Caso clínico
Jalil-Abumalham D, Leco Berrocal MI, Martínez-Rodríguez N, Fernández Cáliz F, Torres García-Denche J. Injerto pediculado palatino en regeneración ósea guiada. Cient. Dent. 2020; 17; 3; 49-54
Injerto pediculado palatino en regeneración ósea guiada
La regeneración localizada de grandes defectos horizontales en los procesos alveolares, previa a la inserción de implantes dentales, sigue siendo un procedimiento quirúrgico desafiante en cirugía bucal. Entre los procedimientos quirúrgicos más utilizados para tal propósito se encuentran la corticotomía con expansión, injerto en bloque “onlay” y la regeneración ósea guiada (ROG), todos ellos con sus diferentes grados de predictibilidad. El uso de micromalla de titanio en combinación con injertos y sustitutos óseos es un método eficiente para la contención, estabilización y protección de estos injertos, permitiendo así una mejor regeneración de los tejidos. Esta técnica no queda exenta de posibles complicaciones asociadas como pueden ser la infección, necrosis del injerto o exposición de la malla de titanio.
En el presente artículo se pretende mostrar la evidencia clínica de la efectividad del uso del colgajo pediculado de rotación palatina como método válido para evitar la exposición de la malla de titanio durante la regeneración ósea guiada.
Localized regeneration of large horizontal defects in alveolar processes prior to the insertion of dental implants remains a challenging surgical procedure in oral surgery. Among the most widely used surgical procedures for this purpose are expansion corticotomy, onlay block graft and guided bone regeneration all of them with their different degrees of predictability. The use of titanium micromesh in combination with bone grafts and bone substitutes is an efficient method for the containtment, stabilization and protection of these grafts, thus allowing better tissue regeneration. This technique is not exempt from associated complications such as infection, graft necrosis or exposure of the titanium micromesh.
This article aims to show the clinical evidence of the effectiveness of using the palatal rotated pedicle graft as an effective method to avoid exposing the micromesh during guide bone regeneration procedure.
Algunas situaciones clínicas en tratamientos de cirugía regenerativa en la cavidad bucal pueden requerir la existencia de una cresta alveolar adecuada (altura/anchura), así como el suficiente tejido blando (tejido conectivo/encía queratinizada) para cubrir el área defectuosa y conseguir una óptima restauración estética alrededor de los implantes dentales1-4 .
La cresta alveolar puede ser insuficiente por diversas circunstancias como podría ser un traumatismo alveolodentario, patología congénita o adquirida y/o periodontitis, limitando así la función biomecánica y la vascularización del periodonto3 .
Se estima que la perdida ósea tras extracciones dentales es del 40-60% durante los tres primeros años, situación que crea modificaciones en el tejido duro en sentido vertical y horizontal5 . Este hecho, junto con la presencia de estructuras anatómicas nobles como el seno maxilar, cavidad nasal y nervio alveolar inferior con sus ramificaciones (nervio incisivo/mentoniano) son condicionantes que limitan el acceso al hueso disponible para la colocación de los implantes deseados para cada caso.
La literatura científica evidencia que la demanda de procedimientos regenerativos en maxilares atróficos oscila entre el 17-35%6 , la incidencia de exposición de la malla de titanio fluctúa en un rango entre el 5-33%, principalmente en pacientes fumadores, mientras que la prevalencia estará ligada a la aparición de infecciones en el área quirúrgica7 .
En regeneración ósea, llevada a cabo antes o durante la colocación de implantes dentales, los injertos de tejido duro (en bloque o particulado), tejido blando, así como la colocación de membranas barrera son considerados tratamientos quirúrgicos de elección por su elevada tasa de éxito (>95%)8 .
En los casos en los que se necesite un aumento óseo combinado en altura y anchura, las membranas no reabsorbibles fijadas con microtornillos serán el material más apropiado para una correcta fijación y estabilización del injerto. La complicación más común de las membranas no reabsorbibles es la exposición al medio bucal, que podrá generar infección y obligar la retirada prematura de la membrana provocando fracaso en el tratamiento3 .
Una buena técnica en aquellas zonas susceptibles de sufrir necrosis óseas o dehiscencias mucosas es el uso de un colgajo pediculado de tejido conectivo palatino, resultando ventajoso en diferentes métodos de aumento óseo maxilar, con o sin membranas1,2 .
El objetivo de este caso clínico es mostrar la evidencia clínica de la efectividad del uso del colgajo pediculado de rotación palatina como método efectivo para evitar la exposición de la malla de titanio durante la regeneración ósea guiada.
Paciente varón de 68 años que acude a la consulta odontológica demandando tratamiento rehabilitador con implantes dentales. La historia médica refleja buen estado de salud general y sin alergias medicas conocidas (ASA I). No hay constancia de hábitos perniciosos como el consumo de tabaco o la ingesta rutinaria de alcohol. Se podría considerar como un candidato favorable.
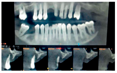
Tras la valoración radiográfica, el paciente queda diagnosticado con edentulismo parcial maxilar con atrofia de procesos alveolares. En primer lugar, se inicia el tratamiento del cuadrante superior izquierdo, donde se observa una reabsorción de la cresta residual, correspondiéndose con la clase SA-3 subdivisión B de la clasificación subantral de Misch de 1987 (5-10 mm de hueso vertical y poco hueso en achura entre el suelo antral y la cresta del reborde residual)9 (Figura 1).

izquierdo.
Antes de iniciar la regeneración, se comienza con la exodoncia del primer premolar superior izquierdo por su pronóstico desfavorable a corto plazo. Tras la cicatrización postextracción transcurridos dos meses, se puede observar una cresta alveolar remanente de apenas 6 mm de altura (Figura 2).

Se planifica la primera fase de la cirugía regenerativa del cuadrante superior izquierdo, comenzando por la elevación del seno maxilar usando la técnica abierta (colgajo mucoperióstico + ventana ósea). Se utiliza como relleno dos gramos de hueso particulado xenogénico, y la estabilización y contención con una micromalla de titanio fijada con microtornillos, para finalizar con la cobertura del injerto y una membrana barrera con plasma rico en plaquetas (fracción 1).
Tras la exodoncia quedan evidentes los cambios morfológicos en los tejidos. Se puede apreciar una cresta residual con una línea mucogingival baja y una mínima cantidad de encía queratinizada. Esto obliga a ser minuciosos en el diseño y ejecución de la entrada quirúrgica (incisión y despegamiento mucoso), para así asegurar una buena perfusión vascular (Figura 3).

Se realiza una incisión mediocrestal, a fin de no disminuir el aporte sanguíneo al lecho receptor del injerto. Se procede a la reflexión del colgajo a espesor total, realizando la maniobra de Reherman para conseguir una buena movilización del colgajo y asegurar una sutura libre de tensión para un correcto cierre primario de la herida.
Tras asegurar la buena elasticidad del colgajo, se podrá comenzar con la elevación de seno maxilar con el correspondiente relleno de biomaterial particulado. Tras la adecuada compactación del hueso en el seno maxilar se fija la micromalla de titanio por palatino, para después comenzar el relleno del defecto crestal con una proporción 50/50 de hueso autólogo/xenogénico y su adaptación al defecto residual (Figura 4).

Finalizados el relleno y su adaptación, se comienza el diseño del colgajo palatino pediculado. La zona donante abarcará desde distal del canino superior izquierdo hasta la línea media del primer molar. La anchura corresponde a la dimensión mesio-distal a la que se añaden 2-3 mm extras, para tener en cuenta la contracción del pedículo. Su longitud corresponde a la dimensión vestíbulo-palatina de la cresta a la que se añaden 3-4 mm extra, para asegurar un correcto acoplamiento del injerto debajo de la encía vestibular (Figura 5).

Tras fijar el colgajo palatino al periostio, con puntos simples usando sutura reabsorbible de 4/0 (Vicryl® ) y asegurar su estabilidad, se prepara el plasma rico en plaquetas en la centrífuga a una velocidad de 1400 rpm durante 7 minutos. El plasma aplicado y adaptado sobre la micromalla de titanio tendrá poca concentración de plaquetas y mucha fibrina (fracción 1) (Figura 6).

Antes del cierre primario, se deberá chequear la elasticidad del colgajo vestibular sobre el área regenerada para evitar tanto tensiones indeseadas como el compromiso de la cirugía. En la sutura de los colgajos vestibular y palatino se utiliza poliamida-monofilamento 5/0, realizando puntos simples y cruzados.
La pauta medicamentosa y antiséptica seguida consistió en la administración de antibióticos (amoxicilina/ac.clavulánico 875/125 mg cada 8 horas durante 10 días.), antiinflamatorios no esteroideos (dexketoprofeno trometamol 25 mg cada 8 horas 3 días) y clorhexidina 0,12% como cuidados postquirúrgicos. Pasados 15 días se procedió a la retirada de la sutura, comprobando que no había dehiscencias de la sutura ni exposición de la micromalla de titanio.
A los seis meses se realiza al paciente una nueva tomografía computerizada, se efectúan nuevas mediciones y se prepara la reentrada quirúrgica para la segunda fase del tratamiento (Figura 7).

El tejido óseo neoformado muestra buenas dimensiones en altura y anchura, lo cual permitirá al clínico seleccionar los implantes adecuados (diámetro/longitud). Se observa que se ha logrado la consecución del objetivo principal del presente caso clínico, donde se partía de una situación inicial con 6 mm en altura y 4 mm de anchura de hueso maxilar remanente y se finaliza con un total de 12 mm de cresta ósea en altura y 10 mm en anchura regenerada con éxito (Figura 8).

Todo esto se confirma en el momento de la intervención para la inserción de los implantes (Figura 9). Tras la retirada de los tornillos de osteosíntesis y de la micromalla se observa un buen aislamiento de los tejidos blandos, así como un adecuado mantenimiento del espacio, consiguiendo una integridad estructural con un tejido óseo estable, sangrante y bien incorporado al tejido huésped. El hueso regenerado disponible, tras la exploración clínica, se corresponde con un hueso tipo D2 (criterio de calidad ósea de Misch 2009).

Teniendo en consideración los criterios de calidad/cantidad ósea mencionados, se podrá comenzar con la planificación del tratamiento rehabilitador con los implantes dentales deseados, ya que se dispone de la máxima superficie de osteointegración posible sobre un hueso de buena calidad. En la preparación del lecho óseo receptor se usó un fresado secuencial (900-1100 rpm) y posterior colocación de implantes dentales con una correcta estabilidad primaria (Figuras 10 y 11).

La regeneración localizada y el aumento volumétrico de las crestas alveolares reabsorbidas antes de la colocación de implantes dentales sigue siendo un procedimiento quirúrgico desafiante que ofrece diferentes grados de predictibilidad según la técnica usada. Cabe reseñar que cualquier técnica que se use, y en particular la regeneración ósea guiada, será muy sensible a la habilidad y experiencia clínica del operador8,10 .
La regeneración ósea guiada es una técnica basada en rellenar el defecto con injertos y/o sustitutos óseos y cubrir el material injertado con una membrana (reabsorbible o no) que impide el crecimiento e infiltración de células del tejido conectivo epitelial y gingival6 .
Uno de los aspectos más importantes a tener en cuenta para obtener resultados satisfactorios y duraderos será la creación y el mantenimiento del espacio bajo la micromalla de titanio. El fácil manejo de ésta y la baja tasa de prevalencia de infección tras la dehiscencia del tejido blando, las convierte en buenas candidatas frente a otras membranas no reabsorbibles para la contención de injertos en cirugía regenerativa de los maxilares6 .
En los casos en los que se necesite un aumento óseo combinado (altura/anchura), las membranas no reabsorbibles de titanio fijadas con microtornillos serán el material más apropiado para una correcta fijación y estabilización del injerto. La complicación más común es la exposición al medio bucal, que podrá provocar infección y, por consiguiente, la retirada prematura de la membrana.
La regeneración ósea guiada usando xenoinjerto particulado (50%), hueso autólogo particulado (50%) y su cobertura con micromalla de titanio consiguen mejorar considerablemente la altura y la anchura de los defectos óseos maxilares. La aplicación de esta técnica de un modo diferido en comparación con el inmediato ofrece los mejores resultados clínicos en cuanto a criterios de calidad ósea y estabilidad de los implantes dentales. Adoptando este enfoque de tratamiento se conseguirá una elevada tasa de supervivencia (>95%) y éxito de los implantes colocados8 .
El colgajo pediculado de paladar resulta un medio auxiliar eficaz para lograr una correcta contención del injerto, el cierre primario asegurando buena y constante perfusión vascular, así como para conseguir aumento del tejido blando7 . La mejora en la cobertura de los tejidos blandos es considerada uno de los factores determinantes en el éxito de toda terapia regenerativa con o sin el uso de membranas2,4 .
Con la aplicación adicional de plasma rico en plaquetas sobre las membranas no reabsorbibles está demostrado que se produce una notable mejora en la cicatrización de los tejidos, traduciéndose en un biotipo gingival mejorado y en una resistencia aumentada frente a la exposición de la micromalla de titanio10 .
Un cierre primario sin tensión de los colgajos vestibular o lingual asegurara el éxito del tratamiento regenerativo y evitara la aparición de complicaciones comunes como hemorragias, hematomas, necrosis del colgajo y dehiscencia de la sutura3,4 .
La regeneración ósea guiada es un procedimiento muy sensible, siendo la toma de decisiones un factor decisivo para el éxito del tratamiento.
El injerto conectivo rotacional pediculado de paladar es una técnica útil, accesible y predecible para lograr el cierre primario sobre el maxilar atrófico injertado.
El Chaar E, Oshman S, Cicero G, Castano A, Dinoi C, Soltani L, Lee YN. Soft tissue closure of grafted extraction sockets in the anterior maxilla: a modified palatal pedicle connective tissue flap technique. Int J Periodontics Restor Dent 2017; 37(1): 99-10.
Khoury F. Prognostic factors in implant surgery. Arab Dent J 1999; 4:33-42.
Soldatos NK, Stylianou P, Koidou VP, Angelov N, Yukna R, Romanos GE. Limitations and options using resorbable versus nonresorbable membranes for successful guided bone regeneration. Quintessence Int 2017; 48: 131-147.
Romanos GE.Periosteal releasing incision for successful coverage of augmented sites. A technical note. J Oral Implantol 2010; 36(1): 25-30.
Oikarinen KS, Sandor GKB, KainulainenVT, Salonen-Kemppi M. Augmentation of the narrow traumatized anterior alveolar ridge to facilitate dental implant placement. Dent Traumatol 2003; 19: 19-29.
Uehara S, Kurita H, Shimane T, Sakai H, Kamata T, Teramoto Y, Yamada S. Predictability of staged localized alveolar ridge augmentation using a micro titanium mesh. Oral Maxillofac Surg 2015; 19(4):411-6.
Khoury F, Haape A. The palatal subeplthelial connective tissue flap method for soft tissue Management to cover maxillary defects: A Clinical Report. Int J Oral Maxillofac Implants 2000; 15(3):415-8.
Sanz-Sánchez I, Ortiz-Vigón A, Sanz-Martin I, Figuero E, Sanz M. Effectiveness of lateral bone augmentation on the alveolar crest dimension: A systematic review and meta-analysis. J Dent Res 2015; 94:128S-42S.
Misch, C. Implantología Contemporánea. 3ra ed. España: Elsevier Mosby; 2009.p 135.
Torres J, Tamimi F, Alkhraisat MH, Linares R, Prados-Frutos JC, Hernández G, López-Cabarcos E. Platelet-rich plasma may prevent titanium-mesh exposure in alveolar ridge augmentation with anorganic bovine bone. J Clin Periodontol 2010; 37: 943-951.

Jalil-Abumalham, D.
Máster de Cirugía Bucal e Implantología del Hospital Viamed Virgen de la Paloma. Madrid.
Leco Berrocal, MI.
Profesora Departamento de Especialidades Clínicas Odontológicas. Facultad de Odontología. Universidad Complutense de Madrid (UCM).
Martínez-Rodríguez, N.
Coordinadora del Máster de Cirugía Bucal e Implantología del Hospital Viamed Virgen de la Paloma. Madrid.
Fernández Cáliz, F.
Coordinador del Máster de Cirugía Bucal e Implantología del Hospital Viamed Virgen de la Paloma. Madrid.
Torres García-Denche, J.
Profesor Departamento de Especialidades Clínicas Odontológicas. Facultad de Odontología. Universidad Complutense de Madrid (UCM).










