Etiqueta: PDF
Diagnóstico precoz del carcinoma mucoepidermoide. A propósito de un caso clínico
El carcinoma mucoepidermoide (CME) se define como una neoplasia maligna epitelial de glándulas salivales, caracterizada histopatológicamente por la proliferación de células mucosecretoras, intermedias y epidermoides. Se presenta en glándulas salivales mayores
como la parótida y cuando afecta a las glándulas salivales menores, el paladar es el sitio más comúnmente afectado, aunque también puede encontrarse a nivel del labio inferior, suelo de boca y trígono retromolar. El objetivo de este trabajo es describir el caso de un paciente varón de 67 años que acudió al Servicio de Cirugía del Hospital Virgen de la Paloma, presentando una lesión localizada en el trígono retromolar
derecho de aproximadamente 7 meses de evolución. Su historial médico no refiere ningún antecedente personal ni familiar de especial importancia. En el examen clínico extraoral no se encontró ningún hallazgo patológico de interés, e intraoralmente presentaba una lesión tumoral con forma irregular y superficie lisa, localizada en el trígono retromolar derecho, de color rojo parduzco, de consistencia blanda y dolorosa a la palpación. Se solicitó radiografía panorámica en la cual no se observó ningún hallazgo patológico, por lo que se procedió a realizar una biopsia incisional para su estudio histopatológico. La histopatología reveló la presencia de fragmentos con una proliferación neoplásica maligna en la que se reconocen células claras de aspecto mucoso, estructuras glandulares y otras con cierta disposición
quística, al igual que la presencia de placas epiteliales de aspectos epidermoides, con células intermedias y un epitelio mucoso superficial con paraqueratosis, obteniéndose finalmente un diagnóstico definitivo de CME. El CME se considera una neoplasia maligna agresiva, que
obliga a dar seguimiento a cualquier lesión sospechosa para poder descartar o corroborar esta entidad.
Primeros auxilios en la avulsión dentaria. Conocimiento de profesores, entrenadores y padres
Introducción: La avulsión dentaria es el traumatismo dental más severo y grave requiriendo atención inmediata. Las medidas que se adoptan en los primeros momentos de la urgencia determinarán el pronóstico del diente afectado.
Objetivo: Determinar el conocimiento de padres, profesores, personal no docente de colegios y entrenadores deportivos sobre los primeros auxilios que se deben adoptar ante una avulsión dental.
Metodología: El presente estudio analizó un total de 546 encuestas de padres, personal de centros de primaria y secundaria y entrenadores deportivos de la Comunidad de Madrid entre octubre de 2018 y febrero de 2019.
Resultados y Discusión: El reimplante inmediato fue la opción elegida por el 0,8% de los encuestados (p= 0,001). Solo el 3,47% respondió que el diente avulsionado “debe cogerse por la corona, no cepillarse, guardarlo en leche, suero fisiológico o saliva del propio paciente y acudir
a un dentista antes de una hora”, medidas que pueden favorecer el pronóstico del diente reimplantado.
Conclusiones: Los padres, profesores, entrenadores y personal no docente de las escuelas no presentan la capacitación adecuada para actuar ante una avulsión dental.
Relación entre los patrones de crecimiento facial y la maduración dental y esquelética en los pacientes en crecimiento
El objetivo de este trabajo es realizar una revisión bibliográfica para evaluar la posible relación entre los patrones de crecimiento facial con la maduración dental y esquelética en pacientes en crecimiento. La maduración dental y esquelética son dos indicadores que nos permiten establecer en qué momento del desarrollo se encuentra el paciente en crecimiento. Actualmente, para la valoración de la maduración esquelética se emplea la visualización de las vértebras cervicales en la radiografía lateral de cráneo, ya que es un método que permite disminuir la exposición radiológica del paciente que se encuentra en estudio ortodóncico, en comparación con la radiografía de muñeca,
la cual suponía la realización de una radiografía adicional. Para el análisis de la maduración dental, la radiografía panorámica es la más empleada mediante la visualización del desarrollo de los siete dientes mandibulares izquierdos. Los pacientes que se encuentran en
edad infantil presentan diversos patrones de crecimiento facial, entre los que podemos encontrar, braquifacial, mesofacial y dolicofacial. Para poder establecer el patrón de crecimiento que presenta el paciente existen diversos métodos que, a través de mediciones cefalométricas, nos
clasifican al paciente en uno de los tres grupos. Existen diversos trabajos que estudian la posible relación entre los patrones de crecimiento facial y la maduración dental y esquelética. Según la literatura revisada podemos concluir que los pacientes que presentan un patrón de crecimiento vertical muestran una maduración dental y esquelética más avanzada en comparación con los pacientes que presentan un patrón de crecimiento horizontal.
Síndrome de Gorlin-Goltz; a propósito de un caso
El síndrome de Gorlin-Goltz (SGG) es también conocido como síndrome névico basocelular o síndrome del carcinoma nevoide basocelular. Fue mencionado por primera vez en 1894 por los doctores Jarish y White y fue descrito en 1960 por Robert J. Gorlin. Es un raro trastorno autosómico dominante, ocasionado por una mutación sufrida en el gen Patched 1 (PTCH1) ubicado en el cromosoma 9q223 (este gen desempeña un papel en la supresión tumoral, la estructuración embrionaria y el ciclo celular), que se caracteriza por defectos en el desarrollo y por elevar de manera significativa la predisposición a padecer algún tipo de cáncer. Su prevalencia es variable según el país, pero está aceptada una media de 1:60.000 habitantes/ año, siendo la relación hombre/ mujer de 1: 0,621. El diagnóstico del SGG puede resultar complejo debido a la variabilidad en la expresividad del síndrome y en la edad de presentación. La manifestación más común en la cavidad oral son los queratoquistes, lesiones que aparecen hasta en el 90% de los pacientes.
Eficacia frente al sangrado gingival de una pasta dental con o-cymen-5-ol
Introducción: La gingivitis, si no se trata, puede provocar una periodontitis irreversible. Uno de los compuestos destinados a combatirla es el o-cymen-5-ol.
Objetivo: El objetivo principal de este estudio fue demostrar la respuesta clínica de un dentífrico con o-cymen-5-ol al 0,1% más zinc, aplicado durante 7 días consecutivos al menos 2 veces/día, en pacientes con un índice de sangrado del surco gingival ≥ 25%. Como objetivo secundario se evaluó la tolerancia del producto.
Métodos: Estudio prospectivo, aleatorizado, doble ciego y controlado, para evaluar la eficacia de una pasta dental o-cymen-5-ol frente a un dentífrico con triclosán al 0,3% más zinc. Tras la visita basal, los datos se evaluaron a las 38 h., 48 h., 4 días y 7 días. Se emplearon modelos lineales de efectos mixtos, que fueron ajustados a los datos del ensayo para evaluar la respuesta del producto a lo largo del tiempo.
Resultados: Se incluyó a un total de 49 pacientes. El porcentaje medio de sangrado basal en ambos grupos fue homogéneo. Respecto al inicio del tratamiento, ambos grupos experimentaron una reducción significativa del índice de sangrado a las 38 horas. Esta reducción continuó ampliándose significativamente hasta un 67,5% y un 71,8%, respectivamente, a los 7 días del inicio del tratamiento.
Conclusiones: La pasta dental con o-cymen-5-ol al 0,1% más zinc mejora el índice de sangrado gingival de forma significativa, ya a las 38 horas de aplicación, en individuos con un índice basal ≥25%, de forma similar a una pasta dental con triclosán al 0,3% más zinc.
Regeneración ósea vertical y horizontal mediante la técnica de Khoury tras un fracaso implantológico
Los implantes dentales constituyen una alternativa predecible para la rehabilitación de los maxilares edéntulos, sin embargo, el éxito del tratamiento puede verse comprometido cuando existen graves atrofias maxilares. Para el tratamiento de estos casos complejos, se han desarrollado técnicas de regeneración ósea, entre las que destacan la regeneración ósea guiada y los injertos en bloque. Dentro de estos últimos, cabe destacar la técnica de Khoury. Se trata de un procedimiento indicado para regenerar defectos horizontales y verticales, mediante la obtención de finas láminas de hueso autógeno procedentes de la línea oblicua externa mandibular. Se presenta un caso clínico de un gran defecto mandibular reconstruido con la técnica de Khoury, secundario a un fracaso implantológico que además ocasionó patología nerviosa.
Técnicas en el manejo de la conducta del paciente odontopediátrico
Introducción: El objetivo del presente trabajo fue evaluar las técnicas convencionales más utilizadas por el odontólogo para el manejo de la conducta del paciente infantil en la consulta dental. Diversas técnicas pueden ser aplicadas dependiendo del desarrollo físico y emocional del paciente y de la capacidad del profesional. La Academia Americana de Odontopediatría, en su guía sobre técnicas del comportamiento, las divide en: técnicas de comunicación, otras técnicas básicas y técnicas avanzadas, recomendando las pertenecientes al primer grupo.
Material y método: Se realizó un cuestionario en la plataforma de Google, remitido vía email a 190 odonto/estomatólogos que tratasen pacientes infantiles, obteniendo un total de 115 respuestas adecuadas para el análisis de 8 técnicas convencionales de manejo de la conducta. El estudio estadístico se realizó en el programa SPSS aplicando el test de ANOVA para una significación de p= 0,05.
Resultados: La técnica más utilizada por los diferentes profesionales fue la técnica decir-mostrar-hacer seguida de refuerzo positivo y control de voz. Técnicas de modificación de la conducta ocuparon un segundo término: desensibilización seguida muy de cerca por imitación. La técnica menos empleada fue la anestesia general. No encontramos diferencias significativas en relación al sexo en ninguna de las técnicas analizadas excepto en el uso de premedicación (p: 0,027), siendo los varones los que más frecuentemente la utilizaban. No se encontraron diferencias significativas en relación a la especialidad ni con la edad de los profesionales.
Conclusiones: Las técnicas comunicativas fueron las preferidas por los odonto/estomatólogos siendo las técnicas avanzadas las menos
utilizadas.
Abordaje del maxilar posterior atrófico: elevación de seno por abordaje lateral Vs. Implantes extra-cortos. Caso clínico con ocho años de seguimiento
La pérdida ósea vertical en los sectores posteriores maxilares es un hecho frecuente tras la extracción dental. En muchas ocasiones para rehabilitar estas zonas podemos emplear técnicas de regeneración u optar por un abordaje más conservador con implantes cortos.
En el presente caso clínico mostramos un caso rehabilitado bilateralmente con dos técnicas diferentes: elevación de seno y la inserción de implantes cortos, con un seguimiento de ocho años donde ambas técnicas han logrado resultados igualmente predecibles.
Hipomineralización en dentición temporal: ¿factor predictivo de him?
La terminología hipomineralización incisivo-molar (HIM) fue descrita por primera vez en 2001 para explicar los defectos de desarrollo cualitativos demarcados del esmalte, que afectan a uno o más molares permanentes, con o sin participación de los incisivos permanentes1.
En los últimos años, las investigaciones han dado lugar a informes de lesiones comparables en segundos molares temporales hipomineralizados, sin embargo, se desconoce si la presencia de opacidades demarcadas en los caninos temporales también puede asociarse con el HIM1-3. Da Silva y cols., en 2017, son los únicos autores hasta el momento que relacionan hipomineralizaciones en segundos molares temporales (HSPM) y caninos temporales (HPC)3. La prevalencia de HSPM varía dependiendo de los países entre 2,9% a un 21,8%3,7. Se puede esperar que las causas de los defectos de hipomineralización en los segundos molares temporales sean las mismas que en los dientes permanentes, si ocurren concomitantemente a la calcificación de su corona, la cual comienza alrededor de la decimoctava
semana de gestación4-7. Se presenta el caso de un paciente infantil, de 6 años, que acudió a consulta para revisión odontológica. Tras la exploración, se observó la presencia de anomalías del color y estructura en: todos los segundos molares y caninos temporales, así como en los primeros molares temporales superiores y primer molar temporal inferior izquierdo (Figuras 1-6). La posterior exploración radiográfica mostró hallazgos patológicos localizados en 54, 64, 65, 74, 75, 84, 85 (Figuras 7-9). El tratamiento supone un desafío ya que es frecuente que los dientes afectados presenten afectación pulpar, además de hipersensibilidad y descomposición post-eruptiva. Esta relación podría sugerir como factor predictivo de aparición de HIM, la presencia HSPM y HPC, así podrían implementarse las medidas de prevención y control con intervalos más frecuentes en estos pacientes.
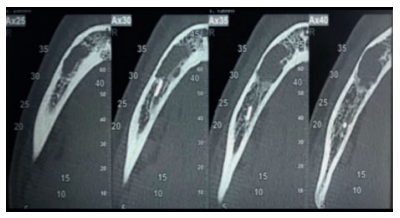
Diagnóstico radiográfico de los caninos maxilares incluidos. Comparación entre dos y tres dimensiones
Introducción: La inclusión de caninos tiene una alta incidencia y plantea varias complicaciones clínicas, siendo de vital importancia el diagnóstico precoz y exacto para minimizar los riesgos y complicaciones derivadas. El objetivo de este trabajo es analizar, utilizando como referencia las líneas planteadas por Alqerban, la efectividad de las dos dimensiones en el diagnóstico volumétrico de la inclusión de los caninos maxilares.
Métodos: Seleccionamos 27 pacientes con 36 caninos maxilares incluidos que se realizaron estudio de ortodoncia con ortopantomografía y tomografía computarizada de haz cónico (Cone Beam Computed Tomography, CBCT) del maxilar en la Clínica Universitaria de la Universidad Europea. Se trazaron tres líneas de referencia basándose en la distancia de la cúspide del canino al plano oclusal (L1), a la línea media (L2) y a su lugar ideal de erupción (L3), tanto en la ortopantomografía como en el CBCT. Como valores de referencia ideales seleccionamos un grupo control de 36 caninos maxilares erupcionados.
Resultados: Se compararon los resultados en dos y tres dimensiones mediante la prueba T de Student, tras comprobar su distribución normal mediante la prueba de contraste de Anderson-Darling. No se obtuvo significación estadística (p>0.05) para ninguna de las variables estudiadas.
Conclusiones: El uso del CBCT es vital para asegurar un buen diagnóstico en cuanto a la posición del canino y su relación con estructuras adyacentes y así establecer un plan de tratamiento adecuado. Aun así, la ortopantomografía aporta información suficiente para la planificación inicial.
Mascarillas y máscaras de protección respiratoria en entorno COVID-19
Coronavirus Disease 2019, COVID-19, es una enfermedad respiratoria causada por un coronavirus, el SARS-CoV-2. La ruta de trasmisión es a través de gotas y salpicaduras procedentes del tracto aerodigestivo de personas infectadas, así como por el contacto con superficies contaminadas y la posterior deposición en la mucosa de los ojos, nariz o boca, siendo probable su transmisión por aerosoles.
Por otra parte, el trabajo dental no permite mantener una distancia de 2 metros, ni el uso por parte del paciente de mascarilla. Por esta razón, dentro del esquema de Equipos de Protección Individual (EPI), la protección respiratoria es fundamental, junto con la ocular, y con ello la selección de la mascarilla y, sobre todo, el uso que se haga de ella.
La razón del presente artículo es describir los diferentes tipos de mascarillas y el uso apropiado de cada una de ellas según el objetivo buscado. Para ello, se recomendarán las mascarillas higiénicas y las quirúrgicas en usuarios generales, con la función de disminuir la trasmisión viral por medio de la minoración de la contaminación ambiental cuando es alta la trasmisión comunitaria. Las máscaras de protección respiratoria estarán indicadas en trabajadores sanitarios y otros en contacto con pacientes potencialmente infecciosos, al menos cuando los procedimientos de trabajo impliquen un riesgo elevado para el profesional.
Las tres caras de la sonrisa gingival . Revisión bibliográfica
Hablamos de sonrisa gingival cuando se altera la armonía establecida entre los dientes, labios y encía, exponiendo más allá de 2 mm de encía coronal a los incisivos maxilares, una circunstancia que, en ocasiones, genera un problema estético para algunos pacientes.
La etiopatogenia de dicha condición se resume en tres facetas: dentoperiodontal (erupción pasiva alterada y erupción activa alterada), ósea (esquelética y/o dentoalveolar) y muscular (labio superior corto e hipermovilidad labial).
Una condición multifactorial como la sonrisa gingival precisa un abordaje multidisciplinar: cirugía plástica periodontal, ortodoncia, cirugía ortognática, reposición labial, infiltración de toxina botulínica y tratamiento estético complementario.
Flujo digital en la rehabilitación unitaria sobre implantes en el sector anterior. Planificación quirúrgica y protésica. A propósito de un caso
Objetivo: El objetivo de este artículo es describir la rehabilitación sobre implantes en un caso de alta demanda estética, basando dicho tratamiento en una planificación íntegramente digital.
Caso clínico: Se presenta el caso clínico de una paciente de 52 años de edad que acude por fractura del diente 2.1. Tras el diagnóstico y análisis, tanto de forma clínica como radiográfica, se determina un pronóstico restaurador imposible para el 2.1, planificando como tratamiento una rehabilitación implantosoportada. Se realizó un escaneado de la zona a tratar para llevar a cabo un estudio detallado del caso y la confección de una corona provisional, la cual se atornilló en el mismo momento de la cirugía a un implante colocado de forma inmediata postextracción. Sumado a ello, se realizaron injertos de tejido duro y blando para asegurar el mantenimiento de los contornos periimplantarios. Tras el periodo de integración del implante, se trabajó el contorno de la corona provisional hasta conseguir un perfil de emergencia y un volumen de tejido gingival idóneos. Tanto el perfil de emergencia conseguido como el contorno del provisional fueron escaneados, junto con la posición del implante, para la confección de la restauración metal-cerámica definitiva. A los 6 meses tras la finalización del caso, se observa una estética de tejidos blandos idónea y un mantenimiento perfecto de toda la arquitectura gingival.
Conclusión: El manejo del sector estético anterosuperior evidencia una clara exigencia estética. En casos de pérdida dentaria en esta localización, la rehabilitación fija sobre implantes es el tratamiento de elección. No obstante, para conseguir un resultado adecuado y predecible, es esencial un correcto manejo quirúrgico y protésico. La planificación mediante medios digitales supone un salto de calidad en el enfoque terapéutico de estos casos, permitiendo un tratamiento más exacto e individualizado y siendo, además, más sencilla y eficiente la información que se traslada al laboratorio protésico.
Material de injerto en elevación de seno atraumática: ¿es necesario? Parte I
Introducción: la reabsorción vertical de la zona posterior del maxilar supone un reto terapéutico para el profesional, ya que son necesarias técnicas regenerativas para poder colocar implantes dentales. La elevación de seno atraumática permite la colocación de implantes dentales de manera simultánea al procedimiento regenerativo, pero hay controversia en la necesidad o no de emplear materiales de injerto asociados a esta técnica.
Ganancia ósea: al comparar la utilización o no de materiales de injerto en elevaciones de seno atraumáticas, se obtiene una ganancia ósea de 1-6.8 mm cuando no se emplean biomateriales, y 3.07-8.5 mm al utilizarlos.
Pérdida ósea marginal: los estudios reflejan una pérdida ósea marginal de 0.5- 1.54 mm al no emplear materiales de injerto, respecto a 0.7-1.67 mm cuando se utilizan.
Supervivencia de implantes: ambas técnicas de elevación de seno atraumática presentan tasas de supervivencia implantarias similares, superiores al 90 %.
Complicaciones: la tasa de complicaciones en esta técnica regenerativa es baja, siendo la más frecuente la perforación de la membrana de Schneider, no suponiendo en la mayoría de los casos un impedimento para la colocación de implantes dentales.
Conclusiones: la técnica de elevación de seno sin relleno presenta menor ganancia ósea y pérdida ósea marginal en comparación a la técnica de elevación de seno con relleno, pero ambas técnicas presentan tasas de supervivencia implantarias similares, y una baja tasa de complicaciones, por lo que la utilización o no de biomateriales asociados debe decidirse en función de todas estas variables.
Evaluación de la resistencia a la fractura de dientes instrumentados con ProTaper Gold, ProTaper Next y WaveOne Gold
Introducción: el tratamiento de conductos produce cambios físico-químicos en la dentina y una pérdida estructural significativa para el diente, lo que lo hace más susceptible a la fractura.
Material y métodos: 64 premolares mandibulares fueron decoronados y divididos aleatoriamente en cuatro grupos (n=16): grupo control (CG) no tratado, grupo instrumentado ProTaper Gold® (PTG®) (25.08), grupo instrumentado ProTaper Next® (PTN®) (25.06) y grupo instrumentado WaveOne Gold PRIMARY® (WOG®) (25.07). Durante la instrumentación, se realizó la irrigación con NaOCl al 5,25% con una jeringa Monoject® y tras la instrumentación, las muestras se irrigaron con NaOCl, EDTA 17% y NaOCl activado sónicamente. Los conductos radiculares se obturaron utilizando el sistema B&L®, y posteriormente se colocaron en bloques de resina acrílica estandarizados para ser cargados con una fuerza vertical constante de 0,02 mm/s hasta que se produjo la fractura de la raíz, mediante una máquina de ensayo universal (ME-405/20, Servosis®). Las comparaciones entre grupos se analizaron con la prueba ANOVA.
Resultados: No hubo diferencias estadísticamente significativas (p> 0,05) entre el GC y los grupos instrumentados con PTN® y WOG®; tampoco entre los grupos PTN® y WOG®. Sin embargo, se obtuvieron diferencias estadísticamente significativas entre el grupo instrumentado con PTG® y el resto de los grupos, siendo el grupo PTG® el más susceptible a la fractura.
Conclusiones: El sistema PTG® fue el que más debilitó las raíces después de la instrumentación, en comparación con los sistemas WOG® y PTN®.
Consideraciones bucodentales en pacientes con Síndrome de Morquio
La mucopolisacaridosis tipo IV (MPS-IV) también conocida como enfermedad de Morquio en recuerdo del pediatra uruguayo Luis Morquio que la describió por primera vez, es una enfermedad congénita causada por la deficiencia de la enzima N-acetilgalactosamina 6 sulfatasa o de la enzima B-Galactosidasa. Estas anomalías enzimáticas tienen como consecuencia que se acumulen en diferentes tejidos del organismo cantidades elevadas de mucopolisacaridos.
En la bibliografía se describe con detalle los defectos del esmalte que presentan los pacientes diagnosticados del síndrome de Morquio. Estos defectos son una característica aparentemente constante en la enfermedad y, por lo tanto, hace necesaria las visitas al odontólogo para su control evitándose problemas mayores. Dichos defectos consisten en un esmalte anormalmente delgado, que es áspero debido a los numerosos hoyos diminutos y a una superficie irregular. La delgadez del esmalte da como resultado una forma alterada y decoloración de los dientes que, añadido a los diastemas interdentales, provocan alteraciones en la oclusión. Aparte de estos defectos, el esmalte es histológicamente normal y tiene una dureza y radiodensidad normales. El tratamiento odontológico de los pacientes con MPS-IV requiere colaboración multidisciplinar, debido a que las manifestaciones orales de la enfermedad pueden aparecer a cualquier edad, resultando en ocasiones tedioso para el paciente y complicado para el profesional. Especial mención merecen las terapias utilizadas como tratamiento sintomático de la enfermedad, así como el manejo de la vía aérea en el caso de intervenciones bajo anestesia general o sedación para tratar ciertas patologías del territorio bucomaxilodental.
Actitud del odontopediatra en la clínica dental ante la pandemia del Covid-19
Introducción: La aparición del nuevo virus del síndrome respiratorio agudo severo Coronavirus 2 (SARS-CoV-2) ha causado una pandemia mundial llamada enfermedad del coronavirus (COVID-19) y se ha convertido en uno de los desafíos más grandes entre los profesionales dedicados a la salud. Dado que el sector sanitario bucodental es una de las poblaciones de riesgo, se debe tener especial cuidado para minimizar dicho riesgo de infección así como evitar el contagio entre profesionales y pacientes.
Los síntomas respiratorios de esta enfermedad en los niños parecen ser más leves que los que experimentan los adultos, se conoce que transmiten la enfermedad, pero los datos emergentes sobre la propagación en niños afectados por COVID-19 no es conocida aún en detalle.
El propósito de este artículo es analizar a través de una encuesta online si los odontopediatras prevén cambios en la forma habitual de trabajo para evitar el riesgo de contagio por COVID-19 durante el tratamiento dental con pacientes infantiles.
Material y método: se realizó una encuesta online dirigida a odontopediatras y odontólogos que trabajaran con niños, con preguntas sobre el conocimiento y actitud frente al COVID-19 en la consulta dental. Se registraron las variables sexo, edad, años de profesión y posesión de título en Odontopediatría.
Resultados: se recogieron 93 cuestionarios y se analizaron los resultados estadísticamente para cada ítem del cuestionario, representados en gráficas de porcentajes de respuesta. La mayoría de los encuestados fueron mujeres, edad media de 34,5 años, que utilizan a diario instrumental rotatorio, pero a favor de tratamientos mínimamente invasivos; cumplen con las medidas de protección, pero a veces para el manejo de la conducta infantil no es posible.
Conclusiones: en general, el odontopediatra deberá adaptarse a la nueva situación con el niño con respecto a las técnicas de tratamiento, así como todos los miembros del equipo dental, ya que tienen la responsabilidad profesional de mantenerse informados y actualizados respecto a los nuevos datos que vayan surgiendo sobre COVID-19, no solo para protegerse de posibles contagios sino también para evitar la propagación a los pacientes infantiles que acudan a realizarse un tratamiento odontológico.
Mucocele de retención. Revisión a propósito de un caso
El mucocele oral es una lesión de los tejidos blandos con alta prevalencia en la cavidad oral, siendo motivo de consulta dadas las alteraciones funcionales y estéticas asociadas al mismo. Su etiología está relacionada con la alteración en las glándulas salivales, correspondiendo la localización más frecuente al labio inferior. Su tratamiento, aunque en la mayoría de los casos es expectante, consiste en la extirpación quirúrgica debido a que pueden llegar a ser de tamaño considerable. A continuación se describe el caso de un paciente varón, de avanzada edad, que presenta un mucocele de gran tamaño localizado en el labio inferior, región en la que se practicó su remoción quirúrgica y posterior análisis histopatológico.
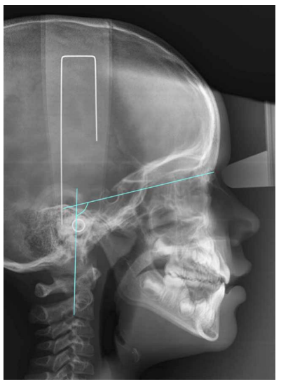
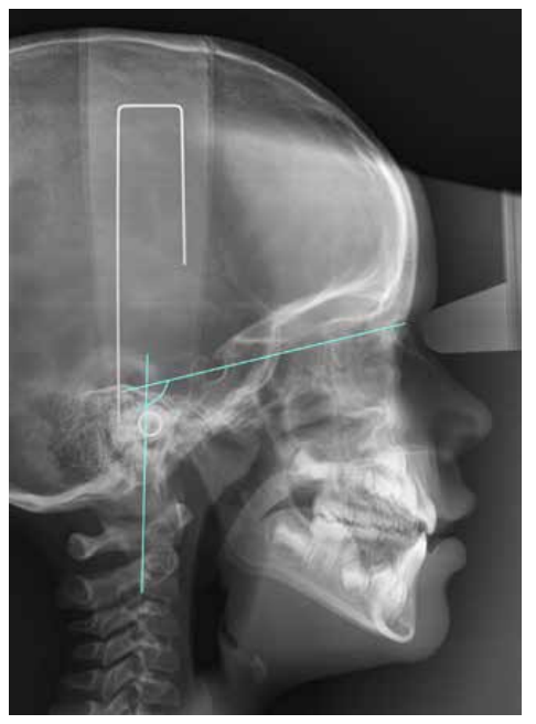
Características de la posición craneocervical con diferentes oclusiones en pacientes en desarrollo. Relación craneocervical y oclusión
En la actualidad la relación entre oclusión y posturología despierta un gran interés científico, sobre todo de cara a la instauración de un tratamiento multidisciplinar. Sin embargo, la diversidad de estudios se refiere sobre todo a la población adulta y no hay un consenso común entre las diferentes investigaciones. En base a ello nos planteamos como objetivo estudiar la posición craneocervical en diferentes oclusiones en población en desarrollo. Mediante un diseño de carácter transversal fueron seleccionados 64 pacientes pediátricos con historia clínica completa y radiografías laterales de cráneo de calidad. Las variables analizadas mediante el software de ImageJ® y Nemoceph® fueron FP-MP, ángulo ANB, OPT-SN, CVT-SN y Ad1-Ba. El análisis estadístico descriptivo y comparativo se llevó a cabo mediante el programa programa IBM SPSS® hallando posteriormente la fiabilidad intraexaminador. Los valores p obtenidos para cada una de las variables fueron 0,846 para FP-MP, 0,008 para el ángulo ANB, 0,155 para OPT-SN, 0,415 para CVT-SN y 0,221 para Ad1-Ba. Por todo ello, creemos que la posición craneofacial en las diferentes oclusiones podría estar determinada por el hecho de que el desarrollo todavía no ha finalizado.
Actitud terapéutica frente a una reabsorción interna perforante
Atendiendo a la localización de la reabsorción radicular, ésta puede ser clasificada en externa o interna. La reabsorción interna es relativamente poco frecuente, y su etiología y patogénesis no está todavía del todo clara. Este artículo muestra la complejidad de un incisivo central superior con una reabsorción interna inflamatoria perforante. El diagnóstico definitivo lo hallamos a través del examen tridimensional, que confirmó la extensión y comunicación con la superficie externa radicular.
Aunque como podremos ver a lo largo de la exposición del caso clínico, la ayuda del microscopio nos permitió abordar el caso con mayor seguridad. En todo momento pudimos eliminar el tejido inflamatorio y preparar el conducto de manera adecuada. La obturación en este tipo de casos supone un reto para el endodoncista, siendo éste, mayor cuando se realiza únicamente de manera ortógrada. Para la obturación realizamos una técnica descrita en la literatura, sellando la zona apical a la reabsorción con gutapercha adaptada mediante condensación vertical; la zona reabsortiva con material biocerámico y, por último, la zona coronal con gutapercha inyectada.
Se realizó un 3D a los 26 meses para una nueva evaluación de la zona reabsortiva, y así evaluar el estado óseo alrededor de la misma. La paciente se presenta totalmente asintomática sin signos clínicos y con buena salud de los tejidos periapicales.
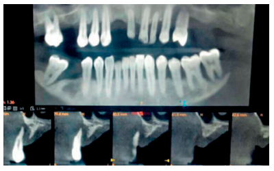
Coronectomía en terceros molares inferiores
La extracción del tercer molar inferior es el procedimiento más frecuente dentro del campo de la cirugía bucal, siendo el daño del nervio dentario inferior una de las complicaciones más frecuentes en la extracción. Como alternativa para disminuir el riesgo de aparición de esta complicación surge la coronectomía, técnica que consiste en la eliminación de la corona dentaria manteniendo intactas las raíces dentro del hueso alveolar. El objetivo del presente artículo fue realizar una puesta al día sobre la coronectomía en terceros molares inferiores, analizando indicaciones, contraindicaciones, complicaciones y éxito de esta técnica.
La coronectomía parece ser una alternativa eficaz a la extracción para la prevención de trastornos neurosensoriales en terceros molares impactados en estrecha relación con el NDI. Sin embargo, es necesaria la realización de más estudios comparando la extracción convencional con la coronectomía, con un mayor seguimiento, para conocer el éxito y las complicaciones a largo plazo de este tratamiento.
Quiste óseo solitario
Introducción: El quiste óseo solitario representa el 1% de todos los quistes maxilares. Es una lesión ósea benigna que aparece de forma fortuita en una radiografía de control en la primera/segunda década de la vida, aunque la lesión carezca de trascendencia en la vida del paciente requiere de abordaje quirúrgico para confirmar el diagnóstico.
Caso clínico: Se presenta un caso clínico de una paciente mujer de 11 años de edad y raza negra, remitida al Servicio de Cirugía Bucal del Hospital Virgen de la Paloma tras observarse imagen radiotransparente apical a nivel de 43 y 44. Una vez realizada la exploración clínica y radiológica se propone cirugía exploratoria ante diagnóstico de presunción de quiste óseo solitario. Bajo anestesia local se procedió al abordaje quirúrgico observándose cavidad vacía en maxilar inferior sin contenido alguno, legrándose profusamente las paredes de la cavidad e introduciendo plasma rico en plaquetas obtenido previamente de la paciente.
Conclusiones: La cirugía exploratoria confirma el diagnóstico de presunción de quiste óseo solitario vacío al no poderse mandar a analizar a anatomía patológica.
Análisis de los tejidos peri-implantarios en implantes anteriores: relación entre la presencia o ausencia de tabla ósea y el Pink Esthetic Score
Introducción: La dehiscencia es una pérdida de la cortical que deja expuesta parte de la raíz al medio oral. Se considera como un factor predisponente de las recesiones gingivales y, por tanto, de una alteración estética. El objetivo principal fue estudiar la relación entre la presencia o ausencia de la tabla ósea vestibular en implantes anteriores y el resultado estético valorado mediante el índice Pink Esthetic Score (PES). Los objetivos secundarios fueron analizar la opinión del paciente comparándolo además con lo valores de PES hallados por el evaluador principal.
Material y método: Se llevó a cabo un estudio analítico, longitudinal, retrospectivo, de cohortes en un grupo de 31 pacientes quienes llevaban implantes antero-superiores con un mínimo de 3 años de carga protésica. Se realizó un TAC para valorar la presencia/ausencia de tabla ósea junto con una exploración para evaluar el PES.
Resultados: El índice PES fue signifi cativamente más elevado (10,4 ± 2,3) en presencia de tabla ósea. La valoración del paciente tuvo una nota media global de 8,2 ± 1,6. No se halló correlación entre la opinión del paciente y la del evaluador.
Conclusiones: La ausencia de tabla ósea vestibular en implantes anteriores conlleva alteraciones estéticas de los tejidos peri-implantarios.
Injerto pediculado palatino en regeneración ósea guiada
La regeneración localizada de grandes defectos horizontales en los procesos alveolares, previa a la inserción de implantes dentales, sigue siendo un procedimiento quirúrgico desafiante en cirugía bucal. Entre los procedimientos quirúrgicos más utilizados para tal propósito se encuentran la corticotomía con expansión, injerto en bloque “onlay” y la regeneración ósea guiada (ROG), todos ellos con sus diferentes grados de predictibilidad. El uso de micromalla de titanio en combinación con injertos y sustitutos óseos es un método eficiente para la contención, estabilización y protección de estos injertos, permitiendo así una mejor regeneración de los tejidos. Esta técnica no queda exenta de posibles complicaciones asociadas como pueden ser la infección, necrosis del injerto o exposición de la malla de titanio.
En el presente artículo se pretende mostrar la evidencia clínica de la efectividad del uso del colgajo pediculado de rotación palatina como método válido para evitar la exposición de la malla de titanio durante la regeneración ósea guiada.
Comparación del Coeficiente de Estabilidad Implantaria ISQ entre implantes colocados en zona antral sobre hueso nativo frente a implantes colocados sobre hueso regenerado
El objetivo del estudio es comparar los valores del Coeficiente de Estabilidad Implantaria (ISQ) de implantes colocados en zona antral en hueso nativo frente a los colocados en zona antral en hueso regenerado, para saber si tras tres meses de osteointegración los valores aumentan, ver si son diferentes entre sí según el tipo de hueso y evaluar la relación entre: torque de inserción, tipo de hueso, ISQ obtenido y sus cambios después de la osteointegración.
Se trata de un ensayo clínico de propósito analítico, cuya dirección temporal es longitudinal, el inicio del estudio en relación con la cronología de los eventos es prospectivo, existiendo dos grupos de estudio.
Los resultados proporcionan evidencias de que los implantes colocados en hueso regenerado, al analizar valores ISQ iniciales, son iguales a los del hueso nativo y, tras la oseointegración, son mayores que los de éstos, pudiendo rehabilitarse esperando el mismo tiempo.
Conclusiones: El valor inicial de ISQ es similar en ambos grupos y después de tres meses de osteointegración fue mayor en implantes sobre hueso regenerado. El torque de inserción de implantes en hueso regenerado es mayor que en hueso nativo y existe relación positiva, pero no estadísticamente significativa, entre los valores de ISQ y el torque de inserción. La pérdida ósea marginal de los implantes es similar en ambos grupos y dicha pérdida no está relacionada con los valores de ISQ ni con el torque de inserción obtenido, aunque este hecho puede ser debido a la evaluación a corto plazo.
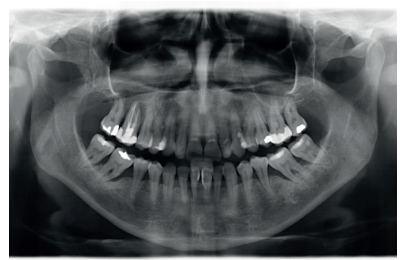
Prevención de defectos periodontales tras la exodoncia de terceros molares inferiores con injerto de dentina autógena: evaluación a 6 meses de un caso clínico
Introducción: El defecto periodontal localizado en la cara distal del segundo molar inferior es una complicación asociada al tercer molar inferior en posición horizontal o mesioangular. El tratamiento quirúrgico de estos terceros molares inferiores retenidos se acompaña del desbridamiento de la cara distal del segundo molar, no siendo esto suficiente para devolver la salud periodontal en esta zona. Por tanto, son muchos los autores que recomiendan la regeneración ósea guiada para conseguir una recuperación periodontal completa.
Caso clínico: Se presenta un caso clínico de una mujer de 27 años de edad, sin antecedentes médico-quirúrgicos de interés, que acudió al Servicio de Cirugía Bucal e Implantología de la Facultad de Odontología de la Universidad Complutense de Madrid para la exodoncia de los terceros molares inferiores. Una vez realizada la Historia Clínica, se le realizó la exodoncia del tercer molar inferior izquierdo en posición horizontal con regeneración con dentina autógena, y el tercer molar inferior derecho de manera convencional, haciendo un seguimiento de 6 meses para comparar la evolución de ambos lados.
Conclusiones: la dentina autógena puede ayudar a la reducción de los defectos periodontales post exodoncia sobre el segundo molar tras la extracción de terceros molares inferiores mal posicionados.
Estudio clínico piloto de la eficacia de un gel de ácido hialurónico 1% y clorhexidina 0,20% postextracción dental
Objetivo: El objetivo del presente estudio es comparar la eficacia, en términos de cicatrización oral y dolor postquirúrgico, en un grupo de pacientes tratados con una aplicación oral de ácido hialurónico al 1% junto con clorhexidina al 0,20% frente a pacientes tratados con placebo y un tercer grupo con CHX 0,20% + AH 0,20% + Pantenol.
Metodo: El diseño del estudio es de un estudio analítico, experimental, aleatorizado, ciego, longitudinal prospectivo. Se randomizó una muestra de 45 pacientes, 15 en cada grupo de comparación, en los que se aplicaron postextracción dental unos geles de distinta composición en función del grupo objeto de estudio. En el grupo control se aplicó un gel de ácido hialurónico al 0,20%, clorhexidina al 0,20% y pantenol, en el grupo placebo se aplicó un gel de consistencia similar al anterior pero en ausencia de compuesto y en el grupo experimental se aplicó ácido hialurónico al 1% y clorhexidina al 0,20%. Las variables de eficacia fueron medidas a las 24h., 48h, 72h y 7 días.
Resultados: En relación al dolor postoperatorio no encontramos diferencias estadísticamente significativas en ninguno de los grupos analizados. En relación a la cicatrización el grupo en el que se aplicó ácido hialurónico 1% junto con clorhexidina 0,20% fue el que mejores resultados ofreció desde un punto de vista estadístico en las primeras 24-48h con respecto a los otros dos.
Conclusiones: En vista de los resultados obtenidos parece que las aplicaciones tópicas de ácido hialurónico al 1% junto con la clorhexidina al 0,20% influyen de manera positiva en cuanto a la cicatrización del tejido blando post extracción dental, sin embargo, no parece que tenga efectos beneficiosos en cuanto a los niveles de dolor oral post-intervención.
Enfoque conservador en paciente con múltiples lesiones periapicales radiolúcidas: Abordaje combinado endodóntico-quirúrgico
Se presenta el caso de un paciente varón de 43 años con lesiones periapicales radiolúcidas de origen endodóntico en dientes pilares de rehabilitación fija metalocerámica, que acude a consulta para valorar la posibilidad de mantener sus dientes.
Tras la exploración clínica y radiológica mediante radiografías periapicales y tomografía computerizada de haz cónico (CBCT) se decide realizar un abordaje combinado endodóntico-quirúrgico.
La evolución clínica fue favorable y los controles radiográficos y tomográficos mostraron la resolución de las lesiones radiolúcidas preexistentes.
El retratamiento endodóntico combinado con la microcirugía periapical son herramientas eficaces en el tratamiento conservador de dientes con lesiones periapicales de origen endodóntico.
Cambios en el perfil de las urgencias atendidas por un dentista de guardia 24 horas durante las etapas iniciales de la primera ola de COVID-19
Objetivo: Comparar la asistencia urgente prestada por un dentista de guardia 24 horas a dos grupos de pacientes en dos periodos de la primera ola de Covid-19 en Madrid: durante el confinamiento de la población y cierre de la mayoría de las clínicas dentales y una vez levantado el confinamiento y reabiertas las clínicas.
Método: En ambos grupos se compararon edad y sexo, tiempo transcurrido desde el comienzo de los síntomas, frecuencia de citas nocturnas, frecuencia y duración de tratamientos médicos previos, patologías objeto de consulta y tratamientos realizados.
Resultados: En el primer periodo (45 días) se vieron 187 pacientes y en el segundo (19 días), 94 (4.15 y 4.8 pacientes/ día, respectivamente). El tiempo transcurrido desde el comienzo de los síntomas en ambos periodos fue 10+/1 y 3+/-1 días. Habían recibido tratamiento antibiótico/ antiinflamatorio previo el 80% y el 30% de los pacientes, respectivamente. El diagnóstico más frecuente en el primer periodo fue inflamación pulpar (p = 0.001) y en el segundo, pulpitis irreversible (p < 0.05). En el primer periodo se realizaron más extracciones (58.7% vs 41.5%, p < 0.05) y en el segundo más endodoncias (8.5% vs 2.1%, p < 0.05) y tratamientos farmacológicos (19.1% vs 9.6%, p < 0.05).
Conclusiones: Durante el segundo periodo de la primera ola de COVID-19, cuando el confinamiento se levantó y se reabrieron las clínicas, la atención dental urgente cambió con respecto a las primeras 6 semanas de confinamiento estricto, tanto en el perfi l de la patología, como en los tratamientos realizados que fueron más conservadores.
Digital flow in unitary dental implants rehabilitation in anterior sector. Surgical and prosthetic planning. Case report
Aim: The purpose of this article is to present a clinical case of high aesthetic demand. Such planning and treat with digital flow, included diagnosis, prosthetic planning and finally, the placement of the final prosthesis.
Case report: A 52-year-old woman presents a fracture of the tooth 2.1. After diagnosis and analysis both clinically and radiographically, an impossible restorative prognosis is determined for 2.1, planning implant-supported rehabilitation as treatment. A scan of the area to be treated was carried out to carry out a detailed study of the case and the preparation of a provisional crown, which was screwed at the same time of surgery to an implant placed immediately post-extraction. Besides, hard and soft tissue graft were placed to guarantee the maintenance of the peri-implant contours. After the implant osteointegration, the contour of the provisional crown was scanned to obtain a suitable emergence profile and gingival tissue volume. Both the emergency profile obtained and the contour of the provisional were scanned together with the position of the implant for the preparation of the final metalceramic restoration. After six months, it can observe an ideal soft tissue aesthetic and perfect maintenance of the entire gingival architecture.
Conclusion: The management of the anterior superior aesthetic sector shows a clear aesthetic demand. In cases of tooth loss at this location, fixed implant rehabilitation is the treatment of choice. However, to achieve an adequate and predictable result, proper surgical and prosthetic management is essential. Digital flow it present like alternative and a quality leap in the therapeutic approach to these cases, a more accurate and individualized treatment, and the information that is transferred to the prosthetic laboratory is more simple and efficient.
Comparative densitometric analysis between a new bone graft material composed of calcium phosphate vs. bovine hydroxyapatite in alveolar ridge preservation. A pilot study
Introduction: In the present study, bone density from the new biomaterial composed by calcium phosphate and added silicon is compared with bovine hydroxyapatite by means of Hounsfield units in alveolar ridge preservation. Alveolar ridge preservation is a surgical technique proposed to reduce bone resorption caused by dental extraction, using a bone graft. This technique´s final goal is to facilitate implant insertion and rehabilitation.
Materials and methods: A study was carried out on 6 patients from the Faculty of Dentistry of the Complutense University of Madrid performing the technique of alveolar ridge preservation. Two groups were established, a test group in which the alveolar socket was filled with calcium phosphate and added silicon and a control group where the socket was filled with bovine hydroxyapatite. After 3 months, a cone-beam computed tomography was performed to evaluate the bone density achieved by both biomaterials.
Results: The average bone density achieved in the group treated with calcium phosphate and added silicon was 1100,40 ± 111,19 Hounsfield units whereas in the group treated with bovine hydroxyapatite the average bone density was 1029,46 ± 95,16 Hounsfield units.
Conclusions: Both biomaterials seem to present a similar behaviour in terms of densitometric results obtaining a density greater than 1000 Hounsfield units, having the calcium phosphate and added silicon the highest density.
Extreme vertical and horizontal atrophy combined in posterior mandibular sectors; use of short implants and 2-phase ridge expansion with transitional implants: A clinical case
The objective of this work is the presentation of a clinical case in which we show two surgical techniques to solve the horizontal bone atrophy.
Currently in implant dentistry, we are increasingly faced with cases of extreme bone resorption that force us to implement different surgical dental implant techniques. The coexistence of vertical and horizontal atrophy makes successful resolution of these cases more difficult, as well as having to face these types of more complicated situations with increasing frequency, due to patients demanding implant treatment even in such very severe cases. It is not uncommon therefore to use combined techniques which include ridge expansion or short implants, for example. The following clinical case presented advanced horizontal and vertical alveolar atrophy in the right and left posterior regions of the mandible. The treatment plan included the use of short implants for the vertical atrophy and a two-stage alveolar ridge split to treat the horizontal atrophy.
Atrophic posterior maxilla: sinus elevation with lateral approach Vs. Extra-short implants. Clinical case with eight years of follow-up
Vertical bone loss in the posterior maxillary sectors is a frequent occurrence after tooth extraction. These areas can often be rehabilitated using regeneration techniques or by opting for a more conservative approach with short implants.
The present clinical case shows bilateral rehabilitation with two different techniques: sinus lift and the insertion of short implants, with a follow-up of 8 years where both techniques have achieved equally predictable results.
Craniocervical position characteristics for different occlusions in developing patients: Craniocervical relationship and occlusion
Currently, the relationship between occlusion and posture arouses great scientific interest, especially during the establishment of a multidisciplinary treatment. However, the diversity of studies refers mostly to the adult population and there is no common agreement among the different investigations. Based on this, we aimed to study the craniocervical position in different occlusions in the developing pediatric population. Through a crosssectional design, 64 pediatric patients with complete clinical history and highquality lateral skull radiographs were selected. The variables analyzed by ImageJ™ and Nemoceph™ software’s were FP-MP, ANB angle, OPT-SN, CVT-SN and Ad1-Ba. Descriptive and comparative statistical analysis were carried out with IBM SPSS Statistics™ software, subsequently finding intra-examiner agreement. P-values obtained for each of these variables were 0.846 for FP-MP, 0.008 for ANB angle, 0.155 for OPT-SN, 0.415 for CVT-SN, and 0.221 for CVT-SN. Based on these results, we believe that the craniofacial position in the different occlusions could be determined by the fact that the development has not yet been completed.
Radiographic diagnosis of impacted maxillary canines: Comparison between two and three dimensions
Introduction: An impacted canine is a very common condition and raises several clinical complications. Early and exact diagnosis is important in order to minimise the risks and subsequent complications. The objective of this study is to analyse the effectiveness of two dimensions in the volumetric diagnosis for impacted maxillary canines, using the lines proposed by Alqerban as a reference.
Methods: An orthodontic study of the maxilla using orthopantomography with cone beam computed tomography (CBCT) at the Madrid European University Clinic was performed on 27 patients selected with 36 maxillary impacted canines. Three reference lines were drawn based on the distance from the cusp of the canine to the occlusal plane (L1), to the midline (L2) and to its ideal eruption site (L3), in both the orthopanthomography and the CBCT. As ideal reference values, we selected a control group of 36 erupted maxillary canines.
Results: The results were compared in 2 and 3 dimensions using the Student’s t test, after verifying their normal distribution using the Anderson-Darling contrast test. Statistical significance (p > 0.05) was not obtained for any of the variables studied.
Conclusions: The use of CBCT is vital to ensure good diagnosis of the canine position and its relationship with adjacent structures and thus establish an adequate treatment plan. However, orthopantomography provides sufficient information for initial planning.




































