Ir al contenido principal
Filtros

 

Todavía no hay términos de filtro

Todavía no hay términos de filtro

  • Todavía no hay términos de filtro
Eduardo Anitua

Científica Dental mayo-junio-julio-agosto 2025

ESPECIAL INGLÉS. Científica Dental vol. 21 2024

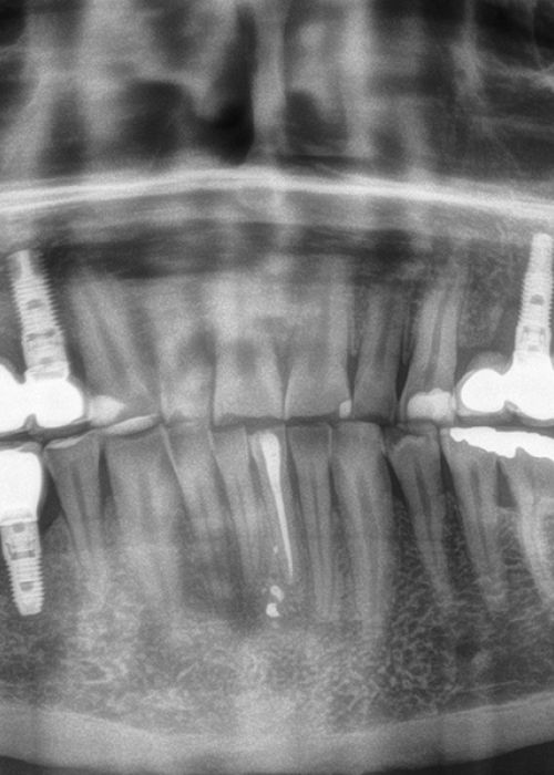
Implantes de 4,5mm de longitud utilizados en atrofia ósea en altura (hueso residual ≤ 4,5m). Estudio retrospectivo

Correlation between the presence of sleep apnea and prosthetic and implant fractures. Series of clinical cases with identification of the process and treatment with mandibular advancement device

Científica Dental: enero-febrero-marzo-abril 2025

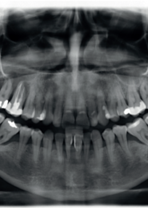
Implantes insertados en zonas regeneradas con injerto en bloque y PRGF-Endoret para resolver la atrofia horizontal severa. Serie de casos con 10 años de seguimiento posterior a la carga

Científica Dental: septiembre-octubre-noviembre-diciembre 2024

Implantes cortos Core-X® para lograr una mejora de la estabilidad primaria en el maxilar posterior con atrofi a vertical y baja densidad. A propósito de un caso

Científica Dental: mayo-junio-julio-agosto 2024

Elevación de seno mediante abordaje transcrestal sin material de relleno con implantes extracortos (5,5 y 6,5 mm). Estudio retrospectivo con un seguimiento de 10 años

Científica Dental: enero-febrero-marzo-abril 2024

Implant explantation poorly positioned in an aesthetic sector and subsequent regeneration with block grafting. Clinical case

Implants of 4.5 and 5.5 mm length inserted directly in crestal elevation with autologous bone attached to PRFG-Endoret in residual bone heights of 2-3 mm: retrospective study

ESPECIAL EN INGLÉS. Científica Dental vol. 20 2023

Correlación entre la presencia de apnea del sueño y las fracturas protésicas e implantológicas. Serie de casos clínicos con identificación del proceso y tratamiento con dispositivo de avance mandibular.

Elevación de seno transcrestal con inserción de implantes ultracortos de 4,5 mm de longitud en zonas maxilares posteriores con hueso residual menor o igual a 3 mm de altura

Uso del Endoret® (PRGF®) (Platelet Rich in growht factor) en el alveolo post-extracción: un nuevo enfoque regenerador

Extracción atraumática de implantes: predictibilidad de la técnica y del implante reimplantado

Use of Endoret® (PRGF®) (Platelet Rich Growth Factor) in the post-extraction socket: a new regenerative approach

Implantes inmediatos postextracción con carga inmediata en alveolos con infección por periodontitis activa: estudio de cohortes retrospectivo

Atraumatic extraction of implants: predictability of the technique and the re-implanted implant

UnicCa® : nueva superficie de implantes para acelerar la oseointegración

Relación entre desgaste dental severo y síndrome de apnea-hipoapnea del sueño (SAHS)

Immediate post-extraction implants with immediate loading in alveoli with infection due to active periodontitis: a retrospective cohort study

Atrofia extrema vertical y horizontal combinada en sectores posteriores mandibulares. Uso de implantes cortos y expansión de cresta en dos fases con implantes transicionales

Abordaje del maxilar posterior atrófico: elevación de seno por abordaje lateral Vs. Implantes extra-cortos. Caso clínico con ocho años de seguimiento

Extreme vertical and horizontal atrophy combined in posterior mandibular sectors; use of short implants and 2-phase ridge expansion with transitional implants: A clinical case

Atrophic posterior maxilla: sinus elevation with lateral approach Vs. Extra-short implants. Clinical case with eight years of follow-up

Atrofia combinada maxilomandibular. uso de implantes cortos y estrechos (BTI® CORE y BTI® 3.0)

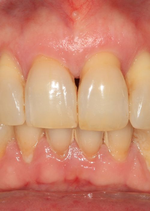
Resolución de un caso con implicación estética en el sector antero-superior. A propósito de un caso

Injerto en bloque en combinación con la técnica de split en dos fases para la rehabilitación de un caso de gran reabsorción ósea del maxilar en anchura

Block grafting in combination with the two-stage split technique for the rehabilitation of a case of severe bone resorption of the maxilla in width

Implantes cortos y extracortos en maxilar y mandíbula con bajo torque de inserción. Estudio retrospectivo con un seguimiento de 1 a 7 años

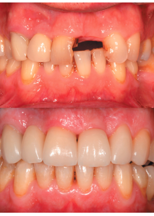
Explantación de implante mal posicionado en sector estético y regeneración posterior con injerto en bloque

Implantes de 4,5 y 5,5 mm longitud insertados de forma directa en elevación crestal con hueso autólogo unido al Endoret-PRGF en alturas óseas residuales de 2-3 mm: estudio retrospectivo

Científica Dental: sept.-octubre-noviembre-diciembre 2023

Científica Dental: mayo-junio-julio-agosto 2023

Científica Dental: enero-febrero-marzo-abril 2023

ESPECIAL EN INGLÉS. Científica Dental vol. 19 2022

Científica Dental: sept.-octubre-noviembre-diciembre 2022

Científica Dental: mayo-junio-julio-agosto 2022

Científica Dental: enero-febrero-marzo-abril 2022

Científica Dental: febrero 2021 (edición exclusiva online)

ESPECIAL EN INGLÉS. Científica Dental vol 17 2020

Científica Dental: enero-abril 2020

Científica Dental: septiembre-octubre-noviembre-diciembre 2019

ESPECIAL EN INGLÉS. Científica Dental vol 15 2018

Científica Dental: septiembre-octubre-noviembre-diciembre 2018

Científica Dental: enero-febrero-marzo-abril 2018

ESPECIAL EN INGLÉS. Científica Dental vol 14 2017

Científica Dental: septiembre-octubre-noviembre-diciembre 2017

ESPECIAL EN INGLÉS. Científica Dental vol 13 2016

Científica Dental: septiembre-octubre-noviembre-diciembre 2016

Científica Dental: mayo-junio-julio-agosto 2016