Artículo original
Reichard Monefeldt, G. Diéguez Pérez, M. Características de la posición craneocervical con diferentes oclusiones en pacientes en desarrollo. Relación craneocervical y oclusión. Cient. Dent. 2020; 17; 2; 87-92
Características de la posición craneocervical con diferentes oclusiones en pacientes en desarrollo. Relación craneocervical y oclusión
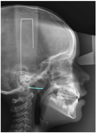
En la actualidad la relación entre oclusión y posturología despierta un gran interés científico, sobre todo de cara a la instauración de un tratamiento multidisciplinar. Sin embargo, la diversidad de estudios se refiere sobre todo a la población adulta y no hay un consenso común entre las diferentes investigaciones. En base a ello nos planteamos como objetivo estudiar la posición craneocervical en diferentes oclusiones en población en desarrollo. Mediante un diseño de carácter transversal fueron seleccionados 64 pacientes pediátricos con historia clínica completa y radiografías laterales de cráneo de calidad. Las variables analizadas mediante el software de ImageJ® y Nemoceph® fueron FP-MP, ángulo ANB, OPT-SN, CVT-SN y Ad1-Ba. El análisis estadístico descriptivo y comparativo se llevó a cabo mediante el programa programa IBM SPSS® hallando posteriormente la fiabilidad intraexaminador. Los valores p obtenidos para cada una de las variables fueron 0,846 para FP-MP, 0,008 para el ángulo ANB, 0,155 para OPT-SN, 0,415 para CVT-SN y 0,221 para Ad1-Ba. Por todo ello, creemos que la posición craneofacial en las diferentes oclusiones podría estar determinada por el hecho de que el desarrollo todavía no ha finalizado.
Currently, the relationship between occlusion and posture arouses great scientific interest, especially during the establishment of a multidisciplinary treatment. However, the diversity of studies refers mostly to the adult population and there is no common agreement among the different investigations. Based on this, we aimed to study the craniocervical position in different occlusions in the developing pediatric population. Through a crosssectional design, 64 pediatric patients with complete clinical history and high-quality lateral skull radiographs were selected. The variables analyzed by ImageJ® and Nemoceph® software’s were FP-MP, ANB angle, OPT-SN, CVT-SN and Ad1-Ba. Descriptive and comparative statistical analysis was carried out with IBM SPSS Statistics® software, subsequently finding intra-examiner agreement. P-values obtained for each of these variables were 0.846 for FP-MP, 0.008 for ANB angle, 0.155 for OPT-SN, 0.415 for CVT-SN, and 0.221 for CVT-SN. Based on these results, we believe that the craniofacial position in the different occlusions could be determined by the fact that the development has not yet been completed.
La relación entre odontología y posturología es una fuente constante de interés e investigación en las décadas recientes1-3. La maloclusión no sólo es el resultado de la acción de factores genéticos y ambientales sino también posturales. Alteraciones cervicales como fusiones y deficiencias posteriores del arco se pueden observar en pacientes con alteraciones oclusales2 .
Sin embargo, son varias las revisiones sistemáticas que demuestran la existencia de una laguna de información científica confiable sobre esta relación, más aún en pacientes en desarrollo. Esta confusión, en parte viene determinada por la existencia de una gran variedad de enfoques y errores metodológicos en los estudios realizados4-7 .
Autores como Aranitasi y cols.,2 afirman que pacientes no sindrómicos presentan una alta prevalencia de fusión entre vértebras cervicales cuando presentan clase II y III esquelética.Según Lippold y cols.,8 existen ya asociaciones entre anomalías oclusales y escoliosis en población preescolares.
Solow y Sonnesen9 observan un claro patrón de asociación entre un apiñamiento de más de 2 mm y postura cráneo-cervical en pacientes pediátricos.
Para D’Attilio y cols.,10 los niños/as con clase III esquelética pueden presentar un ángulo de lordosis cervical significativamente inferior en comparación con los de clase I y II esquelética; presentando una extensión de la cabeza sobre la columna vertebral significativamente mayor en las malcoclusiones de clase II al compararlas con las de I y III esquelética.
Según Gogola y cols.,11 los infantes con posturas defectuosas presentan maloclusiones más marcadas que los que presentan una postura corporal correcta.
Otro aspecto para tener en cuenta en este ámbito es la relevancia de la vía aérea, por ello al evaluar la vía nasal y los volúmenes orofaríngeos en población infantil y con diferentes patrones esqueléticos dentofaciales se observó como la posición de la mandíbula con respecto a la base craneal tiene un efecto sobre el volumen de la vía aérea12 .
Para Kim y cols.,13 la postura de la cabeza en niños/as y adolescentes se asocia a diferentes dimensiones craneofaciales, determinando por ello y en casos con mordida abierta un componente etiológico respiratorio.
Šidlauskienė y cols.,14 analizan en población infantil la oclusión y postura corporal general así como la patología nasofaríngea, tales como, las desviaciones en septum nasal, hipertrofia de adenoides, tonsilares y rinitis alérgicas. Hallaron una relación estadísticamente significativa entre la presencia de una postura cifótica y una reducción en el ángulo SNB, representando la posición sagital de la mandíbula; y una asociación estadística significativa entre la postura cifótica y la obstrucción nasofaríngea.
Rocha y cols.,3 al evaluar el modo de respiración, parámetros oclusales y posturales en población infantil y adolescente, observaron en algunos grupos de estudio con respiración oral, una posición más baja del hueso hioideo con respecto al plano de la mandíbula.
Para Silvestrini y cols.,15 las variables posturales, ortópticas, osteopáticas y oclusales a menudo se asociaron clínicamente en población infantil, por ello todos estos trastornos parecen requerir de un enfoque médico multidisciplinario para su tratamiento.
A lo que estos precedentes mencionados se encaminan es a que la relación entre la oclusión y la posturología es una fuente continua de interés para todos los profesionales y en la prestación de atención sanitaria durante las últimas décadas. Y según Perinetti16, la relevancia recae en que la maloclusión dental tiene una prevalencia muy alta entre la población infantil, y por ende, los potenciales efectos negativos de esta sobre la postura corporal podrían proporcionar otras indicaciones para los tratamientos de ortodoncia.
La falta de consenso entre las diferentes investigaciones y los escasos estudios en pacientes en desarrollo nos invita a estudiar la posición craneocervical en diferentes oclusiones en esta población.
Souza D, Martinelli E. A longitudinal evaluation of the skeletal profile of treated and untreated skeletal class II individuals. Angle Orthod 2005;75 (1): 7.
Aranitasi L, Tarazona B, Zamora N, Gandía JL, Paredes V. Influence of skeletal class in the morphology of cervical vertebrae: A study using cone beam computed tomography. Angle Orthod 2017;87(1):131.
Chambi-Rocha A, Cabrera-Domínguez ME, Domínguez-Reyes A. Breathing mode influence on craniofacial development and head posture. J Pediatr 2018; 94(2):123–130.
Amat P. Occlusion, orthodontics and posture: are there evidences? The example of scoliosis. Int J Stomatol Occlusion Med 2009;2(1):2–10.
Hanke BA, Motschall E, Türp JC. Association between orthopedic and dental findings: what level of evidence is available? J Orofac Orthop Fortschritte Kieferorthopädie 2007; 68 (2): 91–107.
Michelotti A, Buonocore G, Manzo P, Pellegrino G, Farella M. Dental occlusion and posture: an overview. Prog Orthod 2011;12(1): 53–58.
Neiva PD, Kirkwood RN, Mendes PL, Zabjek K, Becker HG, Mathur S. Postural disorders in mouth breathing children: a systematic review. Braz J Phys Ther 2018;22(1):7-19.
Lippold C, van den Bos L, Hohoff A, Danesh G, Ehmer U. Interdisciplinary study of orthopedic and orthodontic findings in pre-school infants. J Orofac Orthop Fortschritte Kieferorthopädie 2003; 64(5): 330–340.
Solow B, Sonnesen L. Head posture and malocclusions. Eur J Orthod 1998;20(6):685–93.
D’Attilio M, Caputi S, Epifania E, Festa F, Tecco S. Evaluation of cervical posture of children in skeletal class I, II, and III. CRANIO® 2005;23(3): 219–228.
Gogola A. Assessment of connection between the bite plane and body posture in children and teenagers. Develpmental Period Med 2014;18 (4):453–458.
El H, Palomo JM. Airway volume for different dentofacial skeletal patterns. Am J Orthod Dentofacial Orthop 2011; 139 (6): e511–521.
Kim P, Sarauw MT, Sonnesen L. Cervical vertebral column morphology and head posture in preorthodontic patients with anterior open bite. Am J Orthod Dentofacial Orthop 2014; 145 (3): 359–66.
Šidlauskas M. Relationships between malocclusion, body posture, and nasopharyngeal pathology in pre-orthodontic children. Med Sci Monit 2015; 21:1765–1773.
Silvestrini-Biavati A, Migliorati M, Demarziani E, Tecco S, Silvestrini-Biavati P, Polimeni A, y cols. Clinical association between teeth malocclusions, wrong posture and ocular convergence disorders: an epidemiological investigation on primary school children. BMC Pediatr 2013;13(1).
Perinetti G. Dental occlusion and body posture: No detectable correlation. Gait Posture 2006; 24(2):165–168.
Arntsen T, Sonnesen L. Cervical vertebral column morphology related to craniofacial morphology and head posture in preorthodontic children with Class II malocclusion andhorizontal maxillary overjet. Am J Orthod Dentofacial Orthop 2011; 140 (1): e1–7.
Tardieu C, Dumitrescu M, Giraudeau A, Blanc J-L, Cheynet F, Borel L. Dental occlusion and postural control in adults. Neurosci Lett 2009; 450 (2): 221–224.
Castro-Silva L, Monnazzi MS, Spin-Neto R, Moraes M, Miranda S, Real Gabrielli MF, y cols. Cone-beam evaluation of pharyngeal airway space in class I, II, and III patients. Oral Surg Oral Med Oral Pathol Oral Radiol 2015; 120 (6): 679–683.
Kim Y-J, Hong J-S, Hwang Y-I, Park Y-H. Three-dimensional analysis of pharyngeal airway in preadolescent children with different anteroposterior skeletal patterns. Am J Orthod Dentofacial Orthop 2010; 137(3): 306.e1-306.e11.




