Científica Dental septiembre-octubre-noviembre-diciembre 2025
Caso clínico
Amirbagloy Darian M, Sharif Ardestanian Moghadam A, Martínez Rodríguez N, Hurtado Celotti D, Martínez Rodríguez C, Martínez-González JM.
Retención de segundos molares mandibulares: evaluación mediante CBCT y consideraciones terapéuticas ante un caso clínico.
Cient. Dent. 2025; 22; 3; 99-105.
Retención de segundos molares mandibulares: evaluación mediante CBCT y consideraciones terapéuticas ante un caso clínico
Introducción: La retención de los segundos molares mandibulares es una alteración eruptiva poco frecuente, de etiología multifactorial, que puede involucrar posiciones ectópicas, obstáculos en la vía eruptiva, fallos en el mecanismo de erupción y posibles factores genéticos. Esta condición puede originar complicaciones locales como infecciones, quistes, reabsorciones radiculares y alteraciones funcionales. El éxito terapéutico depende principalmente de la edad del paciente y del estado eruptivo del molar, siendo la erupción asistida por ortodoncia la opción más conservadora frente a alternativas como la extracción o el enderezamiento quirúrgico.
El objetivo de este trabajo es la presentación de un caso con retención bilateral de los segundos molares mandibulares en el que se analizan las distintas opciones terapéuticas, así como el porcentaje de éxito de estas.
Métodos: Se presenta el caso clínico de un paciente varón de 18 años en el que, tras la realización de una CBCT de la arcada mandibular, se observó la retención de los segundos molares mandibulares permanentes junto con los terceros molares mandibulares.
Resultados: Dada la ausencia de signos radiológicos, el paciente optó por una actitud expectante, pendiente de revisiones posteriores que pudieran indicar cambios y en consecuencia plantear una actitud intervencionista.
Conclusiones: La retención del segundo molar mandibular es un hallazgo creciente en jóvenes y requiere un diagnóstico precoz para evitar complicaciones, siendo la CBCT la herramienta diagnóstica más precisa para evaluar la posición y riesgos asociados. Las opciones terapéuticas son diversas y siempre deben individualizarse según la anatomía, el pronóstico y las características del paciente.
Palabras clave: Dientes retenidos; Segundos molares mandibulares; Opciones terapéuticas.
Mandibular second molar retention: CBCT assessment and therapeutic considerations in a clinical case
Introduction: The retention of mandibular second molars is an uncommon eruptive alteration with a multifactorial etiology, which may involve ectopic positions, eruptive pathway obstructions, failures in the eruption mechanism, and possible genetic factors. This condition can lead to local complications such as infections, cysts, root resorption, and functional disturbances. Therapeutic success depends mainly on the patient’s age and the eruptive status of the molar, with orthodontically assisted eruption being the most conservative option compared to alternatives such as extraction or surgical uprighting.
The objective of this study is to present a case of bilateral retention of the mandibular second molars and to analyze the different therapeutic options as well as their respective success rates.
Methods: We present the case of an 18-year-old male patient in whom, after performing a CBCT of the mandibular arch, retention of the permanent mandibular second molars was observed, along with the mandibular third molars.
Results: In the absence of radiological signs, the patient opted for an expectant approach, with follow-up evaluations to detect any changes that might warrant an interventional strategy.
Conclusions: Retention of the mandibular second molar is becoming more common in young patients and needs to be diagnosed early to avoid complications. CBCT is the most accurate tool to assess the tooth position and possible risks. Treatment options vary, and they should always be based on the patient’s anatomy, prognosis, and individual characteristics.
Key words: Impacted teeth; Second mandibular molars;: Therapeutic options.
La retención dentaria hace referencia al fracaso del proceso eruptivo debido a la presencia de una barrera física clínica o radiográficamente detectable en la ruta de erupción, o bien a una dirección anómala del diente en desarrollo1.
Desde el punto de vista epidemiológico, los dientes retenidos más comúnmente afectados son los terceros molares, seguidos por los caninos maxilares y los segundos premolares mandibulares 2. Otros dientes como los segundos molares mandibulares se presentan con una prevalencia que se estima que ocurre entre 1,5 y 3 casos por cada 1.000 individuos, siendo más frecuentes las retenciones unilaterales que bilaterales, y más en los hombres que mujeres3,4.
La impactación de los segundos molares (2M) es difícil de prevenir y detectar a tiempo debido a su etiología multifactorial. Andreasen y cols.5 señalaron tres causas principales para las alteraciones eruptivas del segundo molar: posición ectópica, presencia de obstáculos en la trayectoria eruptiva y fallos en el mecanismo de erupción. Además, un estudio llevado a cabo por Shapira y cols.6, sugieren un componente genético en las impactaciones del 2M, con mayor prevalencia en una población chino-estadounidense en comparación con una población israelí. Además, se ha descrito que la presencia de una maloclusión clase II, con una mandíbula retraída y un ángulo goníaco reducido, se asocia morfológicamente con la impactación de los segundos molares mandibulares5, en un patrón similar al observado en la impactación de los terceros molares. No obstante, diversos estudios sugieren que la alteración en la posición del tercer molar debe considerarse como un factor contribuyente y no como la causa principal de la impactación del segundo molar mandibular1.
Clínicamente la impactación de los 2M puede dar lugar a diversas complicaciones locales, entre las que se incluyen la aparición de lesiones quísticas, procesos infecciosos como la pericoronaritis o los abscesos, así como la sobreerupción de dientes antagonistas. Además, esta condición puede favorecer la aparición de patologías en los dientes adyacentes, tales como reabsorción radicular, caries, alteraciones periodontales, repercusiones estéticas y funcionales, incluyendo dificultades masticatorias7.
Los factores que influyen en un tratamiento exitoso incluyen, en primer lugar, la edad del paciente, ya que los adolescentes suelen obtener mejores resultados que los adultos. Otro aspecto relevante es el estado de erupción del molar impactado y el grado de exposición de su corona. Por último, la angulación o inclinación del molar impactado no parece ser un factor tan determinante8.
En relación con este último punto, autores como Shpack y cols.9 examinaron 165 segundos molares mandibulares impactados, observando que la mayoría (88%) presentaban una angulación mesial, un 8% una posición vertical y un 4% una angulación distal. Monaca y cols.1 reportaron que sólo 7 de los 161 molares impactados presentaban una angulación superior a 90°. De manera similar, Fu y cols.2 en su estudio, únicamente 5 de los 125 molares impactados mostraban una angulación mayor a 90°, siendo extremadamente rara la presentación horizontal de estos dientes.
Las posibilidades terapéuticas para la impactación de los segundos molares permanentes constituyen un desafío clínico relevante en el ámbito del tratamiento dental10. Las opciones de tratamiento para los molares profundamente impactados incluyen la extracción quirúrgica, el enderezamiento o reposicionamiento del diente, y el descubrimiento quirúrgico con erupción forzada asistida por ortodoncia, siendo esta última considerada la alternativa más conservadora7.
El objetivo de este trabajo es la presentación de un caso con retención bilateral de los segundos molares mandibulares (2MM) en el que se analiza las distintas opciones terapéuticas, así como el porcentaje de éxito de las mismas.
Se presenta un paciente varón de 18 años, que acudió a la Facultad de Odontología de la Universidad Complutense de Madrid. Durante la anamnesis, no se registraron antecedentes médicos o quirúrgicos relevantes. El paciente no presentaba alergias medicamentosas ni hábitos tóxicos, refiriendo dolor intermitente en la región posterior mandibular izquierda, de predominio nocturno, iniciado hace 6 meses.
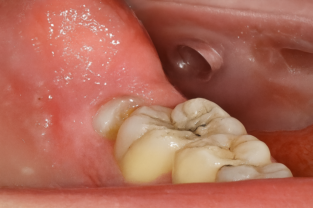
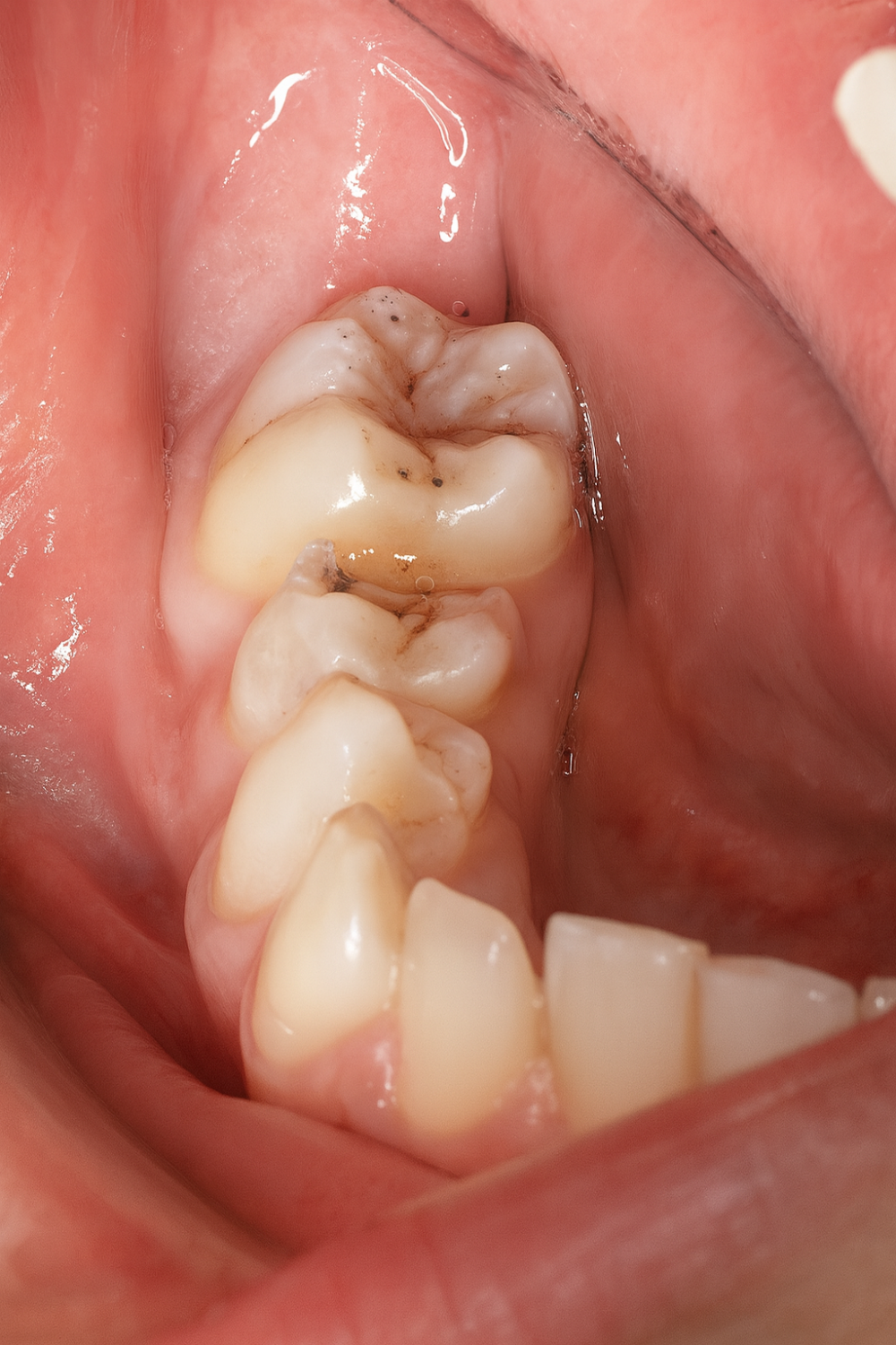
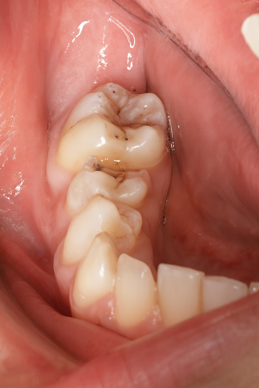
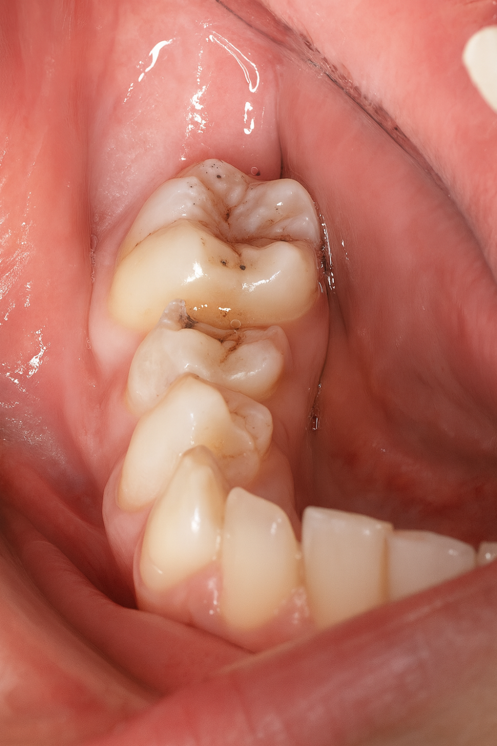
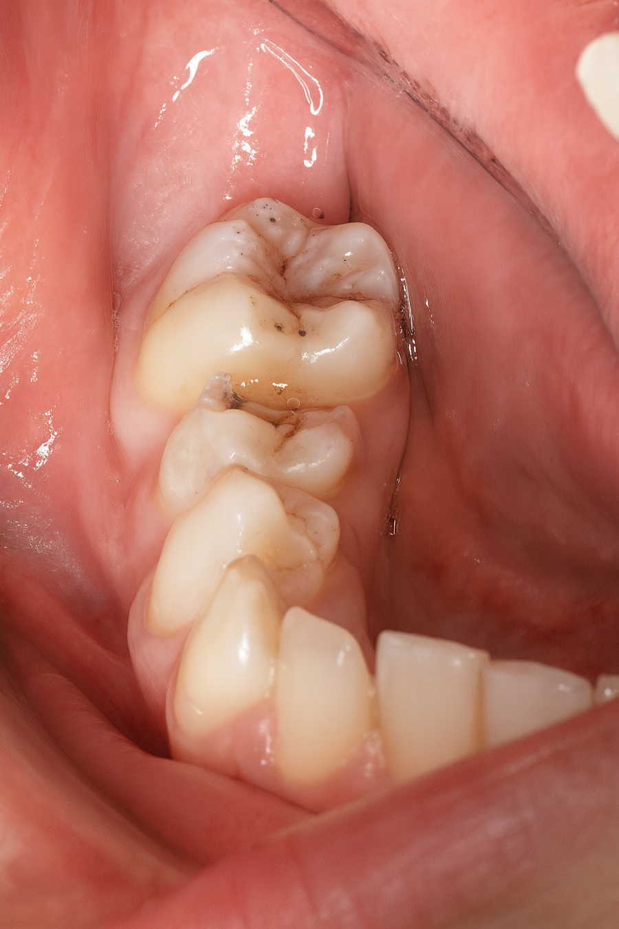
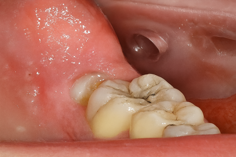
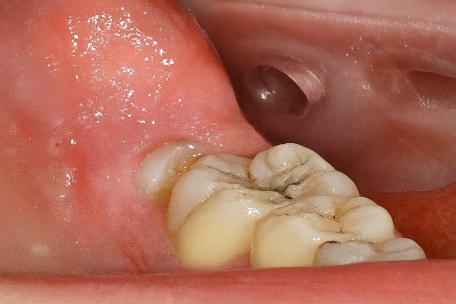
En la exploración extrabucal no se evidenciaron alteraciones estéticas faciales, ni afectación ganglionar. A la exploración intrabucal se observó en el tercer cuadrante el enclavamiento del segundo molar mandibular izquierdo permanente, contrastando con la ausencia del 2M en el cuarto cuadrante (Figuras 1 y 2).
El aspecto y coloración de las mucosas eran normales. Los primeros molares adyacentes no mostraban signos de patología y conservaban la vitalidad. El paciente refirió que otros miembros de la familia habían presentado situaciones similares.
Como prueba complementaria se solicitó un estudio tomográfico (CBCT) de la arcada mandibular completa, observándose en el corte panorámico la presencia de los terceros molares inferiores junto a la retención de los 2M, el derecho en posición vertical y el izquierdo en posición mesioangular-horizontal (Figura 3). En los cortes axiales (Figura 4), se confirmó la ausencia de accidentes mecánicos sobre los primeros molares ya través de en los cortes ortorradiales, se pudo observar una relación estrecha con el nervio dentario inferior (Figuras 5).
Tras estos hallazgos, se informó al paciente sobre las diferentes posibilidades terapéuticas, declinando en ese momento cualquiera de ellas.
La retención del 2M es un fenómeno poco frecuente, con una prevalencia que oscila entre el 0,6% y el 3%. Sin embargo, la retención simultánea de segundos y terceros molares en adolescentes está en aumento y se ha convertido en un hallazgo cada vez más común en la práctica de la cirugía oral en pacientes jóvenes11,12. Los pacientes asintomáticos a menudo ignoran los 2M retenidos y se descubren accidentalmente durante las visitas dentales rutinarias.
La distribución según el género no parece estar esclarecida dado que diferentes estudios obtienen resultados distintos. Para Shapira y cols.6, habría una mayor afectación de las mujeres, contrastando con el estudio de Varpio y Wellfelt13, quienes describieron una mayor frecuencia en varones como el caso que se presenta.
Por otra parte, Bondemark y Tsiopa14 no han encontrado diferencias significativas entre géneros en la prevalencia de la retención del 2MM.
Con respecto al lado de retención, varios estudios informaron una mayor incidencia de impactación molar unilateral, alcanzando hasta un 81,25% 15. No obstante, según Cassetta y cols. (42,5%)16 y Caminiti y cols.17, se han descrito prevalencias más elevadas de bilateralidad. De manera similar, Pippi y cols.18 reportaron una incidencia particularmente alta de retenciones bilaterales (16/36 = 44,44%). Por otro lado, Shapira y cols.6 documentaron diferencias entre poblaciones, con predominio unilateral del 73% en población israelí y del 55% en población chino-estadounidense, lo que sugiere una posible influencia genética en el patrón de presentación.
En cuanto al lado de la impactación, Varpio y Wellfelt13 informaron una mayor afectación del lado derecho, mientras que Cho y cols.19 observaron mayor prevalencia en el lado izquierdo. Shapira y cols.6 tampoco hallaron diferencias laterales en la muestra israelí, aunque sí observaron una predominancia del lado izquierdo (67%) en la muestra chino-estadounidense.
Los 2MM retenidos pueden provocar accidentes como caries, periodontitis, pericoronaritis y reabsorción radicular de los primeros molares7. Por lo tanto, se sugiere diagnosticar y tratar estos dientes a una edad precoz, siendo el mejor momento de tratamiento de los 2MM retenidos el intervalo entre los 11 y los 14 años, cuando la formación radicular es incompleta20.
En el estudio realizado por Fu y cols.2, se observó que el ángulo y la profundidad de los 2M retenidos ejercen una influencia más significativa que la edad del paciente sobre la dificultad del caso y la duración del periodo inicial de enderezamiento, específicamente, cuanto mayor es la profundidad de la retención o más horizontal/distal es la angulación del molar, mayor es la tendencia a presentar un periodo inicial más prolongado.
Para el tratamiento de los molares mandibulares retenidos se han propuesto diversas opciones terapéuticas, entre ellas la extracción dental, el enderezamiento ortodóntico o quirúrgico, el autotrasplante, el abordaje ortodóntico-quirúrgico combinado y, en casos seleccionados, el reemplazo mediante implantes dentales21.
Por ello, un diagnóstico preciso resulta esencial para seleccionar la estrategia terapéutica adecuada. La tomografía computarizada de haz cónico (CBCT) se ha consolidado como la herramienta diagnóstica más precisa, gracias a su capacidad para evaluar tridimensionalmente la orientación del diente, su relación con el conducto mandibular y la cortical lingual, así como las posibles consecuencias biomecánicas de la retención22,23. En la vista coronal, las impactaciones verticales pueden acercar el molar retenido al nervio alveolar inferior, especialmente en presencia de infraoclusión o raíces en formación. En la vista axial, es posible identificar retenciones con desplazamiento lingual que aumentan el riesgo de proximidad al nervio lingual. Desde la perspectiva sagital, se observan inclinaciones distales relacionadas con la rama mandibular y el folículo del tercer molar, así como angulaciones mesiales o impactaciones horizontales severas capaces de provocar reabsorción radicular o daño periodontal del primer molar permanente24.
Entre las distintas alternativas disponibles, el tratamiento puede incluir intervenciones quirúrgicas, ortodóncicas o una combinación de estas3. Una opción quirúrgica es el enderezamiento quirúrgico del 2M, que implica luxar y reposicionar el diente mediante un movimiento controlado a nivel del ápice radicular8. Pogrel 25 describe la técnica quirúrgica realizada bajo anestesia local complementada con sedación intravenosa según sea necesario, Este procedimiento requiere la creación de un colgajo bucal, la extracción del tercer molar, la protección del nervio lingual, la ostectomía controlada y el uso de un botador para reposicionar el molar8,25. Entre sus principales indicaciones destacan adolescentes con ápices abiertos (aproximadamente dos tercios de desarrollo) y una inclinación axial moderada8,15,24.Las contraindicaciones severas incluyen la formación radicular completa, las raíces divergentes y una inclinación mayor de 75º respecto al eje largo del primer molar, debido al riesgo de fractura radicular, reabsorción u obliteración pulpar 24. No obstante, pueden presentarse complicaciones como necrosis pulpar, anquilosis, fracturas o reabsorciones radiculares26.
La evidencia disponible muestra que el éxito de tratamiento es consistentemente elevado, con tasas que en la mayoría de los estudios superan el 90%3, del mismo modo un estudio llevado a cabo por Padwa y cols.15 informó el éxito del tratamiento en 14 de 16 molares después de un seguimiento promedio de aproximadamente 2,4 años, lo que respalda su consideración como una alternativa fiable frente a la extracción del segundo molar y autotransplante del tercer molar.
Otra alternativa es la extracción del 2MM retenido con el objetivo de permitir la erupción y sustitución espontánea por el tercer molar. Esta opción se considera cuando el 2M no es recuperable o cuando el paciente rechaza otras intervenciones como el enderezamiento quirúrgico, el autotrasplante o la ortodoncia8. Aunque algunos estudios reportan una erupción favorable de los terceros molares en estas circunstancias, los resultados no siempre son satisfactorios. Magnusson y Kjellberg21 observaron que esta es la opción con menor tasa de éxito, alcanzando solo un 11%, y destacaron que, incluso aquellos terceros molares que erupcionaron adecuadamente, tendían a ubicarse en una posición desfavorable. De manera similar, Gooris y cols.27 informaron que solo el 46% de los terceros molares alcanzaron un contacto satisfactorio con el primer molar. Por otro lado, de la Rosa y cols.28 encontraron que el 96% de los molares maxilares erupcionan en buena posición mientras que esta cifra fue de 66% para los molares mandibulares, lo que podría desaconsejar el empleo de esta técnica especialmente en retenciones mandibulares.
Una tercera opción es el autotrasplante de terceros molares para reemplazar 2M irrecuperables. El trasplante dental autógeno ha demostrado ser un método eficaz para el reemplazo dental29. puesto que el ligamento periodontal, el hueso y el tejido blando puede continuar creciendo en la ubicación del receptor, por lo que este método también se puede usar para mover los dientes con aparatos ortopédicos después del autotrasplante30. Kvint y cols.31, en un estudio longitudinal de 15 años con 215 pacientes, reportaron un éxito general del 81%, con los premolares como los dientes más predecibles (89%) y éxito del 100 %, cuando se trasplantaron a la región incisiva maxilar. Sin embargo, los trasplantes de terceros molares para sustituir 2MM mostraron el peor pronóstico, con una tasa de éxito del 68% (23 de 34), lo que limita la utilidad de esta técnica en esta localización8. Fugazzotto informó que la tasa de éxito acumulativa de los implantes en el 2MM fue del 85%, siendo ligeramente menor que la de otros molares32, mientras que las tasas totales de éxito del autotrasplante fueron de 94% con los dientes del ápice abierto y 84% con ápice cerrado33.
Los criterios modificados de éxito para los dientes trasplantados incluyen que el diente permanezca fijo en su alveolo sin inflamación residual, que no exista movilidad dental, que no se evidencien condiciones patológicas en la radiografía, que el diente muestre signos de crecimiento radicular adicional y que la profundidad del surco, el contorno gingival y el color sean normales34. Las tasas de fracaso están estrechamente relacionadas con la presencia de un trauma quirúrgico excesivo, un diente donante contaminado, profundidades de sondaje superiores a 4mm y pacientes mayores de 40 años35.
Finalmente, el enfoque más ampliamente aceptado y con mejores resultados es el enderezamiento ortodóncico del 2M con exposición quirúrgica del mismo, combinado con la extracción del tercer molar.
Las tasas de éxito oscilan entre el 68 % y el 75% 8,36. Monaca y cols.1 señalan que la posición quirúrgica del molar retenido presenta tasas de éxito que oscilan entre el 68% y el 75%. Sin embargo, describen factores que pueden disminuir dicho éxito, como la cobertura ósea completa o la impactación del ápice contra el techo del canal mandibular.
La retención del 2MM es un hallazgo creciente en jóvenes y requiere un diagnóstico precoz para evitar complicaciones. No existe consenso claro sobre la influencia del sexo o el lado afectado, lo que sugiere factores poblacionales y anatómicos variables. La CBCT se mantiene como la herramienta diagnóstica más precisa para evaluar la posición y riesgos asociados. Las opciones terapéuticas son diversas, pero el enderezamiento quirúrgico-ortodóncico ofrece resultados más predecibles. En cambio, la extracción para favorecer la erupción del tercer molar y el autotrasplante muestran mayor variabilidad de éxito. En conjunto, el manejo debe individualizarse según la anatomía, el pronóstico y las características del paciente.
La Monaca G, Cristalli MP, Pranno N, Galluccio G, Annibali S, Pippi R. First and second permanent molars with failed or delayed eruption: Clinical and statistical analyses. Am J Orthod Dentofacial Orthop. 2019 Sep;156(3):355-364. doi: 10.1016/j.ajodo.2018.09.020.
Fu PS, Wang JC, Wu YM et al… Impacted mandibular second molars. Angle Orthod. 2012 Jul;82(4):670-5. doi: 10.2319/102111-656.1.
Han T, Christensen BJ. Surgical treatment of impacted mandibular second molars: A systematic review. J Oral Maxillofac Surg. 2022 Jan;80(1):29-36. doi:10.1016/j.joms.2021.08.160.
Shpack N, Finkelstein T, Lai YH, Kuftinec MM, Vardimon A, Shapira Y. Mandibular permanent second molar impaction: treatment options and outcome. Open J Dent Oral Med. 2013;1(1):9–14. doi:10.13189/ojdom.2013.010103.
Andreasen JO, Petersen JK, Laskin DM. Textbook and color atlas of tooth impactions. Copenhagen: Munksgaard; 1997. p. 199–208.
Shapira Y, Finkelstein T, Shpack N, Lai YH, Kuftinec MM, Vardimon A. Mandibular second molar impaction. Part I: Genetic traits and characteristics. Am J Orthod Dentofacial Orthop. 2011 Jul;140(1):32-7. doi: 10.1016/j.ajodo.2009.08.034.
Lorente C, Lorente P, Perez-Vela M, Esquinas C, Lorente T. Treatment of impacted or retained second molars with the miniscrew-supported pole technique: a prospective follow-up study. Prog Orthod. 2022 Oct 10;23(1):36. doi: 10.1186/s40510-022-00432-5.
Turley PK. The management of mesially inclined/impacted mandibular permanent second molars. J World Fed Orthod. 2020 Oct;9(3S):S45-S53. doi:10.1016/j.ejwf.2020.09.004.
Shpack N, Finkelstein T, Lai YH, , et al. Aberration in the path of eruption of the mandibular permanent second molar. J Interdiscipl Med Dent Sci 1: 103. doi: 10.4172/2376-032X.1000103
Moca RT, Moca AE, Juncar M. Prevalence and symmetry of positional anomalies in second permanent molars: Study of Romanian patients. Pediatr Rep. 2024 Dec 10;16(4):1149-1160. doi: 10.3390/pediatric16040097.
McKeon KR, Mortimer RR, Burnheimer JM. Evaluation of panoramic images in the assessment of mandibular second molar impaction. J Clin Exp Dent. 2024 Nov 1;16(11):e1317-e1322. doi: 10.4317/jced.62127
Shinohara EH, Kaba SC, Pedron IG, Imparato JC. Bilateral lower second molar impaction in teenagers: an emergent problem? Indian J Dent Res. 2010 Apr-Jun;21(2):309-10. doi: 10.4103/0970-9290.66631.
Varpio M, Wellfelt B. Disturbed eruption of the lower second molar: clinical appearance, prevalence, and etiology. ASDC J Dent Child. 1988;55(2):114-118
Bondemark L, Tsiopa J. Prevalence of ectopic eruption, impaction, retention and agenesis of the permanent second molar. Angle Orthod. 2007 Sep;77(5):773-8. doi: 10.2319/072506-306.1. PMID: 17685771.
Padwa BL, Dang RR, Resnick CM. Surgical uprighting is a successful procedure for management of impacted mandibular second molars. J Oral Maxillofac Surg. 2017 Aug;75(8):1581-1590. doi: 10.1016/j.joms.2017.02.027.
Cassetta M, Altieri F, Di Mambro A, Galluccio G, Barbato E. Impaction of permanent mandibular second molar: a retrospective study. Med Oral Patol Oral Cir Bucal. 2013 Jul 1;18(4):e564-8. doi: 10.4317/medoral.18869.
Caminiti MF, El-Rabbany M, Lou T, Reinish EI. Surgical uprighting of mandibular second molars: A single-group retrospective cohort study. Am J Orthod Dentofacial Orthop. 2020 Dec;158(6):849-855. doi: 10.1016/j.ajodo.2019.11.016
Pippi R, Luigetti L, Pietrantoni A. Surgical uprighting and repositioning of unerupted molars: Features and findings of a retrospective sample. J Clin Exp Dent. 2021 Dec 1;13(12):e1196-e1201. doi: 10.4317/jced.58972.
Cho SY, Ki Y, Chu V, Chan J. Impaction of permanent mandibular second molars in ethnic Chinese schoolchildren. J Can Dent Assoc. 2008 Jul-Aug;74(6):521.
Selvido DI, Wongsirichat N, Arirachakaran P, Rokaya D, Wongsirichat N. Surgical Management of Impacted Lower Second Molars: A Comprehensive Review. Eur J Dent. 2022 Jul;16(3):465-477. doi: 10.1055/s-0041-1739443
Magnusson C, Kjellberg H. Impaction and retention of second molars: diagnosis, treatment and outcome. A retrospective follow-up study. Angle Orthod. 2009 May;79(3):422-7. doi: 10.2319/021908-97.1
Abate A, Cavagnetto D, Fama A, Matarese M, Bellincioni F, Assandri F. Efficacy of operculectomy in the treatment of 145 cases with unerupted second molars: A retrospective case-control study. Dent J (Basel). 2020 Jul 1;8(3):65. doi: 10.3390/dj8030065.
Moreira-Souza L, Butini Oliveira L, Gaêta-Araujo H, Almeida-Marques M, Asprino L, Oenning AC. Comparison of CBCT and panoramic radiography for the assessment of bone loss and root resorption on the second molar associated with third molar impaction: a systematic review. Dentomaxillofac Radiol. 2022 Mar 1;51(3):20210217. doi: 10.1259/dmfr.20210217.
Barone S, Antonelli A, Bocchino T, Cevidanes L, Michelotti A, Giudice A. Managing mandibular second molar impaction: A systematic review and meta-analysis. J Oral Maxillofac Surg. 2023 Nov;81(11):1403-1421. doi: 10.1016/j.joms.2023.08.168.
Pogrel MA. The surgical uprighting of mandibular second molars. Am J Orthod Dentofacial Orthop. 1995 Aug;108(2):180-3. doi: 10.1016/s0889-5406(95)70081-1.
Tamer İ, Öztaş E, Marşan G. Up-to-date approach in the treatment of impacted mandibular molars: A literature review. Turk J Orthod. 2020 May 21;33(3):183-191. doi: 10.5152/TurkJOrthod.2020.19059.
Gooris CG, Artun J, Joondeph DR. Eruption of mandibular third molars after second-molar extractions: a radiographic study. Am J Orthod Dentofacial Orthop. 1990 Aug;98(2):161-7. doi: 10.1016/0889-5406(90)70010-a.
Dela-Rosa-Gay C, Valmaseda-Castellón E, Gay-Escoda C. Spontaneous third-molar eruption after second-molar extraction in orthodontic patients. Am J Orthod Dentofacial Orthop. 2006 Mar;129(3):337-44. doi: 10.1016/j.ajodo.2005.11.002. Erratum in: Am J Orthod Dentofacial Orthop. 2006 Aug;130(2):266.
Dhar S, Singh G, Mishra M, Gaur A. A Prospective study on autotransplantation of mandibular third molars with complete root formation. Craniomaxillofac Trauma Reconstr. 2022 Dec;15(4):340-349. doi: 10.1177/19433875211055600.
Pattanshetti C, Sankeshwari B, Shinde S, Kadam P, Kadam H, Shirkande A. Clinical assessment of immediate autotransplantation of mandibular third molars: An in vivo study. Cureus. 2023 Jul 2;15(7):e41293. doi: 10.7759/cureus.41293.
Kvint S, Lindsten R, Magnusson A, Nilsson P, Bjerklin K. Autotransplantation of teeth in 215 patients. A follow-up study. Angle Orthod. 2010 May;80(3):446-51. doi: 10.2319/062509-354.1.
Fugazzotto PA. A comparison of the success of root resected molars and molar position implants in function in a private practice: results of up to 15-plus years. J Periodontol. 2001 Aug;72(8):1113-23. doi: 10.1902/jop.2001.72.8.1113.
Lundberg T, Isaksson S. A clinical follow-up study of 278 autotransplanted teeth. Br J Oral Maxillofac Surg. 1996 Apr;34(2):181-5. doi: 10.1016/s0266-4356(96)90374-5.
Dixit A, Randhawa RK, Randhawa GS, Nimavat A, Patel T, Jani Y. Autogenic molar transplantation of third molar with complete root formation versus incomplete root formation: A Prospective Clinical Study. J Pharm Bioallied Sci. 2024 Jul;16(Suppl 3):S2168-S2171. doi: 10.4103/jpbs.jpbs_66_24.
Kimura H, Hamada Y, Eida T, Kumano T, Okamura K, Yokota M. Long-term outcome of autotransplantation of a complete root formed a mandibular third molar. Case Rep Dent. 2021 Nov 27;2021:5512804. doi: 10.1155/2021/5512804.
Valmaseda-Castellón E, De-la-Rosa-Gay C, Gay-Escoda C. Eruption disturbances of the first and second permanent molars: results of treatment in 43 cases. Am J Orthod Dentofacial Orthop. 1999 Dec;116(6):651-8. doi: 10.1016/s0889-5406(99)70200-3.

Amirbagloy Darian, Melika
Estudiante de Grado de Odontología. Facultad de Odontología. Universidad Complutense de Madrid (UCM).
Sharif Ardestanian Moghadam, Alireza
Estudiante de Grado de Odontología. Facultad de Odontología. Universidad Complutense de Madrid (UCM).
Martínez Rodríguez, Natalia
Profesora Asociada de Cirugía Bucal Facultad de Odontología. Universidad Complutense de Madrid (UCM).
Hurtado Celotti, Dolores
Profesora Colaboradora. Facultad de Odontología. Universidad Complutense de Madrid (UCM).
Martínez Rodríguez, César
Profesor Colaborador Máster de Ortodoncia Facultad de Odontología. Universidad Complutense de Madrid (UCM).
Martínez-González, José María
Profesor Titular de Cirugía Maxilofacial. Facultad de Odontología. Universidad Complutense de Madrid (UCM).





