Científica Dental: febrero 2021 (edición exclusiva online)
Caso clínico
Espiga Pacheco J, Enríquez Garcés D, Ruiz Sáenz P L, Fernández Cáliz F, Martínez Rodríguez N, López-Quiles J. Abordaje mediante tres cavidades de un quiste dentígero de gran tamaño: a propósito de un caso. Cient. Dent. 2021; 18; 1; 7-13
Abordaje mediante tres cavidades de un quiste dentígero de gran tamaño: a propósito de un caso
El quiste dentígero se considera un quiste odontogénico del desarrollo que está asociado a la corona de un diente no erupcionado. Suele ser asintomático y carecer de clínica asociada por lo que frecuentemente se trata de un hallazgo casual. Sin embargo puede haber situaciones en los que el quiste afecte a estructuras próximas y/o alcance gran tamaño. Se presenta un caso de un paciente de 65 años que acude derivado por su odontólogo general al constatar la presencia de una lesión radiotransparente de gran tamaño en el cuarto cuadrante. Se realizó un abordaje mediante tres cavidades de la lesión para su completa remoción, así como del cordal incluido asociado a la misma. Por último se colocó una mini placa como refuerzo.
The dentigerous cyst is considered an odontogenic developmental cyst that is associated with the crown of a nonerupted tooth. It is usually asymptomatic and has no associated clinic, so it is usually a casual fi nding. However, it can affect nearby structures and / or reach large size. A case of a 65-year-old patient is presented who is referred by his general dentist to verify the presence of a large radiolucent lesion in the fourth quadrant. An approach was made using 3 cavities of the lesion for its complete removal, as well as the included wisdom tooth associated with it. Finally, a mini fi xing plate was placed as reinforcement.
El quiste dentígero, también llamado folicular, es un quiste de origen odontogénico que se incluye dentro del grupo de quistes del desarrollo. Aumenta de tamaño por acúmulo de líquido entre la corona de un diente retenido y las células del epitelio del folículo dentario. Aunque suelen ser asintomáticos y tener un crecimiento lento, no están exentos de poder alcanzar un gran tamaño, abombar las corticales, producir desplazamientos dentarios, parestesia incluso tener una transformación neoplásica1-3 .
Estadísticamente el quiste folicular tiene una incidencia mucho mayor que otras lesiones radiotransparentes que afectan al ángulo mandibular. Se trata de los quistes de desarrollo con mayor prevalencia, únicamente superados por los quistes de tipo inflamatorio1,3,4. En la revisión sistemática de Johson y cols 2014, suponían el 20% de 18 297 quistes analizados. Se localizan habitualmente en la mandíbula, por ser el tercer molar inferior el diente que con mayor frecuencia presenta algún grado de retención. Las siguientes localizaciones más usuales son los terceros molares y caninos maxilares5,6 .
Su aspecto radiológico se caracteriza por una imagen radiotransparente, circunscrita unilocular, bien delimitada y en su interior suele contener la corona de un diente retenido 1-3. Sin embargo, la exploración radiográfica nunca nos permitirá hacer un diagnóstico diferencial con otras entidades como el queratoquiste o con tumores de potencial de crecimiento mucho más agresivo, como el ameloblastoma uniquístico. Por este motivo, quedaría desaconsejada la actitud expectante1,2,4,7 .
El objetivo de este artículo es presentar el abordaje quirúrgico conservador de una lesión radiotransparente de gran tamaño que afecta al ángulo y cuerpo mandibular, con la intención de prevenir un debilitamiento excesivo de la mandíbula tras la remoción completa de dicha lesión.
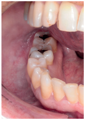
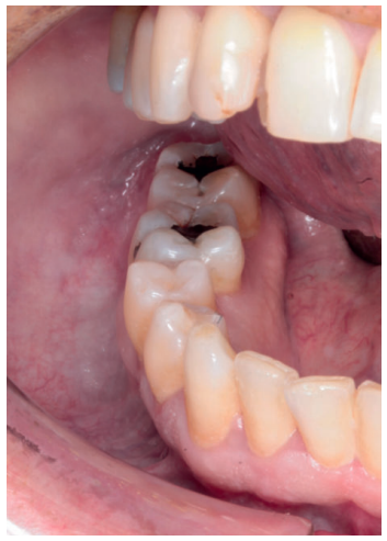
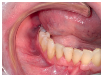
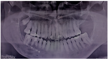
Acudió a servicio de cirugía oral, derivado por su odontólogo, un paciente varón de 65 años sin antecedentes médicos de interés, tras comprobar un importante crecimiento de una imagen radiotransparente respecto a última radiografía de hacía 5 años. El paciente no refirió sintomatología asociada. A la exploración extraoral no se apreció ningún tipo de deformidad ni afectación ganglionar. A la exploración intraoral pese a que se constató la integridad de las corticales, las cuales no estaban abombadas, sí que se pudo apreciar a la palpación un signo positivo de Dupuytren o de “Ping-Pong”. Además se constató una falta de afectación de los dientes del cuarto cuadrante que no presentaban movilidad y tenían una vitalidad positiva (Figura 1). Como complemento a la exploración clínica se solicitó un estudio mediante TAC, donde se apreció la extensión de una lesión radiotransparente que afectaba a rama y cuerpo mandibular derecho. (Figuras 2 y 3).



La cirugía se planteó bajo sedación y con el doble objetivo de la eliminación completa de la lesión con el cordal asociado y evitar un debilitamiento excesivo de la mandíbula. Para ello, se realizó un triple acceso a la lesión que nos permitiese por un lado despegar el quiste en toda su extensión mediante el uso de periostotomos y cucharillas de legrado, y por otro lado preservase una serie de “arbotantes” óseos que a su vez permitieran la posterior colocación de una mini placa desde la rama mandibular hasta el cuerpo, que actuase como refuerzo estructural (Figura 4).

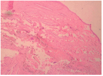
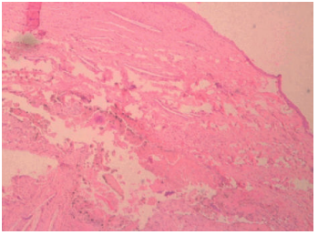
A nivel local, se anestesiaron los nervios alveolar inferior y bucal mediante articaina 40mg/ml con 0.01 mg/ml de epinefrina (Ultracain® , España). Se realizó una incisión intrasulcular a espesor total con una descarga distal alta en la rama mandibular que se extendió hasta distal del canino inferior izquierdo sin necesidad de realizar una descarga en este punto. Se despegó el colgajo con la ayuda de un periostotomo para poder acceder a la superficie ósea. Con pieza de mano y fresa redonda de carburo de tugsteno se realizaron tres cavidades equidistantes: la primera a la altura del trígono retromolar (Figura 5), la segunda apical a los premolares inferiores derechos y la tercera mesio-apical al canino inferior derecho. Dichos accesos permitieron abordar y despegar toda la lesión en su extensión para posteriormente poder traccionar de ella a través de la cavidad media (Figuras 6 y 7). La cavidad posterior sirvió también para realizar la exodoncia del cordal (Figura 8). Tras la eliminación del quiste se llevó a cabo un legrado minucioso de la cavidad remanente y se limpió con agua oxigenada. A continuación, se colocó la mini placa con una extensión desde la rama mandibular hasta mesial de la cavidad media. Por último, se reposicionó el colgajo y se suturó de forma hermética mediante una sutura poliamida recubierta no reabsorbible de 4/0 Supramid (Aragó® ) (Figura 9). La muestra obtenida se conservó en formaldehido al 10% y se envió al anatomopatólogo, el cual confirmó el diagnóstico de quiste dentígero sin displasia celular (Figuras 10 y 11).







Tras la intervención se dieron instrucciones postquirúrgicas detalladas y se instauró un tratamiento farmacológico de amoxicilina 875 mg + ácido clavulánico 125 mg 1/8h durante 15 días, diclofenaco 50mg 1/8h mínimo 5 días y metamizol magnésico 575 mg 1/8h mínimo 3 días.
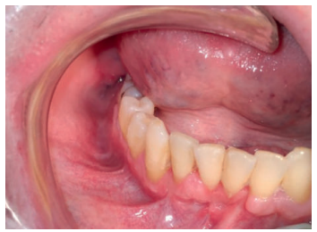
A los 7 días se revisó la herida quirúrgica, mientras que la retirada de puntos se realizó a los 15 días. Al mes se había producido una buena cicatrización de la zona intervenida y aunque el paciente no refirió molestias, si indicó una sensación de parestesia en el labio inferior derecho. (Figuras 12 y 13).


Tras la curación de los tejidos blandos y la desaparición de las molestias postquirúrgicas, su odontólogo general realizó el tratamiento de conductos de los dientes que habían estado en relación con el quiste: canino, premolares y molares inferiores derechos, al constatar que la vitalidad de estos ya no era positiva, por lo que cabe suponer que los paquetes vasculonerviosos de dichos dientes fueron dañados durante la cirugía.
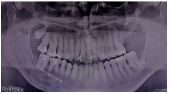
Dicha sensación de parestesia todavía perduraba en la última revisión realizada a los seis meses después de la intervención, momento en que se realizó una nueva radiografía panorámica. En ella se aprecia una buena osificación del gran defecto remanente (Figura 14).

El quiste dentígero o folicular es una disembrioplasia que se relaciona con un diente retenido, siendo éste en la mayoría de los casos un tercer molar inferior 1-3. Los dientes enclavados además de poder relacionarse con el origen de ciertos quistes o tumores tienen riesgos añadidos, como la aparición de caries dental, pericoronaritis, defectos periodontales, etc.7 . Por ello puede plantearse la opción de realizar exodoncias profilácticas en edades tempranas donde dicho acto se simplifica en comparación con pacientes de edades más avanzadas. Las extracciones que requieren un abordaje quirúrgico tampoco estas exentas de riesgos, produciéndose en el 15% de los casos algún tipo de complicación. Entre éstas destacan las infecciones postoperatorias, el riesgo de lesionar el nervio dentario inferior e incluso una posible fractura iatrogénica de la mandíbula8,9.
Este tipo de quiste suele ser, en la mayoría de los casos, asintomático y aunque pueden provocar abombamiento de las corticales, desplazamientos dentarios e incluso de forma poco habitual parestesia dentaria, suelen tratarse de hallazgos radiográficos casuales1,3,4. El tamaño de estas lesiones es variable. Desde unos milímetros hasta centímetros. En la primera situación debemos plantearnos si existe un verdadero quiste dentígero o se trata en realidad de un saco folicular agrandado. Normalmente se considera patológico a partir de una anchura mínima de 2,5 milímetros1,7. En el otro extremo, los quistes pueden alcanzar grandes dimensiones, como en este caso donde llega a ahuecar parte de la rama ascendente y el cuerpo mandibular. En esta situación debemos plantearnos un diagnóstico diferencial con un ameloblastoma uniquístico o un queratoquiste2,4,7 .
El ameloblastoma uniquístico es un tumor odontogénico benigno con componente predominantemente epitelial que tiene un potencial de crecimiento muy agresivo, por lo que su tratamiento, al requerir mantener márgenes de seguridad, también lo será. Suele relacionarse con un cordal no erupcionado por lo que parece un quiste dentígero1,12. En este caso, la exploración radiológica nos mostró una imagen radiotransparente, circunscrita y unilocular que había tenido una evolución lenta de años, lo que llevó a plantearnos en primera instancia que la lesión se trataba de un quiste y no de un tumor. Ante la obligatoriedad de realizar un análisis anatomopatológico de este tipo de lesiones tras su remoción, se descartó la posibilidad de realizar una biopsia incisional, previa a la intervención, con el objetivo de conocer la naturaleza de la lesión, ya que en el caso menos probable de que se tratara de un ameloblastóma uniquístico se hubiera podido plantear una segunda intervención con el objetivo de realizar unos márgenes de seguridad más amplios. De este modo se pretendió evitar al paciente otro abordaje quirúrgico, en caso de que la biopsia confirmara nuestro diagnóstico de sospecha. El paciente fue informado de que el diagnóstico definitivo queda determinado por el análisis anatomopatológico, y que ciertas lesiones, pese a no ser malignas, pueden requerir de una remoción de tejido óseo adyacente a la lesión para prevenir posibles recidivas lo que implicaría tener que realizar otra intervención.
Ante quistes de grandes dimensiones, puede plantearse además de la quistectomía un abordaje más conservador que consiste en una descompresión previa de la lesión para facilitar la posterior remoción del quiste y reducir así el riesgo de dañar estructuras nobles cercanas, como en nuestro caso el nervio alveolar inferior derecho4 . La descompresión consiste en, a través de una pequeña apertura en el hueso y en la pared del quiste, vaciar el contenido quístico mediante irrigaciones abundantes de sueno salino. La apertura se mantiene permeabilizada a la cavidad oral y se instruye al paciente para que el mismo realice estos enjuagues en su domicilio. Esta técnica busca favorecer un proceso de osteogénesis que disminuya con el paso de los meses el tamaño del quiste. La descompresión tiene una serie de desventajas como la larga duración del tratamiento y la necesidad de una colaboración absoluta por parte del paciente, además de no ser siempre efectiva11,12 . Song y cols 201513 en un estudio retrospectivo de 37 pacientes, en los que se realizó la técnica de descompresión, llegaron a encontrar una relación negativa entre la edad del paciente y la capacidad y velocidad a la que la lesión podía reducir su tamaño, seguramente como consecuencia de que la capacidad osteogénica y de recuperación se reducen con la edad. Debido a las características de nuestro paciente y, en consenso con él tras haber sido suficientemente informado de las opciones terapéuticas y de los posibles riesgos, se optó por la enucleación del quiste.
Tras la remoción de un quiste de gran tamaño como en este caso, el clínico debe plantearse qué hacer con la cavidad remanente, existiendo diferentes opciones. Distintos autores14-18 llevan defendiendo desde hace más de 20 años la regeneración espontánea de grandes defectos, como Chiapasco y cols.,14 en el año 2000 o más recientemente Rubio y cols.,15 en el año 2015 en un estudio clínico aleatorizado retrospectivo. Estos autores explican que el hueso se formará a través de los procesos fisiológicos que se producen en el coágulo que ocupa dicha cavidad.
Otras opciones de tratamiento pasarían por rellenar el espacio resultante con algún tipo de biomaterial que pudiese facilitar un proceso de ostegénesis y el uso combinado o no de de una membrana. En este caso se descartaron estas opciones, no solo por la evidencia científica que no justifica su uso, sino que además se traducen en un mayor coste económico para el paciente y un aumento de riesgo de aparición de complicaciones asociadas al propio uso de un injerto. Al haberse conseguido preservar intacto el periostio en la fase de abordaje a la lesión, se descartó también la cobertura de las cavidades óseas con cualquier tipo de membrana.
La frecuencia de aparición del quiste folicular relacionado con cordales incluidos hace necesario que el odontólogo esté familiarizado con dicha patología, siendo el tratamiento de elección la enucleación completa del mismo y quedando la actitud expectante desaconsejada. El posterior análisis anatomopatológico de la lesión cobra especial importancia para poder determinar un diagnóstico diferencial con entidades más agresivas como el ameloblastoma uniquístico y el queratoquiste, en cuyo caso el tratamiento no podría considerarse finalizado.
Martínez-González JM. Quistes odontógenos del desarrollo. Otros quistes. En: Donado M, editor. Cirugía bucal. Patología y técnica. 4ª ed. Barcelona. Masson; 2014. P499-502
Borrás-Ferreres J, Sánchez-Torres A, Aguirre-Urizar JM, Gay-Escoda C. Dentigerous cyst with parietal and intracystic calcifications: A case report and literature review. J Clin Exp Dent 2018; 10(3): 296-9.
Motamedi MH, Talesh KT. Management of extensive dentigerous cysts- Br Dent J 2005; 198(4):203-6.
Riachi F, Khairallah CM, Ghosn N, Berberi AN. Cyst volume changes measured with a 3d reconstruction after decompression of a mandibular dentigerous cyst with an impacted third molar. Clin Pract 2019; 9(1): 12-6.
Martínez-González JM. Aspectos epidemiológicos y clínicos. En: Dientes retenidos I (terceros molares) ed. Normon; 2016. P35-41.
Kackzor-Urbanowicz, Zadurska M, Czochrowska E. Impacted teeth: an interdisciplinary perspective. Adv Clin Exp Med 2016; 25(3): 575-85.
Mello FW, Melo G, Kammer PV, Speight PM, Rivero ERC. Prevalence of odontogenic cysts and tumors associated with impacted third molars: A systematic eview and meta-analysis. J Craniomaxillofac Surg 2019; 47(6): 996-02.
Agrawal A, Yadav A, Chandel S, Singh N, Singhal A. Wisdom tooth – complications in extraction. J Contemp Dent Pract 2014; 15(1): 34- 6.
Gbotolorun OM, Olojede AC, Arotiba GT, Ladeinde AL, Akinwande JA, Bambgbose BO. Impacted mandibular third molars: presentation and postoperative complications at the Lagos University Teaching Hospital. Nig Q J Hosp Med 2007; 17(1): 26-9.
Martínez- González JM. Tumores odontogénicos benignos. En: Donado M, editor. Cirugía bucal. Patología y técnica. 4ª ed. Barcelona. Masson; 2014. P 516-7.
Enislidis G, Fock N, Sulzbacher I, Ewers R. Conservative treatment of large cystic lesions of the mandible: a prospective study of the effect of decompression. Br J Oral Maxillofac Surg 2004; 42(6): 546-50.
Soliman MM, Dayem Hassan HA, Elgazaerly H. Marsupialization as a treatment modality of large jaw cysts. World Appl Sci J 2013; 21: 1752-9
Song IS, Park HS, Seo BM, Lee JH, Kim MJ. Effect of decompression on cystic lesions of the mandible: 3-dimensional volumetric analysis. Br J Oral Maxillofac Surg 2015; 53(9):841-8.
Chiapasco M, Rossi A, Motta JJ, Crescentini M. Spontaneous bone regeneration after enucleation of large mandibular cysts: a radiographic computed analysis of 27 consecutive cases. J Oral Maxillofac Surg. 2000; 58(9):942-9.
Rubio ED, Mombrú CM. Spontaneous bone healing after cysts enucleation without bone grafting materials: a randomized clinical study. Craniomaxillofac Trauma Reconstr 2015; 8(1): 14-22.
Perjuci F, Ademi-Abdyli R, Abdyli Yll, Morina E, Gashi A, Agani Z, Ahmedi J. Evaluation of spontaneous bone healing after enucleation of large residual cyst in maxilla without graft material utilization: case report. Acta Stomatol Croat 2018; 52(1): 53-60.
Ihan Hren N, Miljavec M. Spontaneous bone healing of the large bone defects in the mandible. Int J Oral Maxillofac Surg 2008; 37(12): 1111-6.
Zhao Y, Liu B, Wang SP, Wang YN. Computed densitometry of panoramic radiographs in evaluation of bone healing after enucleation of mandibular odontogenic keratocysts. Chin J Dent Res 2010; 13(2): 123-6.

Espiga Pacheco, Javier
Máster de Cirugía Bucal, Implantología e Implantoprótesis del Hospital Virgen de la Paloma. Madrid.
Enríquez Garcés, Daniel
Máster de Cirugía Bucal, Implantología e Implantoprótesis del Hospital Virgen de la Paloma. Madrid.
Ruiz Sáenz, Pedro Luis
Doctor en Odontología. Responsable de la Unidad de Estomatología y Gerodontología del Hospital Central de la Cruz Roja de Madrid.
Fernández Cáliz, Fernando
Colaborador de prácticas externas del Departamento de Especialidades Clínicas Odontológicas. Facultad de Odontología. Universidad Complutense de Madrid. Coordinador del Máster de Cirugía Bucal e Implantología del Hospital Virgen de la Paloma. Madrid.
Martínez Rodríguez, Natalia
Doctora en Odontología. Coordinadora del Máster de Cirugía Bucal e Implantología del Hospital Virgen de la Paloma. Madrid.
López-Quiles, Juan
Profesor contratado doctor del Departamento de Especialidades Clínicas Odontológicas. Facultad de Odontología. Universidad Complutense de Madrid.














