Caso clínico
Sánchez Ruiz J, Saez Alcaide LM, Cenjor Casas CO, Cobo Vázquez CM. Manejo quirúrgico del paciente con patología pseudoquística sinusal: a propósito de un caso. Cient. Dent. 2024; 21; 3; 40-47
Manejo quirúrgico del paciente con patología pseudoquística sinusal: a propósito de un caso.
Introducción: la patología sinusal puede comprometer el éxito del tratamiento de implantes. Existe una elevada incidencia de patología sinusal. El tratamiento de esta patología puede implicar a otros profesionales, lo que supone un mayor coste sanitarios y demora en la realización de los tratamientos de implantes. El objetivo del presente artículo es presentar un caso clínico representativo de la patología pseudoquística del seno maxilar y una alternativa de su manejo quirúrgico simultáneo a la regeneración ósea requerida para su posterior rehabilitación mediante implantes, así como actualizar la evidencia científica disponible.
Caso clínico: se presenta una paciente de 46 años con una lesión pseudoquística sinusal que es remitida para rehabilitar mediante implantes en 1.4 y 1.7, por movilidad y dolor en relación a prótesis fija dentosoportada en maxilar derecho. Se realiza el tratamiento quirúrgico de exodoncias, elevación de seno maxilar y eliminación de la lesión pseudoquística de manera simultánea.
Discusión: existe controversia sobre el momento idóneo para realizar el tratamiento sinusal. Algunos estudios muestran éxito de la cirugía endoscópica simultáneamente a la eliminación de la fuente odontogénica. Otros han demostrado que realizar primero la cirugía sinusal tiene el mismo porcentaje de curación que realizar primero el tratamiento odontológico.
Conclusión: el diagnóstico de la patología y la planificación quirúrgica deben tener en cuenta el tipo de patología, la extensión y las necesidades de tratamiento del paciente. El manejo quirúrgico de la patología sinusal de manera simultánea a la regeneración ósea es una alternativa segura y beneficiosa para el paciente.
Surgical management of the patient with sinusal pseudocyst pathology: a case report
Introduction: Sinus pathology can compromise the success of implant treatments, especially in cases of poor bone availability. There is a high incidence of sinus pathology, whether it has an odontogenic cause or not. The treatment of this pathology may involve other professionals, such as otorhinolaryngologists, which means an increase in health costs derived from their care and a delay in carrying out implant treatments.
The objective of this article is to present a representative clinical case of pseudocystic pathology of the maxillary sinus and an alternative to its simultaneous surgical management with the bone regeneration required for subsequent rehabilitation using implants, as well as to update the available scientific evidence.
Clinical case: A 46-year-old patient is presented with a pseudocystic sinus lesion who is referred for rehabilitation using implants in 1.4 and 1.7, due to mobility and pain in relation to a tooth-supported fixed prosthesis in the right maxilla. The surgical treatment of extractions, maxillary sinus elevation and elimination of the pseudocystic lesion is performed simultaneously.
Conclusion: The diagnosis of pathology and surgical planning must take into account the type of pathology, the extent and the treatment needs of the patient. The surgical management of sinus pathology simultaneously with bone regeneration is a safe and beneficial alternative for the patient.
Keywords: Lingual frenulum; Frenectomy; Ankyloglossia.
El European Position Paper on Rhinosinusitis and Nasal Polyps (EPOS) de 2020 define la sinusitis o rinosinusitis como una enfermedad caracterizada por una inflamación aguda o crónica de uno o más senos paranasales1. La etiología de las patologías de los senos nasales puede ser infecciosa, traumática, quística, tumoral, alérgica, irritativa o iatrogénica2,3. Además, los factores ambientales y genéticos del huésped pueden contribuir a su desarrollo. Otros factores, como el tabaco, influyen en una mayor incidencia de sinusitis crónica3.
La sinusitis aparece con mayor frecuencia en la quinta década de la vida y de forma unilateral, registrando como etiología principal las causas odontogénicas y iatrogénicas4,5.
La sinusitis odontogénica representa del 10% al 51,8% de los casos de rinosinusitis maxilar debido al paso de microorganismos desde tejidos periapicales infectados, produciendo patología aguda o crónica6,7. La flora microbiana de la sinusitis odontogénica es polimórfica, en la que predominan los gérmenes anaerobios como el Streptococcus alfa hemolítico, estreptococos microaerófilos, Staphylococcus aureus y Streptococcus pyogenes, aunque también pueden estar presentes gérmenes anaerobios como los bacilos Gram negativos, Peptostreptococcus, Fusobacterium sporulatum y Propionibacterium acnes8,9.
La presencia de periodontitis apical y enfermedades periodontales aumentan el riesgo de sinusitis maxilar. La periodontitis apical y marginal representa el 83% de todas las causas dentales de sinusitis maxilar, afectando al 75% de los pacientes con rinosinusitis maxilar unilateral sintomática sometidos a tratamiento quirúrgico10-12.
La causa iatrogénica más frecuente de sinusitis odontogénica es la exodoncia de dientes antrales, así como la migración de raíces del tercer molar superior. Además, el aumento de tratamientos con implantes y las técnicas de regeneración ósea en el maxilar posterior se relacionan con un aumento de casos de sinusitis13,14.
Existe una amplia variedad de clasificaciones de la patología de los senos nasales basadas en el espesor de la mucosa sinusal o la opacificación del seno maxilar observada en pruebas radiológicas15-17. Sin embargo, estas clasificaciones tienen limitaciones a la hora de determinar el tipo de patología sinusal18-20. DiGirolamo y cols. propusieron una clasificación que permite estandarizar los valores de referencia del engrosamiento mucoso y su extensión e identificar una causa odontogénica o disventilación de la patología de los senos nasales y paranasales, mediante la evaluación de la tomografía computarizada y la CBCT21.
La patología sinusal representa un problema de salud creciente con relevancia para los tratamientos quirúrgicos orales. El odontólogo debe conocer la incidencia y las diferentes patologías sinusales, así como su relación con los tratamientos odontológicos. El diagnóstico de la patología sinusal permite establecer un tratamiento individualizado según el tipo de patología sinusal.
El objetivo del presente artículo es presentar un caso clínico representativo de la patología pseudoquística del seno maxilar y una alternativa de su manejo quirúrgico simultáneo a la regeneración ósea requerida para su posterior rehabilitación mediante implantes.
Se presenta el caso clínico de una paciente de 46 años que acudió remitida por su odontólogo habitual por movilidad y dolor en relación a prótesis fija dentosoportada en maxilar derecho, con pilares de prótesis en el canino superior derecho (1.3), primer premolar superior derecho (1.4) y segundo molar superior derecho (1.7).
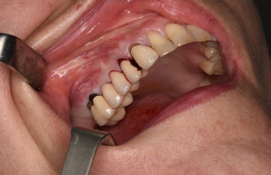
En la historia clínica, no se evidenciaron antecedentes médico-quirúrgicos de interés, alergias medicamentosas conocidas, ni hábitos tóxicos y no presentaba tratamiento médico habitual. Se observó a la exploración intraoral la movilidad de la prótesis fija y caries bajo las coronas con afectación radicular de los pilares 1.4 y 1.7 (Figura 1).
En la exploración radiográfica mediante escáner se apreció una lesión apical de pequeño tamaño en el 1.4 y una escasa disponibilidad ósea. Además, se observó imagen radioopaca cupuliforme de 3 x 2,8 cm en el seno maxilar derecho, compatible con un pseudoquiste sinusal (Figura 2). La extensión craneal alcanzaba la mitad superior del seno maxilar y el volumen de la lesión (5 cm³) era aproximadamente ⅓ del volumen sinusal (Figuras 3 y 4).
Se planificó la exodoncia de los dientes 1.4 y 1.7, cortando la prótesis distal al diente 1.3 y la realización de una elevación de seno maxilar derecha abierta simultánea a la eliminación del pseudoquiste sinusal. Posteriormente su odontólogo habitual rehabilitará el caso con implantes dentales. Se explicó el procedimiento a la paciente y se obtuvo el consentimiento informado para la intervención.
La intervención se llevó a cabo bajo anestesia local mediante técnica infiltrativa con Articaina/Epinefrina 40 mg/ml + 10 microgramos/ml solución inyectable (Inibsa®, Lliçà del Vall, Barcelona, España), de los nervios alveolares superiores derechos posterior y medio, nervio infraorbitario derecho con la técnica intraoral y nervio palatino anterior a nivel del agujero palatino posterior. Se realizó la sección de la prótesis distal a la corona 1.3 con turbina y fresa de Lindemann, y se procedió a la exodoncia de los pilares de la prótesis 1.4 y 1.7, y el legrado minucioso de sus lechos alveolares y del granuloma apical de 1.4.
El abordaje quirúrgico del seno se realizó mediante un colgajo a espesor total trapezoidal con una incisión supracretal con descargas verticales vestibulares mesial a 1.3 y distal a 1.7 (Figura 5).
La ostectomía de acceso al seno maxilar en la pared anterior y lateral del seno maxilar de 2.5×0,8 cm se realizó con bisturí piezoeléctrico con inserto de osteotomía de diamante no dentado y abundante irrigación con suero salino (Figura 6). A continuación, se despegó la cortical y se sumergió en suero fisiológico hasta el final de la intervención (Figura 7). Se procedió a incidir la mucosa de Schneider en la zona más superior de la ventana, de mesial a distal en toda la anchura de la ostectomía, hasta penetrar en la luz del pseudoquiste (Figuras 8 y 9). Se realizó el aspirado del contenido del pseudoquiste y el epitelio del pseudoquiste se retiró cuidadosamente con una cucharilla de legrado y curetas de elevación (Figuras 10 y 11). Posteriormente, se desinfectó la cavidad con povidona yodada e irrigación con abundante suero salino. Una vez eliminado el pseudoquiste se procedió al despegamiento de la membrana de Schneider según la técnica habitual de elevación de seno maxilar abierta (Figura 12). Tras comprobar un correcto despegamiento de la membrana de Schneider se realizaron dos perforaciones con bisturí piezoeléctrico e inserto de bola de 3 mm craneales al límite superior de la ostectomía inicial (Figura 13). Se suturó la mucosa de Schneider a estas perforaciones mediante puntos simples con sutura reabsorbible 4/0 (Novosyn quick®) (Figura 14). Se colocó en el interior de la cavidad, en la zona superior, una membrana reabsorbible de colágeno (Geitlisch Bio-Guide®) que se dejó sobresalir de la cavidad hacia el exterior 1 cm (Figura 15). Se procedió al relleno de la cavidad con xenoinjerto (Geitlisch Bio-Oss® de gránulo grueso 1-2 mm) (Figura 16). La tapa de cortical que se había extraído tras la ostectomía se reposicionó y se cubrió con la membrana de colágeno que se había dejado expuesta en la zona superior (Figuras 17 y 18). Finalmente, se reposicionó el colgajo y se suturó con sutura de nylon 5/0 monofilamento no absorbible (Figura 19).
Transcurridas dos semanas, se procedió a la retirada de la sutura, observando una buena cicatrización de los tejidos blandos y ausencia de sintomatología sinusal. Se realizó control clínico y radiográfico al mes (Figuras 20 y 21), y a los 6 meses (Figuras 22, 23 y 24), donde se observó una correcta cicatrización mucosa, neoformación ósea y desaparición del pseudoquiste sinusal.
El tratamiento de la sinusitis aguda se basa en el alivio de los síntomas mediante descongestionantes tópicos e irrigación salina de la cavidad nasal. El uso de antibióticos se indica solamente en caso de que el paciente tenga fiebre o haya evidencia de propagación de la infección22.
El tratamiento de la sinusitis crónica se realiza mediante corticoides nasales. En caso de que la patología crónica o aguda sea recurrente o no responda al tratamiento médico convencional, podrá requerir tratamiento quirúrgico para restablecer la función mucociliar normal, lograr la limpieza de los senos paranasales, la permeabilidad del ostium del seno maxilar y eliminación del exceso de tejido en el meato medio. Los tratamientos quirúrgicos más utilizados son la técnica de Caldwell-Luc, con abordaje a través de la fosa canina, y la cirugía endoscópica de los senos nasales, con abordaje a través de la fosa nasal23-25.
El tratamiento de la sinusitis odontogénica requiere la eliminación del origen de la infección 26-29. Sin embargo, el 79% de las sinusitis odontogénicas no responden al tratamiento antibiótico y odontológico y requieren posteriormente tratamiento quirúrgico 30.
Existe controversia sobre el momento idóneo para realizar la cirugía de los senos nasales. Felisati y cols. mostraron una tasa de éxito del 99% después de la cirugía endoscópica de los senos paranasales simultáneamente con la eliminación de la fuente odontogénica31. Otros autores han demostrado que los pacientes que se sometieron primero a una cirugía de los senos nasales, seguida de un tratamiento dental, tienen el mismo porcentaje de curación que aquellos que se sometieron primero a un tratamiento odontológico32,33. Por otro lado, otros estudios sugieren eliminar la fuente de infección dental y realizar cirugía de los senos nasales solo si los síntomas persisten34,35.
En el presente caso, se muestra una técnica quirúrgica de eliminación de la patología pseudoquística sinusal y la eliminación de patología dentaria simultánea a la regeneración ósea requerida para la rehabilitación con implantes. Las ventajas de esta técnica son una reducción del número de procedimientos para el paciente, así como una preservación de la membrana de Schneider que no se logra en la técnica de Caldwell-Luc.
Sin embargo, este procedimiento requiere una alta experiencia y precisión debido al delicado manejo de la membrana del seno maxilar y a la meticulosidad que se requiere para retirar la patología sinusal sin contaminar la zona.
El diagnóstico de la patología y la planificación quirúrgica deben tener en cuenta el tipo de patología, la extensión y las necesidades de tratamiento del paciente. El manejo quirúrgico de la patología sinusal de manera simultánea a la regeneración ósea es una alternativa segura y beneficiosa para el paciente, siempre que el odontólogo posea capacitación y experiencia suficiente.
Fokkens WJ, Lund VJ, Hopkins C, et al. European Position Paper on Rhinosinusitis and Nasal Polyps 2020. Rhinology 2020;58(Suppl S29):1-464.
Hoffmans R, Wagemakers A, van Drunen C, et al. Acute and chronic rhinosinusitis and allergic rhinitis in relation to comorbidity, ethnicity and environment. PLoS One 2018;5;13(2):e0192330.
Wahid NW, Smith R, Clark A, et al. The socioeconomic cost of chronic rhinosinusitis study. Rhinology 2020;1;58(2):112-125.
Little RE, Long CM, Loehrl TA, et al. Odontogenic sinusitis: A review of the current literature. Laryngoscope Investig Otolaryngol 2018;25;3(2):110-114.
Rey-Martínez MH, Ruiz-Sáenz PL, Martínez-Rodríguez N, et al. Analysis of the radiological changes of the sinus membrane using cone beam computed tomography and its relationship with dental treatments. A retrospective study. Biology (Basel) 2022;11(2):165.
Psillas G, Papaioannou D, Petsali S, et al. Odontogenic maxilllary sinusitis: a comprehensive review. Elsevier Journal of dental Sciences 2021;16(1): 474-481.
Goyal VK, Spillinger A, Peterson EI, et al. Odontogenic sinusitis publication trends from 1990 to 2019: a systematic review. Eur Arch Otorhinolaryngol 2021;278(10):3857-3865.
Grygorov S, Poberezhnik G, Grygorova A. Actual issues of odontogenic maxillary sinusitis. Georgian Med News 2018;276, 46–50.
Workman AD, Granquist EJ, Adappa ND. Odontogenic sinusitis: developments in diagnosis, microbiology, and treatment. Curr Opin Otolaryngol Head Neck Surg 2018;26(1):27-33.
Lu Y, Liu Z, Zhang L, et al. Associations between maxillary sinus mucosal thickening and apical periodontitis using cone-beam computed tomography scanning: a retrospective study. J Endod 2012;38(8):1069-1074.
Sheikhi M, Pozve NJ, Khorrami L. Using cone beam computed tomography to detect the relationship between the periodontal bone loss and mucosal thickening of the maxillary sinus. Dent Res J (Isfahan) 2014;11(4):495-501.
Ince Yusufoglu S, Hasanoglu Erbasar GN, Gülen O. Evaluation of the effect of periapical lesions and other odontogenic conditions on maxillary sinus mucosal thickness characteristics and mucosal appearance: A CBCT study. J Dent Res Dent Clin Dent Prospects 2021;15(3):163-171.
Troeltzsch M, Pache C, Troeltzsch M, et al. Etiology and clinical characteristics of symptomatic unilateral maxillary sinusitis: A review of 174 cases. J Craniomaxillofac Surg 2015;43(8):1522-1529.
Zhu J, Lin W, Yuan W, et al. New insight on pathophysiology, diagnosis, and treatment of odontogenic maxillary sinusitis. J. Nanomater2021;1–6.
Maillet M, Bowles WR, McClanahan SL, et al. Cone-beam computed tomography evaluation of maxillary sinusitis. J Endod 2011;37(6):753-757.
Shanbhag S, Karnik P, Shirke P, et al. Association between periapical lesions and maxillary sinus mucosal thickening: a retrospective cone-beam computed tomographic study. J Endod 2013;39(7):853-857.
Lund VJ, Kennedy DW. Staging for rhinosinusitis. Otolaryngology-Head and Neck Surgery 1997;117(3):S35–S40.
Aksoy U, Orhan K. Association between odontogenic conditions and maxillary sinus mucosal thickening: a retrospective CBCT study. Clin Oral Investig 2019;23(1):123-131.
Shahbazian M, Vandewoude C, Wyatt J, et al. Comparative assessment of panoramic radiography and CBCT imaging for radiodiagnostics in the posterior maxilla. Clin Oral Investig 2014;18(1):293-300.
Dobele I, Kise L, Apse P, et al. Radiographic assessment of findings in the maxillary sinus using cone-beam computed tomography. Stomatologija 2013;15(4):119-122.
Di Girolamo S, Martino F, Guerrieri M, et al. Odontogenic maxillary sinusopathies: a radiological classification. J Maxillofac Oral Surg 2022;21(1):141-149.
Adelson RT, Adappa ND. What is the proper role of oral antibiotics in the treatment of patients with chronic sinusitis? Curr Opin Otolaryngol Head Neck Surg 2013;21(1):61-68.
Andric M, Saranovic V, Drazic R, et al. Functional endoscopic sinus surgery as an adjunctive treatment for closure of oroantral fistulae: a retrospective analysis. Oral Surg Oral Med Oral Pathol Oral Radiol Endod 2010;109(4):510-516.
Asmael HM. The modified Caldwell-Luc approach in retrieval of accidentally displaced root into the maxillary sinus. J Craniofac Surg 2018;29(2):e130-e131.
Sireci F, Nicolotti M, Battaglia P, et al. Canine fossa puncture in endoscopic sinus surgery: report of two cases. Braz J Otorhinolaryngol 2017;83(5):594-599.
Akhlaghi F, Esmaeelinejad M, Safai P. Etiologies and treatments of odontogenic maxillary sinusitis: a systematic review. Iran Red Crescent Med J 2015;27;17(12):e25536.
Mattos JL, Ferguson BJ, Lee S. Predictive factors in patients undergoing endoscopic sinus surgery for odontogenic sinusitis. Int Forum Allergy Rhinol 2016;6(7):697-700.
Tsuzuki K, Kuroda K, Hashimoto K, et al. Odontogenic chronic rhinosinusitis patients undergoing tooth extraction: oral surgeon and otolaryngologist viewpoints and appropriate management. J Laryngol Otol 2020;134(3):241-246.
Saibene, A.M, Collurà F, Pipolo, C, et al. Odontogenic rhinosinusitis and sinonasal complications of dental disease or treatment: Prospective validation of a classification and treatment protocol. Eur Arch Oto-Rhino-Laryngol 2019;276, 401-406.
Newsome HA, Poetker DM. Odontogenic Sinusitis: Current concepts in diagnosis and treatment. Immunol Allergy Clin North Am 2020;40(2):361-369.
Felisati G, Chiapasco M, Lozza P, et al. Sinonasal complications resulting from dental treatment: outcome-oriented proposal of classification and surgical protocol. Am J Rhinol Allergy 2013;27(4):e101-6.
Yoo BJ, Jung SM, Lee HN, et al. Treatment strategy for odontogenic sinusitis. Am J Rhinol Allergy 2021;35(2):206-212.
Taschieri S, Torretta S, Corbella S, et al. Pathophysiology of sinusitis of odontogenic origin. J Investig Clin Dent 2017;8(2).
Wang KL, Nichols BG, Poetker DM, et al. Odontogenic sinusitis: a case series studying diagnosis and management. Int Forum Allergy Rhinol 2015;5(7):597-601.
Aukštakalnis R, Simonavičiūtė R, Simuntis R. Treatment options for odontogenic maxillary sinusitis: a review. Stomatologija 2018;20(1):22-26.

Sánchez Ruiz, Juan
Práctica exclusiva en Cirugía Bucal e Implantología, Madrid, España.
Cenjor Casas, Carlos O.
Odontólogo, Servicio de Odontología y Estomatología. Hospital Universitario Fundación Jiménez Díaz, Madrid, España.
Cobo Vázquez, Carlos M.
Profesor Asociado Departamento de Especialidades Clínicas Odontológicas. Facultad de Odontología. Universidad Complutense de Madrid, Madrid, España.
Indexada en / Indexed in: – IME – IBECS – LATINDEX – GOOGLE ACADÉMICO
Correspondencia: Dr. Carlos M. Cobo Vázquez- Plaza Ramón y Cajal, 3. Department of Clinical Specialities. Faculty of Dentistry. Complutense University of Madrid. 28040 Madrid, Spain. E-mail: [email protected] +34 91 394 1964
























