Artículo original
Anitua E. Elevación de seno mediante abordaje transcrestal sin material de relleno con implantes extracortos (5,5 y 6,5 mm). Estudio retrospectivo con un seguimiento de 10 años. Cient. Dent. 2024; 21; 2; 93-99.
Elevación de seno mediante abordaje transcrestal sin material de relleno con implantes extracortos (5,5 y 6,5 mm). Estudio retrospectivo con un seguimiento de 10 años
Introducción. El abordaje transcrestal del seno maxilar con y sin material de relleno como injerto es una técnica ampliamente extendida en nuestros días. Generalmente se combina con la utilización de implantes cortos y extracortos. En este trabajo, presentamos una serie de casos tratados con un protocolo unificado con un seguimiento de 10 años.
Material y método. Se ha llevado a cabo un estudio retrospectivo de pacientes tratados mediante implantes extracortos (5,5 y 6,5 mm de longitud) colocados mediante elevación transcrestal sin el uso de injerto. Como variables principales se han estudiado: la pérdida ósea crestal de los implantes y la ganancia en altura sobre el ápice. Como variable secundaria se ha estudiado la supervivencia de los implantes.
Resultados. Fueron reclutados 13 pacientes en los que se insertaron 30 implantes. Una vez insertados y cargados los implantes, la altura media final fue de 9,68 mm (+/- 2,66), lo que supone una ganancia promedio de 5 mm. A los 10 años, se observó una disminución media de la altura ósea ganada en los implantes en conjunto de 0, 29 mm (+/- 0,77). La media de la pérdida ósea mesial fue de 0,73 mm (+/- 0,75 mm) y la media de la pérdida ósea distal fue de 0,98 mm (+/- 1,2 mm). La supervivencia fue del 100%.
Conclusiones. La inserción de implantes con elevación transcrestal sin injerto no es un factor de riesgo para el fracaso de la técnica o del implante, siempre y cuando se respeten los protocolos de fresado e inserción.
Sinus lift by transcrestal approach without material with extra-short implants (5.5 and 6.5 mm). Retrospective study with a 10-year follow-up
Introduction. The transcrestal approach to the maxillary sinus with and without filler material as graft is a widespread technique nowadays. It is usually combined with the use of short and extra-short implants. In this paper, we present a series of cases treated with a unified protocol with a 10-year follow-up.
Material and methods. A retrospective study of patients treated with extra-short implants (5.5 and 6.5 mm in length) placed by transcrestal elevation without the use of a graft was carried out. The main variables studied were: the crestal bone loss of the implants and the gain in height above the apex. Implant survival was studied as a secondary variable.
Results.Thirteen patients were recruited and 30 implants were inserted. Once the implants were inserted and loaded, the mean final height was 9.68 mm (+/- 2.66), which represents an average gain of 5 mm. At 10 years, there was a mean decrease in the overall bone height gain of the implants of 0.29 mm (+/- 0.77). The mean mesial bone loss was 0.73 mm (+/- 0.75 mm) and the mean distal bone loss was 0.98 mm (+/- 1.2 mm). Survival was 100%.
Conclusions. Insertion of implants with trans-crestal elevation without grafting is not a risk factor for technique or implant failure as long as drilling and insertion protocols are respected.
Key words: Transcrestal sinus lift; Extra-short dental implant; Long term follow-up.
En 1986 Tatum describe la primera técnica de elevación antral por abordaje externo con ventana lateral, abriendo una ventana ósea y a través de ella, intentando no romper la membrana de Schneider crear un espacio entre el suelo sinusal y la misma rellenándolo posteriormente con hueso autólogo o biomateriales. En 1980 esta técnica fue modificada por Boyne y James extendiéndose su uso para la colocación de los implantes dentales1,2.
Summers expone en 19943 la primera variación de la técnica de abordaje lateral, que presenta una modificación para reducir la capacidad invasiva de la misma. Esta técnica consiste en un abordaje desde la cresta alveolar mediante el uso de osteotomos de calibre progresivo, que realizan un orificio que sirve a la vez para la elevación de la membrana de Schneider y la colocación posterior del implante dental. Esta técnica reporta ventajas con respecto al abordaje lateral, como la reducción de los actos quirúrgicos y la compactación del hueso en el nuevo alveolo creado aumentando la densidad en la zona crestal en algunos casos donde es necesario4,5.
Nuestro grupo de estudio modifica esta técnica de elevación transcrestal utilizando para el acceso unas fresas de corte frontal que permiten eliminar la cortical inferior del seno con lentitud sin dañar la membrana de Schneider, eliminándose los osteotomos y el malestar que genera su accionamiento mediante el martillo6-7. Inicialmente el procedimiento fue concebido para ser empleado con material de injerto al igual que el abordaje convencional, pero posteriormente se presentaron variaciones del procedimiento donde se insertaban los implantes sin injerto, utilizándose el propio implante como mantenedor de espacio entre la membrana de Schneider y la cavidad creada entre la membrana y la cresta, permitiendo que esta cavidad no se colapsase y posteriormente fuera colonizada por nuevo hueso7-11.
Los senos tratados con la técnica de elevación transcrestal sin material de relleno muestran un incremento de entre 2,5 mm12,13 hasta 4.4 mm14,15 en la altura ósea lograda sobre el ápice y una supervivencia de los implantes que se sitúa entre un 94 y un 100%16-17. En este trabajo se presenta un estudio retrospectivo donde se ha evaluado la inserción de implantes extracortos (5,5 y 6,5 mm) en zonas posteriores maxilares mediante la técnica de elevación de seno transcrestal con la fresa de ataque frontal sin la utilización de material de injerto, con un tiempo de seguimiento de 10 años para poder objetivar el comportamiento de los implantes a largo plazo y de la técnica empleada.
Fueron incluidos en el estudio pacientes consecutivos seleccionados de forma retrospectiva tratados en un centro clínico privado (Vitoria, España) tratados en el año 2010 y 2011, que cumplieran los siguientes criterios de inclusión:
– Mayores de 18 años.
– Atrofia vertical del maxilar con una cresta alveolar residual que necesitase de la elevación transcrestal para colocar los implantes.
– Inserción de implantes extracortos (5,5 y 6,5 mm) con elevación de seno transcrestal sin material de injerto óseo.
Todos los pacientes fueron estudiados antes de la inserción de los implantes mediante modelos diagnósticos, exploración intraoral y realización de un CBCT dental (Cone Beam Computed Tomography) analizado, posteriormente, mediante un software específico (BTI-Scan II). Antes de la inserción de los implantes se utilizó una premedicación antibiótica consistente en amoxicilina 2gr vía oral una hora antes de la intervención y paracetamol 1 gr vía oral (como analgésico). Posteriormente los pacientes prosiguieron con un tratamiento de amoxicilina 500-750 mg vía oral cada 8 horas (según peso) durante 5 días.
La inserción de los implantes fue realizada por un mismo cirujano, mediante la técnica de fresado biológico, a bajas revoluciones, sin irrigación. Con esta técnica todo el hueso recolectado es embebido en PRGF-Endoret durante la cirugía para posteriormente ser utilizado como injerto óseo particulado17-19. El fresado final de la cortical sinusal se realizó con la fresa de corte frontal (ideada para esta técnica) que permite la retirada del suelo del seno maxilar sin dañar la membrana de Schneider6-7. Una vez la membrana es accesible mediante la perforación crestal, se despega, se inserta el implante con el motor quirúrgico fijado a 25 Ncm y 25 rpm finalizando la inserción del implante con la llave dinamométrica (Figura 1). El implante eleva lentamente la membrana a la vez que es insertado en el neo-alveolo.
Una vez finalizada la cirugía se realiza una radiografía periapical con paralelizador, que se utilizó como punto de partida. Los pacientes acudieron posteriormente para la realización nuevas radiografías de control, tomadas con la misma técnica y sobre las que se realizaron las mediciones necesarias para comprobar la estabilidad y pérdida ósea crestal de los implantes. La medición de la pérdida ósea marginal se realizó en la última radiografía periapical realizada con posicionador de seguimiento. Una vez obtenida la radiografía en formato digital es calibrada mediante un software específico (ImageJ software- Rasband, W.S., ImageJ, U. S. National Institutes of Health, Bethesda, Maryland, USA, https://imagej.net/ij/, 1997-2018) a través de una longitud conocida en la radiografía como es el implante dental. Una vez se introdujo la medida de calibración, el programa informático realiza un cálculo basado en esta medida para eliminar la magnificación, pudiendo realizar mediciones lineales exentas de este error (Figura 2). La pérdida ósea de los implantes fue medida en dos puntos: mesial y distal en cada uno de los casos (Figura 3).
Para la estimación de la ganancia en altura sobre el ápice se realizó un CBCT previo a la carga del implante y al año de carga. Posteriormente, el volumen ganado se monitorizó en las radiografías periapicales al igual que la pérdida ósea crestal.
Análisis estadístico
El implante fue la unidad de análisis para la estadística descriptiva en cuanto a la localización, dimensiones del implante, y mediciones radiográficas. El paciente fue la unidad de medida para el análisis de la edad, sexo y la historia médica.
Fue realizado un test de shapiro-Wilk sobre los datos obtenidos para constatar la distribución normal de la muestra.
Las variables cualitativas se describieron mediante un análisis de frecuencias. Las variables cuantitativas se describieron mediante la media y la desviación estándar. La supervivencia de los implantes se calculó mediante el método de Kaplan-Meier. Los datos fueron analizados con SPSS v15.0 para Windows (SPSS Inc., Chicago, IL, USA).
Fueron reclutados 13 pacientes que cumplieron los criterios de inclusión en los que se insertaron 30 implantes. La edad media fue de 70 +/- 1 años en el momento de la cirugía y 10 de los pacientes fueron hombres. El tiempo medio de seguimiento desde la carga fue de 126 meses (+/- 1,79; Rango 120- 150 meses). Los diámetros, longitudes y posiciones de los implantes se muestran en la Figura 4. La altura media de la cresta residual fue de 4,86 mm (+/-0,97; rango 1,95-5,88 mm). El torque de inserción medio de los implantes fue de 26,45 Ncm (+/- 1,89). Una vez insertados y cargados los implantes, la altura media final fue de 9,68 mm (+/- 2,66; rango 6,74-13,11 mm), lo que supone una ganancia promedio de 5 mm. A los 10 años, se observa una disminución media de la altura ósea ganada en los implantes en conjunto de 0, 29 mm (+/- 0,77).
La media de la pérdida ósea mesial fue de 0,73 mm (+/- 0,75 mm) y la media de la pérdida ósea distal fue de 0,98 mm (+/- 1,2 mm). No existió ningún fracaso en los implantes estudiados, por lo que la supervivencia fue del 100%. Todas las prótesis se rehabilitaron de forma atornillada mediante transepitelial, siendo un 85% de ellas puentes de 2 a 4 unidades y el resto prótesis completas. No se produjeron complicaciones en la técnica quirúrgica en ninguno de los casos estudiados, sin producirse ninguna perforación de la membrana de Schneider.
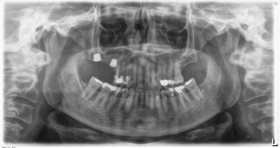
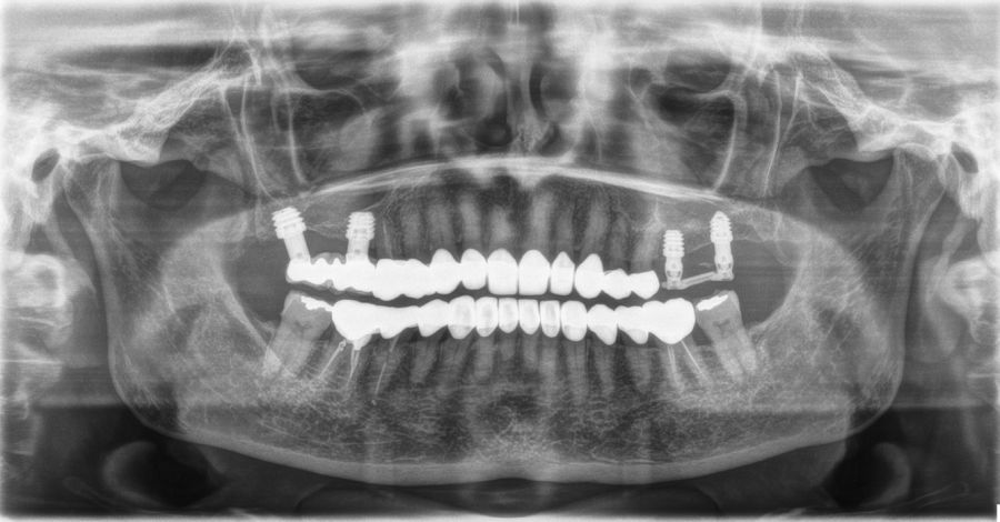
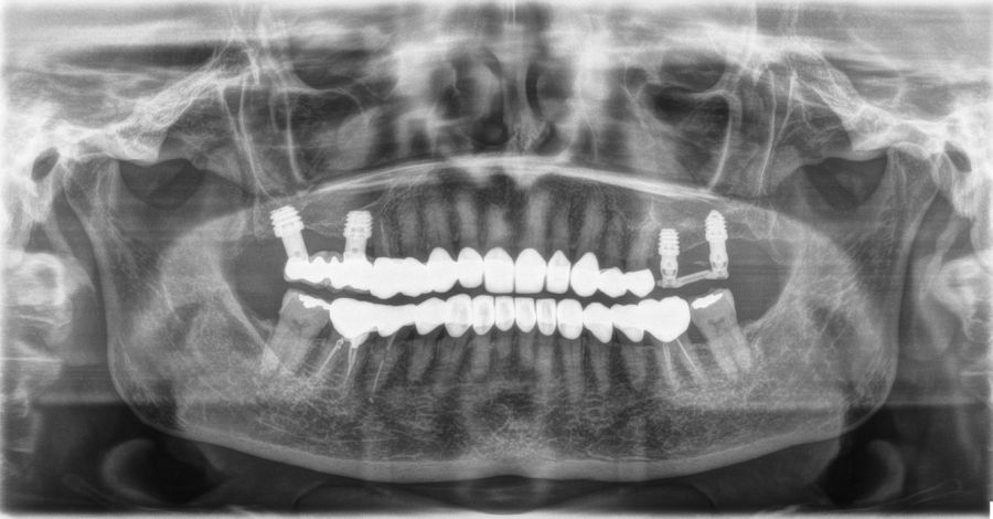
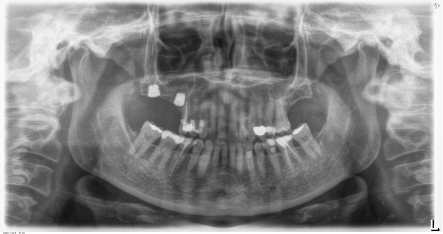
En las Figuras 5-16 se muestra uno de los casos incluidos en el estudio.
La técnica de elevación crestal con implantes cortos o extracortos en un tiempo quirúrgico, para aquellas situaciones clínicas en las que no se pueda resolver el caso con la inserción directa de los implantes en los sectores posteriores maxilares, es hoy una técnica ampliamente extendida. Esta técnica sin el uso de materiales de relleno como injerto es hoy una técnica contrastada con tasas de supervivencia de los implantes de los implantes del 97.9%20-25.
En los diferentes estudios en los que se han empleado implantes cortos en conjunción con la técnica de elevación de seno transcrestal sin colocación de material de relleno en el seno, se ha reportado una ganancia ósea de entre 1,8 y 4 mm24-27. Por esta variabilidad, la realización de este tipo de técnicas sin injerto añadido suscita cierta controversia. En algunos estudios la ganancia ósea inicial decrece desde 1,8 mm hasta 1,3 mm o 1,1 mm al transcurrir uno y tres años respectivamente8. Otros estudios en cambio obtienen resultados similares a los de este trabajo con ganancias endosinusales de 3,9 +/- 1,0 mm tras un año y 4,1 +/- 1,0 mm tras tres años de seguimiento24-27. En los diferentes estudios que utilizan abordajes transcrestales, existen diferentes técnicas, con diferentes implantes (superficies, morfologías) y distintos métodos de fresado. Esto puede ser, bajo nuestro punto de vista lo que marca la diferencia entre unos datos de supervivencia y otros, o incluso los malos resultados en crestas con volumen óseo residual que recomiendan no realizar este procedimiento en estos casos extremos. En nuestra serie de casos, la ganancia promedio en altura sobre el ápice ha sido de 5 mm, existiendo un rango de 6,74-13,11 mm. Estos datos son ligeramente superiores a los encontrados en la literatura internacional y, además se mantienen durante el periodo de seguimiento, hasta 10 años después de la cirugía, donde la media de reabsorción del volumen ganado se situó en 0,29 mm, por lo que se puede decir que la técnica mostrada es predecible en el tiempo.
Esta técnica ha sido ampliamente estudiada en estudios previos6,7,18,20. Los tres pilares de la técnica fueron el protocolo de fresado, el uso del Endoret (PRGF) y el uso de implantes extracortos con diámetros anchos y superficie con iones de calcio (UniCca®). Para evitar el riesgo de la perforación de la membrana de Schneider, el uso de las fresas de diámetro respeta un margen de 1 mm de la membrana de Schneider. Ese último mm se prepara con el uso de la fresa de ataque frontal con una superficie de corte ancha. Cuando se abre una ventana en el fondo del alveolo, se inserta la membrana de fibrina del Endoret (PRGF) y así aleja la membrana de Schneider de la zona de fresado.
Por último, el uso de implantes cortos y anchos por un lado disminuye la cantidad necesaria de regeneración ósea vertical y por el otro lado permite el anclaje cortical del implante y el aumento de su estabilidad primaria.
La inserción de implantes con elevación trans-crestal sin injerto no es un factor de riesgo para el fracaso de la técnica o del implante siempre y cuando se respeten los protocolos de fresado e inserción que permitan conservar la integridad de la membrana de Schneider y se consiga una óptima estabilidad primaria del implante.
Tatum H. Maxillary and sinus implant reconstructions. Dent Clin North Am. 1986; 30:1207–1229.
Tan WC, Lang NP, Zwahlen M, Pjetursson BE. A systematic review of the success of sinus floor elevation and survival of implants inserted in combination with sinus floor elevation. Part II: transalveolar technique. J Clin Periodontol. 2008; 35:241–254
Summers RB. A New Concept in maxillary implant surgery: the osteotome technique. Compendium.1994;15:154–156.
Pjetursson BE, Tan WC, Zwahlen M, Lang NP. A systematic review of the success of sinus floor elevation and survival of implants inserted in combination with sinus floor elevation. J Clin Periodontol. 2008;35:216-40.
Del Fabbro M, Corbella S, Weinstein T, Ceresoli V, Taschieri S. Implant survival rates after osteotome-mediated maxillary sinus augmentation: a systematic review. Clin Implant Dent Relat Res. 2012; 14(Suppl 1):e159–e168.
Anitua E, Flores J, Alkhraisat MH. Transcrestal sinus floor augmentation by sequential drilling and the use of plasma rich in growth factors. Int J Oral Maxillofac Implants. 2017;32(3):e167–e173.
Anitua E, Flores J, Alkhraisat MH. Transcrestal sinus lift using platelet concentrates in association to short implant placement: A retrospective study of augmented bone height remodeling. Clin Implant Dent Relat Res. 2016;18:993-1002.
Wallace SS, Froum SJ. Effect of maxillary sinus augmentation on the survival of endosseous dental implants. A systematic review. Ann Periodontol. 2003 Dec;8(1):328-343.
Leblebicioglu B, Ersanli S, Karabuda C, Tosun T, Gokdeniz H. Radiographic evaluation of dental implants placed using an osteotome technique. J Periodontol.2005;76:385–390.
Nedir R, Bischof M, Vazquez L, Szmukler-Moncler S, Bernard JP. Osteotome sinus floor elevation without grafting material: a 1-year prospective pilot study with ITI implants. Clin Oral Implants Res.2006;17:679–686.
Lai HC, Zhang ZY, Wang F, Zhuang LF, Liu X. Resonance frequency analysis of stability on ITI implants with osteotome sinus floor elevation technique without grafting: a 5-month prospective study. Clin Oral Implants Res.2008;19:469–475.
Senyilmaz DP, Kasaboglu O. Osteotome sinus floor elevation without bone grafting and simultaneous implant placement in the atrophic maxilla: a pilot study. Indian J Dent Res.2011;22:786–789.
He L, Chang X, Liu Y. Sinus floor elevation using osteotome technique without grafting materials: a 2-year retrospective study. Clin Oral Implants Res.2013;24:63–67.
Fermergård R, Åstrand P. Osteotome sinus floor elevation without bone grafts-a 3-year retrospective study with Astra Tech implants. Clin Implant Dent Relat Res.2012;14:198–205.
Nedir R, Nurdin N, Szmukler-Moncler S, Bischof M. Placement of tapered implants using an osteotome sinus floor elevation technique without bone grafting: 1-year results. Int J Oral Maxillofac Implants.2009;24:727–733.
Nedir R, Nurdin N, Vazquez L, Szmukler-Moncler S, Bischof M, Bernard JP. Osteotome sinus floor elevation technique without grafting: a 5-year prospective study. J Clin Periodontol.2010;37:1023–1028.
Pérez-Martínez S, Martorell-Calatayud L, Peñarrocha-Oltra D, García-Mira B, Peñarrocha-Diago M. Indirect sinus lift without bone graft material: Systematic review and meta-analysis. Journal of
Clinical and Experimental Dentistry. 2015;7:e316-e319.
Anitua E, Alkhraisat MH, Pinas L, Orive G. Efficacy of biologically guided implant site preparation to obtain adequate primary implant stability. Ann Anat. 2015;199:9-15.
Anitua E, Carda C, Andia I. A novel drilling procedure and subsequent bone autograft preparation: a technical note. Int J Oral Maxillofac Implants. 2007;22:138-45. Erratum in: Int J Oral Maxillofac Implants. 2007;22:309.
Anitua E, Allende M, Eguia A, Alkhraisat MH. Bone-regenerative ability of platelet-rich plasma following sinus augmentation with anorganic bovine bone: A systematic review with meta-analysis. Bioengineering (Basel). 2022;9:597.
Beretta M, Poli PP, Grossi GB, Pieroni S, Maiorana C. Long-term survival rate of implants placed in conjunction with 246 sinus floor elevation procedures: results of a 15-year retrospective study. J Dent.2015;43:78-86.
Viña-Almunia J, Peñarrocha-Diago M, Peñarrocha-Diago M. Influence of perforation of the sinus membrane on the survival rate of implants placed after direct sinus lift. Literature update. Med Oral Patol Oral Cir Bucal. 2009;14:E133-136.
Shah D, Chauhan C, Shah R. Survival rate of dental implant placed using various maxillary sinus floor elevation techniques: A systematic review and meta-analysis. J Indian Prosthodont Soc. 2022;22:215-224.
Del Fabbro M, Corbella S, Weinstein T, Ceresoli V, Taschieri S. Implant survival rates after osteotome-mediated maxillary sinus augmentation: a systematic review. Clin Implant Dent Relat Res 2012; 14(Suppl 1):e159–e168.
Pjetursson BE, Ignjatovic D, Matuliene G, Brägger U, Schmidlin K, Lang NP. Transalveolar maxillary sinus floor elevation using osteotomes with or without grafting material. Part II: Radiographic tissue remodeling. Clin Oral Implants Res.2009;20:677–683.
Duan DH, Fu JH, Qi W, Du Y, Pan J, Wang HL. Graft-free maxillary sinus floor elevation: a systematic review and meta-analysis. J Periodontol. 2017;88:550-564.
Lundgren S, Cricchio G, Hallman M, Jungner M, Rasmusson L, Sennerby L. Sinus floor elevation procedures to enable implant placement and integration: techniques, biological aspects and clinical outcomes. Periodontol 2000. 2017;73:103-120.

Anitua, Eduardo
Práctica privada en implantología oral, Fundación Eduardo Anitua, Vitoria.
Investigador clínico, Fundación Eduardo Anitua, Vitoria, España.
Instituto Universitario para la medicina regenerativa oral e implantología (UIRMI), Vitoria, España.
Indexada en / Indexed in: – IME – IBECS – LATINDEX – GOOGLE ACADÉMICO
Correspondencia: Dr. Eduardo Anitua, Eduardo Anitua Foundation; C/ Jose Maria Cagigal 19, 01007 Vitoria, Spain; Phone: +34 945160653
e-mail: [email protected].


















