Científica Dental: sept.-octubre-noviembre-diciembre 2023
Caso clínico
León C, Bartolomé Lechuga J, Sánchez-Labrador L, Ibáñez L, Martínez-González JM, Cortés-Bretón Brinkmann J. Retratamiento multidisciplinar de una agenesia de un incisivo lateral superior con un implante cerámico monobloque. A propósito de un caso clínico. Cient. Dent. 2023; 20; 3; 161-167.
Retratamiento multidisciplinar de una agenesia de un incisivo lateral superior con un implante cerámico monobloque. A propósito de un caso clínico
Introducción
Los implantes dentales de circona son una buena opción terapéutica que surge como alternativa a los implantes dentales convencionales de titanio, dadas sus excelentes propiedades de biocompatibilidad, baja acumulación de placa bacteriana y escaso infiltrado inflamatorio.
El objetivo del presente caso clínico es describir la colocación de un implante monobloque de circona para reponer un incisivo lateral superior izquierdo en un paciente de 34 años de edad, para la posterior realización de una corona implantosoportada monolítica de circona.
Descripción del caso
Se presenta un paciente varón de 34 años de edad, no fumador y sin antecedentes médico-quirúrgicos de interés (ASA I), que acudió a la consulta demandando una mejora en la estética de su sonrisa.
El paciente presentaba una agenesia congénita en el incisivo lateral superior izquierdo que había sido tratada previamente con ortodoncia para cerrar dicho espacio.
Tras el examen intraoral del paciente y el estudio radiográfico, se plantea la opción de tratamiento de abrir nuevamente el espacio mediante ortodoncia para rehabilitar la ausencia con un implante de circona, asegurando la estética que demandaba el paciente.
Conclusiones:
La rehabilitación mediante implantes de circona para el tratamiento de agenesias congénitas en incisivos laterales superiores, es una opción válida y efectiva, obteniendo resultados óptimos a nivel estético y funcional.
Sin embargo, se necesitan más estudios clínicos con tamaños muestrales suficientes que comparen implantes de titanio y cerámicos con el fin de tener datos más concluyentes.
Multidisciplinary re-treatment of an agenesis of an upper lateral incisor with an one-piece ceramic implant. A clinical report
Introduction: Zirconia dental implants are a good therapeutic option emerging as an alternative to conventional titanium dental implants, given their excellent properties of biocompatibility, low bacterial plaque accumulation and low inflammatory infiltrate. The aim of the present clinical case is to describe the placement of a zirconia implant to replace an upper left lateral incisor in a 34-year-old patient, for the subsequent restoration of a monolithic implant-supported zirconia crown.
Case description: A clinical case of a 34-year-old man is presented, non-smoker and with no previous registered medical records (ASA I) who came to the dental clinic demanding an improvement in the aesthetics of his smile. The patient had a congenital agenesis of the right lateral incisor that had previously been treated with orthodontics to close the space. After the radiographic study and intraoral examination of the patient, the treatment option of reopening the space with a new phase of corrective orthodontics to rehabilitate the absence with a zirconia implant was proposed, ensuring the aesthetics demanded by the patient.
Conclusions: Restoration using zirconia implants for the treatment of congenital agenesis in upper lateral incisors is a valid and effective option, obtaining optimal aesthetic and functional results. However, more clinical studies with sufficient sample sizes comparing titanium and ceramic implants are needed in order to have more conclusive data.
Key words: Multidisciplinary treatmen; Lateral incisor agenesis; One-piece ceramic implant; Zirconia; Soft tissue.
La agenesia dental es una anomalía del desarrollo craneofacial que se define como un desorden heterogéneo determinado genéticamente. Consiste en la ausencia congénita de uno o más dientes y cursa con problemas estéticos, malposición de los dientes adyacentes, atrofia del hueso alveolar y/o maloclusión1,2.
La prevalencia de la agenesia dental congénita, excluyendo los terceros molares, varía entre el 2-10% de la población, ocurriendo mayoritariamente en los segundos premolares inferiores y en los incisivos laterales superiores, independientemente del género3,4.
Las alternativas de tratamiento ante las agenesias incluyen el cierre ortodóncico de espacios, la reposición con una prótesis parcial removible, la realización de un puente adhesivo tipo Maryland, la confección de una prótesis parcial fija, o la colocación de un implante dental con su posterior restauración fija implantosoportada.
En este sentido, los implantes dentales muestran tasas de éxito del 96,7% a 97,5% para restauraciones unitarias tras 6 años de seguimiento5. En la actualidad existen diferentes tipos de implantes dentales, entre los que destacan los de titanio de grado IV como material predominante6,7. Este material presenta una excelente biocompatibilidad, altas tasas de éxito a medio (97,2% tras 5 años de seguimiento) y largo plazo (95,2% tras 10 años de seguimiento) 8.
Sin embargo, algunas preguntas han aflorado recientemente en relación con algunos problemas que ocasionalmente pudieran relacionarse con los implantes de titanio, y es por ello que han aparecido otros materiales en el mercado9.
En este sentido y en relación con las complicaciones biológicas, una reciente revisión sistemática destaca una alta prevalencia de mucositis (43%) y periimplantittis (22%) asociado a los implantes de titanio10.
A su vez numerosas investigaciones abordan el tema de la corrosión, desencadenada por los implantes de titanio y sus posibles consecuencias sobre los tejidos duros y blandos11.
En esta misma línea y, aunque es cierto que el titanio es el menos alergénico de todos los metales usados para fines biológicos,12 no debemos menoscabar la existencia en la literatura de casos aislados de hipersensibilidad asociada al titanio y/o a sus componentes de la aleación utilizada en la confección de los implantes; el primer caso descrito de alergias asociadas a implantes dentales data del año 200813,14.
Por último, otro inconveniente de los implantes de titanio es su coloración gris, que puede dificultar la consecución de una estética adecuada en el sector anterior, sobre todo cuando estos implantes se colocan en pacientes con biotipos finos15.
Es en este escenario donde surge la necesidad de la aparición de otros materiales de implantes dentales entre los que destaca la circona.
Los primeros implantes cerámicos aparecieron en el mercado en la década de los 40 del siglo pasado. Se fabricaban de alúmina, un material que se fracturaba con relativa facilidad y por ello se retiraron del mercado16. Actualmente, la circona tetragonal, estabilizada con óxido de itrio (Itria) es el material de elección de los implantes cerámicos17.
Su color blanco opaco, además de sus excelentes características de biocompatibilidad, baja acumulación de placa bacteriana, así como su escaso infiltrado inflamatorio y su buena integración de los tejidos blandos, proporcionan a estos implantes las características necesarias para postularse como una adecuada alternativa para los implantes dentales. A su vez, presenta numerosas propiedades biomecánicas compatibles para su uso clínico como, por ejemplo, una conductividad térmica baja, alta resistencia a la flexión (900–1,200 MPa), resistencia a la fractura, al desgaste y a la corrosión 9.
El objetivo del presente caso clínico es describir la colocación de un implante de circona para reponer un incisivo lateral superior izquierdo en un paciente de 34 años de edad, para la posterior realización de una corona implantosoportada monolítica de circona.
Se presenta el caso clínico de un paciente varón de 34 años, no fumador y sin antecedentes médico-quirúrgicos de interés (ASA I) que acudió a la consulta demandando una mejora en la estética de su sonrisa.
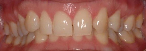
Debido a la agenesia congénita del incisivo lateral superior izquierdo, el paciente fue tratado 12 años atrás mediante ortodoncia convencional para cerrar el diastema (Figuras 1 y 2).
Tras el exhaustivo análisis clínico y radiográfico inicial, se le plantearon al paciente las diferentes alternativas terapéuticas (la reposición con una prótesis parcial removible, la realización de un puente tipo Maryland adhesivo, la confección de una prótesis parcial fija, o la colocación de un implante dental con su posterior restauración fija implantosoportada); todas ellas requerían del tratamiento previo multidisciplinar conjunto con un ortodoncista para la creación de un espacio mesial al canino. No se consideró pertinente abordar la situación clínica mediante restauraciones de composite y/o adhesivas, teniendo en cuenta la sobremordida de la paciente y considerando, por ello, la ortodoncia para mejorar la oclusión como la mejor opción.
Se procedió a la toma de registros fotográficos y a la obtención de modelos escaneados intraorales (Itero®, Align Technology, Inc) para la posterior planificación y el comienzo del tratamiento mediante ortodoncia invisible (Invisalign Full®, Align Technology, Inc.).
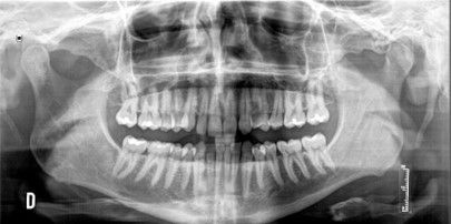
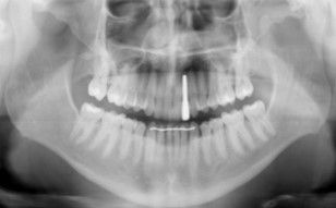
Finalizado el tratamiento con ortodoncia (Figuras 3, 4 y 5), y una vez que el paciente optó por la opción del implante; se repitió el escaneado intraoral y se obtuvo un escáner de haz cónico para la correcta planificación de la cirugía implantológica (Figura 6).
Tras el escaneado intraoral, el laboratorio realizó un diseño digital en 22 para confeccionar el provisional en polimetilmetacrilato (PMMA), fresado con una morfología en cáscara de huevo. Fue utilizada la “Vita Classical A1-D4 Shade Guide” para elección del color B2.
Para realizar el procedimiento quirúrgico, se realizó el bloqueo del nervio alveolar superior anterior y del nervio nasopalatino. Se realizó una incisión intrasulcular, desde la superficie distovestibular del incisivo central superior izquierdo hasta la mesiovestibular del canino superior izquierdo, para colocar un implante de circonia Z System® (Oensingen, Suiza) de 3.6 x 10 mm (Fig.7). La última fresa empleada fue de 3 mm de anchura (Fig. 8) para conseguir una estabilidad primaria de 35 Ncm y, posteriormente se suturó el colgajo con Supramid® (Barcelona, España) 5/0 mediante puntos simples.
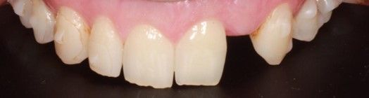
Tras la colocación del implante (Figuras 9 y 10), se rebasó el provisional con resina acrílica autopolimerizable (Bosworth Trim, Bosworth Company) y se cementó mediante un cemento de resina dual (RelyX Unicem 2, 3M Espe, 3M, Saint Paul, Minnesota, USA). Posteriormente, se comprobó la oclusión con papeles de articular de 12 y 8µm con el objetivo de que el provisional no tuviera contactos ni en máxima intercuspidación ni en guía anterior ni guía canina, y no se modificó durante los 4 meses siguientes, aunque sí se revisó al paciente durante el periodo de osteointegración, a las 8 semanas de maduración de los tejidos blandos (Figura 11).
Tras 4 meses de la colocación del implante de circona y la corona provisional (Figura 12), se procedió al escaneado intraoral del muñón para la confección de una corona de circona monolítica.
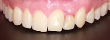
La corona fue preparada mediante un protocolo adhesivo mecanoquímico18,19, que consistió en el arenado con partículas de óxido de aluminio de 30µm y la aplicación de un adhesivo universal con 10-MDP (Scotchbond Universal, 3M Espe, 3M, Saint Paul, Minnesota, USA). Con seda dental se comprobaron los puntos de contacto y la oclusión fue comprobada con papel de articular de 12 y 8 μm, para asegurar la ausencia de contactos prematuros, así como un correcto contacto anterior. A continuación, se procedió a cementarla mediante un cemento de resina dual (RelyX Unicem 2, 3M Espe, 3M, Saint Paul, Minnesota, USA). Se polimerizó durante 2 segundos con una lámpara de fotopolimerización, se retiraron los excesos mediante hilo dental y sonda, procediéndose a fotopolimerizar durante 40 segundos más en cada cara de la corona. El paciente expresó su satisfacción con el tratamiento a nivel estético y funcional, con un seguimiento clínico de 12 meses (Figura 13).
Entre las posibles opciones para el tratamiento de las agenesias, se encuentran las restauraciones fijas dento o implantosoportadas, las prótesis removibles y la realización de un Maryland adhesivo.
La indicación de una prótesis parcial removible para el reemplazo de un solo diente es una opción recomendable cuando el paciente dispone de recursos económicos limitados. Sin embargo, son varias las desventajas de este tipo de prótesis, como los problemas de adaptación por dificultades fonéticas y masticatorias. Además, la estética puede verse comprometida debido a la presencia de retenedores, si estos son metálicos.
La prótesis parcial fija dentosoportada tiene una supervivencia superior al 90% evaluada tras 5 años de seguimiento, aceptando como supervivencia que permanezcan in situ, con o sin modificaciones. Son varios los materiales que se pueden emplear para este tipo de prótesis, entre los que destacan la circona y la metal-cerámica, con una supervivencia del 95,4% y del 96,9% respectivamente20.
Aunque históricamente han tenido mucho éxito, las tasas de supervivencia de la prótesis parcial fija dentosoportada son inferiores a las de los implantes, cuando se refiere a rehabilitaciones unitarias y, particularmente, cuando los dientes pilares fueron tratados endodónticamente, descartándose en este caso por la necesidad de tallar los dientes adyacentes, siendo un paciente joven21.
Por otro lado, en este caso se descartó la colocación de un Maryland adhesivo, ya que su principal desventaja es el posible descementado, fundamentalmente en casos como el descrito, con sobremordida aumentada22.
Por este motivo, se decidió la colocación de un implante y una corona de circona, que aportó una adecuada estética e integración tanto de tejidos duros como blandos, alcanzando resultados predecibles gracias a un protocolo adecuado de diagnóstico, planificación y tratamiento.
Actualmente la literatura arroja altas tasas de supervivencia en los implantes cerámicos monobloque para restaurar ausencias unitarias que pueden alcanzar hasta el 98,4% tras 5 años de carga23.
En relación, al contacto hueso-implante24, en estudios in vivo ha demostrado una respuesta del 64,6% para los implantes de circona y del 54% para los implantes de titanio a las cuatro semanas de su colocación, por lo que se puede afirmar que los resultados son equivalentes25. Además, en la osteointegración de ambos materiales se describen mínimas diferencias. Tras un análisis histológico, a las dos semanas, existe un mayor grado de aposición ósea en la circona (54-55%) que en el titanio (42-52%), mientras que a las cuatro semanas en el titanio (68-91%) se localiza un mayor grado de aposición ósea que en la circona (62-80%)26.
La circona ha demostrado inhibir la adhesión bacteriana y la formación de biopelículas en su superficie debido a su hidrofobia y humectabilidad superficial, lo que podría suponer una ventaja respecto a los implantes de titanio con superficie tratada 9.
Pese a todas las ventajas citadas, los implantes cerámicos monobloque también presentan varios inconvenientes. Requieren de suficiente espacio protésico para acomodar sus pilares. Además, es posible que la colocación de implantes no cumpla con los requisitos prostodóncicos, y los pilares angulados para corregir cualquier desalineación aún no están disponibles. También exigen un período de curación sin carga, y esto presenta un desafío, ya que la parte supragingival del implante estará sujeta a fuerzas resultantes de la masticación y el movimiento de la lengua. La cementación es la única opción para conectar elementos prostodónticos a implantes monobloque, lo que aumenta el riesgo biológico debido a la extravasación de cemento y dificultando la recuperación de estos elementos protésicos en caso de fallo27.
El presente caso clínico ha demostrado lograr unos resultados clínicos y radiográficos satisfactorios tras un seguimiento de 18 meses.
La rehabilitación mediante implantes de circona para el tratamiento de agenesias congénitas en incisivos laterales superiores es una opción válida y efectiva, obteniendo resultados óptimos a nivel estético y funcional.
Sin embargo, se necesitan más estudios clínicos con tamaños muestrales suficientes que comparen implantes de titanio y cerámicos con el fin de tener datos más concluyentes.
McDonald RE, Avery DR, Dean JA. McDonald and Avery’s dentistry for the child and adolescent. 9th. ed. St. Louis (MO): Mosby Elsevier; 2011. p. 590–598.
Peres RC, Scarel-Caminaga RM, do Espirito Santo AR, Line SR. Association between PAX-9 promoter polymorphisms and hypodontia in humans. Arch Oral Biol 2005;50: 861-71.
Dallel I, Marwen W, Ben Abdallah S, Tobji S, Ben Amor A, Canal P. Agenesis of the upper lateral incisors: study of an orthodontic population and clinical illustration. Int Orthod 2018;16: 384-407.
Polder BJ, Van’t Hof MA, Van der Linden FPGM, Juijpers-Jagtman AM. A meta- analysis of the prevalence of dental agenesis of permanent teeth. Community Dent Oral Epidemiol 2004;32: 217-26.
Lindh T, Gunne J, Tillberg A, Molin M. A meta-analysis of implants in partial edentulism. Clin Oral Implants Res 1998; 9:80-90.
Louropoulou A, Slot DE, Van der Weijden F. Influence of mechanical instruments on the biocompatibility of titanium dental implants surfaces: a systematic review. Clin Oral Implants Res 2015;26:841-50
Subramani K, Mathew RT, Pachauri P. Titanium surface modification techniques for dental implants – from microscale to nanoscale. In: Subramani K, Ahmed W, eds. Emerging Nanotechnologies in Dentistry, 2nd edn. Oxford, London: Elsevier; 2018:99-124.
Jung R, Zembic A, Pjetursson BE. Systematic review of the survival rate and the incidence of biological, technical, and aesthetic complications of single crowns on implants reported in longitudinal studies with a mean follow-up of 5 years. Clin Oral Implants Res 2012;23:2-21.
Cionca N, Hashim D, Mombelli A. Zirconia dental implants: where are we now, and where are we heading? Periodontology 2000. 2017;73: 241-58.
Derks J, Tomasi C. Peri-implant health and disease. A systematic review of current epidemiology. J Clin Periodontol 2015;42 Suppl 1:S158-171.
Wachi T, Shuto T, Shinohara Y, Matono Y, Makihira S. Release of titanium ions from an implant surface and their effect on cytokine production related to alveolar bone resorption. Toxicology 2015;327:1-9.
Olmedo D, Paparella M, Spielberg M, Brandizzi D, Guglielmotti M, Cabrini R. Oral mucosa tissue response to titanium cover screws. J Periodontol 2012;83:973-80.
Egusa H, Ko N, Shimazu T, Yatani H. Suspected association of an allergic reaction with titanium dental implants: a clinical report. J Prosthet Dent 2008;100:344-7
Comino-Garayoa R, Cortés-Bretón Brinkmann J, Peláez J, López-Suárez C, Martínez-González JM, Suárez MJ. Allergies to Titanium Dental Implants: What do we really know about them? A scoping review. Biology (Basel) 2020;9: 404.
Van Brakel R, Noordmans HJ, Frenken J, de Roode R, de Wit GC, Cune MS. The effect of zirconia and titanium implant abutments on light reflection of the supporting soft tissues. Clin Oral Implants Res 2011; 22: 1172–1178.
Andreiotelli M, Kohal R. Fracture strength of zirconia implants after artificial aging. Clin Implant Dent Relat Res 2009;11(2):158-166.
Kohal RJ, Knauf M, Larsson B, Sahlin H, Butz F. One-piece zirconia oral implants: one-year results from a prospective cohort study. 1. Single tooth replacement. J Clin Periodontol 2012;39: 590–597.
Özcan M, Bernasconi M. Adhesion to zirconia used for dental restorations: a systematic review and meta-analysis. J Adhes Dent 2015;17: 7-26.
Scaminaci Russo D, Cinelli F, Sarti C, Giachetti L. Adhesion to Zirconia: A Systematic Review of Current Conditioning Methods and Bonding Materials. Dent J (Basel) 2019;1: 73-74.
Limones A, Molinero-Mourelle P, Azevedo L, Romeo-Rubio M, Correia A, Gómez-Polo M. Zirconia-ceramic versus metal-ceramic posterior multiunit tooth-supported fixed dental prostheses: A systematic review and meta-analysis of randomized controlled trials. J Am Dent Assoc 2020;151: 230-238.
Torabinejad M, Anderson P, Bader J, Brown LJ, Chen LH, Goodacre CJ, et al. Outcomes of root canal treatment and restoration, implant-supported single crowns, fixed partial dentures, and extraction without replacement: a systematic review. J Prosthet Dent 2007; 98: 285-311.
Thoma DS, Sailer I, Ioannidis A, Zwahlen M, Makarov N, Pjetursson BE. A systematic review of the survival and complication rates of resin-bonded fixed dental prostheses after a mean observation period of at least 5 years. Clin Oral Implants Res 2017;28: 1421-1432.
Balmer M, Spies BC, Kohal RJ, Hämmerle CH, Vach K, Jung RE. Zirconia implants restored with single crowns or fixed dental prostheses: 5-year results of a prospective cohort investigation. Clin Oral Implants Res 2020;31:452-462.
Sennerby L, Thomsen P, Ericson LE. A morphometric and biome-chanic comparison of titanium implants inserted in rabbit cortical and cancellous bone. Int J Oral Maxillofac Implants 1992;7: 62–71.
Dubruille JH, Viguier E, Le Naour G, Dubruille MT, Auriol M, Le Charpentier Y. Evaluation of combinations of titanium, zirconia, and alumina implants with 2 bone fillers in the dog Int J Oral Maxillofac Implants, 1999;14: 271-277.
Gahler M, Röhling S, Wieland M, Sprecher C M, Kniha H, Milz S. Osseointegration of zirconia and titanium dental implants: a histological and histomorphometrical study in the maxilla of pigs. Clin Oral Implants Res 2009;20: 1247-1253.
Wittneben J, Millen C, Brägger U. Clinical performance of screw- versus cement-retained fixed implant-supported reconstructions – A systematic review. Int J Oral Maxillofac Implants 2014;29(suppl):84–98.

León, Cecilia
Odontóloga. Práctica privada en Ortodoncia en Madrid.
Bartolomé Lechuga, José
Alumno Máster Cirugía Bucal e Implantología. Facultad de Odontología. Universidad Complutense de Madrid (UCM).
Sánchez-Labrador, Luis
Profesor colaborador honorífico. Departamento de Especialidades Clínicas Odontológicas. Facultad de Odontología UCM.
Ibáñez, Lissette
Práctica privada en Odontología restauradora en Madrid.
Martínez-González, José María
Profesor titular Cirugía Maxilofacial UCM.
Cortés-Bretón Brinkmann, Jorge
Profesor asociado Cirugía Bucal; Departamento de Especialidades Clínicas Odontológicas. Facultad de Odontología. UCM.
Indexada en / Indexed in: – IME – IBECS – LATINDEX – GOOGLE ACADÉMICO
Correspondencia: José Bartolomé Lechuga.Facultad de Odontología de la Universidad Complutense de Madrid (UCM), Plaza Ramón y Cajal s/n CP 28040 Madrid (España). Email: [email protected]













