Científica Dental septiembre-octubre-noviembre-diciembre 2025

Contenidos de la publicación
Editorial | |
Artículo original | REHABILITACIÓN UNITARIA CON IMPLANTES EXTRACORTOS ESTRECHOS (3–3,5 MM DE DIÁMETRO, 6,5 MM DE LONGITUD): ESTUDIO PROSPECTIVO |
Caso clínico | REHABILITACIÓN IMPLANTOSOPORTADA SOBRE IMPLANTES DENTALES Y CIGOMÁTICOS EN UN PACIENTE CON RADIOTERAPIA POR UN CARCINOMA ADENOIDE. A PROPÓSITO DE UN CASO CLÍNICO |
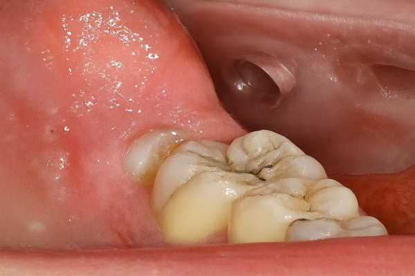
Caso clínico | RETENCIÓN DE SEGUNDOS MOLARES MANDIBULARES: EVALUACIÓN MEDIANTE CBCT Y CONSIDERACIONES TERAPÉUTICAS ANTE UN CASO CLÍNICO |
Revisión bibliográfica | EFECTOS DE LOS CIGARRILLOS ELECTRÓNICOS SOBRE LA SALUD ORAL: UNA REVISIÓN DE LA LITERATURA |
Colaboración especial | MEDIR QUÉ COSAS: LAS VARIABLES (I) |
Revisión bibliográfica | ESTABILIDAD PERIODONTAL Y ORTODÓNCICA DE LA ORTODONCIA OSTEOGÉNICA PERIODONTALMENTE ACELERADA (PAOO) |

Dra. Mª Isabel Leco Berrocal
Directora de la revista Científica Dental del Ilustre Colegio Oficial de Odontólogos y Estomatólogos de la Iª Región

Dra. Mª Victoria Mateos Moreno
Subdirectora de la revista Científica Dental del Ilustre Colegio Oficial de Odontólogos y Estomatólogos de la Iª Región.
Editorial
Queridos colegiados, amigos y lectores de Científica Dental:
Con gran satisfacción presentamos este nuevo número de nuestra revista, que marca además el inicio de un ilusionante año 2026. Comenzamos este nuevo año renovando nuestro compromiso con la formación continuada, la divulgación científica rigurosa y la excelencia clínica que caracteriza a nuestra profesión.
Queremos expresar nuestro más sincero agradecimiento a todos los autores que han contribuido en este número. Su dedicación, esfuerzo investigador y generosidad al compartir conocimiento hacen posible que Científica Dental continúe siendo un espacio de encuentro, aprendizaje y difusión científica para la comunidad odontológica.
En este volumen reunimos trabajos que abordan, desde distintas perspectivas, los desafíos actuales de la práctica clínica y la investigación en odontología.
El artículo original de Anitua presenta un estudio prospectivo sobre rehabilitación unitaria mediante implantes extracortos y estrechos. Sus resultados demuestran una elevada predictibilidad clínica y estabilidad ósea, ofreciendo una alternativa mínimamente invasiva en casos de atrofia alveolar.
En el primer caso clínico, Garrido Martínez y cols. describen la rehabilitación implantosoportada con implantes dentales y cigomáticos en una paciente sometida a radioterapia por carcinoma adenoide. El trabajo muestra una planificación multidisciplinar ejemplar y resultados funcionales y estéticos estables a largo plazo.
El segundo caso clínico, de Amirbagloy Darian y cols., analiza la retención de segundos molares mandibulares mediante CBCT y sus implicaciones terapéuticas. Se ofrece una visión clara del diagnóstico tridimensional y de la toma de decisiones clínicas en situaciones complejas.
La revisión bibliográfica de Rodríguez Masullo y Garcillán Izquierdo aborda los efectos de los cigarrillos electrónicos sobre la salud oral. Una puesta al día imprescindible sobre un hábito emergente y sus repercusiones en tejidos dentales y periodontales.
En la sección de colaboración especial, De la Macorra García nos invita a reflexionar sobre “Medir qué cosas: las variables (I)”. Un texto fundamental para comprender la correcta formulación y análisis de variables en investigación clínica.
Finalmente, la revisión bibliográfica de Palma López y cols. analiza la estabilidad periodontal y ortodóncica de la Ortodoncia Osteogénica Periodontalmente Acelerada. El trabajo integra evidencia científica actual sobre esta técnica, así como sus limitaciones.
Con este número damos la bienvenida a 2026, deseando que sea un año lleno de salud, ilusión y nuevos proyectos para toda la comunidad odontológica. Que el conocimiento compartido en estas páginas contribuya a seguir mejorando la atención a nuestros pacientes y el desarrollo de nuestra profesión.
A todos los autores, revisores y colaboradores, gracias por hacerlo posible.
Artículos de la publicación

Retención de segundos molares mandibulares: evaluación mediante CBCT y consideraciones terapéuticas ante un caso clínico





