Caso clínico
Sánchez-Labrador Martínez de Morentin L, Domínguez Marsal B, Cortés-Bretón Brinkmann J, Barona-Dorado C, Martínez-González J M. Autotrasplante de un tercer molar superior para reposición de un primer molar superior: a propósito de un caso clínico. Cient. Dent. 2022; 19; 1; 7-15
Autotrasplante de un tercer molar superior para reposición de un primer molar superior: a propósito de un caso clínico
Introducción: el desarrollo de los implantes dentales ha hecho que los autotrasplantes se realicen con menor frecuencia, pese a sus altas tasas de éxito y de suponer una alternativa terapéutica que permite la realización de rehabilitaciones naturales, funcionales y estéticas.
Caso clínico: se presenta el caso de un varón de 28 años, que acudió a consulta por la presencia de unos restos radiculares en localización de primer molar superior izquierdo. Se realizó un autotrasplante dental, siendo el diente donante el tercer molar superior izquierdo, que se trasplantó al alveolo del primer molar, mostrando buena evolución clínica y radiográfi ca.
Discusión: existen diferentes alternativas terapéuticas para reponer los dientes ausentes, dentro de las cuáles se encuentran los autotrasplantes, con altas tasas de éxito en dientes con ápices abiertos y cerrados. Los dientes más frecuentemente trasplantados son los terceros molares, como se muestra en el presente caso clínico, sugiriéndose como una opción más, que deben tener en cuenta profesionales y pacientes.
Conclusiones: aunque los autotrasplantes tienen indicaciones más limitadas, suponen un menor coste para los pacientes, y una restauración más simple para el profesional. Además, sufren micromovimientos, consiguiendo una armonía oclusal en relación a los dientes adyacentes, presentando una alta tasa de éxito.
Introduction: dental autotransplants are not performed frequently due to dental implant development, although their acceptable success rates, and being a therapeutic option which allows natural, functional and aesthetic restorations.
Clinical case: a clinical case of a 28-yearold man is presented, who went to dental clinic for removal of left fi rst molar roots. An autotransplant was performed using left third molar as donor tooth, which was transplanted into fi rst molar alveolus, showing promising clinical and radiographic evolution.
Discussion: there are different therapeutic alternatives to restore missing teeth, being one of them dental autotransplants, with acceptable success rates in teeth with both opened and closed apexes. Third molars are the most frequently tooth being transplanted, as shown in this clinical case, being suggested as another option, important for professionals and patients.
Conclusion: althouth autotransplants´ indications are more limited, they are more economical, and are simpler to be restored. Besides, they suffer micromovements, having an occlusal harmony in relation to adjacent teeth, with high success rates.
Las opciones terapéuticas más comunes para restaurar dientes ausentes son prótesis fijas dentosoportadas, implantes dentales, prótesis removibles, autotrasplantes dentales y tratamiento ortodóncico para cierre de espacios1,2. Sin embargo, debido al desarrollo de los implantes dentales3 , los autotrasplantes, aún siendo una alternativa efectiva, no son un tratamiento muy popular1,2, aunque son la única alternativa que permite una rehabilitación natural, funcional y estética4 .
Un autotrasplante se define como el trasplante de un diente retenido o erupcionado de su posición original en la boca a un alveolo donde se realiza una extracción o a localizaciones preparadas quirúrgicamente en la misma persona4-6.
Las indicaciones de los autotrasplantes son pacientes tratados en periodos de pubertad, pacientes con dientes no restaurables que requieran extracción, y que tengan un diente donante, cuando el re-implante intencional esté indicado7 por pérdida prematura o traumática de un diente, pérdida de dientes por tumores o ausencia congénita de dientes8 .
Se trata de una alternativa particularmente aplicable al paciente pediátrico y con dentición en desarrollo, donde otras opciones quirúrgicas no están indicadas. En este sentido, los autotrasplantes de dientes con ápices inmaduros son más favorables que aquellos realizados con ápices cerrados2 , debido a una revascularización pulpar y a un continuo desarrollo radicular, con una tasa de éxito del 95%9 . El autotransplante de dientes inmaduros, además, presenta ventajas como la propiocepción, revascularización pulpar y desarrollo radicular10.
Por otro lado, el autotrasplante de dientes con ápices cerrados puede ser exitoso si se realiza el tratamiento de conductos tras el procedimiento10, ya que es menos probable la revascularización y, además, se previene tanto la aparición de lesiones periapicales o infecciones como las reabsorciones radiculares11. Sólo consiguen una revascularización tras el trasplante un 15% de los dientes con ápice cerrado, en comparación al 96% de los dientes con ápice abierto6 .
En este sentido, también se han obtenido resultados satisfactorios en pacientes adultos8 , con tasas de supervivencia del 74-100%, variando en función del diente trasplantado y del periodo de seguimiento7 ; Boschini y cols.12 describieron tasas de supervivencia del 95% y de éxito del 80% tras 10 años de seguimiento. La revisión sistemática y meta-analisis de Machado y cols.1 obtuvo una tasa de supervivencia del 81% en dientes trasplantados, con un mínimo de seguimiento de 6 años.
Por tanto, debido a las altas tasas de éxito descritas en la literatura, el objetivo del presente caso clínico es evaluar clínica y radiográficamente la realización de un autotrasplante con el ápice cerrado, para reponer un primer molar superior izquierdo, como alternativa terapéutica a la colocación de un implante en un paciente adulto.
Se presenta un caso clínico de un varón de 28 años de edad, que acudió a consulta por presentar un dolor intenso en segundo cuadrante, asociado a la presencia de unos restos radiculares en localización del primer molar superior izquierdo (2.6).
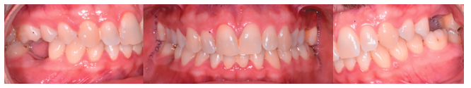
En la Historia Clínica no se evidenciaron antecedentes médico-quirúrgicos de interés, alergias medicamentosas conocidas ni hábitos nocivos. En la exploración extraoral no se apreciaron datos relevantes. En la exploración intraoral se apreciaron dientes no restaurables en posición de 2.6 y 4.6 y la presencia de los terceros molares inferiores retenidos. (Figuras 1 y 2).


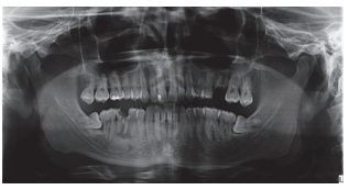
En la exploración radiográfica, mediante radiografía panorámica, se apreciaron ambos terceros molares inferiores retenidos, en posición horizontal (Figura 3), e imágenes radiolúcidas apicales en posición de 2.6 y 4.6. En el escáner de haz cónico se evaluó la morfología radicular del tercer molar superior izquierdo, y la dimensión de la lesión radiolúcida apical del primer molar superior izquierdo (Figura 4), datos necesarios para valorar el grado de adaptación del diente donante en el lecho receptor.


Se planificó la exodoncia del 4.6 y 2.6, y el legrado de los procesos apicales, y se le sugirió al paciente el autotrasplante del tercer molar superior izquierdo (2.8) para sustituir el 2.6 (Figura 5).

Tras obtener el consentimiento informado, se realizó un bloqueo anestésico mediante Articaína al 4% con adrenalina 1:100.000 (Ultracain®, Normon SL, Madrid, España) del nervio alveolar superior posterior y medio, y palatino anterior. Se realizó la extracción de forma atraumática de los restos radiculares del 2.6 y el legrado del proceso apical (Figura 6), dejando el alveolo del 2.6 preparado para recibir el autotrasplante del 2.8 (Figura 7).


Se procedió entonces a la extracción del 2.8 con fórceps (Figura 8), manipulando mínimamente el ligamento periodontal del tercer molar, colocando el tercer molar superior en la posición del primer molar superior (Figuras 9 y 10).



A continuación, se prepararon los dientes 2.5, 2.6 y 2.7 mediante grabado ácido con ácido ortofosfórico al 37% (3M Scotchbond Universal®, Minnesota, EEUU), durante 20 segundos (Figura 11). Tras el lavado abundante con agua de la superfi cie grabada, se aplicó adhesivo de autograbado (3M Scotchbond Universal®, Minnesotta, EEUU), para fi jar el alambre rígido con resina compuesta fluida (Charisma®, Kulzer, Hanau, Alemania) y resina compuesta convencional (G-aenial®, GC, Leuven, Bélgica) (Figura 12).


Tras rebajar la oclusión, se dio un punto en cruz con sutura monofilamento (Aragó®, Barcelona, España) alrededor del diente trasplantado para aumentar su fijación (Figura 13), realizándose una radiografía periapical intraoperatoria con técnica de paralelismo (Figura 14).


A los diez días se retiró la sutura, donde se apreció una buena cicatrización de los tejidos blandos (Figura 15). A las tres semanas del postoperatorio se procedió al tratamiento de conductos, observándose una correcta evolución (Figura 16).


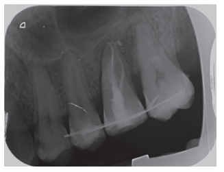
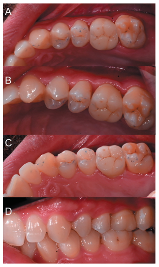
Transcurridos 2 meses se realizó una nueva revisión clínica (Figura 17) y radiográfica mediante radiografía periapical (Figura 18), procediéndose a retirar la ferulización. A los 3 meses se realizó otra revisión clínica (Figura 19) y radiográfica mediante radiografía periapical paralelizada (Figura 20), donde se puede observar una adecuada formación ósea alrededor del diente trasplantado.




A los 5 meses se talló el diente autotrasplantado en sus caras oclusal, vestibular, palatina e interproximales, para tomar después una doble impresión de silicona pesada y fluida en un paso (Elite HD®, Zhermack, Rovigo, Italia), y posteriormente pedir al laboratorio una incrustación de disilicato de litio (Figura 21).

En el laboratorio se realizó el vaciado de la impresión y el escaneado de los modelos superior e inferior mediante el escáner Idéntica T710 Medit®, para el diseño y confección de la incrustación por ordenador, mediante el software Exocad Plovdiv® (Figura 22).

Se fresó la incrustación de disilicato de litio, que se preparó en clínica mediante un grabado con ácido fl uorhídrico y silano (Ultradent®, Madrid, España) (Figura 23). Después se realizó un aislamiento absoluto de los dientes 2.5, 2.6 y 2.7 mediante dique de goma, y se preparó el diente 2.6 con ácido ortofosfórico, y adhesivo de autograbado, para después cementar la incrustación con cemento de resina de polimerización dual (3M Relyx Unicem®, Minnesotta, EEUU) (Figura 24). Tras polimerizar durante tres segun dos, se retiraron los excesos de cemento, se terminó de polimerizar y se retiró el dique de goma para ajustar la oclusión (Figura 25) y hacer una radiografía periapical paralelizada de comprobación (Figura 26).




La realización de autotrasplantes dentales, aunque es una alternativa terapéutica efi caz, no supone actualmente un tratamiento muy popular1,2, debido al desarrollo de los implantes dentales3 , pese a que suponen la única modalidad de tratamiento que permite una rehabilitación natural, funcional y estética4 .
En este sentido, los autotrasplantes son procedimientos económicos y una de las mejores opciones de reemplazo dentario cuando éstos son exitosos8,10,13. Son un 87% mas económicos en comparación con los implantes dentales14, permitiendo, además, la colocación de un implante si el autotrasplante fracasa10, asegurando el mantenimiento el hueso alveolar debido a una estimulación fi siológica del ligamento periodontal5,15. Sin embargo, la técnica es muy sensible y se necesita la presencia de un diente donante10.
Los factores de riesgo en la realización de autotrasplantes en dientes con ápice cerrado son pacientes de edad avanzada, profundidades de sondaje mayores de 4 mm, historia de tratamientos de conductos previa, dientes multirradiculares, dientes donantes con caries y ausencia de cortical vestibular16. Además, se describen otros factores que pueden infl uir en el pronóstico de estos autotrasplantes, como son la anatomía radicular, el grado de adaptación del diente donante en el lecho receptor (relacionándose un mayor grado de adaptación con un mayor porcentaje de cicatrización y éxito)13,17, la duración del procedimiento (tiempo extra-alveolar del diente trasplantado), la experiencia del cirujano (importante para realizar la extracción del diente donante lo más atraumáticamente posible), el estado de salud general del paciente y el grado de higiene oral, la existencia o no de contactos oclusales durante el periodo de cicatrización, y el momento y calidad del tratamiento de conductos del diente trasplantado8,18,19.
En este caso se realizó el tratamiento de conductos a las 3 semanas del autotrasplante, en concordancia con otros estudios publicados6,20, donde existen estudios meta-analíticos que concluyen que la realización del tratamiento de conductos a las dos semanas del autotrasplante reduce a la mitad la probabilidad de reabsorciones radiculares11.
En la literatura, la mayoría de los dientes autotrasplantados son terceros molares superiores e inferiores (73,9%), debido a que suelen ser dientes no funcionales16. En este paciente, se aprovechó la presencia de un tercer molar superior erupcionado, suponiendo de esta manera una alternativa terapéutica conservadora para un paciente joven. Tras la colocación del diente donante en el lecho receptor, se rebajó la oclusión para evitar contactos oclusales y permitir la cicatrización periodontal tras el autotrasplante, en concordancia también con la literatura6 .
Otro de los aspectos fundamentales para el éxito de los autotrasplantes se basa en el tipo y duración de la ferulización, que son variables en la literatura, coincidiendo en que se debe emplear una ferulización durante un corto periodo de tiempo para conseguir las máximas ventajas fisiológicas21. Autores como Kokai y cols.,20 opinan que cuando la ferulización se mantiene más de 4-8 semanas, se aumenta considerablemente el riesgo de anquilosis, realizando otros autores la ferulización durante únicamente dos semanas12. Por tanto, en consonancia con la literatura, en el caso presentado se mantuvo la ferulización durante 8 semanas, para evitar así el riesgo de anquilosis.
Los estudios clínicos publicados evalúan clínica y radiográficamente a los pacientes, mediante radiografías periapicales9,10,12,15,17,18 o mediante periapicales y radiografía panorámica4,13,14. En la radiografía periapical se pueden apreciar la presencia de áreas radiolúcidas, reabsorciones radiculares externas e internas, anquilosis y el estado de desarrollo radicular18, siendo fundamentales en la evolución de esta modalidad terapéutica. En el presente caso clínico se apreció de manera radiográfica un área radiolúcida alrededor del diente, que fue modificándose con el paso del tiempo, para conseguir una densidad ósea similar del hueso en contacto con el diente trasplantado, en comparación al hueso circundante. Asimismo, no se apreciaron lesiones apicales ni presencia de reabsorciones radiculares durante el tiempo de seguimiento.
Además, se obtuvo un buen resultado clínico y radiográfico, tras 5 meses de seguimiento, describiendo el paciente una buena función masticatoria y la ausencia de efectos adversos, que se describen en la literatura con una tasa del 4%, destacando entre ellos la anquilosis y la reabsorción radicular.
Es vital el seguimiento clínico y radiográfico para determinar el estado apical del autotrasplante, por lo que una de las limitaciones de esta técnica sería la realización en pacientes no colaboradores, que no estén concienciados con la necesidad de un adecuado programa de mantenimiento y revisiones2 . Autores como Tsukiboshi y cols.,7 sugieren que, en el caso de autotrasplantes que han cicatrizado correctamente, se realicen revisiones periódicas con la misma frecuencia que en el resto de dientes.
Los autotrasplantes dentales son una alternativa terapéutica con altas tasas de éxito, que puede reemplazar a los implantes dentales en casos bien seleccionados, favoreciendo la tasa de aceptación por parte del paciente, al ser un material autólogo, que favorece el desarrollo del hueso alveolar, y que no impide, además, la colocación de implantes si el autotrasplante fracasa.
Los autotrasplantes y los implantes dentales son dos técnicas quirúrgicas con idénticos objetivos. Mientras que los primeros tienen indicaciones más limitadas, requiriendo una técnica más sensible, con un menor coste económico para el paciente y una restauración más simple para el profesional, los implantes dentales carecen de capacidad eruptiva y de movimiento, no siendo recomendables en pacientes en crecimiento.
Los autotrasplantes sufren micromovimientos y consiguen armonía oclusal en relación con los dientes adyacentes, ofreciendo mejores resultados estéticos y un mejor perfil de emergencia.
Machado LA, Do Nascimento RR, Ferreira DM, Mattos CT, Vilella OV. Long-term prognosis of tooth autotransplantation: a systematic review and meta-analysis. Int J Oral Maxillofac Surg 2016; 45 (5): 610-7.
Martin K, Nathwani S, Bunyan R. Autotransplantation of teeth: an evidencebased approach. Br Dent J 2018; 224 (11): 861-4.
Abela S, Murtadha L, Bister D, Andiappan M, Kwok J. Survival probability of dental autotransplantation of 366 teeth over 34 years within a hospital setting in the United Kingdom. Eur J Orthod 2019;41 (5): 551-6.
Strbac GD, Giannis K, Mittlbock M, Furst G, Zechner W, Stavropoulos A et al. Survival rate of autotransplanted teeth after 5 years-A retrospective study. J Craniomaxillofac Surg 2017; 45 (8): 1143- 9.
Park JH, Tai K, Hayashi D. Tooth autotransplantation as a treatment option: a review. J Clin Pediatr Dent 2010; 35 (2): 129-35.
Dioguardi M, Quarta C, Sovereto D y cols. Autotransplantation of the third molar: a therapeutic alternative to the rehabilitation of a missing tooth: a scoping review. Bioengineering (Basel) 2021; 8 (9): 120.
Tsukiboshi M. Autotransplantation of teeth: requirements for predictable success. Dent Traumatol 2002; 18 (4): 157-80.
Almpani K, Papageorgiou SN, Papadopoulos MA. Autotransplantation of teeth in humans: a systematic review and meta-analysis. Clin Oral Investig 2015; 19 (6): 1157-79.
Tsukiboshi M, Yamauchi N, Tsukiboshi Y. Long-term outcomes of autotransplantation of teeth: a case series. Dent Traumatol 2019; 35 (6): 358-67.
Nagori SA, Bhutia O, Roychoudhury A, Pandey RM. Immediate autotransplantation of third molars: an experience of 57 cases. Oral Surg Oral Med Oral Pathol Oral Radiol 2014; 118 (4): 400-7.
Boschini L, Plotino G, Melillo M, Staffoli S, Grande NM. Endodontic management of an autotransplanted mandibular third molar. A simplified approach. J Am Dent Assoc 2020; 151 (3): 197-202.
Boschini L, Melillo M, Berton F. Long term survival of mature autotransplanted teeth: a retrospective single center analysis. J Dent 2020; 98: 103371.
Erdem NF, Gumuser Z. Retrospective evaluation of immediate impacted third molars autotransplantation after extractions of mandibular first and/or second molars with chronic periapical lesions. J Oral Maxillofac Surg 2021; 79 (1): 37-48.
Ong DCV, Dance GM. Posterior tooth autotransplantation: a case series. Aust Dent J 2021; 66 (1): 85-95.
Murtadha L, Kwok J. Do autotransplanted teeth require elective root canal therapy? A long term follow-up case series. J Oral Maxillofac Surg 2017; 75 (9): 1817-26.
Yoshino K, Ishizuka Y, Sugihara N y cols. Risk factors affecting third molar autotransplantation during 5 and 10 years: a retrospective clinical survey. Bull Tokyo Dent Coll 2014; 55 (2): 111-22.
Ashurko I, Vlasova I, Yaremchuk P, Bystrova O. Autotransplantation of teeth as an alternative to dental implantation. BMJ Case Rep 2020; 13 (6): e234889.
De Freitas Coutinho NB, Nunes FC, Gagno Intra JB y cols. Success, survival rate and soft tissues esthetic or tooth autotransplantation. J Endod 2021; 47 (3): 391-6.
Xia JJ, Ge ZY, Fu XH, Zhang YZ. Autotransplantation of third molars with completely formed roots to replace compromised molars with the computeraided rapid prototyping. J Esthet Restor Dent 2020; 32 (3): 265-71.
Kokai S, Kanno Z, Kolke S y cols. Retrospective study of 100 autotransplanted teet with complete root formation and subsequent orthodontic treatment. Am J Orthod Dentofacial Orthop 2015; 148: 982-9.
Armstrong L, O´Reilly C, Ahmed B. Autotransplantation of third molars: a literature review and preliminary protocols. Br Dent J 2020; 228 (4): 247- 51.

Sánchez-Labrador Martínez de Morentin, Luis
Profesor del Máster en Cirugía Bucal e Implantología Universidad Complutense de Madrid (UCM).
Domínguez Marsal, Begoña
Máster Endodoncia Avanzada Universidad Europea de Madrid (UEM), profesora Grado UEM.
Cortés-Bretón Brinkmann, Jorge
Profesor Asociado UCM.
Barona-Dorado, Cristina
Profesora Contratada Doctora UCM.
Martínez-González, José María
Profesor Titular Cirugía Maxilofacial UCM.


























