Caso clínico
Celis Trigo J, Pérez-González F, Sánchez-Labrador L, Rodríguez Domínguez S, Meniz García C, Suárez García MJ, Madrigal Martínez-Pereda C, López-Quiles Martínez J. Utilización de dentina autóloga como material de regeneración. Rehabilitación de un paciente mediante tratamiento quirúrgico y prostodóncico con flujo digital. Cient. Dent. 2021; 18; 5; 331-337
Utilización de dentina autóloga como material de regeneración. Rehabilitación de un paciente mediante tratamiento quirúrgico y prostodóncico con flujo digital
Introducción: Existen numerosos procedimientos para conseguir un lecho óseo adecuado para colocar implantes tras la pérdida de dientes naturales. En los últimos años se han propuesto técnicas para la preservación del lecho tras la extracción dental. Los injertos de dentina autóloga ofrecen un sustrato conveniente con propiedades osteoinductivas y osteogénicas óptimas para la regeneración alveolar.
Objetivo: Se presenta un caso clínico de un paciente rehabilitado mediante un tratamiento quirúrgico y prostodóntico, y una actualización de la bibliografía en relación con los injertos de dentina autóloga.
Caso clínico: Varón de 64 años sin antecedentes médicos ni hábitos patológicos, que presenta desgastes severos, inestabilidad oclusal y problemas estéticos. Se realiza una rehabilitación integral del paciente combinando una técnica quirúrgica de preservación alveolar con injerto de dentina autóloga, tras la cual se procede a la colocación de implantes, con un tratamiento protésico de coronas de zirconio, incrustaciones de disilicato de litio y reconstrucciones de composite. El tratamiento protésico se realiza en dos fases, pasando por una fase de provisionalización previa a la colocación de las restauraciones definitivas, empleando el flujo digital. A los 6 meses el paciente se encuentra satisfecho y con una función y estética óptima.
Conclusiones: El injerto de dentina autóloga parece una alternativa eficaz y predecible como material de regeneración alveolar. Combinando esta técnica de preservación con una planificación digital, se puede maximizar el resultado del tratamiento rehabilitador, consiguiendo una mayor satisfacción del paciente.
Introduction: There are multiple procedures to achieve an adequate bone site for implant placement after teeth loss. In the last years, numerous techniques have been proposed for alveolar preservation. Dentin autologous grafts offer a convenient substrate with osteoinductive and osteogenic properties, which are optimum for alveolar regeneration.
Objective: In this article, a clinical case of a patient rehabilitated by surgical and prosthodontic treatment, and a review of the literature regarding autologous dentin grafts is presented.
Case report: 64 years old male, with no medical records or parafunctional habits, presents severe wear, occlusal instability and aesthetic problems. An integral rehabilitation is performed combining a surgical preservation technique with autologous dentin graft, after which the placement of the implants takes place, and a prosthodontic treatment with zirconium crowns, lithium disilicate inlays and composite restorations. The prosthodontic treatment is accomplished in two phases, going through a provisionalization phase previous to the placement of the definitive restorations, and digital workflow is used. 6 months later, the patient is satisfied, and function and aesthetic are optimum.
Conclusions: Dentin autologous graft offers a predictable and effective alternative as a material for alveolar regeneration. Combining this preservation technique, with a good digital planification, results can be maximized and satisfaction for the patient can be increased.
La pérdida de los dientes produce una serie de cambios dimensionales, tanto en sentido horizontal como en sentido vertical, que puede complicar la rehabilitación de las ausencias dentarias1 . En caso de atrofias severas, ya sea en maxilar o mandíbula, serán necesarias diferentes técnicas regenerativas para lograr una cantidad y calidad ósea adecuadas: regeneración ósea guiada, split crest, elevación de seno, bloques, etc2,3.
Para evitar estos problemas, se describió la técnica de preservación alveolar para minimizar la pérdida de anchura y altura tras una extracción dentaria. Se han empleado materiales diversos: desde el hueso autólogo, que se considera el gold standard, hasta hueso de origen bovino (xenoinjerto), hueso de banco de cadáver de origen humano (aloinjerto), materiales biocerámicos o incluso terapia celular. Por supuesto, todos estos materiales presentan una serie de ventajas y desventajas en su biodisponibilidad, tasas de reabsorción, manipulación, costes, etc4,5.
Desde hace unos años, se ha propuesto el empleo de la dentina autóloga como material de regeneración gracias a sus características de osteoinducción y osteoconducción6 . La composición bioquímica de la dentina (calcio y fosfato) es muy similar al hueso autógeno y sus propiedades físicas (densidad, homogeneidad y rugosidad) hacen de la dentina autógena un material interesante y biocompatible en preservación alveolar7 .
En el siguiente caso clínico, debido a los condicionantes sociales del paciente, se decidió emplear dentina autógena para regenerar los defectos creados en las extracciones, con el fin de conseguir un sustrato adecuado para la posterior colocación de implantes.
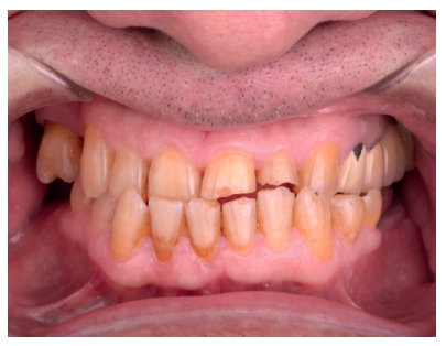
Se presenta el siguiente caso clínico de un varón de 64 años, que en un primer momento no presenta ningún antecedente, ni personal ni familiar, de interés, no toma ninguna medicación ni presenta hábito tabáquico. Acude a la Universidad Complutense de Madrid diciendo textualmente: “necesito ponerme dientes”. Se trata de un paciente con complejo para sonreír y que busca una solución funcional y a la vez estética (Figura 1).

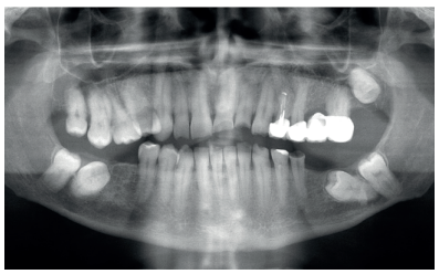
En una primera visita se realiza la historia clínica, serie de fotos intraorales y extraorales, así como una radiografía panorámica para planificar el caso conjuntamente entre el Máster de Prótesis Bucofacial y el Máster de Cirugía Bucal e Implantología. (Figura 2). Como consecuencia de las ausencias del primer y segundo molar inferior de ambos cuadrantes, el paciente presentaba desgastes generalizados en el resto de los dientes debido una sobrecarga e inestabilidad oclusal. Con todos los registros clínicos y radiográficos, se decidió conjuntamente entre Cirugía y Prótesis realizar una rehabilitación completa superior e inferior sobre dientes e implantes. Debido a las limitaciones económicas del paciente, se sugirió la posibilidad de emplear los segundos molares inferiores, que se encontraban retenidos, como material de injerto para la posterior colocación de implantes en esas áreas. Tanto el tercer como el cuarto cuadrante fueron tratados de la misma forma.

En una primera fase, se llevó a cabo la extracción del 3.7 y se empleó el mismo diente para realizar una preservación del defecto. Se realizó una anestesia troncular del nervio dentario inferior, nervio lingual y nervio bucal del lado izquierdo con articaína al 4% y adrenalina 1: 100,000 (Ultracaine®, Normon SL, Madrid, Spain). Se procedió a realizar una incisión supracrestal sin descargas y un despegamiento mucoperióstico a espesor total, asegurando la protección del colgajo lingual (Figura 3). Se realizó odontosección coronal para facilitar su extracción y, una vez removidas las raíces, se regularizaron los bordes y se dejó preparado para recibir el injerto (Figura 4).


A la hora de manipular el diente y procesar el material de injerto, se siguieron las recomendaciones de la máquina empleada (TT Tooth Transformer® SRL, Milan, Italia). Para ello, se eliminan con gasa y curetas los posibles restos de ligamento periodontal o tejidos blandos. Posteriormente el diente se divide en fragmentos más pequeños con la ayuda de una pieza de mano y un disco y se introduce en el molinillo (Figura 5). La máquina Tooth Transformer® presenta un ciclo de entre 30 y 40 minutos, en el cual se inserta un cartucho desechable que se encargará de la desmineralización y desinfección del diente, garantizando la viabilidad de las BMP-2 y el colágeno. A la finalización del ciclo se obtiene un injerto hidratado, de una partícula de grano fino, totalmente preparado para ser llevado a la zona a injertar (Figura 6).


Una vez que el injerto estuvo preparado, se rellenó el defecto con la partícula obtenida y se cubrió con una esponja de fibrina, (Gelatamp®, Coltene®, Langenau, Alemania), de acuerdo con el estudio de Ge y cols.8 (Figura 7). Se suturó con Supramid de 4/0 (Proclinic®, Zaragoza, España) y se instauró terapia antibiótica con Amoxicilina 750 mg 7 días, 1 comprimido cada 8 horas, analgésico (Paracetamol 600 mg cada 8 horas) y anti-inflamatorio (Ibuprofeno 800 mg cada 8 horas), así como las pertinentes medidas postoperatorias. Se revisó al paciente, tanto clínica como radiográficamente, a los 7 y 15 días, al mes y a los tres meses (Figura 8).


Al quinto mes se realizó un CBCT de control, para evaluar la homogeneidad en la zona y se planificó la colocación de un implante corto de 5 x 6 mm de Proclinic® (Figura 9) al mismo tiempo que fue tomada una biopsia de la zona. Se procedió a inyectar la misma anestesia que en la primera cirugía, se elevó un colgajo a espesor total y se tomó una biopsia con trefina de 3.5 mm de la zona injertada (Figura 10). En la misma zona donde fue realizada la toma de biopsia, sin pasar ninguna otra fresa, se colocó el implante empleándolo como expansor, de modo que se condensasen las paredes que rodeaban al implante (Figura 11).



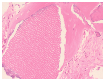
La muestra tomada se envió a analizar al Servicio Diagnóstico de Patología Oral y Maxilofacial del Dr. Aguirre en Vizcaya. El resultado de la biopsia describe “tejido óseo trabecular vital. Se observan múltiples fragmentos irregulares de dentina tubular, reconociéndose neoformación ósea en íntimo contacto de algunos de ellos”, además de aportar cortes microscópicos (Figura 12). Debido a que se observó una zona con una densidad muy baja, se recomendó la re-entrada a los 6 meses para evaluar la calidad del hueso regenerado con dentina.

Pasados tres meses de la colocación de los implantes, se realizó un control clínico y radiográfico, se procedió a realizar la segunda fase y se derivó al Máster de Prótesis Bucofacial para continuar con el tratamiento. Se planificó el caso de manera totalmente digital. La arcada superior se rehabilitó con coronas de circonio, mientras que en la arcada inferior se realizaron coronas y puentes de circonio sobre implantes, incrustaciones de disilicato de litio y reconstrucciones de los bordes incisales inferiores con resinas compuestas (Figura 13).

Durante la fase de provisionalización, el paciente fue diagnosticado de cáncer de colon por lo que fue intervenido quirúrgicamente, además de recibir radioterapia y quimioterapia coadyuvante. En todo momento se mantuvo el contacto con el médico oncólogo que llevaba el tratamiento del paciente, permitiendo, en cualquier caso, que finalizase la rehabilitación prostodóntica.
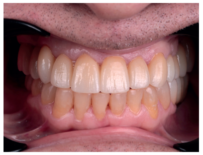
En la revisión realizada a los seis meses, el paciente ha recuperado la función y la estética y está plenamente satisfecho con el resultado (Figura 14.) La radiografía periapical de control de los implantes cargados presenta buenos niveles óseos y una completa integración del injerto de dentina (Figura 15).


A pesar de que el injerto de hueso autólogo sigue considerándose el gold standard como material de regeneración por sus propiedades osteogénicas, osteoinductivas y osteoconductivas, existen ciertas desventajas como el aumento de la morbilidad, un peor postoperatorio, un aumento en el tiempo de la cirugía o la disponibilidad limitada del sitio donante4 . Para hacer frente a estos inconvenientes, se ha descrito el empleo de otros materiales de regeneración como el xenoinjerto9 , los concentrados plaquetarios autólogos en preservación alveolar y como vehículo de otros biomateriales10, el uso de injertos alogénicos4 o de materiales sintéticos11. Aunque se observan resultados aceptables, en algunos de los casos se muestran unos índices de reabsorción vertical u horizontal no predecibles4 .
Debido a la similitud de sus características orgánicas e inorgánicas con las del hueso, se describe el empleo de dentina autóloga como material de regeneración12. Las propiedades de densidad, dureza y homogeneidad, así como su contenido en calcio y fosfato, explican su similitud con el hueso13. Además, se ha observado que en traumatismos en los que se reimplanta el diente con tejidos periodontales desvitalizados, la dentina se reemplaza por hueso, produciendo una anquilosis del diente. De esta forma, la dentina supone una alternativa efectiva, sencilla, accesible y económica6,9.
En el estudio de Pang y cols., donde se compara la hidroxiapatita bovinay la dentina autóloga, se vio que la neoformación ósea era similar, así como la tasa de contacto hueso-implante. Además, a nivel histomorfométrico no se hallaron diferencias estadísticamente significativas. Sin embargo, el injerto de dentina demostró tener mejor respuesta tisular, mayor resistencia a la infección y ganancia ósea vertical13.
Hoy en día, todavía no existe consenso en el tratamiento del diente previo a su transformación en injerto de dentina; hay estudios que eliminan el tejido pulpar9,12,13 mientras otros emplean dentina y pulpa14. En este caso clínico se realiza una limpieza del diente para eliminar restos de ligamento periodontal y, una vez limpio, se procede a triturar el diente. El procesado del material de injerto tiene, además, relación directa con el potencial osteoinductor del mismo, ya que parece estar relacionado con los niveles de proteínas morfogenéticas óseas (BMP-2), que podrían ser destruidas13. De esta forma, el método que propone este caso clínico evitaría todos los inconvenientes mencionados.
A nivel prostodóncico, la planificación digital ofrece numerosas ventajas con respecto a la alternativa convencional. En primer lugar, reduce los errores ocasionados por los materiales empleados en las técnicas convencionales o el error humano de manipulación. En segundo lugar, aumenta la comodidad del paciente y permite el almacenamiento sencillo de los diseños para, en caso de ser necesario, fabricar de nuevo la prótesis de manera rápida y económica15.
El paciente comenzó un tratamiento de radioterapia y quimioterapia en la fase de provisionalización. Es importante tener una buena comunicación con el médico oncólogo y con el paciente, para instruirlo en una buena técnica de higiene, recalcando la importancia de las revisiones frecuentes y fabricando prótesis que minimicen el riesgo de molestias. La supervivencia de los implantes en pacientes oncológicos se puede ver disminuida. Según un estudio realizado por Silva y cols. hay una reducción del 97,16% al 93,02% (p=0.16) en pacientes con cáncer. Aún así, se recomienda el tratamiento con implantes en pacientes oncológicos ya que se mejora su calidad de vida, siempre y cuando se tengan en cuenta los cuidados pertinentes16.
En definitiva, este caso clínico presenta una técnica de regeneración alveolar eficaz, segura y económica que, acompañada de una rehabilitación protésica elaborada mediante un flujo de trabajo digital, supone una alternativa de tratamiento óptima y con grandes niveles de satisfacción en los pacientes. Sin embargo, se requiere un mayor tiempo de seguimiento y realizar estudios en muestras de mayor tamaño para tener resultados más concluyentes.
La dentina autóloga ha demostrado ser capaz de regenerar defectos y ser empleada como sustrato para la colocación de implantes. Además, una buena planificación digital multidisciplinar, apoyada por buenos técnicos y siguiendo protocolos estandarizados, aporta grandes ventajas para todas las partes: clínico, técnico y paciente.
Orgeas GV, Clementini M, De Risi V, de Sanctis M. Surgical techniques for alveolar socket preservation: A systematic review. Int J Oral Maxillofac Implants 2013;28(4):1049–61.
Barone A, Varanini P, Orlando B, Tonelli P, Covani U. Deep-frozen allogeneic onlay bone grafts for reconstruction of atrophic maxillary alveolar ridges: a preliminary study. J Oral Maxillofac Surg. 2009;67(6):1300-1306.
Nissan J, Ghelfan O, Mardinger O, Calderon S, Chaushu G. Efficacy of cancellous block allograft augmentation prior to implant placement in the posterior atrophic mandible. Clin Implant Dent Relat Res 2011;13:279-85.
Stumbras A, Kuliesius P, Januzis G, Juodzbalys G. Alveolar ridge preservation after tooth extraction using different bone graft materials and autologous platelet concentrates: A systematic review. J Oral Maxillofac Res 2019 31;10(1):e2.
Avila-Ortiz G, Chambrone L, Vignoletti F. Effect of alveolar ridge preservation interventions following tooth extraction: A systematic review and meta-analysis. J Clin Periodontol. 2019 Jun;46 Suppl 21:195-223. doi: 10.1111/jcpe.13057. Erratum in: J Clin Periodontol 2020;47(1):129.
Sánchez-Labrador L, Pérez-González F, Martín-Ares M, Madrigal Martínez-Pereda C, López-Quiles Martínez J, MartínezGonzález JM. Utilización de dentina autógena como material de injerto en Cirugía Bucal. Cient Dent 2019; 16; 2; 155-160.
Sánchez-Labrador L, Martín-Ares M, Ortega-Aranegui R, López-Quiles J, Martínez-González JM. Autogenous dentin graft in bone defects after lower third molar extraction: A split-mouth clinical trial. Materials (Basel) 2020;13(14):3090.
Ge J, Yang C, Zheng J, Hu Y. Autogenous bone grafting for treatment of osseous defect after impacted mandibular third molar extraction: A randomized controlled trial. Clin Implant Dent Relat Res 2017; 19: 572-80.
Valdec S, Pasic P, Soltermann A, Thoma D, Stadlinger B, Rücker M. Alveolar ridge preservation with autologous particulated dentin-a case series. Int J Implant Dent 2017;3(1):12.
Liu Y, Sun X, Yu J, y cols. Platelet-rich fibrin as a bone graft material in oral and maxillofacial bone regeneration: Classification and summary for better application. Biomed Res Int 2019;2019:3295756.
Chavda S, Levin L. Human studies of vertical and horizontal alveolar ridge augmentation comparing different types of bone graft materials: A systematic review. J Oral Implantol 2018;44(1):74-84.
Kim YK, Kim SG, Byeon JH, y cols. Development of a novel bone grafting material using au- togenous teeth. Oral Surg Oral Med Oral Pathol Oral Radiol Endod 2010; 109(4):496-503.
Pang KM, Um IW, Kim YK, Woo JM, Kim SM, Lee JH. Autogenous demineralized dentin matrix from extracted tooth for the augmentation of alveolar bone defect: a prospective randomized clinical trial in comparison with anorganic bovine bone. Clin Oral Implants Res 2017;28(7):809- 815.
Schwarz F, Hazar D, Becker K, Sader R, Becker J. Efficacy of autogenous tooth roots for lateral alveolar ridge augmentation and staged implant placement. A prospective controlled clinical study. J Clin Periodontol 2018;45(8):996-1004.
Joda T, Zarone F, Ferrari M. The complete digital workflow in fixed prosthodontics: a systematic review. BMC Oral Health 2017;17(1):124
Silva IFD, Omaña-Cepeda C, MaríRoig A, López-López J, Jané-Salas E. Survival of dental implants in oncology patients versus non-oncology patients: A 5-year retrospective study. Braz Dent J 2020;31(6):650-656.

Celis Trigo, Jimena
Graduada en Odontología. Máster en Ciencias Odontológicas. Especialista en Implanto-prótesis. Departamento de Odontología Conservadora y Prótesis. Universidad Complutense de Madrid (UCM).
Pérez-González, Fabián
Graduado en Odontología. Máster en Cirugía Bucal e Implantología. Máster en Ciencias Odontológicas. Departamento de Especialidades Clínicas Odontológicas. UCM.
Sánchez-Labrador, Luis
Graduado en Odontología. Máster en Cirugía Bucal e Implantología. Máster en Ciencias Odontológicas. Departamento de Especialidades Clínicas Odontológicas. UCM.
Rodríguez Domínguez, Sara
Graduada en Odontología Universidad Rey Juan Carlos (URJC). Máster en Prótesis Bucofacial UCM. Máster Internacional en Estética Dental Avanzada UEMC. Departamento de Odontología Conservadora y Prótesis UCM.
Meniz García, Cristina
Profesora contratada doctora. Departamento de Especialidades Clínicas Odontológicas. UCM.
Suárez García, María Jesús
Directora del Máster de Prótesis Bucofacial. Departamento de Odontología Conservadora y Prótesis. UCM.
Madrigal Martínez-Pereda, Cristina
Directora del Máster de Cirugía Bucal e Implantología. Departamento de Especialidades Clínicas Odontológicas. UCM.
López-Quiles Martínez, Juan
Director del Máster de Cirugía Bucal e Implantología. Departamento de Especialidades Clínicas Odontológicas. UCM.
Indexada en / Indexed in: – IME – IBECS – LATINDEX – GOOGLE ACADÉMICO















