ESPECIAL EN INGLÉS. Científica Dental vol 17 2020

Contenidos de la publicación
1 | EDITORIAL | |
2 | ORIGINAL ARTICLE | RADIOGRAPHIC DIAGNOSIS OF IMPACTED MAXILLARY CANINES: COMPARISON BETWEEN TWO AND THREE DIMENSIONS |
3 | ORIGINAL ARTICLE | CRANIOCERVICAL POSITION CHARACTERISTICS FOR DIFFERENT OCCLUSIONS IN DEVELOPING PATIENTS: CRANIOCERVICAL RELATIONSHIP AND OCCLUSION |
4 | CLINICAL CASE | ATROPHIC POSTERIOR MAXILLA: SINUS ELEVATION WITH LATERAL APPROACH VS. EXTRA-SHORT IMPLANTS. CLINICAL CASE WITH EIGHT YEARS OF FOLLOW-UP |
5 | CLINICAL CASE | EXTREME VERTICAL AND HORIZONTAL ATROPHY COMBINED IN POSTERIOR MANDIBULAR SECTORS; USE OF SHORT IMPLANTS AND 2-PHASE RIDGE EXPANSION WITH TRANSITIONAL IMPLANTS: A CLINICAL CASE |
6 | ORIGINAL ARTICLE | COMPARATIVE DENSITOMETRIC ANALYSIS BETWEEN A NEW BONE GRAFT MATERIAL COMPOSED OF CALCIUM PHOSPHATE VS. BOVINE HYDROXYAPATITE IN ALVEOLAR RIDGE PRESERVATION. A PILOT STUDY |
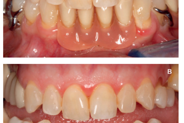
7 | CLINICAL CASE | DIGITAL FLOW IN UNITARY DENTAL IMPLANTS REHABILITATION IN ANTERIOR SECTOR. URGICAL AND PROSTHETIC PLANNING. CASE REPORT |

Dra. Cristina Meniz García
Director Científica Dental

Dra. Isabel Leco Berrocal
Subdirector Científica Dental
Dear colleagues and readers of Científica Dental,
This is the seventh year that Científica Dental has offered this special supplement in English. It includes the best papers published over 2020 in the categories of best scientific article, best case study and best publication by a new author. A total of six papers are presented, which are the finalists of the aforementioned categories.
The subject matter of the papers is up-to-date and varied, with research papers and clinical case studies on bone regeneration and implantology, as well as original articles on the diagnosis of retained maxillary canines and the relationship between craniocervical position and occlusion. Our readers can freely access this issue at the website www.cientificadental.es
Finally, we would once again like to thank our authors for the high quality of the papers they submit, and also the copy editors and proofreaders, whose work is essential for the production of each issue of this journal, and of course our readers, for whom we offer this issue with the most significant papers published in 2020, a year that will be difficult to forget.
We hope that you enjoy your long-awaited holidays. We wish you a happy summer.
Artículos de la publicación

Comparative densitometric analysis between a new bone graft material composed of calcium phosphate vs. bovine hydroxyapatite in alveolar ridge preservation. A pilot study






