Científica Dental: abril 2021 (edición exclusiva online)

Contenidos de la publicación
1 | EDITORIAL | |
2 | ARTÍCULO ORIGINAL | ANATOMÍA DE LA ARTERIA ALVEOLAR POSTERIOR SUPERIOR (AAPS): ESTUDIO DE 32 CBCT |
3 | PUESTA AL DÍA | PAUTAS DE PRESCRIPCIÓN DE ANTIBIÓTICOS PREVENTIVOS EN IMPLANTOLOGÍA ORAL. ANÁLISIS DE ENCUESTAS ENTRE DENTISTAS DE LA UNIÓN EUROPEA |
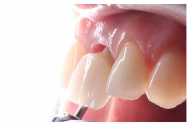
4 | CASO CLÍNICO | EL RETO DEL ABORDAJE QUIRÚRGICO EN LA REHABILITACIÓN SOBRE UN IMPLANTE UNITARIO EN UN CASO DE ALTO REQUERIMIENTO ESTÉTICO DEL SECTOR ANTERIOR. DESCRIPCIÓN A PROPÓSITO DE UN CASO |
5 | PUESTA AL DÍA | COMPLICACIONES ASOCIADAS A LA ANESTESIA BUCAL: DIAGNÓSTICO Y MANEJO |
6 | REVISIÓN BIBLIOGRÁFICA | USO DE DENTINA PARTICULADA EN PROCEDIMIENTOS DE PRESERVACIÓN ALVEOLAR: REVISIÓN SISTEMÁTICA DE LA LITERATURA |
7 | REVISIÓN BIBLIOGRÁFICA | RELACIÓN ENTRE PROBLEMAS RESPIRATORIOS EN LA INFANCIA Y LAS ALTERACIONES DEL ESMALTE. REVISIÓN SISTEMÁTICA |
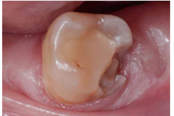
8 | CASO CLÍNICO | ¿ES LA PULPOTOMÍA UNA ALTERNATIVA AL TRATAMIENTO DE CONDUCTOS PARA LOS DIENTES CON SÍNTOMAS DE PULPITIS IRREVERSIBLE? A PROPÓSITO DE UN CASO |

Dra. Cristina Meniz García
Directora de la revista Científica Dental del Ilustre Colegio Oficial de Odontólogos y Estomatólogos de la Iª Región.

Dra. Isabel Leco Berrocal
Subdirectora de la revista Científica Dental del Ilustre Colegio Oficial de Odontólogos y Estomatólogos de la Iª Región.
Estimados colegiados, amigos y lectores de Científica Dental:
En este segundo número del nuevo formato online se presentan ocho trabajos que deseamos sean de vuestro interés. Contamos con trabajos en las diferentes categorías de artículos originales, casos clínicos, revisiones de la literatura y puestas al día, que abarcan, como viene siendo habitual, diferentes áreas de la actividad científica de nuestra profesión.
Aunque nuestras vidas siguen bajo la influencia de la pandemia de la COVID-19, desde Científica Dental seguimos trabajando y agradeciendo a todos los compañeros y profesionales que colaboran con nosotros y hacen posible cada número de esta revista.
La actualidad no nos permite olvidar que somos profesionales al servicio de la salud, que seguimos trabajando y asumiendo el riesgo, aunque con la seguridad de que, a estas alturas, la mayoría hemos podido recibir la vacuna, proporcionándonos algo de tranquilidad. La gran labor que ha realizado el COEM en Madrid en esta campaña de vacunación, ha sido todo un reto de esfuerzo y trabajo que, sin duda, los colegiados debemos agradecer.
Como siempre estamos deseando recibir vuestras colaboraciones y sugerencias. Y os esperamos en el próximo número del mes de junio.
Artículos de la publicación

Anatomía de la arteria alveolar posterior superior (AAPS): estudio de 32 CBCT

Pautas de prescripción de antibióticos preventivos en Implantología Oral. Análisis de encuestas entre dentistas de la Unión Europea

El reto del abordaje quirúrgico en la rehabilitación sobre un implante unitario en un caso de alto requerimiento estético del sector anterior. Descripción a propósito de un caso

¿Es la pulpotomía una alternativa al tratamiento de conductos para los dientes con síntomas de pulpitis irreversible? A propósito de un caso





