Artículo original
Anitua E. Elevación de seno mediante abordaje transcrestal sin material de relleno con implantes extracortos (5,5 y 6,5 mm). Estudio retrospectivo con un seguimiento de 10 años. Cient. Dent. 2024; 21; 2; 93-99.
Elevación de seno mediante abordaje transcrestal sin material de relleno con implantes extracortos (5,5 y 6,5 mm). Estudio retrospectivo con un seguimiento de 10 años
Introducción. El abordaje transcrestal del seno maxilar con y sin material de relleno como injerto es una técnica ampliamente extendida en nuestros días. Generalmente se combina con la utilización de implantes cortos y extracortos. En este trabajo, presentamos una serie de casos tratados con un protocolo unificado con un seguimiento de 10 años.
Material y método. Se ha llevado a cabo un estudio retrospectivo de pacientes tratados mediante implantes extracortos (5,5 y 6,5 mm de longitud) colocados mediante elevación transcrestal sin el uso de injerto. Como variables principales se han estudiado: la pérdida ósea crestal de los implantes y la ganancia en altura sobre el ápice. Como variable secundaria se ha estudiado la supervivencia de los implantes.
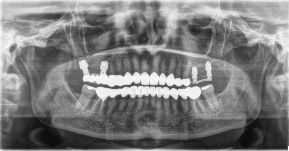
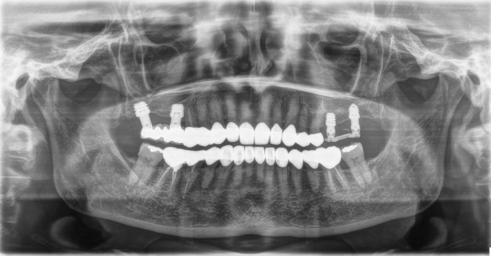
Resultados. Fueron reclutados 13 pacientes en los que se insertaron 30 implantes. Una vez insertados y cargados los implantes, la altura media final fue de 9,68 mm (+/- 2,66), lo que supone una ganancia promedio de 5 mm. A los 10 años, se observó una disminución media de la altura ósea ganada en los implantes en conjunto de 0, 29 mm (+/- 0,77). La media de la pérdida ósea mesial fue de 0,73 mm (+/- 0,75 mm) y la media de la pérdida ósea distal fue de 0,98 mm (+/- 1,2 mm). La supervivencia fue del 100%.
Conclusiones. La inserción de implantes con elevación transcrestal sin injerto no es un factor de riesgo para el fracaso de la técnica o del implante, siempre y cuando se respeten los protocolos de fresado e inserción.
Sinus lift by transcrestal approach without material with extra-short implants (5.5 and 6.5 mm). Retrospective study with a 10-year follow-up
Introduction. The transcrestal approach to the maxillary sinus with and without filler material as graft is a widespread technique nowadays. It is usually combined with the use of short and extra-short implants. In this paper, we present a series of cases treated with a unified protocol with a 10-year follow-up.
Material and methods. A retrospective study of patients treated with extra-short implants (5.5 and 6.5 mm in length) placed by transcrestal elevation without the use of a graft was carried out. The main variables studied were: the crestal bone loss of the implants and the gain in height above the apex. Implant survival was studied as a secondary variable.
Results.Thirteen patients were recruited and 30 implants were inserted. Once the implants were inserted and loaded, the mean final height was 9.68 mm (+/- 2.66), which represents an average gain of 5 mm. At 10 years, there was a mean decrease in the overall bone height gain of the implants of 0.29 mm (+/- 0.77). The mean mesial bone loss was 0.73 mm (+/- 0.75 mm) and the mean distal bone loss was 0.98 mm (+/- 1.2 mm). Survival was 100%.
Conclusions. Insertion of implants with trans-crestal elevation without grafting is not a risk factor for technique or implant failure as long as drilling and insertion protocols are respected.
Key words: Transcrestal sinus lift; Extra-short dental implant; Long term follow-up.
En 1986 Tatum describe la primera técnica de elevación antral por abordaje externo con ventana lateral, abriendo una ventana ósea y a través de ella, intentando no romper la membrana de Schneider crear un espacio entre el suelo sinusal y la misma rellenándolo posteriormente con hueso autólogo o biomateriales. En 1980 esta técnica fue modificada por Boyne y James extendiéndose su uso para la colocación de los implantes dentales1,2.
Summers expone en 19943 la primera variación de la técnica de abordaje lateral, que presenta una modificación para reducir la capacidad invasiva de la misma. Esta técnica consiste en un abordaje desde la cresta alveolar mediante el uso de osteotomos de calibre progresivo, que realizan un orificio que sirve a la vez para la elevación de la membrana de Schneider y la colocación posterior del implante dental. Esta técnica reporta ventajas con respecto al abordaje lateral, como la reducción de los actos quirúrgicos y la compactación del hueso en el nuevo alveolo creado aumentando la densidad en la zona crestal en algunos casos donde es necesario4,5.
Nuestro grupo de estudio modifica esta técnica de elevación transcrestal utilizando para el acceso unas fresas de corte frontal que permiten eliminar la cortical inferior del seno con lentitud sin dañar la membrana de Schneider, eliminándose los osteotomos y el malestar que genera su accionamiento mediante el martillo6-7. Inicialmente el procedimiento fue concebido para ser empleado con material de injerto al igual que el abordaje convencional, pero posteriormente se presentaron variaciones del procedimiento donde se insertaban los implantes sin injerto, utilizándose el propio implante como mantenedor de espacio entre la membrana de Schneider y la cavidad creada entre la membrana y la cresta, permitiendo que esta cavidad no se colapsase y posteriormente fuera colonizada por nuevo hueso7-11.
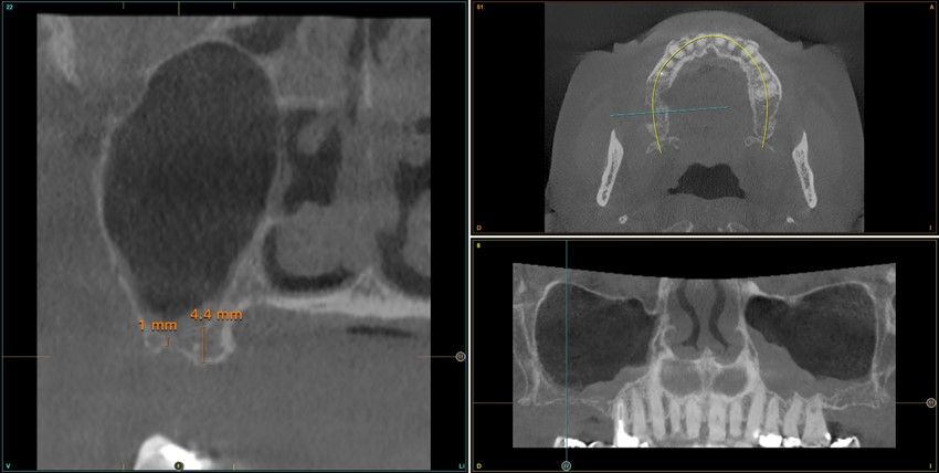
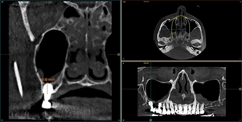
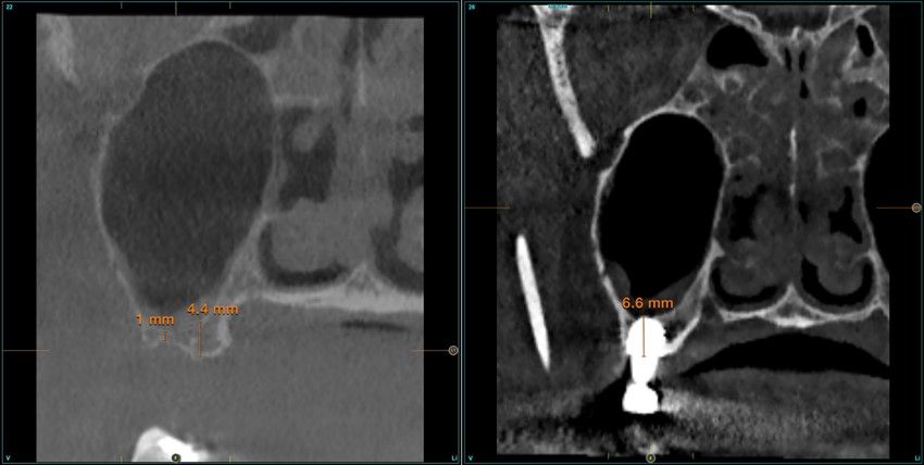
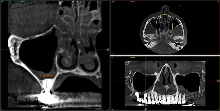
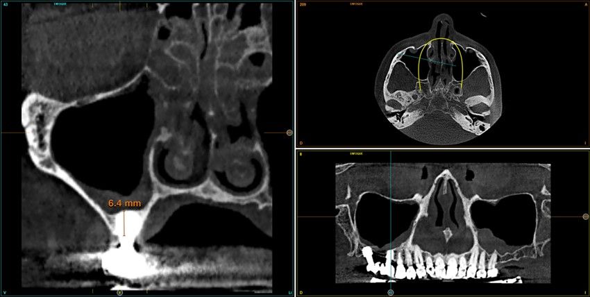
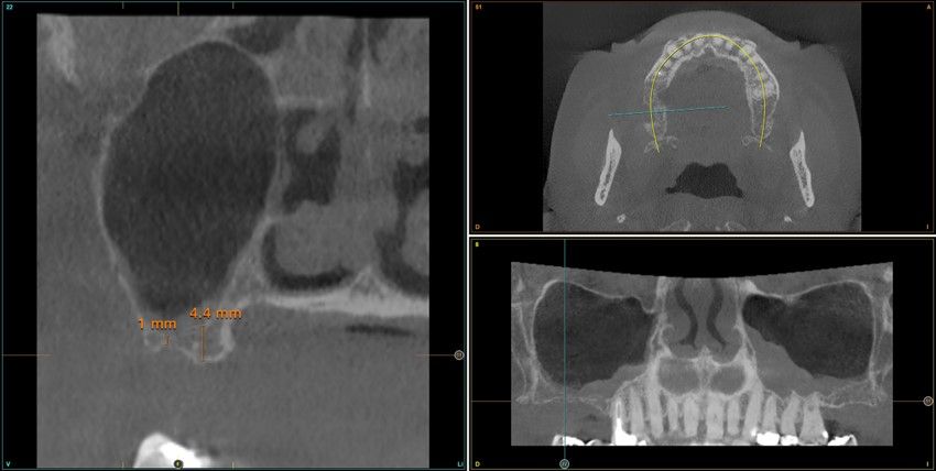
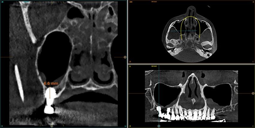
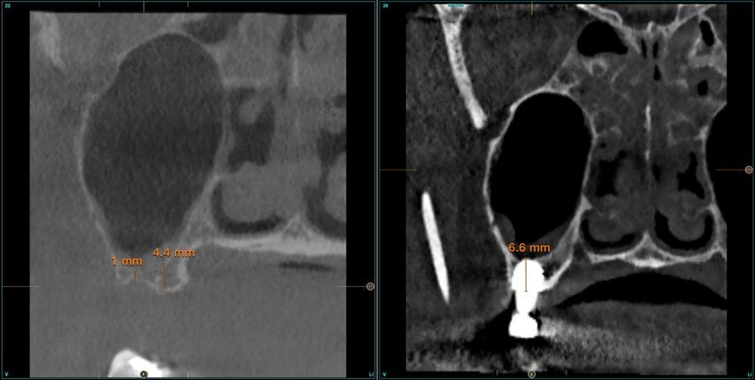
Los senos tratados con la técnica de elevación transcrestal sin material de relleno muestran un incremento de entre 2,5 mm12,13 hasta 4.4 mm14,15 en la altura ósea lograda sobre el ápice y una supervivencia de los implantes que se sitúa entre un 94 y un 100%16-17. En este trabajo se presenta un estudio retrospectivo donde se ha evaluado la inserción de implantes extracortos (5,5 y 6,5 mm) en zonas posteriores maxilares mediante la técnica de elevación de seno transcrestal con la fresa de ataque frontal sin la utilización de material de injerto, con un tiempo de seguimiento de 10 años para poder objetivar el comportamiento de los implantes a largo plazo y de la técnica empleada.
Tatum H. Maxillary and sinus implant reconstructions. Dent Clin North Am. 1986; 30:1207–1229.
Tan WC, Lang NP, Zwahlen M, Pjetursson BE. A systematic review of the success of sinus floor elevation and survival of implants inserted in combination with sinus floor elevation. Part II: transalveolar technique. J Clin Periodontol. 2008; 35:241–254
Summers RB. A New Concept in maxillary implant surgery: the osteotome technique. Compendium.1994;15:154–156.
Pjetursson BE, Tan WC, Zwahlen M, Lang NP. A systematic review of the success of sinus floor elevation and survival of implants inserted in combination with sinus floor elevation. J Clin Periodontol. 2008;35:216-40.
Del Fabbro M, Corbella S, Weinstein T, Ceresoli V, Taschieri S. Implant survival rates after osteotome-mediated maxillary sinus augmentation: a systematic review. Clin Implant Dent Relat Res. 2012; 14(Suppl 1):e159–e168.
Anitua E, Flores J, Alkhraisat MH. Transcrestal sinus floor augmentation by sequential drilling and the use of plasma rich in growth factors. Int J Oral Maxillofac Implants. 2017;32(3):e167–e173.
Anitua E, Flores J, Alkhraisat MH. Transcrestal sinus lift using platelet concentrates in association to short implant placement: A retrospective study of augmented bone height remodeling. Clin Implant Dent Relat Res. 2016;18:993-1002.
Wallace SS, Froum SJ. Effect of maxillary sinus augmentation on the survival of endosseous dental implants. A systematic review. Ann Periodontol. 2003 Dec;8(1):328-343.
Leblebicioglu B, Ersanli S, Karabuda C, Tosun T, Gokdeniz H. Radiographic evaluation of dental implants placed using an osteotome technique. J Periodontol.2005;76:385–390.
Nedir R, Bischof M, Vazquez L, Szmukler-Moncler S, Bernard JP. Osteotome sinus floor elevation without grafting material: a 1-year prospective pilot study with ITI implants. Clin Oral Implants Res.2006;17:679–686.
Lai HC, Zhang ZY, Wang F, Zhuang LF, Liu X. Resonance frequency analysis of stability on ITI implants with osteotome sinus floor elevation technique without grafting: a 5-month prospective study. Clin Oral Implants Res.2008;19:469–475.
Senyilmaz DP, Kasaboglu O. Osteotome sinus floor elevation without bone grafting and simultaneous implant placement in the atrophic maxilla: a pilot study. Indian J Dent Res.2011;22:786–789.
He L, Chang X, Liu Y. Sinus floor elevation using osteotome technique without grafting materials: a 2-year retrospective study. Clin Oral Implants Res.2013;24:63–67.
Fermergård R, Åstrand P. Osteotome sinus floor elevation without bone grafts-a 3-year retrospective study with Astra Tech implants. Clin Implant Dent Relat Res.2012;14:198–205.
Nedir R, Nurdin N, Szmukler-Moncler S, Bischof M. Placement of tapered implants using an osteotome sinus floor elevation technique without bone grafting: 1-year results. Int J Oral Maxillofac Implants.2009;24:727–733.
Nedir R, Nurdin N, Vazquez L, Szmukler-Moncler S, Bischof M, Bernard JP. Osteotome sinus floor elevation technique without grafting: a 5-year prospective study. J Clin Periodontol.2010;37:1023–1028.
Pérez-Martínez S, Martorell-Calatayud L, Peñarrocha-Oltra D, García-Mira B, Peñarrocha-Diago M. Indirect sinus lift without bone graft material: Systematic review and meta-analysis. Journal of
Clinical and Experimental Dentistry. 2015;7:e316-e319.
Anitua E, Alkhraisat MH, Pinas L, Orive G. Efficacy of biologically guided implant site preparation to obtain adequate primary implant stability. Ann Anat. 2015;199:9-15.
Anitua E, Carda C, Andia I. A novel drilling procedure and subsequent bone autograft preparation: a technical note. Int J Oral Maxillofac Implants. 2007;22:138-45. Erratum in: Int J Oral Maxillofac Implants. 2007;22:309.
Anitua E, Allende M, Eguia A, Alkhraisat MH. Bone-regenerative ability of platelet-rich plasma following sinus augmentation with anorganic bovine bone: A systematic review with meta-analysis. Bioengineering (Basel). 2022;9:597.
Beretta M, Poli PP, Grossi GB, Pieroni S, Maiorana C. Long-term survival rate of implants placed in conjunction with 246 sinus floor elevation procedures: results of a 15-year retrospective study. J Dent.2015;43:78-86.
Viña-Almunia J, Peñarrocha-Diago M, Peñarrocha-Diago M. Influence of perforation of the sinus membrane on the survival rate of implants placed after direct sinus lift. Literature update. Med Oral Patol Oral Cir Bucal. 2009;14:E133-136.
Shah D, Chauhan C, Shah R. Survival rate of dental implant placed using various maxillary sinus floor elevation techniques: A systematic review and meta-analysis. J Indian Prosthodont Soc. 2022;22:215-224.
Del Fabbro M, Corbella S, Weinstein T, Ceresoli V, Taschieri S. Implant survival rates after osteotome-mediated maxillary sinus augmentation: a systematic review. Clin Implant Dent Relat Res 2012; 14(Suppl 1):e159–e168.
Pjetursson BE, Ignjatovic D, Matuliene G, Brägger U, Schmidlin K, Lang NP. Transalveolar maxillary sinus floor elevation using osteotomes with or without grafting material. Part II: Radiographic tissue remodeling. Clin Oral Implants Res.2009;20:677–683.
Duan DH, Fu JH, Qi W, Du Y, Pan J, Wang HL. Graft-free maxillary sinus floor elevation: a systematic review and meta-analysis. J Periodontol. 2017;88:550-564.
Lundgren S, Cricchio G, Hallman M, Jungner M, Rasmusson L, Sennerby L. Sinus floor elevation procedures to enable implant placement and integration: techniques, biological aspects and clinical outcomes. Periodontol 2000. 2017;73:103-120.


















