Científica Dental: septiembre-octubre-noviembre-diciembre 2024

Contenidos de la publicación
1 | Editorial | |
2 | Artículo original | Influencia de un adhesivo a base de cianocrilato en el dolo y cicatrización de la zona donante palatina tras la toma de injertos de tejido conectivo: resultados preliminares de un ensayo clínico aleatorizado multicéntrico |
3 | Revisión bibliográfica | Activación del eje HPA ante un agente estresante. Actualización de la determinación mediante cortisol salival |
4 | Revisión bibliográfica | Sinusitis maxilar de origen endodóntico. Revisión de la literatura |
5 | Caso clínico | Implantes cortos Core-X® para lograr una mejora de la estabilidad primaria en el maxilar posterior con atrofia vertical y baja densidad. A propósito de un caso |
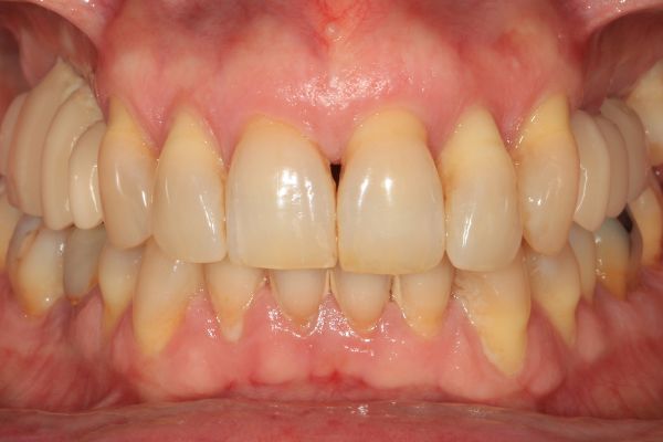
6 | Caso clínico | Enfoque microinvasivo para el manejo de lesiones de mancha blanca en un caso de amelogénesis imperfecta |
7 | Colaboración especial | Medir las cosas. La precisión y la exactitud |

Dra. Mª Isabel Leco Berrocal
Directora de la revista Científica Dental del Ilustre Colegio Oficial de Odontólogos y Estomatólogos de la Iª Región

Dra. Mª Victoria Mateos Moreno
Subdirectora de la revista Científica Dental del Ilustre Colegio Oficial de Odontólogos y Estomatólogos de la Iª Región.
Editorial
Queridos colegiados, compañeros y lectores de Científica Dental:
Con este número de la revista cerramos el año 2024 presentando seis trabajos que esperamos sean de vuestro interés. Así entramos en el 2025 con muchas ganas de trabajar y hacer que nuestros colegiados, compañeros, amigos y lectores puedan ver en cada número de este año un tema que les facilite o ayude a su labor profesional diaria.
Contamos en este número con un artículo original, dos revisiones de la literatura y dos casos clínicos que abarcan diferentes áreas de la actividad clínica y actualidad científica de nuestra profesión. Y la colaboración especial del Prof. de la Macorra que continua con una visión general de la ciencia y la investigación, con un artículo titulado “Medir las cosas. La exactitud y la precisión”
El artículo original de Cárceles-Raga y cols. presenta los resultados preliminares de un estudio clínico sobre la influencia de un adhesivo a base de cianoacrilato en el dolor y cicatrización de la zona donante palatina tras la toma de injertos de tejido conectivo, con un estudio multicéntrico.
El equipo de Barrientos y cols. realiza una detallada revisión bibliográfica de actualización sobre la activación del eje HPA ante un agente estresante, mediante la determinación del cortisol salival. León y Curiel analizan en una amplia revisión de la literatura la sinusitis maxilar de origen endodóntico.
A continuación, se presentan dos casos clínicos. El primero de Anitua que describe un interesante caso con implantes cortos Core-X® para mejorar la estabilidad primaria en maxilar posterior con atrofia vertical y baja densidad ósea con un seguimiento de un año posterior a la carga. Contamos además con el trabajo del equipo de Angamarca y cols. que presentan un caso clínico sobre el tratamiento de lesiones de mancha blanca en amelogénesis imperfecta con un enfoque microinvasivo, y con una amplia iconografía.
Desde el equipo de Científica Dental esperamos que estos trabajos sean de vuestro interés y agradecemos a todos los autores su confianza y el hacernos partícipes de sus investigaciones, trabajos clínicos y académicos.
Como siempre estamos abiertos a todas vuestras sugerencias, colaboraciones y participaciones. Os esperamos en el próximo número.
Artículos de la publicación

Activación del eje HPA ante un agente estresante. Actualización de la determinación mediante cortisol salival





