratamiento etiológico
Se han realizado pocos estudios sobre el trasplante de células hematopoyéticas en pacientes MPS III sin que se pueda demostrar efecto beneficioso del mismo. Se está experimentando con el uso de células del cordón umbilical con resultados prometedores33,34.
Existen tratamientos enzimáticos sustitutivos para MPS IIIA y IIIB, pero no se ha conseguido que la vía de administración endovenosa sea efectiva, puesto que no atraviesan la barrera hematoencefálica. Se han realizado estudios en modelos animales con terapia intratecal y terapia génica con resultados esperanzadores35-37.
La genisteína es una proteína inhibidora de la tirosin-quinasa necesaria para la síntesis del heparán sulfato en los fibroblastos. La disminución en su síntesis obtuvo resultados prometedores en estudios realizados en ratones38. En humanos, con dosis de 5mg/kg/día se observa una mejoría en la bajada de la incidencia de las infecciones respiratorias y de las diarreas, pero los resultados con respecto a la evolución de los síntomas cognitivos son contradictorios.
Los individuos con síndrome de Sanfilippo normalmente tienen los labios más gruesos y una lengua grande. Las encías suelen presentar un alto grado de queratinización, pero debido a la dificultad de la higiene, son susceptibles de patología periodontal. Los dientes están más distanciados, mal formados y con el esmalte frágil, lo que resulta en lesiones cariosas de diferente grado, en prácticamente todas las superficies dentales. Es muy importante tener un buen cuidado dental, ya que las caries pueden causar muchos problemas en su estado general de salud y el dolor puede pasar desapercibido por la falta de comunicación.
El papel del cuidador principal es de suma importancia, pues debe limpiar y cepillar los dientes regularmente y aplicar de manera conjunta colutorios o geles de flúor, así como revisar periódicamente la cavidad oral y acudir a las citas de revisiones con el odontólogo especialista.
Es importante tratar la infección odontogénica, ya que estos pacientes son más propensos a sufrir septicemias y en alguna ocasión puede provocarse una endocarditis. Si hubiera que extraer algún diente, se aconseja realizarlo en el hospital bajo el cuidado de un anestesista y odontólogo con experiencia, nunca en un consultorio convencional.
La falta de colaboración y riesgo de atragantamiento hace imprescindible la realización de cualquier tratamiento dental bajo sedación, quedando la anestesia general descartada por riesgo debido a la difícil intubación de estos pacientes39,40.
En estos pacientes es de vital importancia mantener una posición de la cabeza lo más hiperextendida, para mantener permeable la vía aérea y, siempre que sea posible, evitar la irrigación profusa de instrumentos rotatorios, siendo ideal los instrumentos de baja velocidad39,40.
Cuando comienzan el recambio dentario, se debe mantener continuas revisiones odontológicas, puesto que en estos casos existen problemas para la exfoliación de los dientes deciduos. Se pueden encontrar dientes supernumerarios e inclusiones dentarias, que serán extraídos por un especialista en quirófano bajo sedación profunda, debido a la alteración cognoscitiva importante que suelen presentar y/o hiperactividad en fases intermitentes39 (Figuras 9, 10 y 11).



En el trabajo publicado sobre alteraciones dentofaciales de Drazewski y cols.41 concluyeron que las dimensiones intermaxilares no fueron estadísticamente diferentes entre los tipos de MPS. Sin embargo, la altura y la longitud de la mandíbula fueron claramente menores en MPS I en comparación con MPS II y MPS III. Esto se asoció con la reabsorción progresiva de los cóndilos mandibulares en MPS I, que también se observó en MPS II y VI, pero no en MPS III o IVa. En cambio, la anchura mandibular fue significativamente menor en los individuos con MPS I, siendo el grupo que presentaba menor bruxismo. Debido a la parafunción, sumado a la hiperactividad de movimientos involuntarios de estos pacientes, se producen fracturas y desgastes de las superficies dentarias que pueden erosionar la mucosa oral, por lo que deben pulirse las superficies afectadas de manera meticulosa y, en casos extremos, convendría realizar la extracción dentaria.
Se debe prestar especial atención a los trastornos cardiológicos y, en consenso con su médico, se deberá pautar profilaxis de endocarditis sólo si aparecen alteraciones valvulares, como en el caso de hipertrofias valvulares, atresias valvulares o infecciones del tejido cardiaco. El tratamiento de elección será pautar 2g de amoxicilina 1 hora antes de la intervención, y en el caso de los alérgicos a la penicilina, 600mg de clindamicina 1 hora antes38.
En los casos más avanzados resulta muy complicado realizar la exploración radiológica de manera convencional, por lo que se puede optar por TC, donde el paciente es acomodado utilizando posicionadores específicos, e incluso proceder a la sedación en ámbito hospitalario.
A modo de conclusión, en pacientes con síndrome de Sanfilippo, las revisiones por el odontólogo son, si cabe, más importantes que en el resto de la población y deben ser rigurosas, sobre todo en los primeros años, antes del deterioro del sistema nervioso central, para poder tratar y planificar las pautas de tratamiento futuro.
Buhrman D, Thakkar K, Poe M, Escolar ML. Natural history of Sanfilippo syndrome type A. J Inherit Metab Dis 2014. 37(3): 431-7.
Sanfilippo S, Podosin R, Langer LO, Good RA. Mental retardation associated with acid mucopolysacchariduria (heparitin sulfate type). J Pediat 1963; 63: 837-8.
Delgadillo V, O’Callaghan MDM, Gort L, Coll MJ, Pineda M. Natural history of Sanfilippo síndrome in Spain. Orphanet J Rare Dis 2013; 8: 189.
Yubero D, Montero R, O’Callaghan M, y cols. Coenzyme Q10 and Pyridoxal Phosphate Deficiency is a common feature in Mucopolysaccharidosis Type III. J Inherit Metab Dis 2016; 25: 11-7.
Bonanni P, Volzone A, Randazzo G, y cols. Nocturnal frontal lobe epilepsy in mucopolysaccharidosis. Brain Dev 2014; 10-13.
De Ruijter J, Maas M, Janssen A, Wijburg FA. High prevalence of femoral head necrosis in Mucopolysaccharidosis type III (Sanfilippo disease): a national, observational, cross-sectional study. Mol Genet Metab 2013; 109: 49-53.
De Ruijter J, Broere L, Mulder MF, y cols. Growth in patients with mucopolysaccharidosis type III (Sanfilippo disease). J Inherit Metab Dis 2013.
Delaney KA, Rudser KR, Yund BD, Whitley CB, Haslett PAJ, Shapiro EG. Methods of Neurodevelopmental Assessment in Children with Neurodegenerative Disease: Sanfilippo Syndrome. JIMD Rep 2014; 13:129-37.
De Ruijter J, Ijlst L, Kulik W, y cols. Heparan sulfate derived disaccharides in plasma and total urinary excretion of glycosaminoglycans correlate with disease severity in Sanfilippo disease. J Inherit Metab Dis 2013; 36: 271-9.
Carvallo P. Conceptos sobre genética humana para la comprensión e interpretación de las mutaciones en cáncer y otras patologías hereditarias. Rev Med Clin Condes 2017; 28: 531-7.
Angelis A, Tordrup D, Kanavos P. Socioeconomic burden of rare diseases: A systematic review of cost of illness evidence. Health Policy 2015; 119: 964- 79.
Simoens S. Pricing and reimbursement of orphan drugs: the need for more transparency. Orphanet J Rare Dis 2011; 6: 42-4.
Pérez-López J, Ceberio-Hualde L, GarcíaMorillo JS, y cols. Proceso de transición de la asistencia peiátrica a la adulta en pacientes con errores congénitos del metabolismo. Documento de consenso. Med Cin 2016; 147: 1-7.
Archer LD, Langford-Smith KJ, Bigger BW, Fildes JE. Mucopolysaccharide diseases: a complex interplay between neuroinflammation, microglial activation and adaptive immunity. J Inherit Metab Dis 2014; 37: 1-12.
Ohmi K, Zhao HZ, Neufeld EF. Defects in the medial entorhinal cortex and dentate gyrus in the mouse model of Sanfilippo syndrome type B. PLoS One 2011; 6: 27-34.
Jakobkiewicz-Banecka J, Gabig-Ciminska M, Kloska A, y cols. Glycosaminoglycans and mucopolysaccharidosis type III. Front Biosci (Landmark Ed). 2016; 21: 1393- 409.
Bruyère J, Roy E, Ausseil J, y cols. Heparan sulfate saccharides modify focal adhesions: implication in mucopolysaccharidosis neuropathophysiology. J Mol Biol 2015; 427: 775-91.
Martins C, Hůlková H, Dridi L, y cols. Neuroinflammation, mitochondrial defects and neurodegeneration in mucopolysaccharidosis III type C mouse model. Brain 2015; 138: 336-55.
Andrade F, Llarena M, Aldámiz-Echevarría L, de las Heras J, Sanjurjo P. Síndrome de Sanfilippo. En: Sanjurjo P, Baldellou A, eds. Diagnóstico y tratamiento de las enfermedades metabólicas hereditarias. 4ª Ed. Madrid: Ergon; 2014. Capítulo 62; p. 889-94.
Civallero G, Bender F, Gomes A, y cols. Reliable detection of mucopolysacchariduria in dried-urine filter paper samples. Clin Chim Acta 2013; 415: 334-6.
De Ruijter J, Ijlst L, Kulik W, van Lenthe H, Wagemans T, van Vlies N. Heparan sulfate derived disaccharides in plasma and total urinary excretion of glycosaminoglycans correlate with disease severity in Sanfilippo disease. J Inherit Metab Dis 2013; 36: 271-9.
Lawrence R, Brown JR, Lorey F, Dickson PI, Crawford BE, Esko JD. Glycan-based biomarkers for mucopolysaccharidoses. Mol Genet Metab 2014; 111: 73-83
Civallero G, De Mari J, Viapiana Camelier M, Burin M, Giugliani R. Assay of heparan-Nsulfamidase in dried leukocytes impregnated in filter paper: a new tool for the identification of mucopolisaccharidosis IIIA and potentially other lysosomal disorders. Mol Genet Metab 2013; 108: 267-8.
Wolfe BJ, Ghomashchi F, Kim T, y cols. New substrates and enzyme assays for the detection of mucopolysaccharidosis III (Sanfilippo Syndrome) types A, B, C, and D by tandem mass spectrometry. Bioconjug Chem 2012; 23: 557-64.
Aguirre Rodríguez FJ, AldámizEchevarría AL, Dalmau Serra J, y cols. Guía clínica de la mucopolisacaridosis tipo I (MPS I). Acta Pediatr Esp 2014; 72: S1-S20.
Andrade F, Aldámiz-Echevarría L, Llarena M, Couce ML. Sanfilippo syndrome: Overall review. Pediatr Int 2015; 57: 331-8.
Mahon LV, Lomax M, Grant S, Cross E, Hare DJ, Wraith JE. Assessment of sleep in children with mucopolysaccharidosis type III. PLoS One 2014; 9: 84-92.
Matalonga L, Arias A, Coll MJ, GarciaVilloria J, Gort L, Ribes A. Treatment effect of coenzyme Q10 and an antioxidant cocktail in fibroblasts of patients with Sanfilippo disease. J Inherit Metab Dis 2014; 37: 439-46.
Haurigot V, Marcó S, Ribera A, Garcia M, Ruzo A, Villacampa P. Whole body correction of mucopolysaccharidosis IIIA by intracerebrospinal fluid gene therapy. J Clin Invest 2013; 8: 3254-71.
Koehne T, Köhn A, Friedrich RE, y cols. Differences in maxillomandibular morphology among patients with mucopolysaccharidoses I, II, III, IV and VI: a retrospective MRI study. Clin Oral Investig 2018; 22: 1541-9.
Valayannopoulos V, Wijburg FA. Therapy for the mucopolysaccharidoses. Rheumatology 2011; 50: 49-59.
Scarpa M, Orchard PJ, Schulz A, y cols. Treatment of brain disease in the mucopolysaccharidoses. Mol Genet Metab 2017; 122S: 25-34.
Zaffanello M, Antoniazzi F, Tenero L, Nosetti L, Piazza M, Piacentini G. Sleepdisordered breathing in paediatric setting: existing and upcoming of the genetic disorders. Ann Transl Med 2018; 6: 343.
Tardieu M, Zérah M, Husson B, de Bournonville S, Deiva K, Adamsbaum C. Intracerebral administration of adenoassociated viral vector serotype rh.10 carrying human SGSH and SUMF1 cDNAs in children with mucopolysaccharidosis type IIIA disease: results of a phase I/II trial. Hum Gene Ther 2014; 25: 506-16.
Hocquemiller M, Hemsley KM, Douglass ML, Tamang SJ, Neumann D, King BM y cols. AAVrh10 vector corrects disease pathology in MPS IIIA mice and achieves widespread distribution of SGSH in large animal brains. Mol Ther Methods Clin Dev. 2020; 17: 174-87.
Gray AL, O’Leary C, Liao A, Agúndez L, Youshani AS, Gleitz HF y cols. An improved adeno-associated virus vector for neurological correction of mouse model of mucopolysaccharidosis IIIA. Hum Gene Ther. 2019; 30(9): 1052-66.
King B, Marshall NR, Hassiotis S, Trim PJ, Tucker J, Hattersley K y cols. Slow, continuous enzyme replacement via spinal CSF in dogs with the pediatriconset neurodegenerative disease MPS IIIA. J Inherit Metab Dis. 2017; 40(3): 443- 53.
Mellara Tde S, Azevedo DT, Faria G, Nelson Filho P, Queiroz AM, Brentegani LG. Dental Findings and Management in a Mucopolysaccharidosis Type IIIB Patient. J Dent Child (Chic) 2012; 79: 176-80.
McGovern E, Owens L, Nunn J, Bolas A, Meara AO, Fleming P. Oral features and dental health in Hurler Syndrome following hematopoietic stem cell transplantation. Int J Paediatr Dent 2010; 20: 322-9.
Al-Abdallah M, AlHadidi A, Hammad M, Al-Ahmad H, Saleh R. Prevalence and distribution of dental anomalies: a comparison between maxillary and mandibular tooth agenesis. Am J Orthod Dentofacial Orthop 2015; 148: 793-8.
Drazewski D, Grzymisławska M, Korybalska K, Czepulis N, Grzymisławski M, Witowski J, Surdacka A. Oral Health Status of Patients with Lysosomal Storage Diseases in Poland. Int J Environ Res Public Health. 2017; 14 (3): 281-91.
Shapiro EG, Nestrasil I, Delaney KA, Rudser K, Kovac V, Nair N y cols. A prospective natural history study of mucopolysaccharidosis type IIIA. J Pediatr. 2016; 170: 278-87.

Ruiz Sáenz, Pedro Luis
Unidad de Estomatología, Hospital Central de la Cruz Roja, Madrid.
López Rodríguez, Mónica A.
Unidad de Enfermedades Sistémicas y Minoritarias, Servicio de Medicina Interna, Hospital Ramón y Cajal, Madrid.
García Corbatón, Óscar
Servicio de Anestesiología y Reanimación, Hospital Central de la Cruz Roja, Madrid.
Martínez Rodríguez, Natalia
Profesora asociada. Facultad de Odontología. Universidad Alfonso X el Sabio.
Meniz García, Cristina
Profesora contratada doctor. Facultad de Odontología. Universidad Complutense de Madrid.
Martínez González, José Mª
Profesor titular de Cirugía Bucal y Maxilofacial. Facultad de Odontología. Universidad Complutense de Madrid.













