Artículo original
Reichard Monefeldt, G. Diéguez Pérez, M. Características de la posición craneocervical con diferentes oclusiones en pacientes en desarrollo. Relación craneocervical y oclusión. Cient. Dent. 2020; 17; 2; 87-92
Características de la posición craneocervical con diferentes oclusiones en pacientes en desarrollo. Relación craneocervical y oclusión
En la actualidad la relación entre oclusión y posturología despierta un gran interés científico, sobre todo de cara a la instauración de un tratamiento multidisciplinar. Sin embargo, la diversidad de estudios se refiere sobre todo a la población adulta y no hay un consenso común entre las diferentes investigaciones. En base a ello nos planteamos como objetivo estudiar la posición craneocervical en diferentes oclusiones en población en desarrollo. Mediante un diseño de carácter transversal fueron seleccionados 64 pacientes pediátricos con historia clínica completa y radiografías laterales de cráneo de calidad. Las variables analizadas mediante el software de ImageJ® y Nemoceph® fueron FP-MP, ángulo ANB, OPT-SN, CVT-SN y Ad1-Ba. El análisis estadístico descriptivo y comparativo se llevó a cabo mediante el programa programa IBM SPSS® hallando posteriormente la fiabilidad intraexaminador. Los valores p obtenidos para cada una de las variables fueron 0,846 para FP-MP, 0,008 para el ángulo ANB, 0,155 para OPT-SN, 0,415 para CVT-SN y 0,221 para Ad1-Ba. Por todo ello, creemos que la posición craneofacial en las diferentes oclusiones podría estar determinada por el hecho de que el desarrollo todavía no ha finalizado.
Currently, the relationship between occlusion and posture arouses great scientific interest, especially during the establishment of a multidisciplinary treatment. However, the diversity of studies refers mostly to the adult population and there is no common agreement among the different investigations. Based on this, we aimed to study the craniocervical position in different occlusions in the developing pediatric population. Through a crosssectional design, 64 pediatric patients with complete clinical history and high-quality lateral skull radiographs were selected. The variables analyzed by ImageJ® and Nemoceph® software’s were FP-MP, ANB angle, OPT-SN, CVT-SN and Ad1-Ba. Descriptive and comparative statistical analysis was carried out with IBM SPSS Statistics® software, subsequently finding intra-examiner agreement. P-values obtained for each of these variables were 0.846 for FP-MP, 0.008 for ANB angle, 0.155 for OPT-SN, 0.415 for CVT-SN, and 0.221 for CVT-SN. Based on these results, we believe that the craniofacial position in the different occlusions could be determined by the fact that the development has not yet been completed.
La relación entre odontología y posturología es una fuente constante de interés e investigación en las décadas recientes1-3. La maloclusión no sólo es el resultado de la acción de factores genéticos y ambientales sino también posturales. Alteraciones cervicales como fusiones y deficiencias posteriores del arco se pueden observar en pacientes con alteraciones oclusales2 .
Sin embargo, son varias las revisiones sistemáticas que demuestran la existencia de una laguna de información científica confiable sobre esta relación, más aún en pacientes en desarrollo. Esta confusión, en parte viene determinada por la existencia de una gran variedad de enfoques y errores metodológicos en los estudios realizados4-7 .
Autores como Aranitasi y cols.,2 afirman que pacientes no sindrómicos presentan una alta prevalencia de fusión entre vértebras cervicales cuando presentan clase II y III esquelética.Según Lippold y cols.,8 existen ya asociaciones entre anomalías oclusales y escoliosis en población preescolares.
Solow y Sonnesen9 observan un claro patrón de asociación entre un apiñamiento de más de 2 mm y postura cráneo-cervical en pacientes pediátricos.
Para D’Attilio y cols.,10 los niños/as con clase III esquelética pueden presentar un ángulo de lordosis cervical significativamente inferior en comparación con los de clase I y II esquelética; presentando una extensión de la cabeza sobre la columna vertebral significativamente mayor en las malcoclusiones de clase II al compararlas con las de I y III esquelética.
Según Gogola y cols.,11 los infantes con posturas defectuosas presentan maloclusiones más marcadas que los que presentan una postura corporal correcta.
Otro aspecto para tener en cuenta en este ámbito es la relevancia de la vía aérea, por ello al evaluar la vía nasal y los volúmenes orofaríngeos en población infantil y con diferentes patrones esqueléticos dentofaciales se observó como la posición de la mandíbula con respecto a la base craneal tiene un efecto sobre el volumen de la vía aérea12 .
Para Kim y cols.,13 la postura de la cabeza en niños/as y adolescentes se asocia a diferentes dimensiones craneofaciales, determinando por ello y en casos con mordida abierta un componente etiológico respiratorio.
Šidlauskienė y cols.,14 analizan en población infantil la oclusión y postura corporal general así como la patología nasofaríngea, tales como, las desviaciones en septum nasal, hipertrofia de adenoides, tonsilares y rinitis alérgicas. Hallaron una relación estadísticamente significativa entre la presencia de una postura cifótica y una reducción en el ángulo SNB, representando la posición sagital de la mandíbula; y una asociación estadística significativa entre la postura cifótica y la obstrucción nasofaríngea.
Rocha y cols.,3 al evaluar el modo de respiración, parámetros oclusales y posturales en población infantil y adolescente, observaron en algunos grupos de estudio con respiración oral, una posición más baja del hueso hioideo con respecto al plano de la mandíbula.
Para Silvestrini y cols.,15 las variables posturales, ortópticas, osteopáticas y oclusales a menudo se asociaron clínicamente en población infantil, por ello todos estos trastornos parecen requerir de un enfoque médico multidisciplinario para su tratamiento.
A lo que estos precedentes mencionados se encaminan es a que la relación entre la oclusión y la posturología es una fuente continua de interés para todos los profesionales y en la prestación de atención sanitaria durante las últimas décadas. Y según Perinetti16, la relevancia recae en que la maloclusión dental tiene una prevalencia muy alta entre la población infantil, y por ende, los potenciales efectos negativos de esta sobre la postura corporal podrían proporcionar otras indicaciones para los tratamientos de ortodoncia.
La falta de consenso entre las diferentes investigaciones y los escasos estudios en pacientes en desarrollo nos invita a estudiar la posición craneocervical en diferentes oclusiones en esta población.
Se realizó un estudio de carácter transversal. Tras obtener la aprobación del Comité ético de investigación Clínica y consentimiento informado, se seleccionaron a aquellos pacientes pediátricos que cumplían con los siguientes criterios de selección: pacientes de 6 años con historia clínica completa y radiografías laterales de cráneo, no sindrómicos, sin malformaciones cráneo-faciales y antecedentes quirúrgicos de la vía aérea superior, que no estuviesen o hubiesen recibido tratamientos ortodónticos y con radiografías laterales de cráneo sin distorsión, ampliación, superposición de estructuras y con dificultad para identificar y registrar puntos anatómicos. Para esta investigación no se ha tenido contacto con la muestra, tan sólo a la revisión de datos de la historia clínica así como sus registros radiográficos.
Se determinó cuantitativamente el patrón de predisposición de crecimiento mediante el parámetro cefalométrico FP-MP, definido por el ángulo formado por el plano facial y plano mandibular. La clase esquelética se diagnosticó a través del análisis de Steiner utilizando la medida del ángulo ANB.
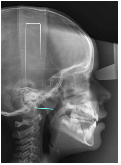
La postura cráneo-cervical se llevó a cabo a través de las variables OPT-SN, que se refiere ángulo formado por SN y la línea que discurre a través del punto más póstero-superior y más póstero-inferior del odontoides (Figura 1).

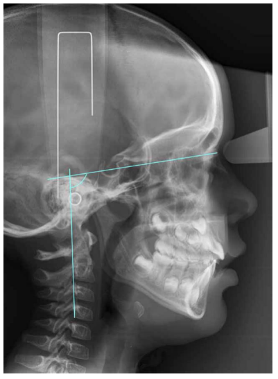
Otra variable estudiada fue CVT-SN, ángulo que se forma entre SN y la línea que recorre el punto póstero-superior y punto póstero-inferior de las cuatro vértebras cervicales (Figura 2).

Finalmente se midió la distancia que se extiende el punto de intersección de la pared faríngea posterior y la línea que se forma entre la espina nasal posterior junto con basion (Ad1-Ba) (Figura 3).

Todas estas variables de estudio se obtuvieron tras la calibración de las radiografías, utilizando como punto de referencia la longitud de las varillas metálicas, tras la localización y punteado de las estructuras; para ello fue empleado el software de ImageJ® y Nemoceph® . Y finalmente se tabularon los resultados de las variables para cada uno de los sujetos seleccionados.
La medición de cada caso demoró en promedio unos 40 minutos por registro radiográfico. Y para detectar errores en identificación intraexaminador, el 10% de los registros estudiados se seleccionaron aleatoriamente y se midieron dos semanas más tarde.
Los datos fueron analizados mediante métodos estadísticos descriptivos y comparativos utilizando el programa IBM SPSS® . Las variables cuantitativas se describieron mediante la media y desviación standard: La diferencia de medias se analizó mediante la T de Student en las variables que cumplían requisitos de normalidad, y mediante la prueba de Mann Whitney U, en aquellas que no presentaban distribución normal. La p es <0,05.
Se recopilaron los datos de 64 pacientes, de los cuales 31(48%) presentaron valores cefalométricos de ANB de clase I Steiner y 33 (52%) de clase II Steiner. En la tabla se presentan los resultados obtenidos en relación a los parámetros de estudio. De todas las variables medidas únicamente existió significancia para los valores relativos a ANB (p-value=0,008). La concordancia intraexaminador se calculó mediante el índice Kappa y resultó ser de un 100%.

Los estudios con muestras comparables entre los revisados en la literatura se corresponden con el de Rocha y cols.,3 Solow y Sonnesen9 , D’Attilio y cols.,10 Arntsen y Sonnesen17, Kim y cols.,13 y Gogola y cols.,11 ya que los sujetos de estas investigaciones presentaban edades similares a las de nuestro estudio.
En relación al tamaño muestral, Perinetti16 así como Tardieu y cols.,18 estudiaron entre 20 y 26 sujetos respectivamente, muestra inferior a la nuestra. Castro-Silva y cols.,19 utilizaron un tamaño muestral similar al nuestro, con 60 participantes. Arntsen y Sonnesen17, Ei y Palomo12, Silvestrini y cols.,15 Kim y cols,.13 Gogola y cols.,11 Šidlauskas14 Solow y Sonnesen9 , D’Attilio y cols.,10 y Rocha y cols.,3 emplearon tamaños muestrales superiores al nuestro, oscilando entre 94 en el estudio de Šidlauskienė y cols.,14 hasta 605 sujetos en el de Silvestrini y cols.,15 .
Aunque la mayoría de las investigaciones sobre posturología y oclusión presentan como denominador común, al igual que nosotros, el que son estudios de carácter transversal, la metodología, variables y el enfoque que se da en los objetivos son distintos en todos.
En el estudio de D’Attilio y cols.,10 investigaron las diferencias entre la postura cervical y las diferentes clases esqueléticas; compartimos con este autor el software empleado pero no coincidimos con los parámetros posturales.
Perinetti16 determinó dicha relación mediante posturografía. Esta investigación es diferente a la nuestra, no sólo en las variables de estudio y edad de la muestra sino también en el hecho de que fue diseñado para determinar una relación dinámica entre ambas variables.
Sin embargo, Tardieu y cols.,18 investigaron la influencia de una perturbación oclusal en el control postural de acuerdo con la dificultad de tarea solicitada. En nuestro estudio no hubo contacto directo con pacientes y no requirió de dicha tarea.
Arntsen y Sonnesen17 asociaron ambos parámetros de estudio examinando la morfología de la columna cervical y craneofacial en sujetos con maloclusión clase II y overjet, y el software utilizado también difiere del nuestro (TIOPS 2005® ).
Por otro lado, Silvestrini y cols.,15 añadieron a la relación estudiada parámetros como la convergencia ocular.
Kim y cols.,13 diseñaron un estudio donde la morfología de la columna cervical se describió por primera vez en niños(as) y adolescentes con mordida abierta. Nuestra investigación no ha tenido en cuenta la alteración oclusal en el plano vertical y presenta variables de estudio diferentes.
Gogola y cols.,11 utilizaron parámetros de oclusión diferentes así como su enfoque hacia la postura del área craneocervical.
Šidlauskas14 investigó la relación entre la oclusión y la postura corporal general del paciente incluyendo también la patología nasofaríngea tales como las desviaciones en septum nasal, hipertrofia de adenoides y tonsilares, y rinitis alérgicas. Sin embargo, en nuestro estudio no fue evaluada la postura corporal general ni la patología nasal.
Rocha y cols.,3 incluyeron además de la relación oclusal y postural el modo de respiración oral o nasal, siendo el más similar al nuestro en cuanto a variables se refiere, utilizaron el software de ortodoncia Ortho TP® y de un sensor de flujo aéreo para plataforma digital e-Health Platform® .Cabe destacar que al igual que nosotros no hallaron resultados estadísticamente significativos en relación con las variables posturales en los sujetos con edades de 7-9 años. Existiendo una similitud entre ambos en relación a algunos resultados descriptivos. Los valores en las variables de estudio que se correspondían con FP-MP de patrón de crecimiento facial fueron 66,81° y 67,03° en el grupo I del estudio de Rocha y cols.,3 mientras en la presente investigación fueron 67,3° y 67,1° para clase I y II respectivamente. El parámetro ANB en el del estudio de Rocha y cols.,3 proporcionó resultados de 2.06° y 4,25°, mientras en este estudio fueron de 2,49° para clase I y 6.37° para clase II.
Al estudiar los parámetros cráneo-cervicales en ambas oclusiones se observó la falta de significancia estadística, por lo que se requiere el estudio de un mayor tamaño muestral y quizá la corta edad de la población pueda determinar el hecho de que esta relación no sea tan evidente.
Se agradece a la empresa de Nemotec por proporcionar el software de ortodoncia Nemoceph® y todo su apoyo técnico de modo gratuito para este estudio.
Souza D, Martinelli E. A longitudinal evaluation of the skeletal profile of treated and untreated skeletal class II individuals. Angle Orthod 2005;75 (1): 7.
Aranitasi L, Tarazona B, Zamora N, Gandía JL, Paredes V. Influence of skeletal class in the morphology of cervical vertebrae: A study using cone beam computed tomography. Angle Orthod 2017;87(1):131.
Chambi-Rocha A, Cabrera-Domínguez ME, Domínguez-Reyes A. Breathing mode influence on craniofacial development and head posture. J Pediatr 2018; 94(2):123–130.
Amat P. Occlusion, orthodontics and posture: are there evidences? The example of scoliosis. Int J Stomatol Occlusion Med 2009;2(1):2–10.
Hanke BA, Motschall E, Türp JC. Association between orthopedic and dental findings: what level of evidence is available? J Orofac Orthop Fortschritte Kieferorthopädie 2007; 68 (2): 91–107.
Michelotti A, Buonocore G, Manzo P, Pellegrino G, Farella M. Dental occlusion and posture: an overview. Prog Orthod 2011;12(1): 53–58.
Neiva PD, Kirkwood RN, Mendes PL, Zabjek K, Becker HG, Mathur S. Postural disorders in mouth breathing children: a systematic review. Braz J Phys Ther 2018;22(1):7-19.
Lippold C, van den Bos L, Hohoff A, Danesh G, Ehmer U. Interdisciplinary study of orthopedic and orthodontic findings in pre-school infants. J Orofac Orthop Fortschritte Kieferorthopädie 2003; 64(5): 330–340.
Solow B, Sonnesen L. Head posture and malocclusions. Eur J Orthod 1998;20(6):685–93.
D’Attilio M, Caputi S, Epifania E, Festa F, Tecco S. Evaluation of cervical posture of children in skeletal class I, II, and III. CRANIO® 2005;23(3): 219–228.
Gogola A. Assessment of connection between the bite plane and body posture in children and teenagers. Develpmental Period Med 2014;18 (4):453–458.
El H, Palomo JM. Airway volume for different dentofacial skeletal patterns. Am J Orthod Dentofacial Orthop 2011; 139 (6): e511–521.
Kim P, Sarauw MT, Sonnesen L. Cervical vertebral column morphology and head posture in preorthodontic patients with anterior open bite. Am J Orthod Dentofacial Orthop 2014; 145 (3): 359–66.
Šidlauskas M. Relationships between malocclusion, body posture, and nasopharyngeal pathology in pre-orthodontic children. Med Sci Monit 2015; 21:1765–1773.
Silvestrini-Biavati A, Migliorati M, Demarziani E, Tecco S, Silvestrini-Biavati P, Polimeni A, y cols. Clinical association between teeth malocclusions, wrong posture and ocular convergence disorders: an epidemiological investigation on primary school children. BMC Pediatr 2013;13(1).
Perinetti G. Dental occlusion and body posture: No detectable correlation. Gait Posture 2006; 24(2):165–168.
Arntsen T, Sonnesen L. Cervical vertebral column morphology related to craniofacial morphology and head posture in preorthodontic children with Class II malocclusion andhorizontal maxillary overjet. Am J Orthod Dentofacial Orthop 2011; 140 (1): e1–7.
Tardieu C, Dumitrescu M, Giraudeau A, Blanc J-L, Cheynet F, Borel L. Dental occlusion and postural control in adults. Neurosci Lett 2009; 450 (2): 221–224.
Castro-Silva L, Monnazzi MS, Spin-Neto R, Moraes M, Miranda S, Real Gabrielli MF, y cols. Cone-beam evaluation of pharyngeal airway space in class I, II, and III patients. Oral Surg Oral Med Oral Pathol Oral Radiol 2015; 120 (6): 679–683.
Kim Y-J, Hong J-S, Hwang Y-I, Park Y-H. Three-dimensional analysis of pharyngeal airway in preadolescent children with different anteroposterior skeletal patterns. Am J Orthod Dentofacial Orthop 2010; 137(3): 306.e1-306.e11.
Reichard Monefeldt, Guillermo
Grado en Odontología, Universidad Europea de Madrid. Máster en Ciencia Odontológicas, Universidad Complutense de Madrid.
Diéguez Pérez, Montserrat
Doctor en Odontología. Universidad Complutense de Madrid. Universidad Europea de Madrid.