Científica Dental: sept.-octubre-noviembre-diciembre 2022
Caso clínico
Sánchez-Labrador L, Ruiz Sáenz PL, Sáez Alcaide LM, Martínez Rodríguez N, Martínez-González JM. Utilización de dentina autógena para relleno del gap en el implante inmediato post-extracción: a propósito de un caso clínico con seis meses de seguimiento. Cient. Dent. 2022; 19; 3; 161-168
Utilización de dentina autógena para relleno del gap en el implante inmediato postextracción: a propósito de un caso clínico con seis meses de seguimiento
Introducción: las extracciones dentarias producen una reabsorción horizontal y vertical de la cresta alveolar, que se puede minimizar con algunas técnicas quirúrgicas, como la colocación de implantes inmediatos post-extracción, asociados al empleo de biomateriales.
Caso clínico: se presenta el caso clínico de una mujer de 48 años, que acudió a consulta presentando dolor intenso en la zona del incisivo lateral superior izquierdo, asociado a una profundidad de sondaje de 12 mm. Se realizó la exodoncia del 2.2, y la colocación de un implante inmediato post-extracción, utilizando la dentina de la raíz extraída, para rellenar el gap entre el implante y la cortical vestibular, mostrando buenos resultados clínicos y radiográficos a los 6 meses tras la intervención.
Discusión: aunque en la actualidad se utilizan multitud de biomateriales para reducir la reabsorción ósea en los implantes inmediatos post-extracción, ninguno de ellos parece tener mejores resultados que el resto, suponiendo en este sentido la dentina autógena una alternativa útil al tratarse de un material autólogo, con buenas tasas de aceptación por parte de los pacientes, y teniendo unas propiedades adecuadas de osteoconducción y osteoinducción.
Conclusiones: la dentina autógena presenta buenos resultados clínicos y radiográficos para rellenar el gap en implantes inmediatos post-extracción.
Introduction: Tooth extraction produces an horizontal and vertical resorption of the alveolar ridge, which can be reduced by many surgical techniques, such as immediate post-extractive implants, in combination with bone substitutes.
Clinical case: A clinical case of a 48-year-old woman is presented, who went to dental clinic referring pain in her upper lateral incisor, associated to high probing depth. An immediate postextractive implant was placed, employing autogenous dentin from the root extracted, to fill the gap between the implant and the buccal plate, showing good clinical and radiographic evolution 6 months after surgery.
Discussion: Although nowadays there are different bone substitutes to reduce bone resorption when immediate implants are placed, they have similar results, becoming autogenous dentin an useful alternative, which is an autologous material, with good patient acceptation rates and osteoconductive and osteoinductive properties.
Conclusion: Autogenous dentin shows promising clinical and radiographical results when it is used to fill the gap in the post-extractive immediate implant.
Las extracciones dentarias son uno de los procedimientos dentales que se realizan con mayor frecuencia en la actualidad1 . Tras las mismas, se producen una serie de alteraciones dimensionales de la cresta alveolar, en sentido horizontal (3.87 mm) y vertical (1.67-2.03 mm) durante los primeros 3 meses, tanto en los tejidos duros como en los tejidos blandos2 . Durante los siguientes 12 meses, la pérdida horizontal puede llegar hasta los 5-7 mm, lo que supone el 50% de la anchura inicial de la cresta ósea2,3.
Este doble proceso resortivo produce crestas estrechas y finas4 , que pueden dificultar la consecución de un adecuado resultado estético en el sector anterior al rehabilitar mediante implantes, no permitir su correcta colocación o la fabricación adecuada de la prótesis5 .
Para prevenir esta situación clínica, se han descrito multitud de técnicas quirúrgicas, desde las técnicas regenerativas para la preservación alveolar hasta la colocación inmediata de implantes.
En este sentido, los implantes inmediatos post-extracción son un procedimiento en el que se realiza la extracción y la colocación del implante en una misma intervención. En este procedimiento, queda un espacio entre el cuerpo del implante y la cortical vestibular, debido a una discrepancia entre el tamaño del implante y el alveolo donde estaba la raíz dentaria6 . Cuando este espacio o “gap” es inferior a 2 mm, no se afecta la estabilidad implantaria, pero cuando excede estos 2 mm, se recomienda la utilización de biomateriales, para mantener una arquitectura adecuada de los tejidos duros y blandos6 .
El efecto de estos biomateriales de manera conjunta con los implantes inmediatos post-extracción ha sido evaluado en diferentes estudios, demostrando que, tras la colocación del implante, la distancia entre la cortical vestibular y el cuerpo del implante necesita de un aumento óseo para prevenir la invaginación del tejido blando, hecho que puede suceder cuando se produce la cicatrización espontánea mediante la formación de un coágulo de sangre, sin el empleo de biomateriales asociados7 .
Se han utilizado, por tanto, diferentes biomateriales para rellenar el “gap” o espacio entre el implante y la cortical vestibular tras las extracciones8 , mostrando todos ellos buenos resultados clínicos y radiográficos. Pese a que en la actualidad el hueso autólogo sigue siendo considerado el material de elección o “gold estándar”, debido a sus propiedades de osteogénesis, osteoconducción y osteoinducción, sufre algunas desventajas como la necesidad de una segunda zona donante, la disponibilidad limitada y un aumento de la morbilidad9,10.
Durante los últimos años se está investigando el empleo de dentina autógena como biomaterial en diferentes procedimientos regenerativos, como la elevación de seno maxilar11,12, la regeneración ósea guiada13-16 y la preservación alveolar17-19, mostrando unos buenos resultados clínicos y radiográficos, y la ausencia de efectos adversos, teniendo además una buena aceptación por parte de los pacientes, al tratarse de un biomaterial autólogo.
Por tanto, debido al éxito en la utilización de dentina autógena en diferentes procedimientos regenerativos, el objetivo del presente caso clínico es evaluar clínica y radiográficamente la utilización de dentina autógena como relleno del gap en el implante post-extracción, como alternativa a la utilización de otros tipos de biomateriales.
Se presenta un caso clínico de una mujer de 48 años de edad, que acudió a consulta por presentar un dolor intenso en segundo cuadrante, asociado a un incisivo lateral superior izquierdo (2.2) con una profundidad de sondaje de 12 mm.
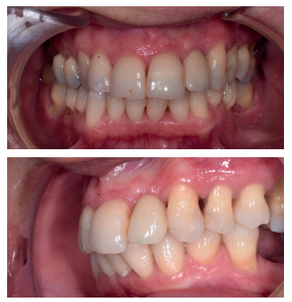
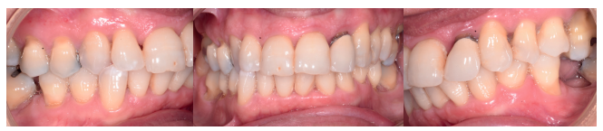
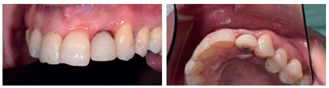
En la historia clínica, no se evidenciaron antecedentes médico-quirúrgicos de interés, alergias medicamentosas conocidas ni hábitos nocivos. A la exploración extraoral, se observó una línea de sonrisa media-baja (Figura 1). A la exploración intraoral, se apreciaron varias ausencias dentarias (1.7, 3.6 y 4.6) y un incisivo lateral superior izquierdo con una restauración fija dentosoportada (Figuras 2 y 3).



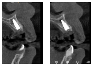
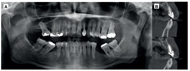
En la exploración radiográfica mediante radiografía panorámica se apreciaron los molares inferiores mesializados por la ausencia de los primeros molares inferiores (Figura 4A). En el escáner de haz cónico se evaluó el nivel de inserción del incisivo lateral superior izquierdo (Figura 4B).

verticales en zonas de molares. (B) Escáner de haz cónico, donde se aprecia el soporte óseo reducido del incisivo lateral
superior izquierdo.
Se planificó la exodoncia del 2.2, para colocar un implante inmediato post-extracción, solicitando el consentimiento informado a la paciente. Una vez obtenido, se procedió a realizar un bloqueo anestésico mediante técnica infiltrativa con articaína al 4% con adrenalina 1:100.000 del nervio alveolar superior anterior, y nasopalatino. Se realizó la extracción forma atraumática y el fresado en una posición palatina, para favorecer la restauración implantosoportada posterior (Figura 5).

Tras la extracción, se separó en primer lugar la corona de la raíz, y se dividió la raíz en dos fragmentos, para poder retirar la gutapercha intrarradicular. Mediante el dispositivo Smart Dentin Grinder® (Kometa Bio. Bioner, España), se obtuvo un injerto con un tamaño de partícula de 300-1200 micrómetros, tras un tiempo de procesado total de 15 minutos (Figura 6).

Se colocó el injerto entre la superficie vestibular del implante, y la cortical vestibular, para cubrir el injerto con una esponja de fibrina (Gelatamp®) y dar dos puntos simples de sutura con poliamida no absorbible de 4/0 (Supramid®), realizando una radiografía periapical en el post-operatorio inmediato, para verificar la colocación adecuada del implante y del material de injerto (Figura 7). Así mismo, y con el objetivo de valorar el mantenimiento de la cortical vestibular se realizó un escáner de haz cónico realizado en el post-operatorio inmediato (Figura 8).

herida (B), radiografía periapical en el post-operatorio inmediato (C).

de dentina rellenando el gap.
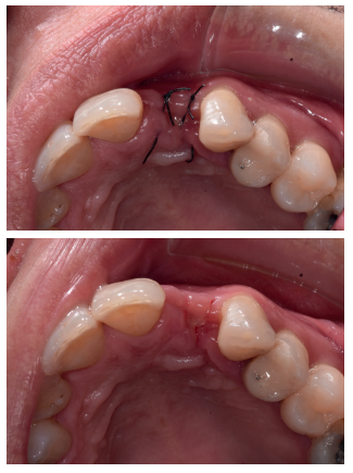
Transcurrida una semana, se procedió a la retirada de la sutura, observando una buena cicatrización de los tejidos blandos (Figura 9).

Tras 3 meses de la colocación del implante, se realizó la segunda fase, mediante una incisión horizontal palatinizada, para desplazar el tejido en una dirección vestibular (Figura 10). Se pudo apreciar el aspecto homogéneo del injerto de dentina, en contacto con el pilar de titanio (Figura 11), que fue rebasado con acrílico para la colocación de una corona provisional (Figuras 11 y 12). A la semana de la segunda fase, se valoró el aspecto del tejido gingival y la óptima ganancia de tejido a nivel horizontal (Figura 13).

palatinizada.

de titanio para rebasar y confección de corona de resina
provisional (B-D).

post-operatorio inmediato.

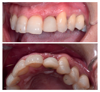
Tras 4 meses de la colocación del implante, habiendo cicatrizado ya el tejido blando después de la segunda fase (Figura 14) se copió el perfil de emergencia, para realizar la restauración fija implantosoportada, mediante una corona cemento-atornillada sobre un pilar de titanio, mostrando un buen aspecto clínico y radiográfico (Figura 15).


En cuanto al análisis de sonrisa, se consiguió también un buen aspecto estético, tal y como se observa en la Figura 16.

En la Figura 17 se puede observar el buen aspecto clínico de la restauración, 6 meses tras la intervención, y la buena aceptación de los tejidos blandos alrededor de la corona, dato que se verifica en la radiografía periapical paralelizada, observando neoformación ósea en las superficies mesial y distal del implante a los 6 meses, en comparación al momento de colocación de la corona (Figura 18).

de la corona en fotografía frontal (arriba) y lateral izquierda (abajo).

colocación de la corona (A).
La colocación de implantes inmediatos post-extracción presenta una serie de ventajas, como la reducción de los cambios óseos dimensionales que se producen tras las extracciones dentarias, la reducción de la morbilidad, y del número de intervenciones quirúrgicas para el paciente, acortando además los tiempos de tratamiento20,21. Además, consigue unos resultados estéticos excelentes21, y una mayor satisfacción por parte de los pacientes22.
Además, esta alternativa terapéutica presenta tasas de éxito similares a la colocación de implantes diferidos23,24, en crestas edéntulas con hueso nativo, con tasas de supervivencia superiores al 98% tras un año de seguimiento, tanto en zona anterior como en zona posterior23.
Sin embargo, para la colocación correcta de estos implantes inmediatos post-extracción en zonas anteriores, es importante que el implante se coloque a nivel del cíngulo de los dientes adyacentes, para que la prótesis tenga una buena vía de inserción y la restauración pueda realizarse de manera correcta22. Además, se recomienda tener 3-5 mm de disponibilidad ósea apical para asegurar la estabilidad primaria del implante25, tal y como se observa en el escáner realizado en este caso clínico. La estabilidad primaria del implante es una condición esencial de la que dependerá la realización o no de una provisionalización inmediata. Este anclaje exclusivamente apical y palatino hace necesario en la mayoría de las ocasiones la utilización de materiales de injerto22.
Entre los diferentes materiales de injerto, se ha descrito en la literatura el empleo de hueso autólogo para rellenar el gap, con tasas de supervivencia del 100% tras 5 años de seguimiento8 , datos que se pueden comparar a la utilización de xenoinjertos7,26 o aloinjertos27, pero aunque la utilización de dentina autóloga ya ha sido ampliamente descrita en la literatura, tanto en forma particulada en procedimientos de regeneración ósea guiada13,14, tras la extracción de terceros molares retenidos en posición horizontal y mesioangular9 ,en preservación alveolar17,18,28 y en elevaciones de seno29 y obteniendo también buenos resultados en forma de bloques, en comparación con bloques de hueso autólogo10, es muy escasa la literatura que documenta su uso para casos de implantes inmediatos post-extracción, en donde se puede aprovechar la dentina del propio diente a extraer, para rellenar el gap, eliminando uno de los principales inconvenientes del hueso autólogo, que es la necesidad de una segunda zona donante, ya que, como se ha podido observar, la dentina se obtiene del mismo diente que se extrae.
Además de esta ventaja, la dentina y el hueso humanos tienen una composición química similar, teniendo la dentina un 70% de contenido inorgánico con 4 tipos de fosfatos cálcicos (hidroxiapatita, fosfato tricálcico, fosfato octacálcico y fosfato cálcico amorfo), que le aporta propiedades de osteoconducción. Otro 20% de su composición es contenido orgánico, con un 90% de colágeno tipo I y un 10% de proteínas no colágenas (osteocalcina, osteonectina, sialoproteína y fosfoproteína) y factores de crecimiento (proteínas morfogenéticas óseas, factor de crecimiento de tipo insulina), que le aportan propiedades de osteoinducción. El 10 % restante es agua30. Esta composición química parecida probablemente sea la responsable de que al hacer la segunda fase, se aprecie un aspecto tan homogéneo del injerto de dentina en relación al hueso circundante.
Además de esta similitud química y estructural, la dentina autógena goza de una buena aceptación por parte de los pacientes, al tratarse de un material autólogo, que por otro lado, minimiza los costes del tratamiento, y que no tiene prácticamente efectos adversos.
Los implantes inmediatos post-extracción pueden también asociarse a una provisionalización inmediata, si se consigue un torque de inserción suficiente, superior a 35 Ncm, siendo este el factor más determinante para conseguir una osteointegración adecuada8 . Sin embargo, la asociación de provisionalización inmediata con los implantes inmediatos parece que solo consigue una ligera menor pérdida ósea marginal, cuando se compara con implantes inmediatos en los que no se realiza una estética inmediata, siendo más necesario en aquellos casos con biotipos gingivales finos8,31. En el presente caso clínico, siguiendo estas recomendaciones, no se realizó esta provisionalización al obtener un torque de inserción implantario de 25 Ncm, dejando el implante sumergido, hasta 3 meses después, momento en que se realizó la corona provisional, obteniendo buenos resultados al aumentar el grosor del tejido blando.
No existe actualmente un consenso sobre el mejor biomaterial a utilizar de manera asociada a los implantes inmediatos post-extracción, siendo dependiente en la mayoría de los casos del operador, y demostrando todos ellos buenos resultados en la disminución de la reabsorción ósea asociada a las extracciones dentarias.
La utilización de dentina autógena para relleno del gap en el implante inmediato post-extracción consigue unos buenos resultados clínicos y radiográficos, mostrando a lo largo del tiempo una aposición ósea alrededor del implante, pudiendo considerarse como una alternativa más entre los diferentes biomateriales disponibles en la actualidad.
Tan WL, Wong TLT, Wong MCM, Lang NP. A systematic review of post-extractional alveolar hard and soft tissue dimensional changes in humans. Clin Oral Impl Res 2012; 23: 1-21.
Thalmair T, Fickl S, Schneider D, Hinze M, Wachtel H. Dimensional alterations of extraction sites after different alveolar ridge preservation techniques-a volumetric study. J Clin Periodontol 2013; 40:721-7.
MacBeth N, Trullenque-Eriksson A, Donos N, Mardas N. Hard and soft tissue changes following alveolar ridge preservation: a systematic review. Clin Oral Impl Res 2017; 28: 982-1004.
De Risi V, Clementini M, Vittorini G, Mannocci A, De Sanctis M. Alveolar ridge preservation techniques: a systematic review and meta-analysis of histological and histomorphometrical data. Clin Oral Impl Res 2015; 26: 50-68.
Orgeas GV, Clementini M, De Risi V, De Sanctis M. Surgical techniques for alveolar socket preservation: a systematic review. Int J Oral Maxillofac Implants 2013; 28: 1049-61.
Kabi S, Kar R, Samal D, Deepak KC, Kar IB, Mishra N. Immediate dental implant placement with or without autogenous bone graft: a comparative study. Natl J Maxillofac Surg 2020; 11: 46-52.
Paknejad M, Akbari S, Aslroosta H, Panjnoush M, Hajheidary S. Effect of flaplessi immediate implantation and filling the buccal gap with xenograft material on the buccal bone level: A Randomized Clinical Trial. J Dent(Tehran). 2017;14: 344-51.
Noelken R, Moergel M, Kunkel M, Wagner W. Immediate and flapless implant insertion and provisionalization using autogenous bone grafts in the esthetic zone: 5-year results. Clin Oral Implants Res 2018; 29: 320-7.
Sánchez-Labrador L, Martín-Ares M, Ortega-Aranegui R, López-Quiles J, Martínez-González JM. Autogenous dentin graft in bone defects after lower third molar extraction: a split-mouth clinical trial. Materials (Basel) 2020; 1: 3090.
Bazal-Bonelli S, Sánchez-Labrador L, Cortés-Bretón Brinkmann J, PérezGonzález F, Meniz-García C, MartínezGonzález JM y cols., Clinical performance of tooth root blocks for alveolar ridge preservation. Int J Oral Maxillofac Surg 2021; S0901-5027 (21) 00294-0.
Jeong KI, Kim SG, Kim YK, Oh JS, Jeong MA, Park JJ. Clinical study of graft materials using autogenous teeth in maxillary sinus augmentation. Implant Dent 2011; 20: 471-5.
Kim YK, Lee J, Yun JY, Yun PY, Um IW. Comparison of autogenous tooth bone graft and synthetic bone graft materials used for bone resorption around implants after crestal approach sinus lifting: a retrospective study. J Periodontal Implant Sci 2014; 44: 216-21.
Kim YK, Kim SG, Byeon JH, Lee HJ, Um IU, Lim CP y cols. Development of a novel bone grafting material using autogenous teeth. Oral Surg. Oral Med Oral Pathol Oral Radiol Endodontol 2010; 109, 496–503.
Kim YK, Lee JH, Um IW, Cho WJ. Guided bone regeneration using demineralized dentin matrix: long term follow-up. J Oral Maxillofac Surg 2016; 74: 515.e1-9.
Pang KM, Um IW, Kim YK, Woo JM, Kim SM, Lee JH. Autogenous demineralized dentin matrix from extracted tooth for the augmentation of alveolar bone defect: a prospective randomized clinical trial in comparison with anorganic bovine bone. Clin Oral Impl Res 2017; 28: 809-15.
Li P, Zhu H, Huang D. Autogenous DDM versus bio-oss granules in GBR for immediate implantation in periodontal postextraction sites: a prospective clinical study. Clin Implant Dent Relat Res 2018; 20923-8.
Del Canto-Díaz A, de Elío-Oliveros J, Del Canto-Díaz M, Alobera-Gracia MA, Del Canto-Pingarrón M, Martínez-González JM. Use of autologous tooth-derived graft material in the post-extraction dental socket. Pilot study. Med Oral Patol Oral Cir Bucal. 2019; 24: e53-e60.
Joshi CP, Dani NH, Khedkar SU. Alveolar ridge preservation using autogenous tooth graft versus beta-tricalcium phosphate alloplast: A randomized, controlled, prospective, clinical pilot study. J Indian Soc Periodontol. 2016;20:429-34.
Jung GU, Jeon MH, Um IW, Song IS, Ryu JJ, Jun SH. Volumetric, radiographic, and histologic analyses of demineralized dentin matrix combined with recombinant human bone morphogenetic protein-2 for ridge preservation: a prospective randomized controlled trial in comparison with xenograft. Appl Sci 2018; 8: 1288.
Salgado-Peralvo AO, Peña-Cardelles JF, Kewalramani N, Mateos-Moreno MV, Jimenez-Guerra A, Velasco-Ortega E y cols. Preventive antibiotic therapy in the placement of immediate implants: a systematic review. Antibiotics 2022; 11 (5).
Amin V, Kumar S, Joshi S, Hirani T, Shishoo D. A clinical and radiographical comparison of buccolingualcrestal bone changes after immediate and delayed implant placement. Med Pharm Rep 2019; 92: 401-7.
Meng HW, Chien EY, Chien HH. Immediate implant placement and provisionalization in the esthetic zone: a 6.5 year follow-up and literature review. Case Rep Dent 2021; 4290193.
Ragucci GM, Elnayef B, Criado-Camara E, Suárez-López Del Amo F, HernandezAlfaro F. Inmediate implant placement in molar extraction sockets: a systematic review and meta-analysis. Int J Implant Dent 2020; 6: 40.
Parvini P, Obreja K, Becker K, Galarraga ME, Schwarz F, Ramanauskaite A. The prevalence of peri-implant disease following immediate implant placement and loading: a cross-sectional analysis after 2 to 10 years. Int J Implant Dent 2020; 6: 63.
Hu KS, Li H, Tu YK, Lin SJ. Esthetic results of immediate implant placement in extraction sockets with intact versus deficient walls. J Dent Sci 2021; 16: 108- 114.
Macozzo F, Jimenez D, Barallat L, Paniz G, Del Fabbro M, Nart J. Bone volume changes after immediate implant placement with or withouth flap elevation. Clin Oral Implants Res 2017; 28: 495-501.
Kolerman R, Qahaz N, Barnea E, Mijiritsky E, Chaushu L, Tal H y cols. Allograft and Collagen Membrane Augmentation Procedures Preserve the Bone Level around Implants after Immediate Placement and Restoration. Int J Environ Res Public Health 2020;17:1133.
Joshi CP, Dani NH, Khedar SU. Alveolar ridge preservation using autogenous tooth graft versus beta-tricalcium phosphate alloplast: a randomized, controlled, prospective clinical pilot study. J Indian Soc Periodontol 2014; 20: 429-34.
Jun SH, Ahn JS, Lee JI, Ahn KJ, Yun PY, Kim YY. A prospective study on the effectiveness of newly developed autogenous tooth bone graft material for sinus bone graft procedure. J Adv Prosthodont 2014; 6; 528-38.
Sánchez-Labrador L, Pérez-González F, Martín-Ares M, Madrigal MartínezPereda C, López-Quiles Martínez J, Martínez-González JM. Utilización de dentina autogena como material de injerto en cirugía bucal. Cient Dent 2019; 16; 2: 155-60.
Slagter KW, Raghoebar GM, Hentenaar DFM, Vissink A, Meijer HJA. Immediate placement of single implants with or without immediate provisionalization in the maxillary aesthetic region: a 5-year comparative study. J Clin Periodontol 2021; 48: 272-83.

Sánchez-Labrador, Luis
Profesor Colaborador Honorífico Departamento Especialidades Clínicas Odontológicas. Facultad de Odontología Universidad Complutense de Madrid (UCM).
Ruiz Sáenz, Pedro Luis
Doctor en Odontología. Responsable de la Unidad de Odontogeriatría. Hospital Central de la Cruz Roja. Madrid.
Sáez Alcaide, Luis Miguel
Odontólogo adjunto al Servicio de Estomatología. Hospital General Universitario Gregorio Marañón.
Martínez Rodríguez, Natalia
Profesora Asociada Departamento Especialidades Clínicas Odontológicas. Facultad de Odontología UCM.
Martínez-González, José María
Profesor Titular Cirugía Maxilofacial. Facultad de Odontología UCM.
Indexada en / Indexed in: – IME – IBECS – LATINDEX – GOOGLE ACADÉMICO


















