Científica Dental: febrero 2021 (edición exclusiva online)
caso clínico
Trávez-Pacheco S, Parise-Vasco J, Silva-Silva J. Técnica combinada de microabrasión y blanqueamiento dental para tratamiento de pigmentaciones asociadas a fluorosis. Reporte de un caso. Cient. Dent. 2021; 18; 1; 51-56
Técnica combinada de microabrasión y blanqueamiento dental para tratamiento de pigmentaciones asociadas a fluorosis. Reporte de un caso
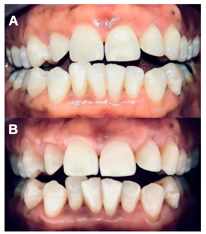
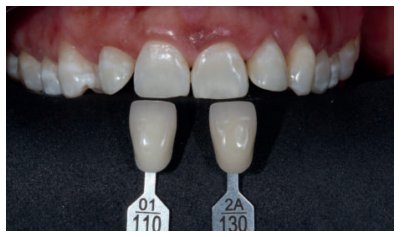
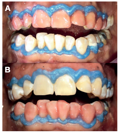
La fluorosis dental es una condición irreversible originada durante el desarrollo dental que genera pigmentaciones intrínsecas, alteraciones en el esmalte manifestadas a manera de manchas blancas, amarillas o marrones, que perjudican la estética y repercuten en el desenvolvimiento social. El presente reporte de caso clínico describe la combinación de los procedimientos de microabrasión y blanqueamiento dental, como alternativas en la eliminación de pigmentaciones dentales. Después del diagnóstico de la patología, verificación de ausencia de lesiones pulpares y caries, una explicación minuciosa a la paciente y obtención del consentimiento informado, se realizó limpieza de las superficies dentales y, bajo aislamiento absoluto, se procedió a realizar la técnica de microabrasión mediante ácido clorhídrico al 6,6% siguiendo las instrucciones del fabricante. Concluido el procedimiento y, observando que era posible mejorar aún más la estética, se decidió ejecutar el procedimiento de blanqueamiento dental, a base de peróxido de hidrógeno al 40% en el consultorio, seguido por peróxido de carbamida al 10% aplicado en el domicilio. Al finalizar el tratamiento se observó uniformidad en el color dental, conjugados con una evidente mejora en la calidad de vida y relación social de la paciente.
La combinación de procedimientos, como el reportado en este caso, constituye una excelente alternativa de tratamiento para eliminar pigmentaciones fluoróticas moderadas.
Dental fluorosis is an irreversible condition caused during dental development that generates intrinsic pigmentation, enamel alterations manifested as white, yellow, or brown spots, which impair aesthetics and have an impact on social development. This clinical case report describes the combination of microabrasion and teeth whitening procedures, as alternatives in the elimination of dental pigmentations. After the diagnosis of the pathology, verification of absence of pulpal lesions and caries, a thorough explanation to the patient and obtaining informed consent; dental surfaces were cleaned and, under absolute isolation, the microabrasion technique was performed using 6.6% hydrochloric acid following the manufacturer’s instructions. Once the procedure was concluded and observing that it was possible to improve the aesthetics even further, it was decided to perform the teeth whitening procedure, based on 40% hydrogen peroxide, in the dental office, followed by 10% carbamide peroxide applied at home. At the end of the treatment, uniformity in tooth color was observed, combined with an evident improvement in the quality of life and social relationship of the patient.
The combination of procedures, such as that reported in this case, constitutes an excellent treatment alternative to eliminate moderate fluorotic pigmentation.
Las pigmentaciones dentales son causa frecuente de preocupación en el paciente, por la asociación estética existente con sus actividades y relaciones sociales, desencadenando con su presencia problemas emocionales y psicosociales1 . Estas pigmentaciones dentales están asociadas a factores intrínsecos o extrínsecos2 en su localización de acuerdo a la estructura comprometida y a las causas, congénitas o adquiridas que las producen3 .
Los estudios epidemiológicos realizados en Ecuador señalan la elevada presencia de fluorosis dental en la zona interandina del país4 , considerando la adquisición de la lesión durante el proceso de formación y maduración dental5 . Su etiología ha sido atribuida a la ingesta excesiva y crónica de flúor, principalmente, a través del agua potable6 . El resultado de esta ingesta produce manchas a manera de estrías de color amarillo, marrón o blanco opaco, sin brillo o patrón definido7 , que pueden llegar hasta la pérdida de la capa externa de esmalte8 , alteraciones que pueden provocar un impacto negativo en la calidad de vida en quien la padece2,9 .
Los tratamientos propuestos para solucionar estas alteraciones son diversos y dependientes del grado de compromiso a nivel dental existente, estos procedimientos propuestos se extienden desde el blanqueamiento dental, la microabrasión químico-mecánica del esmalte10, hasta procedimientos restauradores más invasivos11. El empleo de peróxido de hidrógeno y peróxido de carbamida como agentes blanqueadores12, en distintas concentraciones, aplicados en el consultorio por el profesional o en el hogar por el paciente13, cuentan con una elevada aceptación debido a lo poco invasivos gracias a su mecanismo de acción, basado en su bajo peso molecular y capacidad de desnaturalizar proteínas, incrementando el movimiento de iones a través de la estructura dental, convirtiendo los compuestos orgánicos causantes de la pigmentación en dióxido de carbono y agua hasta eliminarlos por difusión14 , observando mayor eficacia y resultados en menor tiempo con la combinación de técnicas de blanqueamiento, en consulta y hogar15 .
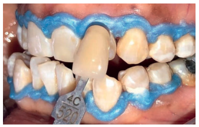
La técnica de microabrasión dental constituye un procedimiento basado en la remoción de pigmentos por erosión y abrasión microscópica en el esmalte7 , en el que mediante ácido clorhídrico al 6% asociado con carburo de silicio como agente abrasivo es aplicado sobre la superficie dental afectada con irregularidades o manchas, el procedimiento se muestra idóneo ante dientes afectados por fluorosis en grados en que el compromiso se limite al esmalte dental16 .
Frente a lo expuesto, se reporta el caso clínico de un paciente con fluorosis dental grado 3 según el índice de Thylstrup y Fejerskov17, que recibió tratamiento combinado de una técnica de microabrasión y dos métodos de blanqueamiento dental para eliminar pigmentaciones asociadas a fluorosis.
Sadana G, Gupta T, Rai HK. Effect of esthetic defects in anterior teeth on the emotional and social well-being of children: a survey. Int J Clin Pediatr Dent 2019;12: 229-32.
Sundfeld D, Pavani CC, Pini N, Machado LS, Schott TC, Sundfeld RH. Enamel microabrasion and dental bleaching on teeth presenting severe-pitted enamel fluorosis: a case report. Oper Dent 2019;44: 566-73.
Chumpitaz-Durand R, Córdova-Sotomayor D. Prevalence and risk factors for extrinsic discoloration in deciduous dentition of peruvian schoolchildren. Rev Fac Odontol Univ Antioq 2018;29: 257-72.
Armas-Vega A, González-Martínez F, Rivera-Martínez M, Mayorga-Solórzano M, Banderas-Benítez V, GuevaraCabrera O. Factors associated with dental fluorosis in three zones of Ecuador. J Clin Exp Dent 2019;11: e42-8.
Ramesh M, Narasimhan M, Krishnan R, Chalakkal P, Aruna RM, Kuruvilah S. The prevalence of dental fluorosis and its associated factors in Salem district. Contemp Clin Dent 2016;7: 203-8.
Kotecha P, Patel S, Bhalani K, Shah D, Shah V, Mehta K. Prevalence of dental fluorosis & dental caries in association with high levels of drinking water fluoride content in a district of Gujarat, India. Indian J Med Res 2012;135: 873-7.
Ramesh M, Malathi N, Ramesh K, Aruna R, Kuruvilla S. Comparative evaluation of dental and skeletal fluorosis in an endemic fluorosed district, Salem, Tamil Nadu. J Pharm Bioallied Sci 2017;9: S88-91.
Ramesh M, Narasimhan M, Krishnan R, Aruna R, Kuruvilla S. The effect of fluorosis on human teeth under light microscopy: A cross-sectional study. J Oral Maxillofac Pathol 2017;21: 345-50.
Abanto J, Rezende K, Marocoho S, Alves F, Celiberti P, Ciamponi A. Dental fluorosis: exposure, prevention and management. Med Oral Patol Oral Cir Bucal 2009;14: E103-7.
Shahroom N, Mani G, Ramakrishnan M. Interventions in management of dental fluorosis, an endemic disease: a systematic review. J Fam Med Prim Care 2019;8: 3108-13.
Gupta R, Bharadwaj S, Singh A. Smile makeover by veneers: a case report. J Oral Res 2019;8: 351-4.
Peixoto A, Vaez S, Pereira N, Santana C, Soares K, Romão A, et al. Highconcentration carbamide peroxide can reduce the sensitivity caused by inoffice tooth bleaching: a single-blinded randomized controlled trial. J Appl Oral Sci 2018;26: e20170573.
Carey C. Tooth whitening: what we now know. J Evid Based Dent Pract 2014;14: 70-6.
Rodríguez-Martínez J, Valiente M, Sánchez-Martín MJ. Tooth whitening: from the established treatments to novel approaches to prevent side effects. J Esthet Restor Dent 2019;31: 431-40.
Moradas-Estrada M. ¿Qué material y técnica seleccionamos a la hora de realizar un blanqueamiento dental y por qué?: protocolo para evitar hipersensibilidad dental posterior. Av Odontoestomatol 2017;33: 103-12.
Azzahim L, Chala S, Abdallaoui F. Role of enamel microabrasion associated with external bleaching in the management of patients with dental fluorosis. Pan Afr Med J 2019;34: 72.
García L, Moreno V, Pushaina J. Severidad de la fluorosis dental en siete instituciones de salud de Barranquilla (Colombia) durante el período enero de 2013-junio de 2014. Acta odontol Colomb 2019;9: 36-46.
Celik E, Yazkan B, Yildiz G, Tunac A. Clinical performance of a combined approach for the esthetic management of fluorosed teeth: Three-year results. Niger J Clin Pract 2017;20: 943-51.
Tong L, Pang M, Mok N, King N, Wei S. The effects of etching, micro-abrasion, and bleaching on surface enamel. J Dent Res 1993;72: 67-71.
Romero M, Babb C, Delash J, Brackett W. Minimally invasive esthetic improvement in a patient with dental fluorosis by using microabrasion and bleaching: a clinical report. J Prosthet Dent 2018;120: 323-6.
Bernardon J, Sartori N, Ballarin A, Perdigão J, Lopes G, Baratieri L. Clinical performance of vital bleaching techniques. Oper Dent 2010;35: 3-10.
Cartagena A, Parreiras S, Loguercio A, Reis A, Campanha N. In-office bleaching effects on the pulp flow and tooth sensitivity – case series. Braz Oral Res 2015;29: 1-6.
Rezende M, Loguercio A, Kossatz S, Reis A. Predictive factors on the efficacy and risk/intensity of tooth sensitivity of dental bleaching: a multi regression and logistic analysis. J Dent 2016;45: 1-6.
Greenwall L, Freedman G, Kee-Cho J, Murtra-Ferré J. Técnicas de blanqueamiento en odontología restaurada: guía ilustrada. Barcelona: Ars Médica 2002: 260-6.







