Caso clínico
Anitua E. Injerto en bloque en combinación con la técnica de split en dos fases para la rehabilitación de un caso de gran reabsorción ósea del maxilar en anchura. Cient. Dent. 2022; 19; 2; 103-111
Injerto en bloque en combinación con la técnica de split en dos fases para la rehabilitación de un caso de gran reabsorción ósea del maxilar en anchura
El uso de diferentes técnicas quirúrgicas para lograr la resolución de los casos con atrofia más complejos es de vital importancia. Cada vez tenemos en la consulta casos con edentulismos de mayor duración que demandan tratamiento implantológico con prótesis fija, lo que supone un reto a la hora de planificar y llevar a cabo los tratamientos. Para ello, podemos utilizar diferentes técnicas que nos permitan ganar anchura y altura, así como implantes de distintas longitudes y diámetros que nos permitan adaptarnos a cada situación. En el presente caso clínico mostramos una rehabilitación que combina diferentes técnicas quirúrgicas para lograr el resultado buscado.
The use of different surgical techniques to achieve the resolution of the most complex cases with atrophy is of vital importance. We have more and more cases with edentulism of longer duration that require implant treatment with fixed prosthesis, which is a challenge when it comes to planning and carrying out the treatments. For this, we can use different techniques that allow us to gain width and height as well as implants of different lengths and diameters that allow us to adapt to each situation. In this clinical case we show a rehabilitation that combines different surgical techniques to achieve the desired result.
Cada vez con mayor frecuencia, los pacientes con edentulismo de larga evolución, portadores de prótesis completas acuden a la consulta dental demandando tratamiento implantológico. La era digital, las redes sociales y el acceso de los pacientes a la información clínica en odontología, hace que los últimos avances en rehabilitación de maxilar y mandíbula extremadamente atróficos lleguen a los pacientes y demanden una solución a su situación, que pensaban que no podía ser corregida de otra forma que con las prótesis removibles1-4. Por ello, los pacientes en ocasiones nos demandan tratamientos implantológicos en casos de gran complejidad que hacen que tengamos que utilizar todas las herramientas quirúrgicas y protésicas a nuestro alcance para poder solventarlos5 . Cuando nos enfrentamos a una reabsorción severa en sentido horizontal, tanto en maxilar como en mandíbula, existen diferentes técnicas que nos ayudan a recuperar el volumen óseo perdido para posteriormente insertar implantes dentales6-7 . Cada una de las técnicas tiene sus indicaciones y pueden, en ocasiones, en un mismo paciente necesitarse varias de estas técnicas para llegar a lograr una regeneración del volumen óseo perdido, ya que existen variaciones sustanciales en cuanto a la calidad y cantidad de volumen óseo dentro de un mismo arco de un mismo paciente, así como zonas donde además de anchura se han perdido completa o parcialmente las tablas óseas, lo que cambia el enfoque de la técnica a emplear6-9 .
Por lo general, cuando existe una anchura ósea reducida (por debajo de 3 mm de cresta residual) que no permite la inserción directa del implante podemos optar por una expansión o Split de cresta, en una o dos fases, siempre que se encuentren disponibles las dos tablas óseas y exista entre ambas un hueso particulado que permita la separación entre las mismas insertando el implante definitivo o el implante expansor10-14. Cuando alguna de las dos tablas óseas se encuentra ausente, en ese caso, la recomendación será la de utilizar injertos en bloque o regeneraciones óseas guiadas13-14. Ambas técnicas se encuentran ampliamente documentadas15, y la selección entre uno y otro procedimiento se basa principalmente en la disponibilidad de hueso autólogo para la realización de una cirugía de bloques, y la habilidad del operador para la realización de la técnica, debido a que el empleo de bloques necesita de una curva de aprendizaje mayor pudiéndose generar más complicaciones en su obtención, manipulación y cicatrización, ya que es una técnica de mayor dificultad técnica. A pesar de todo esto, si se utilizan protocolos cuidadosos para la obtención del injerto, y se realiza una técnica de colocación cuidadosa, prestando especial atención a los tejidos blandos, hoy en día, puede realizarse sin mayor índice de complicaciones que la técnica de regeneración ósea, sobre todo cuando se emplea como zona donante el área intraoral y se maximiza el hueso obtenido dividiendo el bloque tal como describió Khoury16-18 .
En el siguiente caso clínico, se muestra una situación donde han sido necesarios distintos procedimientos para rehabilitar el maxilar con una extrema pérdida ósea en anchura, en función de cada una de las zonas a tratar, individualizando el tipo de tratamiento según las características del lecho óseo remanente.
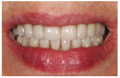
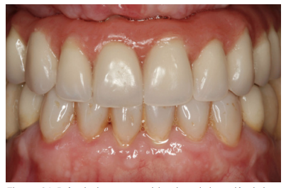
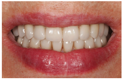
Se presenta el caso clínico de una paciente femenina de 56 años, portadora de una prótesis removible completa superior y una parcial inferior desde hace más de 20 años. Acude a la consulta demandando una rehabilitación sobre implantes que sustituyan sus prótesis actuales para mejorar su función masticatoria. En la exploración intraoral podemos observar unas prótesis que cumplen de forma bastante satisfactoria los requerimientos estéticos de la paciente, pero según ella relata, tienen movilidad a la hora de masticar. Al retirar las prótesis se observa un reborde edéntulo maxilar con una reabsorción centrípeta evidente que ha dejado la situación de partida cercana a la de una clase III esquelética (Figuras 1 y 2).

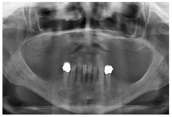
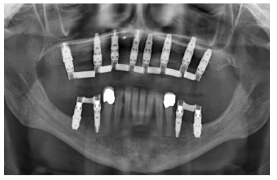
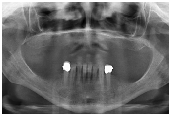
Para iniciar la fase de diagnóstico se realiza una radiografía panorámica que nos de una idea del estado general de ambos maxilares para iniciar el plan de tratamiento. En ella se ve como existe aparentemente altura en el reborde maxilar tanto a nivel anterior como posterior y un nervio dentario bajo en la mandíbula que nos permite tener una mayor cresta ósea residual disponible para la inserción de los implantes (Figura 3).

Posteriormente, se procede a la realización de un Cone-beam dental que ofrece una visión más exacta del tipo de rehabilitación implantológica que se pueda plantear. En los cortes correspondientes al maxilar superior, se observan zonas donde puede realizarse la inserción directa de los implantes como las correspondientes a 16 y la zona del incisivo central de este cuadrante (Figuras 4-5) o en el segundo cuadrante el área de 27. En cambio, en la zona correspondiente a los dientes 21 y 23 existe una atrofia horizontal importante, con una anchura ósea residual de aproximadamente 3,5 mm en la zona media de la cresta, con una ampliación en el área más basal de la misma y conservación de ambas corticales. Esto hace que se opte por una técnica de Split de cresta, en este caso en dos fases para poder lograr una mayor anchura final y corregir la inclinación del implante final todo lo posible para lograr una estética en la prótesis final adecuada (Figura 6).

suficiente volumen óseo en anchura y altura para la inserción directa de un implante en esta posición.


En las zonas correspondientes a los dientes 11 y 13 la atrofia horizontal es todavía más marcada. No existe hueso trabecular separando las dos corticales (vestibular y palatina) y la anchura es menor a 2 mm en algunas zonas lo que hace que en esta área se planifiquen injertos en bloque. En la mandíbula se planifican implantes cortos mediante inserción directa, y la zona correspondiente a la rama mandibular será el área donante para los injertos en bloque.
Una vez planificado el caso se procede a la cirugía de inserción de los implantes inferiores, superiores y las diferentes técnicas de aumento de volumen óseo descrito. Se comienza por la cirugía mandibular para obtener hueso autólogo obtenido del fresado que será conservado durante toda la cirugía en PRGF-Endoret fracción 2 sin activar, para ser utilizado en el maxilar donde será necesario para los injertos en bloque, según la técnica descrita por nuestro grupo de estudio19 (Figuras 7 y 8). Una vez obtenido el injerto en bloque será dividido y mantenido en PRGF-Endoret fracción 2 sin activar, para mantener su hidratación y viabilidad celular hasta su colocación según la técnica descrita por Khoury donde se utiliza la cortical del injerto en bloque como encofrado (Figuras 9 y 10)20 .


Finalizada la cirugía mandibular, se realiza la apertura del colgajo superior, donde se constata la gran atrofia en sentido horizontal que existe en determinadas localizaciones, anteriormente descritas, que precisan de la realización de injertos en bloque (Figuras 11 y 12). Se procede a la realización de la técnica de Split en dos fases (Figura 13) con la inserción de los implantes transicionales y la inserción de los implantes que podían ser colocados de forma directa. Una vez terminada la inserción de todos los implantes se fijan las corticales de los injertos en bloque, intentando ser adaptadas a la morfología residual lo mejor posible, evitando aristas que puedan dañar el tejido blando. Una vez fijadas, se rellenan los gaps con hueso autólogo particulado obtenido del fresado de los implantes inferiores, principalmente, así como hueso obtenido del raspado de la rama mandibular (Figuras 14-18).


A Y B) Inicio del fresado con el eje correcto según el lecho óseo.
C) Inserción del implante transicional.
D) Sobre-corrección vestibular una vez insertado el implante transicional.
E) Retirada del implante transicional y nuevo eje de fresado.
F) Inserción del implante definitivo.


y el hueso autólogo original mediante hueso obtenido de fresado
embebido en PRGF-Endoret fracción 2. Parte del hueso puede
ser obtenido también por raspado de la rama mandibular con un
rascador óseo.

de forma directa y las zonas de Split y colocación de implantes transicionales. En ella se ven además los tornillos de ostesíntesis de los injertos en bloque.
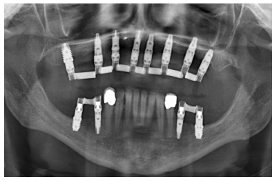
Cuatro meses después de la cirugía inicial de regeneración del maxilar se lleva a cabo un nuevo Cone-beam dental, en el que se planifica la siguiente fase de la cirugía en función de la ganancia ósea que se ha logrado con los injertos en bloque y la técnica de Split en dos fases. En las imágenes podemos observar como en las zonas de máxima atrofia, donde se colocan los bloques se ha logrado una anchura que triplica la inicial (Figuras 19 y 20). En la apertura del colgajo se observa como las imágenes del TAC de planificación se corresponden con la realidad, y además que la zona tratada mediante Split en dos fases ha logrado también una anchura de cresta que ahora permite la retirada de los implantes transicionales y la inserción de nuevos implantes en esta posición, con una mejor situación de partida y eje para la confección posterior de la prótesis (Figuras 21-22). Se procede a la inserción de los implantes y se realiza una prótesis provisional de carga progresiva apoyada en los implantes colocados en la primera fase quirúrgica. De este modo, la paciente puede tener una prótesis fija sobre implantes que servirá para ir dando forma a los provisionales en cuanto a estética y función de cara a la prótesis definitiva (Figuras 23-24).




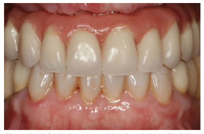
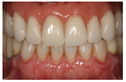
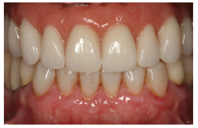
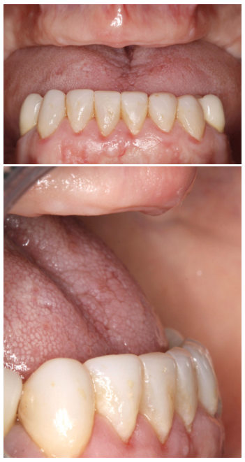
Cuatro meses después se procede a la carga de los implantes insertados en esta segunda fase quirúrgica. De nuevo se opta por unas segundas prótesis provisionales de carga progresiva, elaboradas del mismo modo que las anteriores Tres meses después la oclusión está preparada para la confección de la prótesis definitiva, por lo que se transforma la prótesis en una prótesis metal-cerámica, atornillada sobre transepitelial confeccionada mediante cad-cam (Figuras 25-26). La paciente ha recuperado la función demandada, así como la corrección de la oclusión de la prótesis completa, que presentaba una mordida cruzada lateral derecha con disminución de la dimensión vertical al inicio del tratamiento. La paciente acude a sus revisiones y el tratamiento se mantiene estable tal como se muestra en las imágenes tomadas a los 10 años de seguimiento (Figuras 27-28).




La técnica de regeneración de atrofias horizontales mediante injertos en bloque y hueso particulado, según fue descrito por Khoury en el año 200721 presenta resultados predecibles en múltiples publicaciones en las que se ha utilizado con hueso autólogo, como el caso que se ha mostrado, así como con la fusión de hueso autólogo y biomateriales en los casos donde la disponibilidad de hueso del paciente no es suficiente20. La mezcla de PRGF-Endoret con el hueso particulado mantiene la viabilidad de las células hasta el momento de su utilización en la técnica del injerto en bloque unida al injerto particulado, y mejora las propiedades de manejabilidad del mismo, al mismo tiempo que aumenta el potencial osteoinductor al incrementar las señales celulares contenidas en los factores de crecimiento plaquetarios22-25. El uso del ultrasonido para la obtención del injerto en bloque y la necesidad de una menor cantidad de profundidad del mismo, ya que posteriormente va a ser dividido para utilizarse en diferentes fragmentos hace que el volumen necesario de bloque donante sea menor y, por lo tanto, también se minimiza el riesgo de lesión nerviosa al dejar una capa de hueso bajo el injerto extraído y separando la zona donante del trayecto del nervio dentario16,18 .
Del mismo modo, la técnica de Split en dos fases, con el uso de un implante expansor transicional mantiene el espacio de la separación entre las corticales vestibular y palatina para que se forme un nuevo puente óseo entre ambas. Con ello se incrementa la anchura de la cresta residual para luego ser recambiado por otro implante de forma definitiva con la corrección del eje de inserción que nos daría una técnica de Split convencional. Estas ventajas han sido reportadas en la técnica descrita por nuestro grupo de estudio con buenos resultados14-26. Este tipo de procedimiento, en casos complejos como el que se aborda en este caso clínico, donde se van a realizar diferentes cirugías no incrementa la morbilidad en el paciente y garantiza una mejora del resultado a largo plazo, al lograr un mayor volumen óseo alrededor del implante definitivo27,28 .
Los casos complejos precisan de abordajes multidisciplinares en los que diferentes técnicas quirúrgicas puedan ser puestas en marcha y generar un resultado exitoso. La selección de la técnica quirúrgica correcta y poder ser llevada a cabo con el menor trauma posible en el paciente minimiza los riesgos de la cirugía y mejora los resultados obtenidos.
Kashbour WA, Rousseau NS, Thomason JM, Ellis JS. Provision of information on dental implant treatment: Patients’ thoughts and experiences. Clin Oral Implants Res 2018;29(3):309-19.
Apfel PS. Wisdom. N Y State Dent J 2015;81(5):10-3.
Elfadil S, Johnston B, Normand C, Allen F, O’Connell B. An investigation of the characteristics of edentulous patients who choose or refuse implant treatment. Int J Prosthodont 2021 March/ April;34(2):147–153.
Kakudate N, Yokoyama Y, Sumida F, Matsumoto Y, Riley JL 3rd, Gordan VV, Gilbert GH. Practice-based research agenda priorities selected by patients: findings from a dental practicebased research network. Int Dent J 2019;69(3):183-91.
De Groot RJ, Oomens MAEM, Forouzanfar T, Schulten EAJM. Bone augmentation followed by implant surgery in the edentulous mandible: A systematic review. J Oral Rehabil 2018;45(4):334-43.
Tolstunov L, Hamrick JFE, Broumand V, Shilo D, Rachmiel A. Bone augmentation techniques for horizontal and vertical alveolar ridge deficiency in oral implantology. Oral Maxillofac Surg Clin North Am 2019;31(2):163-91.
Elnayef B, Porta C, Suárez-López Del Amo F, Mordini L, Gargallo-Albiol J, Hernández-Alfaro F. The fate of lateral ridge augmentation: A systematic review and meta-analysis. Int J Oral Maxillofac Implants 2018;33(3):622-35.
Esposito M, Grusovin MG, Felice P, Karatzopoulos G, Worthington HV, Coulthard P. The efficacy of horizontal and vertical bone augmentation procedures for dental implants – a Cochrane systematic review. Eur J Oral Implantol 2009;2(3):167-84.
Sanz-Sánchez I, Ortiz-Vigón A, SanzMartín I, Figuero E, Sanz M. Effectiveness of lateral bone augmentation on the alveolar crest dimension: A systematic review and meta-analysis. J Dent Res 2015;94(9 Suppl):128S-42S.
Cortese A, Pantaleo G, Amato M, Claudio PP. Ridge expansion by flapless split crest and immediate implant placement: Evolution of the technique. J Craniofac Surg 2016;27(2):e123-8.
Waechter J, Leite FR, Nascimento GG, Carmo Filho LC, Faot F. The split crest technique and dental implants: a systematic review and meta-analysis. Int J Oral Maxillofac Surg 2017;46(1):116-28.
Anitua E, Begoña L, Orive G. Clinical evaluation of split-crest technique with ultrasonic bone surgery for narrow ridge expansion: status of soft and hard tissues and implant success. Clin Implant Dent Relat Res 2013;15(2):176-87.
Anitua E, Alkhraisat MH. Is Alveolar Ridge Split a Risk Factor for Implant Survival? J Oral Maxillofac Surg 2016;74(11):2182- 91.
Anitua E, Begoña L, Orive G. Two-stage split-crest technique with ultrasonic bone surgery for controlled ridge expansion: a novel modified technique. Oral Surg Oral Med Oral Pathol Oral Radiol Endod 2011;112(6):708-10.
Mendoza-Azpur G, de la Fuente A, Chavez E, Valdivia E, Khouly I. Horizontal ridge augmentation with guided bone regeneration using particulate xenogenic bone substitutes with or without autogenous block grafts: A randomized controlled trial. Clin Implant Dent Relat Res 2019;21(4):521-30.
Chappuis V, Cavusoglu Y, Buser D, von Arx T. Lateral ridge Augmentation using autogenous block grafts and guided bone regeneration: A 10-year prospective case series study. Clin Implant Dent Relat Res 2017;19(1):85-96.
Aghaloo TL, Moy PK. Which hard tissue augmentation techniques are the most successful in furnishing bony support for implant placement? Int J Oral Maxillofac Implants 2007; 22 Suppl:49-70. Erratum in: Int J Oral Maxillofac Implants 2008; 23(1):56.
Sánchez-Sánchez J, Pickert FN, Sánchez-Labrador L, GF Tresguerres F, Martínez-González JM, Meniz-García C. Horizontal ridge augmentation: A comparison between Khoury and Urban technique. Biology (Basel). 2021 5;10(8):749.
Anitua E, Carda C, Andia I. A novel drilling procedure and subsequent bone autograft preparation: a technical note. Int J Oral Maxillofac Implants. 2007; 22(1):138-45. Erratum in: Int J Oral Maxillofac Implants 2007; 22(2):309.
Khoury F, Hanser T. Mandibular bone block harvesting from the retromolar region: a 10-year prospective clinical study. Int J Oral Maxillofac Implants 2015; 30(3):688-97.
Khoury F. Mandibular bone block grafts: Diagnosis, instrumentation, harvesting, technical and surgical procedures. In Khoury F AH, Missika P (ed) Bone Augmentation in Oral Implantology, (ed. Chicago, Quintessence, 2007, p 169).
Solakoglu Ö, Heydecke G, Amiri N, Anitua E. The use of plasma rich in growth factors (PRGF) in guided tissue regeneration and guided bone regeneration. A review of histological, immunohistochemical, histomorphometrical, radiological and clinical results in humans. Ann Anat 2020; 231:151528.
Chou TM, Chang HP, Wang JC. Autologous platelet concentrates in maxillofacial regenerative therapy. Kaohsiung J Med Sci 2020; 36(5):305-10.
Anitua E, Prado R, Orive G. Platelet-rich plasma therapies: Building the path to evidence. J Orthop 2016;14(1):68-9.
Anitua E, Sánchez M, Zalduendo MM, de la Fuente M, Prado R, Orive G, Andía I. Fibroblastic response to treatment with different preparations rich in growth factors. Cell Prolif 2009; 42(2):162-70.
Anitua E, Begoña L, Orive G. Controlled ridge expansion using a two-stage splitcrest technique with ultrasonic bone surgery. Implant Dent 2012;21(3):163-70.
Bare-Welchel B, Campbell PM, Gonzalez M, Buschang PH. Effects of bone grafting, performed with corticotomies and buccal tooth movements, on dehiscence formation in dogs. Am J Orthod Dentofacial Orthop 2017;151(6):1034-47.
Esposito M, Thomsen P, Ericson LE, Lekholm U. Histopathologic observations on early oral implant failures. Int J Oral Maxillofac Implants 1999;14(6):798-810.

Anitua, Eduardo
Práctica privada en implantología oral, Clínica Eduardo Anitua, Vitoria, España. Instituto universitario para la medicina oral regenerativa y la implantología – (University Institute for Regenerative Medicine and Oral Implantology – UIRMI) (UPV/ EHU Fundación Eduardo Anitua), Vitoria, España. BTI Biotechnology institute (BTI), Vitoria, España.
Indexada en / Indexed in: – IME – IBECS – LATINDEX – GOOGLE ACADÉMICO




















