Científica Dental: enero-febrero-marzo-abril 2024

Contenidos de la publicación
1 | Editorial | |
2 | Artículo original | CORRELACIÓN ENTRE LA PRESENCIA DE APNEA DEL SUEÑO Y LAS FRACTURAS PROTÉSICAS E IMPLANTOLÓGICAS. SERIE DE CASOS CLÍNICOS CON IDENTIFICACIÓN DEL PROCESO Y TRATAMIENTO CON DISPOSITIVO DE AVANCE MANDIBULAR |
3 | Artículo original | DEL COVID LEVE AL SÍNDROME PERSISTENTE: EVALUACIÓN INTEGRAL DE LA SALUD ORAL |
4 | Revisión bibliográfica | REGENERACIÓN / REVITALIZACIÓN PULPAR EN DIENTES PERMANENTES INMADUROS |
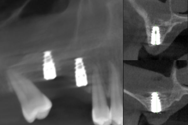
5 | Caso clínico | COMPORTAMIENTO CLÍNICO, RADIOGRÁFICO E HISTOMORFOMÉTRICO DEL DIENTE AUTÓLOGO COMO BIOMATERIAL EN ELEVACIÓN DE SENO MAXILAR DE ACCESO LATERAL. CASO CLÍNICO CON SEIS MESES DE SEGUIMIENTO POST-CARGA PROTÉSICA |
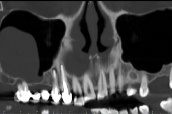
6 | Caso clínico | MANEJO QUIRÚRGICO DEL PACIENTE CON PATOLOGÍA PSEUDOQUÍSTICA SINUSAL: A PROPÓSITO DE UN CASO |
7 | Artículo original | EVALUACIÓN DE LOS CAMBIOS FACIALES Y DENTOALVEOLARES EN PACIENTES TRATADOS CON TWIN BLOCK MODIFICADO: RESULTADOS PRELIMINARES |
8 | Artículo original | ASOCIACIÓN ENTRE EL BIOTIPO FACIAL Y LA POSICIÓN DEL LABIO SUPERIOR EN LA SONRISA |

Dra. Mª Isabel Leco Berrocal
Directora de la revista Científica Dental del Ilustre Colegio Oficial de Odontólogos y Estomatólogos de la Iª Región

Dra. Mª Victoria Mateos Moreno
Subdirectora de la revista Científica Dental del Ilustre Colegio Oficial de Odontólogos y Estomatólogos de la Iª Región.
Editorial
Queridos compañeros y lectores de Científica Dental, En este número de primavera de la revista os ofrecemos siete trabajos que esperamos sean de vuestro interés. Contamos con cuatro artículos originales, dos casos clínicos y una revisión de la literatura, que abarcan diferentes áreas de la actividad y actualidad científica de nuestra profesión. Anitua analiza en un interesante trabajo la relación entre las fracturas protésicas implantológicas y la apnea del sueño, así como el tratamiento a través de un dispositivo de avance mandibular. El trabajo de Sánchez-Fernández y cols. realiza un magnífico estudio sobre las manifestaciones orales del COVID leve hasta el persistente.
El equipo de Jiménez-Pascual y cols. a través de una actualizada revisión bibliográfica presenta los nuevos avances en la revitalización pulpar en dientes inmaduros. A continuación, se presentan dos casos clínicos. El primero de Beca y cols. analiza el comportamiento clínico, radiográfico e histomorfométrico del diente autólogo en la elevación de seno maxilar lateral de acceso lateral, acompañado de unas imágenes de la técnica y seguimiento de seis meses. Sánchez-Ruiz y cols. analizan el tratamiento quirúrgico de la patología pseudoquística sinusal a través de un caso clínico donde recogen las imágenes del diagnóstico, tratamiento y resolución a los seis meses.
El artículo original de Maximino y cols. presenta los resultados preliminares sobre la evaluación de los cambios faciales y dentoalveolares con la técnica de Twin Block Modificado. Y, finalmente, Cortés-Campo y cols. presentan un estudio en una amplia muestra sobre la asociación entre el biotipo facial y el labio superior en la sonrisa. Desde el equipo de Científica Dental esperamos que estos trabajos sean de vuestro interés y agradecemos a todos los autores su confianza y hacernos partícipes de sus investigaciones, trabajos clínicos y académicos. Como siempre estamos abiertos a todas vuestras sugerencias, colaboraciones y participaciones. Os esperamos en el próximo número del mes de julio.
Artículos de la publicación







