Caso clínico
Guerra de la Cruz CJ, López-Justo M, Cobo-Vázquez C, López-Quiles J, Sáez-Alcaide LM.
Colocación de implante postextracción con provisionalización inmediata en el sector estético: caso clínico con seguimiento de 4 años.
Cient Dent 2026; 23;1;25-30.
Colocación de implante postextracción con provisionalización inmediata en el sector estético: caso clínico con seguimiento a 4 años
Introducción: La colocación inmediata de implantes postextracción junto con provisionalización inmediata se ha consolidado como una alternativa terapéutica fiable en el sector estético, siempre que se cumplan criterios estrictos de diagnóstico, planificación y ejecución clínico-protésica. Este protocolo reduce el tiempo total de tratamiento, minimiza la remodelación tisular tras la extracción y permite obtener resultados estéticos predecibles.
Métodos: Se llevó a cabo un caso clínico en una paciente de 40 años con fracaso de restauración fija dentosoportada en el incisivo central superior izquierdo, asociado a caries radicular subgingival con mal pronóstico restaurador. Tras la evaluación clínica y radiográfica, se indicó la exodoncia atraumática del diente afectado. Inmediatamente después, se realizó la colocación de un implante postextracción. El defecto periimplantario (gap) fue rellenado con un xenoinjerto óseo bovino. De forma simultánea, se llevó a cabo un injerto de tejido conectivo con el objetivo de optimizar el volumen y la estabilidad de los tejidos blandos periimplantarios. Se procedió a la colocación de una restauración provisional inmediata atornillada, diseñada para preservar el perfil de emergencia y guiar la cicatrización de los tejidos periimplantarios. Tras un periodo de cicatrización de cuatro meses, se colocó la restauración definitiva atornillada.
Resultados: El seguimiento clínico y radiológico evidenció una correcta osteointegración, estabilidad de los tejidos periimplantarios y un resultado estético satisfactorio, mantenido a los cuatro años.
Conclusión: La colocación inmediata con provisionalización inmediata es una opción predecible en el sector estético cuando existe una adecuada selección del caso y una planificación rigurosa.
Palabras clave: Implante inmediato; Provisionalización inmediata; Reabsorción ósea; Tejidos blandos.
Immediate implant placement with immediate provisionalization in the esthetic zone: a 4-year follow-up case report
Background: Immediate implant placement following tooth extraction combined with immediate provisionalization has become a reliable therapeutic option in the esthetic zone, provided that strict diagnostic, planning, and clinical-prosthetic execution criteria are respected. This protocol reduces overall treatment time, minimizes post-extraction tissue remodeling and enables predictable esthetic outcomes.
Methods: A clinical case was performed in a 40-year-old patient presenting with failure of a tooth-supported fixed restoration in the maxillary left central incisor, associated with subgingival root caries and a poor restorative prognosis.
Following clinical and radiographic evaluation, atraumatic extraction of the affected tooth was indicated. Immediately thereafter, a post-extraction implant was placed. The peri-implant defect (gap) was filled with a bovine xenograft. Simultaneously, a connective tissue graft was performed to optimize the volume and stability of the peri-implant soft tissues.
An immediate screw-retained provisional restoration was placed, designed to preserve the emergence profile and guide the healing of the peri-implant tissues. After a healing period of four months, the definitive screw-retained restoration was delivered.
Results: Clinical and radiographic follow-up demonstrated successful osseointegration, stable peri-implant tissues, and a favorable esthetic outcome maintained at four years.
Conclusion: Immediate implant placement with immediate provisionalization represents a predictable treatment option in the esthetic zone when appropriate case selection and meticulous planning are ensured.
KEYWORDS:
Immediate implant placement; Immediate provisionalization; Bone resorption; Soft tissues.
En el ámbito de la rehabilitación oral, se presentan de forma constante retos terapéuticos que obligan al clínico a ofrecer tratamientos basados en la mejor evidencia científica disponible y con un alto grado de predictibilidad. En este contexto, el abordaje del sector anterosuperior constituye uno de los procedimientos más exigentes, ya que requiere una sólida formación y experiencia por parte del profesional, tanto en la fase quirúrgica de colocación del implante como en la posterior rehabilitación prostodóntica.
Tras la extracción dental, el hueso alveolar experimenta una serie de cambios fisiológicos que conducen a una reducción progresiva de la anchura y la altura de la cresta ósea. Se ha estimado que, durante los primeros tres meses postextracción, la reabsorción ósea puede alcanzar aproximadamente 1,61 mm en sentido horizontal y 0,86 mm en sentido vertical1,2. Las consecuencias clínicas de este proceso son especialmente relevantes en el sector anterior del maxilar, donde la pérdida de volumen óseo puede comprometer de manera significativa el resultado estético final.
Con el objetivo de minimizar estos cambios dimensionales, se han desarrollado diversas estrategias quirúrgicas, como la utilización de injertos óseos y de tejido conectivo, así como la colocación inmediata de implantes tras la extracción dental3.
Según el último consenso del International Team for Implantology (ITI), la colocación inmediata de implantes asociada a la carga o restauración inmediata (Tipo 1A) se ha consolidado como una opción terapéutica atractiva y cada vez más empleada tanto por clínicos como por pacientes4. Este enfoque permite reducir la duración total del tratamiento y la morbilidad clínica, al tiempo que favorece la preservación de los tejidos óseos y mucosos periimplantarios tras la extracción dental, contribuyendo así a la obtención de resultados estéticos predecibles en el sector anterior.
El objetivo de este artículo es presentar un caso clínico que describe el diagnóstico y el tratamiento quirúrgico-prostodóncico de una rehabilitación unitaria mediante un implante inmediato postextracción asociado a provisionalización inmediata en el sector estético.
Situación inicial y planificación
Se presenta el caso clínico de una paciente de sexo femenino, de 40 años, sin alergias conocidas y con antecedente médico de asma en tratamiento farmacológico con ebastina (Ebastel®) y montelukast (Singulair®). Clasificada como ASA II.
La paciente acudió a consulta tras el fracaso repetido y la descementación de una restauración fija dentosoportada en el incisivo central superior izquierdo (2.1). Tras una valoración integral que incluyó exploración clínica y radiológica, se diagnosticó la presencia de una caries radicular subgingival, asociada a un pronóstico restaurador desfavorable.
Ante esta situación clínica, se propuso como plan de tratamiento la exodoncia del resto radicular y la colocación de un implante inmediato postextracción (2.1i) asociado a provisionalización inmediata, con el objetivo de proporcionar una estética inmediata y preservar los tejidos periimplantarios desde el inicio del tratamiento.
Como valoración preoperatoria, se realizaron registros fotográficos intraorales y extraorales, así como un escaneado intraoral de estudio. Como prueba complementaria, se efectuó un estudio mediante tomografía computarizada de haz cónico (CBCT) (Figura 1), que permitió analizar los factores determinantes para la ejecución de la técnica, tales como el biotipo óseo, la longitud radicular, el hueso residual disponible y la morfología de la cresta alveolar.
Una vez completado el análisis clínico y radiológico, se llevó a cabo un encerado diagnóstico digital con el objetivo de planificar previamente tanto el tipo de implante como el pilar protésico más adecuado para la restauración inmediata (Figura 2). A partir de dicho encerado, se confeccionó una corona provisional tipo “cáscara de huevo”, destinada a ser rebasada de manera directa en clínica tras la colocación del implante.
Procedimiento quirúrgico
Bajo anestesia local mediante articaína al 4 % con epinefrina 1:100.000 (Ultracain®), se realizó una exodoncia atraumática utilizando mini luxadores, con el objetivo de preservar al máximo los tejidos duros y blandos (Figura 3). Tras la extracción, el alveolo fue cuidadosamente legrado y desinfectado mediante irrigación secuencial con peróxido de hidrógeno al 1,5%, clorhexidina al 0,20 % y suero salino estéril.
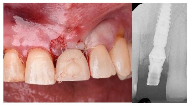
Posteriormente, siguiendo el protocolo de fresado recomendado por el fabricante, se colocó un implante de conexión interna (Klockner Vega Plus®3,6 × 12 mm) (Figura 4), alcanzándose un torque de inserción de 45 N/cm, lo que permitió la realización de una restauración provisional fija inmediata.
El implante se posicionó aproximadamente 4 mm subgingival en sentido vertical y manteniendo un gap vestibular superior a 2 mm en sentido horizontal (Figura 5). Dicho espacio fue rellenado con un xenoinjerto óseo de origen bovino (Bio-Oss®, Geistlich). A continuación, se realizó un injerto de tejido conectivo, obtenido de la tuberosidad maxilar, mediante una técnica de túnel en la zona vestibular, fijándolo con sutura reabsorbible incolora 5/0 (Monocryl Plus, Ethicon®) (Figura 6).
Procedimiento restaurador
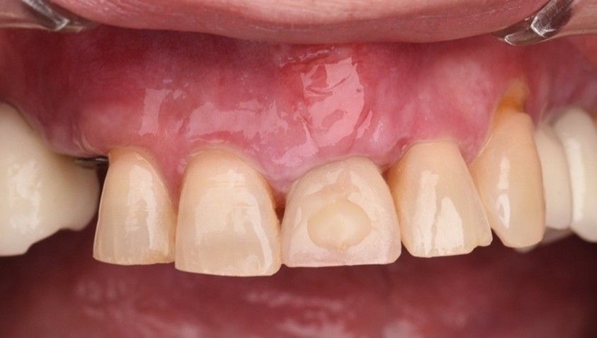
Tras la colocación del implante, se instaló un pilar transepitelial Klockner® tipo Permanent, recto unitario NV de 2 mm de altura, atornillado con un torque de 30 N/cm. Posteriormente, mediante un casquillo provisional de titanio atornillado, se llevó a cabo la recaptura de la corona provisional tipo “cáscara de huevo” previamente confeccionada por el laboratorio (Figura 7). Para ello, se empleó acrílico autopolimerizable (TAB 2000, Kerr®), seguido de la aplicación de composite fluido (Tetric EvoFlow® A2, Ivoclar Vivadent®) para la conformación progresiva del perfil de emergencia, garantizando un adecuado ajuste, acabado y pulido de la restauración provisional (Figura 8 y 9). Dado que las cargas oclusales resultan desfavorables en este tipo de casos, se redujeron los contactos en máxima intercuspidación y durante los movimientos excursivos en el provisional de carga inmediata, con el objetivo de minimizar los micromovimientos y preservar el éxito del tratamiento. La paciente acudió a revisión a los 15 días para retirada de sutura, sin registrar complicaciones en este periodo de tiempo (Figura 10).
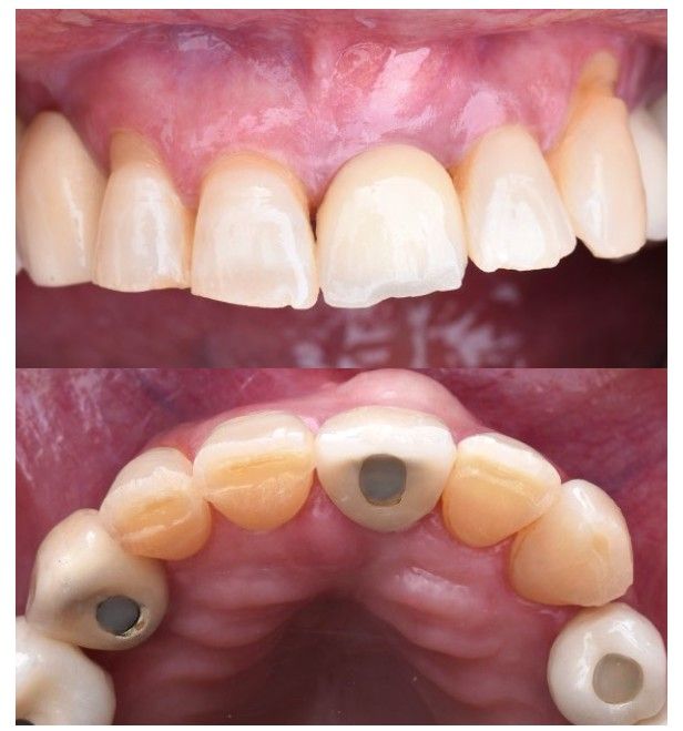
El implante se mantuvo en fase provisional durante un periodo aproximado de cuatro meses desde su colocación. Tras esta fase de provisionalización, se realizó la toma de impresión analógica mediante un coping de impresión personalizado, diseñado para reproducir de forma precisa el perfil de emergencia previamente modelado con la restauración provisional (Figuras 11 y 12). A partir de estos registros, se confeccionó e instaló la corona definitiva atornillada, con una oclusión suavizada para evitar sobrecargas del implante (2.1i). La imagen clínica (Figuras 13 y 14) y el CBCT postoperatorio (Figura 15) evidencian una situación clínica y radiológica favorable, con estabilidad de los tejidos periimplantarios a los cuatro años de seguimiento.
La colocación inmediata de implantes postextracción asociada a provisionalización o carga inmediata se ha consolidado en los últimos años como una alternativa terapéutica predecible en casos cuidadosamente seleccionados, especialmente en el sector anterior maxilar. Según el último consenso del International Team for Implantology (ITI), los protocolos de implantes inmediatos con restauración inmediata (Tipo 1A) pueden ofrecer resultados clínicos y estéticos favorables, siempre que se respeten criterios estrictos relacionados con la estabilidad primaria, el diseño protésico y la ausencia de carga funcional durante la fase de osteointegración4. Entre las principales ventajas descritas se encuentran la reducción del tiempo total de tratamiento, la disminución de la morbilidad quirúrgica y una mejor preservación de los tejidos periimplantarios, aspectos especialmente relevantes en el sector estético.
No obstante, la indicación de implantes inmediatos no debe considerarse universal, sino que depende en gran medida de las características anatómicas del alveolo postextracción. En este sentido, diversas clasificaciones han sido propuestas para facilitar la toma de decisiones clínicas. La clasificación de Elian distingue entre alveolos tipo I (paredes óseas y tejidos blandos intactos), tipo II (defecto de tejido blando) y tipo III (defecto óseo y de tejido blando), siendo los alveolos tipo I los más favorables para la colocación inmediata de implantes5. De forma complementaria, los trabajos de Tarnow y cols. han destacado la importancia de factores como la integridad de la tabla vestibular, la posición tridimensional del implante y la consecución de una adecuada estabilidad primaria como determinantes clave del éxito de estos protocolos6. En casos con defectos óseos extensos, infecciones activas o imposibilidad de lograr estabilidad primaria suficiente, la colocación inmediata del implante no estaría indicada, siendo preferibles enfoques diferidos o tempranos4.
La preservación del volumen óseo periimplantario constituye otro aspecto crítico en los implantes inmediatos, especialmente a nivel vestibular. Estudios recientes han demostrado que la utilización de xenoinjertos óseos para el relleno del gap entre el implante y la pared alveolar contribuye a minimizar la reabsorción horizontal de la cresta ósea7. Asimismo, la combinación de injertos óseos con injertos de tejido conectivo ha demostrado mejorar significativamente el grosor y la estabilidad de los tejidos blandos periimplantarios, lo que resulta especialmente relevante en pacientes con biotipo fino y alta demanda estética8.
La provisionalización inmediata desempeña igualmente un papel fundamental en la preservación de los tejidos periimplantarios y en la consecución de resultados estéticos satisfactorios. La evidencia actual pone de manifiesto que el uso de provisionales inmediatos correctamente diseñados permite mantener y modelar el perfil de emergencia desde el momento de la cirugía, favoreciendo la estabilidad de la arquitectura gingival, siendo fundamental un riguroso control de la oclusión, especialmente en el caso de rehabilitaciones unitarias9-11.
El éxito de los protocolos de implantes inmediatos con provisionalización inmediata depende de manera determinante de un diagnóstico exhaustivo y de una adecuada selección del caso. La evaluación minuciosa de los factores locales y sistémicos, el análisis tridimensional mediante CBCT, la planificación protésicamente guiada y la experiencia del clínico son elementos clave para poder llevar a cabo este tipo de tratamientos de forma segura y predecible.
Chappuis V, Engel O, Reyes M, Shahim K, Nolte LP, Buser D. Ridge alterations post-extraction in the esthetic zone: a 3D analysis with CBCT. J Dent Res. 2013;92(12 Suppl):195S-201S.
Buser D, Chappuis V, Belser UC, Chen S. Implant placement post extraction in esthetic single tooth sites: when immediate, when early, when late? Periodontol 2000. 2017;73(1):84-102.
Gallucci GO, Hamilton A, Zhou W, Buser D, Chen S. Implant placement and loading protocols in partially edentulous patients: a systematic review. Clin Oral Implants Res. 2018;29 Suppl 16:106-134.
Morton D, Wismeijer D, Chen S, et al. Group 5 ITI consensus report: implant placement and loading protocols. Clin Oral Implants Res. 2023;34:349-356.
Elian N, Cho SC, Froum S, Smith RB, Tarnow DP. A simplified socket classification and repair technique. Pract Proced Aesthet Dent. 2007;19(2):99-104.
Lee CT, Chiu TS, Chuang SK, Tarnow D, Stoupel J. Alterations of the bone dimension following immediate implant placement into extraction socket: a systematic review and meta-analysis. J Clin Periodontol. 2014 Sep;41(9):914-926.
Tarnow DP, Chu SJ, Salama MA, et al. Flapless postextraction socket implant placement in the esthetic zone: part 1. The effect of bone grafting and/or provisional restoration on facial-palatal ridge dimensional change – a retrospective cohort study. Int J Periodontics Restorative Dent. 2014;34(3):323-331.
Thoma DS, Naenni N, Figuero E, et al. Effects of soft tissue augmentation procedures on peri-implant health or disease: a systematic review and meta-analysis. Clin Oral Implants Res. 2018 Mar;29 Suppl 15:32-49.
Pitman J, Seyssens L, Christiaens V, Cosyn J. Immediate implant placement with or without immediate provisionalization: a systematic review and meta-analysis. J Clin Periodontol. 2022;49(10):1012-1023.
Lindhe J, Lang NP, Karring T, editors. Periodontología clínica e implantología odontológica. 6th ed. Madrid: Editorial Médica Panamericana; 2017.
Flanagan D, Ilies H, Lasko B, Stack J. Force and movement of non-osseointegrated implants: an in vitro study. J Oral Implantol. 2009;35(6):270-276.

Guerra de la Cruz, Carlos José
Graduado en Odontología. Universidad Europea de Madrid.
Alumno del Título Propio en Especialista en Implantoprótesis. Universidad Complutense de Madrid.
López-Justo, María
Profesora adjunta en la cátedra de prostodoncia en la Universidad Europea de Madrid.
Máster Oficial de Prótesis, Implantoprótesis y Estética Dental Avanzada por la Universidad Europea de Madrid.
Cobo-Vázquez, Carlos
Profesor Asociado Departamento de Especialidades Clínicas Odontológicas. Facultad de Odontología. Universidad Complutense de Madrid.
López-Quiles, Juan
Director del Postgrado de Especialización en Cirugía Bucal e Implantología. Facultad
de Odontología. Universidad Complutense de Madrid.
Sáez-Alcaide, Luis Miguel
Profesor Colaborador Postgrado de Especialización en Cirugía Bucal e Implantología. Facultad de Odontología. Universidad Complutense de Madrid.
Correspondencia:
Carlos José Guerra de la Cruz
[email protected]
Facultad de Odontología. Universidad
Complutense de Madrid
Plaza Ramón y Cajal S / N, 28040,
Madrid, España.












