Clinical case
Published in spanish Científica Dental Vol. 16. Nº 3. 2019 www.cientificadental.es
Extreme vertical and horizontal atrophy combined in posterior mandibular sectors; use of short implants and 2-phase ridge expansion with transitional implants: A clinical case
The objective of this work is the presentation of a clinical case in which we show two surgical techniques to solve the horizontal bone atrophy.
Currently in implant dentistry, we are increasingly faced with cases of extreme bone resorption that force us to implement different surgical dental implant techniques. The coexistence of vertical and horizontal atrophy makes successful resolution of these cases more difficult, as well as having to face these types of more complicated situations with increasing frequency, due to patients demanding implant treatment even in such very severe cases. It is not uncommon therefore to use combined techniques which include ridge expansion or short implants, for example. The following clinical case presented advanced horizontal and vertical alveolar atrophy in the right and left posterior regions of the mandible. The treatment plan included the use of short implants for the vertical atrophy and a two-stage alveolar ridge split to treat the horizontal atrophy.
Approaching the posterior sectors of the maxilla with extreme resorption is a common situation in dental practice. The loss of antral teeth produces pneumatisation of the maxillary sinus, which progressively occupies the space corresponding to the dental roots, in some cases leading to complete atrophy and in a residual bone height of 1-2 mm aft er the dental socket heals. This pneumatisation occurs over ti me aft er tooth extraction, but is unpredictable in terms of quantity and speed, and appears to be slightly related to the type of relationship that occurs between the apex and the sinus. This relationship was described by Sharan and Madjar in 2008, who established a classification with greater pneumatisation is expected in its types 3 and 4 (Figure 1)1 .

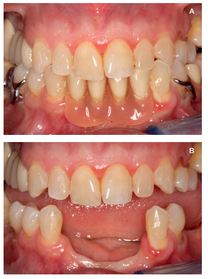
removable prosthesis and (B) the critical defects, especially at the antero-inferior level.
Until the arrival of short and extra-short implants, the only alternative treatment in these cases was sinus elevation (laterally or transcrestally), and there were different techniques and procedures for this. The attempt was to gain the lost bone volume and the subsequent insertion of conventional length implants at this level2-6.
The development of short implants and the entire technique for their use sometimes allows the insertion of implants in large posterior vertical atrophies of the maxilla, avoiding sinus elevations.
Nowadays, most authors accept short implants to be those with a length less than 8.5 mm, although there are many cases of lengths well below this figure7-9. Extra-short implants, meanwhile, have more variation in terms of their classification; although the latest articles published consider extra-short implants to be those with a length less than 7 mm10-12. These shorter implants mean less morbidity for pati ents, at the same ti me as it is now possible to rehabilitate pati ents who may refuse to have additional techniques performed. These are sinus elevation and even more complex techniques which may be contraindicated in these patients for different medical reasons13-17. These short and extra-short implants can be inserted in the atrophic areas of the maxilla directly without displacement of the lower sinus cortex and without therefore having to manoeuvre the maxillary sinus. The main surgical challenge with this technique is to achieve implant stability, since generally in these cases we are faced with little remaining bone height and with high porosity18-22. Therefore, the establishment of a careful surgical protocol based on drilling into the receptor bed depending on its condition is key to the success of these treatments13-17.
The clinical case described is of a pati ent receiving both procedures: extra-short implants inserted directly into one maxillary quadrant and a sinus lift with conventi onal length implants in the other quadrant. The evoluti on of both treatments in the same pati ent was able to be observed over eight years.
This was the case of a 58-year-old female pati ent who attended the dentist practice to assess the 16th and 17th molars for pain and mobility. On clinical examination, mobility of both was observed with suppuration at the level of the sulcus. Radiography confirmed our diagnosis of considerable bone loss and sinus perforation at the apex of both molars (Figure 2).

Both teeth were extracted and alveoli regenerated with PRGFEndoret to seal the perforation and provide the most favourable evolution possible for subsequent insertion of the implants in the area.
After two months, the dental conebeam showed the perforation had closed completely but the residual bone volume provided 2 mm of bone height only, which was insufficient to insert the implants (Figures 3 and 4).

horizontal resorption of the antero-inferior sector in the incisor
area; (A) area corresponding to tooth 42 (B) area corresponding
to tooth 32 (C) Planning of the expander implant in the CT cut.

Therefore, it was decided to carry out a sinus lift using biomaterial (bovine hydroxyapatite) bound to PRGFEndoret. The elevation was performed and after five months a new dental cone beam displayed the quantity and quality of the graft obtained for the insertion of dental implants. In the cuts corresponding to the molars of the first quadrant, we observed excellent consolidation of the graft with space to insert 13 mm implants. Today, we would not choose this implant length, since studies published by our group with short and extra-short implants support their use, in addition to showing their diameter is more important than the length to distribute the loads of an already integrated implant; where an 8.5 mm length implant would work in the same way as a 13 mm implant of the same diameter18.
Back in 2007, the therapeutic protocol for these cases was very different (Figures 5-7), with short implants without full development – and without studies demonstrating the importance of diameter over implant length – efforts were focused on the search for anchorage by implant length instead of looking for the bicortical (vestibular-lingual) stability that short and wide implants perform. During this ti me, the failure of molars 46 and 47 also occurred; these were also extracted and replaced with dental implants.


the drilling soaked in freshly activated PRGF-Endoret, ready for
placement.

Six months after implant placement, the final prosthesis was made by using a cemented bridge. This prosthetic protocol is also not one we currently use, where tightness, sealing and the use of screw-retained prostheses using an intermediate or transepithelial component prevail. However, at that ti me, this type of rehabilitation and the conformation of a “bio” emergence profile in the abutments was how these cases were treated (Figure 8)13-18. The implementation of transepithelial implants in screw-retained prostheses opens a new horizon in the prosthesis, changing our working group protocol of towards an improvement in the implant-prosthesis seal, at the same ti me as prosthetic imbalance is reduced (due to taking the impression directly on the transepithelial and not on the implant connection) and tightness is improved; which reduces the risk of peri-implantitis, among other things19-20.

Aft er 4 years, the second and third quadrant molars began to have excessive mobility and serious periodontal problems, so it was decided to remove them and regenerate the alveoli with PRGF-Endoret. Once the area was regenerated (a month and a half later), a conebeam was performed to evaluate the residual bone volume. It can be seen how there was an uneven bone crest with areas of 3.3 mm in height up to a maximum of 7 mm (Figures 9 and 10). On this occasion, due to the protocol change described above, we opted for the direct insertion of extra-short implants, since the surgical protocols to address this type of situation in 2011 varied substantially, with these implants being a first-line tool for the treatment of this type of atrophy (Figure 11). Two extra-short implants were selected (5.5 mm diameter x 6.5 mm length for tooth 26, and 6 mm diameter x 5.5 mm length for tooth 27).


implants and (B) radiography with immediate anterior loading prosthesis and posterior progressive loading prosthesis.

Six months aft er the insertion of the extra-short implants, the final prosthesis was inserted; in this case, screwed and with an intermediate (transepithelial) component; just as the lower prosthesis in the third quadrant was made. At this point in ti me, the philosophy of work using a screwretained prosthesis with a transepithelial and the search for tightness and passive fi t were the dominant concerns for implant rehabilitation, and this is sti ll so today (Figure 12).
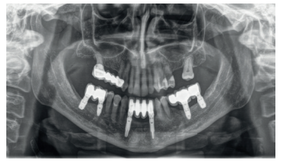
Finally, the stability of both treatments can be seen in the final X-ray at 8 years of age, where both are stable without bone loss (Figure 13).
Therapeutic protocols in implantology have evolved markedly in recent years, moving towards minimally invasive approaches, without renouncing reliability. Therefore, short and extra-short implants are an option used increasingly to avoid aggressive surgeries with high morbidity, and are also an alternative for the rehabilitation of the atrophic posterior maxilla in height, avoiding having to use techniques to lift the sinus when the residual bone height allows15-17.
Since the description of the conventional sinus lift ing technique (lateral window) by Tatum in 198622, this procedure has been used for the rehabilitation of posterior maxillary sectors with vertical atrophy, with highly successful rates, currently around 98%, and long-term follow-up (over 15 years)26-27. A drawback of this technique is that it can cause perforation of the Schneiderian membrane and, although today this is no longer an exclusion for the insertion of implants in the same surgery (depending on the extent of the perforation and the case), when this perforation occurs, the success rates of implants inserted in these areas decreases to 88.6%6 . In addition, the need for several surgeries together with a greater increase in patient morbidity, make us opt for less invasive techniques, such as short implants. When inserted in edentulous posterior sectors with elevated vertical resorption, these implants have a lower rate of surgical and prosthetic complications and less marginal bone loss; they are therefore a reliable alternative to bone augmentation procedures and subsequent implant insertion28.
Summers in 1994 described the first variation of the lateral approach technique with a modification to reduce its invasiveness. This technique consists of an approach from the alveolar crest through the use of progressive calibre osteotomes that make a hole that serves both for the elevation of the Schneiderian membrane and the subsequent placement of the dental implant29. This technique has been widely used for the crestal approach of the extreme posterior resorption of the maxilla, with survival figures of the inserted implants between 88.65%30 and 100%31.
Other techniques have been used to approach the atrophic posterior maxilla to varying degrees; such as bone distraction, zygomatic implants, en bloc grafts and guided bone regeneration. All of them have similar success rates to the two shown in this clinical case; with the short and extra-short implants being the ones with the lowest rate of complications and morbidity for the patient32-35.
Long-term survival of short implants also has a very similar rate to that of long implants with sinus lift; therefore, both can be considered as the technique of choice. However, from the point of view of morbidity, the short implants are the better alternative36-37.
In the clinical case described, both therapeutic alternatives show successful treatment for this clinical situation and this specific patient, and can be considered equally valid for resolving the vertical atrophy of the maxilla. For cases with a higher degree of vertical atrophy or those with different bone density and residual volume, the application of one or another technique must be assessed for the success of the treatment.
Branemark PI, Hansson BO, Adell R et al. Osseointegrated titanium implants in the treatment of the edentulous jaw. Scand J Plast Reconstr Surg 1977; 11 (Suppl.16): 1-175.
Albrektsson T, Donos N; Working Group 1. Implant survival and complications. The Third EAO consensusconference 2012. Clin Oral Implants Res 2012; 23 (Suppl. 6): 63-65.
Pramstraller M, Schincaglia GP, Vecchiatini R, Farina R, Trombelli L. Alveolar ridge dimensions in mandibular posterior regions: a retrospective comparative study of dentate and edentulous sites using computerized tomography data. Surg Radiol Anat 2018; 40: 1419-1428.
Marcello-Machado RM, Bielemann AM, Nascimento GG, Pinto LR, Del Bel Cury AA, Faot F. Masticatory function parameters in patients with varying degree of mandibular bone resorption. J Prosthodont Res 2017; 61: 315-323.
Aragão JA, Souto ML, Mateus CR, Menezes Ldos S, Reis FP. Edentulousness in relation to remodeling of the gonial angles and incisures in dentate and edentate mandibles: morphometric study using the Image J software. Surg Radiol Anat 2014; 36: 889-94.
Camps-Font O, Burgueño-Barris G, Figueiredo R, Jung RE, Gay-Escoda C,- Valmaseda-Castellón E. Interventions for dental implant placement in atrophic edentulous mandibles: vertical bone augmentation and alternative treatments. A meta-analysis of randomized clinical trials. J Periodontol 2016; 87: 1444-1457.
Hagi D, Deporter DA, Pilliar RM, Arenovich T. A targeted review of study outcomes with short (< or = 7 mm) endosseous dental implants placed in partially edentulous patients. J Periodontol 2004; 75: 798-804.
Monje A, Chan HL, Fu JH, Suarez F, Galindo-Moreno P, Wang HL. Are short dental implants (<10 mm) effective? A meta-analysis on prospective clinical trials. J Periodontol 2013; 84: 895-904.
Renouard F, Nisand D. Impact of implant length and diameter on survival rates. Clin Oral Implants Res 2006; 17 (Suppl 2): 35-51.
Hong DGK, Oh J H. Recent advances in dental implants. Maxillofac Plast Reconstru Surg 2017; 39 (1): 33-39.
Pohl V, Thoma DS, Sporniak-Tutak K, Garcia-Garcia A, Taylor TD, Haas R, Hammerle CH. Short dental implants (6 mm) versus long dental implants (11–15 mm) in combination with sinus floor elevation procedures: 3-year results from a multicentre, randomized, controlled clinical trial. J Clin Periodontol 2017; 44: 438-445.
Srinivasan M, Vazquez L, Rieder P, Moraguez O, Bernard JP, Belser UC. Efficacy and predictability of short dental implants (<8 mm): a critical appraisal of the recent literature. Int J Oral Maxillofac Implants 2012; 27: 1429-1437.
Rossi F, Lang NP, Ricci E, Ferraioli L, Marchetti C, Botticelli D. Early loading of 6-mm-short implants with a moderately rough surface supporting single crowns-a prospective 5-year cohort study. Clin Oral Implants Res 2015; 26: 471-477.
Rossi F, Botticelli D, Cesaretti G, De Santis E, Storelli S, Lang NP. Use of short implants (6 mm) in a single-tooth replacement: a 5-year follow-up prospective randomized controlled multicenter clinical study. Clin Oral Implants Res 2016; 27: 458-464.
Gulje F, Abrahamsson I, Chen S, Stanford C, Zadeh H, Palmer R. Implants of 6 mm vs. 11 mm lengths in the posterior maxilla and mandible: a 1-year multicenter randomized controlled trial. Clin Oral Implants Res 2013; 24: 1325-1331.
Esposito M, Pistilli R, Barausse C, Felice P. Three-year results from a randomised controlled trial comparing prostheses supported by 5-mm long implants or by longer implants in augmented bone in posterior atrophic edentulous jaws. Eur J Oral Implantol 2014; 7: 383-395.
Elnayef B, Monje A, Lin GH, Gargallo-Albiol J, Chan HL, Wang HL, Hernandez-Alfaro F. Alveolar ridge split on horizontal bone augmentation: A systematic review. Int J Oral Maxillofac Implants 2015; 30: 596-606.
Demarosi F, Leghissa GC, Sardella A, Lodi G, Carrassi A. Localised maxillary ridge expansión with simultaneous implant placement: A case series. Br J Oral Maxillofac Surg 2009; 47: 535-40.
Basa S, Varol A, Turker N. Alternative bone expansion technique for immediate placement of implants in the edentulous posterior mandibular ridge: a clinical report. Int J Oral Maxillofac Implants 2004; 19: 554-8.
Agabiti I, Botticelli D. Two-stage ridge split at narrow alveolar mandibular bone ridge Oral Maxillofac Surg 2017; 75: 2115.
Anitua E, Begoña L, Orive G. Controlled ridge expansion using a two-stage splitcrest technique with ultrasonic bone surgery. Implant Dent 2012; 21: 163-70.
Anitua E, Begoña L, Orive G. Two-stage split-crest technique with ultrasonic bone surgery for controlled ridge expansion: a novel modified technique. Oral Surg Oral Med Oral Pathol Oral Radiol Endod 2011; 112: 708-10.
Raghoebar GM, Meijndert L, Kalk WW, Vissink A. Morbidity of mandibular bone harvesting: a comparative study. Int J Oral Maxillofac Implants 2007; 22: 359-65.
Shibuya Y, Yabase A, Ishida S, Kobayashi M, Komori T. Outcomes and treatments of mal fractures caused by the split-crest technique in the mandible. Kobe J Med Sci 2014; 60: E37-42.
Thoma DS, Cha JK, Jung UW. Treatment concepts for the posterior maxilla and mandible: short implants versus long implants in augmented bone. J Periodontal Implant Sci 2017; 47: 2-12.
Anitua E, Flores J, Flores C, Alkhraisat MH. Long-term outcomes of immediate loading of short implants: a controlled retrospective cohort study. Int J Oral Maxillofac Implants 2016; 31: 1360-1366.
Anitua E, Piñas L, Begoña L, Orive G. Long-term retrospective evaluation of short implants in the posterior areas: clinical results after 10-12 years. J Clin Periodontol 2014; 41: 404-11.
Annibali S, Cristalli MP, Dell’Aquila D, Bignozzi I, La Monaca G, Pilloni A. Short dental implants: a systematic review. J Dent Res 2012; 91: 25-32.
Lee SA, Lee CT, Fu MM, Elmisalati W, Chuang SK. Systematic review and meta-analysis of randomized controlled trials for the management of limited vertical height in the posterior region: short implants (5 to 8 mm) vs longer implants (> 8 mm) in vertically augmented sites. Int J Oral Maxillofac Implants 2014; 29: 1085-97.
Anitua E, Carda C, Andia I. A novel drilling procedure and subsequent bone autograft preparation: a technical note. Int J Oral Maxillofac Implants 2007; 22: 138-145.
Anitua E. Plasma rich in growth factors: preliminary results of use in the preparation of future sites for implants. Int J Oral Maxillofac Implants 1999; 14: 529-35.

Anitua, Eduardo
Doctor in medicine. Private practice in Oral Implantology. Eduardo Anitua Clinic, Vitoria. University Institute for Regenerative Medicine and Oral Implantology – UIRMI (UPV / EHU Fundación Eduardo Anitua), Vitoria. 3 BTI Biotechnology Institute, Vitoria.











