Científica Dental: septiembre-diciembre 2020

Contenidos de la publicación
1 | EDITORIAL | |
2 | ARTÍCULO ORIGINAL | CAMBIOS EN EL PERFIL DE LAS URGENCIAS ATENDIDAS POR UN DENTISTA DE GUARDIA 24 HORAS DURANTE LAS ETAPAS INICIALES DE LA PRIMERA OLA DE COVID-19 |
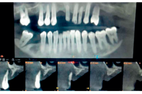
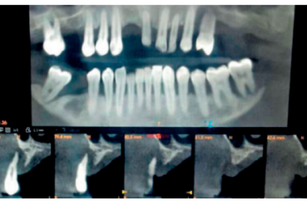
3 | CASO CLÍNICO | ENFOQUE CONSERVADOR EN PACIENTE CON MÚLTIPLES LESIONES PERIAPICALES RADIOLÚCIDAS: ABORDAJE COMBINADO ENDODÓNTICO-QUIRÚRGICO |
4 | ARTÍCULO ORIGINAL | ESTUDIO CLÍNICO PILOTO DE LA EFICACIA DE UN GEL DE ÁCIDO HIALURÓNICO 1% Y CLORHEXIDINA 0,20% POSTEXTRACCIÓN DENTAL |
5 | CASO CLÍNICO | PREVENCIÓN DE DEFECTOS PERIODONTALES TRAS LA EXODONCIA DE TERCEROS MOLARES INFERIORES CON INJERTO DE DENTINA AUTÓGENA: EVALUACIÓN A 6 MESES DE UN CASO CLÍNICO |
6 | ARTÍCULO ORIGINAL | COMPARACIÓN DEL COEFICIENTE DE ESTABILIDAD IMPLANTARIA ISQ ENTRE IMPLANTES COLOCADOS EN ZONA ANTRAL SOBRE HUESO NATIVO FRENTE A IMPLANTES COLOCADOS SOBRE HUESO REGENERADO |
7 | CASO CLÍNICO | INJERTO PEDICULADO PALATINO EN REGENERACIÓN ÓSEA GUIADA |
8 | ARTÍCULO ORIGINAL | ANÁLISIS DE LOS TEJIDOS PERI-IMPLANTARIOS EN IMPLANTES ANTERIORES: RELACIÓN ENTRE LA PRESENCIA O AUSENCIA DE TABLA ÓSEA Y EL PINK ESTHETIC SCORE |

Dra. Cristina Meniz García
Directora de la revista Científica Dental del Ilustre Colegio Oficial de Odontólogos y Estomatólogos de la Iª Región.

Dra. Isabel Leco Berrocal
Subdirectora de la revista Científica Dental del Ilustre Colegio Oficial de Odontólogos y Estomatólogos de la Iª Región.
Queridos colegiados, amigos y lectores de Científica Dental:
El número que tienes en tus manos es muy especial. Se cumple un año desde que nos hicimos cargo de la dirección de Científica Dental, y nada presagiaba que la vida de todos nosotros iba a cambiar de manera tan radical al cabo de pocas semanas.
Vaya por delante nuestro agradecimiento a autores y colaboradores, que han seguido trabajando durante todos estos meses para mantener en un alto nivel la calidad de la publicación.
Pero éste no es un editorial al uso…
Lo escribimos en la víspera de la Nochebuena, a punto de afrontar las fiestas más extrañas de nuestras vidas y después de padecer el año más cruel que muchos recordamos. Es inevitable el dolor por la memoria de aquellos que nos han dejado, el vacío del alma por la inhumana forma en que lo han hecho, sin el abrigo de sus seres queridos. El sufrimiento que muchos hemos padecido dejará una huella imborrable por el tiempo.
En medio de esta tormenta perfecta, podemos estar orgullosos del comportamiento de nuestros profesionales a lo largo del año 2020. Somos personal sanitario y, por ello, hacia nuestros ojos se vuelven muchas miradas suplicantes de consuelo y de respuestas. Nuestra madurez y sentido de la responsabilidad han sido ejemplares en esta crisis; nos consta así por todo lo que hemos hablado y visto en tantos compañeros.
Y ahora llega un rayo de esperanza: la esperada vacuna. Cuando sostengas en tus manos este número ya se habrá empezado a distribuir. Sabemos que la batalla no se ha ganado; queda un largo camino por recorrer, pero lo cierto es que estamos ya en el punto de inflexión en el que la humanidad comienza a ganar terreno al enemigo. Sin bajar la guardia y con los sentidos alerta, seguiremos en esa primera línea del frente que es la curación de los males del paciente.
Queremos decir solo… gracias, gracias, gracias. Es un honor y un orgullo compartir con vosotros una profesión que ahora, más que nunca, revela su verdadera vocación de curar a las personas.
Artículos de la publicación

Cambios en el perfil de las urgencias atendidas por un dentista de guardia 24 horas durante las etapas iniciales de la primera ola de COVID-19

Prevención de defectos periodontales tras la exodoncia de terceros molares inferiores con injerto de dentina autógena: evaluación a 6 meses de un caso clínico

Comparación del Coeficiente de Estabilidad Implantaria ISQ entre implantes colocados en zona antral sobre hueso nativo frente a implantes colocados sobre hueso regenerado

Injerto pediculado palatino en regeneración ósea guiada

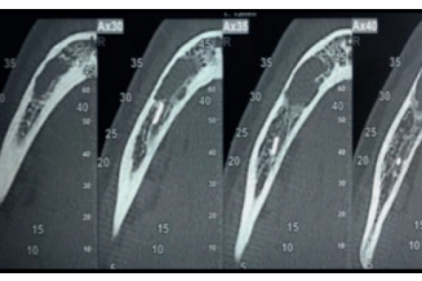
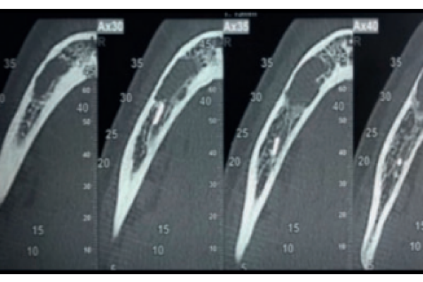
Quiste óseo solitario






