Científica Dental: septiembre-octubre-noviembre-diciembre 2024
Caso clínico
Anitua E. Implantes cortos CORE-X® para lograr una mejora de la estabilidad primaria en el maxilar posterior con atrofi a vertical y baja densidad. A propósito de un caso. Cient. Dent. 2024; 21; 3; 143-149.
Implantes cortos Core-X® para lograr una mejora de la estabilidad primaria en el maxilar posterior con atrofi a vertical y baja densidad. A propósito de un caso
Introducción: La atrofia ósea en altura en el sector posterior del maxilar representa un desafío importante para la rehabilitación con implantes dentales, especialmente cuando la densidad ósea es baja. Lograr la estabilidad de un implante en estas condiciones es complejo, por lo que el uso de implantes dentales con modificaciones diseñadas para mejorar la estabilidad primaria constituye un avance significativo hacia el éxito del tratamiento.
Métodos:En el siguiente caso clínico, presentamos a un paciente tratado con implantes cortos de morfología Core-X® para lograr una estabilidad inicial en una situación comprometida.
Resultados: Se ha logrado llevar a cabo la rehabilitación de un caso con baja densidad, mediante la utilización de los implantes Core-X® y un protocolo de fresado adaptado al lecho receptor con buenos resultados en el tiempo de seguimiento.
Conclusiones: Los implantes Core-X® pueden ser utilizados en zonas de atrofia vertical y disminución de la densidad ósea, con un protocolo adecuado de diagnóstico y de fresado, obteniéndose buenos resultados en la estabilización del implante, permitiéndonos incluso la carga inmediata, como en el caso mostrado en este trabajo.
Core-x® short implants for improved primary stability in the posterior maxilla with vertical atrophy and low bone density: a case report
Introduction: Bone height atrophy in the posterior maxillary region presents a significant challenge for dental implant rehabilitation, especially when bone density is low. Achieving implant stability under these conditions is complex, making the use of dental implants with modifications designed to enhance primary stability a significant advancement for successful treatment outcomes.
Methods: In this clinical case, we present a patient treated with short Core-X® implants to achieve initial stability in a compromised situation.
Results: The rehabilitation of a case with low bone density was successfully achieved using Core-X® implants and a drilling protocol adapted to the recipient site, yielding good outcomes during the follow-up period.
Conclusions: Core-X® implants can be used in areas with vertical atrophy and reduced bone density, provided an appropriate diagnostic and drilling protocol is followed. This approach allows for effective implant stabilization and can even permit immediate loading, as demonstrated in the case presented in this report.
El abordaje del maxilar posterior atrófico con reabsorción ósea en altura y baja densidad es un reto a la hora de ser rehabilitado con implantes dentales. Esto se debe principalmente a dos factores: escasa disponibilidad de hueso para la colocación del implante y dificultad de estabilización de los mismos al existir un hueso muy poroso de baja densidad1-2. Lograr, por lo tanto, que el implante quede correctamente estabilizado y se genere una posterior oseointegración es mucho más complejo. Para este tipo de casos, se ha mejorado la morfología de los implantes, creándose implantes más cortos y con mayor poder de oseodensificación, con ello resolvemos el problema del volumen óseo y ganamos en estabilidad primaria inicial3. La técnica de condensación ósea para la colocación de implantes dentales ha sido ampliamente documentada en la literatura internacional, inicialmente como un método para realizar procedimientos como la expansión de cresta mediante el uso de ostetomos o expansores roscados, ya sea manuales o motorizados. También se ha utilizado para la colocación de implantes en áreas con densidad ósea muy baja4-8. Durante este procedimiento de oseodensificación en la zona donde se inserta el implante, se incrementa la densidad ósea en la unión hueso-implante, lo que a su vez mejora la estabilidad inicial en el momento de la inserción7. Esta consecución de una elevada estabilidad primaria es uno de los principales factores a la hora de lograr el éxito de la futura integración y el resultado del tratamiento implantológico9. Existen referencias en la literatura internacional que muestran que los implantes colocados mediante oseodensificación tienen una mayor estabilidad primaria medida mediante el torque de inserción, valores ISQ y la remoción del implante tras su integración temprana10,11. Por lo tanto, la unión de un implante capaz de incrementar la estabilidad inicial en su colocación unido a la reducción de su longitud nos permitiría resolver los casos de atrofia ósea vertical con baja densidad de forma predecible. El implante Core-X® (Biotechnology Institute), nace para lograr una mayor estabilidad primaria en zonas de baja densidad o alveolos postextracción inmediata con un diseño de rosca más agresivo, con profundidades que se sitúan entre los 0,51 mm hasta 0,7 mm. Con ello se logra una gran estabilidad primaria, con una inserción más progresiva y una oseodensificación controlada por la morfología propia del implante. En este caso clínico mostramos el tratamiento de una paciente con estas características tratada mediante implantes cortos con morfología Core-X® (Biotecnnology Institute).
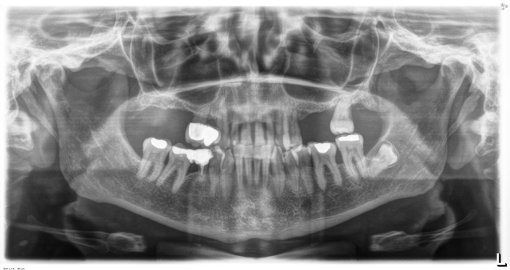
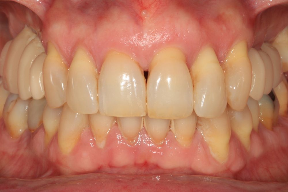
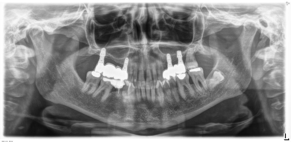
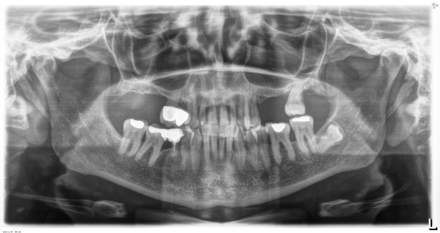
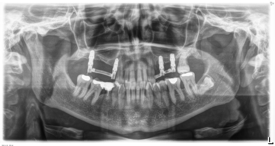
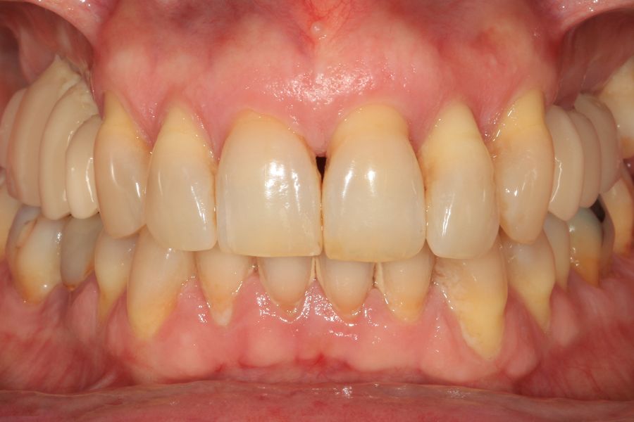
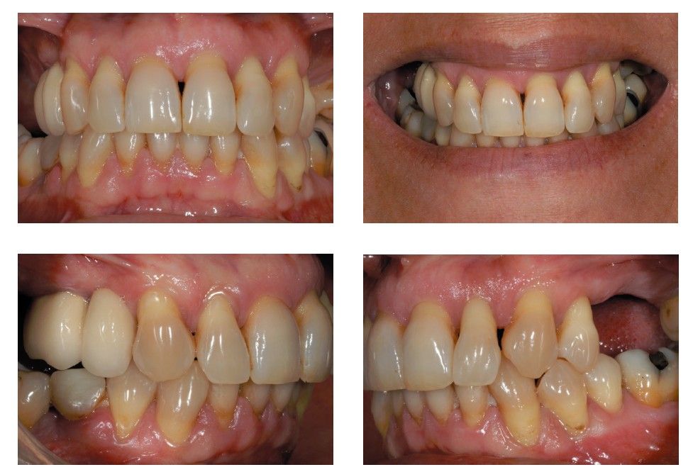
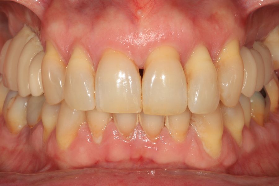
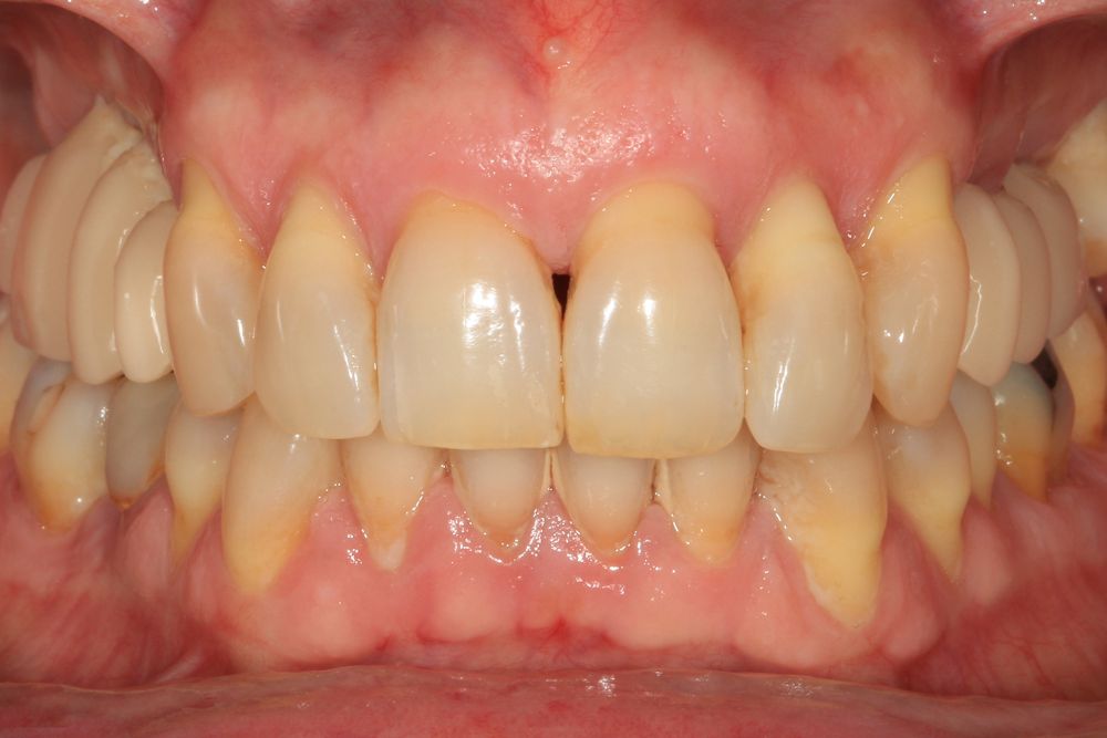
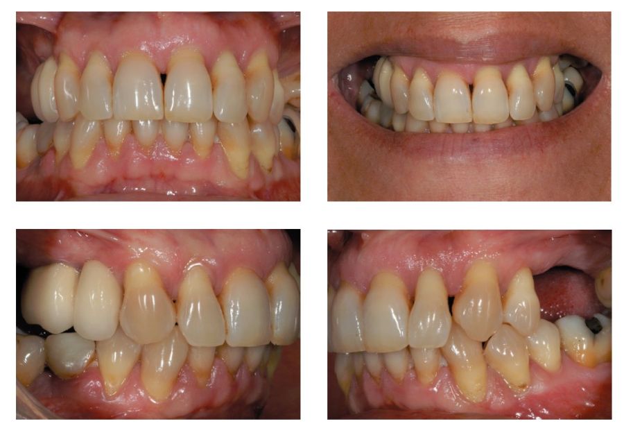
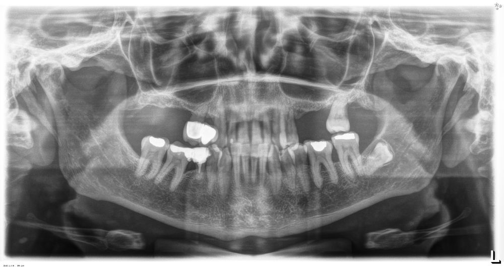
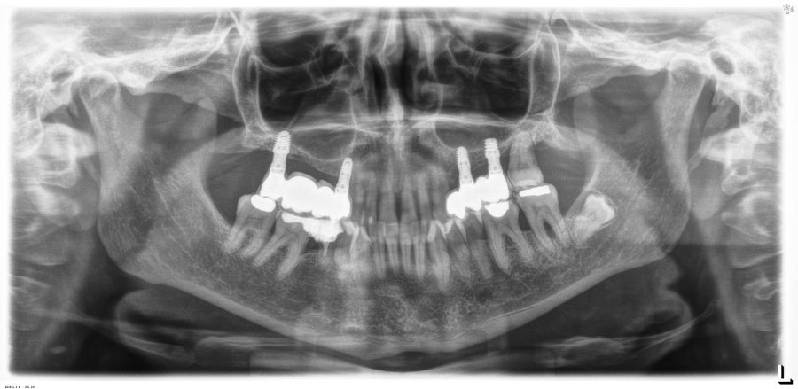
Presentamos el caso de una paciente femenina de 56 años de edad que acude a la consulta demandando un tratamiento con implantes dentales para reponer los dientes ausentes en ambos sectores posteriores maxilares. En ambos cuadrantes superiores, los molares se perdieron hace varios años. La paciente no se ha realizado la reposición de los mismos hasta ahora, ya que en otros centros consultados la propuesta terapéutica fue la de realizar injertos y regeneración ósea para poder ganar volumen óseo suficiente antes de colocar los implantes. La paciente busca otras alternativas menos invasivas y por ello acude a la visita. En las imágenes intraorales se observa la falta de los molares en los sectores posteriores maxilares con excepción del 27, que actualmente tiene un compromiso periodontal importante (Figuras 1-4). El resto de dientes también se encuentran afectados por una enfermedad periodontal avanzada con pérdida ósea horizontal (Figura 5).
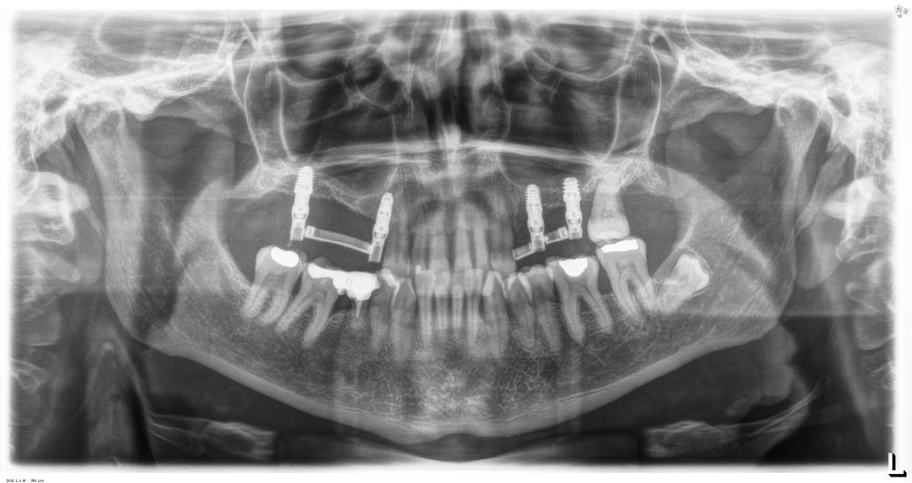
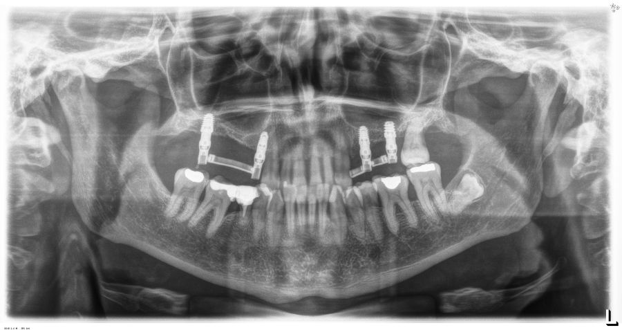
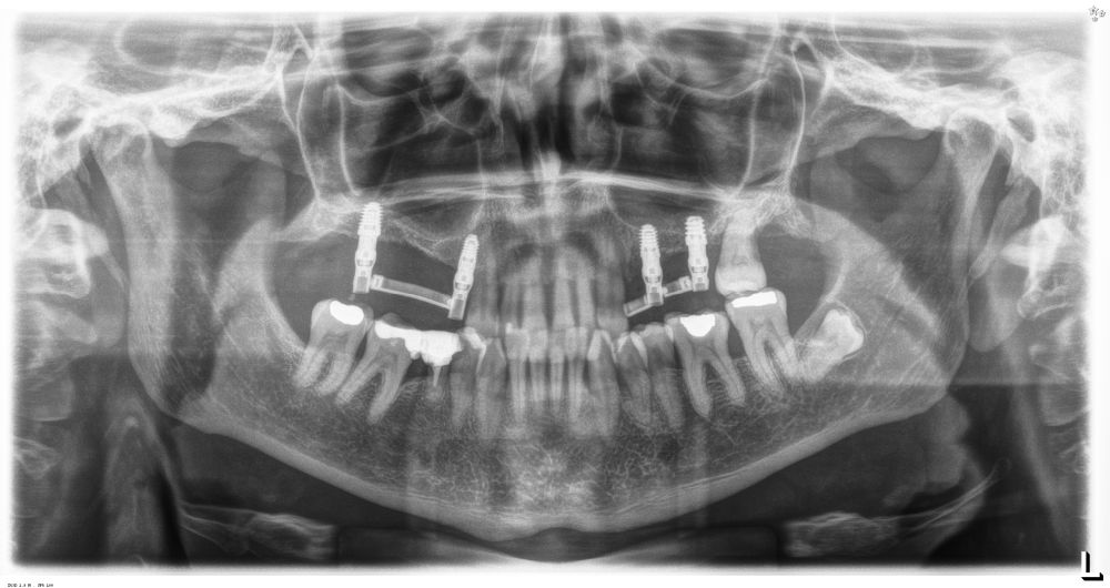
Como primer paso, se realiza un escaneado intraoral de la paciente, para poder generar un encerado virtual con las piezas que queremos rehabilitar con implantes (Figuras 6-8). Esto nos permite planificar con claridad el caso y desde el modelo tridimensional, generar los provisionales y las guías quirúrgicas basadas en la posición protésica, que desde el flujo digital pueden imprimirse (Figuras 9-14). Desde el encerado podemos además generar otras guías, en este caso radiológicas, con las que realizar el Cone-Beam Computed Tomography (CBCT) de planificación. Con esta información tenemos en el mismo estudio radiológico la fusión de nuestra planificación quirúrgica y la posición real de la prótesis adaptada a la oclusión, muy útil para generar una planificación que contempla todos los parámetros. En este caso, se planifican implantes cortos de 6,5 mm en el primer cuadrante, de morfología Core-Xâ, para lograr una correcta estabilidad primaria en un tipo óseo IV como vemos en el corte seccional (Figuras 15 y 16). En el segundo cuadrante, con similares características, planificamos implantes de 6,5 y 5,5 mm de longitud (Figuras 17 y 18).
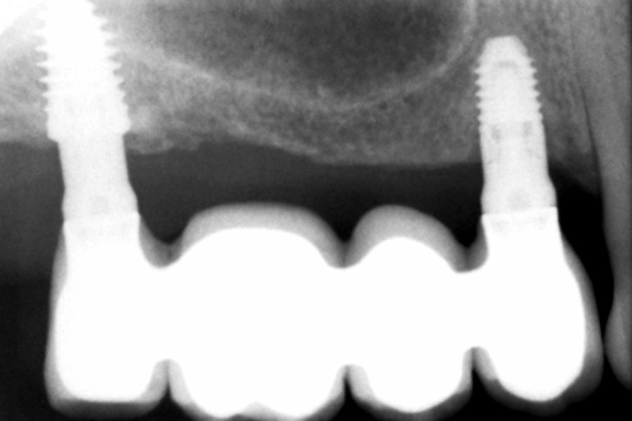
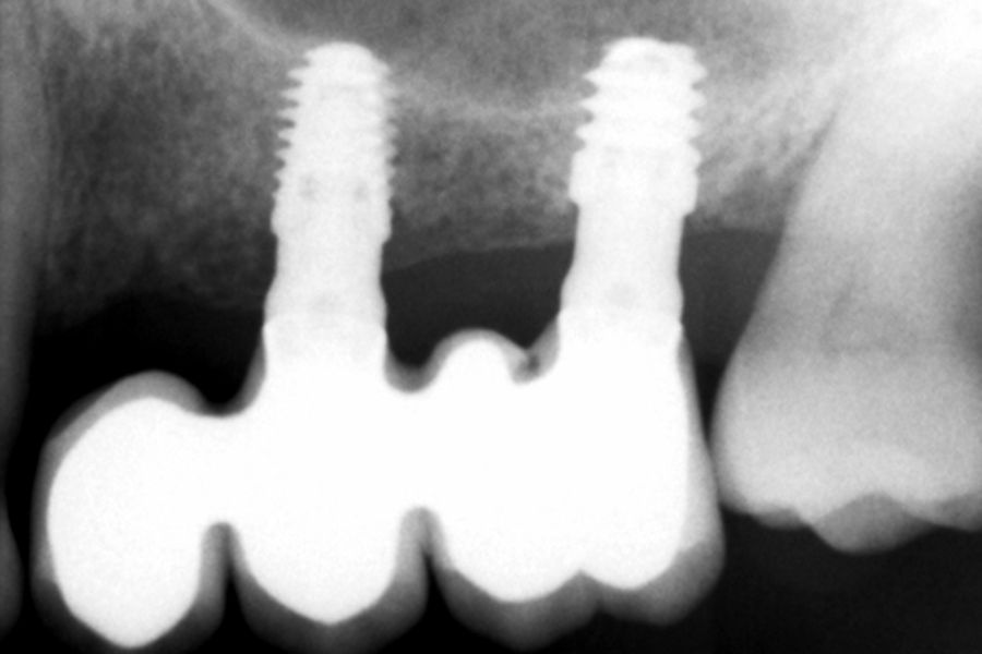
El fresado de este tipo de implantes, al basarse en la oseodensificación en toda la longitud, se realiza a menor diámetro, en dos tramos, uno para el cuerpo del implante y otro para el ápice, que siempre tiene una mayor capacidad de penetración y menor diámetro. Para una situación de hueso tipo IV/V en el maxilar , fresaremos hasta 2,8 mm en la zona del cuerpo y a longitud de 1,8 mm para el ápice, lo que se corresponde con la fresa piloto. Con ello al insertar el implante generamos una compresión lateral que produce una mayor estabilidad primaria en estas zonas de baja densidad (Figuras 19 y 20). Una vez colocado el implante, todo el hueso que le rodea, circunferencialmente alcanza una mayor densidad, lo que produce que la estabilización sea mayor en toda su superficie (Figuras 21 y 22). Si realizamos una comparativa entre el volumen condensado mediante la colocación de un implante convencional y uno de la morfología Core-Xâ, se observa la diferencia entre el cuerpo del implante y el fresado, lo que nos da una idea de la diferencia en la consecución de la estabilidad primaria (Figuras 23 y 24).
Una vez colocados los implantes, podemos realizar incluso carga inmediata, ya que, aun en condiciones de baja densidad y escasa altura ósea residual, con el protocolo anteriormente descrito se logra la estabilidad primaria suficiente (Figuras 25 y 26). Elaboramos una prótesis de carga inmediata atornillada sobre transepitelial (colocados en el momento de la cirugía y mantenidos posteriormente para no romper el hermetismo), confeccionada en resina con una estructura de barras articuladas. Esta prótesis nos proporciona carga progresiva mientras se produce la integración de los implantes, lo que favorece este proceso y permite reconstruir el patrón oclusal perdido, dado que presenta múltiples ausencias dentales del sector posterior maxilar. La carga progresiva en los implantes dentales es una técnica que permite una transición gradual de fuerzas sobre el implante, favoreciendo la adaptación biológica y la estabilidad ósea a lo largo del tiempo. En lugar de aplicar una carga inmediata completa, se introduce una presión controlada y creciente durante el periodo de cicatrización, lo que facilita una mejor osteointegración y reduce el riesgo de sobrecarga temprana. Este enfoque es especialmente útil en casos donde la calidad ósea es comprometida o cuando se busca una mayor predictibilidad en el tratamiento12.
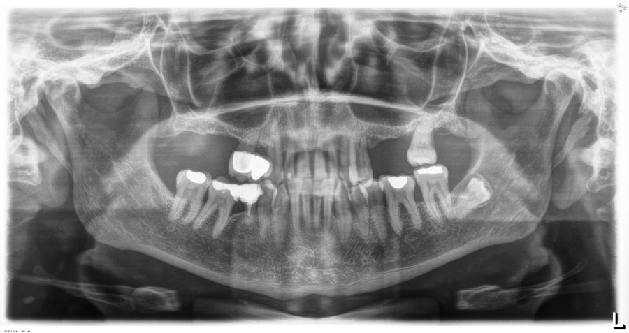
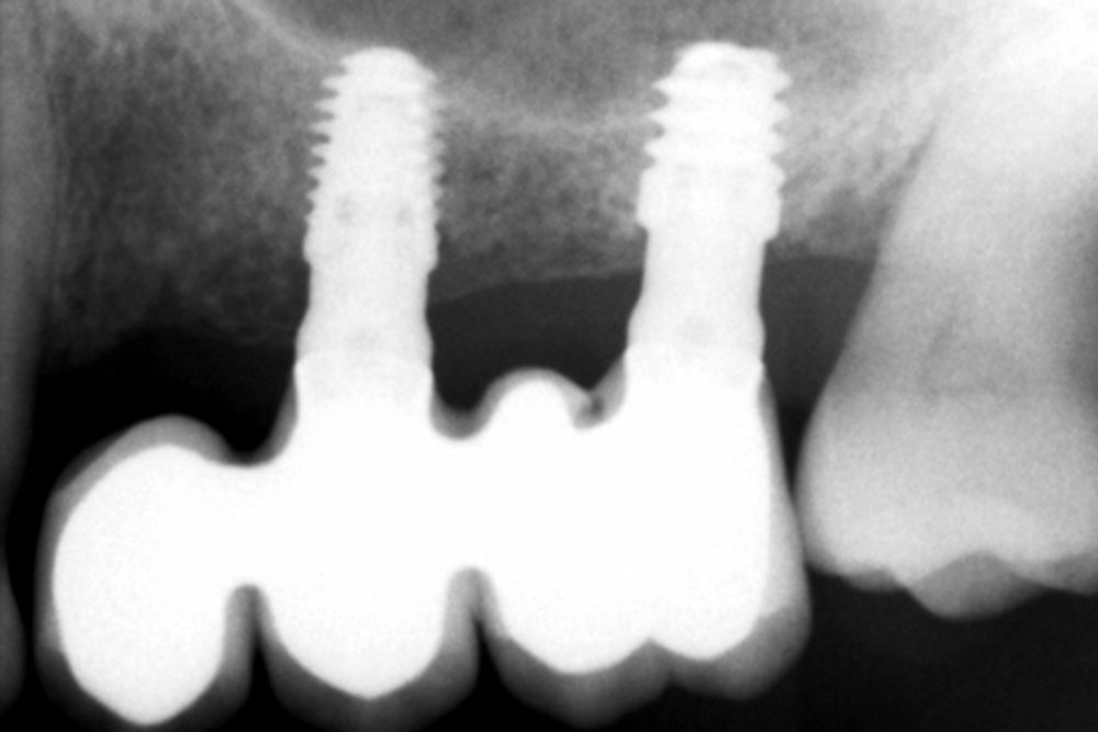
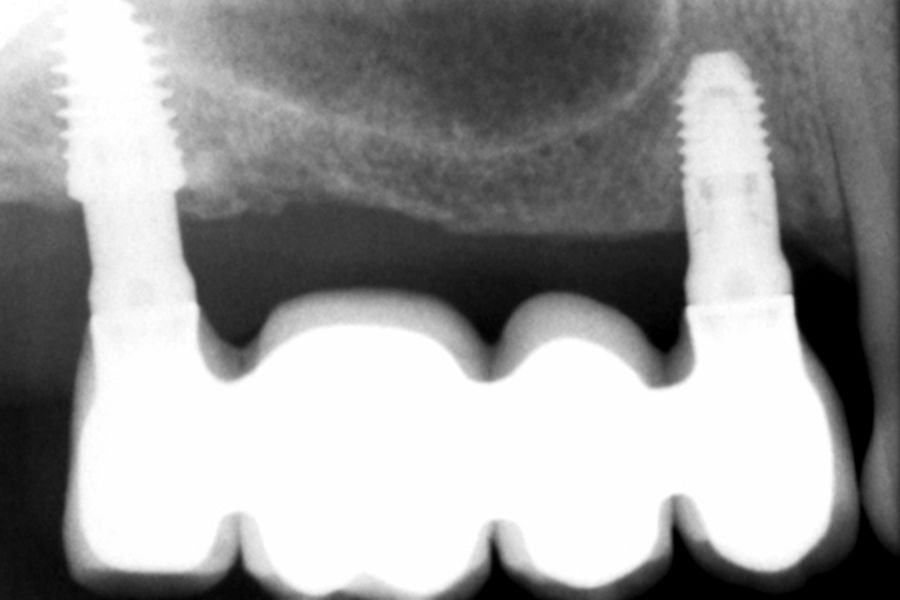
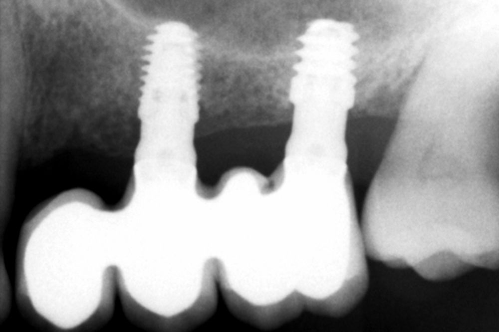
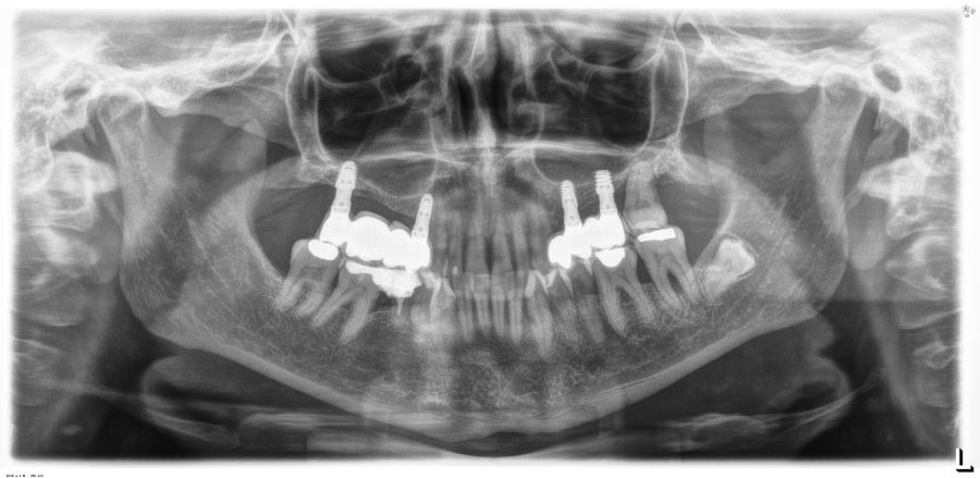
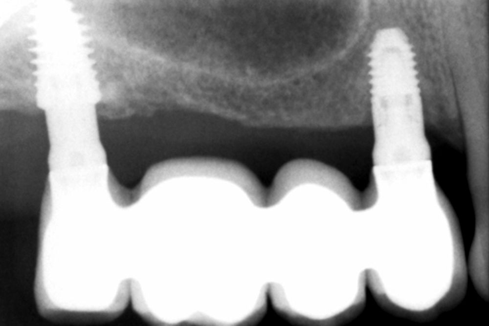
Transcurridos 6 meses desde la carga inicial progresiva, se puede elaborar la prótesis definitiva, trasladando los parámetros de la prótesis provisional (Figura 27). La paciente continúa en seguimiento durante un año, realizándose radiografías de control para el monitoreo del hueso crestal, sin encontrarse pérdida ósea asociada en ninguno de los implantes (Figuras 28-29).
Los implantes extracortos presentan hoy en día una supervivencia similar a la de los implantes de longitud considerada “convencional” colocados en zonas sin déficit óseo13,14. Si se observan estas cifras de supervivencia en función el tiempo de seguimiento y la longitud de los implantes estudiados se puede obtener una supervivencia de entre el 86,7% y 100% para implantes de hasta 6 mm con un seguimiento de 5 años en algunos estudios15-19.El mayor problema de las zonas posteriores del maxilar cuando sufren una atrofia ósea en altura es que generalmente presentan al mismo tiempo una disminución de la densidad ósea, lo que hace que la estabilización del implante se comprometa20-21. Por ello, uno de los principales inconvenientes reportados en la literatura es la menor predictibilidad de estos implantes cortos cuando se insertan en el maxilar superior posterior es la consecución de una correcta estabilidad primaria20-21. Esta estabilidad primaria logra que el implante recién insertado no sufra micro-movimientos durante la fase de integración y el tratamiento sea exitoso. Las técnicas enfocadas a lograr una mejor estabilización en lechos con menor densidad son, por lo tanto, muy importantes en el éxito de la integración y en el éxito del tratamiento. Dentro de estas técnicas podemos emplear la oseodensificación o la oseocondensación del lecho receptor. El desarrollo de implantes como el mostrado en el presente caso clínico (Core-X® (BTI), nos ayuda a generar una correcta estabilidad primaria a través de la compresión ósea y densificación de la interfaz hueso-implante por medio del desplazamiento activo que produce el implante al ser insertado. Los estudios desarrollados por McCullough y Klokkevold22 ponen de manifiesto como la macrogeometría del implante desempeña un rol fundamental en la estabilidad primaria, generándose puntos de máxima compresión que producen oseodensificación selectiva en función del número de roscas, el paso de rosca, la profundidad de la rosca y el ángulo de la hélice del implante, además de otros parámetros como la conicidad de este22. El implante es, por lo tanto, un factor diferencial en este tipo de huesos de baja densidad tal como se recoge en el estudio elaborado por Bahat y cols. donde en una cohorte de 660 implantes, en zonas de baja densidad se reporta una tasa de éxito acumulada del 94,4% a los 5-6 años y del 93,4% a los 10 años23. La técnica de fresado debe ser la adecuada también, en función del tipo de implante a colocar, tal como hemos expresado en el protocolo de colocación de los implantes en esta paciente, donde se ha logrado una correcta estabilización incluso en un volumen óseo disminuido en altura24.
A la vista de los resultados obtenidos, podemos decir que los implantes Core-X® pueden ser utilizados en zonas de atrofia vertical y disminución de la densidad ósea, con un protocolo adecuado de diagnóstico y de fresado, obteniéndose buenos resultados en la estabilización del implante, permitiéndonos incluso la carga inmediata, como en el caso mostrado en este trabajo. Debemos tener en cuenta que este trabajo muestra un único caso clínico, con un tiempo de seguimiento de un año, por lo que deben ser realizados más trabajos con un mayor tiempo de seguimiento, evolución y número de casos.
Monje A, Monje F, González-García R, et al. Influence of atrophic posterior maxilla ridge height on bone density and microarchitecture. Clin Implant Dent Relat Res. 2015;17(1):111-119.
Anitua E, Piñas L, Murias-Freijo A, et al. Rehabilitation of atrophied low-density posterior maxilla by implant-supported prosthesis. J Craniofac Surg. 2016;27(1):e1-2.
Inchingolo AD, Inchingolo AM, Bordea IR, et al. The Effectiveness of osseodensification drilling protocol for Implant site osteotomy: a systematic review of the literature and meta-analysis. Materials (Basel). 2021;14(5):1147.
Summers RB. A new concept in maxillary implant surgery: the osteotome technique. Compendium. 1994;15(2):152,154-6,158 passim;quiz 162.
Hahn J. Clinical uses of osteotomes. J Oral Implantol. 1999;25(1):23-29.
Siddiqui AA, Sosovicka M. Lateral bone condensing and expansion for placement of endosseous dental implants: a new technique. J Oral Implantol. 2006;32(2):87-94.
Wang L, Wu Y, Perez KC, et al. Effects of condensation on peri-implant bone density and remodeling. J Dent Res. 2017;96(4):413-420.
Lee EA, Anitua E. Atraumatic ridge expansion and implant site preparation with motorized bone expanders. Pract Proced Aesthet Dent. 2006;18(1):17-22.
Pai UY, Rodrigues SJ, Talreja KS, et al. Osseodensification – A novel approach in implant dentistry. J Indian Prosthodont Soc. 2018 Jul;18(3):196-200.
Huwais S, Meyer EG. A novel osseous densification approach in implant osteotomy preparation to increase biomechanical primary stability, bone mineral density, and bone‐to‐implant contact. Int J Oral Maxillofac Implants. 2017;32(1):27‐
Bergamo ETP, Zahoui A, Barrera R, et al. Osseodensification effect on implants primary and secondary stability: Multicenter controlled clinical trial. Clin Implant Dent Relat Res. 2021;23(3):317-328.
Esposito M, Grusovin MG, Willings M, et al. The effectiveness of immediate, early, and conventional loading of dental implants: a Cochrane systematic review of randomized controlled clinical trials. Int J Oral Maxillofac Implants. 2007;22(6):893-904.
Gulje F, Abrahamsson I, Chen S, et al. Implants of 6 mm vs. 11 mm lengths in the posterior maxilla and mandible: a 1-year multicenter randomized controlled trial. Clin Oral Implants Res. 2013; 24:1325–1331.
Esposito M, Pistilli R, Barausse C, et al. Three-year results from a randomised controlled trial comparing prostheses supported by 5-mm long implants or by longer implants in augmented bone in posterior atrophic edentulous jaws. Eur J Oral Implantol. 2014;7:383–395.
Do Gia Khang Hong, Ji-Hyeon Oh. Recent advances in dental implants. Maxillofac Plast Reconstru Surg. 2017;1:33-39.
Pohl V, Thoma DS, Sporniak-Tutak K, et al. Short dental implants (6 mm) versus long dental implants (11–15 mm) in combination with sinus floor elevation procedures: 3-year results from a multicentre, randomized, controlled clinical trial. J Clin Periodontol. 2017;44:438–445.
Srinivasan M, Vazquez L, Rieder P, et al. Efficacy and predictability of short dental implants (< 8 mm): a critical appraisal of the recent literature. Int J Oral Maxillofac Implants. 2012;27:1429–1437.
Rossi F, Lang NP, Ricci E, et al. Early loading of 6-mm-short implants with a moderately rough surface supporting single crowns—a prospective 5-year cohort study. Clin Oral Implants Res. 2015;26:471–477.
Rossi F, Botticelli D, Cesaretti G, et al. Use of short implants (6 mm) in a single-tooth replacement: a 5-year follow-up prospective randomized controlled multicenter clinical study. Clin Oral Implants Res. 2016;27:458–464.
Radi IA, Ibrahim W, Iskandar SMS, et al. Prognosis of dental implants in patients with low bone density: A systematic review and meta-analysis. J Prosthet Dent. 2018;120(5):668-677.
Martinez H, Davarpanah M, Missika P, et al. Optimal implant stabilization in low density bone. Clin Oral Implants Res. 2001;12(5):423-432.
McCullough J, Klokkevold PR. The effect of implant macro-thread design on implant stability in the early post-operative period: a randomized, controlled pilot study. Clinical Oral Implants Research. 2017;28(10):1218–1226.
Bahat O. Brånemark system implants in the posterior maxilla: clinical study of 660 implants followed for 5 to 12 years. Int J Oral Maxillofac Implants. 2000 Sep-Oct;15(5):646-653.
Tabassum A, Meijer GJ, Cuijpers VMJI, et al. Combined effect of undersized surgical technique and axial compression on the primary implant stability and host bone architecture. Saudi Dent J. 2021;33(5):283-291.

Anitua, Eduardo
Práctica privada en implantología oral, Fundación Eduardo Anitua, Vitoria.
Investigador clínico, Fundación Eduardo Anitua, Vitoria, España.
Instituto Universitario para la Medicina Regenerativa Oral e Implantología (UIRMI), Vitoria, España
Correspondencia: Dr. Eduardo Anitua. Eduardo Anitua Foundation. C/ Jose Maria Cagigal 19. 01007 Vitoria, Spain. +34 945160653 [email protected]
















