caso clínico
Peña Cardelles, J. F. García Guerrero, I. Ortega Concepción, D. Robles Cantero, D. Cerezo Cano, A. López-Sánchez, A. Gómez de Diego, R. Moro Rodríguez, J. E. Mucocele de retención. Revisión a propósito de un caso. 2020; 17; 2; 93-98
Mucocele de retención. Revisión a propósito de un caso
El mucocele oral es una lesión de los tejidos blandos con alta prevalencia en la cavidad oral, siendo motivo de consulta dadas las alteraciones funcionales y estéticas asociadas al mismo. Su etiología está relacionada con la alteración en las glándulas salivales, correspondiendo la localización más frecuente al labio inferior. Su tratamiento, aunque en la mayoría de los casos es expectante, consiste en la extirpación quirúrgica debido a que pueden llegar a ser de tamaño considerable. A continuación se describe el caso de un paciente varón, de avanzada edad, que presenta un mucocele de gran tamaño localizado en el labio inferior, región en la que se practicó su remoción quirúrgica y posterior análisis histopatológico.
The oral mucocele is a soft tissue lesion with high prevalence in the oral cavity, the oral mucocele can be find associated with functional and aesthetic alterations. The etiology is related to the alteration in the salivary glands, the most frequent location corresponding to the lower lip. The treatment consists in surgical removal because they can be of considerable size. The following describes the case of a male patient, of advanced age, who has a large mucocele located in the lower lip, a region in which surgical removal was performed and subsequent histopathological analysis.
El mucocele es una lesión muy común en la mucosa oral, que afecta principalmente a las glándulas salivales menores, y es resultante de la acumulación de secreción salival que puede ser debida a diferentes tipos de traumatismos que se traducen en un mucocele por extravasación, por otro lado, se crea una retención mucosa en dichas glándulas, lo que es conocido como mucocele de retención. Pueden aparecer en cualquier zona de la mucosa oral, aunque son más frecuentes en el labio inferior, pudiéndose observar en mucosa yugal y suelo de la boca1,2 .
El diagnóstico es fundamentalmente clínico, principalmente por su localización y aparición en sujetos jóvenes, aunque pueden presentarse en cualquier rango de edad1 . Sin embargo, y como cualquier otra lesión, su diagnóstico definitivo será determinado por el estudio histopatológico. En el caso de los mucoceles por extravasación, se encontrará un acúmulo de líquido entre el tejido conectivo y la submucosa, no estando revestido por epitelio, aunque sí por un tejido de granulación. En el caso de un mucocele de retención, sí se encontrará esa cubierta epitelial correspondiente al recubrimiento de la glándula salival1-3.
Los mucoceles pertenecen al grupo de lesiones quísticas y tumorales benignas de las glándulas salivales de la mucosa oral, siendo su pronóstico favorable en todos los casos y su repercusión mínima en la salud del paciente. Sin embargo, su localización así como el tamaño que a veces pueden llegar a alcanzar, sí repercuten de forma estética y funcional de forma notoria en la calidad de vida, siendo el tratamiento la exéresis quirúrgica. Debido a la posibilidad de recidiva, son lesiones que precisan un correcto seguimiento por parte del profesional.
A continuación, se describe el caso clínico de un mucocele de retención en un paciente de avanzada edad.
Se presenta el caso de un varón de 74 años que acude a la consulta del Máster de Cirugía Bucal e Implantología de la Universidad Rey Juan Carlos por presentar una lesión nodular en la región izquierda de la cara interna del labio inferior de 12 meses de evolución.
La lesión presenta un tamaño de aproximadamente 12 mm de diámetro, de consistencia firme a la palpación y recubierta por epitelio labial con el mismo color de dicha mucosa (Figura 1).

Teniendo en cuenta las características clínicas de la lesión, el diagnóstico de presunción fue de mucocele de extravasación, ya que el paciente refería componente irritativo derivado de traumas repetitivos en dicha región.
Tratamiento
El tratamiento indicado para este tipo de lesiones es la extirpación quirúrgica de la misma, llevando a cabo una biopsia excisional para su estudio. El paciente no presentaba antecedentes médicos de interés, alergias ni hábitos que se contraindicaran el tratamiento.
Se procedió a la anestesia local (Lidocaína 1:100000 con epinefrina 2%) de la región izquierda del labio inferior a través de la técnica infiltrativa alejada de la lesión, con el fin de evitar posibles traumatismos del tejido a analizar. Se llevó a cabo una incisión longitudinal a espesor parcial sobre el vértice de la tumoración con un bisturí 15C. Con esta incisión se intentó respetar el posible epitelio de recubrimiento quístico de la lesión, con el fin de facilitar su exéresis.
Con ayuda de una pinza hemostática y tijeras de disección de punta roma, se fue disecando la lesión para, con una pinza de Adson, llevar a cabo la prensión de la misma y retirarla de la zona a la que se encontraba pediculada (Figuras 2 y 3).


Para terminar el tiempo quirúrgico, se procedió a la sinéresis de la herida con seda de cuatros ceros no reabsorbible, aproximando los bordes de la herida sin tensión, permitiendo la cicatrización por primera intención (Figuras 4 y 5).


Análisis histopatológico
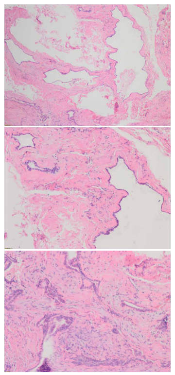
La lesión fue enviada en su totalidad para estudio anatomopatológico (Figura 6).

El diagnóstico de confirmación tuvo como resultado un mucocele de retención. Los fragmentos analizados estaban constituidos por tejido conectivo densamente colagenizado en el que se observa la presencia de lesiones quísticas con un epitelio cuboidal y aspecto salival. No se observaron fenómenos inflamatorios (Figura 7).

fenómenos inflamatorios y el tejido conectivo sugiere una densa
colagenización.
El mucocele es una lesión muy común en la mucosa oral que puede afectar a toda población general, sin diferencias significativas en cuanto a sexo o edad. Su prevalencia es de 2,5 lesiones cada 1.000 pacientes, lo que se considera una prevalencia elevada1-6 .
Existen numerosos estudios que analizan dicha prevalencia, así como los grupos poblacionales donde se suelen encontrar. Por lo general, la edad media de aparición suele rondar la primera y segunda década de vida, siendo menos frecuentes a partir de los 25 años de edad. En los varones existe una prevalencia ligeramente superior que en las mujeres, aunque sin establecerse una diferencia estadísticamente significativa2,3.
Se definen como lesiones de consistencia dura, móvil, con el epitelio intacto, contenido quístico y transparente, de coloración variopinta, indoloras (generalmente asintomáticas) y con un historial de aparición con patrones de recidiva que suelen resolverse de forma espontánea. A la palpación se observa una masa fluctuante que no se torna blanca si se comprime. Según un estudio de Bagán y cols.,1 el 48% de los pacientes acudieron por hallar la lesión al autoexplorarse, otro 48% fueron descubiertas como hallazgo casual por un especialista y solo el 4% acudieron por presentar sintomatología no dolorosa aunque molesta1,7.
Alrededor del 75% de las lesiones son menores de 1,5 cm de diámetro. Su coloración puede variar, desde un color azulado y translúcido si son lesiones superficiales, hasta lesiones con un color similar a la mucosa adyacente si son más profundas. Puede aparecer un leve drenaje del contenido quístico que además puede incluir sangrado, signo de que el origen puede deberse al trauma por masticación repetida de la zona donde aparece1-4 .
En cuanto al lugar de aparición, destaca el labio inferior, seguido de la cara ventral de la lengua, cara dorsal de la lengua, mucosa yugal, suelo de la boca, labio superior, y paladar1,2,6-8 .
Como toda lesión oral, se debe realizar un correcto diagnóstico diferencial para evitar errores de diagnóstico y por tanto de tratamiento. Entre las lesiones que son importantes descartar se encuentran el carcinoma adenoquístico, el carcinoma mucoepidermoide y el tumor benigno mixto (Tabla).

Se pueden encontrar dos tipos de lesiones, si se estudian de manera histopatológica y atendiendo a su etiología, ya que no muestran diferencias a nivel clínico, se clasifican como mucocele por extravasación y por retención1,4 .
Por un lado, el mucocele por extravasación, resultante de la ruptura de un conducto de una glándula salival, con la consiguiente extravasación de contenido líquido en el tejido conectivo de alrededor de la glándula. Este suele ser el tipo más común de mucocele presentándose principalmente en personas jóvenes, cuya causa responde a lesiones traumáticas, principalmente por hábitos parafuncionales1 .
Por otro lado, el mucocele por retención, que resulta de la disminución o ausencia de secreción glandular, debido a un bloqueo en el sistema ductal de la glándula, con la consiguiente retención de secreción salival. Suelen ser el tipo menos frecuente, y correspondería el caso clínico presente1.
Según un estudio de Bagán y cols.,1 de 25 mucoceles estudiados, el 95% fueron por extravasación y un 5% por retención. En este mismo estudio, desarrollaron la teoría de que los mucoceles por extravasación pasaban por tres fases diferentes: la fase de difusión del contenido mucoso desde el conducto hasta el tejido conectivo donde se encuentran leucocitos e histiocitos; fase de reabsorción, donde los histiocitos, macrófagos y células gigantes multinucleadas desarrollan una reacción contra un cuerpo extraño; y la última fase donde las células conectivas conforman una pseudocápsula sin epitelio alrededor de la mucosa.
En el estudio publicado por More y cols.,9 en 58 casos de mucocele oral observaron su mayor prevalencia en edades de entre 15 a 24 años, con un porcentaje a favor de los hombres del 51,72% frente al 48,28% de las mujeres. Así mismo, este estudio reporta que el mucocele por extravasación, propio de pacientes jóvenes, fue claramente el más prevalente con un 84,48%, siendo la localización más común el labio inferior (36,2%). Estos datos reflejan que la causa más frecuente de los mucoceles es un traumatismo, en casi dos tercios de los casos. Estos autores subrayan que la mayoría de los casos eran asintomáticos y el color de la mucosa de la lesión era el mismo que el de la mucosa normal adyacente.
En un estudio llevado a cabo por Hayashida y cols.,10 sobre 173 casos de mucocele oral en un período de estudio de 24 años, se obtuvieron resultados contradictorios en cuanto al género más prevalente, ya que el 60,12% de los casos fueron en mujeres. También comprobaron que, aunque el rango de edad es muy amplio (de entre 4 a 70 años), la mayoría de los pacientes se encontraban en la segunda década de la vida siendo también la zona más frecuente el labio inferior con 78,03% debido a mordeduras. En este artículo se observa que el mucocele es una lesión más frecuente en raza blanca (71,68%).
Se pueden encontrar dos tipos de enfoques terapéuticos. El tratamiento conservador o la remoción quirúrgica de la lesión1-4. El manejo conservador se basa en eliminar la causa, que en la gran mayoría de los casos es un traumatismo por hábito parafuncional, y en hacer seguimiento del paciente, ya que gran parte de los mucoceles de causa traumática se resuelven espontáneamente, especialmente en niños y adolescentes. Según el estudio de Nagaveni y cols.,6 un 44% de los mucoceles en población pediátrica desaparecieron espontáneamente en un plazo de 3 meses. En el caso de llevar a cabo la remoción quirúrgica, esta se indica en aquellas lesiones de larga evolución o con frecuentes recidivas, donde se practica la escisión del mucocele junto con la glándula salival menor implicada1,2,7 .
Si se enfoca el tratamiento como un drenaje del contenido quístico con una simple incisión, se produciría una recidiva en cuanto se produzca la cicatrización. Es por ello que, para los mucoceles de menor tamaño, está indicada la eliminación completa junto con la glándula marginal adyacente. En caso de lesiones mayores, se puede proceder con una marsupialización para evitar daños de estructuras vitales cercanas. El objetivo de la marsupialización es drenar el contenido mucoso y reducir el tamaño de la lesión, de manera simple, sin dolor y lo más mínimamente traumática para la mucosa. Sin embargo, esta técnica tiene una tasa de recidiva moderada7,8 . Por otro lado, Bansal y cols.,11 defienden que la micromarsupialización modificada para el manejo del mucocele es una técnica segura, con unos resultados a corto plazo superiores que la marsupialización.
Otros autores sostienen que la extirpación quirúrgica convencional es el tratamiento más efectivo, y hay que quitar la capa muscular y los acinos circundantes para evitar la recidiva de la lesión12 . Giraddi y cols.,13 defienden que no existen grandes diferencias entre el tratamiento con la técnica quirúrgica convencional y la micromarsupialización.
Otros estudios mencionan el uso de la criocirugía con pocos casos de recidiva (2 recidivas de 36 mucoceles)8,14,15 . También se ha propuesto el uso de corticoides inyectados en la lesión sin ningún resultado notorio16. Por último, se ha estudiado el uso del láser de CO2 , que debido a su absorción acuosa sería una opción conservadora por su escaso daño al resto de tejidos. El corte es más preciso y sin afectar a la zona muscular de la zona afectada, causando una mínima hemorragia y reacción inflamatoria. El tiempo de cirugía se reduciría a menos de 5 minutos, ideal para pacientes de edad joven o pediátrica. En un estudio de Huang y cols.,17 observaron 2 recidivas en un total de 82 casos en los que utilizaron láser de CO2 y en otro estudio, de 30 casos con extirpación por láser, se registró únicamente una recidiva 18. No obstante, otros autores concluyen que la escisión quirúrgica con bisturí frío acompañada de una correcta técnica quirúrgica es suficiente frente a otras técnicas como el empleo de láser de alta potencia o el bisturí eléctrico19 .
El mucocele es una lesión con alta prevalencia en la población. El diagnóstico es, en su mayor medida, clínico, aunque la confirmación del mismo debe acompañarse del estudio histopatológico para determinar el tipo de mucocele así como el riesgo de recidiva. El tratamiento principal es la extirpación quirúrgica de la lesión y el correcto seguimiento del paciente.
Bagán JV, Silvestre FJ, Peñarrocha M, Milián MA. Clinico-pathological study of oral mucoceles. Av Odontoestomatol 1990; 6 (7): 389-91, 394-5.
Guimarães MS, Hebling J, Filho VA, Santos LL, Vita TM, Costa CA. Extravasation mucocele involving the ventral Surface of the tongue (glands of Blandin-Nuhn). Int J Paediatr Dent 2006; 16 (6): 435-9.
Nallasivam KU, Sudha BR. Oral Mucocele: review of literature and a case report. J Pham BioAllied Sci 2015; 7 (6): 731- 733.
Lester D., Thomson D. Mucocele: Retention and Extravasation Typles. Ear Nose Throat J 2013; 92 (3): 106-108.
Ata-Ali J., Carrillo C, Bonet C, Balaguer J, Peñarrocha M, Peñarrocha M. Oral mucocele: review of the literatura. J Clin Exp Dent 2010; 2 (1): 18-21.
Nagaveni NB, Meghna B, Siddhant P, Arekal SS, Poormina P. Mucoceles of the oral cavity in Indian pediatric patients: a retrospective study. Int Dent and Med J Advanced Research 2015; 1: 1-5.
Yagüe J, España AJ, Berini L, Gay-Escoda C. Treatment of oral mucocele-scalpel versus CO2 laser. Med Oral Patol Oral Cir Bucal 2009; 14 (9): 469-74.
Marchushamer M, King DL, Ruano NS. Cryosurgery in the management of mucoceles in children. Pediatr Dent 1997; 19 (4): 292-3.
More CB, Bhavsar K, Varma S, Tailor M. Oral mucocele: A clinical and histopathological study. J Oral Maxillofac Pathol 2014; 18 (1): 72-7.
Hayashida AM, Zerbinatti DC, Balducci I, Cabral LA, Almeida JD. Mucus extravasation and retention phenomena: A 24-year study. BMC Oral Health 2010; 10: 15.
Bansal S, Verma D, Goyal S, Rai M. Comparison of micromarsupialization and modified micromarsupialization for the management of mucocele of lower lip: a prospective randomized clinical trial. J Maxillofac Oral Surg 2017; 16 (4): 491-496.
Chaitanya P, Praveen D, Reddy M. Mucocele on lower lip: A case series. Indian Dermatol Online J 2017; 8 (3): 205.
Giraddi G, Saifi A. Micro-marsupialization versus surgical excision for the treatment of mucoceles. Ann Maxillofac Surg 2016; 6 (2): 204-9.
Gill D. Two simple treatmentes for lower lip mucoceles. Australas J Dermatol 1996; 37: 220.
Yeah CJ. Simple cryosurgical treatment for oral lesions. Int J Oral Maxillofac Surg 2000; 29 (3): 212-6.
Luiz AC, Hiraki KR, Lemos Ca Jr, Hirota SK, Migliari DA. Treatment of painful and recurrent oral mucoceles with a high-potency topical a corticosteroid: a case report. J Oral Maxillofac Surg 2008; 66 (8): 1737-9.
Huang IY, Chen Cm, Kao YH, Worthington P. Treatment of mucocele of the lower lip with carbon dioxide laser. J Oral Maxillofac Surg 2007; 65(5): 855-8.
Pick RM, Colvard MD. Current status of lasers in soft tissue dental surgery. J Periodontol 1993; 64 (7): 589-602.
Re Cecconi D, Achilli A, Tarozzi M, Lodi G, Demarosi F, Sardella A, Carrassi A. Mucoceles of the oral cavity: A large case series (1994–2008) and a literature review. Med Oral Patol Oral Cir Bucal 2010; 15 (4): e551-6.

Peña Cardelles, Juan Francisco
Profesor del Máster en Cirugía Bucal e Implantología, Universidad Rey Juan Carlos, Profesor del Máster en Prótesis sobre Implantes, Universidad Rey Juan Carlos.
García Guerrero, Iván
Profesor del Máster en Cirugía Bucal e Implantología, Universidad Rey Juan Carlos.
Ortega Concepción, Daniel
Profesor del Máster en Cirugía Bucal e Implantología, Universidad Rey Juan Carlos, Profesor del Máster en Prótesis sobre Implantes, Universidad Rey Juan Carlos.
Robles Cantero, Daniel
Profesor del Máster en Cirugía Bucal e Implantología, Universidad Rey Juan Carlos.
Cerezo Cano, Aralar
Especialista en Medicina Oral, Universidad Complutense de Madrid.
López-Sánchez, Antonio
Profesor Contratado Doctor. Facultad de Ciencias de la Salud, Universidad Rey Juan Carlos.
Gómez de Diego, Rafael
Profesor del Máster en Cirugía Bucal e Implantología, Universidad Rey Juan Carlos.
Moro Rodríguez, José Ernesto
Profesor Titular. Facultad de Ciencias de la Salud, Universidad Rey Juan Carlos.








