Caso clínico
Anitua E. Resolución de un caso con implicación estética en el sector antero-superior. A propósito de un caso. Cient. Dent. 2022; 19; 1; 63-68
Resolución de un caso con implicación estética en el sector antero-superior. A propósito de un caso
En la clínica dental nos encontramos retos cada vez más complejos a la hora de rehabilitar con implantes dentales nuestros casos clínicos. Los que afectan el sector anterior presentan una mayor exigencia estética y por ello son considerados de más difícil resolución. Además, cuando se implican diferentes disciplinas de la odontología para lograr el éxito del tratamiento se precisa de una visión global y el trabajo en equipo de varios profesionales, como el caso que mostramos en el presente artículo.
In the dental clinic we face increasingly complex challenges when it comes to rehabilitating our clinical cases with dental implants. In the cases involving the anterior sector present greater esthetic demands and are therefore considered more difficult to resolve. In addition, when different disciplines of dentistry are involved, a global vision and the teamwork of several professionals are required to achieve the success of the treatment, as in the case shown in this article.
La pérdida de piezas dentales tiene como consecuencia la reabsorción del reborde alveolar1 . Este proceso se caracteriza por ser crónico, irreversible y acumulativo. La otra característica importante de este proceso es ser progresivo, lo cual queda de manifiesto en la clasificación del proceso alveolar según Atwood (1988)2,3. Gran parte de la pérdida ósea tras la extracción de piezas dentales ocurre durante el primer año, siendo la tasa más alta durante los primeros meses siguientes a la pérdida dental3,4. La cascada de eventos posteriores a una extracción ha sido detallada en experimentos sobre modelo animal, determinándose que se genera una reabsorción del hueso en íntimo contacto con el diente (bundle bone) que supone aproximadamente un grosor de entre 0,2 y 0,4 mm5-7. La reabsorción es mucho mayor en la zona vestibular que en la zona lingual y podemos modificar la reabsorción de esta zona y otras del alveolo, así como la cicatrización general del alveolo, utilizando diferentes técnicas de preservación alveolar5-8.
En la literatura científica se han descrito diferentes métodos para estimular la regeneración del alveolo post-extracción, como el uso de sustitutos óseos, regeneración ósea guiada, bio-estimulación con láser y el uso de plasma rico en factores de crecimiento (PRGF)9-10. El PRGF-Endoret representa una técnica biológica para la liberación localizada de proteínas y factores de crecimiento autólogos presentes en el plasma y las plaquetas del mismo paciente, para estimular la hemostasia y la regeneración tisular del alveolo post-extracción11-12. En estudios donde se ha utilizado esta técnica para el tratamiento del alveolo post-extracción, se ha constatado que existe una menor inflamación, un mejor postoperatorio, una mejora en la cicatrización ósea del alveolo, del tejido blando circundante y un menor riesgo de infección (incluso en caso de pacientes médicamente comprometidos)13-18.
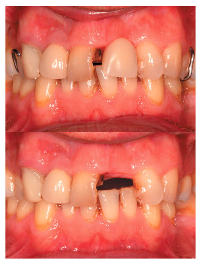
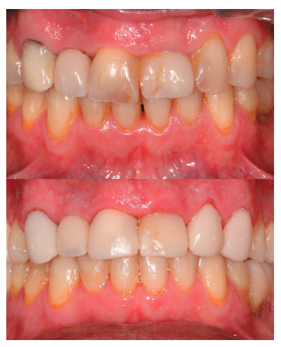
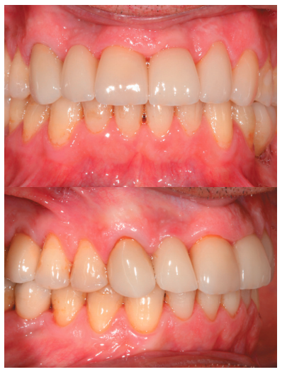
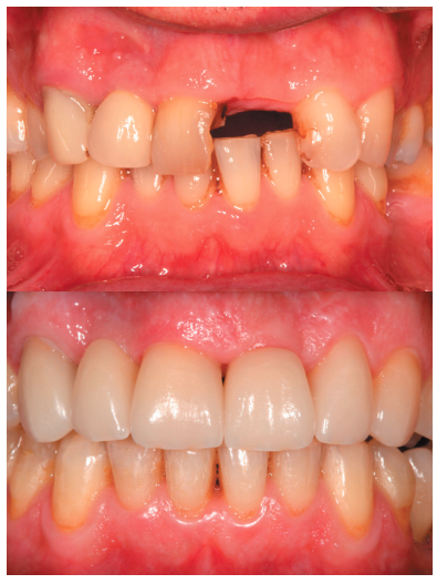
Cuando nos enfrentamos a la rehabilitación de sectores estéticos, todos los parámetros anteriormente mencionados deben ser tenidos en cuenta y examinados en detalle de manera individualizada en cada caso. No nos encontramos ante la misma situación cuando únicamente debemos reponer una pieza dental del frente estético, estando las adyacentes en perfecto estado de salud, que cuando tenemos que afrontar el tratamiento de un alveolo en zona estética con un frente anterosuperior con múltiples problemas, como sucede en el caso clínico que mostramos en este artículo.
En este caso, donde existen diferentes patologías afectando al frente estético, el enfoque debe englobar la restauración de forma completa de esta área de forma predecible, logrando los mejores resultados estéticos y englobándose todos los dientes implicados en el proceso desde un abordaje multidisciplinar que abarque: prótesis, endodoncia, ortodoncia y cirugía (con regeneración y tratamiento del alveolo post-extracción en zona estética).
Por ello, queremos mostrar el paso a paso que ha permitido la resolución de este caso y que engloba todas estas disciplinas, analizando como se han superpuesto unas con otras en diferentes momentos del tratamiento, para lograr el mejor resultado posible.
Anitua E, Alkhraisat MH, Orive G. Novel technique for the treatment of the severely atrophied posterior mandible. Int J Oral Maxillofac Implants. 2013; 28: 1338-46.
Atwood DA. Reduction of residual ridges: a major oral disease entity. J Prosthet Dent 1971; 26: 266-79.
Kingsmill VJ. Post-extraction remodeling of the adult mandible. Crit Rev Oral Biol Med 1999; 10: 384-404.
Reich KM, Huber CD, Lippnig WR, Ulm C, Watzek G, Tangl S. Atrophy of the residual alveolar ridge following tooth loss in an historical population. Oral Dis 2011; 17: 33-44.
Chappuis V, Engel O, Reyes M, Shahim K, Nolte LP, Buser D. Ridge alterations post-extraction in the esthetic zone: a 3D analysis with CBCT. J Dent Res. 2013; 92 (Suppl): 195S-201S.
Lyu C, Shao Z, Zou D, Lu J. Ridge Alterations following Socket Preservation Using a Collagen Membrane in Dogs. Biomed Res Int. 2020; Mar 3: 1487681.
Aimetti M, Manavella V, Corano L, Ercoli E, Bignardi C, Romano F. Three-dimensional analysis of bone remodeling following ridge augmentation of compromised extraction sockets in periodontitis patients: A randomized controlled study. Clin Oral Implants Res. 2018; 29: 202-14.
Rothamel D, Schwarz F, Herten M, y cols. Dimensional ridge alterations following socket preservation using a nanocrystalline hydroxyapatite paste: a histomorphometrical study in dogs. Int J Oral Maxillofac Surg. 2008; 37: 741-7.
Scheyer ET, Heard R, Janakievski J y cols. A randomized, controlled, multicentre clinical trial of post-extraction alveolar ridge preservation. J Clin Periodontol. 2016; 43: 1188-99.
Verdugo F, Laksmana T, D’Addona A, Uribarri A. Facial cortical bone regeneration post-extraction in nongrafted sockets allows for early implant placement and long-term functional stability. Arch Oral Biol. 2020; 112: 104678.
Anitua E. Plasma rich in growth factors: preliminary results of the use in the preparation of future sites for implants. In J Oral Maxillofacial Implants 1999; 14: 57- 63.
Anitua E, Orive G. Trattamento dei difetti post-estrattivi mediante la tecnología PRGF: casi clinici. Italian Oral Surgery 2010; 9: 115-29.
Rutkowski JL, Fennell JW, Kern JC, Madison DE, Johnson DA. Inhibition of alveolar osteitis in mandibular tooth extraction sites using platelet-Rich plasma. The Journal of Oral Implantology 2007; 33: 116-21.
Anitua E, Andia I, Ardanza B, Nurden P, Nudern AT. Autologous platelets as a source of proteins for healing and tissue regeneration. Thromb Haemost 2004; 91: 4-15
Anitua E. Plasma rich in growth factors: preliminary results of the use in the preparation of future sites for implants. In J Oral Maxillofacial Implants 1999; 14: 57- 63.
Solakoglu Ö, Heydecke G, Amiri N, Anitua E. The use of plasma rich in growth factors (PRGF) in guided tissue regeneration and guided bone regeneration. A review of histological, immunohistochemical, histomorphometrical, radiological and clinical results in humans. Ann Anat. 2020;231:151528.
Mozzati M, Gallesio G, di Romana S, Bergamasco L, Pol R. Efficacy of plasmarich growth factor in the healing of postextraction sockets in patients affected by insulin-dependent diabetes mellitus. J Oral Maxillofac Surg. 2014; 72: 456-62.
Anitua E, Murias-Freijo A, Alkhraisat MH, Orive G. Clinical, radiographical, and histological outcomes of plasma rich in growth factors in extraction socket: a randomized controlled clinical trial. Clin Oral Investig. 2015; 19: 589-600.
Jung RE, Ioannidis A, Hämmerle CHF, Thoma DS. Alveolar ridge preservation in the esthetic zone. Periodontol 2000. 2018; 77: 165-75.
Avila-Ortiz G, Elangovan S, Kramer KW, Blanchette D, Dawson DV. Effect of alveolar ridge preservation after tooth extraction: a systematic review and metaanalysis. J Dent Res. 2014; 93: 950-8.
Rupawat D, Maiti S, Nallaswamy D, Sivaswamy V. Aesthetic Outcome of Implants in the Anterior Zone after Socket Preservation and Conventional Implant Placement: A Retrospective Study. J Long Term Eff Med Implants. 2020; 30: 233-9.
Willenbacher M, Al-Nawas B, Berres M, Kämmerer PW, Schiegnitz E. The Effects of Alveolar Ridge Preservation: A MetaAnalysis. Clin Implant Dent Relat Res. 2016; 18: 1248-68.
Khalifa AK, Wada M, Ikebe K, Maeda Y. To what extent residual alveolar ridge can be preserved by implant? A systematic review. Int J Implant Dent. 2016; 2: 22.
Moraschini V, Barboza Edos S. Quality assessment of systematic reviews on alveolar socket preservation. Int J Oral Maxillofac Surg. 2016; 45: 1126-34.
Harati M, Mostofi SN, Jalalian E, Rezvani G. Smile line and occlusion: An epidemiological study. Dent Res J (Isfahan). 2013; 10: 723-7.
Beers E, Lee Nilsen M, Johnson JT. The Role of Patients: Shared DecisionMaking. Otolaryngol Clin North Am. 2017; 50: 689-708.
Veneziani M. Ceramic laminate veneers: clinical procedures with a multidisciplinary approach. Int J Esthet Dent. 2017; 12: 426-48.
Song Y, Luzzi L, Brennan DS. Trust in dentist-patient relationships: mapping the relevant concepts. Eur J Oral Sci. 2020; 128: 110-19.







