Artículo original
Anitua E.
Rehabilitaciones completas mandibulares sobre 4 implantes. Estudio retrospectivo del comportamiento a largo plazo. Influencia del
voladizo, de la longitud de los implantes y su distribución en la mandíbula.
Cient. Dent. 2026; 23; 1; 6-14
Rehabilitaciones completas mandibulares sobre 4 implantes. Estudio retrospectivo del comportamiento a largo plazo. Influencia del voladizo, de la longitud de los implantes y su distribución en la mandíbula
Introducción: La rehabilitación fija mandibular sobre cuatro implantes se ha consolidado como una alternativa predecible para el tratamiento de mandíbulas totalmente edéntulas. Sin embargo, persisten dudas sobre la influencia del voladizo protésico, la longitud de los implantes y su distribución en el comportamiento óseo a largo plazo. El objetivo de este estudio fue evaluar el rendimiento clínico y radiográfico de rehabilitaciones completas mandibulares soportadas por cuatro implantes, comparando implantes cortos y largo
Métodos: Se realizó un estudio retrospectivo sobre una cohorte consecutiva de pacientes tratados entre 2001 y 2018 con prótesis híbridas mandibulares atornilladas sobre cuatro implantes. Se incluyeron exclusivamente pacientes con seguimiento clínico y radiográfico completo. Los implantes se clasificaron en dos grupos según su longitud: cortos (<10 mm) y largos (≥10 mm). Se analizaron la supervivencia implantar, la pérdida ósea marginal mesial y distal, y variables quirúrgicas y protésicas. El análisis estadístico se realizó con un nivel de significación de p < 0,05.
Resultados: Se evaluaron 26 prótesis híbridas soportadas por 104 implantes, con un seguimiento medio de 12,2 ± 4,4 años. La supervivencia implantar fue del 100% en ambos grupos. La pérdida ósea marginal fue significativamente menor en los implantes cortos tanto a nivel mesial como distal (p < 0,01). Las rehabilitaciones sobre implantes largos presentaron mayor voladizo distal y mayor tiempo en función.
Conclusiones: Las rehabilitaciones mandibulares completas sobre cuatro implantes cortos muestran un comportamiento clínico y radiográfico altamente favorable a largo plazo, comparable o superior al de implantes largos, constituyendo una alternativa fiable en mandíbulas edéntulas con limitación ósea posterior.
Palabras clave: Implantes dentales; Mandíbula edéntula; Prótesis fija implantosoportada: Implantes dentales cortos; Pérdida ósea marginal.
Mandibular full-arch rehabilitations supported by four implants: a retrospective study of long-term outcomes. Influence of cantilever length, implant length, and implant distribution in the mandible
Introduction:
Fixed mandibular full-arch rehabilitation supported by four implants has become a widely accepted treatment option for fully edentulous patients. Nevertheless, the influence of cantilever extension, implant length, and implant distribution on long-term peri-implant bone behavior remains controversial. The aim of this retrospective study was to evaluate the long-term clinical and radiographic performance of mandibular full-arch rehabilitations supported by four implants, comparing short and long implants.
Methods:
A retrospective cohort study was conducted including patients treated between 2001 and 2018 with mandibular screw-retained hybrid prostheses supported by four implants. Only patients with complete clinical and radiographic follow-up were included. Implants were divided into two groups according to length: short (<10 mm) and long (≥10 mm). Implant survival, marginal bone loss, and surgical and prosthetic variables were analyzed. Statistical analysis was performed with a significance level set at p < 0.05.
Results:
A total of 26 mandibular full-arch prostheses supported by 104 implants were evaluated, with a mean follow-up of 12.2 ± 4.4 years. Implant survival was 100% in both groups. Short implants exhibited significantly lower marginal bone loss at both mesial and distal sites compared to long implants (p < 0.01). Prostheses supported by long implants showed greater distal cantilever extension and longer functional follow-up.
Conclusions:
Mandibular full-arch rehabilitations supported by four short implants demonstrate excellent long-term clinical and radiographic outcomes, with marginal bone stability comparable or superior to that observed with long implants, representing a reliable treatment option for edentulous mandibles with posterior bone atrophy.
Key words: Dental implants; Edentulous mandible; Implant-supported dental prosthesis; Short dental implants; Marginal bone loss.
La rehabilitación de mandíbulas totalmente edéntulas ha experimentado una transformación sustancial en las últimas décadas, especialmente en pacientes con atrofia ósea avanzada en los sectores posteriores. En los inicios de la implantología oral, el enfoque más extendido consistía en la colocación de dos implantes interforaminales y la posterior confección de una sobredentadura, una solución pragmática que evitaba recurrir a técnicas regenerativas complejas y presentaba un perfil de morbilidad reducido para el paciente1–4. Aunque predecible, este tratamiento ofrecía una estabilidad limitada y, a medio plazo, frecuentemente requería mantenimiento protésico adicional. La evolución de la implantología en los últimos años condujo a propuestas nuevas, como la colocación de cuatro implantes entre los forámenes mentonianos para soportar una prótesis fija mandibular5–9. Por lo general, este tipo de rehabilitaciones se basaba en el empleo de implantes de elevada longitud, para soportar todo el peso de la rehabilitación, llegando a insertarse implantes que ocupaban toda la altura ósea residual de la mandíbula8,10. Sin embargo, este planteamiento generaba inevitablemente un voladizo distal amplio debido a la imposibilidad anatómica de extender los implantes hacia las zonas más posteriores sin asumir riesgos sobre el nervio dentario inferior. Dicho voladizo podía producir incrementos significativos en los momentos de torsión, cargas no axiales y tensiones concentradas, comprometiendo biomecánicamente el conjunto y favoreciendo tanto la aparición de complicaciones protésicas como el remodelado óseo marginal acelerado11–15.
Con el fin de reducir la extensión del cantilever, surgieron alternativas basadas en la angulación distal de los implantes, generalmente en torno a 30–45°, lo que permitía desplazar los puntos de apoyo hacia regiones más posteriores sin invadir el canal mandibular16,17. Si bien esta estrategia, demostró buenos resultados en manos expertas, diversos estudios biomecánicos han señalado que la inclinación de los implantes genera patrones de carga más complejos y puede incrementar las tensiones en los implantes distales y en la prótesis, particularmente bajo carga masticatoria11,18–20. La introducción de los implantes cortos y extracortos supuso un cambio conceptual decisivo, ya que permitió abordar la atrofia ósea posterior sin necesidad de angulaciones extremas ni cirugías reconstructivas21–27. Diversos estudios de alto nivel han demostrado que los implantes de ≤8 mm y más recientemente los extracortos de 5,5 y 6,5 mm ofrecen tasas de supervivencia equiparables a las de implantes convencionales, siempre que se utilicen bajo un protocolo quirúrgico y protésico controlado, con distribución axial de cargas y ferulización rígida 23–32. En el contexto mandibular, este enfoque ha permitido rehabilitar con éxito mandíbulas edéntulas mediante cuatro implantes paralelos, incluso añadiendo un pequeño voladizo distal cuando la situación clínica lo requiere, sin comprometer la estabilidad biomecánica global del sistema33–35.
Actualmente, la rehabilitación fija mandibular soportada sobre cuatro implantes paralelos cortos o extracortos se ha consolidado como una de las alternativas más utilizadas, al simplificar el tratamiento, reducir la morbilidad, evitar procedimientos regenerativos avanzados y minimizar los riesgos biomecánicos asociados a los implantes angulados o a cantilevers extensos32,33,36–41. Sin embargo, persiste una cuestión relevante desde el punto de vista clínico y biomecánico: ¿se comportan de igual manera las prótesis soportadas exclusivamente sobre implantes cortos que aquellas sustentadas por implantes más largos colocados en la región interforaminal? Aunque la longitud del implante ha sido tradicionalmente considerada un factor clave para la estabilidad mecánica, la evidencia contemporánea sugiere que el diseño macrogeométrico, la calidad ósea, la distribución protésica y el control oclusal pueden tener un peso igual o incluso superior en el pronóstico42–45. Bajo esta premisa, el presente estudio retrospectivo compara el rendimiento clínico y radiográfico de prótesis híbridas mandibulares soportadas por cuatro implantes, evaluando de forma diferenciada los casos rehabilitados con implantes cortos frente a aquellos con implantes largos, todos tratados por el mismo cirujano y siguiendo un protocolo protésico uniforme. El objetivo es determinar si existe algún comportamiento diferencial en cuanto a supervivencia, estabilidad crestal o patrón de remodelado óseo a largo plazo que permita optimizar la toma de decisiones clínicas en pacientes con mandíbulas edéntulas y atrofia ósea en altura en los sectores posteriores.
Se llevó a cabo un estudio retrospectivo sobre una cohorte consecutiva de pacientes rehabilitados mediante prótesis híbridas mandibulares soportadas por cuatro implantes. Los tratamientos fueron realizados en un centro privado especializado en implantología oral (Vitoria, España) durante los años 2001-2018. Solo se incluyeron en el análisis aquellos pacientes que hubieran completado de forma íntegra el seguimiento clínico y radiográfico hasta la fecha actual, lo que garantizó la disponibilidad de registros comparables a lo largo de todo el periodo de observación. Todos los pacientes presentaban mandíbulas completamente edéntulas rehabilitadas mediante cuatro implantes, existiendo dos grupos: 4 implantes largos interforaminales sin angulación y 4 implantes cortos distribuidos en la mandíbula totalmente edéntula de forma biomecánicamente favorable. La intervención quirúrgica fue llevada a cabo por el mismo profesional siguiendo el protocolo de fresado biológico46, que se caracteriza por trabajar a bajas revoluciones y sin irrigación externa, favoreciendo la preservación del hueso autólogo y optimizando la estabilidad primaria del implante. Durante la inserción se registró el torque final alcanzado y se documentaron las características anatómicas del lecho mediante el Cone-Beam Computed Tomography (CBCT) preoperatorio, a partir del cual se obtuvieron los valores de densidad ósea expresados en unidades Hounsfield (HU). Los implantes se clasificaron posteriormente en dos grupos según su longitud: cortos (<10 mm) y largos (≥10 mm).
Todas las rehabilitaciones protésicas siguieron un mismo protocolo estandarizado. Una vez completada la cirugía, se procedió a la carga inmediata mediante una prótesis provisional atornillada sobre pilares transepiteliales, diseñada para distribuir las cargas de forma progresiva durante los primeros meses. Pasado un intervalo de entre seis y doce meses, y tras confirmar la estabilidad clínica y radiográfica de los implantes, se elaboró la prótesis definitiva. Esta consistió en una estructura metálica, revestida con resina acrílica, conformando una prótesis híbrida atornillada que mantenía el mismo esquema funcional que la provisional. El control radiográfico se llevó a cabo mediante radiografías panorámicas estandarizadas, realizadas siempre con el mismo sistema de posicionamiento reproducible, que incluía referencias en el suelo para los pies y apoyos simultáneos en glabela y mentón, con el fin de mantener constantes las relaciones angulares y minimizar la distorsión entre visitas. La medición de la pérdida ósea marginal se efectuó sobre la última radiografía panorámica obtenida bajo este protocolo de estandarización. Una vez digitalizada la imagen, se procedió a su calibración mediante un software específico (Digora for Windows, SOREDEX Digital Imaging Systems), utilizando como referencia una longitud conocida (el propio implante). Tras incorporar dicho valor, el programa corregía la magnificación inherente de la técnica panorámica, permitiendo realizar mediciones lineales exactas y exentas de distorsión. La pérdida ósea marginal se cuantificó en las superficies mesial y distal de cada implante, expresándose siempre como valor absoluto.
El análisis estadístico se efectuó considerando cada implante como unidad de estudio para las variables anatómicas, radiográficas y mecánicas, mientras que la prótesis (conjunto de cuatro implantes) se tomó como unidad para las variables protésicas y funcionales. Se evaluó la normalidad de los datos mediante la prueba de Shapiro-Wilk. Las variables cuantitativas se expresaron mediante media y desviación estándar, y las cualitativas mediante frecuencias y porcentajes. Asimismo, se compararon los grupos de implantes cortos y largos para determinar posibles diferencias en la pérdida ósea marginal, aplicando pruebas paramétricas o no paramétricas según la distribución. Todos los análisis se realizaron con SPSS v25.0 (IBM, Chicago, IL, USA), estableciendo un nivel de significación de p < 0.05.
Este estudio retrospectivo se realizó conforme a los principios éticos de la Declaración de Helsinki. El análisis se basó exclusivamente en datos clínicos y radiográficos previamente recogidos, sin intervención ni influencia sobre el tratamiento de los pacientes. De acuerdo con la normativa local, no se requirió la aprobación de un comité de ética para este tipo de estudios retrospectivos con datos anonimizados. Todos los datos fueron tratados de forma confidencial y anonimizados antes de su análisis.
Fueron evaluadas 26 prótesis híbridas mandibulares soportadas por cuatro implantes, lo que genera un total de 104 implantes. De estas 26 prótesis, 12 fueron prótesis sobre implantes cortos (longitud < 10 mm) y 14 como prótesis sobre implantes largos (≥ 10 mm). La muestra presentó un claro predominio femenino, con 21 mujeres (80,8%) y 5 varones (19,2%). La edad media de los pacientes fue de 69,7 ± 11,2 años en el momento del inicio del estudio. A nivel de implante, la densidad media del hueso receptor fue de 866.16 ± 146.35 HU, mientras que el torque medio de inserción alcanzó 47.88 ± 9.01 Ncm. En cuanto a los diámetros de los implantes, en el grupo de los implantes cortos, el más frecuente fue el de 3,5 mm con un 56,5% de los casos, mientras que en el grupo de los implantes largos el diámetro predominante fue para 3,5 y 3,75 mm con un 32,1% para cada una de las categorías (Figura 1.a). En cuanto a la distribución de las longitudes, en el grupo de los implantes cortos, la más frecuente fue 7,5 mm con un 54,3% mientras que en los implantes largos la más frecuente fue 10 mm (47,2%) (Figura 1.b).
Todos los implantes fueron rehabilitados con prótesis híbridas atornilladas, sobre transepitelial. Este transepitelial presentó una altura entre 1 y 4 mm siendo el más frecuente 3 mm en el 75,8% de los casos. La distribución de las alturas de los transepiteliales se muestra en la Figura 2.
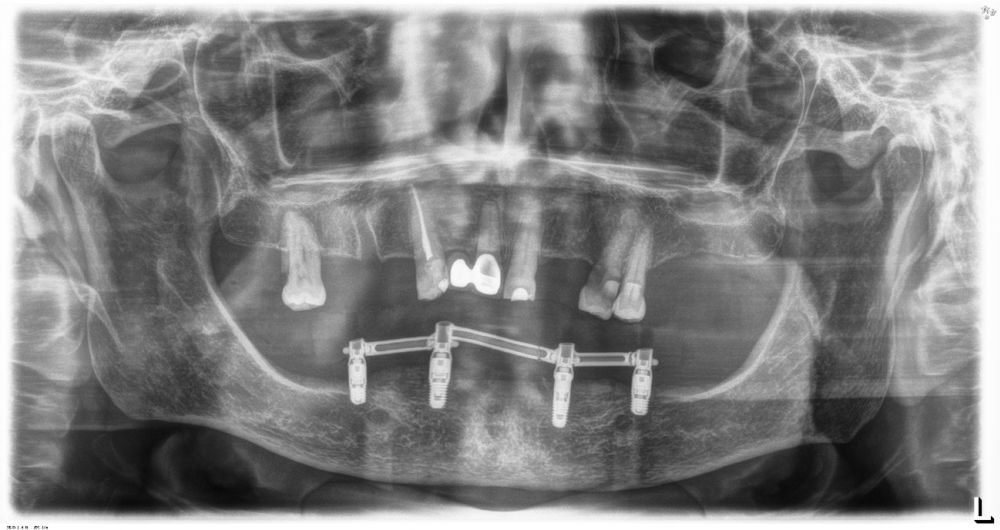
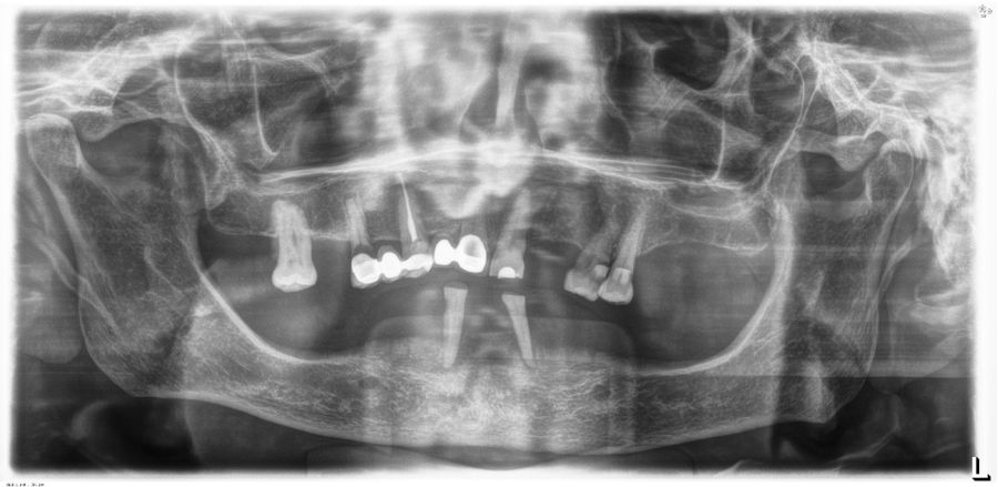
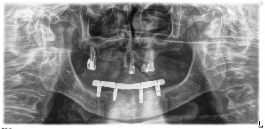
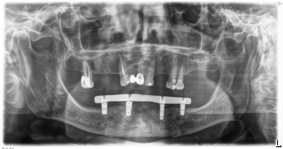
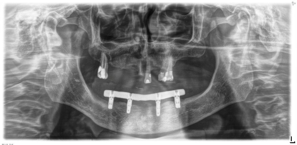
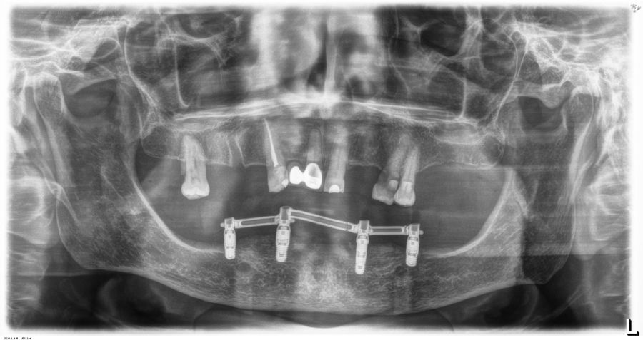
El análisis global de los 99 implantes reveló una pérdida ósea marginal media de 0,77 ± 0,26 mm en la superficie mesial y 0,79 ± 0,29 mm en la distal, valores que se mantuvieron dentro de los rangos considerados clínicamente aceptables para rehabilitaciones mandibulares. Cuando los implantes se categorizaron según su longitud, se observaron diferencias claras entre ambos grupos. Los implantes cortos (<10 mm) mostraron una pérdida ósea mesial media de 0,61 ± 0,23 mm y distal de 0,56 ± 0,22 mm, mientras que los implantes largos (≥10 mm) presentaron pérdidas significativamente mayores (mesial: 0,92 ± 0,19 mm; distal: 0,99 ± 0,17 mm). Dado que las pruebas de normalidad (Shapiro–Wilk) mostraron una distribución no normal en todos los grupos (p < 0,001), se aplicó la prueba no paramétrica de Mann–Whitney U. Los resultados confirmaron diferencias estadísticamente significativas tanto en la pérdida ósea mesial (U = 2068,5; p < 0,001) como en la distal (U = 2247,0; p < 0,005), indicando que los implantes cortos presentaron un comportamiento óseo más favorable que los implantes largos a lo largo del tiempo. Durante el tiempo de seguimiento que fue de media de 12,2 años (+/- 4,4; rango 6-23 años) no se objetivaron fracasos en ninguno de los implantes por lo que la supervivencia acumulada fue del 100%. El análisis del periodo de seguimiento mostró diferencias claras entre ambos grupos. Los implantes largos (≥10 mm) presentaron un tiempo medio de función de 14,1 ± 4,2 años (rango: 9–23 años), mientras que los implantes cortos (<10 mm) registraron un seguimiento significativamente menor, con una media de 9,8 ± 2,7 años (rango: 6–15 años). En las Figuras 3- 10 se muestran dos casos incluidos en el estudio, uno de cada situación descrita.
Los resultados del presente estudio muestran que las rehabilitaciones mandibulares completas soportadas sobre cuatro implantes presentan un comportamiento clínico altamente favorable a largo plazo, con una supervivencia del 100% tras un seguimiento medio superior a 12 años. Estas cifras se sitúan dentro de los valores más altos publicados en la literatura internacional para prótesis híbridas mandibulares, cuyas tasas de éxito oscilan habitualmente entre el 94% y el 99% en seguimientos prolongados6,11,15,17,18,20,37,40,47.
Los implantes cortos (<10 mm) mostraron una pérdida ósea mesial media de 0,61 ± 0,23 mm y distal de 0,56 ± 0,22 mm, mientras que los implantes largos (≥10 mm) presentaron pérdidas significativamente mayores (mesial: 0,92 ± 0,19 mm; distal: 0,99 ± 0,17 mm). Esta diferencia coincide con varias publicaciones recientes que señalan que, cuando existe una distribución axial favorable y un control biomecánico adecuado, la longitud del implante no determina per se el comportamiento crestal, y que los implantes cortos pueden presentar igual o incluso menor remodelado marginal que los implantes convencionales20.
Un aspecto clave para interpretar estos resultados es el tiempo de seguimiento, ya que en nuestra cohorte los implantes largos presentaron significativamente más años en función intraoral. El análisis del periodo de seguimiento mostró diferencias claras entre ambos grupos. Los implantes largos (≥10 mm) presentaron un tiempo medio de función de 14,1 ± 4,2 años (rango: 9–23 años), mientras que los implantes cortos (<10 mm) registraron un seguimiento significativamente menor, con una media de 9,8 ± 2,7 años (rango: 6–15 años). La comparación mediante la prueba de Mann–Whitney U reveló diferencias estadísticamente significativas entre ambos grupos (p < 0,001). Este mayor tiempo en función de los implantes largos constituye un factor relevante a considerar en la interpretación de las diferencias observadas en la pérdida ósea marginal. La literatura demuestra que la pérdida ósea crestal es más pronunciada durante los primeros 12 meses y tiende a estabilizarse posteriormente, aunque existe un remodelado lento y continuo asociado al tiempo 36,48–50. Por tanto, es plausible que parte de la mayor pérdida ósea observada en los implantes largos esté relacionada con el mayor periodo de observación, aunque con los datos y el análisis realizado en el presente estudio, no podemos establecer esta correlación. Este factor debe considerarse al comparar ambos grupos y será analizado en estudios futuros con modelos de regresión ajustados por tiempo.
Por otro lado, la ausencia de fracasos implantares en ambos grupos es especialmente destacable, ya que la rehabilitación completa sobre cuatro implantes ha sido históricamente objeto de preocupación biomecánica, tanto por la carga concentrada como por la presencia potencial de cantilevers en las prótesis12,15. En técnicas como el All-on-4 descrito por Malo, donde los implantes distales se angulan 30–45°, se han reportado supervivencias elevadas, pero también mayores tasas de complicaciones mecánicas y protésicas, especialmente relacionadas con la sobrecarga distal y la fatiga del tornillo o de la estructura13,47. En contraste, la estrategia utilizada en este estudio, basada en cuatro implantes paralelos, cortos o largos según la disponibilidad ósea, reduce la complejidad biomecánica y distribuye las cargas de forma más homogénea, minimizando los momentos de flexión sobre los implantes distales18. La capacidad de los implantes cortos para sostener rehabilitaciones completas ha sido respaldada por múltiples estudios. Diferentes trabajos de la literatura internacional han demostrado que los implantes cortos (≤8 mm) alcanzan supervivencias comparables a los convencionales y presentan tasas similares de complicaciones mecánicas, siempre que se respeten principios biomecánicos como la ferulización rígida, la correcta pasividad protésica y la ausencia de cantilevers excesivos21,22,35–41,51–56. Los resultados de este estudio refuerzan esta evidencia, mostrando que los implantes cortos no solo no incrementan la pérdida ósea, sino que pueden presentar un comportamiento marginal más estable en el largo plazo.
En relación con el voladizo, en nuestra cohorte únicamente las prótesis soportadas por implantes largos presentaban un mayor cantilever distal, mientras que las rehabilitaciones basadas en implantes cortos no lo requerían o tenían uno de longitud mínima. La literatura indica que la presencia de cantilever puede aumentar de forma significativa las tensiones sobre los implantes distales y favorecer el remodelado óseo marginal12,15,57–60. Este hecho podría contribuir a explicar las mayores pérdidas óseas del grupo de implantes largos, al margen del dato del tiempo de seguimiento anteriormente discutido y subraya la relevancia clínica de planificar rehabilitaciones sin voladizo siempre que la anatomía y los implantes cortos lo permitan. Finalmente, la estabilidad de las rehabilitaciones en ambos grupos confirma que el protocolo estandarizado aplicado en esta serie constituido por fresado biológico, carga progresiva y estructura híbrida atornillada sobre transepitelial, con implantes siempre paralelos, sin inclinaciones distales, proporciona un entorno favorable para la osteointegración y el mantenimiento periimplantario a largo plazo. Este enfoque coincide con las tendencias actuales hacia tratamientos mínimamente invasivos, pero biomecánicamente sólidos, reduciendo la necesidad de angulaciones extremas o regeneraciones complejas sin comprometer los resultados clínicos30,32,61,62.
En conjunto, los hallazgos del presente estudio sugieren que las rehabilitaciones completas mandibulares sobre cuatro implantes cortos representan una alternativa fiable, biomecánicamente estable y clínicamente predecible, con un comportamiento marginal igual o superior al observado en implantes largos. Futuros estudios prospectivos, idealmente con análisis multivariantes ajustados por tiempo de seguimiento, permitirán confirmar y ampliar estas conclusiones.
Zarb JP, Zarb GA. Implant prosthodontic management of anterior partial edentulism: long-term follow-up of a prospective study. J Can Dent Assoc 2002;68:92–96.
Huband ML. Implant retained overdentures in mandibular reconstruction: a case report. J Dent Technol 1998;15:12–16.
Garrett NR, Kapur KK, Hamada MO, et al. A randomized clinical trial comparing the efficacy of mandibular implant-supported overdentures and conventional dentures in diabetic patients. Part II. Comparisons of masticatory performance. J Prosthet Dent. 1998;79:632–640.
Velasco-Ortega E, Matos-Garrido N, Jiménez-Guerra A, et al. Early loading of two implants supporting mandibular overdentures in geriatric edentulous patients: A 12-year follow-up study. 2023;12:3825.
Single support of atrophic edentulous mandible with endosseous implants. Modified method of implantation with ledermann titanium plasma-coated screw implants (TPS);98:842-848.
Babbush CA. Reconstruction of the edentulous mandible. Int Dent J 1985;35:266–276.
Jemt T, Lekholm U, Adell R. Osseointegrated implants in the treatment of partially edentulous patients: a preliminary study on 876 consecutively placed fixtures. Int J Oral Maxillofac Implants 1989;4:211–217.
Messias A, Nicolau P, Guerra F. Different interventions for rehabilitation of the edentulous maxilla with implant-supported prostheses: An overview of systematic reviews. Int J Prosthodont 2021;34:s63–84.
Kostunov J, Giannakopoulos NN, Rammelsberg P, et al. Two- versus four-narrow-implant-retained dentures with immediate-loaded anterior implants: 9 years randomized clinical trial. Clin Implant Dent Relat Res 2025;27:e70033.
Durkan R, Oyar P, Deste G. Maxillary and mandibular all-on-four implant designs: A review. Niger J Clin Pract 2019;22:1033–1040.
Gallucci G, Avrampou M, Taylor J, et al. Maxillary implant-supported fixed prosthesis: A survey of reviews and key variables for treatment planning. Int J Oral Maxillofac Implants 2017;31:s192–197.
Pereira ALC, Tôrres CSP, Campos M de FTP, et al. Effect of cantilever extension on bone loss in mandibular complete-arch implant-supported fixed prostheses with three and four implants. Int J Prosthodont 2024;37:271–281.
Güçlü ZB, Gürbüz A, Deste Gökay G, et al. Mechanical response of different frameworks for maxillary all-on-four implant-supported fixed dental prosthesis: 3D finite element analysis. Biomedizinische Technik 2022;67:419–428.
Skalak R. Biomechanical considerations in osseointegrated prostheses. J Prosthet Dent 1983;49:843–848.
Schnitman P, Rubenstein JE, Jeffcoat MK, et al. Implant prostheses. Blade vs. cantilever–clinical trial. J Oral Implantol 1986;12:449–459.
Bedrossian E, Bedrossian E. Treatment planning the edentulous mandible. review of biomechanical and clinical considerations: An update. Int J Oral Maxillofac Implants 2019;34:e33–41.
Maló P, Rangert B, Nobre M. “All-on-four” immediate-function concept with brånemark system® implants for completely edentulous mandibles: A retrospective clinical study. Clin Implant Dent Relat Res 2003;5:2–9.
Anitua E, Larrazabal Saez de Ibarra N, Saracho Rotaeche L. Implant-supported prostheses in the edentulous mandible: Biomechanical analysis of different implant configurations via finite element analysis. Dent J (Basel) 2022;11:4
Zampelis A, Rangert B, Heijl L. Tilting of splinted implants for improved prosthodontic support: A two-dimensional finite element analysis. J Prosthet Dent 2007;97:S35-43
Turp I, Turp V, Tuncel İ, et al. Stress distribution of four implant supported overdentures with tilted standard-sized implants and mini implants. Eur Oral Res 2024;58:95–101.
Nisand D, Renouard F. Short implant in limited bone volume. Periodontol 2000
2014;66:72–96.
Ramani S, Vijayalakshmi R, Kumari CBN, et al. A short review on minimally
invasive implants. Bioinformation 2023;19:655-658.
Anitua E, Flores J, Flores C, et al. Longterm outcomes of immediate loading of short implants: A controlled retrospective cohort study. Int J Oral Maxillofac Implants
2016;31:1360–1366.
Anitua E, Alkhraisat MH. 15-year followup of short dental implants placed in the partially edentulous patient: mandible vs maxilla. Annals of Anatomy 2019;222:88–93.
Lozano-Carrascal N, Anglada-Bosqued A, Salomó-Coll O, et al. Short implants (<8mm) versus longer implants (≥8mm) with lateral sinus floor augmentation
in posterior atrophic maxilla: A meta-analysis of RCT`s in humans. Med Oral Patol Oral Cir Bucal 2020;25:e168–79.
Altaib FH, Alqutaibi AY, Al-Fahd A, et al. Short dental implant as alternative to long implant with bone augmentation of the atrophic posterior ridge: A systematic review and meta-analysis of RCTs. Quintessence Int (Berl) 2019.
Chen S, Ou Q, Wang Y, et al. Short implants (5-8 mm) vs long implants (≥10 mm) with augmentation in atrophic posterior jaws: A meta-analysis of randomised controlled trials. J Oral Rehabil 2019;46:1192–1203.
De N Dias FJ, Pecorari VGA, Martins C, et al. Short implants versus bone augmentation in combination with standard-length implants in posterior atrophic partially edentulous mandibles: systematic review and meta-analysis with the Bayesian approach. Int J Oral Maxillofac Surg 2019;48:90–96.
Al-Johany S. Survival Rates of Short Dental Implants (≤ 6.5 mm) Placed in Posterior Edentulous Ridges and Factors Affecting Their Survival After a 12-Month Follow-up Period: Systematic Review. Int J Oral Maxillofac Implants 2019;34:605–621.
Anitua E, Alkhraist M, Piñas L, et al. Implant survival and crestal bone loss around extra-short implants supporting a fixed denture: the effect of crown height space, crown-to-implant ratio, and offset placement of the prosthesis. Int J Oral Maxillofac Implants 2014;29:682–689.
Ravidà A, Wang IC, Sammartino G, et al. Prosthetic rehabilitation of the posterior atrophic maxilla, short (≤6 mm) or long (≥10 mm) dental implants? A systematic review, meta-analysis, and trial sequential analysis: Naples consensus report working group A. Implant Dent 2019;28:590–602.
Anitua E, Alkhraisat MH. Fifteen-year follow-up of short dental implants in the completely edentulous jaw: submerged versus nonsubmerged healing. Implant Dent 2019;28:551–555.
Jung RE, Al-Nawas B, Araujo M, et al. Group 1 ITI Consensus report: The influence of implant length and design and medications on clinical and patient-reported outcomes. Clin Oral Implants Res 2018;29:69–77.
Carosi P, Ottria L, Lio F, et al. The health of soft tissues around four dental implants loaded immediately supporting a 4-year-old fixed screw-retained prosthesis. J Biol Regul Homeost Agents 2021;35:57–66.
Lizio G, Pellegrino G, Felice P. Posterior jaws rehabilitation with < 7mm-short implants. A review. J Stomatol Oral Maxillofac Surg 2022;123:e45–56.
Hakobyan G, Jilavyan A, Khachatryan G, et al. Evaluation of the survival rate of short implants placed in the posterior atrophic mandible: 5-year clinical study. Quintessence Int (Berl) 2022;53:690–696.
Pistilli R, Barausse C, Checchi L, et al. Rehabilitation of the Atrophic posterior mandible with short (4-mm) implants: A case report. Int J Periodontics Restorative Dent 2014;34:713–718.
Doganay O, Kilic E. Comparative finite element analysis of short implants with different treatment approaches in the atrophic mandible. Int J Oral Maxillofac Implants 2020;35:e69–76.
Peixoto HE, Camati PR, Faot F, et al. Rehabilitation of the atrophic mandible with short implants in different positions: A finite elements study. Materials Science and Engineering C 2017;80:122–128.
Barausse C, Ravidà A, Bonifazi L, et al. Extra-short (4-mm) implants placed after regenerative failures in the posterior atrophic mandible: A retrospective study. Int J Oral Implantol (Berl) 2023;16:31–38.
Anitua E. Extra-short implants ≤6.5 mm: long-term results. Clin Implant Dent Relat Res 2014;16:250–259.
Yeh Y-T, Chu T-M, Blanchard S, et al. Effects on ridge dimensions, bone density, and implant primary stability with osseodensification approach in implant osteotomy preparation. Int J Oral Maxillofac Implants 2021;36:474–484.
Ao J, Li T, Liu Y, et al. Optimal design of thread height and width on an immediately loaded cylinder implant: a finite element analysis. Comput Biol Med 2010;40:681–686.
McCullough JJ, Klokkevold PR. The effect of implant macro-thread design on implant stability in the early post-operative period: a randomized, controlled pilot study. Clin Oral Implants Res 2017;28:1218–1226.
Heimes D, Becker P, Pabst A, et al. How does dental implant macrogeometry affect primary implant stability? A narrative review. Int J Implant Dent 2023;9(1):20
Anitua E, Carda C, Andia I. A novel drilling procedure and subsequent bone autograft preparation: a technical note. Int J Oral Maxillofac Implants 2007;22:138-45. Erratum in: Int J Oral Maxillofac Implants. 2007;22:309.
Durkan R, Oyar P, Deste G. Maxillary and mandibular all-on-four implant designs: A review. Niger J Clin Pract 2019;22:1033–1040.
Gholami H, Mericske-Stern R, Kessler-Liechti G, et al. Radiographic bone level changes of implant-supported restorations in edentulous and partially dentate patients: 5-year results. Int J Oral Maxillofac Implants 2014;29:898–904.
Palmer R. Treatment outcomes in implant dentistry. Prim Dent J 2013;2:4.
Galindo-Moreno P, Catena A, Pérez-Sayáns M, et al. Early marginal bone loss around dental implants to define success in implant dentistry: A retrospective study. Clin Implant Dent Relat Res 2022;24:630–642.
Testori T, Weinstein RL, Wallace SS. Short implants in the posterior maxilla. Clin Oral Implants Res 2014;25:497–504.
Nedir R. Clinical outcomes of ultra-short implants. Clin Oral Implants Res 2017;28:109–117.
Buser D, Halbritter S, Hart C, Bornstein MM, Grütter L, Chappuis V, Belser UC. Early implant placement with simultaneous guided bone regeneration following single-tooth extraction in the esthetic zone: 12-month results of a prospective study with 20 consecutive patients. J Periodontol 2009;80:152-162.
Thoma DS. A review of the survival of short implants. Clin Oral Implants Res 2015;26:87–93.
Hirani M, Arnantha H, Al-Mossallami A, et al. Clinical outcomes of short dental implants supporting prostheses in the posterior region. Br Dent J 2024 2024:1–6.
Ramos AHN, Cornacchia GM, Nunes E, et al. Extra short 4mm implants used to rehabilitation of atrophic posterior mandible. A serial case reports. J Clin Exp Dent 2020;12:e519–522.
Storelli S, Del Fabbro M, Scanferla M, et al. Implant supported cantilevered fixed dental rehabilitations in partially edentulous patients: Systematic review of the literature. Part I. Clin Oral Implants Res 2018;29:253–274.
Roccuzzo A, Jensen SS, Worsaae N, et al. Implant-supported 2-unit cantilevers compared with single crowns on adjacent implants: A comparative retrospective case series. J Prosthet Dent 2020;123:717–723.
Romeo E, Storelli S. Systematic review of the survival rate and the biological, technical, and aesthetic complications of fixed dental prostheses with cantilevers on implants reported in longitudinal studies with a mean of 5 years follow-up. Clin Oral Implants Res 2012;23:39–49.
Schmid E, Morandini M, Roccuzzo A, et al. Clinical and radiographic outcomes of implant-supported fixed dental prostheses with cantilever extension. A retrospective cohort study with a follow-up of at least 10 years. Clin Oral Implants Res 2020;31:1243–1252.
Anitua E. 5.5 mm implant. A solution for severe atrophies without sacrificing predictability. Rev Cient Odontol (Universidad Científica Del Sur) 2023;10:e137.
Anitua E, Flores C, Fernández-de-Retana S, et al. Performance of immediately loaded short implants using low-speed drilling protocol and plasma rich in growth factors: A controlled retrospective observational study. Int J Periodontics Restorative Dent 2023;43:232–239b.

Anitua, Eduardo
Práctica privada en implantología
oral, Fundación Eduardo Anitua,
Vitoria.
Investigador clínico, Fundación
Eduardo Anitua, Vitoria, España.
Instituto Universitario para la
Medicina Regenerativa Oral e
Implantología (UIRMI), Vitoria,
España.
Correspondencia:
Dr. Eduardo Anitua,
Eduardo Anitua Foundation; C/ Jose
Maria Cagigal 19, 01007 Vitoria, Spain;
Phone: +34 945160653,
[email protected]










