Foto clínica
Marcos Santos A, Gutiérrez Bonet C, Fernández Cáliz F, Leco Berrocal I, Martínez-González JM, Barona Dorado C. Quiste óseo solitario. Cient. Dent. 2020; 17; 3; 61-64
Quiste óseo solitario
Introducción: El quiste óseo solitario representa el 1% de todos los quistes maxilares. Es una lesión ósea benigna que aparece de forma fortuita en una radiografía de control en la primera/segunda década de la vida, aunque la lesión carezca de trascendencia en la vida del paciente requiere de abordaje quirúrgico para confirmar el diagnóstico.
Caso clínico: Se presenta un caso clínico de una paciente mujer de 11 años de edad y raza negra, remitida al Servicio de Cirugía Bucal del Hospital Virgen de la Paloma tras observarse imagen radiotransparente apical a nivel de 43 y 44. Una vez realizada la exploración clínica y radiológica se propone cirugía exploratoria ante diagnóstico de presunción de quiste óseo solitario. Bajo anestesia local se procedió al abordaje quirúrgico observándose cavidad vacía en maxilar inferior sin contenido alguno, legrándose profusamente las paredes de la cavidad e introduciendo plasma rico en plaquetas obtenido previamente de la paciente.
Conclusiones: La cirugía exploratoria confirma el diagnóstico de presunción de quiste óseo solitario vacío al no poderse mandar a analizar a anatomía patológica.
El quiste óseo solitario está englobado dentro de las lesiones de células gigantes y quiste óseo simple de la nueva clasificación de la OMS para tumores de cabeza y cuello. Es una lesión ósea benigna, no neoplásica, de pared ósea intacta y sin recubrimiento epitelial, pudiendo contener en su interior un fluido claro, amarillento o sanguinolento, o bien no contener nada 1-8. No es un “quiste” puramente dicho al carecer de cubierta epitelial. Independientemente de esto, los quistes no epiteliales o pseudoquistes representan el 1% de todos los quistes maxilares 3,5-7,9,10 .
En la mayoría de los casos la primera evidencia de quiste óseo solitario aparece tras la realización de una radiografía panorámica de control, pues su clínica es anodina, siendo los dientes adyacentes a la lesión vitales, sin movilidad ni rizolisis, además de no haber ni tumor, ni dolor o parestesia 1-4,6,8. En un reducido número de casos la lesión cursa con dolor, tumefacción y parestesias cuando engloba al nervio dentario inferior e incluso produce fracturas patológicas asociadas a lesiones extensas 2,3 .
Radiográficamente presenta una imagen radiotransparente unilocular mostrando un festón en el área interradicular de los dientes afectos y de zonas edéntulas, pudiendo incluir sus raíces en la lesión, pero sin rizolisis; aunque en el sector anterior acostumbra a tener forma ovalada. Es radiotransparente con bordes irregulares, pero bien definidos. La expansión ósea sin perforación de corticales serían criterios asociados a esta lesión benigna, erosionando el endostio y por tanto adelgazando la cortical 2,3,5,6 .
El abordaje quirúrgico es la técnica de elección al no poder confirmar el diagnóstico sin ser abordado 4-6. Finalmente, para confirmar el éxito se requieren de 3 años de seguimiento con un control radiológico anual ante un porcentaje del 20% de recidiva tras su exéresis.
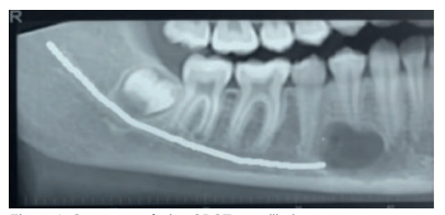
Paciente mujer de 11 años de raza negra, con dentición permanente, que fue remitida al Servicio de Cirugía Bucal del Hospital Virgen de la Paloma tras observar imagen radiotransparente en radiografía panorámica rutinaria a nivel de la región canina/premolar inferior derecha sin reabsorción o desplazamiento dentario de los dientes afectos 43 y 44.
En la anamnesis no se reflejaron hallazgos patológicos de interés, o la existencia de traumatismos previos en la región maxilofacial.
Desde el punto de vista clínico, no refería presencia de signos o síntomas. Durante la exploración extraoral no se evidenciaron signos de tumefacción y en la palpación no se detectaron adenopatías cervicales.
A la exploración intraoral, se descartaron signos de movilidad, desplazamiento dentario, parestesia o dolor. Las pruebas de percusión fueron negativas y las de vitalidad positivas, mucosa gingival sana y movimientos excursivos normales.
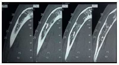
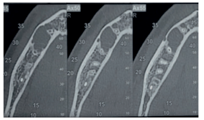
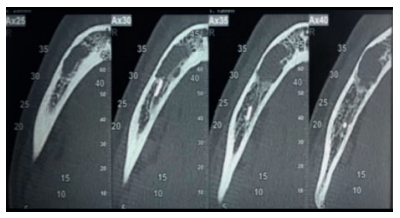
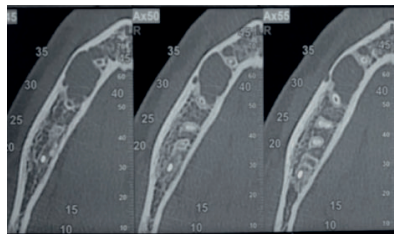
Se solicitó como prueba complementaria un CBCT mandibular. En los cortes panorámico, axiales y ortorradiales, se corroboró la presencia de lesión radiotransparente delimitada de contorno algo irregular y que no provocaba expansión de corticales (Figuras 1-4).




Ante tales hallazgos, se estableció como diagnóstico de presunción el de quiste óseo solitario. Se informó a los familiares y se solicitó el consentimiento informado para proceder al tratamiento quirúrgico y la posibilidad de relleno con plasma rico en factores de crecimiento (PRGF).
Bajo anestesia local con articaína 1:100.000 se realizó un colgajo a espesor completo con extensión a los dientes 42 y 45 con descargas mesial y distal de la región afecta: dientes 43 y 44. Se utilizó pieza de mano con fresa redonda de tungsteno para eliminar la cortical vestibular accediendo a una lesión unilocular de 2 x 2,5 cm de diámetro que carecía de contenido; de modo que no se pudo enviar muestra alguna a anatomía patológica, lo cual confirmó el diagnóstico de quiste óseo solitario vacío. Las paredes de la cavidad estaban íntegras (Figura 5). Se procedió al legrado riguroso de las paredes óseas estimulando secundariamente el sangrado de la cavidad (Figura 6). A posteriori se introdujo en la lesión el PRGF obtenido de la paciente, para lo cual se habían extraído cuatro tubos de ensayo de sangre venosa para su posterior centrifugación y creación de PRGF con el sistema Endoret® BTI. Se finalizó la intervención con el reposicionamiento del colgajo con sutura no reabsorbible de 3/0 (Figuras 7 y 8). El tratamiento postoperatorio prescrito fue de Voltaren® 50mg 1/8hrs/5días, como antiinflamatorio y, como analgésico, Nolotil® 575mg 1/8hrs, en caso de dolor. Como medidas complementarias, se aconsejó a la paciente la utilización de un cepillo quirúrgico y Perio KIN® gel al 0’2%/7días. Transcurrida una semana, y tras una evolución favorable, se procedió a la retirada de la sutura.




El quiste óseo solitario es una lesión secundaria a un trauma donde algunos la vinculan al tratamiento de ortodoncia, debido a la movilización del órgano dental, que desencadenaría una hemorragia local y finalmente, un quiste. La teoría más aceptada solo da explicación a un 50% de los quistes óseos solitarios, y habla de un trauma local en la mandíbula como causante de una hemorragia intramedular, produciendo sucesivamente un déficit en el metabolismo cálcico, alterando los procesos de aposición y reabsorción ósea, traduciéndose en una necrosis aséptica de la medular ósea generando esta cavidad en el tejido óseo traumatizado. La cual puede ser: unilateral (sobrepasando o no la línea media) o bilateral, y tanto uni como multilobular, o incluso múltiple, aunque menos frecuente 2,3,5,6,8,10,11 .
En línea a la etiología traumática, algunos autores como MacDonald-Jankowski y cols.,15 versan que su aparición en la primera etapa de la vida resulta de un aumento en los traumas y que su diagnóstico en la edad adulta menos prevalente correspondería ante una remisión espontánea de la lesión. A pesar de ser la hipótesis más reconocida deja sin explicación a un número importante de quistes óseos solitarios, y ahí el surgimiento de otras teorías que menos admitidas si tienen sus partidarios como que el origen de la lesión fuera por una remodelación anómala del tejido óseo, a nivel mandibular; sucediendo próxima al foramen mentoniano, área predilecta de la lesión quística. O la teoría de degeneración tumoral en la que el quiste óseo solitario es la forma residual de entidades como la displasia fibrosa o el granuloma de células gigantes 3,4,8,13. Kyoung y cols.,11 concluyeron que una oclusión inestable podría conllevar en un quiste óseo solitario como lesión traumática repetitiva a largo plazo.
En el abordaje es necesario legrar las paredes de la cavidad, pero no lo es tanto la utilización de injertos para rellenar el defecto óseo6-12,14. Horne y cols.,14 afirman que la colocación de injertos en la lesión no favorece el pronóstico; sin embargo. Wong-Romo y cols.,3 y Surej y cols.,13 sugieren un amplio campo de injertos: bovino, cresta iliaca, sangre autóloga o hidroxiapatita para rellenar los defectos, recomendándolos, más aún, en casos donde el paciente requiera una rehabilitación con implantes osteointegrados. Subramaniam y cols.,7 aconsejan el uso de plasma rico en plaquetas en niños al ser una medida segura, efectiva y de fácil disponibilidad.
Del mismo modo, ante una recidiva de la lesión los injertos podrían dificultar el diagnóstico al ser materiales radiodensos, y sin que la formación de hueso intralesional pueda considerarse curación pues Suei y cols.,16 observaron recidivas en huesos regenerados 2,5,10,11,16 .
La controversia también está marcada en el diagnóstico ante una recidiva, pues Spone y Hansen17 recomiendan citar al paciente a los 4 meses para el primer control radiológico. Secundado por Martins-Filho y cols.,18 que dicen que generalmente la recidiva es observada a los 3 meses de la cirugía; en cambio Suei y cols.,19 entre otros afirman que 3 ó 4 meses es un tiempo insuficiente para valorar la curación o la recurrencia de la lesión, retrasando el primer control a los 12 ó 17 meses tras la cirugía después de observar recidivas en huesos regenerados 1,3-5,12,17 .
En los quistes óseos solitarios vacíos no es posible el estudio anatomopatológico siendo la cirugía exploratoria quien confirma el diagnóstico.
EI-Naggar A.K., Chan J.K.C., Grandis J.R., Takata T., Slootweg P.J. (Eds): WHO Classification of Head and Neck Tumours (4th edition). IARC: Lyon 2017.
Donado M, Martínez JM. Cirugía Bucal, Patología y Técnica. 4th ed. Barcelona: Elsevier Masson; 2014. Capítulo 41, Quistes odontógenos del desarrollo. Otros quistes; p.510-41.
Wong-Romo G, Terán-Carrillo E, Varela-Ángeles E. Quiste óseo solitario mandibular. Revista Odontológica Mexicana. 2016;20(2):114-122.
Martins-Filho PR, Santos Tde S, Araújo VL, Santos JS, Andrade ES, Silva LC. Traumatic bone cyst of the mandible: review of 26 cases. Braz J Otorhinolaryngol. 2012;78(2):16-21.
Ben Khoud N, Orset E, Lebeau J, Brix M. Solitary bone cyst of the jaws. Rev Stomatol Chir Maxillofac. 2009;110: 221-3.
Madiraju GS, Yallamraju SR, Rajendran V, Srinivasarao K. Solitary bone cyst of the mandible: a case report and brief review of literature. BMJ. Case Rep [Internet]. 2014 [cited 2019 Jan 3]. doi:10.1136/ bcr-2013-200945.
Subramaniam P, Kumar K, Ramakrishna T, Bhadranna A. Bone regeneration with plasma-rich-protein following enucleation of traumatic bone cyst. Eur J Dent. 2013; 7:377-81.
Harnet JC, Lombardi T, Klewansky P, Rieger J, Tempe MH, Clavert JM. Solitary Bone Cyst of the Jaws: A Review of the Etiopathogenic Hypotheses. J Oral Maxillofac Surg. 2008;66: 2345-8.
Imanimoghaddam M, Javadian Langaroody A, Nemati S, Ataei Azimi S. Simple Bone Cyst of the Mandible: Report of Two Cases. Iran J Radiol. 2011;8(1):43-6.
Velasco I, Cifuentes J, Lobos N, San Martín F. The unusual evolution of a simple bone cyst in the mandible: A case report. J Clin Exp Dent. 2012;4(2):132-5.
Kyoung-A K, Kwang-Joon K. Recurrent simple bone cyst of the mandibular condyle: a case report. Imaging Sci Dent. 2013;43: 49-53
Cortell-Ballester I, Figueiredo R, Berini-Aytés L, Gay-Escoda C. Traumatic bone cyst: A retrospective study of 21 cases. Med Oral Patol Oral Cir Bucal. 2009;14(5):239-43
Surej KLK, Kurien N, Thaha KA. Traumatic bone cyst of mandible. J Maxillofac Oral Surg. 2015;14(2):466-9.
Horne RP, Meara DJ, Granite EL. Idiopathic bone cavities of the mandible: an update on recurrence rates and case report. Oral Surg Oral Med Oral Pathol Oral Radiol. 2014;117(2):71-3.
MacDonald-Jankowski DS. Traumatic bone cysts in the jaws of a Hong Kong Chinese population. Clin Radiol. 1995;50: 787–91.
Suei Y, Tanimoto K, Wada T. Evaluation of contents with conventional radiography and computed tomography. Oral Surg Oral Med Oral Pathol. 1994;77(3):296- 301.
Hansen L, Sapone J, Sproat R. Traumatic bone cysts of jaws. Report of sixty-six cases. Oral Surg. 1974;37: 899–910.
Martins-Filho PR, Santos Tde S, Araujo VL, et al. Traumatic bone cyst of the mandible: a review of 26 cases. Braz J Otorhinolaryngol. 2012;78: 16–21.
Suei Y, Taguchi A, Tanimoto K. Simple bone cyst of the jaws: evaluation of treatment outcome by review of 132 cases. J Oral Maxillofac Surg. 2007;65(5):918-23.

Marcos Santos, A.
Graduado en Odontología Universidad de Salamanca. Residente de Cirugía Bucal e Implantología Hospital Virgen de la Paloma.
Gutiérrez Bonet, C.
Profesora del Máster de Cirugía Bucal e Implantología. Hospital Virgen de la Paloma. Madrid.
Fernández Cáliz, F.
Coordinador del Máster de Cirugía Bucal e Implantología. Hospital Virgen de la Paloma. Madrid.
Leco Berrocal, I.
Profesora Contratada Doctor. Facultad de Odontología. UCM.
Martínez-González, JM.
Profesor Titular de Cirugía Maxilofacial. Facultad de Odontología. UCM.
Barona Dorado, C.
Profesora Contratada Doctor. Facultad de Odontología. UCM.
Indexada en / Indexed in: – IME – IBECS – LATINDEX – GOOGLE ACADÉMICO








