Científica Dental septiembre-octubre-noviembre-diciembre 2025
Caso clínico
Garrido Martínez P, Montesdeoca García N, Fernández García A, Cebrián Carretero JL.
Rehabilitación implantosoportada sobre implantes dentales y cigomáticos en un paciente
con radioterapia por un carcinoma adenoide. A propósito de un caso clínico.
Cient. Dent. 2025; 22; 3; 92-98.
Rehabilitación implantosoportada sobre implantes dentales y cigomáticos en un paciente con radioterapia por un carcinoma adenoide. A propósito de un caso clínico
Introducción: La radioterapia en la cavidad oral complica la colocación de implantes dentales; sin embargo, la osteointegración sigue siendo posible, especialmente si los implantes se colocan antes o después de un período de recuperación adecuado. El objetivo de este trabajo el de describir la planificación y tratamiento de un paciente diagnosticado de un carcinoma, desde la resección quirúrgica hasta la posterior restauración protésica.
Métodos: Se presenta el caso de una paciente de 47 años diagnosticada de un carcinoma adenoide quístico en la zona del primer cuadrante en junio de 2020. Tras la realización de las distintas pruebas diagnósticas, se planifica la resección quirúrgica y la fijación de dos placas preformadas y la colocación simultánea de dos implantes cigomáticos y un implante endoóseo. Por presentar límites comprometidos, se pautó radioterapia. Una vez finalizada la radioterapia, se realizó una estructura en zirconia monolítica sobre interfases metálicas y coronas de zirconia monolítica sobre los dientes tallados.
Resultados: La evolución postoperatoria fue favorable. La planificación protésica combinó técnicas analógicas y digitales, permitiendo la rehabilitación implantosoportada del paciente. A los cuatro años de seguimiento, la paciente se mantiene libre de enfermedad, y con niveles de funcionalidad y estética adecuados.
Conclusiones. Los implantes cigomáticos ofrecen una alternativa viable en casos de resección maxilar extensa, proporcionando alta estabilidad primaria sin la necesidad de injertos microvasculares.
Palabras clave: Radioterapia; Tumores maxilares; Apófisis cigomática; Implante endoóseo; Prostodoncia.
Oral rehabilitation with dental and zygomatic implants in a patient with radiotherapy for adenoid carcinoma: case report
Abstract
Introduction. Radiotherapy in the oral cavity complicates the placement of dental implants; however, osseointegration remains possible, particularly when implants are placed either before or after an adequate recovery period. The aim of this study is to describe the planning and treatment of a patient diagnosed with carcinoma, from surgical resection to subsequent prosthetic restoration.
Materials and Methods. We present the case of a 47-year-old female patient diagnosed with adenoid cystic carcinoma in the upper right quadrant (first quadrant) in June 2020. Following diagnostic procedures, surgical resection was planned along with the fixation of two preformed plates and the simultaneous placement of two zygomatic implants and one endosseous implant. Due to compromised surgical margins, adjuvant radiotherapy was indicated. After completing radiotherapy, a monolithic zirconia framework over metallic interfaces and monolithic zirconia crowns on prepared teeth were fabricated. Results.The postoperative course was favorable. Prosthetic planning combined analog and digital techniques, enabling implant-supported rehabilitation. At the four-year follow-up, the patient remains disease-free, with adequate levels of functionality and facial aesthetics.
Conclusions. Zygomatic implants represent a viable alternative in cases of extensive maxillary resection, providing high primary stability without the need for microvascular grafts.
Keywords: Radiotherapy; Maxillary neoplasms; Zygomatic process; Endosseous implant; Prosthodontics.
Uno de los principales inconvenientes a la hora de colocar implantes es el tratamiento con radioterapia sobre la cavidad oral1. Los efectos de la radioterapia sobre los maxilares han sido ampliamente estudiados desde los años 80, concluyendo que un hueso sometido a irradiación se convierte en un tejido hipocelular, hipóxico e hipovascular. El daño fundamental se produce en la vascularización del hueso, convirtiéndose en un tejido con una décima parte de la presión parcial de oxígeno si lo comparamos con hueso no irradiado. La hiperemia y la endarteritis son efectos precoces en el hueso irradiado apareciendo en los 6 primeros meses tras la radioterapia3.
La complicación de la radioterapia siempre va a depender de la dosis, tipo de tratamiento y los campos de irradiación. La radioterapia supone una disminución cuantitativa y cualitativa en la regeneración ósea4.
Sin embargo, la osteointegración de los implantes dentales en pacientes irradiados es posible, ya que existe una clara recuperación del metabolismo óseo a los 12 meses de haber finalizado la radioterapia5. Otra opción es la colocación de los implantes previa a la administración de la radioterapia, ya que desde la resección se establece un mínimo de 4 a 6 semanas de recuperación quirúrgica, y los efectos deletéreos de la radioterapia sobre el hueso comienzan a las 6 semanas6. De este modo, la osteointegración ya se ha producido.
Por otro lado, el uso de los implantes cigomáticos puede ser una opción de tratamiento en casos de grandes resecciones quirúrgicas, sin necesidad de usar injertos microvascularizados. La gran estabilidad primaria por su anclaje favorece la rehabilitación posterior7.
El objetivo de este trabajo es describir la planificación y tratamiento de un paciente diagnosticado de un carcinoma adenoide quístico, al que se le pautó radioterapia, desde la resección quirúrgica hasta la posterior restauración protésica con un protocolo digital.
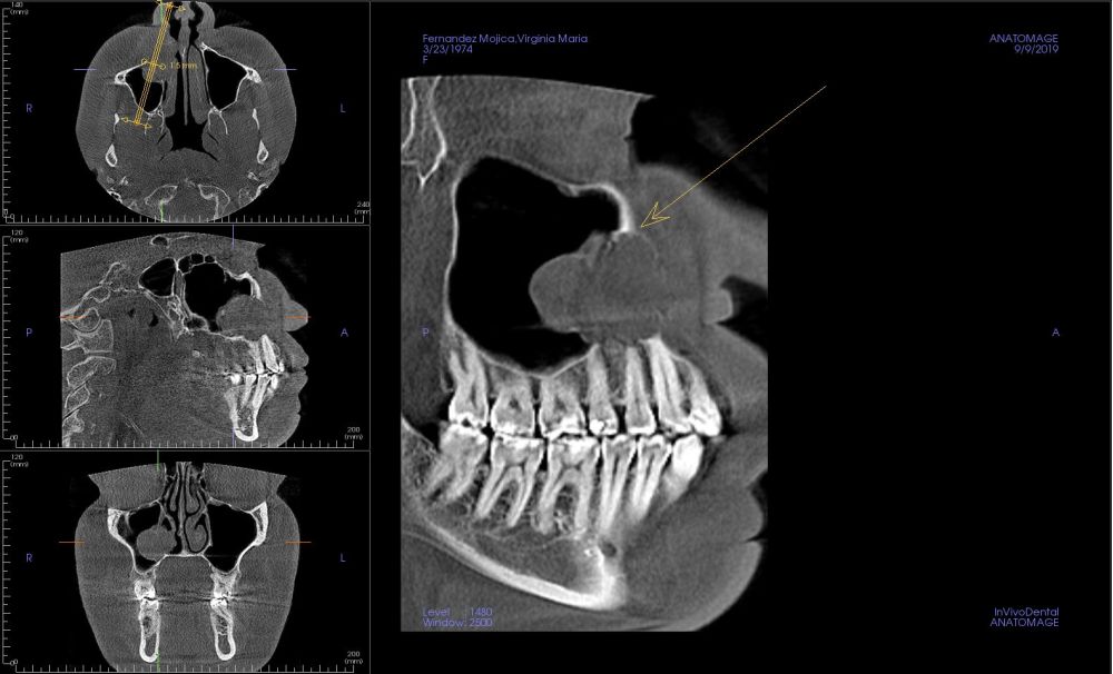
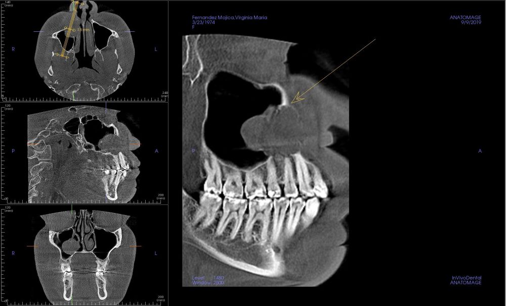
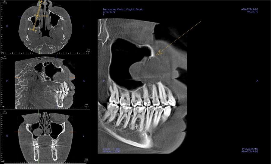
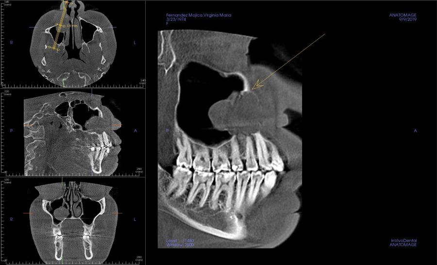
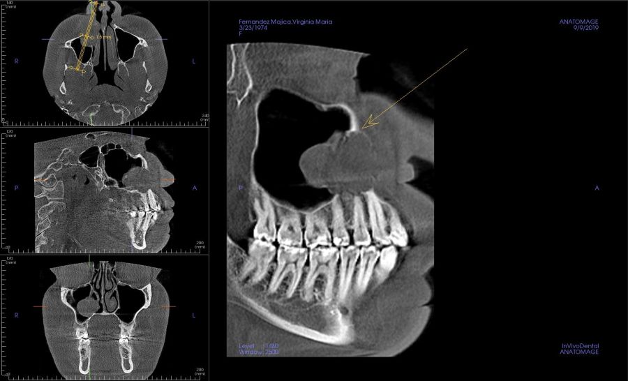
Presentamos el caso de una paciente de 47 años que acude al servicio de cirugía maxilofacial por dolor en el área sinusal derecha en Junio de 2020. Se realizó una radiografía panorámica en la que se observó una imagen sospechosa en la zona del primer cuadrante. Dichos hallazgos se confirmaron con la realización de una tomografía axial computarizada (TAC) facial y una resonancia magnética en las que se identifica una extensa lesión tumoral que ocupaba el seno maxilar derecho e infiltraba el suelo de la órbita derecha y fosa nasal derecha (Figuras 1, 2 y 3). Tras la realización de una biopsia, se confirmó la presencia de un carcinoma adenoide quístico. De este modo, se planificó la extirpación quirúrgica y la fijación mediante placas preformadas sobre un modelo impreso en poliamida (Figura 4).
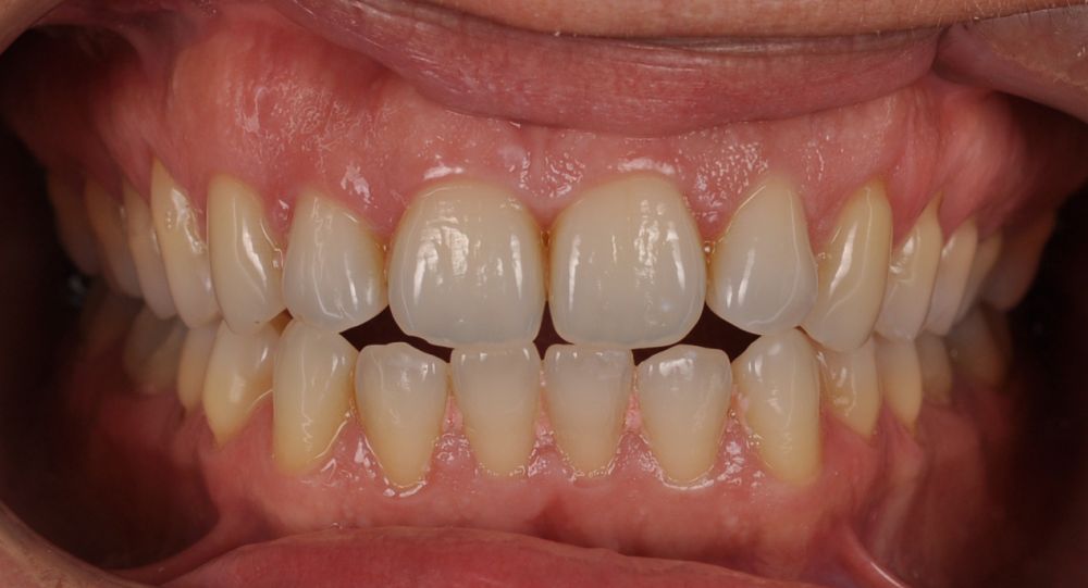
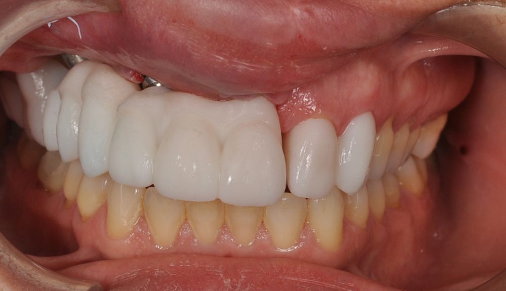
Bajo anestesia general, se realizó la resección quirúrgica junto con la fijación de dos placas preformadas y colocación simultánea de dos implantes cigomáticos y un implante endoóseo en posición del 2.1 (Figuras 5 y 6). Debido a la presencia de márgenes quirúrgicos comprometidos en el informe anatomopatológico, se indicó la administración de radioterapia adyuvante. Por este motivo, se decidió realizar un puente provisional dentosoportado de 1.7 a 2.3 (Figura 7) para mejorar la situación estética y funcional de la paciente durante todo el proceso y evitar un colapso de los tejidos blandos por la radioterapia. Para ello, se tallaron los molares (1.7, 1.6) e incisivo lateral y canino (2.2, 2.3), y se fabricó un puente fresado en polimetilmetacrilato (PMMA) con refuerzo metálico (Figuras 8 y 9).
Al mes de la intervención, la paciente comenzó con la radioterapia. El protocolo de radioterapia adyuvante fueron 30 sesiones.
Una vez finalizada la radioterapia, la paciente se encontraba libre de enfermedad. Por lo que se procedió a la restauración definitiva implantosoportada. Tras la segunda fase, se colocaron dos pilares transepiteliales Multiunit Ò rectos y un pilar Multunit Ò angulado de 17º (Figura 10).
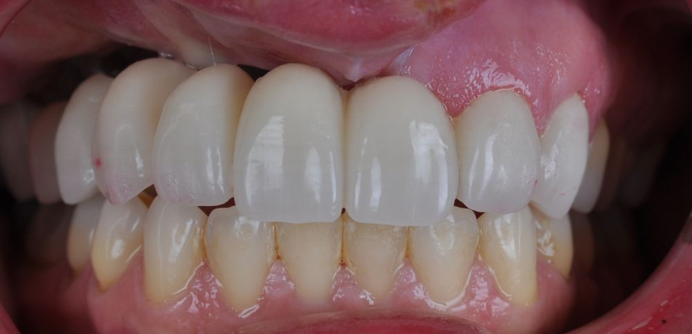
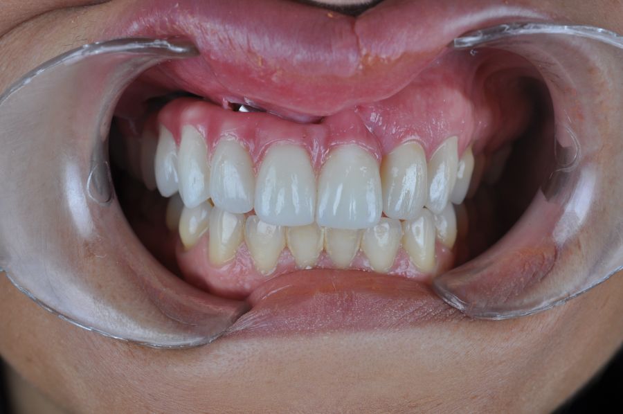
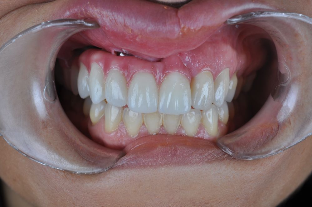
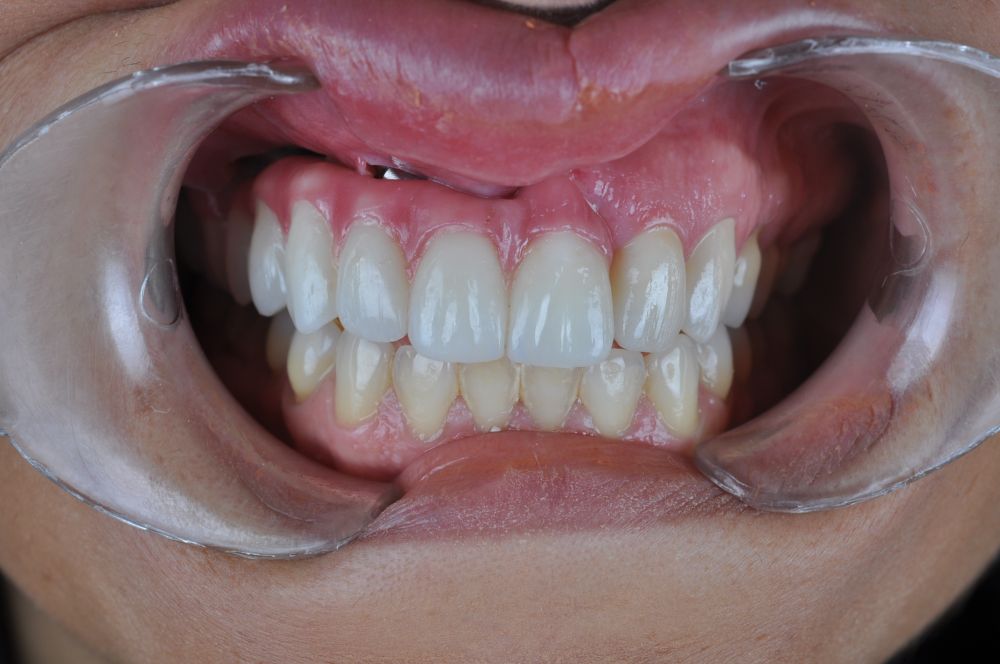
Para la fabricación de las estructuras, se eligió el óxido de zirconio monolítico como material restaurador sobre interfases metálicas en el puente implantosoportado, y coronas de óxido de zirconio monolítico en los dientes tallados previamente (1.7, 1.6, 2.2 y 2.3). Se tomaron impresiones de cubeta abierta con silicona de adición pesada y fluida (Zhermack Elite HD, Gmbh). Se realizó una prueba de pasividad analógica y el resto del proceso se confeccionó de manera digital, por lo que se hicieron pruebas estéticas de dientes impresas en 3D sobre interfases metálicas, para hacer todos los ajustes de función y estética previos al fresado del zirconio monolítico (Figuras 11, 12 y 13).
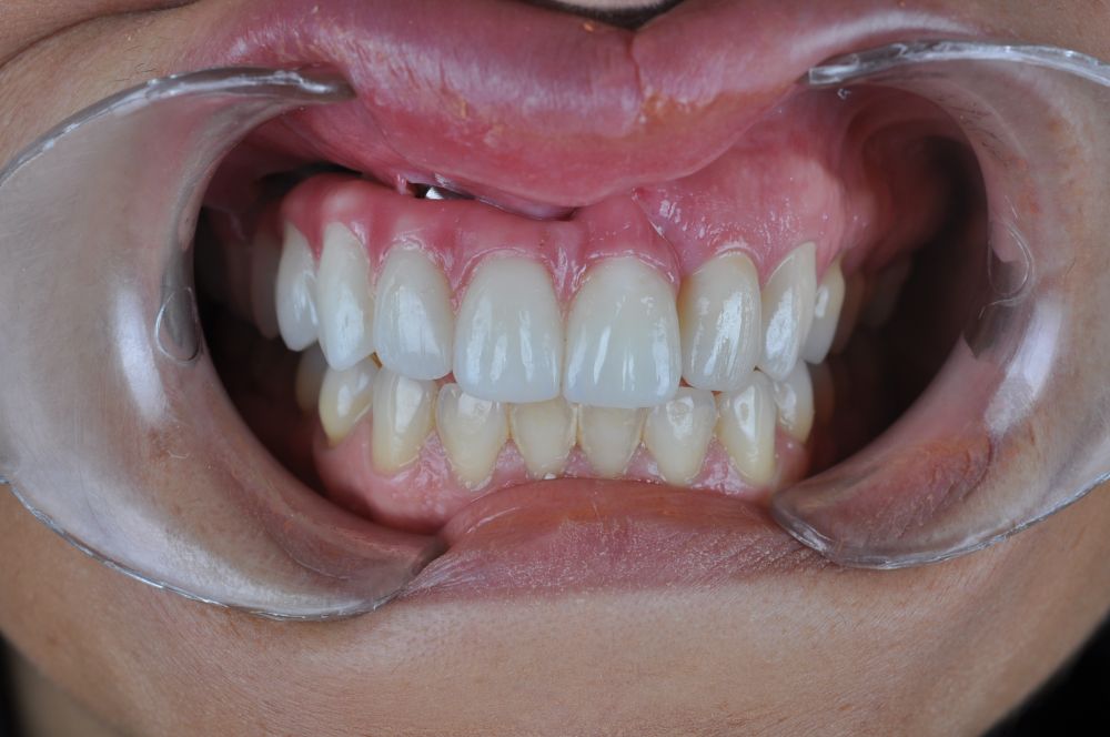
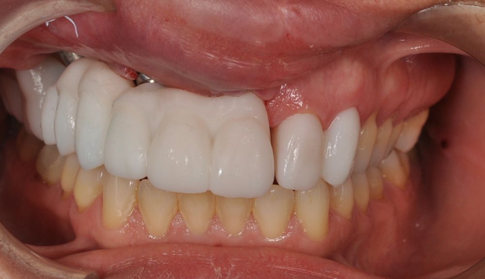
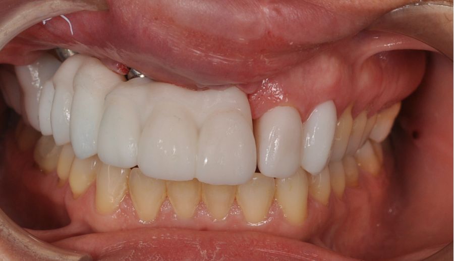
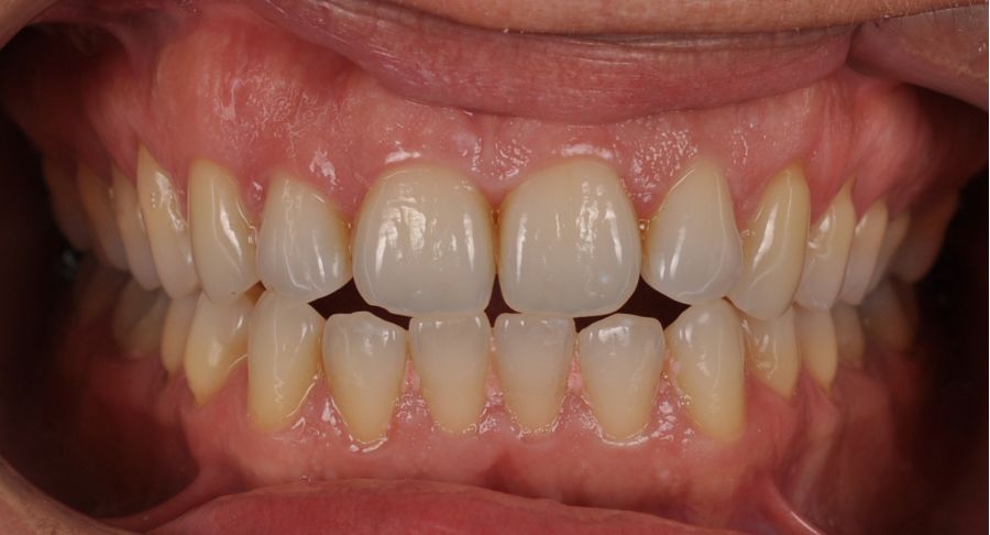
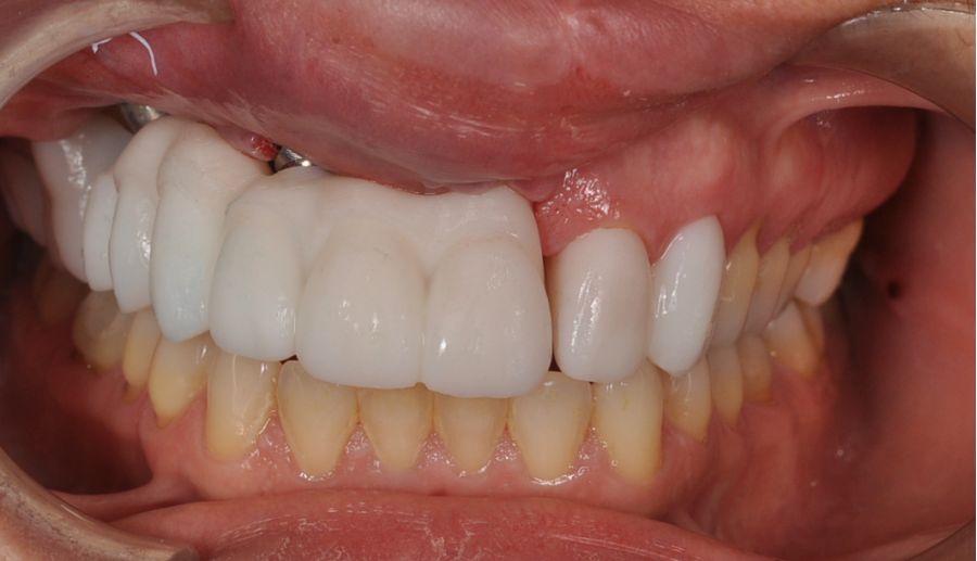
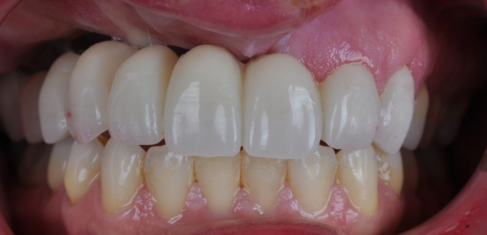
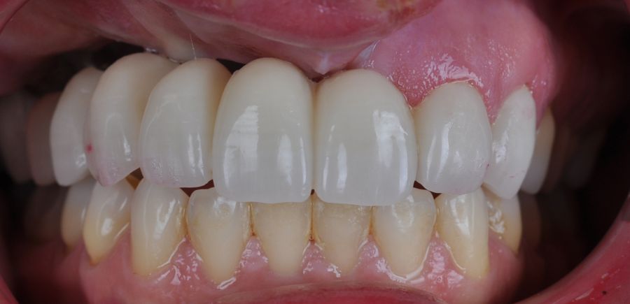
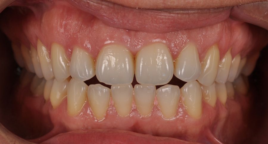
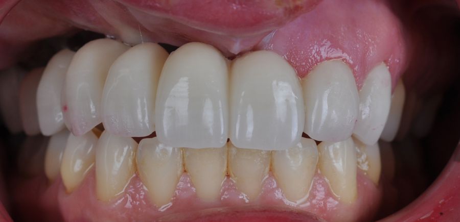
El día de la colocación de las estructuras, se arenó el interior de las coronas dentosoportadas con óxido de aluminio de 50 m y fueron cementadas con cemento de resina Multilink Ò. El puente implantosoportado se atornilló al torque indicado (20Nw) (Figuras 14, 15, 16 y 17).
La evolución postoperatoria fue favorable, sin complicaciones quirúrgicas. La paciente mostró una correcta cicatrización de los tejidos blandos tras la resección quirúrgica. A los 30 días de la cirugía, se inició el tratamiento con radioterapia adyuvante, completando un total de 30 sesiones sin incidencias relevantes.
Durante el tratamiento con radioterapia, la prótesis provisional fija dentosoportada cumplió con su objetivo funcional y estético, manteniendo la integridad de los tejidos blandos y evitando colapsos estructurales en la zona intervenida. No se reportaron úlceras ni signos de mucositis graves en la zona portadora.
Finalizado el tratamiento oncológico y confirmada la ausencia de enfermedad activa, se procedió a la segunda fase quirúrgica con la colocación de pilares transepiteliales Multiunit®. La integración de los implantes cigomáticos y del implante endoóseo fue satisfactoria, observándose estabilidad clínica y ausencia de signos de periimplantitis.
Las impresiones analógicas y el posterior flujo digital permitieron una correcta planificación protésica. Las estructuras definitivas, confeccionadas en óxido de zirconio monolítico sobre interfases metálicas de titanio, mostraron una adecuada adaptación pasiva tanto clínica como radiográficamente. La prueba estética permitió ajustes oclusales y funcionales mínimos, optimizando el resultado final.
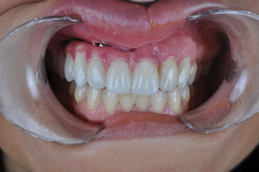
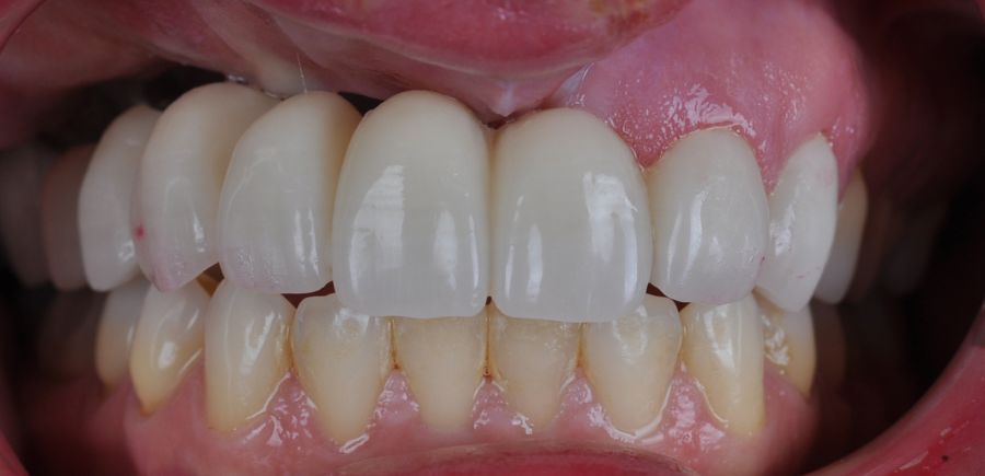
En enero de 2021, el puente implantosoportado fue atornillado con un torque controlado (20 Nw), y las coronas dentosoportadas cementadas con éxito. La paciente refirió una notable mejoría en la función masticatoria, fonación y estética facial, manifestando un alto grado de satisfacción.
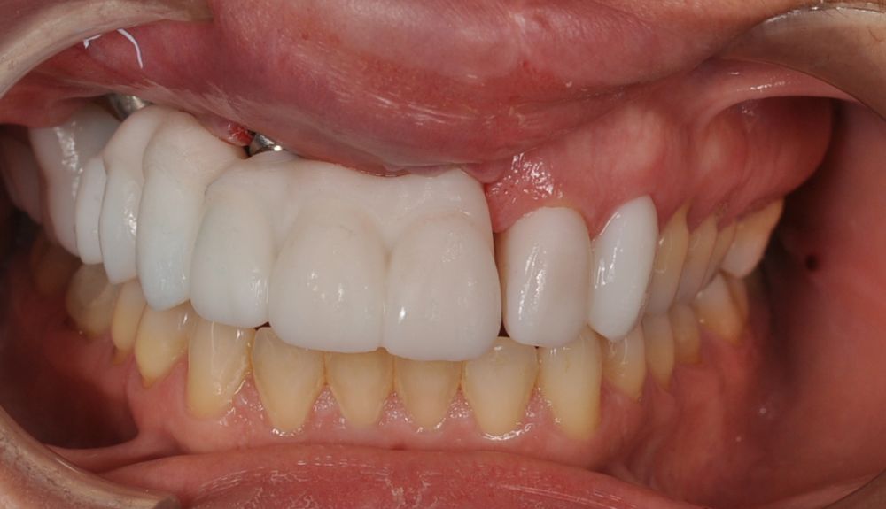
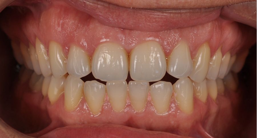
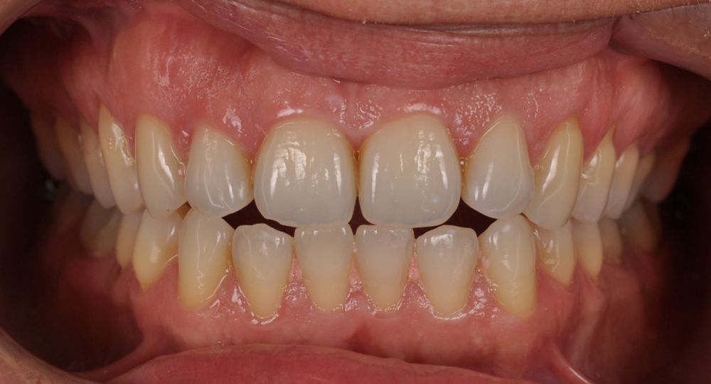
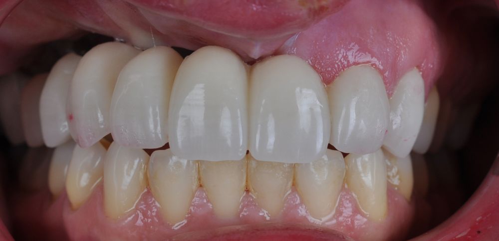
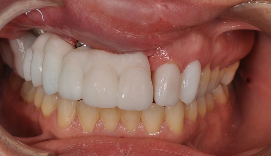
En el seguimiento a 4 años tras la colocación de la prótesis definitiva, no se observaron complicaciones mecánicas ni biológicas. La paciente continúa libre de enfermedad y con una correcta adaptación al tratamiento rehabilitador implantosoportado (Figura 18).
La irradiación previa o posterior sobre los maxilares es uno de los factores clave en la osteointegración8. Hay múltiples estudios que evalúan el éxito de los implantes dentales sobre pacientes oncológicos que han recibido radioterapia, con distintos resultados. Centrándonos en la supervivencia de los implantes, la radioterapia aumenta significativamente el riesgo de pérdida ósea en comparación con zonas no irradiadas.
Navarro-Cuéllar y cols., exponen unos resultados de supervivencia de los implantes en pacientes oncológicos del 97 % a los dos años y del 95 % a los 5 años, sin diferencias significativas entre pacientes irradiados y no radiados9.
Toneatti y cols., después de un seguimiento promedio de 37,7 meses, observan una tasa de supervivencia sobre el implante del 97 % en pacientes no irradiados y del 91,9 % tras un seguimiento medio de 39,8 meses10.
En otro metaanálisis, Schiegnitz y cols., observan una supervivencia media de los implantes de un 87,8% a los 5 años, siendo la tasa de fracaso mayor en hueso irradiado con diferencias estadísticamente significativas11.
En general, la mayoría de los autores señalan una mejor osteointegración si se demora la colocación de implantes 12 meses respecto a la fecha de finalización de la radioterapia o si se colocan antes de recibir la radioterapia12.
Otra variable a tener en cuenta es la dosis de radiación recibida. Li y cols., en un estudio retrospectivo con 58 pacientes durante 3 años, concluyeron que dosis mayores de 40 Gy estaban relacionados con una mayor pérdida ósea alrededor de los implantes13.
El uso de los implantes cigomáticos se ha convertido en una alternativa eficaz en casos de resecciones quirúrgicas importantes14. Cuando es previsible la necesidad de radioterapia adyuvante, la colocación de implantes de forma primaria (durante el acto quirúrgico de resección del tumor) es una alternativa con ventajas, como son: la osteointegración se produce antes de que se inicien los efectos de la radioterapia; que se acelera la rehabilitación de estos pacientes o que se evita la morbilidad de una segunda cirugía15.
Butterworth en un estudio prospectivo de 10 años con 131 implantes cigomáticos sobre 49 pacientes, concluía que los implantes cigomáticos son un procedimiento seguro como alternativa a los colgajos microvascularizados. No encontró diferencias significativas entre paciente no radiado o irradiado y publicó una supervivencia de los implantes del 92% a los 5 años16. Sin embargo, Vosselman y cols., sí que encontraron diferencias significativas entre hueso irradiado e implantes cigomáticos. En su estudio, mostraron una supervivencia del 100% sin radioterapia y un 85% con radioterapia. Concluían que el fracaso de estos implantes podría deberse a la localización del tumor y a las altas dosis de radiación17.
La colocación de implantes cigomáticos en pacientes oncológicos es una alternativa eficaz para la posterior restauración dentaria, evitando cirugías más complejas y reduciendo el número de intervenciones. Al hacerlo en un primer tiempo quirúrgico, si el paciente necesitara radioterapia o quimioterapia coadyuvante posterior, la osteointegración ya se habría producido.
Delanian S, Lefaix JL. The radiation-induced fibroatrophic process: therapeutic perspective via the antioxidant pathway. Radiother Oncol. 2004;73(2):119-131.
- Visch LL, van Waas MA, Schmitz PI, Levendag PC. A clinical evaluation of implants in irradiated oral cancer patients. J Dent Res. 2002;81(12):856-859.
Curi MM, Cardoso CL, de Lima HG, Kowalski LP, Martins MD. Histopathologic and Histomorphometric Analysis of Irradiation Injury in Bone and the Surrounding Soft Tissues of the Jaws. J Oral Maxillofac Surg. 2016;74(1):190-199.
Denham JW, Hauer-Jensen M. The radiotherapeutic injury–a complex ‘wound’. Radiother Oncol. 2002 ;63(2):129-145.
Prado-Pena IB, Somoza-Martin JM, García-Carnicero T, et al. Osseointegrated dental implants that will undergo radiotherapy. Does risk of osteoradionecrosis exist? A scoping review. Oral Surg Oral Med Oral Pathol Oral Radiol. 2024;138(5):594-601.
Blanchard P, Baujat B, Holostenco V, et al. Meta-analysis of chemotherapy in head and neck cancer (MACH-NC): a comprehensive analysis by tumour site. Radiother Oncol. 2011;100(1):33-40.
Ozaki H, Sakurai H, Yoshida Y, Yamanouchi H, Iino M. Oral rehabilitation of oral cancer patients using zygomatic implant-supported maxillary prostheses with magnetic attachment: Three case reports. Case Rep Dent. 2018 16;2018: 1694063.
Garrido-Martínez P, Peña-Cardelles JF, Quispe-López N, et al. Correction: Dental implants rehabilitation in a patient with head and neck radiotherapy for osteosarcoma in the jaw. A clinical case report. J Clin Exp Dent. 20211;13(12):e1275.
Navarro C, Caicoya SJ, Acero JJ, Navarro I, Muela CM, Navarro C. Mandibular reconstruction with iliac crest free flap, nasolabial flap, and osseointegrated implants. J Oral Maxillofac Surg. 2014;72(6):1226.e1-15.
Toneatti DJ, Graf RR, Burkhard JP, Schaller B. Survival of dental implants and occurrence of osteoradionecrosis in irradiated head and neck cancer patients: a systematic review and meta- analysis. Clin Oral Investig. 2021;25(10):5579-5593.
Schiegnitz E, Reinicke K, Sagheb K, König J, Al-Nawas B, Grötz KA. Dental implants in patients with head and neck cancer-A systematic review and meta-analysis of the influence of ra- diotherapy on implant survival. Clin Oral Implants Res. 2022;33(10):967-999.
Kende PP, Ranganath S, Landge JS, et al. Survival of dental implants on irradiated jaws: A systematic review and meta-analysis. J Maxillofac Oral Surg. 2022;21(3):787-795.
Li J, Feng K, Ye L, Liu Y, Sun Y, Wu Y. Influence of radiotherapy on dental implants placed in individuals before diagnosed with head and neck cancer: focus on implant-bed-specific radiation dosage. Clin Oral Investig. 2022;26(9):5915-5922.
Shokouhi B, Cerajewska T. Radiotherapy and the survival of dental implants: a systematic review. Br J Oral Maxillofac Surg. 2022;60(4):422-429.
Goiato MC, Pellizzer EP, Moreno A, et al. Implants in the zygomatic bone for maxillary prosthetic rehabilitation: a systematic review. Int J Oral Maxillofac Surg. 2014;43(6):748-757.
Butterworth CJ. Primary vs secondary zygomatic implant placement in patients with head and neck cancer-A 10-year prospective study. Head Neck. 2019 ;41(6):1687-1695.
Vosselman N, Kraeima J, Ng Wei Siang K, Raghoebar GM, Witjes MJH, de Visscher SAHJ. Guided placement of zygomatic implants in head and neck cancer patients: implant survival and patient outcomes at 1-3 years of follow-up. Int J Oral Maxillofac Surg. 2024;53(7):600-606.

Garrido Martínez, Pablo
Doctor en Odontología. Universidad Complutense de Madrid (UCM). Máster de Prótesis Bucofacial UCM. Profesor de Prótesis y Oclusión Universidad Alfonso X El Sabio (UAX). Departamento de Cirugía Maxilofacial y Odontología Hospital La Luz, Madrid.
Montesdeoca García, Néstor
Doctor en Medicina y Cirugía Universidad de Navarra. Especialista en Cirugía Oral y Maxilofacial, Hospital La Paz, Madrid. Jefe de Servicio de Unidad de Cirugía Maxilofacial y Odontología, Hospital La Luz, Madrid.
Fernández García, Antonio
Licenciado en Medicina y Cirugía. Universidad de Valladolid. Especialista en Cirugía Oral y Maxilofacial, Hospital 12 de Octubre, Madrid. Máster en Medicina Estética UCM. Departamento de Cirugía Maxilofacial y Odontología Hospital La Luz, Madrid.
Cebrián Carretero, José Luis
Doctor en Medicina y Cirugía UAM. Licenciado en Odontología UEM. Especialista en Cirugía Oral y Maxilofacial, Hospital La Paz, Madrid. Jefe de Servicio de Cirugía Oral y Maxilofacial, Hospital La Paz, Madrid. Jefe de Servicio de Cirugía Maxilofacial y Odontología, Hospital La Luz, Madrid.
ImpCorrespondencia:
Dr. Pablo Garrido Martínez
Universidad Alfonso X el Sabio.
Avenida de la Universidad 1
28691 Villanueva de la Cañada. Madrid, España.
[email protected]


















