Artículo original
Anitua E.
Implantes de 4,5 mm de longitud, utilizados en atrofia ósea en altura (hueso residual ≤ 4,5 mm). Estudio retrospectivo.
Cient. Dent. 2025; 22; 2; 69-75.
Implantes de 4,5mm de longitud utilizados en atrofia ósea en altura (hueso residual ≤ 4,5m). Estudio retrospectivo
Introducción:
La atrofia vertical en sectores posteriores del maxilar representa un desafío frecuente en rehabilitación con implantes dentales. La elevación transcrestal del seno maxilar ha ganado relevancia en estos casos. Cuando los implantes de 5,5 mm resultan insuficientes por la limitada disponibilidad ósea, los implantes extracortos de 4,5 mm emergen como una alternativa viable. Este estudio presenta una serie retrospectiva de casos tratados con dicha técnica.
Métodos:
Se analizaron retrospectivamente pacientes en los que se colocaron implantes de 4,5 mm de longitud en crestas con ≤5 4,5 mm de altura ósea residual, realizando elevación transcrestal del seno maxilar con hueso autólogo procedente del fresado e injerto con PRGF-Endoret. La variable principal fue la supervivencia del implante, y como secundaria, la estabilidad del hueso crestal tras la carga funcional. Se aplicaron análisis de frecuencias para variables cualitativas y media ± desviación estándar para las cuantitativas. La supervivencia se estimó mediante el método de Kaplan-Meier.
Resultados:
Se incluyeron 16 pacientes con un total de 18 implantes. La altura ósea previa media fue de 3,96 mm (±0,38). Las elevaciones sinusales realizadas oscilaron entre 0,2 y 1,3 mm. El seguimiento medio fue de 36,3 meses (±2,71). No se registraron fracasos, obteniendo una supervivencia del 100%. La pérdida ósea media fue de 0,35 mm mesial y 0,11 mm distal.
Conclusiones:
Los implantes de 4,5 mm con elevación de seno transcrestal y PRGF-Endoret demostraron ser una opción predecible para rehabilitaciones en maxilares posteriores con atrofia ósea severa.
Palabras clave: atrofia ósea, elevación transcrestal, implante extracorto.
4.5 MM-LENGTH IMPLANTS USED IN VERTICAL BONE ATROPHY (RESIDUAL BONE HEIGHT ≤ 4.5 MM): A RETROSPECTIVE STUDY
Introduction:
Vertical atrophy in the posterior maxilla represents a frequent challenge in dental implant rehabilitation. Transcrestal sinus floor elevation has gained relevance in these cases. When 5.5 mm implants are insufficient due to limited bone availability, 4.5 mm extra-short implants have emerged as a viable alternative. This study presents a retrospective series of cases treated with this approach.
Methods:
Patients who received 4.5 mm-long implants in residual ridges with ≤4,5 mm of bone height were retrospectively analyzed. A transcrestal sinus lift was performed using autologous bone chips obtained from the drilling process and PRGF-Endoret as grafting material. The primary variable was implant survival; secondary variables included crestal bone stability after prosthetic loading. Qualitative variables were analyzed using frequency analysis; quantitative data were described with mean ± standard deviation. Implant survival was estimated using the Kaplan-Meier method.
Results:
Sixteen patients with a total of 18 implants met the inclusion criteria. The mean residual bone height at implant sites was 3.96 mm (±0.38). Sinus lifts ranged from 0.2 to 1.3 mm. All implants were 4.5 mm in length. The mean follow-up was 36.3 months (±2.71). No implant failures were recorded, resulting in a cumulative survival rate of 100%. Mean marginal bone loss at the end of follow-up was 0.35 mm mesially and 0.11 mm distally.
Conclusions:
4.5 mm implants combined with transcrestal sinus floor elevation and PRGF-Endoret appear to be a predictable therapeutic option for the rehabilitation of severely resorbed posterior maxillae.
Key words: bone atrophy, transcrestal sinus lift, extrashort dental implant.
La combinación de la técnica de elevación crestal con implantes extra-cortos se ha consolidado como un enfoque ampliamente utilizado para la rehabilitación de los sectores posteriores del maxilar en casos de atrofia ósea horizontal moderada-severa1,2. Para su implementación, se emplean distintos protocolos tanto en el acceso quirúrgico como en la preparación del lecho y la colocación de los implantes3-6. La elección del tipo de implante depende directamente de la altura ósea remanente. En casos donde el hueso residual permite, se pueden emplear implantes cortos (6,5-7,5 mm) o extra-cortos (5,5-6,5 mm)7,8. Sin embargo, en situaciones donde el volumen óseo disponible se encuentra entre 3 y 5 mm, es necesario recurrir a implantes aún más cortos para favorecer un abordaje mínimamente invasivo de la cresta ósea. Evidentemente, en estas situaciones de menor volumen óseo y menor longitud de implante, se vuelve más complejo lograr la estabilidad primaria, que es fundamental para lograr el éxito del tratamiento. Nuestro grupo de estudio es uno de los que ha demostrado que se puede realizar la técnica de la elevación transalveolar con implantes cortos y extra-cortos aunque existan menos de 5 mm de reborde residual, si se logra una correcta estabilización del implante de forma tridimensional en el perímetro de la cresta alveolar. Para ello, debemos adaptar la secuencia de fresado a las características del hueso remanente y utilizar implantes diseñados para un anclaje tridimensional (vestibular-palatino y mesiodistal) que permitan una fijación óptima en la cresta ósea. Este enfoque es esencial para garantizar estabilidad incluso en escenarios desafiantes, como aquellos en los que se requiere un implante de menos de 5,5 mm de longitud, y fruto de esta necesidad nacen los implantes de 4,5 mm de longitud. Existen pocas investigaciones científicas que analicen la tasa de supervivencia y la pérdida ósea crestal en implantes de menos de 5 mm de longitud. No obstante, los estudios disponibles coinciden en que estos implantes no muestran una mayor tasa de fracaso ni una mayor reabsorción ósea en comparación con los implantes de longitud convencional combinados con técnicas regenerativas en casos de atrofia ósea severa o con procedimientos como la elevación de seno transcrestal. En el presente trabajo, se muestra una serie de casos analizados de forma retrospectiva en los que se han colocado implantes de 4,5 mm de longitud en áreas posteriores del maxilar superior, con una altura ósea remanente ≤ 5 mm utilizando como material de injerto hueso autólogo particulado embebido en PRGF-Endoret.
Fueron reclutados de forma retrospectiva pacientes en los que se llevase a cabo una inserción de implantes dentales de 4,5 mm de longitud en crestas óseas residuales de hasta 4,5 mm de altura con elevación de seno transcrestal, utilizando como material de injerto hueso autólogo obtenido del fresado y PRGF-Endoret, unido a la inserción directa con anclaje en la cortical desde junio de 2020 hasta septiembre de 2021. Antes de la colocación de los implantes, todos los pacientes fueron evaluados mediante modelos diagnósticos, exploración intraoral y un CBCT (Cone Beam Computed Tomography), cuyo análisis se realizó con un software especializado (BTI-Scan III), para conocer la altura exacta de la cresta ósea residual y la densidad, y poder adaptar en consecuencia el protocolo y el implante a colocar. Como protocolo preoperatorio, se administró una premedicación antibiótica con amoxicilina (2 g por vía oral) una hora antes del procedimiento, junto con paracetamol (1 g por vía oral) como analgésico. Tras la intervención, los pacientes continuaron con un tratamiento antibiótico de amoxicilina (500-750 mg por vía oral cada 8 horas, según el peso) durante cinco días. La colocación de los implantes fue realizada por un mismo cirujano utilizando la técnica de fresado biológico, caracterizada por bajas revoluciones y ausencia de irrigación, ajustando el procedimiento a la densidad y volumen del lecho óseo receptor para asegurar una adecuada estabilidad primaria del implante8-9.
El acceso final a la cortical sinusal se efectuó con una fresa específicamente diseñada para esta técnica (fresa de corte frontal), la cual permite la eliminación controlada del suelo del seno maxilar sin comprometer la integridad de la membrana de Schneider10. Una vez expuesta la membrana a través de la perforación en la cresta ósea, se realizó su elevación de manera controlada, colocándose el injerto consistente en hueso autólogo obtenido del fresado de otras localizaciones en las que se colocan implantes en el mismo acto quirúrgico embebido en PRGF-Endoret. Por último, la colocación del implante se llevó a cabo con un motor quirúrgico calibrado a 25 Ncm y 25 rpm, mientras que la inserción final se realizó manualmente mediante una llave dinamométrica para asegurar una fijación óptima (Figura 1).
Entre cuatro y cinco meses meses después se realiza la carga del implante, en una primera fase con una prótesis provisional de carga progresiva, siempre mediante transepiteliales y, posteriormente la prótesis definitiva entre 1 y 2 meses tras la carga inicial.
Para estimar la pérdida ósea marginal, se utilizó una referencia de longitud conocida en las radiografías, específicamente la longitud del implante, con el fin de calibrar las mediciones obtenidas. A partir de esta calibración, el software empleado (Digora for Windows, SOREDEX Digital Imaging Systems) calculó las mediciones reales. La pérdida ósea crestal marginal se determinó midiendo la distancia desde el hombro del implante hasta el primer punto donde se evidenció contacto óseo con el implante. Para evaluar la evolución de la reabsorción ósea en cada paciente, se utilizó como referencia la radiografía tomada en el momento de la colocación de la prótesis. Posteriormente, los pacientes asistieron a controles periódicos cada seis meses, en los cuales se realizaron nuevas radiografías de seguimiento. Durante las visitas postoperatorias y tras la colocación de la prótesis, se registraron en la historia clínica cualquier posible complicación protésica o quirúrgica, las cuales fueron posteriormente analizadas.
Análisis estadístico.
La principal variable estudiada fue la supervivencia de los implantes y como variable secundaria se ha estudiado, la estabilidad del hueso crestal tras la carga. El paciente se consideró como unidad de medida para el análisis de variables como la edad, el sexo y la historia médica, mientras que el implante fue la unidad de medida para el resto de las variables.
Para verificar la normalidad de la distribución de los datos, se aplicó la prueba de Shapiro-Wilk. Las variables cualitativas fueron analizadas mediante un estudio de frecuencias, mientras que las variables cuantitativas se describieron utilizando la media y la desviación estándar.
La tasa de supervivencia de los implantes se estimó a través del método de Kaplan-Meier. Todos los análisis estadísticos se llevaron a cabo utilizando el software SPSS v15.0 (SPSS Inc., Chicago, IL, USA), estableciendo un nivel de significación del 5% (p < 0,05).
Este estudio se diseñó con carácter retrospectivo, basado en la revisión de datos clínicos previamente registrados en la práctica habitual. Todos los procedimientos se realizaron de acuerdo con los principios éticos de la Declaración de Helsinki y las normativas locales vigentes sobre investigación en seres humanos. Se obtuvo el consentimiento informado por escrito de todos los pacientes incluidos, autorizando tanto el tratamiento clínico como el uso de sus datos con fines científicos. Dado que no se realizaron intervenciones adicionales ni modificaciones del plan terapéutico con fines investigativos, y que la recolección de datos se limitó al análisis retrospectivo de casos, no se consideró necesaria la evaluación previa por parte de un comité de ética institucional.
Fueron reclutados 16 pacientes en los que se colocaron 18 implantes que cumplieron los criterios de selección anteriormente descritos. La media de edad de los pacientes fue de 58,76 años (+/- 11,43) y 12 de los pacientes fueron mujeres. La media de la altura ósea previa de las localizaciones de los implantes fue de 3,96 mm (+/- 0,38) con un rango comprendido entre 3,18 mm y 4,43 mm.
En todos los casos se realizaron elevaciones óseas desde los 0,2 hasta los 1,3 mm. En la Figura 2 se observa la altura ósea inicial y final para cada uno de los implantes. Las posiciones más frecuentes de los implantes incluidos en el estudio fueron en 16 y en 26 con 33,3% respectivamente, y la menos frecuente en posición 27 (11,1%). Todas las posiciones se muestran en la Figura 3.
El diámetro de los implantes osciló entre los 3,75 mm y los 6 mm, siendo el más frecuente 4,25 mm y 4,75 mm con un 27,8% para cada grupo. Todos los implantes colocados fueron de 4,5 mm de longitud. Los diámetros y longitudes de los implantes incluidos en el estudio en función de la posición se muestran en la Figura 4.
El tipo óseo más frecuente en las zonas de inserción de los implantes fue el tipo IV en el 46,7% de los casos con una densidad media de 263,89 Hu (+/- 134,82). En la Figura 5 se muestran las densidades de todos los implantes en función de la posición y el diámetro.
El torque de inserción de los implantes varió desde 5 Ncm hasta 60 Ncm con una media de 28,33 Ncm (+/- 17,65), siendo el más frecuente 15 Ncm (en el 27,8% de los casos). En la Figura 6 se muestran los torques de inserción logrados en función de la densidad ósea en unidades Hounsfield.
La media de seguimiento de los implantes estudiados fue de 36,3 meses (+/- 2,71); rango 36-42 meses y durante este tiempo no se produjo ningún fracaso, siendo la supervivencia acumulada del 100%. La media de la pérdida ósea mesial al final del seguimiento para todos los implantes fue de 0,35 mm (+/- 0,62) mientras que la distal fue de 0,11 mm (/- 0,49).
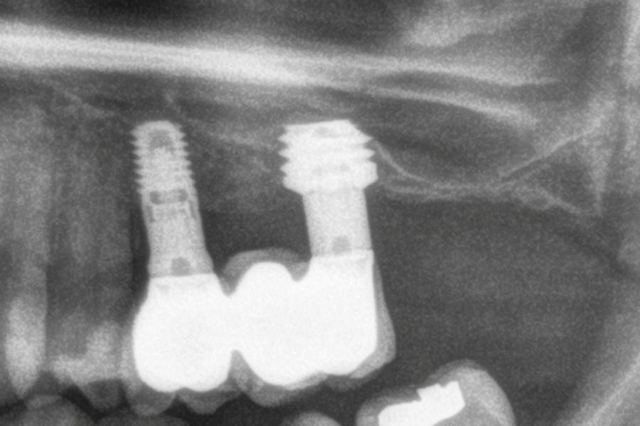
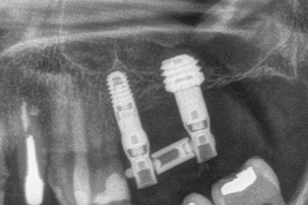
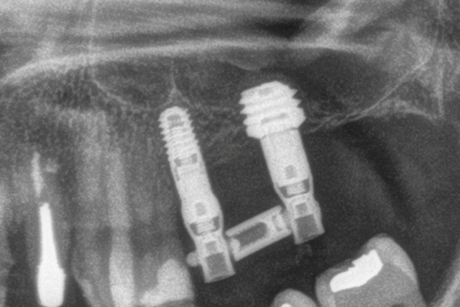
En las Figuras 7- 13 se muestra uno de los casos incluidos en el estudio.
En la actualidad, la implantología sigue una tendencia creciente hacia procedimientos de mínima intervención, en concordancia con otras especialidades médicas. En este contexto, el uso de implantes de dimensiones reducidas ha cobrado especial relevancia. En particular, los implantes de 4,5 mm de longitud, como los analizados en el presente estudio, representan una alternativa terapéutica viable para la rehabilitación de pacientes con atrofia ósea moderada a severa en los sectores posteriores del maxilar, ya sea con o sin la necesidad de elevación transcrestal. Esta estrategia permite optimizar los resultados funcionales y reducir la morbilidad quirúrgica asociada a procedimientos más invasivos, como la elevación de seno mediante abordaje lateral11-15. Los implantes cortos y extra-cortos además han demostrado ser una opción terapéutica predecible, como lo evidencian revisiones sistemáticas con metaanálisis que reportan tasas de supervivencia para los implantes extra-cortos en un rango del 86,7 % al 100 %16,17. En particular, los implantes de 4 mm han sido incorporados más recientemente dentro de esta categoría, y los estudios existentes sobre su supervivencia, pérdida ósea crestal y complicaciones quirúrgicas o protésicas indican que presentan tasas comparables a las de los implantes de longitud convencional colocados en combinación con técnicas regenerativas 17-19. Sin embargo, estas últimas suelen asociarse con un aumento en la morbilidad para el paciente, lo que refuerza la relevancia de los implantes extra-cortos, como alternativa terapéutica menos invasiva. La incorporación de implantes de 4,5 mm de longitud, combinada con un protocolo diagnóstico y quirúrgico adecuado, ha permitido optimizar su estabilidad primaria incluso en contextos de muy baja densidad ósea o en pacientes con un volumen óseo residual mínimo. Este avance ha facilitado la aplicación de la técnica de elevación transcrestal, posibilitando la colocación de implantes de 4,5 mm en lechos óseos residuales de tan solo 1-2 mm12. Como consecuencia, se ha transformado significativamente el enfoque terapéutico en la rehabilitación del maxilar posterior atrófico, reduciendo la necesidad de procedimientos más invasivos y mejorando los resultados clínicos. En otras situaciones con mayor altura ósea pueden también ser colocados sin necesidad de realizar abordaje del seno, punto a favor ya que con implantes de 5,5 mm la elevación transcrestal hubiera sido necesaria20-23.
Los implantes de 4,5 mm han sido una opción terapéutica predecible para rehabilitar los sectores maxilares posteriores con escasa altura ósea residual con elevación de seno transcrestal asociada, según los datos obtenidos en el presente trabajo. Estos implantes representan, por tanto, una opción terapéutica adecuada en casos donde la altura ósea residual se encuentra entre los 4 y 5 mm.
Lin ZZ, Jiao YQ, Ye ZY, Wang GG, Ding X. The survival rate of transcrestal sinus floor elevation combined with short implants: a systematic review and meta-analysis of observational studies. Int J Implant Dent. 2021;7(1):41.
Huang JQ, Hu CQ, Xia X, et al. Retrospective study on transcrestal sinus floor elevation with simultaneous implantation of short implants. Hua Xi Kou Qiang Yi Xue Za Zhi. 2020;38(6):667-671.
Gracia Á, Jensen OT, Kurtzman GM. A review of sinus floor elevation techniques: lateral window, transcrestal, graft materials, and biologics. Compend Contin Educ Dent. 2024;45(8):418-426.
Carelli S, Passaretti A, Petroni G, et al. Five years follow-up of short implants placed in atrophic maxilla with simultaneous sinus floor transcrestal elevation. Acta Stomatol Croat. 2021;55(2):177-185.
Stern A, Green J. Sinus lift procedures: an overview of current techniques. Dent Clin North Am. 2012;56(1):219-33.
Esposito M, Grusovin MG, Rees J, et al. Effectiveness of sinus lift procedures for dental implant rehabilitation: a Cochrane systematic review. Eur J Oral Implantol. 2010;3(1):7-26.
Farina R, Franzini C, Trombelli L, Simonelli A. Minimal invasiveness in the transcrestal elevation of the maxillary sinus floor: A systematic review. Periodontol 2000. 2023;91(1):145-166.
Shi S, Han L, Su J, et al. Clinical efficacy of transcrestal sinus floor augmentation, in comparison with lateral approach, in sites with residual bone height ≤6 mm: A systematic review and meta-analysis. Clin Oral Implants Res. 2023;34(11):1151-1175.
Anitua E, Carda C, Andia I. A novel drilling procedure and subsequent bone autograft preparation: a technical note. Int J Oral Maxillofac Implants. 2007;22(1):138-45. Erratum in: Int J Oral Maxillofac Implants. 2007;22(2):309.
Anitua E, Alkhraisat MH, Piñas L, Orive G. Efficacy of biologically guided implant site preparation to obtain adequate primary implant stability. Ann Anat. 2015;199:9-15.
Falisi G, Bernardi S, Rastelli C, et al. «All on short» prosthetic-implant supported rehabilitations. Oral Implantol (Rome). 2017;10(4):477-487.
Anitua E. Two-step progressive transcrestal sinus augmentation using a 4.5 mm unloaded implant as a «temporary implant» in highly atrophic ridge: case report. Eur J Dent. 2023;17(2):560-566.
Anitua E, Flores J, Alkhraisat MH. Transcrestal sinus floor augmentation by sequential drilling and the use of plasma rich in growth factors. Int J Oral Maxillofac Implants. 2017;32(3):e167–e173.
Bruck N, Zagury A, Nahlieli O. Minimal invasive implantology. Refuat Hapeh Vehashinayim (1993). 2015;32(3):44-51.
Laskar S, Pande D, Anwar MS, et al. Minimally invasive techniques for sinus floor elevation using dental implants among Indians. Bioinformation. 2023;19(13):1336-1341.
Annibali S, Cristalli MP, Dell’Aquila D, et al. Short dental implants: a systematic review. J Dent Res. 2012;91:25-32.
Papaspyridakos P, De Souza A, Vazouras K, et al Survival rates of short dental implants (≤6 mm) compared with implants longer than 6 mm in posterior jaw areas: A meta-analysis. Clin Oral Implants Res. 2018;29 Suppl 16:8-20.
Barausse C, Pistilli R, Canullo L, et al. A 5-year randomized controlled clinical trial comparing 4-mm ultrashort to longer implants placed in regenerated bone in the posterior atrophic jaw. Clin Implant Dent Relat Res. 2022;24(1):4-12.
Anitua E, Eguia A, Alkhraisat MH. Clinical performance of splinted 4.5-mm extra-short implants: a controlled retrospective cohort study. Int J Periodontics Restorative Dent. 2024;44(5):544-555.
Cruz RS, Lemos CAA, Batista VES, et al. Short implants versus longer implants with maxillary sinus lift. A systematic review and meta-analysis. Braz Oral Res. 2018;32:e86.
Carosi P, Lorenzi C, Lio F, et al. Short implants (≤6mm) as an alternative treatment option to maxillary sinus lift. Int J Oral Maxillofac Surg. 2021;50(11):1502-1510.
Mokcheh A, Jegham H, Turki S. Short implants as an alternative to sinus lift for the rehabilitation of posterior maxillary atrophies: Systematic review and meta-analysis. J Stomatol Oral Maxillofac Surg. 2019;120(1):28-37.
Khouly I, Veitz-Keenan A. Insufficient evidence for sinus lifts over short implants for dental implant rehabilitation. Evid Based Dent. 2015;16(1):21-2.

Anitua, Eduardo
Práctica privada en implantología
oral, Fundación Eduardo Anitua,
Vitoria.
Investigador clínico, Fundación
Eduardo Anitua, Vitoria, España.
Instituto Universitario para la
Medicina Regenerativa Oral e
Implantología (UIRMI), Vitoria,
España.
Correspondencia:
Dr. Eduardo Anitua,
Eduardo Anitua Foundation; C/ Jose
Maria Cagigal 19, 01007 Vitoria, Spain;
Phone: +34 945160653,
[email protected]













