Caso clínico
Iglesias Rodeiro E, Martínez-Rodríguez N, Barona Dorado C, Madrigal Martínez-Pereda C, Meniz García C, Martínez-González JM. Traumatismos bucodentales en la práctica del rugby: a propósito de un caso. Cient. Dent. 2021; 18; 5; 347-352
Traumatismos bucodentales en la práctica del rugby: a propósito de un caso
Introducción: La participación en el rugby se ha visto incrementada con el paso de los años, especialmente en países donde la práctica de este deporte no era habitual, lo que ha arrojado como consecuencia un aumento en la incidencia de lesiones, dada la naturaleza de alto impacto del mismo. Diversos estudios epidemiológicos han evaluado la incidencia de traumatismos bucodentales como consecuencia de accidentes deportivos, en los que se hace referencia a las fracturas dentarias como aquellas más comúnmente producidas dentro de la práctica de este tipo de deportes.
Descripción del caso clínico: Se presenta el caso clínico de un paciente varón de 18 años de edad, sin antecedentes médicos de interés, remitido al servicio de Cirugía Bucal del Hospital Viamed Virgen de la Paloma de Madrid, quién presentaba una lesión de tejidos blandos, además de luxación palatina del sector dentario anterosuperior, como consecuencia de un traumatismo durante un partido de rugby, para el cual se prescribió tratamiento farmacológico combinado con una ferulización, permitiéndose así la cicatrización espontánea de los tejidos.
Discusión y conclusiones: Se observa una alta incidencia de lesiones producidas durante la práctica del rugby debido al escaso equipamiento protector usado por los jugadores, donde la cara y sus tejidos blandos constituyen las zonas con mayor frecuencia de afectación, pudiendo considerarse como el deporte de alto impacto con mayor prevalencia de lesiones de cabeza y cuello.
Introduction: Participation in rugby has increased over the years, especially in countries where the practice of this sport was not common, which has resulted in an increase in the incidence of injuries given its high-impact nature. Various epidemiological studies have evaluated the incidence of oral trauma as a result of sports accidents, in which dental fractures are referred to as those most commonly produced within the practice of this type of sports.
Description of the clinical case: We present the clinical case of an 18-yearold male patient, with no relevant medical history, referred to the Oral Surgery Service of the Virgen de la Paloma Viamed Hospital in Madrid, who presented a soft tissue lesion in addition to a palatal dislocation of the dental sector. anterosuperior as a result of trauma during a rugby match, for which drug treatment combined with splinting was prescribed, thus allowing spontaneous tissue healing.
Discussion and conclusions: A high incidence of injuries produced during rugby practice is observed due to the scarce protective equipment used by the players, where the face and its soft tissues constitute the areas with the highest frequency of affectation and can be considered as the high-impact sport with the highest prevalence of head and neck injuries.
El rugby es uno de los deportes de contacto cuya práctica se encuentra más extendida alrededor de todo el mundo, practicándose en más de 100 países. Su origen ha sido documentado en Inglaterra, en el año 1823, desde donde se ha extendido en primer lugar a países vecinos europeos como Francia, Escocia e Irlanda, hasta llegar a su popularización en los Estados Unidos, donde se considera el deporte nacional por excelencia1 . En España se ha visto un incremento en la práctica de este deporte en los años más recientes. La importancia de este hecho radica en que existe un riesgo asociado de lesiones de cabeza y cuello a la práctica de este deporte, donde destacan, entre otras lesiones, los traumatismos bucodentales, debido a la naturaleza agresiva del mismo y al escaso equipo protector portado durante su práctica y, por tanto, un aumento en la población que se desempeña en este deporte conllevará a un aumento en la incidencia de las mismas2 . La causa de estas lesiones tiene su origen más común en caídas producidas durante las jugadas y en colisiones entre jugadores, pudiendo producirse lesiones tanto en tejidos blandos orales y periorales como lesiones de tejidos duros, bien sea sobre dientes o sobre el tejido óseo, las cuales, de no ser tratadas con brevedad o de manera adecuada, pueden acarrear consecuencias traumatológicas irreversibles, tanto musculoesqueléticas como dentales. Además de realizar un adecuado tratamiento de este tipo de lesiones, es importante hacer énfasis en la prevención de las mismas mediante el uso de el protector bucal como dispositivo protector por excelencia, debido a su habilidad de disipar y absorber las fuerzas producidas durante un traumatismo, además de haberse demostrado su efectividad para prevenir no sólo las lesiones dentales sino también aquellas asociadas a la articulación temporomandibular (ATM) y al cerebro; sin embargo, su uso no es obligatorio para los jugadores y no se encuentra regulado dentro del ámbito legal que engloba la práctica del rugby3 .
El objetivo de esta publicación es describir un caso clínico de traumatismo bucodental producido durante la práctica del rugby, estudiando el momento en el que se produce la lesión, su extensión, sintomatología y manifestaciones clínicas, así como su tratamiento y evolución.
Paciente varón de 18 años de edad, remitido al Servicio de Cirugía Bucal y Maxilofacial del Hospital Viamed Virgen de La Paloma de Madrid inmediatamente tras haber sufrido traumatismo facial durante un partido de rugby. Refiere que el impacto facial se produjo durante un salto contra un jugador contrario, que impactó su hombro contra la zona perioral, no produciéndose pérdida de conocimiento, pero sí dolor, suspendiendo en el momento su actividad deportiva. Tras el incidente fue trasladado al servicio de urgencias del Hospital Virgen de la Paloma. El paciente afirma haber hecho uso del protector bucal durante su actividad deportiva, el cual corresponde con un protector bucal estándar de tipo “Boil and bite” adaptado a la anatomía del paciente (Figura 1).

En la anamnesis no se encontraron antecedentes médicos de interés. En la exploración extraoral llama la atención la presencia de edema extraoral intenso asociado a la totalidad del labio inferior, además de observarse una herida erosiva en la zona mentoniana (Figura 2). La palpación del reborde infraorbitario, así como la movilidad ocular, fueron normales. Asimismo, la exploración del arco cigomático y reborde mandibular se consideraron dentro de los límites habituales.

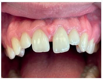
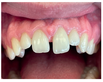
La inspección intrabucal permitió observar una disminución de la apertura bucal, junto a una herida incisocontusa a nivel de la cara interna del labio inferior, la cual fue suturada en urgencias. Al observar la oclusión se vio que el paciente presentaba ligera luxación palatina de los dientes anterosuperiores, los cuales, dada la situación de mordida abierta del paciente, no imposibilitaban la oclusión (Figura 3). Dicho grupo dental presentaba ligera movilidad y dolor a la percusión vertical y horizontal, presentándose todos ellos con vitalidad positiva. Los tejidos blandos se observaron con características de normalidad.

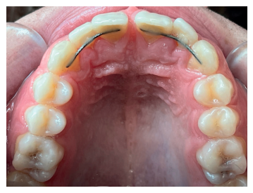
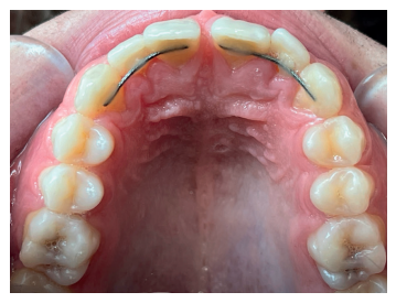
Como prueba complementaria se solicitó un estudio CBCT, en el que se observaron signos de fractura leve de la cortical vestibular en la zona del incisivo central superior derecho, a nivel del tercio medio radicular (Figura 4), por lo que se procedió a realizar la ferulización de todo el sector anterosuperior (Figura 5).


Se prescribió tratamiento sintomático con ibuprofeno 600 mg (1 comprimido cada 8 horas), y metamizol magnésico en función de sus necesidades. Asimismo, se aconsejaron enjuagues con clorhexidina.
El paciente fue revisado a los 7 días, en los que el edema labial disminuyó de forma considerable, se produjo la cicatrización de la herida erosiva extraoral y se descartaron signos y síntomas de necrosis pulpar, verificando la vitalidad de todo el sector anterosuperior, así como la ausencia de cambio de color del mismo. Además, tras haber desaparecido el trismo producido tras el traumatismo, se realizó la exploración clínica de la ATM, la cual resultó normal, por lo que se descartó la necesidad de exploración imagenológica de la misma.
Durante los controles postoperatorios a los 15, 30 y 45 días, fue revisado hasta observar ausencia de la sintomatología presentada y los tejidos intra y extraorales con características de normalidad, por lo que el paciente fue dado de alta.
La Federación Dental Internacional (FDI) clasifica al rugby, junto a otros deportes de alto impacto como el hockey sobre hielo, el fútbol americano o diversos tipos de artes marciales, como un deporte de alto riesgo en lo que a la incidencia de traumatismos bucodentales se refiere. Considerando la creciente popularidad que ha adquirido la práctica del rugby en los últimos años, existen escasos estudios que evalúen la incidencia de este tipo de lesiones asociadas a la práctica de este deporte. Los estudios más recientes publicados centran sus objetivos en analizar principalmente los tipos de lesiones producidas. Ejemplo de ello es el estudio realizado por Nonoyama y cols.3 , en el cual evalúan los tipos de lesiones dentales más comúnmente producidas durante la práctica de este tipo de deportes, entre las que figuraban la fractura coronal, con una incidencia del 44,8%, seguida por la luxación, con una incidencia de 25,9%. Por su parte, Muller-Bolla y cols.4 estudian también la prevalencia de traumatismos bucodentales entre jugadores de rugby, encontrando que las lesiones más comunes corresponden con fracturas dentarias y luxaciones, alcanzando una prevalencia del 69,26% de lesionados. De la misma manera, Ilia y cols.5 publican un estudio similar en el que evidencian que las fracturas dentarias y las avulsiones constituyen las lesiones más comúnmente presentadas, alcanzando un 15,89% y 12,40% de prevalencia. La incidencia de este tipo de traumatismos reportada dentro del Servicio de Cirugía Bucal y Maxilofacial del Hospital Viamed Virgen de La Paloma de Madrid puede verse reflejada en la Tabla. Entre todos los casos reportados en el año 2018, el 14,3% de los traumatismos tratados correspondió con traumatismos bucodentarios, observándose como la lesión más común fue el traumatismo maxilofacial, representado por el 57% de los casos6 .

Es importante mencionar que el único equipamiento deportivo que se porta durante la práctica del rugby es el protector bucal, cuyo principal objetivo es prevenir los traumatismos bucodentales, así como también disminuir las consecuencias traumatológicas asociadas a los mismos. Llama la atención que, a pesar de la naturaleza inherentemente agresiva de este deporte, tanto la FDI como los marcos legales que engloban la práctica del rugby, establecen como recomendable el uso del protector, en lugar de obligatorio. Ya en el año 1989 Chapman y cols.7 publicaban un estudio en el que se encuestaron 22 jugadores de rugby profesionales, de los cuales el 95% admitía estar en conocimiento de la capacidad del protector bucal de evitar los traumatismos bucodentales a través de su uso efectivo durante la práctica deportiva, pero sólo un 50% realizaba un uso continuado del mismo durante los encuentros. Adicionalmente, existen estudios en los que, además de recomendarse el uso continuado del protector bucal, se hace hincapié en la necesidad de que el mismo sea realizado a medida del jugador, ya que se ha evidenciado que la prevalencia de traumatismos bucodentales en jugadores que realizaron uso de protectores bucales prefabricados fue más alta que en aquellos que utilizaban uno hecho a medida8,9. La literatura científica reporta que existen principalmente tres tipos de protectores bucales10-12:
- Protectores bucales de serie: fabricados en materiales plásticos con al menos 3 mm de espesor que se presentan principalmente en tres tallas y que funcionan mientras el paciente los mantiene en posición haciendo presión mediante la oclusión, imposibilitando así el habla y la respiración bucal.
- Protectores bucales estándar: dentro de los cuales se distinguen principalmente dos tipos:
- A “Boil and bite” o “hierve y muerde”: fabricados en materiales termoplásticos que deben ser sumergidos en agua hirviendo durante un tiempo establecido determinado por el fabricante y llevados a boca para crear una huella en negativo de los dientes del paciente, lo que favorece la sujeción durante su uso, pero no asegura los espesores necesarios para una protección efectiva.
- B. Reforzados: fabricados con un núcleo de cloruro de polivinilo dentro de una matriz de metacrilato o silicona, lo que aporta mayor rigidez.
- Protectores bucales hechos a medida: realizados por el dentista a la medida del jugador mediante el uso de materiales termoplásticos inyectados o bajo presión o mediante resinas ortodónticas en proporciones polvo – líquido, garantizando un espesor entre 3,5 a 4 mm, mejorando así su adaptabilidad, desempeño y función protectora.
De la misma manera, existen estudios cuyo objetivo es relacionar de forma directa la prevalencia de los traumatismos bucodentales con el uso del protector bucal. Es el caso del estudio publicado por Chapman y cols.1 , en el que se evaluó la prevalencia de traumatismos bucodentales asociados al uso o no del protector bucal durante la práctica del rugby. Dentro de este estudio se incluyeron 3 equipos deportivos donde existieron una cantidad de lesionados, dentro de los cuales resaltan que el porcentaje de traumatizados que no utilizaban el protector durante los encuentros deportivos alcanzaba el 90% del total de los traumatizados, constituidos en su mayoría por forwards o jugadores delanteros. Llama la atención que la severidad de este tipo de lesiones y su frecuencia suele estar estrechamente relacionada con el tipo de liga o equipo a la que el jugador pertenezca. Así lo demuestra el estudio realizado por Schildknecht y cols.13, en el cual se estudian y comparan cuatro tipos de ligas de rugby entre las que incluyen la liga juvenil, la liga premier, la liga femenina y la liga nacional masculina, siendo ésta última en la que sus jugadores, en su mayoría forwards, sufrieron un mayor índice de traumatismos bucodentales, alcanzando hasta un 11% comparado con otras lesiones del macizo maxilofacial.
Adicionalmente, se evidencia que el género también se encuentra relacionado con la incidencia de traumatismos durante la práctica del rugby, encontrándose una relación directamente proporcional entre el género masculino y la cantidad y severidad de las lesiones producidas, mientras que el género femenino sufre menos cantidad de traumatismos y los mismos suelen ser menos severos. Esta diferencia radica en que los jugadores varones suelen ser más agresivos durante el desempeño deportivo, además de que la envergadura física en los varones suele ser más potente y contundente14, fenómeno que se mantiene tanto para ligas de jugadores adultos como para ligas juveniles15-19.
Tomando como referencia estos datos podemos concluir que el rugby constituye un deporte de alto impacto, el cual, por su naturaleza inherentemente agresiva, se encuentra clasificado como uno de los deportes con mayor prevalencia de lesiones y bucodentales. Este factor se ve agravado por el hecho de la no obligatoriedad del uso de protector bucal como dispositivo protector por excelencia debido a que los jugadores, a pesar de estar en conocimiento de su efectividad, no sólo en la prevención de las lesiones sino además en la disminución de las consecuencias traumatológicas de las mismas, no realizan un uso continuado de éste, aumentando por ende el riesgo asociado de traumatismos a esta práctica. Resulta entonces determinante que las asociaciones deportivas exijan a los organismos reguladores deportivos que se establezca como obligatorio el uso del protector bucal por parte de los jugadores, sobre todo en aquellas ligas profesionales donde la prevalencia de lesiones es aún mayor.
Chapman PJ. The prevalence of orofacial injuries and use of mouthguards in Rugby Union. Aust Dent J 1985;30(5):364-7.
Oliveira Werlich M, Honnef LR, Silva Bett JV, Domingos FL, Pauletto P, Mendes de Souza BD. Prevalence of dentofacial injuries in contact sports players: A systematic review and meta-analysis. Dent Traumatol 2020;36(5):477-88.
Nonoyama T, Shimazaki Y, Nakagaki H, Tsuge S. Descriptive study of dental injury incurred by junior high school and high school students during participation in school sports clubs. Int Dent J 2016;66(6):356-65.
Muller-Bolla M, Lupi-Pegurier L, Pedeutour P, Bolla M. Orofacial trauma and rugby in France: epidemiological survey. Dent Traumatol 2003;19(4):183-92.
Ilia E, Metcalfe K, Heffernan M. Prevalence of dental trauma and use of mouthguards in rugby union players. Aust Dent J 2014;59(4):473-81.
Iglesias E. Repercusiones maxilofaciales de la práctica de Rugby en España. Estudio piloto. Universidad Complutense de Madrid. 2021.
Chapman PJ. Players’ attitudes to mouthguards and prevalence of orofacial injuries in the 1987 U.S. Rugby Football Team. Am J Sports Med 1989;17(5):690-1.
Padilha ACL, Constante HM, Fronza HP, Coto NP. Orofacial trauma and mouthguard use in Brazilian rugby union players. Dent Traumatol 2020;37(1):53-7.
Knapik JJ, Hoedebecke BL, Rogers GG, Sharp MA, Marshal SW. Effectiveness of mouthguards for the prevention of orofacial injuries and concussions in sports: systematic review and metaanalysis. Sports Med 2019;49(8):1217- 32.
Gawlak D, Mierzwińska-Nastalska E, Mańka-Malara K, Kamiński T. Assessment of custom and standard, self-adapted mouthguards in terms of comfort and users subjective impressions of their protective function. Dent Traumatol 2015;31(2):113-7.
Gawlak D, Mierzwińska-Nastalska E, Mańka-Malara K, Kamiński T. Comparison of usability properties of custom-made and standard self-adapted mouthguards. Dent Traumatol 2014;30(4):306-11.
Tribst JPM, de Oliveira Dal Piva AM, Borges ALS, Bottino MA. Influence of custom-made and stock mouthguard thickness on biomechanical response to a simulated impact. Dent Traumatol 2018;34(6):429-37.
Schildknecht S, Krastl G, Kühl S, Filippi A. Dental injury and its prevention in Swiss rugby. Dent Traumatol 2012;28(6):465-9.
Quarrie K, Gianotti S, Murphy I. Injury risk in New Zealand Rugby Union: A nationwide study of injury insurance claims from 2005 to 2017. Sports Med 2020;50(2):415-28.
Mojarad F, Farhadian M, Torkaman S. The prevalence of sports-related dental injuries and the rate of awareness of mouthguard use among child athletes. J Pediatr Res 2020;7(4):358-64.
Black AM, Eliason PH, Patton DA, Emery CA. Epidemiology of facial injuries in sport. Clin Sports Med 2017;36(2):237.
Kroon J, Cox JA, Knight JE, Nevins PN, Kong WW. Mouthguard use and awareness of junior rugby league players in the gold coast, Australia: a need for more education. Clin J Sports Med 2016;26(2):128-32.
Tanaka Y, Maeda Y, Yang TC, Ando T, Tauchi Y, Miyanaya H. Prevention of orofacil injury via the use of mouthguards among young male rugby players. Int J Sports Med 2015;36(3):254-61.
Jagger RG, Abbasbhai A, Patel D, Jagger DC, Griffiths A. The prevalence of dental, facial and head injuries sustained by schoolboy rugby players. A pilot study. Prim Dent J 2010;17(3):143-6.

Iglesias Rodeiro, Elizabeth
Máster en Cirugía Bucal e Implantología. Hospital Viamed Virgen de La Paloma.
Martínez-Rodríguez, Natalia
Profesora asociada de Cirugía Bucal. Facultad de Odontología. Universidad Complutense de Madrid (UCM).
Barona Dorado, Cristina
Profesora contratada doctor en Cirugía Bucal. Facultad de Odontología. UCM.
Madrigal Martínez-Pereda, Cristina
Profesora contratada doctor en Cirugía Bucal. Facultad de Odontología. UCM.
Meniz García, Cristina
Profesora contratada doctor en Cirugía Bucal. Facultad de Odontología. UCM.
Martínez-González, José María
Profesor titular de Cirugía Maxilofacial. Facultad de Odontología. UCM.






