Caso clínico
Riolobos González M F, García Moreno S, López-Malla Matute J. Autotrasplante dental inmediato guiado mediante simulación virtual y prototipo 3D. Cient. Dent. 2024; 21; 2; 100-105.
Autotrasplante dental inmediato guiado mediante simulación virtual y prototipo 3D
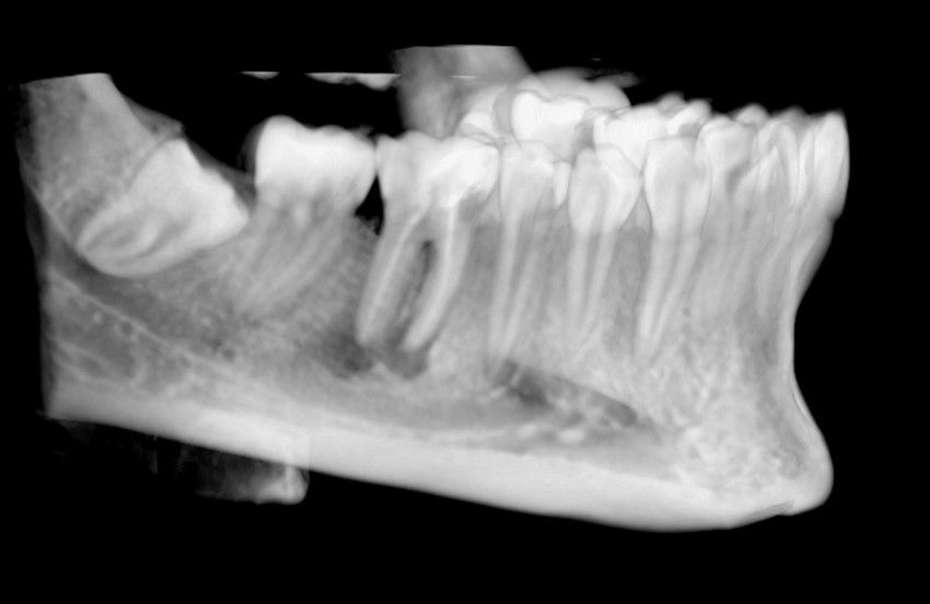
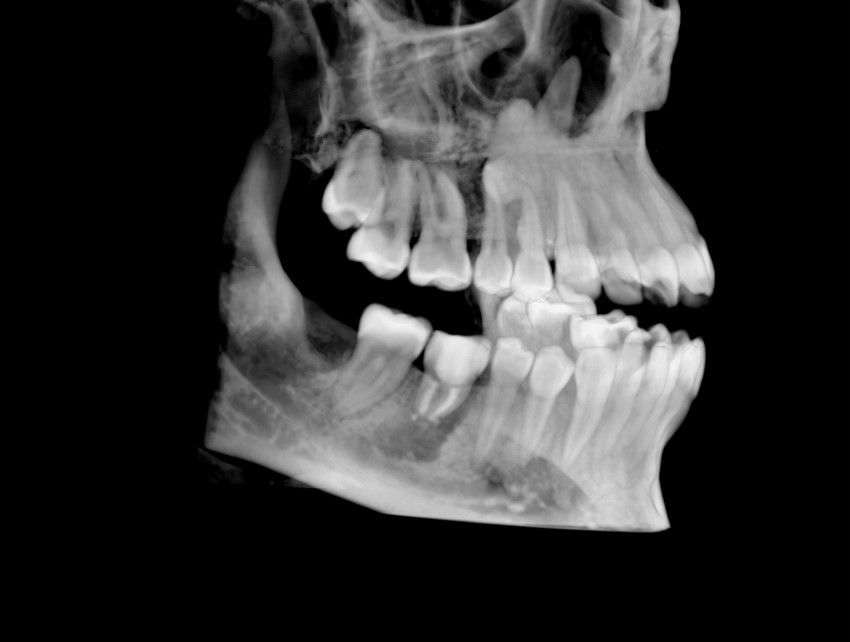
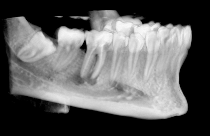
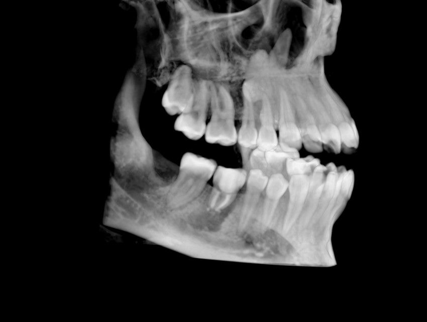
El autotrasplante dental es una opción terapéutica para aquellos casos en la que una pérdida dentaria es reemplazada por un diente donante del mismo paciente. Este autotransplante colocado en el alveolo puede ser inmediato o diferido. Suele estar indicado en paciente joven, siendo más frecuente el autotransplante de cordal a primer o segundo molar, y el de premolar a incisivo. El diente donante debe reunir unos criterios clínicos que aumenten el éxito de la técnica, basados en la morfología, el estadio de desarrollo radicular y la salud periodontal. La planificación se llevará a cabo con un CBCT y simulación virtual que genere un prototipo réplica en 3D; esto permite evaluar las dimensiones del diente donante para su correcta colocación en el alveolo receptor.
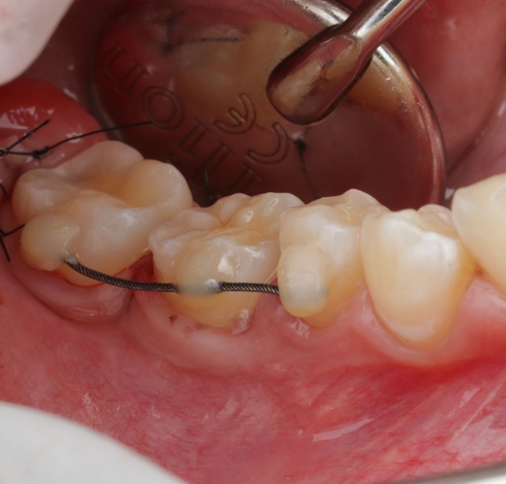
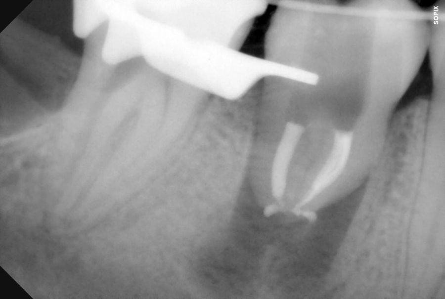
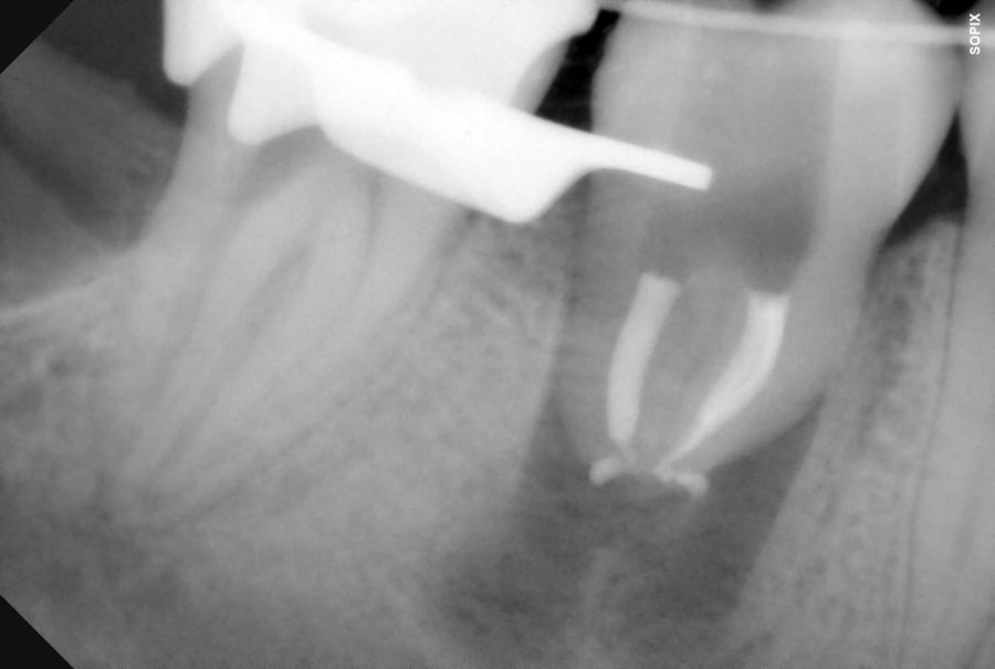
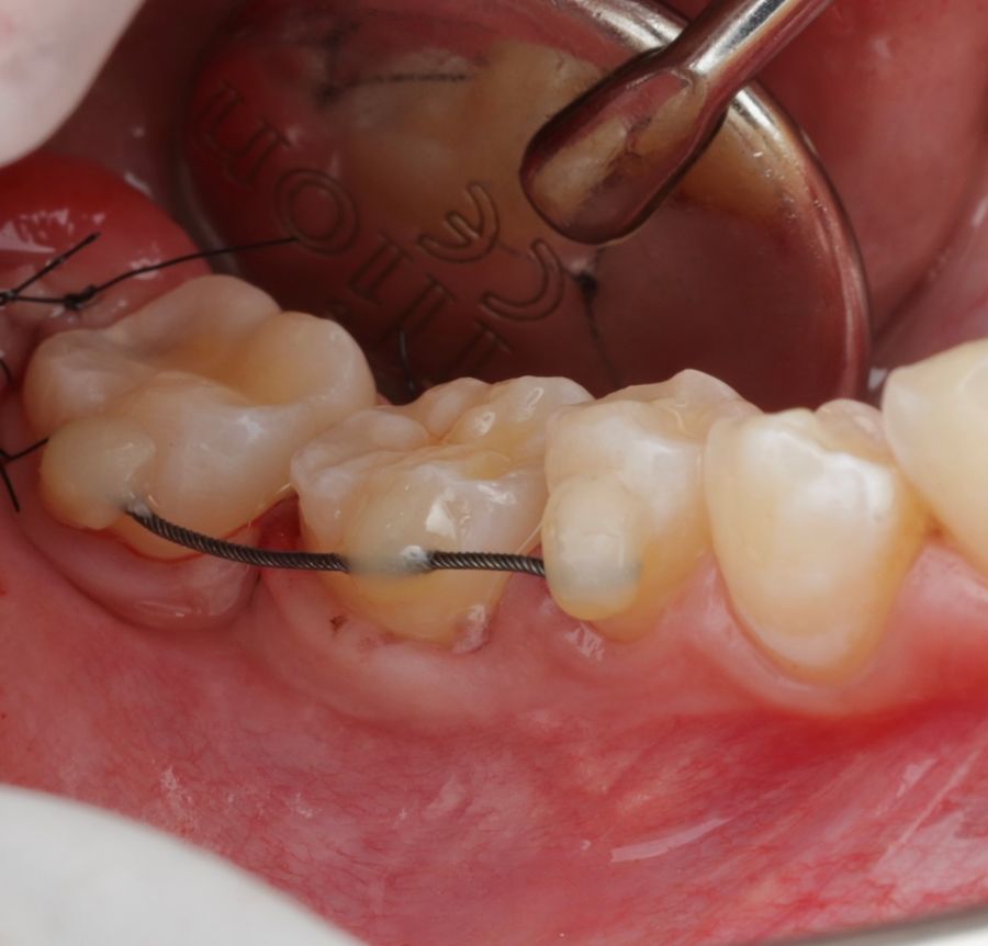
Se reporta el caso de un autotrasplante del tercer molar inferior derecho al alveolo postextracción de un primer molar inferior, en una paciente de 22 años de edad. Actualmente, el autotransplante se considera una opción de tratamiento si se siguen los criterios de selección del caso adecuados, y se realiza una técnica quirúrgica protocolizada. El diagnóstico planificado mediante CBCT, la simulación virtual y la confección de una réplica en 3D optimiza la técnica de forma segura, predecible con tiempos de cirugía menores.
Immediate dental auto transplantation guided through virtual simulation and 3D prototype
Dental auto-transplantation is a therapeutic option for those cases in which a tooth loss can be replaced by a donor tooth from the same patient. This auto-transplant placed in the fresh extraction socket can be immediate, early, delayed or late. It is usually indicated in young patients, with auto-transplantation from the wisdom tooth to the first or second molar being more common, and from the premolar to the incisor. The donor tooth must meet clinical criteria that increase the success of the technique, based on morphology, stage of root development and periodontal health. Planning will be carried out with a CBCT and virtual simulation that generates a 3D replica prototype; This allows the dimensions of the donor tooth to be evaluated for its correct placement in the recipient socket. The case of a successful auto-transplantation of a 4.8 wisdom tooth to the post-extraction socket of a lower first molar is reported in a 22-year-old patient. The aim or this article was to provide a step-by-step clinical guide for planning an auto-transplantation procedure. Currently, auto-transplantation is considered a treatment option if appropriate case selection criteria are followed and a protocolized surgical technique is performed. The planned diagnosis using CBCT, virtual simulation and the creation of a 3D replica optimizes the technique in a safe, predictable way with shorter surgery times.
Keywords: Dental auto-transplant; Virtual simulation; 3D replica; Oral surgery.
El autotrasplante dental (AD) se define como aquel procedimiento que conlleva la extracción de un diente de su localización original y su colocación en un alveolo postextracción o alveolo preparado quirúrgicamente1-3.
El objetivo del AD es sustituir un diente cuyo pronóstico se considera imposible y, por lo tanto, tenga que ser extraído, ya sea, por patologías como caries, enfermedad periodontal o fracaso endodóntico, agenesias dentales y los traumas alveolares, entre otros, por uno sano del propio paciente, para preservar las estructuras dentales con fines funcionales y estéticos3-4.
El AD proporciona estabilidad a largo plazo de los tejidos blandos y duros del diente trasplantado, lo que supone una primera opción de tratamiento en casos de pacientes jóvenes en desarrollo donde el implante está contraindicado. Se deben considerar sujetos con buena higiene oral, sin patologías locales o sistémicas, que puedan impedir la adecuada cicatrización ósea y tisular5.
Los dientes utilizados para realizar un AD más frecuentemente suelen ser de premolares a incisivo, de cordal a primer o segundo en pacientes jóvenes con ápice abierto. En adultos con ápice cerrado suele ser el autotransplante de cordal a primer o segundo molar3,4,6.
El diente donante ideal debería tener una anatomía radicular de fácil instrumentación endodóntica, y ápice abierto de al menos 1,5mm de diámetro para permitir una adecuada revascularización, con formación radicular de al menos 2/3. Así mismo, debería ser lo suficientemente pequeño para el asentamiento adecuado en el alveolo receptor, cónico, cuya extracción se pueda realizar de forma atraumática3,5,7.
El sitio receptor debe garantizar la adaptación del diente donante, se realizará un diagnóstico mediante planificación con CBCT que permita segmentar virtualmente el diente donante y llevarlo digitalmente al sitio receptor3.
Se requiere un soporte óseo con suficiente tejido queratinizado insertado, sin inflamación y/o infección.
Varios estudios han señalado la cronología de la cicatrización periodontal como factor determinante en el éxito de un autotransplante. Para que sucedan estos procesos es indispensable la presencia de células viables activas en la superficie radicular del diente que se va a trasplantar8-10.
Las tasas de éxito de la técnica se han registrado hasta un 90% entre los 3 y 5 años de seguimiento4,10,12.
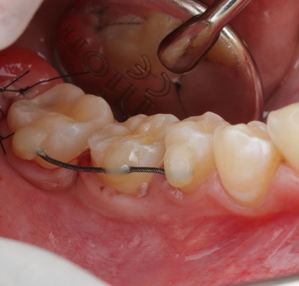
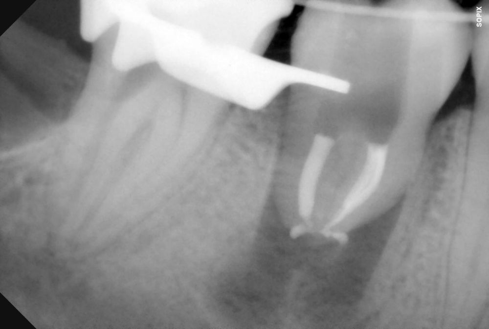
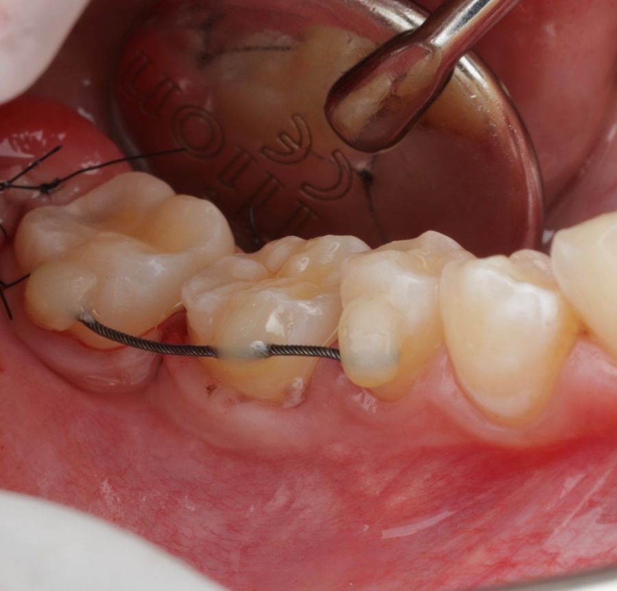
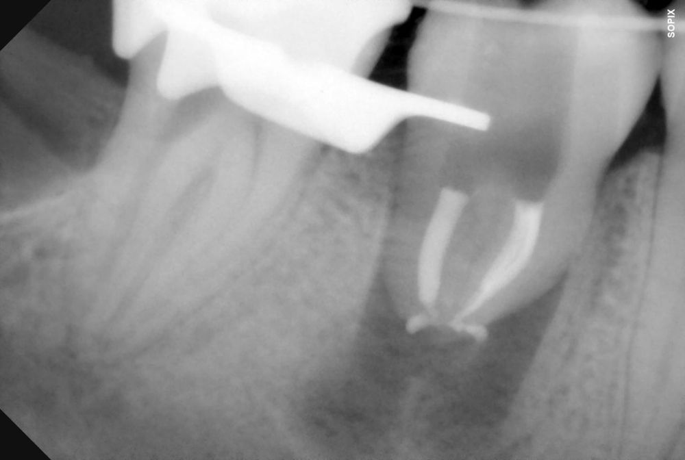
En la revisión sistemática realizada por Barrientos y cols.10, se analizan puntos clave para el protocolo de AD, como los diferentes materiales de fijación del autotrasplante, alambre, resina, sutura, fijación ortodóntica o férulas acrílicas. La tasa de éxito del procedimiento varían entre un 76% y un 95%. La necesidad del tratamiento de conductos, en el 21,1% de dientes no se realizó endodoncia, principalmente en casos con ápice abierto y la tasa de éxito fue más alta cuando la endodoncia se efectuó alrededor del primer mes postoperatorio (en dos semanas: 95,75%; de 7 días a 4 semanas: 90%, y de 6 días a 4 semanas 92,5%. En cuanto a la supervivencia de los dientes trasplantados se apreció que la tasa de éxito disminuye con el paso del tiempo (más de siete años 84%).10.
La confección de la réplica 3D del diente se ha de realizar con material biocompatible y esterilizable mediante radiación gamma y beta. La ventaja del modelo estereolitográfico es minimizar el tiempo extraoral del diente donante, el daño al ligamento periodontal, así como poder remodelar el alveolo receptor sin usar el diente donante5,13,14.
Todo ello favorece un crecimiento esquelético continuo y resistencia a las cargas oclusales8,12.
Hay que tener en cuenta la anchura del hueso en sentido buco-lingual, ya que si es insuficiente puede provocar la reabsorción del reborde alveolar5,15.
Aparicio P, Basili A, Castellón L. Autotransplante dentario: revisión de literatura y casos clínicos. Rev Odont Mex. 2008;1:224-30.
Natiella JR, Armitage JE, Greene GW. The replantation and transplantation of teeth. A review. Oral Surg Oral Med Oral Pathol. 1970;29:397-419.
Protocolos del Consejo General de Dentistas de España. Disponible en: https://consejodentistas.es/protocolos/protocolo-de-autotrasplante-dental-inmediato/
Vinitzky BI, Weihmann EP, Aguilar AM, Peña AE Autotransplante dental. Revisión de la literatura y presentación de dos casos. Rev ADM. 2016;73:212-217.
González-Quintanilla D, Zamorano JP, Mella E et al. Dental autotransplantation using virtual simulation and a prototype 3D printing model. Int J Odontostomat. 2021;15:271-277.
Park JH, Tai K, Hayashi D. Tooth autotransplantation as a treatment option: A review. J of Clinic Ped Dent. 2010;35:129-135.
Andreasen JO, Paulsen HU, Yu Z, Bayer T, Schwartz O. A long-term study of 370 autotransplanted premolars. Part II. Tooth survival and pulp healing subsequent to transplantation. Eur J Orthod. 1990;12:14-24.
Kim E, Jung JY, Cha IH, Kum KY, Lee SJ. Evaluation of the prognosis and causes of failure in 182 cases of autogenous tooth transplantation. Oral Surg Oral Med Oral Pathol Oral Radiol Endod. 2005;100:112-119.
Kristerson L. Autotransplantation of human premolars: a clinical and radiographic study of 100 teeth. Int J Oral Surg. 1985;14:200-213.
Barrientos S, Cardozo L, Rojas L. Autotrasplantes dentales: revisión sistemática de la literatura. Univ Odontol. 2012;31:133-143.
Machado LA, Do Nascimento RR, Ferreira DMTP, Mattos CT, Vilella OV. Long-term prognosis of tooth autotransplantation: A systematic review and metaanalysis. Int J of Oral and Max Surg. 2016;45:610-617.
Abella F, Ribas F, Mateo O, Cabezas M. Protocolos de autotrasplante postextracción: ¿inmediatos o diferidos? PC. 2023;23;62-76.
Tovío Martínez EG, Urbano del Valle S, Gamarra García J. Trasplante autólogo del tercer molar mandibular en el alveólo posextracción. Reporte de caso. Duazary. 2020;17:81-88.
Li T, Chang J, Zhu Y, Wu C. 3D printing of bioinspired biomaterials for tissue regeneration. Adv Helathc Mater. 2020;9:200-208.
Mejàre B, Wannfors K, Jansson L. A prospective study on transplantation of third molars with complete root formation. Oral Surg Oral Med Oral Pathol Oral Radiol Endod. 2004;97:231-238.
Jang JH, Lee SJ, Kime E. Autotransplantion of inmature third molars using a computer-aided rapid prototyping model: a report of 4 cases. J Endod. 2013;39:1461-1466.
Llanos S, García H, Manresa C, et al. Una alternativa a los implantes dentarios: manejo quirúrgico y endodóntico con planificación digital y guía de fresado de autotrasplantes de terceros molares. Reporte de un caso. Lat Am J Oral Maxillofac Surg. 2023;3:80-86.
Tsukiboshi M. Autotransplantation of teeth: requirements for predictable success. Dent Traumatol. 2002;18:157-180.
Tsukiboshi M, Tsukiboshi C, Levin L. A step-by step guide for autotransplantation of teeth. Dent Traumatol. 2023;39(Suppl. 1):70-80.
Howe MS, Keys W, Richards D. Long-term (10-year) dental implant survival: A Systematic review and sensitivity meta-analysis J Dent. 2019;84:9-21.
Jung RE, Zembic A, Pjetursson BE, Zwahlen M, Thoma DS. Systematic review of the survival rate and the incidence of biological, technical and esthetic complications of single crowns on implants reported in longitudinal studies with a mean follow-up of 5 years. Clin Oral Implants Res. 2012;23:2–21.
Romeo E., Storelli S. Systematic review of the survival rate and the biological, technical and esthetic complications of fixed dental prostheses with cantilevers on implants reported in longitudinal studies with a mean of 5 years follow-up. Clin Oral Implants Res. 2012;23:39-49.
Salvi GE, Monje A, Tomasi C. Long- term biological complications of dental implants placed either in pristine or in augmented sites: A systematic review and meta- analysis. Clin Oral Impl Res. 2018;29:294-310.
Slagsvold O, Bjercke B. Autotransplantation of premolars with partly formed roots: a radiographic study of root growth. Am J Orthod. 1974;66:355-366.
Lee SJ, Jung IY, Lee CY, et al. Clinical application of computer-aided rapid prototyping for tooth transplantation. Dent Traumatol. 2001;17:114–119.

Riolobos González, María Fe
Odontóloga UCM, Doctora en Odontología UAX. Profesora Grado Odontología UAX.
García Moreno, Sergio
Odontólogo URJC, Master en Cirugía e Implantes Hospital Virgen de la Paloma.
López-Malla Matute, Joaquín
Odontólogo UAX, Coordinador Periodoncia UAX Profesor Máster Cirugía Oral, Implantología y Periodoncia UAX.











