Científica Dental: septiembre-octubre-noviembre-diciembre 2024
Caso clínico
Angamarca Alvarado E, Camacho Terciado S, Olea Vielba M, Ceballos García L. Enfoque microinvasivo para el manejo de lesiones de mancha blanca en un caso de amelogénesis imperfecta. Cient. Dent. 2024; 21:3: 150-159.
Enfoque microinvasivo para el manejo de lesiones de mancha blanca en un caso de amelogénesis imperfecta
Introducción: Las lesiones de mancha blanca son opacidades en el esmalte dental consecuencia de un defecto en su mineralización. Esta hipomineralización puede ser un signo inicial de una lesión cariosa, o puede deberse a una alteración durante su formación. La etiología y la extensión de las lesiones determinan el enfoque terapéutico. El objetivo del presente caso clínico es describir el tratamiento microinvasivo de un caso de amelogénesis imperfecta en una forma leve de presentación.
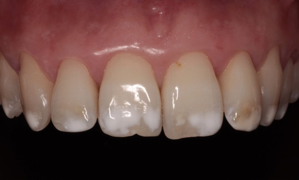
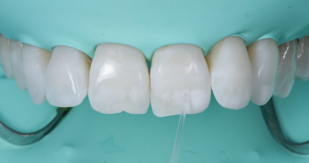
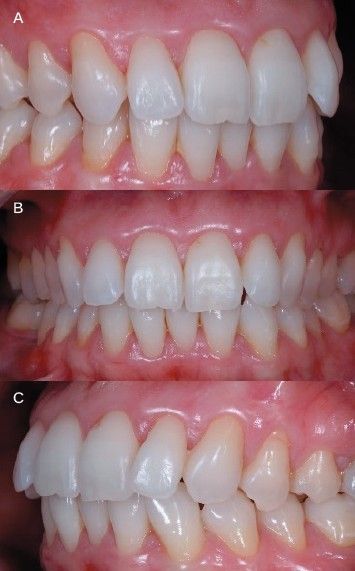
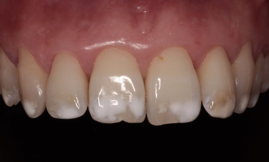
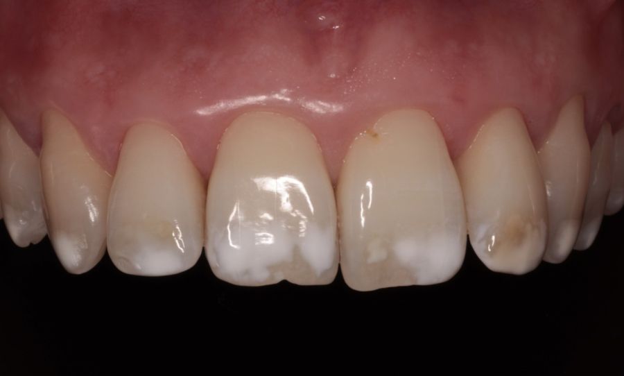
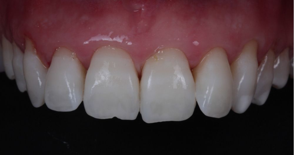
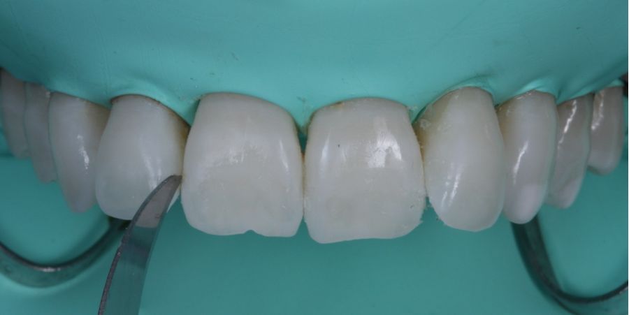
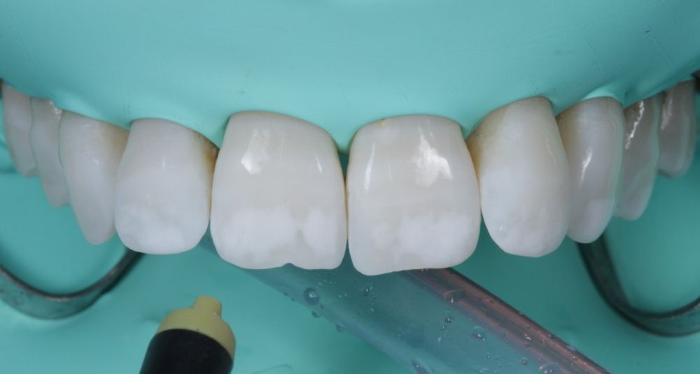
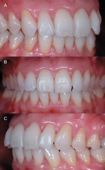
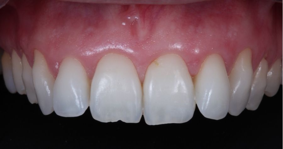
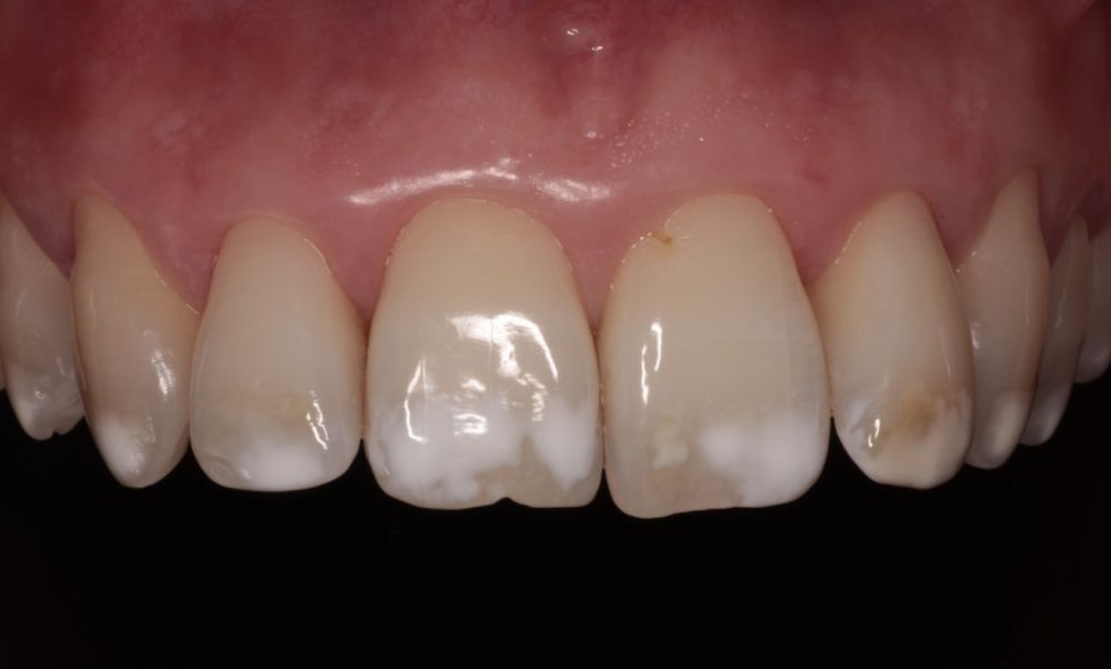
Material y métodos: Se describe una paciente de 33 años, no fumadora y sin antecedentes médico-quirúrgicos de interés (ASA I), con presencia de lesiones de mancha blanca como manifestación clínica de una amelogénesis imperfecta tipo hipomaduro, subtipo IIC, que fueron tratadas mediante un enfoque microinvasivo combinando blanqueamiento dental domiciliario e infiltración de resina de baja viscosidad que mejora las propiedades ópticas de la lesión al tener un índice de refracción similar al del esmalte sano.
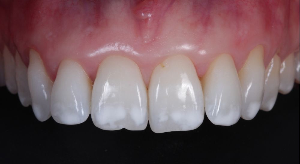
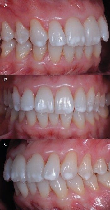
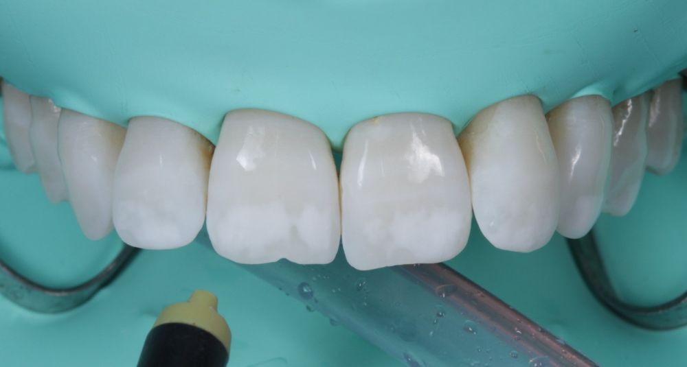
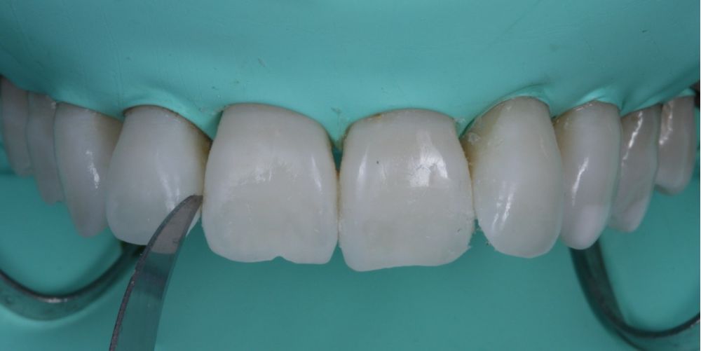
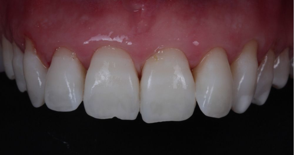
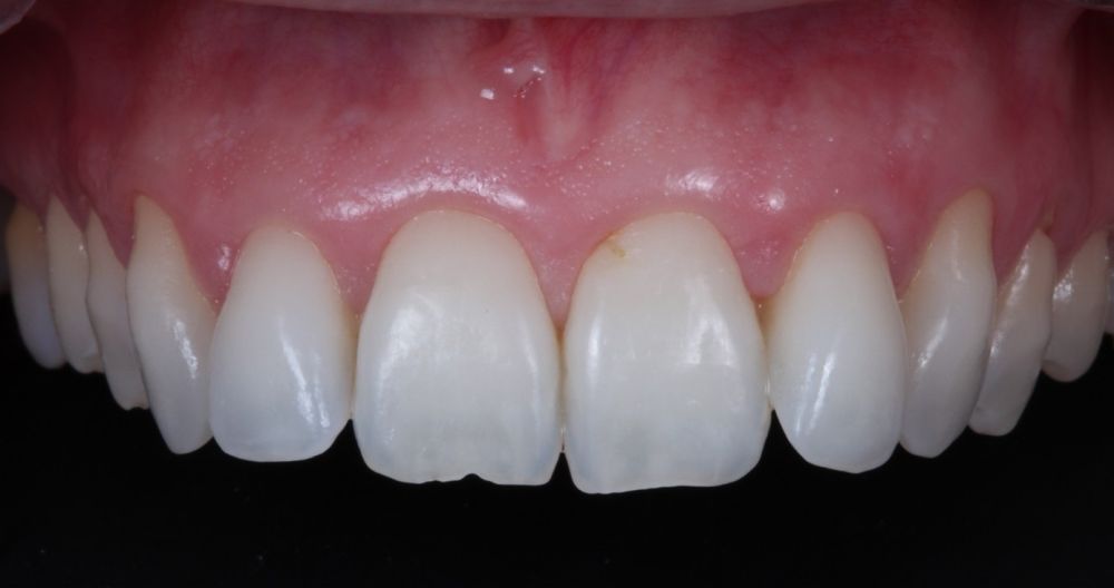
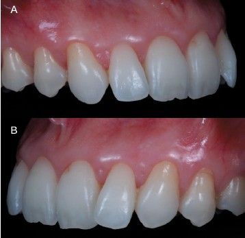
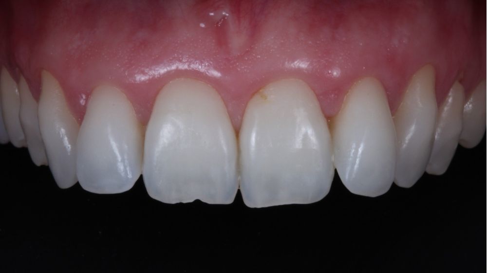
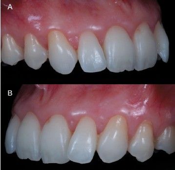
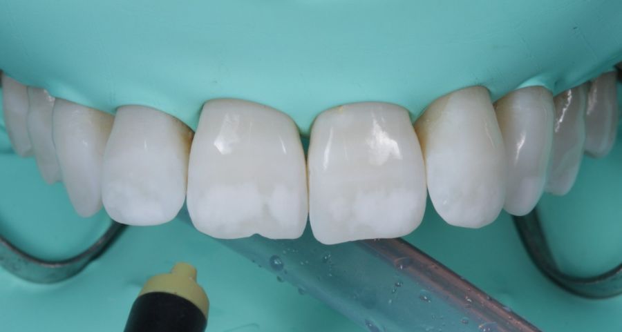
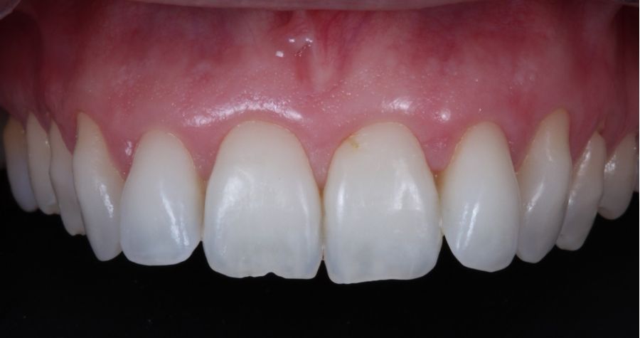
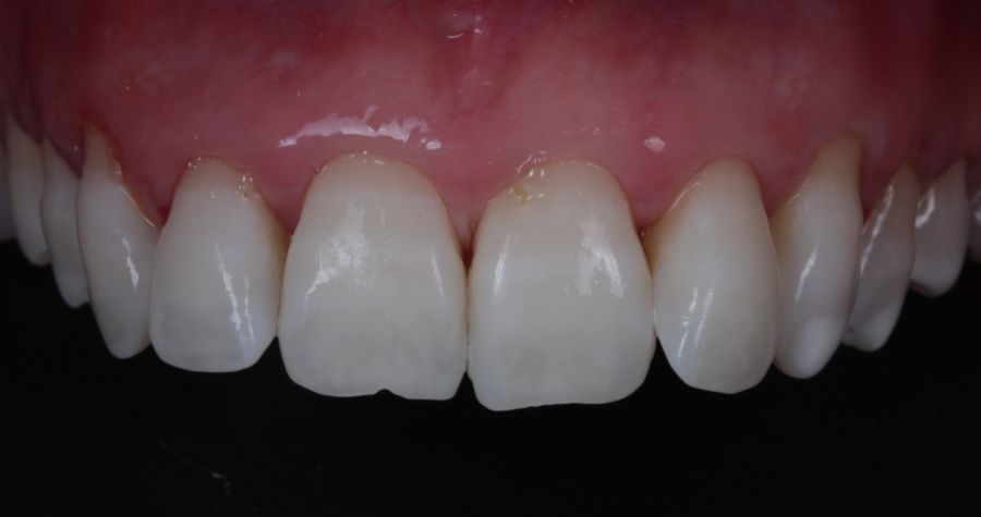
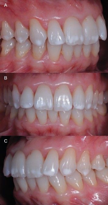
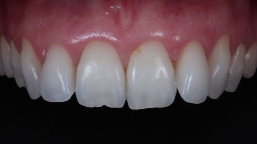
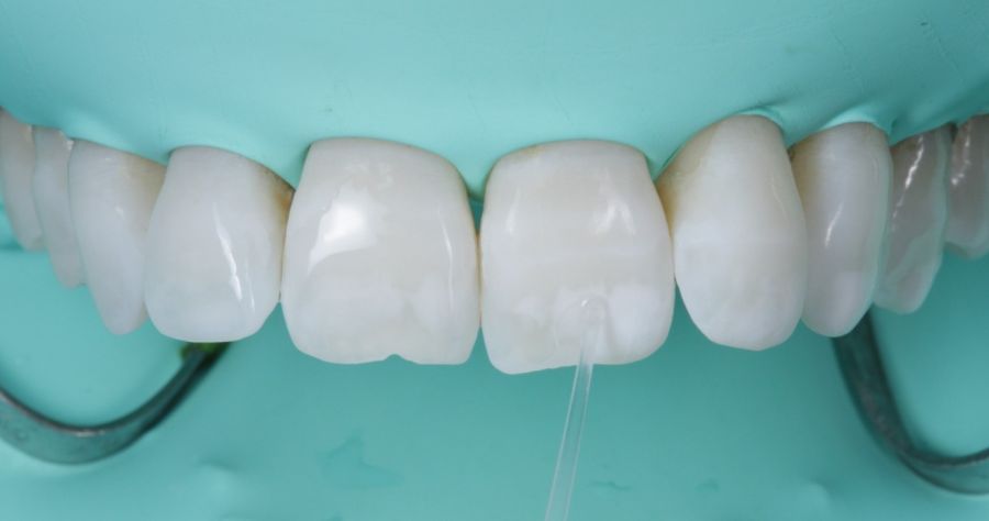
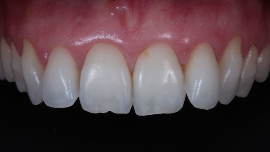
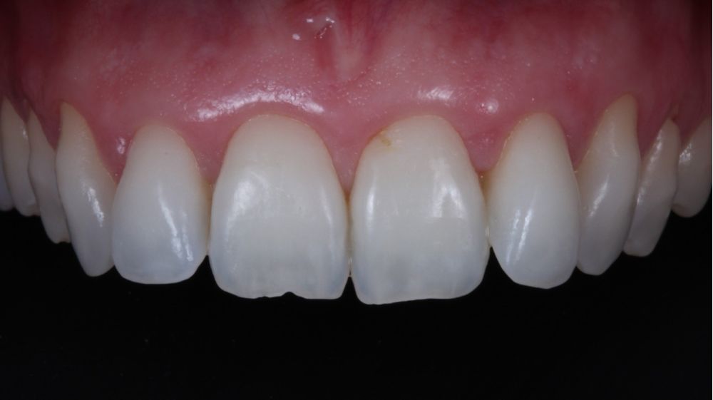
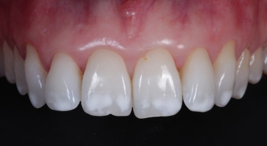
Resultados: El blanqueamiento dental es un procedimiento no invasivo, que en este caso logró enmascarar parcialmente las lesiones de mancha blanca y mejoró el sustrato para la posterior infiltración de resina. La infiltración es un procedimiento microinvasivo, rápido y seguro, que permite unos resultados estéticos buenos logrando el enmascaramiento completo de la mayoría de las lesiones.
Conclusiones: La infiltración de resina combinada con el blanqueamiento dental, es un procedimiento conservador que respeta la estructura dental y proporciona resultados estéticos satisfactorios en el tratamiento de lesiones de mancha blanca causadas por amelogénesis imperfecta.
Palabras clave: Lesiones de mancha blanca; Amelogénesis imperfecta; Infiltración de resina; Blanqueamiento dental; Tratamiento microinvasivo.
Microinvasive approach to the management of white spot lesions in a case of amelogenesis imperfecta
Introduction: White spot lesions are opacities in the dental enamel as a consequence of a defect in its mineralization. This hypomineralization can be an initial sign of a carious lesion, or due to a defect in the enamel as a consequence of an alteration during its formation. The etiology and extent of the lesions determine the therapeutic approach. The aim of the present case report is to describe the microinvasive approach of a case of amelogenesis imperfecta in a mild form of presentation.
Materials and Methods: A clinical case of a 33-year-old non-smoker female patient with no previous registered medical records (ASA I), with the presence of white spot lesions as a clinical manifestation of amelogenesis imperfecta hypomature type, subtype IIC, that were treated by a microinvasive approach combining bleaching which improves the optical properties of the lesion as it has a refractive index similar to that of healthy enamel.
Results: Dental bleaching is a noninvasive procedure, which in this case partially masked the white spot lesions and improved the substrate for subsequent resin infi ltration. Infi ltration is
a microinvasive, fast and safe procedure,which allows good esthetic results achieving complete masking of most lesions.
Conclusions: Resin infi ltration combined with tooth bleaching is a conservative procedure that respects tooth structure and provides satisfactory esthetic results in the
treatment of white spot lesions caused by amelogenesis imperfecta.
KEY WORDS: White spot lesions; Amelogenesis imperfecta; Resin infiltration; Tooth bleaching; Microinvasive treatment.
Las lesiones de mancha blanca (LMBs) se definen como la presencia de una opacidad blanquecina en la superficie del esmalte dental, sin cavitación, secundaria a una hipomineralización o hipomaduración del esmalte1,2. La presencia de estas lesiones, especialmente en dientes anteriores, puede provocar alteraciones estéticas significativas e incluso podría afectar la autoestima del paciente. Como factores etiológicos existen múltiples causas, las cuales se pueden producir durante una fase preeruptiva o posteruptiva. Dentro del primer grupo tenemos la fluorosis, la hipomineralización traumática, la hipomineralización incisivo molar (MIH) y la amelogénesis imperfecta; en el segundo grupo encontramos las lesiones iniciales de caries. Independientemente de la etiología de las lesiones de mancha blanca, todas cursan con una disminución del contenido mineral del esmalte a nivel subsuperficial, lo que supone una alteración en su composición química con las consiguientes alteraciones de sus propiedades ópticas3.
Las características clínicas de las LMBs son la pérdida de la translucidez del esmalte, el aspecto blanco opaco, especialmente si el diente está deshidratado, así como una superficie porosa y rugosa. Este defecto en la mineralización y una posible menor densidad de la capa superficial adamantina puede ser visible a nivel radiográfico o mediante transiluminación2.
La opacidad característica de las LMBs está producida por una mayor microporosidad entre los cristales de hidroxiapatita, quedando ocupados los espacios por fluidos orgánicos que alteran el índice de refracción del esmalte (IR).
El esmalte sano tiene un IR de 1.62, mientras que los fluidos orgánicos, que van a estar compuestos básicamente de agua, tienen un IR de 1.33. Esta discrepancia del IR dentro del mismo tejido provoca una alteración en la percepción de la luz, siendo este el fenómeno físico la causa de la alteración óptica que sufre el esmalte con LMB. Cuando el esmalte se deshidrata, los fluidos se sustituyen por aire, siendo el IR de este aproximadamente de 1, alejándose más del valor del IR del esmalte sano, por lo que la LMB será más evidente en el diente deshidratado y se verá más blanca y opaca4,5. Cabe destacar que en algunas lesiones la capa superficial puede encontrarse hipermineralizada, especialmente si son de larga evolución o han sido tratadas con agentes remineralizantes, lo que va a condicionar el enfoque terapéutico.
Determinar la etiología, el tamaño y la profundidad de las LMBs es crucial antes de establecer las opciones de tratamiento, ya que los resultados de éste varían en función de la subestructura del esmalte1 y de la demanda estética del paciente. A través de un minucioso examen visual podemos analizar las características principales de las LMBs, pero el uso de medios diagnósticos complementarios como son la fotografía y especialmente la transiluminación, nos permitirá evaluar: forma, tamaño, color, localización, profundidad y extensión de manera más precisa5.
Las LMBs de origen preeruptivo van a estar provocadas por alteraciones durante la amelogénesis, en la fase secretora o durante la fase de maduración que darán como resultado un esmalte de volumen normal, pero de menor grado de mineralización, por ello con defectos cualitativos. Nos centraremos en una de las entidades incluidas en este grupo, la amelogénesis imperfecta (AI)6.
La amelogénesis imperfecta (AI) es una alteración de la formación y mineralización del esmalte que cursa con lesiones de hipoplasia y/o hipomineralización, tiene origen genético y transmisión hereditaria que puede presentar diferentes patrones de herencia: autosómica dominante, autosómica recesiva, dominante ligada al sexo y casos esporádicos. Afecta a la estructura y apariencia clínica del esmalte de todos o casi todos los dientes de manera similar. Una de las clasificaciones más ampliamente usadas es la realizada por Witkop, 1988, que considera el fenotipo del esmalte y el patrón hereditario (Tabla)7. Tal y como se desprende de esta clasificación, la AI es una alteración compleja que puede presentar diferentes expresiones o formas clínicas, que afecta a ambas denticiones debido al origen genético de la alteración, sin que exista relación con la cronología de la erupción dentaria6,8,9.
Esta alteración del desarrollo del esmalte es secundaria a mutaciones genéticas, en particular, la mutación o la expresión alterada de distintas proteínas que están implicadas en la amelogénesis como son: la enamelina (ENAM), la amelogenina (AMELX), enamelisina (MMP20), calicreina-4 (KLK4), FAM83H, WDR72, FAM 20A, SLC24A4, DLX3, AMBN, LAMB3, ITGB6 y C4of26, y se está estudiando el papel de ALB y TUFT. Estas mutaciones van a alterar la función normal de los ameloblastos, sintetizando un esmalte con menor espesor (formas hipoplásicas de la AI) o con un volumen normal, pero con una alteración de su mineralización y maduración (formas hipocalcificadas o hipomaduras)10,11. Las presentación clínica de la AI depende del gen alterado y del momento en el que se produce su manifestación, pudiendo ser desde alteraciones superficiales del color hasta la aplasia completa del esmalte12, sumadas al compromiso estético e hipersensibilidad12,13. Aunque la AI es principalmente una alteración específica del esmalte, con frecuencia se presenta acompañada de otros trastornos como: calcificaciones pulpares, retraso en la erupción dental, ausencia congénita de dientes, reabsorción radicular, mordida abierta, resalte negativo y relación vertical de los maxilares9,14,15.
En este artículo nos centraremos en la AI tipo II con hipomaduración, que presenta un defecto cualitativo menos severo del esmalte, ya que la alteración se produce durante la fase de maduración de la amelogénesis. Se caracteriza porque el esmalte presenta una disminución de su contenido mineral, pudiendo ser menos traslúcido, opaco y pigmentado con una dureza mayor que en las formas con hipomineralización y con un espesor normal. La superficie del esmalte suele ser lisa, aunque puede mostrar un aspecto moteado o estriaciones verticales en bandas que alternan esmalte normal y esmalte hipomaduro de gran permeabilidad12-15.
Las alteraciones del color oscilan entre el blanco, amarillento, grisáceo y parduzco. Esta forma de AI en su forma más leve no suele ser diagnosticada y normalmente la causa de consulta suele ser por motivos estéticos15. Dentro de este tipo de AI existe una variedad clínica conocida como “esmalte en copos de nieve” o “diente nevado” en la que existe una zona de esmalte opaco blanquecino en el tercio oclusal o incisal de los dientes. Debido al aspecto clínico de los dientes, en ocasiones puede ser necesario realizar un diagnóstico diferencial con la fluorosis14.
En cuanto a las opciones de tratamiento de las LMBs de origen preeruptivo destacan el blanqueamiento dental, que suele ser por el que se comienza en prácticamente todos los casos, y se combinará con microabrasión, infiltración con resina o, si fuera necesario, restauraciones directas de composite.
El blanqueamiento dental no actuará sobre la lesión, pues su objetivo principal es enmascararla al disminuir el contraste entre la zona de la lesión y el esmalte sano que la rodea. Su principal ventaja es que es un procedimiento no invasivo que, además, mejora el sustrato para otro tipo de procedimientos16 y, como desventaja se puede señalar que por sí solo no suele lograr resultados satisfactorios.
La microabrasión es especialmente eficaz en casos de LMBs profundas. Es un procedimiento que combina agentes abrasivos (como piedra pómez o sílice) y ácido (ácido ortofosfórico al 37% o ácido clorhídrico al 6%), siendo una desventaja el que elimina una mayor cantidad de espesor de esmalte comparada con la infiltración, además de provocar sensibilidad en algunos casos, reducción del espesor del esmalte e incluso el inicio del ciclo restaurador5,17. Es importante destacar que todos estos procedimientos se van a combinar para obtener mejores resultados estéticos, y ser lo más conservadores posibles.
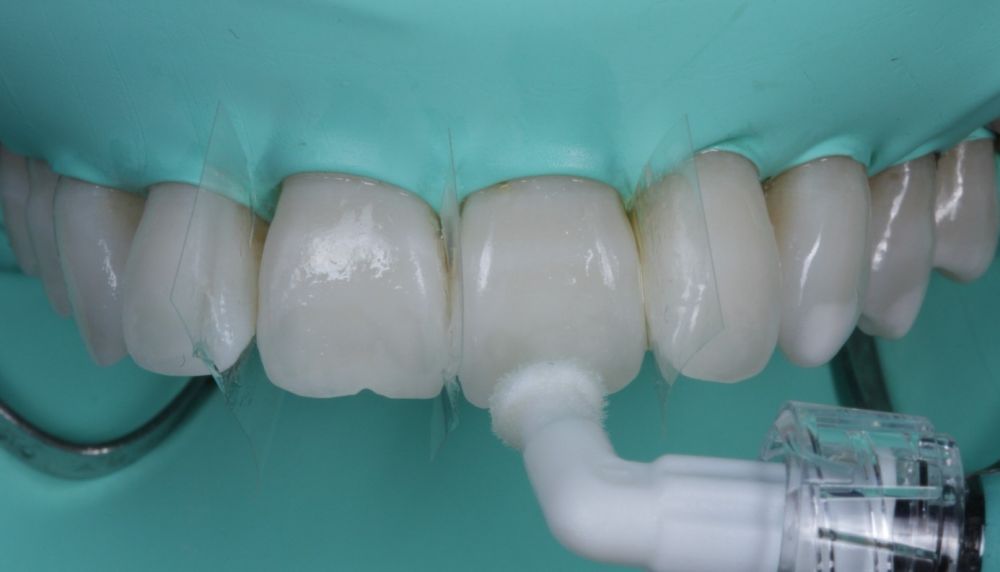
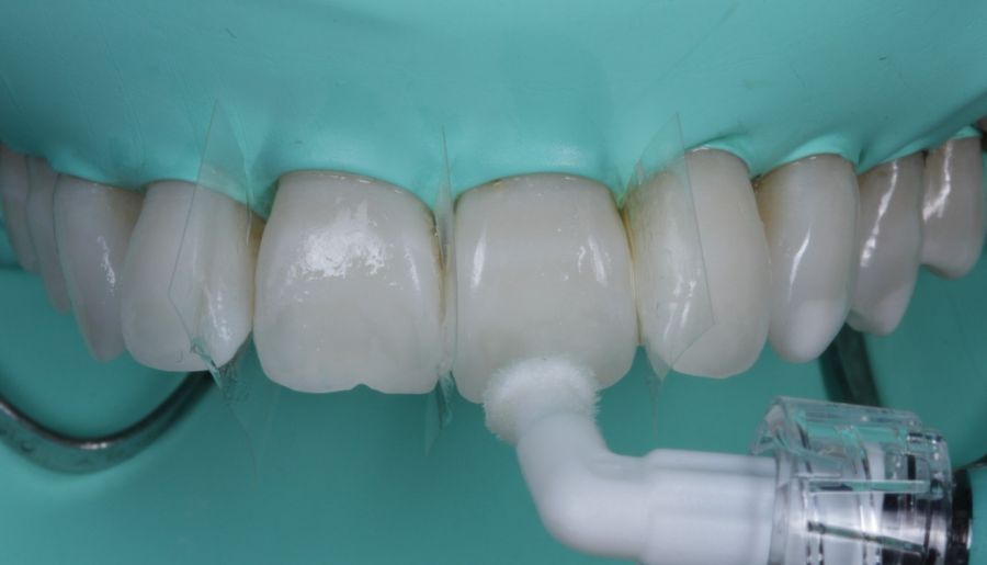
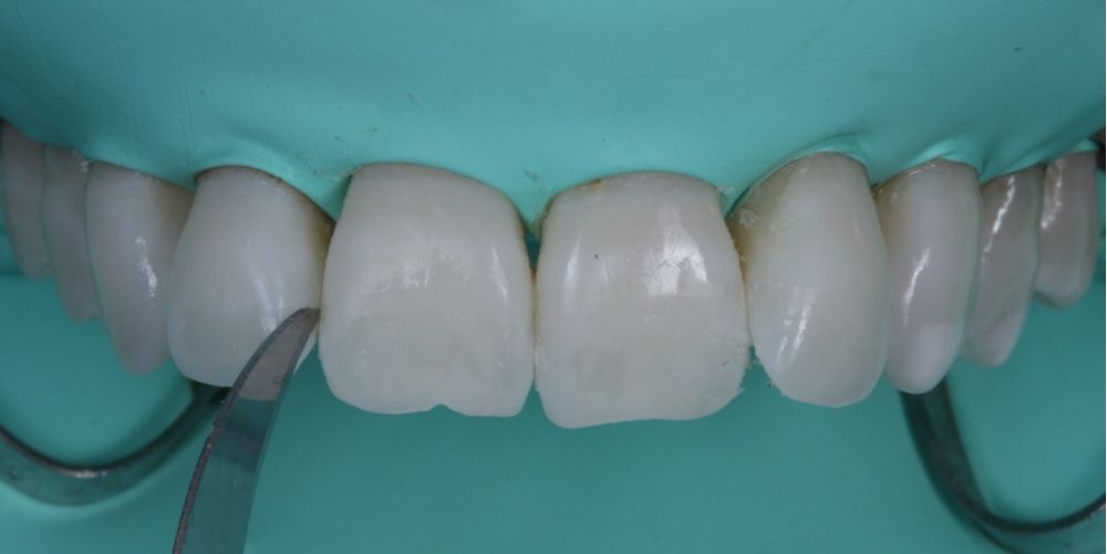
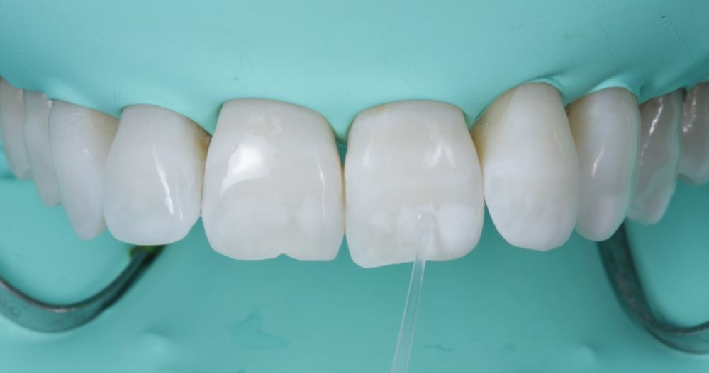
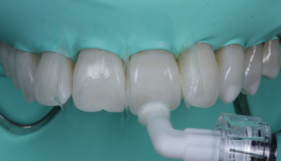
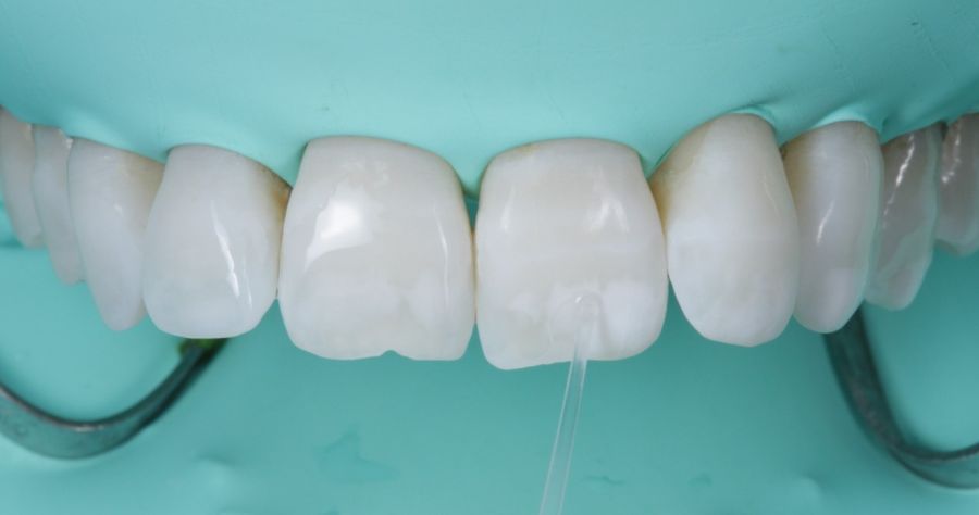
La infiltración de resina es un procedimiento microinvasivo, empleado inicialmente para el tratamiento de lesiones de caries interproximales no cavitadas, y cuyo uso en los últimos años se ha expandido para el tratamiento estético de las LMBs. Se basa en el acondicionamiento de la superficie adamantina con ácido clorhídrico al 15% durante 2 minutos logrando un aumento de la porosidad del esmalte superficial, la posterior deshidratación con etanol al 99% y, por último, la infiltración con una resina de baja viscosidad18, que penetra en el cuerpo de la lesión por capilaridad ocupando la microporosidad3,4,18.Es una resina de bajo peso molecular, en concreto dimetacrilato de trietilenglicol (TEGDMA), que mejora las propiedades ópticas de la lesión al tener un IR de 1.52, similar al del esmalte sano (1.62), produciéndose un enmascaramiento de la lesión. Se ha observado su eficacia en el tratamiento de las LMBs mejorando la estética de las LMBs3-5. Entre las ventajas de la infiltración destacan el que es un procedimiento microinvasivo, pues se elimina una capa mínima de esmalte, 34 µm por cada aplicación19,20, no provoca sensibilidad y se obtienen mejores resultados estéticos frente a otros procedimientos. Sin embargo, no es un tratamiento que consiga la remineralización del esmalte y en lesiones profundas no siempre se consiguen resultados satisfactorios, por lo cual hay que combinarlo con otros procedimientos como la microabrasión o, incluso, con la realización de restauraciones de composite15,16.
Sampson V, Sampson A. Diagnosis and treatment options for anterior white spot lesions. Br Dent J. 2020; 229(6):348-352.
Paula ABP, Fernandes AR, Coelho AS, Marto CM, Ferreira MM, Caramelo F, do Vale F, Carrilho E. Therapies for white spot lesions-A systematic review. J Evid Based Dent Prac. 2017; 17(1): 23-38.
Borges AB, Caneppele TM, Masterson D, Maia LC. Is resin infiltration an effective esthetic treatment for enamel development defects and white spot lesions? A systematic review. J Dent. 2017; 56:11-18.
Perdigão J. Resin infiltration of enamel white spot lesions: An ultramorphological analysis. J Esthet Restor Dent. 2020; 32(3):317-324
Farias JO, Cunha MCA, Martins VL, Mathias P. Microinvasive esthetic approach for deep enamel white spot lesion. Dent Res J (Isfahan). 2022; 19:29.
Da Cunha Coelho ASE, Mata PCM, Lino CA, Macho VMP, Areias CMFGP, Norton APMAP, Augusto APCM. Dental hypomineralization treatment: A systematic review. J Esthet Restor Dent. 2019; 31(1):26-39.
Witkop CJ Jr. Amelogenesis imperfecta, dentinogenesis imperfecta and dentin dysplasia revisited: problems in classification. J Oral Pathol. 1988; 17(9-10):547-53.
Crawford PJ, Aldred M, Bloch-Zupan A. Amelogenesis imperfecta. Orphanet J Rare Dis. 2007; 2:17.
Collins MA, Mauriello SM, Tyndall DA, Wright JT. Dental anomalies associated with amelogenesis imperfecta: a radiographic assessment. Oral Surg Oral Med Oral Pathol Oral Radiol Endod. 1999; 88(3):358-64.
Möhn M, Bulski JC, Krämer N, Rahman A, Schulz-Weidner N. Management of Amelogenesis Imperfecta in Childhood: Two Case Reports. Int J Environ Res Public Health. 2021; 18(13):7204.
Kim YJ, Lee Y, Kasimoglu Y, Seymen F, Simmer JP, Hu JC, Cho ES, Kim JW. Recessive Mutations in ACP4 Cause Amelogenesis Imperfecta. J Dent Res. 2022; 101(1):37-45.
Novelli C, Pascadopoli M, Scribante A. Restorative Treatment of Amelogenesis Imperfecta with Prefabricated Composite Veneers. Case Rep Dent. 2021; 2021:3192882.
Bloch-Zupan A, Rey T, Jimenez-Armijo A, et al. Amelogenesis imperfecta: Next-generation sequencing sheds light on Witkop’s classification. Front. Physiol. 2023; 14:1130175.
Toupenay S, Fournier BP, Manière MC, Ifi-Naulin C, Berdal A, de La Dure-Molla M. Amelogenesis imperfecta: therapeutic strategy from primary to permanent dentition across case reports. BMC Oral Health. 2018; 18(1):108.
Cagetti MG, Cattaneo S, Hu YQ, Campus G. Amelogenesis Imperfecta: A Non-Invasive Approach to Improve Esthetics in Young Patients. Report of Two Cases. J Clin Pediatr Dent. 2017; 41(5):332-335.
Oliveira A, Felinto LT, Francisconi-Dos-Rios LF, Moi GP, Nahsan FPS. Dental Bleaching, Microabrasion, and Resin Infiltration: Case Report of Minimally Invasive Treatment of Enamel Hypoplasia. Int J Prosthodont. 2020; 33(1):105-110.
Pini NI, Sundfeld-Neto D, Aguiar FH, Sundfeld RH, Martins LR, Lovadino JR, Lima DA. Enamel microabrasion: An overview of clinical and scientific considerations. World J Clin Cases. 2015; 3(1):34-41.
Paris S, Meyer-Lueckel H, Kielbassa AM. Resin infiltration of natural caries lesions. J Dent Res. 2007; 86(7):662-666.
Kobbe C, Fritz U, Wierichs RJ, Meyer-Lueckel H. Evaluation of the value of re-wetting prior to resin infiltration of post-orthodontic caries lesions. J Dent. 2019; 91:103243.
Paris S, Meyer-Lueckel H, Cölfen H, Kielbassa AM. Resin infiltration of artificial enamel caries lesions with experimental light curing resins. Dent Mater J. 2007; 26(4):582-588.
Marouane O, Manton DJ. The use of transillumination in mapping demarcated enamel opacities in anterior teeth: A cross-sectional study. Int J Paediatr Dent. 2022; 32(1):49-55.
Arnold WH, Haddad B, Schaper K, Hagemann K, Lippold C, Danesh G. Enamel surface alterations after repeated conditioning with HCl. Head Face Med. 2015; 11:32.
Ibrahim DFA, Hasmun NN, Liew YM, Venkiteswaran A. Effects of repeated etching cycles using 15% hydrochloric acid on enamel loss and relative attenuation coefficient in resin infiltration. Photodiagnosis Photodyn Ther. 2024; 45:103989.
Schneider H, Park KJ, Rueger C, Ziebolz D, Krause F, Haak R. Imaging resin infiltration into non-cavitated carious lesions by optical coherence tomography. J Dent. 2017; 60:94-98.
Meyer-Lueckel H, Chatzidakis A, Naumann M, Dörfer CE, Paris S. Influence of application time on penetration of an infiltrant into natural enamel caries. J Dent. 2011; 39(7):465-469.
Marouane O, Douki N, Chtioui F. A Combined Approach for the Aesthetic Management of Stained Enamel Opacities: External Bleaching Followed by Resin Infiltration. Case Rep Dent. 2018; 2018:1605842
Ibrahim DFA, Venkiteswaran A, Hasmun NN. The penetration depth of Resin Infiltration into Enamel: A Systematic Review. J Int Soc Prev Community Dent. 2023; 13(3):194–207.
Athayde GDS, Reis PPGD, Jorge RC, Americano GCA, Fidalgo TKDS, Soviero VM. Impact of masking hypomineralization opacities in anterior teeth on the esthetic perception of children and parents: A randomized controlled clinical trial. J Dent. 2022; 123:104168.
Cazzolla AP, De Franco AR, Lacaita M, Lacarbonara V. Efficacy of 4-year treatment of icon infiltration resin on postorthodontic white spot lesions. BMJ Case Rep. 2018: bcr2018225639.
Knösel M, Eckstein A, Helms HJ. Long-term follow-up of camouflage effects following resin infiltration of post orthodontic white-spot lesions in vivo. Angle Orthod. 2019; 89(1):33-39.
Bourouni S, Dritsas K, Kloukos D, Wierichs RJ. Efficacy of resin infiltration to mask post-orthodontic or non-post-orthodontic white spot lesions or fluorosis – a systematic review and meta-analysis. Clin Oral Investig. 2021; 25(8):4711-4719.
Wierichs RJ, Bourouni S, Kalimeri E, Gkourtsogianni S, Meyer-Lueckel, Kloukos D. Short-term efficacy of caries resin infiltration during treatment with orthodontic fixed appliances. A randomized controlled trial. Eur J Orthod. 2023; 45(2): 115-121.
Manoharan V, Arun Kumar S, Arumugam SB, Anand V, Krishnamoorthy S, Methippara JJ. Is Resin Infiltration a Microinvasive Approach to White Lesions of Calcified Tooth Structures?: A Systemic Review. Int J Clin Pediatr Dent. 2019; 12(1):53-58.
Puleio F, Di Spirito F, Lo Giudice G, Pantaleo G, Rizzo D, Lo Giudice R. Long-Term Chromatic Durability of White Spot Lesions through Employment of Infiltration Resin Treatment. Medicina (Kaunas). 2023; 59(4):749.
Mazur M, Westland S, Ndokaj A, Nardi GM, Guerra F, Ottolenghi L. In-vivo colour stability of enamel after ICON® treatment at 6 years of follow-up: A prospective single center study. J Dent. 2022; 122:103943.

Angamarca Alvarado, Edy
Alumno del Máster en Formación Permanente en Odontología Restauradora Estética y Endodoncia. URJC.
Camacho Terciado, Silvia
Alumno del Máster en Formación Permanente en Odontología Restauradora Estética y Endodoncia. URJC.
Olea Vielba, Marina
Profesora del Máster en Formación Permanente en Odontología Restauradora Estética y Endodoncia. URJC.
Ceballos García, Laura
Directora del Máster en Formación Permanente en Odontología Restauradora Estética y Endodoncia. URJC.


















