Científica Dental: abril 2021 (edición exclusiva online)
Caso clínico
Vera Vázquez C, Honrubia Fernández I, De Vega Calleja S, Belliard Tiol V, Ceballos García L. ¿Es la pulpotomía una alternativa al tratamiento de conductos para los dientes con síntomas de pulpitis irreversible? A propósito de un caso. Cient. Dent. 2021; 18; 2; 119-125
¿Es la pulpotomía una alternativa al tratamiento de conductos para los dientes con síntomas de pulpitis irreversible? A propósito de un caso
La pulpotomía total o parcial es una opción terapéutica conservadora para los dientes permanentes con ápice cerrado con signos y síntomas de pulpitis irreversible. Permite preservar los mecanismos de defensa inmune y el potencial regenerativo del tejido pulpar sano remanente, mantiene la integridad estructural del diente y disminuye las complicaciones asociadas al tratamiento de conductos.
En el presente caso clínico se describe el tratamiento de un 3.7 con diagnóstico de pulpitis irreversible y periodontitis apical sintomática en el que se llevó a cabo una pulpotomía parcial con Biodentine® (Septodont, Sant-Maur-des-Fossés, Francia) durante las prácticas clínicas del Máster de Odontología Restauradora Estética y Endodoncia de la Universidad Rey Juan Carlos. Se presenta el seguimiento a 18 meses.
Complete or partial pulpotomy is a conservative therapeutic option for permanent teeth with closed apex with signs and symptoms of irreversible pulpitis. It preserves the immune defence mechanisms and regenerative potential of the remaining healthy pulp tissue, maintains the structural integrity of the tooth and reduces complications associated with root canal treatment.
This case report describes the treatment of a 3.7 with a diagnosis of irreversible pulpitis and symptomatic apical periodontitis in which a partial pulpotomy was performed with Biodentine® (Septodont, Sant-Maur-des-Fossés, France) during the clinical practice of the Master’s Degree in Aesthetic Restorative Dentistry and Endodontics at the Rey Juan Carlos University. The 18-month follow-up is presented.
La pulpotomía total se define como la remoción de la porción coronal de la pulpa vital preservando la vitalidad de la porción radicular restante, mientras que la pulpotomía parcial o de Cvek consiste en la remoción de una pequeña porción de la pulpa vital coronal preservando el tejido pulpar remanente coronal y radicular1 . Tradicionalmente, la indicación de la pulpotomía parcial se reducía a dientes permanentes con ápice abierto, y la total era un tratamiento restringido a dentición temporal. Sin embargo, con el desarrollo de los materiales biocerámicos y la mejora en el conocimiento de la biología pulpar y su respuesta ante el proceso carioso, la pulpotomía total o, incluso, la parcial, se han convertido en alternativas terapéuticas definitivas frente al tratamiento de conductos en dientes permanentes con ápice cerrado con signos y síntomas de pulpitis irreversible2 .
Este tratamiento mínimamente invasivo, permite preservar los mecanismos de defensa inmune y el potencial regenerativo del tejido pulpar sano remanente, manteniendo la integridad estructural del diente y disminuyendo las complicaciones asociadas al tratamiento de conductos. También permite reducir costes y posibles molestias a los pacientes3 . Sin embargo, será fundamental para conseguir el éxito a largo plazo considerar una serie de requisitos: una correcta selección del caso, trabajar en condiciones de asepsia, utilizar un biomaterial adecuado y realizar un correcto sellado coronal2 .
El caso clínico expuesto a continuación describe la realización de una pulpotomía parcial con Biodentine® (Septodont, Sant-Maur-des-Fossés, Francia) en un 3.7 que presentaba pulpitis irreversible y periodontitis apical sintomática. Se presenta la revisión a 18 meses.
Una paciente de 57 años fue derivada a la consulta del Máster de Odontología Restauradora Estética y Endodoncia de la Universidad Rey Juan Carlos por presentar dolor intenso en el 3.7 con los cambios térmicos, la masticación y, ocasionalmente, de forma espontánea, “desde hace unos días no cedía con los analgésicos y la despertaba por la noche”.
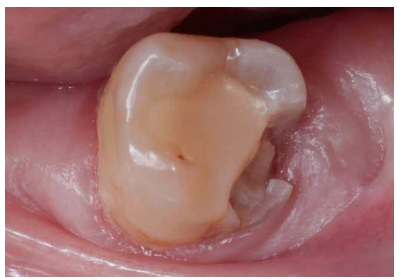
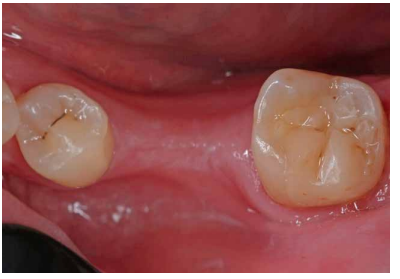
La paciente no presentaba antecedentes médicos de interés. En la exploración clínica (Figura 1) se observó que el 3.7 presentaba una lesión cariosa extensa, correspondiendo a un valor ICDAS 6, y una restauración oclusal previa de composite. En la exploración radiográfica (Figura 2) no se apreciaba banda de dentina entre la lesión cariosa y la cámara pulpar. Por tanto, según la clasificación clínico-radiográfica del International Caries Classification and Management System (ICCMS®) 4 se considera una lesión de caries severa. Presentaba un ligero ensanchamiento del espacio del ligamento periodontal en la raíz mesial y lesión apical. Se realizaron las pruebas de diagnóstico pulpar y periapical pertinentes (Tabla 1). El diagnóstico pulpar fue pulpitis irreversible sintomática y el diagnóstico periapical fue periodontitis apical sintomática.



El plan de tratamiento propuesto a la paciente fue una pulpotomía parcial, considerando que durante la realización del tratamiento se valoraría el estado pulpar y en función de ello, se llevaría a cabo el tratamiento propuesto o sería necesaria una pulpotomía completa o el tratamiento de conductos, en última instancia.
A nivel restaurador, se propusieron a la paciente dos opciones terapéuticas: restauración directa o indirecta con resina compuesta, dado que el antagonista era un diente natural. Finalmente, se optó por una restauración directa por estar los márgenes cavo-superficiales en esmalte, la ausencia de dientes adyacentes, lo que facilitaba la restauración, y por las limitaciones presupuestarias de la paciente.
Pulpotomía parcial
En primer lugar, se realizó una técnica de anestesia troncular del nervio dentario inferior izquierdo e infiltrativa vestibular a nivel del 3.7 con articaína 40 mg/ml y epinefrina 0,005 mg/ml (Ultracaín, Normon; Madrid, España). Se procedió al aislamiento y desinfección del diente con clorhexidina 0,2% (Lácer; Barcelona, España).
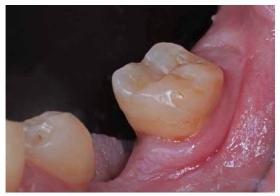
Se continuó con la remoción no selectiva de la caries y de la restauración previa con fresas redondas de turbina y contraángulo (Figura 3). Posteriormente, se expuso la pulpa en la zona más cercana a la lesión en una extensión de unos 2-3 mm con una fresa estéril redonda de diamante montada en turbina con abundante refrigeración. Se observó la pulpa y la sangre era roja brillante (Figura 4). Se controló el sangrado con una bolita de algodón embebida en hipoclorito de sodio 3% que se aplicó durante 2 minutos (Figura 5).



A continuación, se procedió a colocar Biodentine®. Se añadieron 5 gotas de líquido a la cápsula de polvo y se posicionó en el soporte. Se mezcló en el vibrador Cap-Mix (3M Oral Care; Two Harbors, Minnesota, EE. UU.) durante 30 segundos y se colocó con un condensador extendiéndolo más allá de los márgenes de la exposición pulpar. Se dejó fraguar 12 minutos, siguiendo las instrucciones del fabricante, y se procedió a remover los excesos con una fresa de contraángulo redonda estéril.
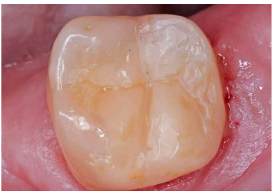
Por último, se realizó la restauración encofrando el diente con una matriz Automatrix (Dentsply Sirona; York, Pensilvania, EE. UU.) (Figura 6). Se grabó el esmalte de forma selectiva con ácido ortofosfórico 37% (Total Etch, Ivoclar Vivadent; Liechtenstein) y se aplicó adhesivo autograba dor de dos pasos Clearfil SE Bond 2 (Kuraray; Tokio, Japón), como indica el fabricante. Se colocó composite Filtek Supreme XTE A3,5 Body (3M Oral Care; Minnesota, EE. UU.) con técnica incremental polimerizando 40 segundos cada capa con la lámpara Polylux II (Kavo; Biberach, Baden-Wurtemberg, Alemania). Se retiró la matriz, el aislamiento y se ajustó la oclusión. Se eliminaron los excesos en distal con una hoja de bisturí número 12 y se pulió la restauración con el sistema PoGo (Dentsply Sirona; York, Pensilvania, EE. UU.) (Figuras 7 y 8).



Revisiones
A los dos días se realizó una consulta telefónica a la paciente, refiriendo que había tenido molestias durante el día de la intervención, que habían cedido por completo, sin necesidad de tomar medicación analgésica.
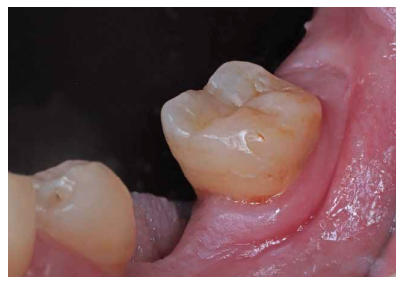
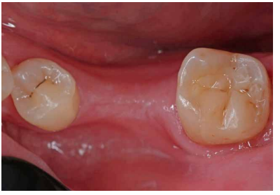
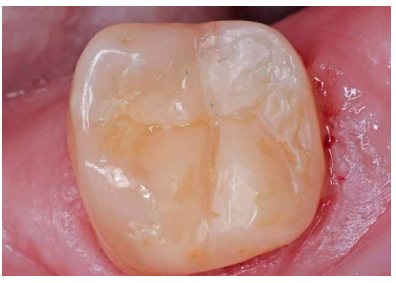
Se realizaron revisiones a 1 mes, 6 y 18 meses (Figuras 9 y 10), observando en la última radiografía de control mejoría en la lesión apical de la raíz distal. En todas las revisiones, la paciente se encontraba asintomática, la prueba de sensibilidad al frío fue fisiológica, al igual que la prueba de palpación, percusión y de mordida. El sondaje y la movilidad continuaban fisiológicos.


La pulpitis se clasifica clínicamente en reversible o irreversible según hallazgos subjetivos y objetivos que indican que la inflamación debería resolverse y la pulpa volver a la normalidad con el manejo apropiado de la etiología, o que es incapaz de curar1 . Desde hace tiempo, se ha cuestionado si realmente existe buena relación entre el diagnóstico clínico de pulpitis reversible o irreversible con el diagnóstico histológico5 . Ricucci y cols.6 observaron que, en dientes diagnosticados clínicamente como pulpitis irreversible, a nivel histológico, los cambios morfológicos asociados a la inflamación y necrosis pulpar están limitados a su parte coronal, en muchas ocasiones no llegando a invadir la pulpa radicular. Por lo que se sugiere que los términos reversible e irreversible se refieran más bien al estado de parte del tejido pulpar y no de la pulpa al completo7 . Incluso, Taha y cols.2 proponen que se eliminen los términos reversible e irreversible y se utilice únicamente el término pulpitis para definir el estado de inflamación pulpar.
Basándose en los signos y síntomas clínicos no se ha demostrado que se pueda determinar la extensión de la degeneración pulpar. La única manera de saber con determinación esto es la confirmación histológica. Como no se puede realizar una biopsia pulpar en la clínica, durante el tratamiento, el aspecto de la pulpa expuesta tras la remoción no selectiva del tejido cariado, observada con magnificación, y la capacidad de controlar el sangrado serán los factores que marcarán hasta dónde extender la amputación pulpar para llegar a pulpa viable7,8. La presencia de color oscuro o amarillento, ausencia de sangrado o incluso la aparición de pus en la exposición pulpar indica la presencia de necrosis pulpar. En este caso se debe eliminar este tejido hasta identificar pulpa sana y conseguir control de la hemostasia con un algodón embebido en solución desinfectante (hipoclorito de sodio 1-3%)7 .
En el caso clínico expuesto, la paciente presentaba pulpitis irreversible y periodontitis apical sintomática. El tratamiento clásico para estos casos es la endodoncia, que presenta una alta tasa de éxito cuando se realiza según los estándares de calidad9 . Sin embargo, sobre todo cuando la calidad técnica no es adecuada, se observan numerosos fracasos asociados a periodontitis apical10.
En los últimos años se han publicado ensayos clínicos aleatorizados con altas tasas de éxito cuando se realiza una pulpotomía, total o parcial, en dientes con exposición pulpar por caries que presentan signos y síntomas clínicos de pulpitis irreversible, con o sin lesiones periapicales asociadas, tal y como se describe en la Tabla 2. La pulpotomía, parcial o total, se propone como una alternativa más conservadora, técnicamente más sencilla y que puede permitir ahorrar tiempo y costes para ambas partes2 .

Sin embargo, aún es una técnica poco conocida y utilizada por los odontólogos españoles, tal y como queda patente en el trabajo de Crespo-Gallardo y cols11. Al ser preguntados por el tratamiento de elección cuando se produce una exposición pulpar, durante el tratamiento de una lesión de caries profunda en un paciente con síntomas, únicamente un 8% de los odontólogos españoles encuestados realizaría pulpotomía, un 8,8% un recubrimiento pulpar directo y el 83,2% se decantaría por el tratamiento de conductos. Estos datos están en concordancia con otros estudios realizados en EE. UU. y Noruega12,13.
Dentro de estudios clínicos publicados sobre pulpotomías, cabe destacar la serie de Asgary y cols.14-16, ya que el número de dientes evaluados es alto, cuenta con el periodo de evaluación clínico y radiográfico más alto, 12, 24 y 60 meses, y es multicéntrico. Los investigadores compararon la tasa de éxito realizando pulpotomías o tratamiento de conductos, en dientes con ápice cerrado con signos y síntomas de pulpitis irreversible, sin diferencias en la tasa de éxito de ambos tratamientos y, sin que influyera ni el sexo, ni la edad, ni la presencia de lesiones radiográficas periapicales previas. Autores como Taha y cols.17 reportan una tasa de éxito aún más alta, llegando al 100% al año y 92,7% a los tres años cuando se realizaban pulpotomías completas con MTA en 40 dientes permanentes con pulpitis irreversible, de los cuales 14 presentaban una lesión periapical previa que mejoró tras el tratamiento.
Además, recientemente se han publicado dos revisiones sistemáticas sobre pulpotomías en dientes permanentes con pulpitis irreversible. Cushley y cols.18 encontraron que para el tratamiento de pulpotomía coronal en dientes permanentes con ápice cerrado que presentaban pulpitis irreversible, la tasa de éxito clínico fue del 97,4% y 95,4% de éxito radiográfico a los 12 meses, disminuyendo al 93,97% y 88,39%, respectivamente, a los 36 meses. En concordancia con estos resultados, la revisión de Li y cols.19 concluye recomendando la pulpotomía como sustituta de la endodoncia para el tratamiento de dientes permanentes con exposición pulpar por caries con pulpitis irreversible. Sin embargo, hay que considerar que aún son pocos los estudios clínicos publicados y, además, varían en su diseño, número de participantes y presentan un alto riesgo de sesgo, por lo que los resultados hay que tomarlos con precaución.
En referencia al procedimiento clínico se recomienda que, para asegurar el éxito de los tratamientos de la pulpa vital, se ejecuten de la manera más aséptica posible: profilaxis previa, trabajar bajo aislamiento absoluto, desinfección del campo operatorio y utilizar instrumentos estériles después de la remoción de la caries7.
En cuanto al material que se ha de colocar sobre el tejido pulpar, el hidróxido de calcio ha sido el material más utilizado para el tratamiento de la pulpa vital20. Sin embargo, actualmente, existe evidencia científica sobre la superioridad de los materiales biocerámicos frente al hidróxido de calcio19,21. Un ejemplo de ello sería el trabajo de Taha y Khazali22 en el que compararon los resultados de las pulpotomías parciales realizadas con agregado trióxido mineral (MTA) y con hidróxido de calcio en 50 molares permanentes con pulpitis irreversible. La tasa de éxito de la pulpotomía parcial con MTA fue del 83% al año y del 85% a los dos años. Sin embargo, más de la mitad de los casos realizados con hidróxido de calcio habían fracasado en el control a los dos años.
En el caso clínico aquí expuesto se decidió utilizar Biodentine®. Es un cemento con base de silicato tricálcico comparable al MTA en biocompatibilidad y en su capacidad de inducir la formación de dentina, que presenta las ventajas de un manejo más sencillo, un tiempo de fraguado menor y se evita la posible decoloración asociada al MTA23. Además, no se han observado diferencias estadísticamente significativas en la tasa de éxito entre el uso de MTA y Biodentine® para terapias de pulpa vital24. Un ejemplo de su buen comportamiento clínico es el estudio prospectivo de Taha y Abdelkhader25 en el que realizaron pulpotomías completas con Biodentine® en 64 dientes con ápice cerrado con diagnóstico de pulpitis irreversible, asociados o no a patología periapical, y obtuvieron una tasa de éxito radiográfico al año del 93,8% y clínico del 100%.
En cuanto al periodo de seguimiento, parece ser que dos años son adecuados en casos de pulpotomía, puesto que la mayoría de los fracasos suelen ocurrir en este periodo2 . Los fracasos tempranos parecen estar asociados a una incorrecta valoración del estado inflamatorio de la pulpa, mientras que la restauración coronal ha mostrado ser un factor importante para el éxito del tratamiento a largo plazo26.
En el caso clínico expuesto, no se pudo realizar la revisión de los 12 meses debido a la situación de emergencia sociosanitaria causada por la COVID-19. A los 18 meses la paciente está asintomática, no presenta molestias a la palpación o percusión ni tumefacción y responde adecuadamente a la prueba de sensibilidad al frío. Radiográficamente no presenta signos de reabsorción interna ni patología periapical. Se considera que el tratamiento ha sido un éxito a nivel clínico y radiográfico2 .
Durante la crisis global causada por la COVID-19, se ha observado que la principal urgencia odontológica atendida en varios lugares del mundo ha sido el dolor de origen pulpar, originado en su mayoría por la pulpitis irreversible sintomática27-30. Por tanto, sería una opción terapéutica a tener en cuenta por su simplicidad y, además, reducir el tiempo de tratamiento y controlar el número de exposiciones reduciendo así el riesgo de infección.
Desde el entendimiento de la biología pulpar y tras los excelentes resultados que muestran los estudios clínicos publicados, la pulpotomía ofrece una opción terapéutica conservadora para aquellos dientes, como en el caso clínico expuesto, con signos y síntomas de pulpitis irreversible que tradicionalmente eran tratados con endodoncia.
American Association of Endodontists. Glossary of Endodontic Terms. AAE 2019; 10th ed.
Taha NA, About I, Sedgley CM, Messer HH. Conservative management of mature permanent teeth with carious pulp exposure. J Endod 2020; 46: 33-41.
Wolters WJ, Duncan HF, Tomson PL y cols. Minimally invasive endodontics: A new diagnostic system for assessing pulpitis and subsequent treatment needs. Int Endod J 2017; 50: 825-9.
Martignon S, Pitts N, Goffin G y cols. CariesCare practice guide: consensus on evidence into practice. Br Dent J 2019; 227: 353–62.
Seltzer S, Bender IB, Ziontz M. The dynamics of pulp inflammation: correlations between diagnostic data and actual histologic findings in the pulp. Oral Surg Oral Med Oral Pathol 1963; 16: 846-71.
Ricucci D, Loghin S, Siqueira J Jr. Correlation between clinical and histologic pulp diagnoses. J Endod 2014; 40: 1932-9.
Ricucci D, Siqueira Jr JF, Li Y, Tay FR. Vital pulp therapy: histopathology and histobacteriology-based guidelines to treat teeth with deep caries and pulp exposure. J Dent 2019; 86: 41-52.
Lin LM, Ricucci D, Saoud TM, Sigurdsson A, Kahler B. Vital pulp therapy of mature permanent teeth with irreversible pulpitis from the perspective of pulp biology. Aust Endod J 2020; 46: 154-66.
Ng YL, Mann V, Rahbaran S, Lewsey J, Gulabivala K. Outcome of primary root canal treatment: systematic review of the literature—part 2. Influence of clinical factors. Int Endod J 2008; 41: 6-31.
Van der Veken D, Curvers F, Fieuws S, Lambrechts P. Prevalence of apical periodontitis and root filled teeth in a Belgian subpopulation found on CBCT images. Int Endod J 2017; 50: 317-29.
Crespo-Gallardo I, Hay-Levytska O, Martín-González J, Jiménez-Sánchez MC, Sánchez-Domínguez B, SeguraEgea JJ. Criteria and treatment decisions in the management of deep caries lesions: Is there endodontic overtreatment? J Clin Exp Dent 2018; 10: 751-60.
Koopaeei MM, Inglehart MR, McDonald N, Fontana M. General dentists’, pediatric dentists’, and endodontists’ diagnostic assessment and treatment strategies for deep carious lesions. A comparative analysis. J Am Dent Assoc 2017; 148: 64-74.
Stangvaltaite L, Kundzina R, Eriksen HM, Kerosuo E. Treatment preferences of deep carious lesions in mature teeth: questionnaire study among dentists in Northern Norway. Acta Odontol Scand 2013; 71: 1532-7.
Asgary S, Eghbal MJ, Ghoddusi J, Yazdani S. One-year results of vital pulp therapy in permanent molars with irreversible pulpitis: an ongoing multicenter, randomized, non-inferiority clinical trial. Clin Oral Investig 2013; 17: 431-9.
Asgary S, Eghbal MJ, Ghoddusi J. Two-year results of vital pulp therapy in permanent molars with irreversible pulpitis: an ongoing multicenter randomized clinical trial. Clin Oral Investig 2014; 18: 635-41.
Asgary S, Eghbal MJ, Fazlyab M, Baghban AA, Ghoddusi J. Five- year results of vital pulp therapy in permanent molars with irreversible pulpitis: a noninferiority multicenter randomized clinical trial. Clin Oral Investig 2014; 19: 335-41.
Taha NA, Ahmad MB, Ghanim A. Assessment of mineral trioxide aggregate pulpotomy in mature permanent teeth with carious exposures. Int Endod J 2015; 50: 117-25.
Cushley S, Duncan HF, Lappin MJ y cols. Pulpotomy for mature carious teeth with symptoms of irreversible pulpitis: a systematic review. J Dent 2019; 88: 103- 58.
Li Y, Sui B, Dahl C y cols. Pulpotomy for carious pulp exposures in permanent teeth: a systematic review and metaanalysis. J Dent 2019; 84: 1-8.
Aguilar P, Linsuwanont P. Vital pulp therapy in vital permanent teeth with cariously exposed pulp: a systematic review. J Endod 2011; 37: 581-7.
Kundzina R, Stangvaltaite L, Eriksen HM, Kerosuo E. Capping carious exposures in adults: a randomized controlled trial investigating mineral trioxide aggregate versus calcium hydroxide. Int Endod J 2017; 50: 924-32.
Taha NA, Khazali MA. Partial pulpotomy in mature permanent teeth with clinical signs indicative of irreversible pulpitis: a randomized clinical trial. J Endod 2017; 43: 1417-21.
Meschi N, Patel B, Ruparel NB. Material Pulp Cells and Tissue Interactions. J End 2020; 46: 150-60.
Awawdeh L, Al-Qudah A, Hamouri H, Chakra RJ. Outcomes of Vital Pulp Therapy Using Mineral Trioxide Aggregate or Biodentine: A Prospective Randomized Clinical Trial. J Endod 2018; 44: 1603-9.
Taha NA, Abdelkhader SZ. Outcome of full pulpotomy using Biodentine in adult patients with symptoms indicative of irreversible pulpitis. Int Endod J 2018; 51: 819-28.
Tan SY, Yu VSH, Lim KC y cols. Longterm pulpal and restorative outcomes of pulpotomy in mature permanent teeth. J Endod 2020; 46: 383-90.
Bai J, Xu T, Ji AP, Sun W, Huang MW. Impact of COVID-19 on oral emergency services. Int Dent J 2020;10. doi:10.1111/ idj.12603.
Grossman S, Sandhu P, Sproat C, Patel V. Provision of dental services at a single institution in the UK’s epicentre during the COVID-19 pandemic. Br Dent J 2020; 228: 964-70.
Yu J, Zhang T, Zhao D, Haapasalo M, Shen Y. Characteristics of endodontic emergencies during coronavirus disease 2019 outbreak in Wuhan. J Endod 2020; 46: 730-5.
Ates AA, AlOmari T, Bhardwaj A, Tabnjh A, Gambarini G. Differences in endodontic emergency management by endodontists and general dental practitioners in COVID-19 times. Braz Oral Res 2020; 34: e122.
Asgary S, Eghbal MJ, Bagheban AA. Long-term outcomes of pulpotomy in permanent teeth with irreversible pulpitis: a multi-center randomized controlled trial. Am J Dent 2017; 30: 151-5.
Linsuwanont P, Wimonsutthikul K, Pothimoke U, Santiwong B. Treatment outcomes of mineral trioxide aggregate pulpotomy in vital permanent teeth with carious pulp exposure: the retrospective study. J Endod 2017; 43: 225-30.

Vera Vázquez, Cristina
Máster de Odontología Restauradora Estética y Endodoncia. Universidad Rey Juan Carlos.
Honrubia Fernández, Isabel
Máster de Odontología Restauradora Estética y Endodoncia. Universidad Rey Juan Carlos.
De Vega Calleja, Santiago
Profesor del Máster de Odontología Restauradora Estética y Endodoncia. Universidad Rey Juan Carlos.
Belliard Tiol, Virginia
Profesora del Máster de Odontología Restauradora Estética y Endodoncia. Universidad Rey Juan Carlos.
Ceballos García, Laura
Codirectora del Máster de Odontología Restauradora Estética y Endodoncia. Coordinadora del Grupo de Investigación de alto rendimiento IDIBO. Catedrático de Patología y Terapéutica Dental. Universidad Rey Juan Carlos
Indexada en / Indexed in: – IME – IBECS – LATINDEX – GOOGLE ACADÉMICO












