Ir al contenido principal
Filtros

 

Todavía no hay términos de filtro

Todavía no hay términos de filtro

  • Todavía no hay términos de filtro
Diéguez Pérez, Montserrat

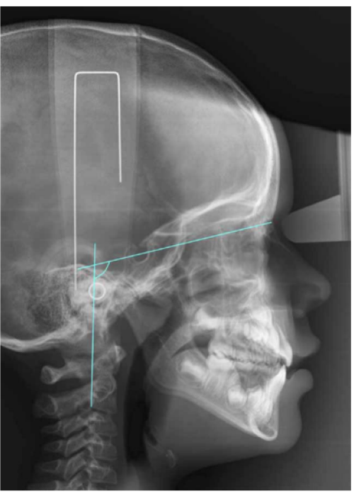
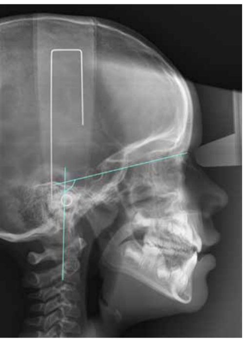
Características de la posición craneocervical con diferentes oclusiones en pacientes en desarrollo. Relación craneocervical y oclusión

Craniocervical position characteristics for different occlusions in developing patients: Craniocervical relationship and occlusion

Cronología y secuencia de erupción de la dentición permanente. Actualización en la población infantil española

Relación entre el nivel socioeconómico y la cronología y secuencia de erupción de la dentición permanente

Relationship between the socioeconomic status and the chronology and eruption sequence of permanent dentition