Colocación de implante postextracción con provisionalización inmediata en el sector estético: caso clínico con seguimiento a 4 años
Introducción: La colocación inmediata de implantes postextracción junto con provisionalización inmediata se ha consolidado como una alternativa terapéutica fiable en el sector estético, siempre que se cumplan criterios estrictos de diagnóstico, planificación y ejecución clínico-protésica. Este protocolo reduce el tiempo total de tratamiento, minimiza la remodelación tisular tras la extracción y permite obtener resultados estéticos predecibles.
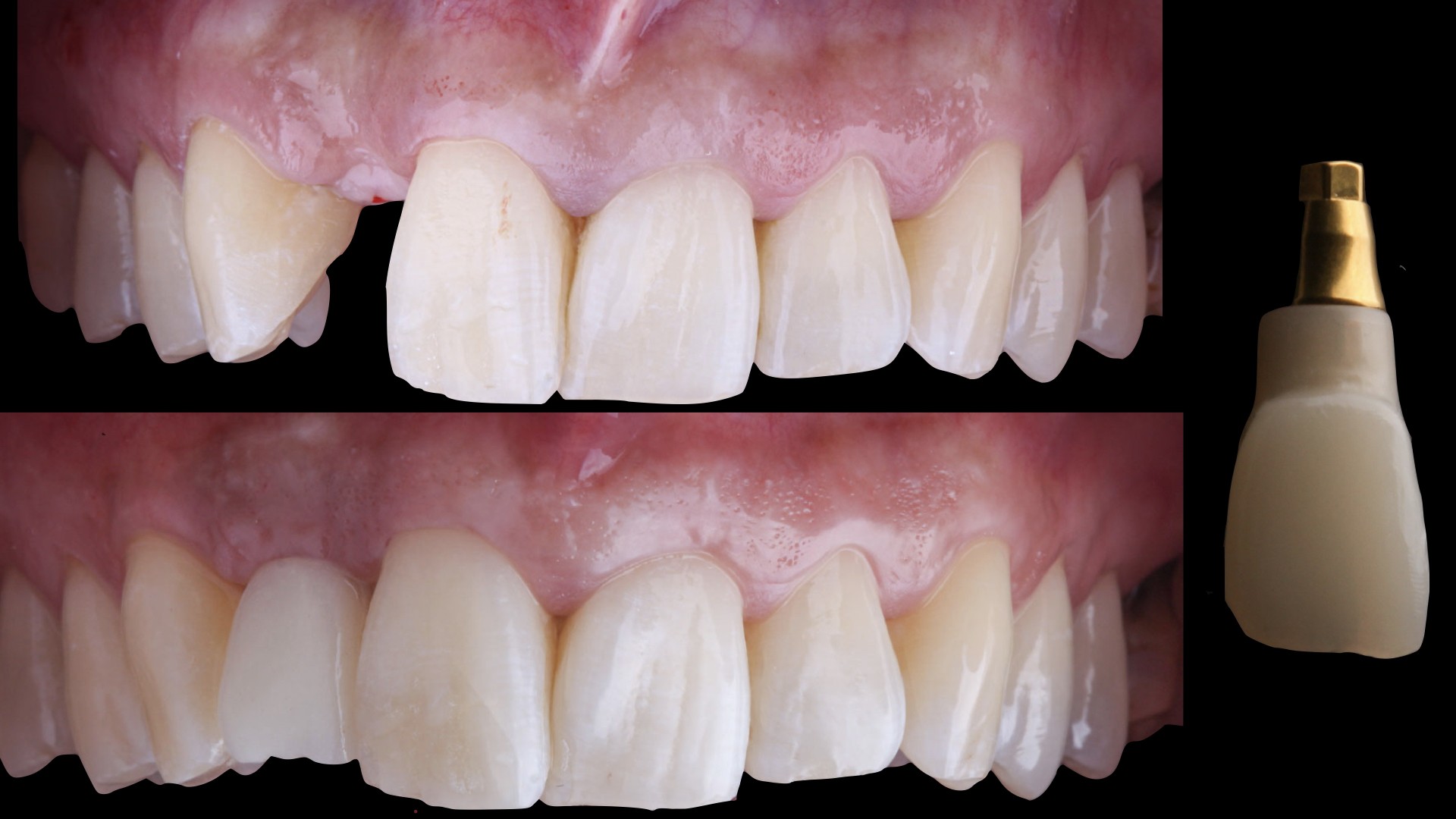
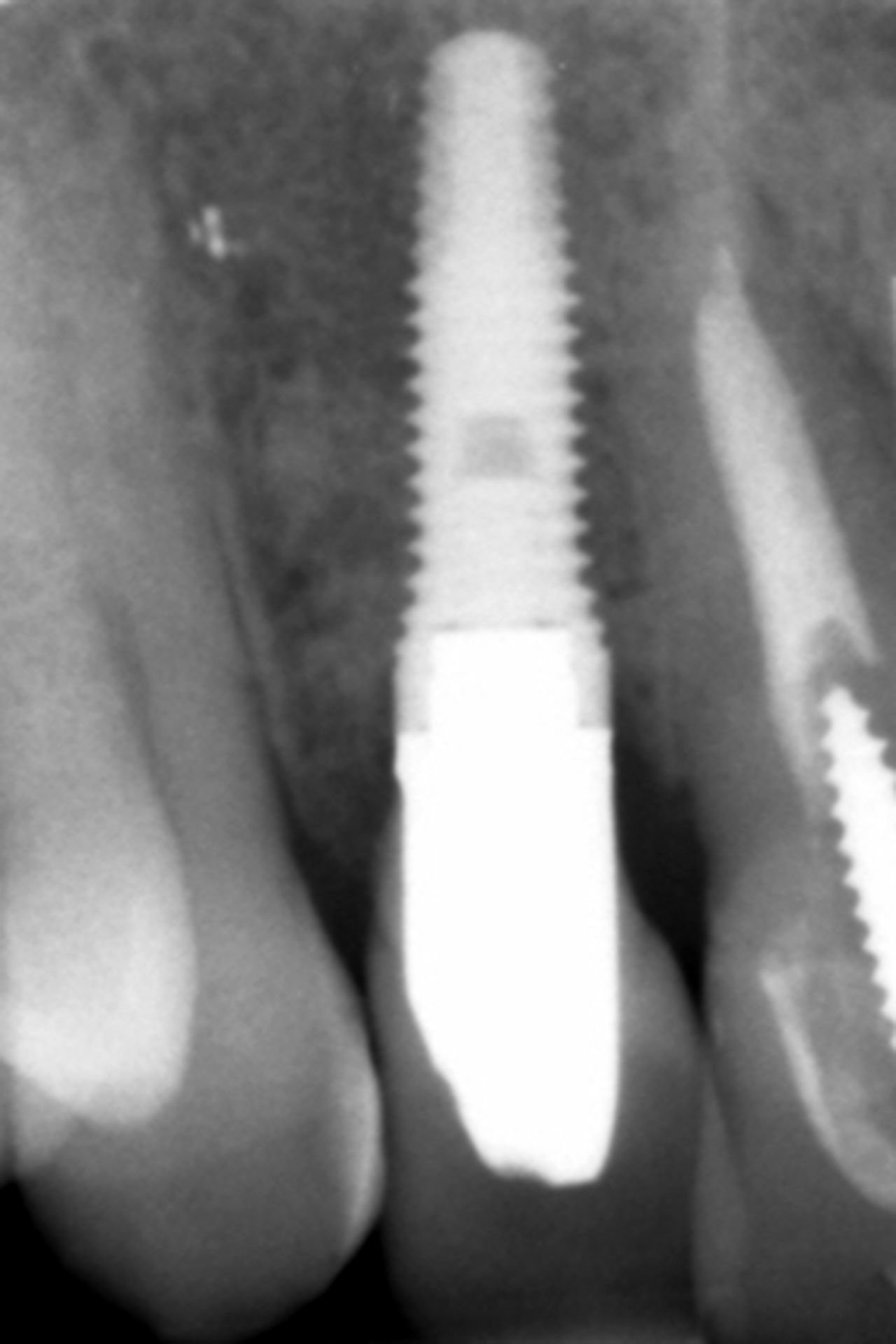
Métodos: Se llevó a cabo un caso clínico en una paciente de 40 años con fracaso de restauración fija dentosoportada en el incisivo central superior izquierdo, asociado a caries radicular subgingival con mal pronóstico restaurador. Tras la evaluación clínica y radiográfica, se indicó la exodoncia atraumática del diente afectado. Inmediatamente después, se realizó la colocación de un implante postextracción. El defecto periimplantario (gap) fue rellenado con un xenoinjerto óseo bovino. De forma simultánea, se llevó a cabo un injerto de tejido conectivo con el objetivo de optimizar el volumen y la estabilidad de los tejidos blandos periimplantarios. Se procedió a la colocación de una restauración provisional inmediata atornillada, diseñada para preservar el perfil de emergencia y guiar la cicatrización de los tejidos periimplantarios. Tras un periodo de cicatrización de cuatro meses, se colocó la restauración definitiva atornillada.
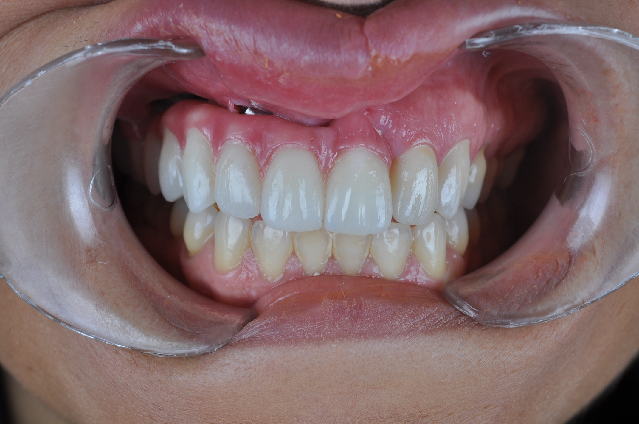
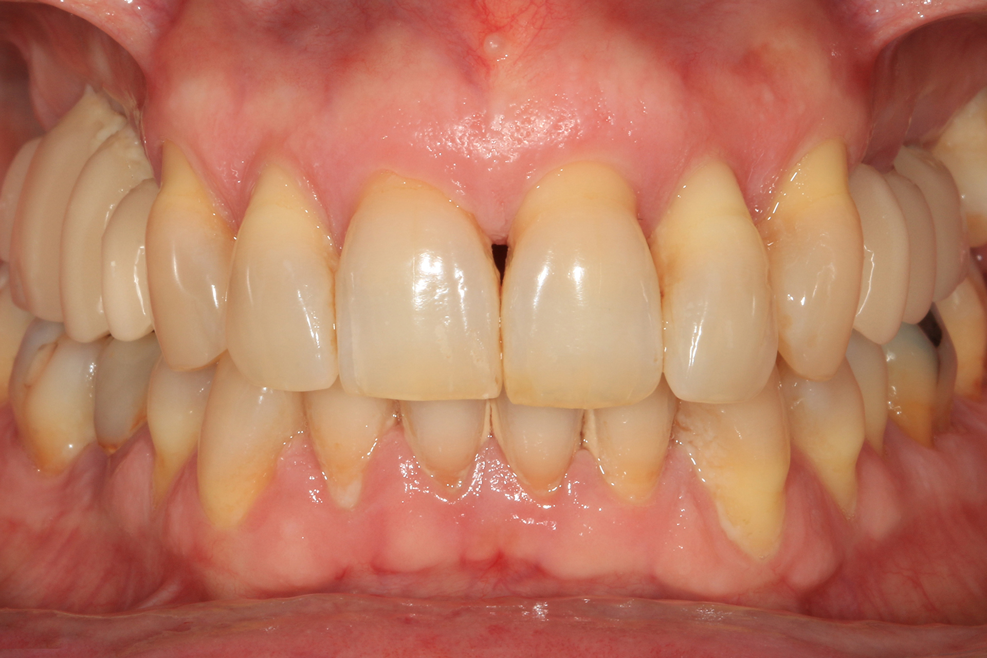
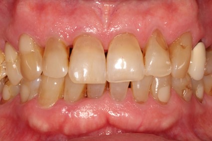
Resultados: El seguimiento clínico y radiológico evidenció una correcta osteointegración, estabilidad de los tejidos periimplantarios y un resultado estético satisfactorio, mantenido a los cuatro años.
Conclusión: La colocación inmediata con provisionalización inmediata es una opción predecible en el sector estético cuando existe una adecuada selección del caso y una planificación rigurosa.
Palabras clave: Implante inmediato; Provisionalización inmediata; Reabsorción ósea; Tejidos blandos.












































