Científica Dental: sept.-octubre-noviembre-diciembre 2022
Caso clínico
Fernández-Baca Cordón I, Mascaró Sintes M, Sorrenti G, Sánchez Santos J, Delgado Gregory J, López-Malla Matute J. Rehabilitación de dientes con pronóstico imposible mediante extrusión quirúrgica: a propósito de un caso. Cient. Dent. 2022; 19; 3; 191-196
Rehabilitación de dientes con pronóstico imposible mediante extrusión quirúrgica: a propósito de un caso
La extrusión quirúrgica es una alternativa terapéutica que persigue el desplazamiento coronal de aquellos dientes con márgenes subgingivales y limitada estructura remanente. El correcto diagnóstico de cada caso y la aplicación de una técnica mínimamente traumática serán clave en el éxito del tratamiento. En la presente revisión, a propósito de un caso con 12 meses de seguimiento, se analizan los factores críticos del procedimiento.
Surgical extrusion is a therapeutic alternative that pursues the coronal displacement of those teeth with subgingival margins and limited remaining structure. The correct diagnosis of each case and the application of a minimally traumatic technique will be key to the success of the treatment. In this review, about a case with 12 months of follow-up, the critical factors of the procedure are analyzed.
La extrusión quirúrgica es un procedimiento que busca la reposición coronal de un diente, habitualmente con limitada estructura remanente, mediante movimientos de luxación y elevación. Este procedimiento está encaminado a lograr una rehabilitación predecible, acrecentando su ferrule y evitando la invasión de los tejidos de soporte supracrestales, presentándose como una alternativa al alargamiento coronario, elevación del margen o extrusión ortodóntica1 .
Una de las primeras publicaciones al respecto de este tratamiento data de finales de los años 70, en una serie de 12 casos de extrusión quirúrgica en los que el espacio apical era rellenado con injerto óseo2 . Otros estudios3,4 obtuvieron resultados prometedores utilizando esta técnica con muestras y periodos de observación mayores en la siguiente década. Sin embargo, tras estos primeros estudios se empezaron a reportar algunas complicaciones como la reabsorción radicular o la anquilosis. Ante estas complicaciones, diversos autores convergieron en la importancia de un manejo cuidadoso de la raíz y el alveolo, evitando la utilización de injertos óseos5,6. Actualmente es conocido que incluso la utilización de periostotomos, botadores y fórceps sobre el diente podría tener un efecto negativo, propiciando la aparición de complicaciones. Es por ello por lo que en los últimos años se ha comenzado a considerar la utilización de instrumental mínimamente invasivo y sistemas de exodoncia con fuerzas axiales en los que se evite el contacto con la raíz7,8.
Este tratamiento ha sido ampliamente revisado y discutido recientemente, marcándose unas directrices en el contexto de la reunión de la Sociedad Europea de Endodoncia9 , basadas en una amplia revisión de la literatura del año anterior10 y reafirmadas por el mismo autor en el año 202211. Dentro de estas directrices se enfatiza la importancia de un correcto diagnóstico y examen individualizado, estudiando los distintos factores de forma previa a la realización de la extrusión quirúrgica. Serán especialmente críticos: la longitud, forma y posición de la raíz; la forma y posición del conducto; las expectativas e implicaciones estéticas de cada caso; el pronóstico endodóntico; y el estado periodontal del diente. El éxito de este tratamiento será tal cuando se obtenga una correcta cicatrización de los tejidos periodontales, sin signos de reabsorción radicular, sondaje aumentado, pérdida ósea o movilidad12,13.
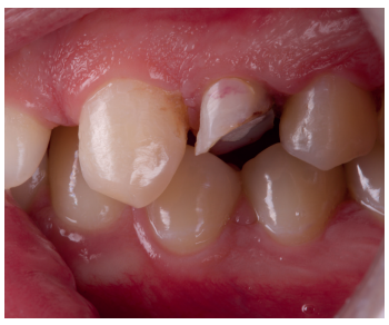
Se presenta en el Máster en Cirugía Oral, Implantología y Periodoncia de la Universidad Alfonso X El Sabio (Madrid, España) un paciente de 24 años derivado para exodoncia del primer premolar superior izquierdo y colocación inmediata de implante debido a una fractura corono-radicular como consecuencia de caries asintomática, con margen distal 2 mm subgingival y limitada estructura remanente (Figuras 1 y 2). Después de un estudio completo del caso, en colaboración con el Máster en Endodoncia de la misma facultad, se planificó la realización de la extrusión quirúrgica, endodoncia y posterior rehabilitación del diente. Dentro de este estudio resultaron de vital importancia las pruebas radiológicas, compuestas por radiografías periapicales y CBCT, que confirmaron la compatibilidad de la anatomía radicular con la realización de una extrusión mínimamente traumática.

con fractura corono-radicular.

fractura corono-radicular.
Tras la anestesia local con articaína al 4% y epinefrina 1:100.000 (Ultracain®, Laboratorios Normon, Madrid, España) del nervio alveolar superior y nervio palatino posterior, las fibras gingivales fueron separadas con uso de bisturí y periostotomos. Para la tracción del diente se realizaron movimientos de rotación, utilizando únicamente fórceps de raíces, hasta la reposición del diente en la posición deseada. Así, sujetándolo desde la posición más coronal y utilizando una gasa estéril, aunque no siempre es posible, se evita dañar la superficie radicular. En condiciones normales es posible que el diente solo precise movimiento coronal, como sucedió en este caso, pero si fuera necesario evaluar la integridad del diente o realizar una apicectomía, el odontólogo podría proceder a su exodoncia, examen con magnificación y posterior reimplante10. En este paso se hará aún más importante el uso de gasas estériles húmedas, el respeto por la superficie radicular y la rapidez en el procedimiento, siempre menor a 15 minutos14-16.
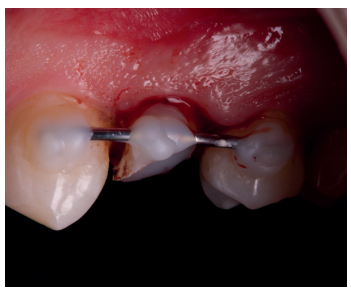
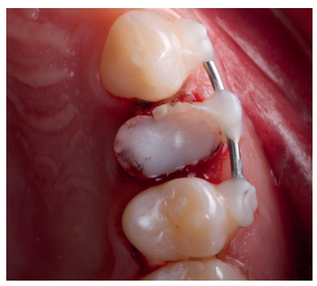
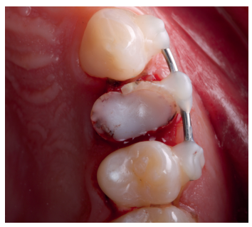
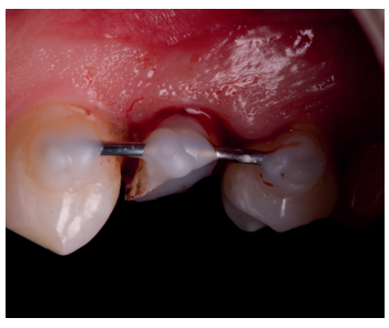
Una vez se hubo posicionado el diente 2 mm supragingival, se procedió a la ferulización con alambre de acero a los dientes adyacentes (Figuras 3 y 4) y la eliminación de cualquier tipo de oclusión, utilizando topes oclusales en los segundos molares inferiores. La ferulización se mantuvo durante dos semanas, coincidiendo con el momento de la endodoncia (Figura 5). El paciente fue citado para las revisiones periódicas y posteriormente para la rehabilitación del diente, una vez hubieron concurrido 6 semanas desde la extrusión, en las que se haya obtenido una cicatrización de los tejidos de soporte supracrestales10. En este momento, tras comprobar signos clínicos, periodontales y radiográficos saludables, se citó al paciente para el tallado y la confección mediante flujo digital (Cerec® System) de una endocorona de disilicato de litio (e.max®, Ivoclar Vivadent). El acondicionamiento de la corona se realizó con ácido fluorhídrico y silano, y para la cementación se utilizó cemento de resina (Calibra®, Dentsply Sirona).

adyacentes, tras la extrusión quirúrgica.


la extrusión, tras la endodoncia y retirada de la ferulización.
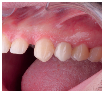
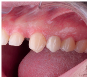
Las revisiones se realizaron de forma periódica hasta los 12 meses de seguimiento (Figuras 6 y 7), observando en todas ellas signos clínicos saludables. El paciente no presentó reabsorción radicular, anquilosis, ni problema periodontal en los exámenes radiográficos que se realizaron desde el diagnóstico hasta el año (Figuras 8 -12); y la ganancia de ferrule obtenida de 2mm se mantuvo estable.

de seguimiento al año de la extrusión.

seguimiento al año de la extrusión.



momento de la endodoncia.

momento de la rehabilitación.

de las citas de seguimiento.
El método y los resultados del presente estudio fueron compatibles con otros presentes en la literatura en los que la muestra y el tiempo de seguimiento fue mayor. Así, Krug y colaboradores8 en el año 2018 reportaron una tasa de éxito del 92,2% en 61 pacientes tratados con extrusión quirúrgica en un seguimiento de hasta 6,5 años. Estos autores, al igual que se ha aplicado en este caso clínico, realizaron la endodoncia a las dos semanas de la extrusión. En cambio, la ferulización se mantuvo hasta la sexta semana. Sobre el momento de la endodoncia es posible encontrar discrepancias en la literatura entre aquellos protocolos en los que se realiza de forma previa y posterior. Esta controversia también se encuentra presente en otros procedimientos similares como el autotransplante o el reimplante intencional, no hallando una clara evidencia9-11. En cuanto al tipo de ferulización, tampoco es posible encontrar grandes diferencias entre el tipo y la duración, aunque es asumido que un tiempo excesivo podría favorecer la anquilosis del diente12.
Por último, entre las medidas pre y postoperatorias, la utilización de antibióticos no parece presentar una clara mejoría15,16, por lo que en los protocolos del presente grupo de estudio no se presenta con carácter obligatorio, especialmente en casos mínimamente traumáticos como el descrito, a excepción de casos en los que exista patología apical.
Dentro de las limitaciones de este estudio, como el tratarse de un solo caso y la falta de seguimiento a largo plazo, la extrusión quirúrgica de dientes con pronóstico imposible presenta resultados prometedores a 1 año de seguimiento. Esta alternativa terapéutica podría ser de gran utilidad en aquellos casos en los que el margen de la restauración se encuentre en una posición muy subgingival, en la que una restauración convencional sin ferrule invadiría los tejidos de soporte supracrestales y no garantizaría resultados predecibles a largo plazo.
Kelly RD, Addison O, Tomson PL, Krastl G, Dietrich T. Atraumatic surgical extrusion to improve tooth restorability: a clinical report. J Prosthet Dent 2016; 115, 649–53.
Tegsjo U, Valerius-Olsson H, Olgart K. Intra-alveolar transplantation of teeth with cervical root fractures. Swed Dent J 1978; 2, 73–82.
Tegsjo U, Valerius-Olsson H, Frykholm A, Olgart K. Clinical evaluation of intraalveolar transplantation of teeth with cervical root fractures. Swed Dent J 1987; 11, 235–50.
Kahnberg KE, Warfvinge J, Birgersson B. Intraalveolar transplantation. The use of autologous bone transplants in the periapical region. Int J Oral Surg 1982; 11, 372–9.
Warfvinge J, Kahnberg KE. Intraalveolar transplantation of teeth. Endodontic considerations. Swed Dent J 1989; 13, 229–33.
Caliskan MK, Turkun M, Gomel M. Surgical extrusion of crown-root-fractured teeth: a clinical review. Int Endod J 1999; 32, 146–51.
Hong B, Bulsara Y, Gorecki P, Dietrich T. Minimally invasive vertical versus conventional tooth extraction: an interrupted time series study. J Am Dent Assoc 2018; 149, 688–95.
Krug R, Connert T, Soliman S, Syfrig B, Dietrich T, Krastl G. Surgical extrusion with an atraumatic extraction system: a clinical study. J Prosthet Dent 2018; 120, 879–85.
Plotino G, Abella Sans F, Duggal MS, y cols. European Society of Endodontology position statement: Surgical extrusion, intentional replantation and tooth autotransplantation. Int Endod J 2021; 54, 655–659.
Plotino G, Abella Sans F, Duggal MS, y cols. Clinical procedures and outcome of surgical extrusion, intentional replantation and tooth autotransplantation – a narrative review. Int Endod J 2020; 53(12):1636- 1652.
Plotino G, Abella Sans F, Duggal MS, y cols. Present status and future directions: Surgical extrusion, intentional replantation and tooth autotransplantation. Int Endod J 2022; 55 Suppl 3:827-842.
Elkhadem A, Mickan S, Richards D. Adverse events of surgical extrusion in treatment for crown-root and cervical root fractures: a systematic review of case series/reports. Dent Traumatol 2014; 30, 1–14
Oikarinen KS, Stoltze K, Andreasen JO. Influence of conventional forceps extraction and extraction with an extrusion instrument on cementoblast loss and external root resorption of replanted monkey incisors. J. Periodontal Res 1996; 31, 337–44.
Jang Y, Lee SJ, Yoon TC, Roh BD, Kim E. Survival rate of teeth with a C-shaped canal after intentional replantation: a study of 41 cases for up to 11 years. J Endod 2016b; 42, 1320–5.
Rohof ECM, Kerdijk W, Jansma J, Livas C, Ren Y. Autotransplantation of teeth with incomplete root formation: a systematic review and meta-analysis. Clin Oral Investig 2018; 22, 1613–24.
Chung WC, Tu YK, Lin YH, Lu HK. Outcomes of autotransplanted teeth with complete root formation: a systematic review and meta-analysis. J Clin Periodontol 2014; 41, 412–23.

Fernández-Baca Cordón, Ignacio
DDS, MSc. Profesor del Departamento de Periodoncia, Universidad Alfonso X El Sabio UAX (Madrid, España). Estudiante del programa de Doctorado en Universidad Internacional de Cataluña UIC (Barcelona, España).
Mascaró Sintes, María
DDS. Estudiante del Máster en Cirugía Oral, Implantología y Periodoncia. Universidad Alfonso X El Sabio UAX (Madrid, España).
Sorrenti, Giorgio
DDS. Máster en Cirugía Oral, Implantología y Periodoncia. Universidad Alfonso X El Sabio UAX (Madrid, España).
Sánchez Santos, Juan
DDS, PhD. Profesor del Máster en Cirugía Oral, Implantología y Periodoncia. Universidad Alfonso X El Sabio UAX (Madrid, España).
Delgado Gregory, Joaquín
DDS, PhD. Director del Máster en Cirugía Oral, Implantología y Periodoncia. Universidad Alfonso X El Sabio UAX (Madrid, España).
López-Malla Matute, Joaquín
DDS, PhD. Profesor del Máster en Cirugía Oral, Implantología y Periodoncia. Coordinador del Departamento de Periodoncia. Universidad Alfonso X El Sabio UAX (Madrid, España).
Indexada en / Indexed in: – IME – IBECS – LATINDEX – GOOGLE ACADÉMICO












