Caso clínico
Anitua, E. Abordaje del maxilar posterior atrófico: elevación de seno por abordaje lateral Vs. Implantes extra-cortos. Caso clínico con ocho años de seguimiento. Cient. Dent. 2020; 17; 1; 19-26
Abordaje del maxilar posterior atrófico: elevación de seno por abordaje lateral Vs. Implantes extra-cortos. Caso clínico con ocho años de seguimiento
La pérdida ósea vertical en los sectores posteriores maxilares es un hecho frecuente tras la extracción dental. En muchas ocasiones para rehabilitar estas zonas podemos emplear técnicas de regeneración u optar por un abordaje más conservador con implantes cortos.
En el presente caso clínico mostramos un caso rehabilitado bilateralmente con dos técnicas diferentes: elevación de seno y la inserción de implantes cortos, con un seguimiento de ocho años donde ambas técnicas han logrado resultados igualmente predecibles.
Vertical bone loss in the posterior maxillary sectors is a frequent occurrence after tooth extraction. These areas can often be rehabilitated using regeneration techniques or by opting for a more conservative approach with short implants.
The present clinical case shows bilateral rehabilitation with two different techniques: sinus lift and the insertion of short implants, with a follow-up of 8 years where both techniques have achieved equally predictable results..
El abordaje de los sectores posteriores del maxilar con extrema reabsorción es una situación común en la consulta odontológica. La pérdida de los dientes antrales, produce una neumatización del seno maxilar ocupándose progresivamente el espacio correspondiente a las raíces dentales llegando a generarse en algunos casos, atrofias completas resultando tras la cicatrización del alveolo dental una altura ósea residual de 1-2 mm. Esta neumatización se produce con el paso del tiempo desde la extracción dental, pero es impredecible en cuanto a cantidad y velocidad, pareciendo guardar una ligera relación con el tipo de relación que se produce entre el ápice y el seno.
Esta relación fue descrita por Sharan y Madjar en el año 2008, quedando establecida una clasificación donde se prevé una mayor neumatización para los tipos 3 y 4 de esta clasificación (Figura 1)1.
Hasta la llegada de los implantes cortos y extra-cortos la única alternativa de tratamiento de estos casos era la elevación de seno (por vía lateral o vía transcrestal), existiendo diferentes técnicas y procedimientos para llevarlas a cabo. Con ello se intentaba ganar el volumen óseo perdido y la posterior inserción de implantes de longitud convencional a ese nivel 2-6.
El desarrollo de los implantes cortos y toda la técnica para su uso permite en ocasiones la inserción de implantes en grandes atrofias verticales posteriores del maxilar evitando la realización de elevaciones de seno.
Hoy en día, la mayoría de los autores aceptan como implantes cortos aquellos con una longitud inferior a 8,5 mm, aunque en muchos casos, existen ya longitudes muy por debajo de esta cifra7-9. Los implantes extra-cortos sufren más variación en cuanto a su clasificación. En los últimos artículos publicados al respecto se considera implantes extra-cortos a aquellos con una longitud inferior a 7 mm10-12.
La llegada de estos implantes de menor longitud supone una menor morbilidad para los pacientes al mismo tiempo que posibilita la rehabilitación de pacientes que en ocasiones pueden negarse a la realización de técnicas accesorias como la elevación de seno o incluso en aquellos en los que técnicas más complejas puedan estar contraindicadas por diferentes motivos médicos13-17. Estos implantes cortos y extra-cortos pueden ser insertados en las zonas atróficas del maxilar de forma directa sin el desplazamiento de la cortical inferior sinusal y sin realizar por lo tanto ninguna maniobra sobre el seno maxilar. Con esta técnica, el principal reto quirúrgico es lograr la estabilidad de los implantes, ya que por lo general en estos casos nos enfrentamos a huesos con elevada porosidad y un remanente óseo en altura escaso18-22. Por ello el establecimiento de un protocolo quirúrgico cuidadoso basado en un fresado en función del lecho receptor es clave para lograr el éxito de estos tratamientos13-17.

Tipo 0: la raíz no se encuentra en contacto con la cortical sinusal.
Tipo 1: la cortical del seno describe una curva de convexidad inferior que contacta ligeramente con la zona superior del ápice radicular.
Tipo 3: la cortical sinusal describe una curva de convexidad inferior y los ápices de las raíces de los dientes antrales se proyectan en el interior del seno.
Tipo 4: la cortical sinusal describe una curva de concavidad inferior rodeando los ápices de los dientes antrales pudiendo existir una ligera proongación de los ápices radiculares en el interior del seno.
En el siguiente caso clínico mostramos una paciente con ambos procedimientos: implantes extra-cortos insertados directamente en un cuadrante maxilar y elevación de seno con implantes de longitud convencional en el otro cuadrante, pudiendo observar la evolución de ambos tratamientos en un mismo paciente a lo largo de ocho años.
Presentamos el caso de una paciente femenina de 58 años que acude a la consulta dental para valoración de los molares 16 y 17 por dolor y movilidad. En la exploración clínica se observa movilidad de ambos y supuración a nivel del surco. La radiografía confirma nuestro diagnóstico encontrándonos con una pérdida ósea considerable y una perforación sinusal a nivel del ápice de ambos molares (Figura 2).
Se realiza la extracción de ambos y la regeneración de los alveolos con PRGF-Endoret para lograr el sellado de la perforación y una evolución lo más favorable posible para la posterior inserción de los implantes en la zona. Tras dos meses podemos observar en el Cone-Beam dental que la perforación se ha cerrado completamente pero el volumen óseo residual en altura para la inserción de los implantes es insuficiente, existiendo únicamente un 2 mm de altura ósea (Figuras 3 y 4).
Por ello, se decide llevar a cabo una elevación de seno utilizando biomaterial (hidroxiapatita bovina) unido a PRGF-Endoret. Se realiza la elevación y tras cinco meses se procede a la evaluación de un nuevo Cone-beam dental para poder visualizar la cantidad y calidad del injerto obtenido para la inserción de los implantes dentales. En los cortes correspondientes a los molares del primer cuadrante podemos observar una perfecta consolidación del injerto con la posibilidad de insertar implantes de 13 mm.


Hoy en día esta longitud de implantes no sería de nuestra elección, ya que estudios publicados por nuestro grupo con implantes cortos y extra-cortos avalan su uso, además de demostrar que en la distribución de cargas de un implante ya integrado es más importante el diámetro del mismo que la longitud, trabajando del mismo modo un implante de 8,5mm de longitud que uno de 13 mm a igual diámetro18.
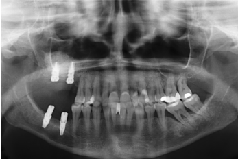
En el año 2007, con los implantes cortos sin pleno desarrollo y sin estudios que demostraran la importancia del diámetro frente a la longitud del implante el protocolo terapéutico para estos casos era muy diferente (Figuras 5-7), centrándose los esfuerzos en la búsqueda de un anclaje por longitud del implante en lugar de buscar la estabilidad bicortical (vestibular-lingual) que realizan los implantes cortos y anchos. Durante este tiempo se produce también
el fracaso de los molares 46 y 47 que deben ser extraídos y reemplazados por implantes dentales.
Una vez transcurridos seis meses tras la colocación de los implantes, se procede a la confección de la prótesis definitiva, en este caso mediante un puente cementado. Este protocolo protésico tampoco es el que seguimos actualmente donde prima la estanqueidad, el hermetismo y el empleo de prótesis atornilladas mediante elemento intermedio o transepitelial, pero en ese momento con este tipo de rehabilitaciones y la conformación de un perfil de emergencia “bio” en los pilares era como se terminaban estos casos (Figura 8)13-18. La implementación de los transepiteliales en las prótesis atornilladas abre un nuevo horizonte en la prótesis, cambiando el protocolo de nuestro grupo de trabajo hacia una mejora del sellado implante-prótesis, al mismo tiempo que se reducen los desajustes protésicos (al ser tomada la impresión directamente sobre el transepitelial y no a la conexión del implante) y se mejora la estanqueidad, disminuyendo entre otras cosas, el riesgo de periimplantitis19-20.
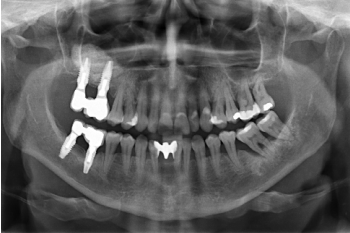
Transcurridos cuatro años, los molares del segundo y tercer cuadrante comienzan a tener una movilidad excesiva y problemas periodontales graves, por lo que se decide la extracción de los mismos y la regeneración de los alveolos con PRGF-Endoret. Una vez regenerada la zona (mes y medio después) se procede a la obtención de un Cone-beam para evaluar el volumen óseo residual. En el mismo se puede observar cómo existe una cresta ósea desigual con zonas de 3,3 mm de altura hasta 7 mm como máximo (Figuras 9 y 10). En esta ocasión, debido al cambio de protocolo descrito anteriormente, se opta por la inserción de implantes extra-cortos de forma directa, ya que los protocolos quirúrgicos para abordar este tipo de situaciones en el año 2011 variaron sustancialmente, siendo estos implantes una herramienta de primera línea para el tratamiento de este tipo de atrofias (Figura 11). Se seleccionan dos implantes extra-cortos (5,5 mm de diámetro x 6,5 mm de longitud para la pieza dental número 26 y 6 mm de diámetro por 5,5 mm de longitud para la pieza dental número 27).
Una vez transcurridos seis meses desde la inserción de los implantes extra-cortos, se procede a la colocación de la prótesis definitiva, en este caso, atornillada y con un componente intermedio (transepitelial), al igual que se confecciona del mismo modo la prótesis inferior del tercer cuadrante. En este punto cronológico, la filosofía de
trabajo mediante prótesis atornillada con transepitelial y la búsqueda de hermetismo y ajuste pasivo es la filosofía dominante para la rehabilitación sobre implantes y continúa siéndolo hoy en día (Figura 12).
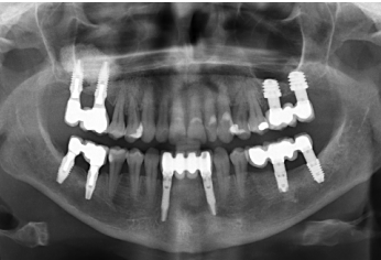
Finalmente, podemos observar la estabilidad de ambos tratamientos en la radiografía final a los 8 años, donde ambos se mantienen estables sin pérdidas óseas (Figura 13)



Los protocolos terapéuticos en implantología han evolucionado notoriamente en los últimos años, avanzando hacia enfoques mínimamente invasivos, sin renunciar a la predictibilidad. Por ello, los implantes cortos y extra-cortos son una opción cada vez más empleada con el fin de evitar cirugías agresivas y con alta morbilidad, siendo también una alternativa para la rehabilitación del maxilar posterior atrófico en altura, evitando la realización de técnicas de elevación de seno en casos donde la altura ósea residual lo permita15-17.
Desde la descripción de la técnica de elevación de seno convencional (ventana lateral) por Tatum en el año 198622, se ha utilizado este procedimiento para la rehabilitación de sectores posteriores maxilares con atrofia vertical con tasas de éxito elevadas situándose actualmente entorno al 98% con seguimientos a largo plazo (mayores de 15 años)26-27.
No obstante, esta técnica puede causar la perforación de la membrana de Schneider, y aunque hoy ya no es una exclusión para la inserción de los implantes en la misma cirugía (en función de la extensión de la perforación y el caso) cuando esta perforación sucede, las tasas de éxito de los implantes insertados en esas zonas disminuye hasta el 88,6%6. Además, la necesidad de varias cirugías unidas a un mayor incremento de la morbilidad en los pacientes, nos hacen optar por técnicas menos invasivas como los implantes cortos. Estos implantes, cuando se insertan en sectores posteriores edéntulos con reabsorción vertical elevada presentan menor tasa de complicaciones quirúrgicas y protésicas y menor pérdida ósea marginal, por lo que son una alternativa predecible a los procedimientos de aumento óseo y posterior inserción de implantes28.

Summers en 1994 describe primera variación de la técnica de abordaje lateral que presenta una modificación para reducir la invasividad de la técnica. Esta técnica consiste en un abordaje desde la cresta alveolar mediante el uso de osteotomos de calibre progresivo que realizan un orificio que sirve a la vez para la elevación de la membrana de Schneider y la colocación posterior del implante dental29.
Esta técnica ha sido ampliamente utilizada para el abordaje crestal de las extremas reabsorciones posteriores del maxilar superior con con cifras de supervivencia de los implantes insertados entre un 88,65%30 hasta un 100%31.
Otras técnicas han sido utilizadas para el abordaje del maxilar posterior atrófico en diferente grado como distracción ósea, implantes zigomáticos, injertos en bloque o regeneración ósea guiada. Todas ellas alcanzan porcenta jes de éxito similares a las dos presentadas en este caso clínico, siendo los implantes cortos y extra-cortos los que menor ratio de complicaciones y morbilidad generan para el paciente32-35.
La supervivencia a largo plazo de los implantes cortos muestra también una tasa muy similar a la de los implantes largos con elevación de seno y por ello ambas técnicas pueden ser consideradas como de elección, aunque desde el punto de vista de la morbilidad, los implantes cortos son la mejor alternativa36-37.



En el caso clínico presentado, ambas alternativas terapéuticas muestran éxito de tratamiento para esta situación clínica y este paciente en concreto y pudiendo considerarlas igual de válidas para resolver la atrofia vertical del maxilar en el presente caso. En casos con mayor grado de atrofia vertical o en situaciones diferentes en cuanto a densidad y volumen óseo residual deberemos valorar la aplicación de una u otras técnicas para lograr el éxito del tratamiento.
Sharan A, Madjar D. Maxillary sinus pneumatization following extractions: a radiographic study. Int J Oral Maxillofac Implants 2008; 23(1):48-56
Correia F, Pozza DH, Gouveia S, Felino A, Faria E, Almeida R. The applications of regenerative medicine in sinus lift procedures: A systematic review. Clin Implant Dent Relat Res 2018; 20:229-242
Cho YS, Chong D, Yang SM, Kang B. Hydraulic Transcrestal Sinus Lift: Different Patterns of Elevation in Pig Sinuses. Implant Dent 2017; 26:706-10.
Li Y, Hu P, Han Y, Fan J, Dong X, Ren H, Yang C, Shi T, Xia D. Ex vivo comparative study on three sinus lift tools for transcrestal detaching maxillary sinus mucosa. Bioengineered 2017; 4(8):359-66.
Silva LD, de Lima VN, Faverani LP, de Mendonça MR, Okamoto R, Pellizzer EP. Maxillary sinus lift surgery-with or without graft material? A systematic review. Int J Oral Maxillofac Surg 2016; 45:1570-6.
Borgonovo AE, Vitaliano T, Medagliani P, Bianchi A, Re D. Crestal sinus lift by using a mini-invasive procedure: a case series. Minerva Stomatol 2016; 65:107-17
Esfahrood ZR, Ahmadi L, Karami E, Asghari S. Short dental implants in the posterior maxilla: a review of the literature. J Korean Assoc Oral Maxillofac Surg 2017; 43:70-6.
Lemos CA, Ferro-Alves ML, Okamoto R, Mendonça MR, Pellizzer EP. Short dental implants versus standard dental implants placed in the posterior jaws: A systematic review and meta-analysis. J Dent 2016; 47:8-17.
Cannizzaro G, Felice P, Leone M, Viola P, Esposito M. Early loading of implants in the atrophic posterior maxilla: lateral sinus lift with autogenous bone and Bio-Oss versus crestal mini sinus lift and 8-mm hydroxyapatite-coated implants: a
randomised controlled clinical trial. Eur J Oral Implantol 2009; 2:25-38.
Gürlek Ö, Kaval ME, Buduneli N, Nizam N. Extra-short implants in the prosthetic rehabilitation of the posterior maxilla. Aust Dent J 2019; 64:353-8.
Calvo-Guirado JL, Morales-Meléndez H, Pérez-Albacete Martínez C, Morales-Schwarz D, Kolerman R, Fernández-Domínguez M, Gehrke SA, Maté-Sánchez de Val JE. Evaluation of the surrounding ring of two different
extra-short implant designs in crestal bone maintanence: A histologic study in dogs. Materials (Basel). 2018 6;11(9)
doi: 10.3390/ma11091630.
Pommer B, Mailath-Pokorny G, Haas R, Buseniechner D, Millesi W, Fürhauser R. Extra-short (< 7 mm) and extra-narrow diameter (< 3.5 mm) implants: a meta-analytic literature review. Eur J Oral Implantol 2018;11 Suppl 1: S137-S146.
Anitua E, Alkhraisat MH. 15-year follow-up of short dental implants placed in the partially edentulous patient: Mandible Vs maxilla. Ann Anat 2019; 222:88-93.
Hernández-Marcos G, Hernández-Herrera M, Anitua E. Marginal bone loss around short dental implants restored at implant level and with transmucosal abutment: A retrospective study.
Int J Oral Maxillofac Implants 2018; 33:1362-7.
Anitua E, Piñas L, Escuer-Artero V, Fernández RS, Alkhraisat MH. Short dental implants in patients with oral lichen planus: a long-term follow-up. Br J Oral
Maxillofac Surg 2018; 56:216-20.
Anitua E. Immediate loading of short implants in posterior maxillae: Case series. Acta Stomatol Croa 2017; 51:157-62.
Anitua E, Flores J, Flores C, Alkhraisat MH. Long-term outcomes of immediate loading of short implants: A controlled retrospective cohort study. Int J Oral Maxillofac Implants 2016; 31:1360-6.
Anitua E, Tapia R, Luzuriaga F, Orive G. Influence of implant length, diameter, and geometry on stress distribution: a finite element analysis. Int J Periodontics
Restorative Dent 2010; 30:89-95.
Anitua E. A new approach for treating peri-implantitis: Reversibility of osseointegration. Dent Today 2016; 35:130-1.
Anitua E, Murias-Freijo A, Alkhraisat MH.
Conservative implant removal for the analysis of the cause, removal torque, and surface treatment of failed nonmobile dental implants. J Oral Implantol 2016; 42:69-77.
Villarinho EA, Triches DF, Alonso FR, Mezzomo LAM, Teixeira ER, Shinkai RSA. Risk factors for single crowns supported by short (6-mm) implants in the posterior region: A prospective clinical and radiographic study. Clin Implant Dent Relat Res 2017; 19:671-80.
Esfahrood ZR, Ahmadi L, Karami E, Asghari S. Short dental implants in the posterior maxilla: a review of the literature. J Korean Assoc Oral Maxillofac Surg 2017; 43:70-6.
Lemos CA, Ferro-Alves ML, Okamoto R, Mendonça MR, Pellizzer EP. Short dental implants versus standard dental
implants placed in the posterior jaws: A systematic review and meta-analysis. J Dent 2016; 47:8-17.
Anitua E, Alkhraisat MH, Piñas L, Orive G. Efficacy of biologically guided implant site preparation to obtain adequate primary implant stability. Ann Anat 2015; 199:9-15.
Tatum H. Maxillary and sinus implant reconstructions. Dent Clin North Am 1986; 30:1207-29.
Beretta M, Poli PP, Grossi GB, Pieroni S, Maiorana C. Long-term survival rate of implants placed in conjunction with 246 sinus floor elevation procedures: results of a 15-year retrospective study. J Dent 2015; 43:78-86.
Viña-Almunia J, Peñarrocha-Diago M, Peñarrocha-Diago M. Influence of perforation of the sinus membrane on the survival rate of implants placed after direct sinus lift. Literature update. Med Oral Patol Oral Cir Bucal 2009;14: E133-6.
Tolentino da Rosa de Souza P, Binhame Albini Martini M, Reis Azevedo-Alanis L. Do short implants have similar survival rates compared to standard implants in
posterior single crown?: A systematic review and meta-analysis. Clin Implant Dent Relat Res 2018; 20(5):890-901.
Summers RB. A New Concept in maxillary implant surgery: the osteotome technique. Compendium 1994;15:154–6
Cavicchia F, Bravi F, Petrelli G. Localized augmentation of the maxillary sinus floor through a coronal approach for the
placement of implants. Int J Periodontics Restorative Dent 2001; 21:475-85
Del Fabbro M, Corbella S, Weinstein T, Ceresoli V, Taschieri S. Implant survival rates after osteotome-mediated maxillary sinus augmentation: a systematic review. Clin Implant Dent Relat Res 2012; 14(Suppl 1): e159-68.
Petrungaro PS, Kurtzman GM, Gonzales S, Villegas C. Zygomatic implants for the management of severe alveolar atrophy in the partial or completely edentulous
maxilla. Compend Contin Educ Dent 2018; 39:636-45.
Faot F, Thomé G, Bielemann AM, Hermann C, Melo AC, Padovan LE, de Mattias Sartori IA. Simplifying the treatment of bone atrophy in the posterior regions: Combination of zygomatic and wide-short implants-a case report with 2 years of follow-up. Case Rep Dent 2016;
2016:5328598.
Bastos AS, Spin-Neto R, Conte-Neto N, Galina K, Boeck-Neto RJ, Marcantonio C, Marcantonio E, Marcantonio E Jr. Calvarial autogenous bone graft for
maxillary ridge and sinus reconstruction for rehabilitation with dental implants. J Oral Implantol 2014; 40:469-78.
Pistilli R, Signorini L, Pisacane A, Lizio G, Felice P. Case of severe bone atrophy of the posterior maxilla rehabilitated with blocks of equine origin bone: histological
results. Implant Dent 2013; 22: 8-15
Gastaldi G, Felice P, Pistilli R, Barausse C, Trullenque-Eriksson A, Esposito M. Short implants as an alternative to crestal sinus lift: a 3-year multicentre randomised controlled trial. Eur J Oral Implantol 2017; 10:391-400.
D’Amato S, Borriello C, Tartaro G, Itro A. Maxillary sinus surgical lift. Summers’ technique versus lateral surgical approach. Minerva Stomatol 2000; 49:369-81.

Anitua, Eduardo
Doctor en Medicina. Práctica privada en Implantología Oral. Clínica Eduardo Anitua, Vitoria. University Institute for Regenerative Medicine and Oral Implantology
– UIRMI (UPV/EHU Fundación Eduardo Anitua), Vitoria. 3 BTI Biotechnology Institute, Vitoria.











