Caso clínico
Gutiérrez Jiménez A, Arnaiz González F J, Urcelay Moreno N. Nuevas técnicas de planificación y tratamiento para la rehabilitación maxilar con implantes cigomáticos. A propósito de un caso. Cient. Dent. 2022; 19; 1; 33-41
Nuevas técnicas de planificación y tratamiento para la rehabilitación maxilar con implantes cigomáticos. A propósito de un caso
Se expone el caso de una paciente de 76 años con antecedente de carcinoma epidermoide intraoral (2003) que tras la cirugía y radioterapia posterior presenta edentulismo y atrofia maxilar severa.
Tras la exploración clínica y radiológica con una tomografía axial computarizada (TAC) se decide rehabilitar el maxilar superior con implantes cigomáticos y una prótesis completa atornillada de carga inmediata.
Mediante exportación DICOM del TAC maxilar al software Mimics (Materialise, Belgium) se realiza una planificación quirúrgica virtual tomando como referencia una propuesta digital protésica (DentalCAD, Exocad, USA). En el entorno 3-Matic (Materialise, Belgium) se diseñan dos guías quirúrgicas óseosoportadas para la colocación óptima de cuatro implantes cigomáticos combinando la técnica ZAGA (siglas en inglés de Zigoma Anatomy-Guided Approach o lo que es lo mismo, Abordaje Cigomático Guiado Anatómicamente) y Quad approach.
Protésicamente, se diseña un prototipado que sirve como la tradicional prueba de dientes en cera y como férula radiológica prequirúrgica. El objetivo es simplificar la sistemática de trabajo con un nuevo método digital combinado gracias a la digitalización de los pilares de cicatrización de tipo Multi-Unit® (denominados healing caps).
Con el presente caso clínico se desarrolla un protocolo de trabajo que simplifica la toma de registros, abarata los costes y acorta el tiempo quirúrgico y de gabinete para la confección de una prótesis de carga inmediata de poli-metil metacrilato acrílico (PMMA).
Además, gracias al TAC postquirúrgico se compara y analiza la precisión aportada por las guías empleadas en el proceso de colocación de los implantes en relación con el software de planificación quirúrgica virtual (VSP -Virtual Surgical Planning-), confirmándose así la sencillez, exactitud y seguridad en todo el procedimiento quirúrgico. Se tomó como referencia para la comparación el extremo coronal y apical de cada implante cigomático junto con el ángulo resultante de la discrepancia entre el implante real y el digital. Los resultados obtenidos comparados con la bibliografía, demuestran una desviación sin repercusión en el proceso rehabilitador.
In this case report we present a 76-yearold female patient with an intraoral squamous cell carcinoma history (2003), who after the surgery and a subsequent radiotherapy presented an edentulism and a severe maxillary atrophy. After a clinical and radiological examination by an orthopantomography and a computerized axial tomography (CT, it was decided to rehabilitate the upper jaw with zygomatic implants and a complete screw-retained restauration in immediately loaded prosthesis.
By means of the DICOM export of the maxillary CT scan to the Mimics software (Materialise, Belgium), a virtual surgical planning is performed taking as a reference a digital prosthetic proposal (DentalCAD, Exocad, USA). In the 3-Matic environment (Materialise, Belgium), two bone-supported surgical guides were designed for the optimal placement of four zygomatic implants, combining the ZAGA (Zigomatic anatomy-guided approach) and “Quad approach” techniques. Prosthetically, a prototype is designed to serve as a traditional wax tooth try-in and as a pre-surgical barite splint. The aim is to simplify the working system/procedure with a new combined digital method, which is possible thanks to the digitization of the Multi-Unit® Healing Cap.
Within this clinical case, a working protocol has been developed to simplify the recordings, reduce costs, and shorten the surgical and the office time to produce an immediate loaded prosthesis in polymethyl methacrylate (PMMA). In addition, a post-surgical CT scan was used to compare and analyse the precision provided by the guidelines used in the implant placement procedure in relation to those designed for the initial virtual planning; thus, confirming the simplicity, accuracy, and safety of the entire surgical procedure. The coronal and apical end of each zygomatic implant and the angle resulting from the discrepancy between the real implant position and the digital implant one was taken as a reference for comparison. The results obtained and compared with the literature, show a deviation without repercussion in the rehabilitation process.
Paciente mujer de 76 años intervenida en 2003 de carcinoma epidermoide de mucosa yugal izquierda (T2N0M0) mediante cirugía y radioterapia posterior adyuvante (60Gy). Tras una rehabilitación completa con sobredentaduras en el pasado y el fracaso de los implantes superiores, en el año 2018 acude a consulta solicitando una nueva rehabilitación implantosoportada.
Mediante tomografía axial computarizada (TAC) se constató una llamativa atrofia ósea de todo el maxilar superior (Figura 1). Al no poder portar su prótesis, presentaba una alteración cosmética, funcional y psicológica con una importante disminución en su calidad de vida (Figura 2).


Debido al inexistente hueso alveolar residual (Cawood y Howell V-VI), la necesidad de soporte de los tejidos blandos y la escasa retención protésica, se optó en primer lugar por una rehabilitación implantosoportada con implantes cigomáticos. Aunque hoy en día los implantes subperiósticos personalizados se encuentran en auge1 debido a su simplicidad quirúrgica y a una menor tasa de complicaciones a corto y largo plazo comparados con los implantes cigomáticos, en el presente caso clínico se descartó su empleo debido a que la paciente presentaba por la radioterapia previa una mucosa oral frágil y con tendencia a la ulceración. Todo ello aumentaba la probabilidad de una posible exposición intraoral de la estructura personalizada.
Se exportaron los datos DICOM del escáner al software de segmentación Mimics (Materialise, Belgium) para generar un modelo 3D virtual de todo el maxilar superior (STL) sobre el que se realizó la planificación quirúrgica virtual (Virtual Surgical Planning, VSP) tomando como referencia una propuesta protésica inicial.
El objetivo fundamental del VSP (Figura 3) fue la colocación digital óptima y segura de cuatro implantes cigomáticos, teniendo en cuenta la anatomía y la futura prótesis de la paciente. Así, se logró un resultado quirúrgico y protésico aceptable, de acuerdo con el abordaje guiado por la anatomía del hueso cigomático (Zigoma Anatomy-Guided Approach, ZAGA)2 .

Para una mayor precisión y seguridad, se diseñaron dos guías quirúrgicas óseosoportadas utilizando el software Materialise 3-Matic (Leuven, Belgium) para la colocación de cuatro implantes NobelZygoma 45º (NobelBiocare, Switzerland) según la técnica Quad-Zygoma3 . En última instancia se decidió colocar un solo implante alveolar (Nobel Active 4,3x10mm) en la región de la premaxila, (posición aproximada en línea media) con el objetivo de dar mayor estabilidad a la prótesis de carga inmediata superior y disminuir el brazo de palanca.
Las guías quirúrgicas fueron impresas en la impresora 3D D4K Pro Dental (Envisiontec, Germany) con resina biocompatible E-guide (Archimedes, Klockner, España) (Figura 4). Se utilizaron dos guías independientes para simplificar el proceso de colocación. Esta decisión se tomó, por un lado, para no interferir con la apertura oral de la paciente que ya estaba limitada y para evitar interferencias entre los cilindros guía al utilizar las fresas quirúrgicas, y por otro, para tener mayor visibilidad y espacio físico intraoral durante el proceso de fresado.

(cirugía y diseño).
La prótesis de carga inmediata se llevó a cabo teniendo como referencia los protocolos descritos por los autores Bowen y cols.4 y Lo Russo y cols.5 . Se empleó un flujo de trabajo digital mixto y se adaptó el protocolo de acuerdo a la situación clínica de la paciente y entorno quirúrgico.
Para elaborar la prótesis provisional, se tomó como referencia inicial la prótesis completa de la paciente. Previo al procedimiento quirúrgico y para compensar el desajuste y favorecer el contacto con la fibromucosa palatina, se rebasó con silicona fluida. Posteriormente se procedió a su digitalización con el escáner Cerec Omnicam (Dentsply Sirona, USA). A través del software DentalCAD 2.2 (ExoCad, USA), se eliminó el faldón vestibular (Figura 5), se diseñaron los dientes teniendo como referencia su prótesis inicial y se realizó una propuesta de prototipado que se empleó a modo de cubeta individual dentada en quirófano.

Asimismo, este prototipado y mediante un nuevo TAC (con el prototipado en boca) fue utilizado como férula radiológica mediante la colocación estratégica de puntas de gutapercha por palatino y lingual, con el objetivo de obtener un nuevo STL para poder posicionar y relacionar tridimensionalmente la prótesis, y por ende nuestra posición dentaria, respecto al hueso maxilar y malar, y por ello, poder analizar y desarrollar el VSP (Figura 6).

En el laboratorio se parametrizaron los pilares de cicatrización de los Multiunit denominados healing caps (Nobel Biocare, Switzerland) y en lo sucesivo HC. A estos pilares se les asignó una conexión en la biblioteca de diseño (Figura 7) para poder emplearlos como transfer de impresión de cubeta cerrada. Todo ello permitió la posterior conformación de las conexiones de la futura prótesis inmediata.

El prototipado se imprimió a través de la impresora SilaPrint 125 Ultra (Siladent GmbH, Alemania) que empleó un material compuesto de metacrilato (SilaPrint Model II, Siladent GmbH, Alemania). Este prototipado, que sustituye la convencional prueba de dientes en cera, es el encargado de albergar la anatomía de los aditamentos de impresión (en este caso los HC) que se utilizó directamente después de colocar los implantes cigomáticos y registra su posición articular y dimensión vertical gracias a su anatomía dentada (Figura 8).

La limitación de apertura, posición de decúbito supino y situación de anestesia general de la paciente dificulta la toma de impresión digital de la anatomía maxilar y fibromucosa palatina. Se utilizó silicona de consistencia fluida (Elite Hd+, Zhermack, Alemania) para transferir la posición de los HC con respecto a la base del prototipado para nuevamente reproducir los tejidos blandos de manera precisa, y permitir así la alineación de los archivos STL futuros.
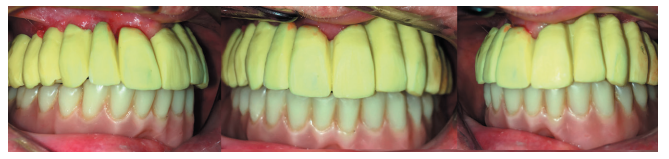
Por último, en el laboratorio se procedió al escaneado del prototipado a través del escáner Iscan L1 (Imetric 4D Imaging Gmbh, Alemania) para el diseño con Exocad y posterior fresado de un disco de PMMA dando lugar a la prótesis de carga inmediata. Como limitación en la manufactura, el disco fresado de PMMA sólo presentaba una tonalidad y precisó de recubrimiento gingival de acrílico antes de su instalación en boca (Figura 9). Una vez añadida la máscara gingival, se procedió a su carga 24 horas después del procedimiento quirúrgico (Figura 10), siguiendo las instrucciones del fabricante en cuanto a la precarga de los tornillos de retención se refiere, ajustando oclusión y validando los parámetros estéticos planificados (Figura 11).



En el presente caso clínico y para analizar, no solo la valoración anatómica final de los cuatro implantes cigomáticos colocados, sino también la exactitud aportada por las guías quirúrgicas, en el postoperatorio se decidió realizar una comparativa mediante superposición (Figura 12) entre un nuevo TAC postoperatorio (implante real) y el VSP (implante digital), obteniéndose una desviación casi imperceptible (Tabla).


Teniendo en cuenta que los implantes cigomáticos tienen una forma tridimensional similar a un cilindro, se tomó como referencia el punto central del extremo apical y coronal de dicho cilindro para su comparación entre el implante real y el digital. Asimismo, para las mediciones angulares se tomaron como referencia ambos ejes axiales (real vs digital). Todo ello fue analizado y estudiado en el software Materialise 3-Matic (Leuven, Belgium).
A causa de deficiencias en volumen óseo, altura y anchura no todos los pacientes son candidatos a implantes dentales convencionales. Para ello, se han desarrollado multitud de técnicas para suplir dichos defectos y acondicionar el sitio receptor (elevación de suelo sinusal, injertos en bloque, regeneración ósea guiada…). Aún así, existe una serie de pacientes con atrofias graves en el arco maxilar en los que estas técnicas tienen una gran complejidad, se muestran insuficientes y no permiten el anclaje de implantes convencionales. En pacientes oncológicos están, en muchos casos, contraindicadas.
Debido al daño provocado por la radioterapia en los tejidos blandos y duros (fundamentalmente la médula ósea), se produce una disminución de la vascularización y de la capacidad de cicatrización que afecta a la osteointegración de los implantes dentales, sobre todo en aquellos tratamientos que superen la dosis de 50Gy. Aunque existe gran controversia y debate en la rehabilitación implantológica de pacientes oncológicos, no existe una contraindicación absoluta para su colocación en pacientes que hayan recibido radioterapia adyuvante6 . Aun así, no hay que olvidar que en pacientes irradiados la xerostomía, cambios en la microflora oral, la atrofia de la mucosa oral y su consecuente disminución de la encía queratinizada alrededor de los implantes provocan que estos pacientes sean más susceptibles a periimplantitis y problemas periodontales7 .
Tradicionalmente, estos pacientes (cuyo exponente es el paciente maxilectomizado por una cirugía resectiva oncológica) estaban obligados a portar un obturador removible convencional, lo cual provocaba una alteración estética, psicológica y funcional, con un impacto decisivo en su calidad de vida8 . Hoy en día, la reconstrucción de los tejidos blandos y óseos de estos pacientes es viable mediante grandes intervenciones microquirúrgicas (colgajo peroneo y cresta iliaca), pero esto implica varias cirugías, aumento de la morbilidad y un considerable incremento económico y temporal en la finalización del caso, que puede durar incluso años sin ninguna garantía de éxito final9 .
A mediados de los años 80, el profesor Brånemark10 desarrolló un protocolo para la colocación de implantes cigomáticos. Hasta ese momento, eran introducidos intrasinusalmente desde la parte mas palatina del hueso alveolar remanente hasta el hueso malar, y sobre ellos se confeccionaba una prótesis que tenia un gran componente palatino que causaba alteraciones en la fonación y un importante disconfort. Diversos autores han propuesto una modificación en el protocolo original para desplazar el punto mas coronal del implante hacia el reborde alveolar. Aparicio en el año 2011 desarrolla la técnica ZAGA2 , la cual maximiza la posición ideal prostética para la emergencia crestal del implante, consiguiendo un mayor confort gracias a una prótesis mas liviana, higiénica y estética.
En revisiones sistemáticas, como la realizada por Chrcanovic y cols.11, se ha demostrado una alta tasa de supervivencia de implantes cigomáticos en pacientes con atrofia maxilar que es comparable a la obtenida con implantes tradicionales (95,8-100%). De igual manera, describe una leve disminución de la supervivencia en pacientes oncológicos (78,6%-91,7%), teniendo en cuenta que la tasa de supervivencia a 5 años de implantes convencionales en pacientes oncológicos es del 92,9%6 .
La colocación de implantes cigomáticos supone un reto quirúrgico que debe ser abordado por un equipo multidisciplinar. El tamaño del implante, su trayectoria, la escasa visibilidad del campo quirúrgico y la proximidad a estructuras nobles como la órbita hacen que este procedimiento esté reservado a cirujanos con elevada experiencia.
Existen gran cantidad de complicaciones durante su inserción y posterior manejo, como son fistulas cutáneas y oroantrales, sinusitis crónica, periimplantitis, lesiones intraorbitarias11. Muchas de estas pueden ser evitadas mediante una correcta planificación virtual prequirúrgica y con la ayuda de guías quirúrgicas que trasladan de forma precisa al paciente el punto de entrada, trayectoria y el punto de salida en el hueso malar12.
Numerosos estudios evalúan la precisión en la colocación de este tipo de implantes con guías quirúrgicas. Rinaldi y cols.13, mediante superposición del VSC y el TAC postoperatorio, analizaron la desviación obtenida en el punto coronal (2,96-3,55 mm), apical (2,11-2,99 mm) y el ángulo resultante entre el implante virtual y el quirúrgico (1,88- 4,55º), demostrando que la seguridad y precisión aumentan considerablemente frente a un escenario desarrollado a mano alzada y considerando las cifras aportadas como rango de seguridad.
También se contempló que, en el caso de que se utilizase la navegación dinámica, estos resultados de precisión y fiabilidad podían aumentar, tal y como lo analiza Sun y cols.14, disminuyendo la desviación a 1,35 mm en la entrada y 2,15 mm en el hueso malar15, sobre todo si se combina con una férula quirúrgica (navegación estática). En su favor, la visibilidad y el espacio quirúrgico se incrementan, que junto con la posibilidad de comprobación intraoperatoria, la convertirán en un futuro en el gold standard16 pero, a día de hoy, su alto coste económico limita su uso y difusión.
Teniendo en cuenta los datos aportados por los mencionados autores, se puede concluir que para los implantes cigomáticos colocados en el presente caso clínico en posiciones 13, 15, 23 y 25 los resultados obtenidos se sitúan dentro del rango de seguridad para una correcta rehabilitación protética posterior, como se muestra en la Tabla.
La elaboración de la prótesis de carga inmediata a través del flujo de trabajo digital, ha permitido al clínico eliminar o minimizar errores que pueden aparecer por las propias limitaciones que presentan las técnicas convencionales y los errores humanos sumatorios durante su ejecución17,18. Autores como Kamimura y cols.19 concluyen, además, que la técnica digital de impresión presenta mayor reproductibilidad en comparación con la técnica convencional, independientemente de la condición oral y el operador responsable de tomar la impresión.
Escoger el tipo de impresión de acuerdo al número de implantes y tramo a escanear ha tenido dividida a la comunidad odontológica y ha sido el objetivo de numerosos estudios. Aunque Alholm y cols.20 y Ender y cols.21 obtengan resultados de mayor precisión para impresiones tomadas de manera convencional con respecto a las impresiones digitales, en el presente caso clínico no se observa ningún tipo de discrepancia radiológica y los paramétros visuales se consideran válidos en términos de ajuste pasivo con el pilar Multiunit.
La elección de emplear los HC como pilar de impresión, viene derivada principalmente por la limitación de la apertura de la paciente y las complicaciones que eso supone a la hora de manipular correctamente un cuerpo de escaneado sobre la conexión Multiunit. Su altura limitada, conexión rotativa y la completa adaptación sobre el pilar, permite además obviar la comprobación radiológica para garantizar el ajuste óptimo del pilar de impresión sobre la conexión del implante. Motel y cols.22 y Mizumoto y cols.23 defienden que los parámetros más relevantes a la hora de escoger un pilar de impresión digital son: presencia de anatomías redondeadas, pocas indentaciones, buena superficie de conexión con respecto al implante y la ausencia de reflejo de la luz para facilitar la lectura de éstos por parte del escáner intraoral. Como se puede comprobar, los HC cumplen la mayoría de los parámetros descritos, y a la hora de superponer los archivos STL no se aprecia ningún tipo de discrepancia sobre los mismos (Figura 13). En este caso, la altura mínima y anatomía circular de los pilares parametrizados permitió que la silicona no se desgarrara y que la probabilidad de introducir un error fuera mínimo facilitando la técnica de toma de impresión para el prostodoncista (Figura 14).


A pesar de no haber realizado ningún test de verificación de la estructura, no se produce la fractura de ninguna de las conexiones de PMMA fresadas durante toda la fase de estabilización de la paciente. Este dato es relevante, ya que todos los errores inherentes sumatorios de la tecnología óptica del escáner intra o extraoral, pueden ser responsables de posibles tensiones producidas sobre la estructura acrílica de la prótesis y la consecuente ausencia de ajuste pasivo.
El ajuste pasivo de las prótesis fijas implantosoportadas está descrita en la literatura como un factor determinante para el éxito a largo plazo de las mismas y, aunque no realizar la comprobación de la impresión puede suponer un factor de riesgo de desajuste de la estructura, la prótesis de PMMA presenta la resistencia y la durabilidad necesaria para ser empleada durante la fase de oseointegración de los implantes, unido a una elevada estabilidad físico-química y una máxima biocompatibilidad (Figuras 15 y 16).


La rehabilitación con implantes cigomáticos en pacientes oncológicos es una opción terapéutica que reduce número de cirugías, costes y tiempo; y debe ser considerada en primer lugar cuando existen defectos óseos de una envergadura considerable.
De igual manera, la colocación de implantes a mano alzada es un método poco fiable para lograr una exactitud y precisión conforme a los estándares de calidad que se exigen hoy en día. Las guías quirúrgicas y en escenarios no navegados16, son un método rápido, barato y sencillo para trasladar el VSP al campo operatorio aumentando exponencialmente la seguridad y exactitud quirúrgica.
El flujo de trabajo digital total o parcial, aporta una simplificación en la técnica de la confección de las prótesis provisionales inmediatas con una reducción de pruebas para su elaboración y con una gran precisión en la obtención de registros. Asimismo, facilita el trabajo del clínico y del técnico de laboratorio, con la reducción del tiempo de trabajo en consulta, el ahorro de material fungible para la confección de la misma y evita la contaminación cruzada y la distorsión durante su desinfección.
Por último, el PMMA demuestra ser un material estable, resistente, biocompatible y estéticamente aceptable como opción terapéutica restauradora en cuanto a cargas inmediatas provisionales se refiere24. No obstante, no existe bibliografía específica al respecto, y a pesar de los buenos resultados que ofrece a corto plazo, son necesarios mas estudios a medio y a largo plazo que apoyen estas conclusiones.
La técnica propuesta pretende ofrecer mayor seguridad, fiabilidad y exactitud quirúrgica en casos de atrofias maxilares severas. No sólo por el empleo de guías quirúrgicas al uso, sino porque el diseño de las mismas tomando como referencia la prótesis final ayuda al clínico a predecir el resultado.
Además, es importante destacar la sencillez y facilidad que se propone en la toma de registros protéticos en entorno quirúrgico, donde el trabajo para el prostodoncista resulta más hostil y dificultoso por el manejo de la paciente bajo anestesia general.
Por otro lado, la implementación de un flujo de trabajo mixto, aporta ahorro de tiempo y costes (relativas a la fase quirúrgica y de manufactura protésica) y reduce el posible error humano de naturaleza acumulativa. La disposición de materiales como el PMMA que ofrecen una buena resistencia estructural y un buen comportamiento referente a la biocompatibilidad, pueden ser de elección cuando se precise elaborar una prótesis de carga inmediata.
- Iago González (ingeniero biomédico y CEO de Kune Implants).
- Alberto Álvarez (técnico de laboratorio, Laboratorio de prótesis LUCIO SA).
- Dr. Julián Ruiz Jiménez (cirujano oral y maxilofacial).
- Dr. Alvaro Rivero Calle (cirujano oral y maxilofacial).
Chamorro Pons M, Arias Gallo J, Margarit Pérez L y cols. Implantes subperiósticos personalizados para la rehabilitación completa del maxilar superior atrófico. Revisión de una serie clínica de 8 casos. Rev Española Cirugía Oral y Maxilofac. 2021;43:140–8.
Aparicio C, Polido WD, Zarrinkelk HM. The zygoma anatomy-guided approach for placement of zygomatic implants. Atlas Oral Maxillofac Surg Clin North Am. 2021;29:203–31.
Davó R, David L. Quad zygoma: technique and realities. Oral Maxillofac Surg Clin North Am. 2019;31:285–97.
Bowen Antolín A, Arnaiz Gonzalez FJ, Cabanas J y cols. Rehabilitación de maxilar superior con implantes cigomáticos facialmente guiada. Gac Dent. 2018;152–69.
Lo Russo L, Salamini A, Troiano G y cols. Digital dentures: a protocol based on intraoral scans. J Prosthet Dent. 2021;125:597–602.
Curi MM, Condezo AFB, Ribeiro KDCB y cols. Long-term success of dental implants in patients with head and neck cancer after radiation therapy. Int J Oral Maxillofac Surg. 2018;47:783–8.
Eckert SE, Desjardins RP, Keller EE y cols. Endosseous implants in an irradiated tissue bed. J Prosthet Dent. 1996;76:45–9.
Nemli SK, Aydin C, Yilmaz H y cols. Quality of life of patients with implantretained maxillofacial prostheses: A prospective and retrospective study. J Prosthet Dent. 2013;109.
Bedrossian E. Rescue implant concept: The expanded use of the zygoma implant in the graftless solutions. Dent Clin North Am. 2011;55:745–77.
Branemark P. Surgery and fixture installation. Zygomaticus fixture clinical procedures. Goteborg, Sweden: Nobel Biocare. 1998.
Chrcanovic BR, Albrektsson T, Wennerberg A. Survival and complications of zygomatic implants : an updated systematic review. J Oral Maxillofac Surg. 2019;74:1949–64.
Pellegrino G, Tarsitano A, Basile F y cols. Computer-aided rehabilitation of maxillary oncological defects using zygomatic implants: a defect-based classification. J Oral Maxillofac Surg. 2015;73:2446.e1- 2446.e11.
Rinaldi M, Ganz SD. Computer-guided approach for placement of zygomatic implants: novel protocol and surgical guide. Compend Contin Educ Dent. 2019;40:e1–4.
Sun TM, Lee HE, Lan TH. Comparing accuracy of implant installation with a navigation system (NS), a laboratory guide (LG), NS with LG, and freehand drilling. Int J Environ Res Public Health. 2020;17.
Pellegrino G, Basile F, Relics D y cols. Computer-aided rehabilitation supported by zygomatic implants: a cohort study comparing atrophic with oncologic patients after five years of follow-up. J Clin Med. 2020;9:3254.
Wu Y, Wang F. Guided and navigation techniques for zygomatic implants. Atlas Oral Maxillofac Surg Clin North Am. 2021;29:253–69.
Mutwalli H, Braian M, Mahmood D y cols. Trueness and precision of threedimensional digitizing intraoral devices. Int J Dent. 2018;2018.
Van der Meer WJ, Andriessen FS, Wismeijer D y cols. Application of intraoral dental scanners in the digital workflow of implantology. PLoS One. 2012;7:1–8.
Kamimura E, Tanaka S, Takaba M y cols. In vivo evaluation of inter-operator reproducibility of digital dental and conventional impression techniques. PLoS One. 2017;12:1–12.
Ahlholm P, Sipilä K, Vallittu P y cols. Digital Versus Conventional Impressions in Fixed Prosthodontics: A Review. J Prosthodont. 2018;27:35–41.
Ender A, Attin T, Mehl A. In vivo precision of conventional and digital methods of obtaining complete-arch dental impressions. J Prosthet Dent. 2016;115:313–20.
Motel C, Kirchner E, Adler W y cols. Impact of Different Scan Bodies and Scan Strategies on the Accuracy of Digital Implant Impressions Assessed with an Intraoral Scanner: An In Vitro Study. J Prosthodont. 2020;29:309–14.
Mizumoto RM, Yilmaz B. Intraoral scan bodies in implant dentistry: A systematic review. J Prosthet Dent. 2018;120:343– 52.
Baba NZ, Goodacre BJ, Goodacre CJ y cols. CAD/CAM Complete Denture Systems and Physical Properties: A Review of the Literature. J Prosthodont. 2021;30:113–24.

Gutiérrez Jiménez, Alejandro
Licenciado en Medicina por la Universidad Complutense de Madrid. Especialista en Cirugía Oral y Maxilofacial, Hospital Universitario 12 de Octubre. Postgrado en Implantología Oral, Universidad Autónoma de Madrid. Práctica privada en Sanitas Dental.
Arnaiz González, Francisco Javier
Licenciado en Odontología por la Universidad Europea de Madrid (UEM). Máster en Prótesis, Implantoprótesis y Estética dental (UEM). Práctica privada en Sanitas Dental.
Urcelay Moreno, Nerea
Licenciada en Odontología (UEM). Máster en Prótesis, Implantoprótesis y Estética dental (UEM). Estudiante de doctorado. Profesora adjunta del Máster de Prótesis, Implantoprótesis y Estética (UEM). Práctica privada en Sanitas Dental.

















