Original article
Published in spanish Científica Dental Vol. 21. Nº 1. 2024
www.cientificadental.es
Correlation between the presence of sleep apnea and prosthetic and implant fractures. Series of clinical cases with identification of the process and treatment with mandibular advancement device
Introduction: The presence of dental signs and symptoms in patients with sleep apnea (OSA) that are recognizable to the dentist places us in the first line of diagnosis and subsequent treatment for patients suffering from this pathology. From problems such as wear and tear and fractures, we can reach a diagnosis of a pathology with great repercussions for the patient and address a crucial part of the treatment, such as recovering the vertical dimension and the use of mandibular advancement devices.
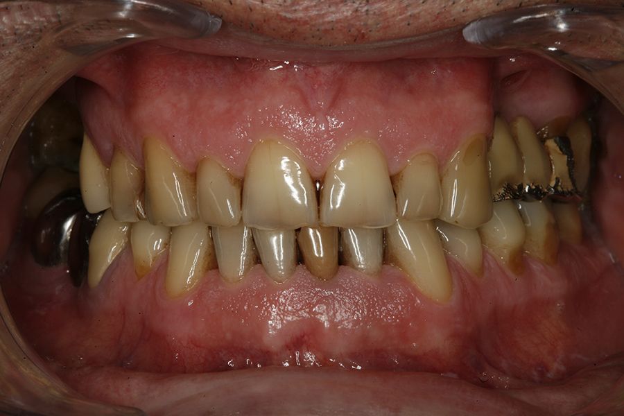
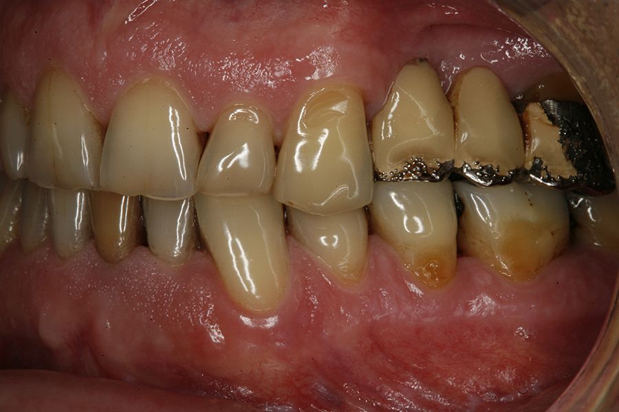
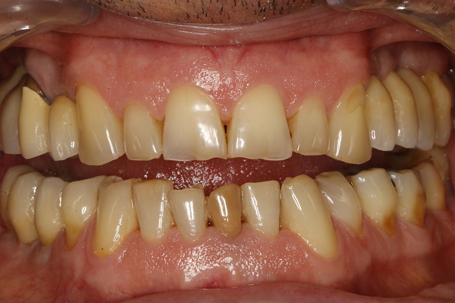
Material and method: We retrospectively recruited patients who attended our dental clinic with problems in different implant rehabilitations of an eminently mechanical nature (fracture of ceramics, prostheses, or components as well as implants) who underwent respiratory polygraphy to reveal the possible presence of OSA. In those cases where this disorder was found to be present, we selected patients with moderate-severe OSA (apnea- hypopnea index (AHI) ≥ 20) to analyze the different adverse events that occurred according to the severity of the sleep disorder recorded.
Results: Twenty-two patients who met the previously established inclusion criteria were recruited. Adverse events were identified in all patients in their implant restorations, these complications being fracture of the prosthesis ceramic (63.6%), structural fracture of the prosthesis in 18.2% of the cases (structure itself or resin coating in hybrids) and fractures or cracks in the implants in 18.2% of the cases. The mean AHI (apnea-hypopnea index) of all patients was 33.29 (+/- 18.90; range 20-110). If we analyze the presence of adverse events in the prostheses according to the AHI, we find that most adverse events are concentrated in the higher AHI ranges. A therapeutic approach with CPAP (continuous pressurized airway oxygen delivery device) combined with a mandibular advancement device (DIA) was used in two patients, the rest only DIA. With treatment completed, patients went from a mean AHI of 33.29 (+/- 18.90) to a mean of 17.38 (+-10.37), these differences being statistically significant (p<0.001).
Conclusions: Bruxism and OSA are closely related, as are the dental signs of both processes, such as wear and fracture of teeth, implants or rehabilitations. Dentists can be a fundamental pillar in the treatment of these patients, including the first step in the diagnosis of undiagnosed cases of OSA, which can be identified through dental problems.
Key words: Fracture; Bruxism; Obstructive sleep apnoea.
Obstructive sleep apnoea (OSA) is defined, according to the Spanish Consensus Document, as “a condition characterised by excessive sleepiness, cognitivebehavioural, respiratory, cardiac, metabolic or inflammatory disorders secondary to repeated episodes of upper airway obstruction during sleep”1. At present, it is a major public health issue which, in its most severe forms, affects 3–6% of men, 2–5% of women, and 1–3% of children, causing arterial hypertension and an increased risk of cardiovascular disease in those affected, as well as a consequent deterioration in quality of life, accidents, and excess mortality1,2. Early diagnosis is therefore of vital importance, as with appropriate treatment we can reduce patients’ symptoms and long-term side effects, substantially improving their quality of life as well as reducing cardiovascular events, which may have a fatal outcome1,2. At present, the correlation between
sleep disorders such as OSA and oral pathology, for example bruxism or fractures, of various rehabilitations, both on teeth and on implants, is widely documented today. This association has been demonstrated in several epidemiological studies over the years3-7, with our research group highlighting that the presence of dental wear in patients should prompt a thorough sleep analysis, as the degree of dental wear is directly related to OSA via the AHI (apnoea-hypopnoea index)9-11. This relationship is directly proportional, and it is confirmed that patients with more severe wear also exhibit a higher AHI, which is likewise associated with an increased incidence of fractures in enamel, dental roots, and prostheses. Mechanical events may,
in some cases, also affect implants, resulting in bone defects due to overload, and in extreme cases, leading to fracture of the implant itself.12-14. In the following clinical case series, we sought to retrospectively collect a group of patients who experienced adverse events in implant-supported prostheses associated with mechanical overload (fractures, loosening), to whom a subsequent polygraphic sleep study was performed, identifying those in whom these events could be related to the presence of OSA. The most severe cases identified (AHI ≥ 20) were analysed to obtain data correlating both events (OSA and mechanical complications).
Durán-Cantolla J, Puertas-Cuesta FJ,
Pin-Arboledas G, Santa María-Cano
J [Consensus national paper on sleep
apnea hypopnea syndrome.]. Archivos
de Bronconeumología 2005;41:1-110.
Young T, Palta M, Dempsey J, Skatrud
J, Weber S, Badr S. The occurrence
of sleep-disordered breathing among
middle-aged adults. N Engl J Med.
1993;328:1230-1235.
Lavigne GJ, Kato T, Kolta A, Sessle BJ.
Neurobiological mechanisms involved in
sleep bruxism. Crit Rev Oral Biol Med.
2003;14:30–46.
Kato T, Thie NMR, Hunyh N, Miyawaki
S, Lavigne GJ. Sleep bruxism and the
role of peripheral sensory influences. J
Orofac Pain. 2003; 17: 191–213.
Ohayon MM, Li KK, Guilleminault C. Risk
factors for sleep bruxism in the general
population. Chest. 2001;119:53-61.
Kato T. Sleep bruxism and its relation
to obstructive sleep apnea–hypopnea
syndrome. Sleep Biol Rhythms.
2004;2:1-15.
Sjoholm TT, Lowe AA, Miyamoto K,
Fleetham JA, Ryan CF. Sleep bruxism in
patients with sleep-disordered breathing.
Arch Oral Biol. 2000; 45: 889-896.
Durán-Cantolla J, Alkhraisat MH,
Martínez C, Aguirre JJ, Guinea ER,
Anitua E. Frequency of obstructive
sleep apnea syndrome in dental patients
with tooth wear. J Clin Sleep Med.
2015;11:445-450.
Anitua E, Flores C, Durán-Cantolla J,
Almeida GZ, Alkhraisat MH. Frequency
of Obstructive Sleep Apnea in Patients
Presenting with Tooth Fractures:
A Prospective Controlled Study. Int
J Periodontics Restorative Dent.
2023;43:121-127.
Anitua E, Durán-Cantolla J, Almeida
GZ, Alkhraisat MH. Association between
obstructive sleep apnea and enamel
cracks. Am J Dent. 2020;33:29-32.
Anitua E, Saracho J, Almeida GZ,
Duran-Cantolla J, Alkhraisat MH.
Frequency of Prosthetic Complications
Related to Implant-Borne Prosthesis in
a Sleep Disorder Unit. J Oral Implantol.
2017;43:19-23.
Durán-Cantolla J, Alkhraisat MH,
Martínez-Null C, Aguirre JJ, Guinea
ER, Anitua E. Frequency of obstructive
sleep apnea syndrome in dental patients
with tooth wear. J Clin Sleep Med.
2015;11:445-450
Durán-Cantolla J, Crovetto-Martínez
R, Alkhraisat MH, Crovetto M, Municio
A, Kutz R, et al. Efficacy of mandibular
advancement device in the treatment
of obstructive sleep apnea syndrome: A
randomized controlled crossover clinical
trial. Med Oral Patol Oral Cir Bucal.
2015;20:e605-615.
Anitua E, Durán-Cantolla J, Almeida
GZ, Alkhraisat MH. Minimizing the
mandibular advancement in an
oral appliance for the treatment of
obstructive sleep apnea. Sleep Med.
2017;34:226-231.

Anitua, Eduardo
DDS, MD, PhD. Private practice in oral implantology, Eduardo Anitua Clinic Vitoria, Spain.
University Institute for Regenerative Medicine and Oral Implantology – UIRMI (UPV/ EHU Eduardo Anitua Foundation),
Vitoria, Spain. BTI Biotechnology institute (BTI), Vitoria, Spain.













