Caso clínico
Moreno Pérez, N. Peña Cardelles, J. F. Otero Mena, I. Ortega Concepción, D. Moreno Pérez, J. Flujo digital en la rehabilitación unitaria sobre implantes en el sector anterior. Planificación quirúrgica y protésica. A propósito de un caso. Cient. Dent. 2020; 17; 2; 129-137
Flujo digital en la rehabilitación unitaria sobre implantes en el sector anterior. Planificación quirúrgica y protésica. A propósito de un caso
Objetivo: El objetivo de este artículo es describir la rehabilitación sobre implantes en un caso de alta demanda estética, basando dicho tratamiento en una planificación íntegramente digital.
Caso clínico: Se presenta el caso clínico de una paciente de 52 años de edad que acude por fractura del diente 2.1. Tras el diagnóstico y análisis, tanto de forma clínica como radiográfica, se determina un pronóstico restaurador imposible para el 2.1, planificando como tratamiento una rehabilitación implantosoportada. Se realizó un escaneado de la zona a tratar para llevar a cabo un estudio detallado del caso y la confección de una corona provisional, la cual se atornilló en el mismo momento de la cirugía a un implante colocado de forma inmediata postextracción. Sumado a ello, se realizaron injertos de tejido duro y blando para asegurar el mantenimiento de los contornos periimplantarios. Tras el periodo de integración del implante, se trabajó el contorno de la corona provisional hasta conseguir un perfil de emergencia y un volumen de tejido gingival idóneos. Tanto el perfil de emergencia conseguido como el contorno del provisional fueron escaneados, junto con la posición del implante, para la confección de la restauración metal-cerámica definitiva. A los 6 meses tras la finalización del caso, se observa una estética de tejidos blandos idónea y un mantenimiento perfecto de toda la arquitectura gingival.
Conclusión: El manejo del sector estético anterosuperior evidencia una clara exigencia estética. En casos de pérdida dentaria en esta localización, la rehabilitación fija sobre implantes es el tratamiento de elección. No obstante, para conseguir un resultado adecuado y predecible, es esencial un correcto manejo quirúrgico y protésico. La planificación mediante medios digitales supone un salto de calidad en el enfoque terapéutico de estos casos, permitiendo un tratamiento más exacto e individualizado y siendo, además, más sencilla y eficiente la información que se traslada al laboratorio protésico.
Aim: The purpose of this article is to present a clinical case of high aesthetic demand. Such planning and treat with digital flow, included diagnosis, prosthetic planning and finally, the placement of the final prosthesis.
Case report: A 52-year-old woman presents a fracture of the tooth 2.1. After diagnosis and analysis both clinically and radiographically, an impossible restorative prognosis is determined for 2.1, planning implant-supported rehabilitation as treatment. A scan of the area to be treated was carried out to carry out a detailed study of the case and the preparation of a provisional crown, which was screwed at the same time of surgery to an implant placed immediately post-extraction. Besides, hard and soft tissue graft were placed to guarantee the maintenance of the peri-implant contours. After the implant osteointegration, the contour of the provisional crown was scanned to obtain a suitable emergence profile and gingival tissue volume. Both the emergency profile obtained and the contour of the provisional were scanned together with the position of the implant for the preparation of the final metal-ceramic restoration. After six months, it can observe an ideal soft tissue aesthetic and perfect maintenance of the entire gingival architecture.
Conclusion: The management of the anterior superior aesthetic sector shows a clear aesthetic demand. In cases of tooth loss at this location, fixed implant rehabilitation is the treatment of choice.
However, to achieve an adequate and predictable result, proper surgical and prosthetic management is essential. Digital flow it present like alternative and a quality leap in the therapeutic approach to these cases, a more accurate and individualized treatment, and the information that is transferred to the prosthetic laboratory is more simple and efficient.
Tras la pérdida de un diente, transcurren una serie de procesos fisiológicos en todo el complejo dento-alveolar que culminan con la atrofia y colapso, tanto de los tejidos óseos como de los tejidos gingivales, con un componente horizontal y vertical. Este hecho puede suponer una alta repercusión estética para los pacientes cuando afecta al sector estético anterosuperior1-3. Debido a los avances acontecidos en la rehabilitación sobre implantes dentales osteointegrados (IOI), encaminados a conseguir una mayor estabilidad primaria en alvéolos post-extracción y permitir una reducción en los tiempos de integración, han surgido nuevos protocolos de tratamiento que permiten enfocar de forma mucho más eficiente las rehabilitaciones en sectores estéticos. Dichos protocolos se basan principalmente en la colocación de forma inmediata de coronas provisionales implantorretenidas en el mismo momento quirúrgico. Esto permite la preservación, el manejo de injertos de tejido blando y duro, y el manejo de los perfiles de emergencia, evitando su colapso y otorgando al paciente una estética inmediata4-6.
Hoy en día, el flujo digital se encuentra en auge, integrándose en prácticamente todos los campos de la Odontología, aunque principalmente destaca su aplicación en la rehabilitación oral y en la Odontología estética. Gracias al avance de las tecnologías, se puede contar con el uso de escáneres intraorales y de programas de software para la planificación de implantes. El uso de estos programas digitales permite realizar un diseño del caso por ordenador, analizar el estudio fotográfico del paciente y confeccionar modelos de estudio virtuales que nos permitan una mejora en la planificación del caso, reduciendo a su vez los tiempos de tratamiento y, a la larga, costes en el mismo respecto a los métodos tradicionales7,8.
La planificación digital, integrada en la rehabilitación sobre implantes, supone una herramienta para la optimización de los resultados, mejorando la planificación quirúrgica, que estará protésicamente guiada desde un primer momento y permitirá un manejo más exacto de los tejidos periimplantarios, gracias al escaneado de los perfiles de emergencia conseguidos, confeccionando así restauraciones definitivas de gran calidad estética7,8.
El objetivo de este artículo es describir la rehabilitación sobre implantes en un caso de alta demanda estética, basando dicho tratamiento en una planificación íntegramente digital.
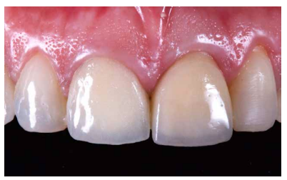
Se presenta el caso clínico de una mujer de 52 años de edad, que acudió a la consulta odontológica debido al descementado de una corona metal-cerámica dentosoportada en el diente 2.1 (ICSI) (Figuras 1-3). La paciente refería una alta preocupación por su estética.

frontal.


La paciente no presentaba antecedentes médicos y personales de interés, así como antecedentes quirúrgicos, no refería hábito tabáquico o alcohólico, tratándose, por tanto, de una paciente ASA tipo I.
Exploración
La paciente refería dolor a la masticación en el sector anterosuperior, localizado en la zona del ICSI, el cual desaparecía con la toma de fármacos analgésicos. En la exploración clínica intraoral se observó que la corona descementada conservaba restos del muñón del ICSI, así como un perno colado que servía como andamiaje de la restauración. El ICSI se trataba de un resto radicular, con pérdida total de la estructura dentaria y sin un ferrule que pudiese asegurar una nueva rehabilitación predecible9 . La paciente presentaba una línea de sonrisa media y un fenotipo gingival fino, el cual se acompañaba de recesión gingival en el diente afectado, así como en dientes contiguos del segundo cuadrante. Presentaba palpación, percusión y test de mordida positivo y vitalidad negativa en el ICSI, sin presencia de bolsa periodontal (profundidad de sondaje ≤ 3mm) ni movilidad. Se llevó a cabo una exploración radiológica complementaria, que incluyó una radiografía periapical y la realización de una tomografía computarizada de haz cónico (CBCT) (Figura 4). Tras la valoración de dichas pruebas, se observó la presencia de una fractura coronaria horizontal completa subgingival sin afectación ósea periapical.

Diagnóstico y plan de tratamiento
Tras la exploración con las diferentes pruebas complementarias, se determinó como imposible el pronóstico restaurador del ICSI. Debido a las características clínicas del caso, y con la conformidad por parte de la paciente, el plan de tratamiento fue la realización de la exodoncia del ICSI y la colocación simultánea de un implante dental osteointegrado (IOI), asociado a una prótesis provisional implantorretenida. El hueso residual apical era favorable para colocar el IOI, tratándose de un alvéolo Clase I según Kan10, y con una integridad prácticamente total de la tabla vestibular, siendo un alvéolo tipo I según Elian11.
Utilizando el escáner 3Shape®, se realizó un pre-escaneado intraoral, primero con la corona dentosoportada colocada, para obtener la anatomía del incisivo central, y después sin ésta, escaneando así el perfil de emergencia del resto radicular; se informó al laboratorio de la modificación del perfil critico, corrigiendo así la recesión existente respecto al 1.1 (Figuras 5-7). Este escaneado sirvió a su vez para la toma de color del futuro provisional7,8. El archivo STL fue enviado al laboratorio protésico para elaborar la prótesis provisional tipo Maryland, en polimetil-metacrilato (PMMA), con dos apoyos en los bordes incisales de los dientes adyacentes para asegurar su correcto posicionamiento que, según la planificación previa, serviría como diente provisional, así como de guía quirúrgica para la inserción del IOI en la posición protésica idónea, evitando así posibles problemas futuros a nivel protésico o en la integridad de los tejidos blandos y duros de la región vestibular (Figuras 8 y 9).





Abordaje quirúrgico
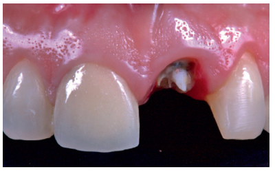
Tras la infiltración anestésica (articaína 4% con 1:100.000 adrenalina), se realizó la exodoncia de la raíz del del diente afectado. Como complicación de la extracción se laceró la papila distal, que fue reparada con un punto simple. Posteriormente, se realizó una evaluación del alveolo residual, con el fin de preparar el lecho para la colocación del IOI. Éste se encontraba íntegro, con la cortical vestibular intacta.
Se colocó el IOI (ETK-Naturactis®, 4 x 12mm) a una profundidad de 4 mm con respecto al futuro margen gingival que se precisaba conseguir. Se utilizó como referencia el margen de la prótesis provisional, similar al margen gingival del incisivo central adyacente que estaba mantenido sin recesión.
Se obtuvo una correcta estabilidad primaria, logrando un anclaje en el hueso residual palatino a un torque de inserción de 40 N/cm2 . Se realizó una radiografía periapical para confirmar la posición (Figura 10).

Fase protésica provisional
Antes del comienzo de la rehabilitación provisional atornillada sobre el IOI, se comprobó su correcta disposición con respecto al pilar metálico, la correcta adaptación mesio-distal, los puntos de contacto correctos a los dientes adyacentes y se aseguró la ausencia de compresión sobre las papilas interdentales. El contorno crítico del provisional se diseñó al mismo nivel que el margen gingival de la corona del incisivo central adyacente, que se consideró como ideal, gracias a las fotos y el pre-escaneado previo, quedando 1,5 mm supragingival, debido a la recesión previa. Se llevó a cabo el rebase del pilar con el provisional mediante el uso de composite fluido 3M®12. A continuación, se confeccionó el perfil subcrítico, proporcionando un contorno cóncavo para dejar espacio a la formación de tejido conectivo. Finalmente, se comprobó que el provisional estuviera completamente pulido en toda su superficie13.
Manejo de tejidos duros y blandos
En este tipo de casos, el manejo de los tejidos duros y blandos toma especial importancia. Debido al fenotipo gingival fino, al colapso del tejido blando vestibular, siempre asociado a una extracción, y a la recesión preexistente, se realizó un injerto de tejido conectivo (ITC) tuberositario mediante la técnica “en sobre” (Figura 11)14,15

El ITC se adaptó a la región receptora utilizando una sutura de 6.0 de monofilamento. De forma posterior, se llevó a cabo el relleno del GAP de la región vestibular del alveolo para minimizar su colapso. Para ello, se utilizó hueso autólogo recolectado del fresado en la zona próxima al IOI y xenoinjerto en la zona más vestibular (OsteoBiol® Apatos)16.
Para terminar el abordaje quirúrgico, se atornilló la prótesis provisional, comprobando su completa anoclusión, tanto en máxima intercuspidación como en movimientos excéntricos, mediante papel de articular (Figura 12). Se instruyó al paciente en evitar cualquier tipo de carga funcional sobre el provisional durante todo el tiempo de osteointegración del implante. Se pautó tratamiento antimicrobiano mediante amoxicilina con ácido clavulánico, 500/125mg, 1 comprimido cada 8 horas durante 7 días, así como una pauta analgésica con la prescripción de dexketoprofeno 25mg, con la misma posología que el antibiótico.

Se citó a la paciente a los 7 días para revisión, observando una buena cicatrización de los tejidos periimplantarios (Figura 13). Una semana más tarde, a los 14 días postcirugía, se retiró la sutura. La paciente acudió a citas de revisión mensuales hasta completar el tiempo de osteointegración.

Manejo de tejidos blandos con la corona provisional
Tras 14 semanas se retiró el provisional, apreciando una correcta posición del margen gingival, con una cobertura de la recesión del 100%, un mantenimiento íntegro de las papilas y un correcto perfil de emergencia (Figuras 14 y 15). No obstante, desde una vista oclusal se evidenció una falta de volumen vestibular respecto al diente adyacente. Se comenzó a trabajar con la corona provisional, con incrementos progresivos de composite en el perfil subcrítico, hasta conseguir un volumen similar al diente 1.1. Estos incrementos fueron realizados cada 15 días (Figura 16)13.



Toma de medidas definitivas
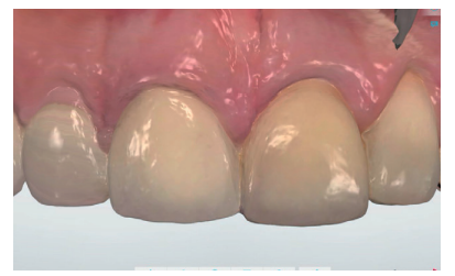
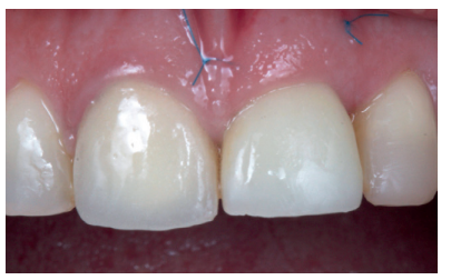
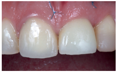
Tras conseguir un volumen de tejido óptimo mediante el manejo del provisional (Figura 17), se realizó un primer escaneado del maxilar con la corona provisional atornillada para obtener la anatomía (Figura 18) y, posteriormente, un segundo escaneado sin la misma, registrando de forma precisa los contornos gingivales y el perfil de emergencia conseguido (Figura 19), así como la posición del implante mediante el scan body (Figuras 20 y 21). Para un correcto duplicado del perfil de emergencia, se procedió a escanear la corona provisional fuera de la boca (Figuras 22 y 23), evitando tener que realizar la técnica clásica de un transfer individualizado17. Estos registros fueron enviados al laboratorio protésico, el cual diseñó una estructura metálica sinterizada postmecanizada (Figura 24). Una vez realizada de forma satisfactoria la prueba de la estructura (Figura 25), se tomó el color de la restauración (A2 guía VITA) mediante un filtro de luz polarizada (Figura 26). Estos registros se enviaron de nuevo al laboratorio protésico para la finalización de la corona implantorretenida sobre los modelos impresos (Figuras 27 y 28). Previo a la colocación de la corona definitiva, se comparó el perfil de emergencia de la corona provisional con la definitiva, viendo la similitud entre ellas (Figura 29), consiguiendo así preservar los perfiles mantenidos desde el día de inicio del tratamiento.













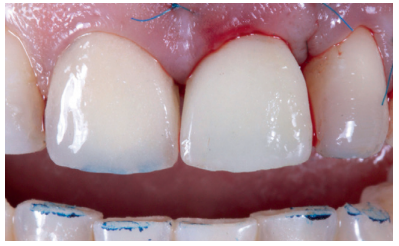
Tras la revisión a los 6 meses, se comprueba que existe una correcta estabilidad de todos los tejidos periimplantarios, con un correcto volumen a nivel vestibular, así como el mantenimiento de una estética y funcionalidad óptimas (Figura 30).

La implantología ha ido experimentando en los últimos años una serie de avances que han ido de la mano de los avances tecnológicos. En los inicios de este campo de la Odontología, no se concebía el colocar un implante en un alveolo postextracción, del mismo modo que no se valoraba la carga del implante en el mismo acto quirúrgico. Sin embargo, la visión inicial y clásica18,19 ha tornado hacia unos tratamientos en los que la rehabilitación protésica cobra especial importancia, así como el tiempo en el que ésta se produce. El aval científico que se ha producido en las nuevas técnicas está también respaldando el uso de los recursos digitales20,21.
Estos recursos digitales en implantología han mejorado el diagnóstico y han permitido el establecimiento de planes de tratamiento más predecibles. La estandarización y calidad de estos procedimientos ha aumentado en los últimos años, ofreciendo al paciente una mayor calidad de tratamiento en un tiempo más reducido. Por ello, el flujo de trabajo digital en Odontología ha evidenciado ser más eficiente que el método de trabajo convencional en términos de coste y tiempo, además de tener una mejor aceptación por parte de los pacientes. El realizar impresiones digitales permite un mejor registro de la oclusión y disminuir en mayor medida las distorsiones presentes en procedimientos analógicos. Esto, sumado al empleo del análisis fotográfico, los diferentes programas de software de diseño y el estudio de modelos a nivel digital, supone que las terapias de rehabilitación protésica dental sean realizadas con una mayor seguridad y calidad 20-23.
Diferentes estudios han puesto en evidencia que existe mayor riesgo de fracaso en implantes unitarios que se someten a carga inmediata en comparación con rehabilitaciones múltiples, aun obteniendo un torque de inserción elevado. Por lo tanto, el concepto de “carga” ha variado por el de “provisionalización”, dado que a la corona provisional se la exime por completo de función. La importancia de estas restauraciones provisionales, además de la estética inmediata, radica en el mantenimiento del contorno gingival y de las papilas interdentarias, favoreciendo el mantenimiento del volumen y reduciendo el colapso horizontal y vertical por la pérdida dentaria4-6, 24.
La implementación del escáner intraoral y el flujo digital en rehabilitaciones sobre implantes de alta demanda estética permite la confección de restauraciones provisionales de mayor exactitud gracias a una mayor precisión en el análisis del caso, determinando, mediante el estudio del software, el estado de los tejidos blandos y desarrollando los provisionales en función de las necesidades individuales para la obtención de unos contornos y volúmenes gingivales óptimos. Así mismo, el pre-escaneado de las restauraciones provisionales permite transferir al laboratorio, de forma fiel y prácticamente exacta, el contorno subcrítico que debe tener la corona definitiva, asegurando el mantenimiento de la morfología gingival y el éxito del caso a largo plazo25,26.
En este caso, no se optó por fabricar una guía quirúrgica para realizar una cirugía guiada, ya que se empleó la propia rehabilitación provisional como guía, utilizando el apoyo en los bordes incisales y en la región palatina, simplificando así la complejidad del tratamiento. El correcto diseño de la prótesis provisional, su escaneado digital y el escaneado de los perfiles de emergencia permiten acortar los tiempos y el número de pruebas para la realización de la prótesis definitiva23.
El manejo del sector estético anterosuperior evidencia una clara exigencia estética. En casos de pérdida dentaria en esta localización, la rehabilitación fija sobre implantes es el tratamiento de elección. No obstante, para conseguir un resultado adecuado y predecible, es esencial un correcto manejo quirúrgico y protésico. La planificación mediante medios digitales supone un salto de calidad en el enfoque terapéutico de estos casos, permitiendo un tratamiento más exacto, individualizado y predecible y siendo más sencilla y eficiente la información que se traslada al laboratorio protésico.
Araújo MG, Lindhe J. Dimensional ridge alterations following tooth extraction. An experimental study in the dog. J Clin Periodontol 2005; 32 (2): 212-8.
Araújo MG, Sukekava F, Wennström JL, Lindhe J. Ridge alterations following implant placement in fresh extraction sockets: an experimental study in the dog. J Clin Periodontol 2005; 32 (6): 645-52.
Araújo MG, da Silva JCC, de Mendonça AF, Lindhe J. Ridge alterations following grafting of fresh extraction sockets in man. A randomized clinical trial. Clin Oral Implants Res 2015; 26 (4): 407-412.
Higginbottom F, Belser R, D. Jones J, E. Keith S. Prosthetic management of implants the esthetic zone. Int J Oral Maxillofac Implants 2004; 19: 62-72.
Al-Sabbagh M. Implants in the Esthetic Zone. Dent Clin North Am 2006; 50: 391–407.
Buser et al. Optimizing esthetics for implant restorations in the anterior maxilla: anatomic and surgical considerations. Int J Oral Maxillofac Implants 2004; 19: 43-61.
Joda T, Brägger U, Gallucci G. Systematic literature review of digital threedimensional superimposition techniques to create virtual dental patients. Int J Oral Maxillofac Implants 2015; 30: 330-7.
Stapleton BM, Lin WS, Ntounis A, Harris BT, Morton D. Application of digital diagnostic impression, virtual planning, and computer-guided implant surgery for a CAD/CAM-fabricated, implant-supported fixed dental prosthesis: a clinical report. J Prosthet Dent 2014; 112: 402-8.
Santos D, Valenzuela F, Morrow B, Pameijer C, Garcia-Godoy F.Effect of Ferrule Location With Varying Heights on Fracture Resistance and Failure Mode of Restored Endodontically Treated Maxillary Incisors. J Prosthodont 2019; 28 (6): 677-683.
Kan JY, Roe P, Rungcharassaeng K, Patel RD, Waki T, Lozada JL, Zimmerman G. Classification of sagittal root position in relation to the anterior maxillary osseous housing for immediate implant placement: a cone beam computed tomography study. Int J Oral Maxillofac Implants 2011; 26 (4): 873-6.
Elian N, Cho SC, Froum S, Smith RB, Tarnow DP. A simplified socket classification and repair technique. Pract Proced Aesthet Dent 2007; 19 (2): 99-104.
Gallucci G,Bernard J, Med P, Bertosa M, Berlser U. Immediate Loading with Fixed Scre-Retained Provisional Restorations in Edentulous Jaws: The Pickup Technique. Int J Oral Maxillofac Implants 2004; 19: 524-533.
Su H, Gonzalez-Martin O, Weisgold A, Lee E. Considerations of implant abutment and crown contour: critical contour and subcritical contour. Int J Periodontics Restorative Dent 2010; 30 (4): 335-43.
Fu JH, Lee A, Wang HL. Influence of tissue biotype on implant esthetics. Int J Oral Maxillofac Implants 2011; 26 (3): 499-508.
Tatakis DN, Chambrone L, Allen EP y cols. Periodontal soft tissue root coverage procedures: a consensus report from the AAP Regeneration Workshop. J Periodontol 2000 2016; 86 (2 Suppl): S52-5.
Sanz M, Lindhe J, Alcaraz J, Sanz-Sanchez I, Cecchinato D. The effect of placing a bone replacement graft in the gap at immediately placed implants: a randomized clinical trial. Clin Oral Impl Res 2016; 28: 1–9.
Hinds KF. Custom impression coping for an exact registration of the healed tissue in the esthetic implant restoration. Int J Periodontics Restorative Dent 1997 Dec; 17(6): 584-91.
Adell R, Lekholm U, Rockler B, Brånemark PI. A 15-year study of osseointegrated implants in the treatment of the edentulous jaw. Int J Oral Surg 1981; 10: 387-416.
Brånemark PI. Osseointegration and its experimental background. J Prosthet Dent 1983; 50: 399-410.
Joda T, Brägger U. Digital vs. conventional implant prosthetic workflows: a cost/ time analysis. Clin Oral Impl Res 2015; 26: 1430-5.
Pacifici L, Pacifici A. Digital flow in medicine and dentistry: what’s new? J Biol Regul Homeost Agents 2018; 32 (4):1027- 1031.
Wismeijer D, Mans R, van Genuchten M, Reijers HA. Patients’ preferences when comparing analogue implant impressions using a polyether impression material versus digital impressions (Intraoral Scan) of dental implants. Clin Oral Implants Res 2014; 25: 1113-8.
Joda T, Brägger U. Patient-centered outcomes comparing digital and conventional implant impression procedures: a randomized crossover trial. Clin Oral Implants Res 2016; 27(12): e185-e189.
Buser D, Chappuis V, Belser UC, Chen S. Implant placement post extraction in esthetic single tooth sites: when immediate, when early, when late? Periodontol 2000 2017; 73 (1): 84-102.
Joda T, Gallucci GO. The virtual patient in dental medicine. Clin Oral Implants Res 2015; 26: 725-6.
Arunyanak SP, Harris BT, Grant GT, Morton D, Lin WS. Digital approach to planning computer-guided surgery and immediate provisionalization in a partially edentulous patient. J Prosthet Dent 2016; 116: 8-14.

Moreno Pérez, Natalia
Práctica privada, Madrid.
Peña Cardelles, Juan Francisco
Profesor del Máster de Cirugía Bucal e Implantología, Universidad Rey Juan Carlos, Madrid. Profesor colaborador del Máster de Prótesis sobre Implantes, Universidad Rey Juan Carlos.
Otero Mena, Isabel
Profesora del Máster de Cirugía Bucal e Implantología, Universidad Rey Juan Carlos, Madrid. Práctica privada, Madrid.
Ortega Concepción, Daniel
Profesor del Máster de Cirugía Bucal e Implantología, Universidad Rey Juan Carlos, Madrid. Profesor colaborador del Máster de Prótesis sobre Implantes, Universidad Rey Juan Carlos.
Moreno Pérez, Jesús
Práctica privada, Madrid. Colaborador en Máster de Cirugía Bucal e Implantología, Universidad Rey Juan Carlos, Madrid.






























