Científica Dental: abril 2021 (edición exclusiva online)
Caso clínico
Peña Cardelles J F, Asensio Acevedo R, Ortega Concepción D, Moreno Pérez J, Robles Cantero D, García Guerrero I, Gómez de Diego R. El reto del abordaje quirúrgico en la rehabilitación sobre un implante unitario en un caso de alto requerimiento estético del sector anterior. Descripción a propósito de un caso. Cient. Dent. 2021; 18; 2; 85-96
El reto del abordaje quirúrgico en la rehabilitación sobre un implante unitario en un caso de alto requerimiento estético del sector anterior. Descripción a propósito de un caso
Objetivo: Describir de forma detallada el abordaje clínico basado en la evidencia científica actual de un implante postextracción con carga y provisionalización inmediata.
Caso clínico: Se presenta el caso de una paciente mujer de 32 años de edad, que acude por presentar una posible fractura radicular del incisivo central superior izquierdo (ICSI), acompañada de la aparición de un absceso periodontal en la región del fondo de vestíbulo de dicho diente. Tras llevar a cabo la exploración clínica y radiológica, se establece que el pronóstico del ICSI es desfavorable para llevar a cabo un tratamiento conservador del mismo. Tras la valoración de las características clínicas del caso presente, el plan de tratamiento se inclinó por la realización de la exodoncia del ICSI con la colocación simultánea de un IOI postextracción y la carga inmediata con una prótesis provisional del mismo.
Conclusiones: La rehabilitación sobre implantes en situaciones de pérdida dental en el sector anterior estético y en especial, en pacientes jóvenes, requiere un plan de tratamiento multidisciplinar en cuanto a la extracción del diente y colocación del IOI en la posición tridimensional correcta, existiendo diferentes aspectos a tener en cuenta para ello, especialmente el remanente óseo residual, la posición del margen gingival, así como la preservación y acondicionamiento de los tejidos duros y blandos periimplantarios mediante injertos y un manejo correcto de una prótesis provisional hasta conseguir un perfil de emergencia y contorno gingival ideal antes de la corona definitiva
Objective: To describe in detail the clinical approach based on current scientific evidence for a post-extraction implant with immediate loading and provisionalisation.
Clinical case: We present the case of a 32-year-old female patient who presented with a possible root fracture of the upper left central incisor (ULCI), accompanied by the appearance of a periodontal abscess in the region of the bottom of the vestibule of said tooth. After carrying out the clinical and radiological examination, it is established that the ULCI prognosis is unfavourable for carrying out conservative treatment of the tooth. After assessing the clinical characteristics of the present case, the chosen treatment plan was to extract the ULCI with the simultaneous placement of a post-extraction osseointegrated implant (OII) and immediate loading of a provisional prosthesis on the implant.
Conclusions: Rehabilitation on implants in situations of tooth loss in the aesthetic anterior sector, especially in young patients, requires a multidisciplinary treatment plan in relation to tooth extraction and placement of the OII in the correct three-dimensional position. There are various aspects to be taken into account, particularly the residual remaining bone, the position of the gingival margin, as well as the preservation and conditioning of the peri-implant hard and soft tissues by means of grafts and proper handling of a provisional prosthesis until an ideal emergence profile and gingival contour is achieved before the final crown.
La biología oral cobra cierto protagonismo en el siglo XXI, ya que es necesario poner en relieve los procesos relacionados con la biología ósea, la biología de los tejidos blandos y cómo son los procesos que tienen lugar en el transcurso temporal desde la pérdida de un diente y el porvenir de los tejidos tras su sustitución con un implante dental.
Los procesos fisiológicos que tienen lugar tras la exodoncia de un diente son drásticos, pues conllevan una serie de modificaciones en los tejidos blandos y duros del complejo alveolar. Principalmente, la microvascularización de la arquitectura que rodea al diente sufre un daño y atrofia que culmina con la disminución del aporte vascular brindado por el ligamento periodontal1-4, teniendo lugar entonces una serie de procesos de reabsorción que serán argumentados a lo largo de la descripción de este caso clínico.
Con los avances en el campo de la implantología oral, se ha producido la aparición de nuevos tratamientos de superficie de los implantes osteointegrados (IOI), diferentes diseños macroscópicos y diferentes materiales. Dicho desarrollo se ha asociado a una estabilidad primaria del IOI mayor, así como un mejor pronóstico. La tendencia actual en el ámbito de la implantología ha sido una evolución desde la carga convencional del IOI a una carga inmediata, ya que el porvenir de la sociedad y de los pacientes son unas mayores exigencias funcionales y estéticas5.
Los beneficios de la carga inmediata incluyen una reducción notable de las intervenciones quirúrgicas, una menor dilatación temporal del tratamiento e incluso un mejor bienestar psicológico y social para el paciente. En casos con importante compromiso estético, la carga inmediata o la provisionalización inmediata, añadida a la colocación inmediata postextracción del IOI permiten minimizar las alteraciones derivadas de la pérdida dental, manteniendo el perfil de emergencia, contorno de tejidos blandos y las papilas gingivales5-7.
Así mismo, se han establecido diferentes protocolos para el manejo del sector estético anterosuperior, que se suman al acto de la colocación inmediata del implante y la corona provisional, donde se incluyen la colocación de un material no reabsorbible entre el IOI y la cortical vestibular para minimizar el posible colapso, así como el manejo de los tejidos blandos periimplantarios8-11.
El objetivo del presente artículo es describir de forma detallada el abordaje clínico basado en la evidencia científica actual de un implante postextracción con carga y provisionalización inmediata.
Se presenta el caso de una paciente mujer, de 32 años de edad, que acude derivada por su dentista al Máster de Cirugía Bucal e Implantología de la Universidad Rey Juan Carlos por presentar una posible fractura radicular del incisivo central superior izquierdo (ICSI), acompañada de la aparición de un absceso periodontal en la región del fondo de vestíbulo de dicho diente.
En cuanto a los antecedentes personales de la paciente, no refería alergias ni consumo de fármacos para el tratamiento de enfermedades, no presentaba antecedentes médico- quirúrgicos, y no refería hábitos tabáquicos ni alcohólicos, tratándose de una paciente ASA tipo I.
Exploración y diagnóstico
Se trata de una paciente con cierta sintomatología, con dolor en el sector anterosuperior a la masticación y que desaparece tras el uso de fármacos analgésicos tipo antiinflamatorios no esteroideos.
A nivel intraoral, se observa una línea de sonrisa media, un biotipo gingival fino, que se acompaña de recesiones gingivales a nivel del incisivo central superior derecho (ICSD), así como en dientes del primer, tercer y quinto sextante. Podemos apreciar un apiñamiento leve en la región anteroinferior y la presencia de tratamientos odontológicos múltiples como tratamientos de conductos e implantes osteointegrados (IOI).
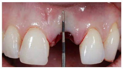
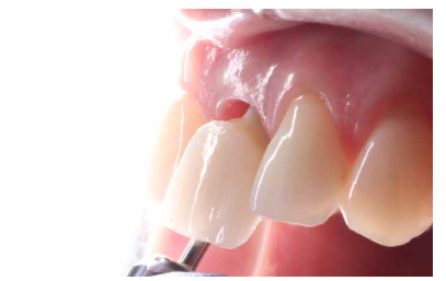
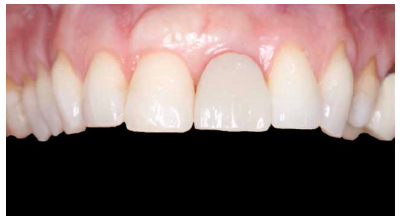
En la región del ICSI, se puede observar una mucosa eritematosa, que se acompaña de la inflamación de la región apical del diente a nivel de la encía insertada y que puede tratarse de un absceso periapical derivado de la infección de dicho diente (Figura 1). El ICSI presenta gran movilidad debido a una fractura radicular que no se puede observar a la exploración clínica.

Se llevó a cabo una exploración radiológica que incluyó una radiografía periapical y la realización de un CBCT con el fin de conocer mejor la distribución de la fractura que presentaba el ICSI. (Figura 2). En la exploración radiográfica se confirma la presencia de una fractura oblicua que comprende la región del tercio medio radicular y se extiende en sentido corono-palatino hacia la región coronal. Así mismo, se puede observar la presencia de un tratamiento de conductos dentro de la normalidad y la ausencia de tabla vestibular en la región de los dos tercios coronales de la raíz del ICSI.

explorado en CBCT. Se puede apreciar una fractura cuya extensión compromete la estructura coronal y del primer tercio coronal del incisivo.
Pronóstico
Tras llevar a cabo la exploración clínica y radiológica, se establece que el pronóstico del ICSI es desfavorable para llevar a cabo un tratamiento conservador del mismo. Tras la valoración de las características clínicas del caso presente, el plan de tratamiento se inclinó por la realización de la exodoncia del ICSI con la colocación simultánea de un IOI postextracción y la carga inmediata con una prótesis provisional del mismo.
Abordaje quirúrgico
Bajo anestesia local (articaína 4% 1:100000 adrenalina) con técnica infiltrativa a nivel del fondo de vestíbulo de la región anterior del maxilar (nervio alveolar superior anterior) y región palatina (nervio nasopalatino), se procedió a la extracción del fragmento coronal del ICSI para, posteriormente, llevar a cabo la exodoncia de la raíz del mismo (Figura 3 A). Para ello, se realizó una sindesmotomía del tejido blando circundante que permitió conocer el estado por palpación de la cortical vestibular. Tras ello, se procedió a la extracción de la raíz de forma controlada y mínimamente traumática, con una primera luxación de la misma con un botador y posterior prensión controlada con un fórceps (Figura 3B).

tejidos blandos y duros adyacentes y con sindesmotomía previa.
Se evaluó a través de la cucharilla de legrado tipo Lucas y una sonda periodontal CP12, el estado del alveolo, que se encontraba intacto en su totalidad, a excepción de la región vestibular, en la que existía un defecto en sentido coronal-apical de 4 mm (Figura 4).

Se procedió a utilizar la prótesis provisional tipo Maryland que, según la planificación previa, serviría como elemento provisional y guía quirúrgica que garantizaba la correcta posición vestíbulo-lingual del IOI, evitando así posibles problemas futuros a nivel prostodóntico o en la integridad de los tejidos blandos y duros de la región vestibular (Figuras 5A y 5B).

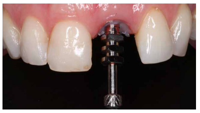
Se llevó a cabo el protocolo de fresado para la colocación del IOI a través de la guía quirúrgica y se fue comprobando en todo momento la correcta posición tridimensional del mismo (Figuras 6A, 6B y 6C).

B. Inserción del implante dental tras fresado guiado por la prótesis provisional a modo de guía quirúrgica.
C. Establecimiento manual mediante transportador del implante de la posición corono-apical ideal para la correcta evolución de la
prótesis futura, de los tejidos blandos y duros.
Se colocó el IOI (Neo AlphaBio Medical10® 3,25mm x 11mm). Éste fue ubicado a una profundidad respecto al futuro margen gingival que se precisaba conseguir de 4 mm de distancia respecto al hombro del IOI. En este caso, el margen gingival de referencia fue el del propio ICSI, ya que se encontraba intacto y sin modificaciones, mientras que en el caso del ICSD, existía una recesión gingival de 2 mm. En este proceso se tuvo en consideración la elección de un diámetro del IOI que permitiera obtener un espacio o “gap” que facilitara la reconstrucción de la cortical ósea vestibular, prestando especial atención al fenotipo gingival, con el fin de permitir también el manejo de los tejidos blandos (Figuras 7A y 7B).

Se obtuvo estabilidad primaria, logrando anclaje en el hueso residual palatino a un torque de inserción de 35 N/cm2 . Posteriormente, se procedió a la colocación de un pilar temporal protésico.
Fase protésica provisional
Antes del comienzo de la rehabilitación provisional atornillada sobre el IOI, se comprobó la correcta disposición del pilar en cuanto a la prótesis provisional. Se llevó a cabo el rebase del pilar con el provisional a través del uso de composite fluido (Figuras 8 y 9).

de color dorado para su posterior tallado y ferulización con la prótesis provisional.

Confección del perfil de emergencia
Para la realización del perfil de emergencia (PE), se determinó la posición ideal del margen ginigival que coincidiría con la disposición de la línea cervical (unión amelo-cementaria) del ICSI (Figuras 10-13B).




Manejo de los tejidos duros y blandos
En este tipo de casos, el manejo de los tejidos duros y blandos toma especial importancia.
Se llevó a cabo la preparación de la zona receptora para el abordaje mediante la técnica en sobre y túnel. Para ello, se realizó una incisión a espesor total a través de la región vestibular del alveolo resultante de la exodoncia. Esta incisión en abanico se realizó con el uso de un esclerotomo y un tunelizador. La región coronal de la incisión se realizó a espesor total, pero la región mesial y distal que comprometía la mucosa insertada del diente 22 y 11, se realizó a espesor parcial, este mismo plano se mantuvo en la región apical de la zona del ICSI.
Se procedió entonces al abordaje de la zona donante, para ello, se realizó la toma de un injerto que comprendía tejido epitelial y tejido conectivo (injerto gingival libre) de aproximadamente 2,5 mm de espesor de la región palatina del hemimaxilar izquierdo, abarcando la región premolar y molar de dicha zona. Este abordaje fue elegido por las mayores garantías en cuanto a la calidad del injerto de tejido conectivo (ITC) cuando se lleva a cabo la desepitelización del mismo fuera de boca debido al mantenimiento de la lámina propia.
Debido a la presencia de una recesión gingival de 2 mm en el ICSD, el ITC que se obtuvo fue del tamaño suficiente para abarcar la región de este diente y poder tratar dicha recesión de forma simultánea al procedimiento sobre el IOI. Se adaptó a la región receptora con sutura 5.0 de politetrafluiretileno (PTFE) con puntos de fijación en mesial y distal, lo que garantizaba la correcta vascularización del injerto (Figuras 14A, 14B, 14C).

del mismo de forma tunelizada. 14B. Detalle del injerto de tejido conectivo de origen palatino. Se puede observar la longitud del mismo que comprende tanto el alveolo del diente 2.1 así como el diente 1.1 con el fin de mejorar el biotipo gingival y disminuir la recesión gingival presente en el diente 1.1. 14C. Injerto de tejido conectivo tunelizado y fijado mediante sutura PTFE en mesial y distal. Se puede observar el volumen
perioperatorio del tejido blando.
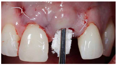
De forma posterior, con el fin de garantizar la estabilidad de los tejidos blandos y para lograr una anticipación a la remodelación de los tejidos duros que se traducirán en defectos vestibulares, se llevó a cabo una preservación ósea de la región vestibular del alveolo. Para ello, se utilizó un xenoinjerto óseo reforzado con colágeno (BioOss® Collagen, Geistlich) que se colocó en el gap entre la cortical vestibular y el propio implante. (Figura 15).

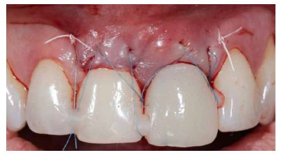
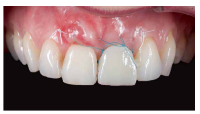
Para terminar el abordaje quirúrgico, se colocó la prótesis provisional con el PE ya confeccionado y se llevaron a cabo tres puntos de tracción coronal con anclajes de los mismos a los puntos de contacto del provisional y dientes adyacentes con sutura monofilamento 6.0 (Figura 16). En la figura 17 se muestra de forma esquematizada el orden del procedimiento en el caso presente.


Evolución
Se llevó a cabo una primera revisión del procedimiento quirúrgico a los 7 días. Se observó una correcta cicatrización inicial de los tejidos blandos y ausencia de patología infecciosa o inflamatoria (Figura 18). A los 14 días se realizó una segunda revisión en la que se retiró la sutura (Figura 19). La revisión al mes de la cirugía mostró una correcta estabilidad inicial de los tejidos blandos y duros, así como la ausencia de signos relacionados con el fracaso del procedimiento (Figura 20).

prostodóntica, 2; injerto de tejido conectivo, 3; colocación de xenoinjerto con alto contenido en colágeno, 4; sellado del alveolo postextracción y provisionalización del implante al atornillar la
prótesis correspondiente.

de la tensión de la sutura utilizada tras la ausencia de inflamación y cicatrización inicial de los tejidos blandos.

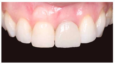
A los 4 meses se evidenció una correcta estabilidad del IOI fruto de un correcto proceso de osteointegración. Respecto a los tejidos blandos, se podía observar una disminución del volumen de la papila interdental (Figura 21). Dada la ausencia de signos y síntomas y la correcta osteointegración del IOI, se realizó la modificación del perfil subcrítico con el fin mejorar la disposición del tejido blando gingival y favorecer la recuperación de dicha papila (Figuras 22 y 23).



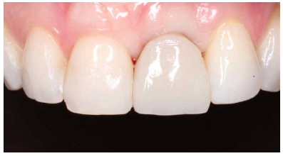
A los 6 meses se puede observar una correcta disposición de los tejidos blandos, así como la estabilidad de estos en el tiempo debido al manejo de los mismos a través de la prótesis provisional (Figura 24). Se realizó además un control radiológico para conocer el estado de los tejidos duros (Figura 25).


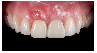
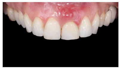
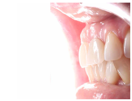
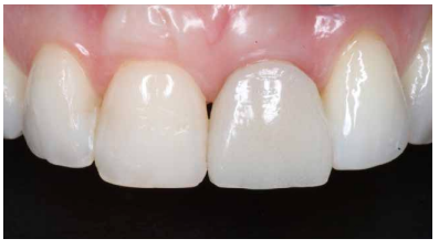
Dada la correcta evolución del caso a los 6 meses, se llevó a cabo el registro de la posición del IOI y del perfil de emergencia mediante un transfer individualizado con el fin de replicar de forma fiel y detallada la arquitectura gingival (Figuras 26 y 27). Finalmente se colocó la prótesis fija final atornillada al IOI a los 7 meses del inicio del tratamiento (Figuras 28 y 29).





La tendencia actual en el ámbito de la implantología ha sido una evolución desde la carga convencional del IOI a una carga inmediata, ya que el porvenir de la sociedad y de los pacientes son unas mayores exigencias funcionales y estéticas12,13.
Los beneficios de la carga inmediata incluyen una reducción notable de las intervenciones quirúrgicas, una menor dilatación temporal del tratamiento e incluso un mejor bienestar psicológico y social para el paciente12.
Entre los factores de éxito que influyen en la carga inmediata se encuentran la estabilidad primaria del implante, la presencia de micromovimientos, la superficie y tamaño del implante, la cantidad y calidad ósea, el torque de inserción, la oclusión, los hábitos del paciente, los factores locales y sistémicos y el tipo de rehabilitación prostodóntica12,13.
Respecto a los micromovimientos, algunos autores defienden que movimientos inferiores a 30 micras no influyen en la fase de osteointegración del IOI, también se indica que no se ve afectada negativamente en micromovimientos que lleguen a las 100 micras, e incluso, los movimientos entre 60-90 micras pueden favorecer una mayor densidad ósea en torno al IOI. Mientras que el torque de inserción del IOI debe encontrarse al menos entre 30 y 40 N/cm2. 12-14.
Estos requerimientos para la carga del implante se tornan generalmente más complejos de obtener cuando el implante se coloca en un alvéolo de forma inmediata a la extracción dental, debido a una menor presencia ósea residual. La colocación inmediata o temprana de un IOI está ampliamente avalada por la literatura, sin existir diferencias significativas durante la osteointegración. Por lo que la colocación de un implante postextracción y a su vez, la carga inmediata del mismo, suponen una reducción considerable en los tiempos de tratamiento y la obtención de una estética y función inmediata12-15.
A día de hoy, existen estudios que ponen en relieve el mayor riesgo de fracaso en implantes unitarios que se someten a carga inmediata en comparación con rehabilitaciones de múltiples implantes, aun obteniendo un torque de inserción elevado. Por lo tanto, el concepto de “carga” ha variado por el de “provisionalización”, dado que a la corona provisional se la exime por completo de función. La importancia de estas restauraciones provisionales, además de la estética inmediata, radica en el mantenimiento del perfil de emergencia similar a la anatomía previa a la extracción, así como el contorno gingival y papilas interdentarias, favoreciendo así el mantenimiento de volumen y reduciendo el colapso por la pérdida dental12-15.
Estas restauraciones, según diferentes estudios, permiten además una estabilización del coágulo que, combinado con injertos no reabsorbibles, minimizan la pérdida de la cortical de la región vestibular. La modificación del contorno crítico y subcrítico, conceptos descritos por Su y cols. en una segunda fase previa a la confección de la prótesis definitiva, permiten moldear el contorno gingival hasta conseguir una arquitectura y estética idóneas16.
Respecto a la colocación de un material de injerto en el gap entre el implante y el hueso vestibular, existen de estudios que avalan que el empleo de un injerto óseo no reabsorbible contribuye a compensar la contracción de la cresta marginal, preservando en mayor medida el contorno alveolar previo a la extracción dentaria. Un gap mayor de 2-3 mm entre el IOI y la cortical vestibular facilitaría la formación de un coágulo sanguíneo que posteriormente se diferenciaría en nuevo hueso. Estudios comparativos entre el no relleno o relleno del gap con diferentes materiales (hueso autólogo, xenoinjerto o injertos aloplásticos) han puesto en relieve diferencias significativas en cuanto a un menor colapso vestibular en los grupos de estudio en los que se respetó un gap suficiente para la formación de coágulo junto al injerto con un material no reabsorbible, como bien pueden ser materiales xenogénicos o aloplásticos basados en hidroxiapatita7,17,18-21.
Se puede resumir que los puntos esenciales a tener en cuenta para la colocación de implantes postextracción en casos estéticos son los siguientes:
Hueso residual
Es el punto clave para la colocación del IOI, que podrá ser insertado si existe hueso residual suficiente para colocarlo en la posición tridimensional correcta y protésicamente guiada. En el sector anterior el área correspondiente a la zona apico-palatina del hueso alveolar es la región de anclaje del IOI. Según Kan y cols. el 81% de los alvéolos (alvéolos clase I según la clasificación de dicho autor) tiene una cantidad de hueso suficiente ápico-palatino para colocar el implante en una posición protésica idónea22. El no tener hueso residual suficiente en la posición protésica ideal contraindica el tratamiento, y se tendría que valorar una preservación o reconstrucción alveolar con la colocación diferida del IOI7 .
Margen gingival
En casos donde exista una recesión superior a 4 mm se optará por diferir la colocación inmediata del implante, ya que esta circunstancia se acompaña de un defecto óseo de la cortical vestibular completa o casi completa, que debe ser reconstruida previamente ya que, además, suele estar presente una pérdida importante de tejido blando que disminuirá la predictibilidad del tratamiento. Autores como Da Rosa y cols. han propuesto la técnica de reconstrucción vestibular de tejido duro y blando simultánea a la colocación inmediata del IOI. Sin embargo, se trata de una técnica compleja, condicionada a la zona donante y, a día de hoy, no presenta literatura científica suficiente que permita evaluar sus resultados23.
Defectos en la cortical vestibular
Siempre y cuando los otros dos puntos sean favorables, la presencia de fenestraciones o dehiscencias en la cortical vestibular no contraindican la colocación inmediata del implante con su posterior provisionalización. En caso de defectos importantes, de más de 5mm, además del material de injerto en el gap vestibular es necesario, según diferentes estudios, interponer una membrana de colágeno nativo entre este injerto y el tejido blando para favorecer una correcta regeneración del volumen óseo vestibular y evitar la invasión de células epiteliales19,24.
Fenotipo periodontal
El conocimiento e importancia de la calidad del periodonto y por tanto, del tejido blando que rodea al diente o al implante, ha ido sufriendo una metamorfosis con el paso del tiempo. Ya algunos autores encontraron que la morfología de la corona dental y las características clínicas del periodonto tenían cierta relación25. El mismo autor ya había observado con anterioridad que ciertas formas de la corona clínica tenían íntima relación con la aparición de recesiones gingivales, sobre todo en aquellos casos cuya corona coincidía con un aspecto alargado y estrecho, compatible con lo que hoy sería un biotipo gingival fino25.
Sin embargo, el último workshop sobre la clasificación de las enfermedades y condiciones periodontales y periimplantarias del año 2017 ha sugerido el fenotipo periodontal (término que engloba fenotipo gingival (volumen gingival) y morfotipo óseo (grosor de la cortical vestibular ósea), como la mejor forma de evaluar los diferentes aspectos en torno al antiguo término de biotipo gingival, y es que realmente existen ciertos aspectos de la encía que no se limitan al grosor gingival, sino que el volumen óseo también será un factor determinante. En el presente caso clínico, durante el sondaje periodontal la sonda era visible, lo que nos sugiere un grosor menor de 1 mm y además, se puede observar en el estudio tomográfico un volumen de la región ósea vestibular discreto26,27.
Este aspecto periodontal ya había sido estudiado con anterioridad en una publicación de Müller y cols., en la que se indicaba que el “fenotipo gingival” respondía a la forma dental, nuevamente al biotipo gingival y al grado de queratinización de la encía28.
Una característica notable del tejido blando y que aún no se ha puesto de manifiesto de forma contundente en la literatura científica es si la presencia de un tejido con cierto grado de queratinización en torno al implante es un factor pronóstico del mismo. La evidencia clínica puede ser sugerente de ello, reflejada en estudios clínicos de los años 9028, sin embargo, revisiones sistemáticas actuales no han puesto en relieve los resultados de dichos estudios clínicos29. No obstante, y aunque debe existir un mayor estudio en profundidad de este aspecto, un estudio reciente sugiere que la presencia de más de 1 mm de encía queratinizada no es un factor significativo en la probabilidad de aparición de periimplantitis, dando el protagonismo de la aparición de esta patología a otros factores30.
Es por ello que el presente caso clínico suscita especial complejidad si se consideran los aspectos presentes respecto al fenotipo periodontal de la paciente, cuyas características suponen un correcto manejo de los tejidos blandos, valorando la colocación de un injerto de tejido conectivo de forma simultánea a la colocación del IOI, cuyo fin es evitar a largo plazo la aparición de defectos del tejido blando y por tanto, complicaciones estéticas y del propio implante que pueden acontecer en el futuro31,32.
La rehabilitación sobre implantes en situaciones de pérdida dental en el sector anterior estético y en especial, en pacientes jóvenes, requiere un plan de tratamiento multidisciplinar en cuanto a la extracción del diente y colocación del IOI en la posición tridimensional correcta, existiendo diferentes aspectos a tener en cuenta para ello, especialmente el remanente óseo residual, la posición del margen gingival, así como la preservación y acondicionamiento de los tejidos duros y blandos periimplantarios mediante injertos y un manejo correcto de una prótesis provisional, hasta conseguir un perfil de emergencia y contorno gingival ideal antes de la corona definitiva.
Araújo MG, Lindhe J. Dimensional ridge alterations following tooth extraction. An experimental study in the dog. J Clin Periodontol 2005; 32 (2): 212-8.
Araújo MG, Sukekava F, Wennström JL, Lindhe J. Ridge alterations following implant placement in fresh extraction sockets: an experimental study in the dog. J Clin Periodontol 2005; 32 (6): 645-52
Araújo MG, da Silva JCC, de Mendonça AF, Lindhe J. Ridge alterations following grafting of fresh extraction sockets in man. A randomized clinical trial. Clin Oral Implants Res 2015; 26 (4): 407-412.
Araújo MG, Sukekava F, Wennström JL, Lindhe J. Tissue modeling following implant placement in fresh extraction sockets. Clin Oral Implants Res 2006; 17 (6): 615-24.
Cheng Q, Su YY, Wang X, Chen S. Clinical Outcomes Following Immediate Loading of Single-Tooth Implants in the Esthetic Zone: A Systematic Review and Meta-Analysis. Int J Oral Maxillofac Implants 2020; 35 (1): 167-177.
Elian N, Cho SC, Froum S, Smith RB, Tarnow DP. A simplified socket classification and repair technique. Pract Proced Aesthet Dent 2007; 19 (2): 99-104.
Uribe R, Peñarrocha M, Balaguer J, Fulgueiras N. Immediate loading in oral implants. Present situation. Med Oral Patol Oral Cir Bucal 2005; 10 (2): E143-53.
Araújo M, Linder E, Wennström J, Lindhe J. The influence of Bio-Oss Collagen on healing of an extraction socket: an experimental study in the dog. Int J Periodontics Restorative Dent 2008; 28 (2): 123-35.
Araújo MG, da Silva JCC, de Mendonça AF, Lindhe J. Ridge alterations following grafting of fresh extraction sockets in man. A randomized clinical trial. Clin Oral Implants Res 2015; 26 (4): 407-412.
Sanz M, Lindhe J, Alcaraz J, SanzSanchez I, Cecchinato D. The effect of placing a bone replacement graft in the gap at immediately placed implants: a randomized clinical trial. Clin Oral Implants Res 2017; 28 (8): 902-910.
Chen ST, Buser D. Clinical and esthetic outcomes of implants placed in postextraction sites. Int J Oral Maxillofac Implants 2009; 24: 186-217.
Higginbottom F, Belser R, D. Jones J, E. Keith S. Prosthetic management of implants the esthetic zone. Int. J. Oral Maxillofac Implants 2004; 19: 62-72.
Al-Sabbagh M. Implants in the Esthetic Zone. Dent Clin N Am 2006; 50: 391–407.
Buser et al. Optimizing esthetics for implant restorations in the anterior maxilla: anatomic and surgical considerations. Int. J. Oral Maxillofac Implants 2004; 19: 43-61.
Buser D, Chappuis V, Belser UC, Chen S. Implant placement post extraction in esthetic single tooth sites: when immediate, when early, when late? Periodontol 2000 2017; 73 (1): 84-102.
Su H, González-Martin O, Weisgold A, Lee E. Considerations of implant abutment and Crown contour: Critical contour and subcritical contour. Int J Periodontics Restorative Dent 2010; 30: 335-343
Strub JR Jurdzik BA, Tuna T. Prognosis of immediately loaded implants and their restorations: a systematic literature review. J Oral Rehabil 2012; 39 (9): 704-17.
Araújo M, Linder E, Wennström J, Lindhe J. The influence of Bio-Oss Collagen on healing of an extraction socket: an experimental study in the dog. Int J Periodontics Restorative Dent. 2008; 28 (2): 123-35
Noelken R, Geier J, Kunkel M, Jepsen S, Wagner W. Influence of soft tissue grafting, orofacial implant position, and angulation on facial hard and soft tissue thickness at immediately inserted and provisionalized implants in the anterior maxilla. Clin Implant Dent Relat Res 2018; 20 (5): 674-682.
Zurh O et al. Clinical Benefits of the Immediate Implant Socket Shield Technique. J of Esthet Restor Dent 2017; 29 (2): 93-101.
Fu JH et al. Influence of tissue biotye on implant esthetics Int. J Oral Maxillofac Implants 2011; 26: 499-508.
Kan JY, Roe P, Rungcharassaeng K, Patel RD, Waki T, Lozada JL, Zimmerman G. Classification of sagittal root position in relation to the anterior maxillary osseous housing for immediate implant placement: a cone beam computed tomography study. Int J Oral Maxillofac Implants 2011; 26 (4): 873-6.
Martins-da Rosa JC, de Oliveira-Rosa AC, Fadanelli MA, Sotto-Maior B. Immediate implant placement, reconstruction of compromised sockets, and repair of gingival recession with a triple graft from themaxillary tuberosity: A variation of the immediate dentoalveolar restoration technique. Prosthet Dent 2014; 112: 717-722.
Influence of tissue biotye on implant esthetics Int. J Oral Maxillofac Implants 2011; 26: 499-508.
Olsson M, Lindhe J, Marinello CP. On the relationship between crown form and clinical features of the gingiva in adolescents. J Clin Periodontol 1993; 20 (8): 570-7.
Chapple ILC, Mealey BL, Van Dyke TE, Bartold PM, Dommisch H, Eickholz P y cols. Periodontal health and gingival diseases and conditions on an intact and a reduced periodontium: Consensus report of workgroup 1 of the 2017 World Workshop on the Classification of Periodontal and Peri-Implant Diseases and Conditions. J Periodontol 2018; 89 (1): S74-S84.
Papapanou PN, Sanz M, Buduneli N, Dietrich T, Feres M, Fine DH y cols. Periodontitis: Consensus report of workgroup 2 of the 2017 World Workshop on the Classification of Periodontal and Peri-Implant Diseases and Conditions. J Clin Periodontol 2018; 45 (20): S162-S170.
Müller HP, Eger T. Gingival phenotypes in young male adults. J Clin Periodontol 1997; 24 (1): 65-71.
Wennstrom JL, Derks J. Is there a need for keratinized mucosa around implants to maintain health and tissue stability? Clin Oral Implants Res 2012: 23: 136–146.
Vignoletti F, Di Domenico GL, Di Martino M, Montero E, de Sanctis M. Prevalence and risk indicators of peri-implantitis in a sample of university-based dental patients in Italy: A cross-sectional study. J Clin Periodontol 2019; 46 (5): 597-605.
Thoma DS, Mühlemann S, Jung RE. Critical soft-tissue dimensions with dental implants and treatment concepts. Periodontol 2000 2014; 66 (1): 106-18.
Bassetti RG, Stähli A, Bassetti MA, Sculean A. Soft tissue augmentation around osseointegrated and uncovered dental implants: a systematic review. Clin Oral Investig 2017; 21 (1): 53-70.

Peña Cardelles, Juan Francisco
Profesor del Máster en Cirugía Bucal e Implantología, Universidad Rey Juan Carlos.
Asensio Acevedo, Ramón
Máster en Cirugía Bucal e Implantología, Universidad Rey Juan Carlos.
Ortega Concepción, Daniel
Profesor del Máster en Cirugía Bucal e Implantología, Universidad Rey Juan Carlos.
Moreno Pérez, Jesús
Profesor del Máster en Cirugía Bucal e Implantología, Universidad Rey Juan Carlos.
Robles Cantero, Daniel
Profesor del Máster en Cirugía Bucal e Implantología, Universidad Rey Juan Carlos.
García Guerrero, Iván
Profesor del Máster en Cirugía Bucal e Implantología, Universidad Rey Juan Carlos.
Gómez de Diego, Rafael
Profesor del Máster en Cirugía Bucal e Implantología, Universidad Rey Juan Carlos.
Indexada en / Indexed in: – IME – IBECS – LATINDEX – GOOGLE ACADÉMICO






























