CASO CLÍNICO
Sánchez-Labrador Martínez de Morentin L, Bazal-Bonelli S, Martín-Ares M, Barona-Dorado C, Martínez-González JM. Regeneración ósea guiada con dentina autógena tras la exodoncia de un premolar retenido en posición invertida: evaluación a 4 meses de un caso clínico. Cient. Dent. 2021; 18; 5; 283-292
Regeneración ósea guiada con dentina autógena tras la exodoncia de un premolar retenido en posición invertida: evaluación a 4 meses de un caso clínico
Introducción: el empleo de técnicas regenerativas tras la extracción de dientes retenidos ha mostrado su eficacia con diversos materiales de regeneración, al asociarse al empleo de membranas, pero en los últimos años se ha descrito el empleo de dentina autógena en procedimientos de regeneración ósea, mostrando unos resultados favorables.
Caso clínico: se presenta un caso clínico de una mujer de 20 años, sin antecedentes médico-quirúrgicos de interés, que acudió a consulta remitida por su ortodoncista, para la extracción de un premolar maxilar retenido, en posición invertida. Tras la extracción del premolar y del tercer molar inferior retenidos, se obtuvo dentina procedente de ambos, para la regeneración ósea guiada del defecto resultante de la extracción del premolar, realizando revisiones a la semana y a los 4 meses de la intervención.
Conclusiones: la dentina autógena demuestra ser un biomaterial biocompatible, adecuado para procedimientos de regeneración ósea guiada, tras la extracción de dientes retenidos, como alternativa a otros biomateriales.
Introduction: regenerative bone techniques after impacted teeth extraction have shown to be effective with different materials, when used in conjunction with membranes, but in the last few years, autogenous dentin has been used in bone regeneration procedures, having promising results.
Clinical case: a clinical case of a 20-year-old woman is presented, with no interesting medical record, who went to dental clinic for removal of an inverse maxillary bicuspid retained. After maxillary bicuspid and lower third molar extractions, autogenous dentin was obtained from both teeth, to perform a guided bone regeneration of the bicuspid defect. A week and 4-month check-up were carried out.
Conclusion: autogenous dentin has shown to be a biocompatible material, adequate for guided bone regeneration procedures, after extraction of impacted teeth, as an alternative to other biomaterials.
El empleo de técnicas regenerativas de manera coadyuvante a la extracción de dientes retenidos, como los terceros molares inferiores, ha demostrado su eficacia, mediante el empleo de sustitutos óseos con membranas reabsorbibles y no reabsorbibles, en comparación con la extracción sin el empleo de injertos óseos1 . Los procedimientos de Regeneración Ósea Guiada (ROG) son uno de los métodos más frecuentemente empleados para la reconstrucción del hueso alveolar y para tratar los defectos óseos peri-implantarios2 , siendo un procedimiento quirúrgico en el que el injerto de hueso se asocia a la utilización de una membrana barrera que lo protege de la invasión del tejido blando3 . Se considera un procedimiento predecible y exitoso para la regeneración de defectos horizontales2 , recomendándose su realización en grandes defectos o en casos en los que haya una pérdida de una pared o cortical ósea3 .
Para conseguir una ROG adecuada, es necesario que sólo se alojen dentro del defecto óseo células osteoprogenitoras, evitando la entrada de tejidos no osteogénicos2 , ya que las células del tejido epitelial y conectivo tienen una rápida proliferación, en comparación a las células formadoras de hueso4, 5, y esto se consigue mediante el empleo de membranas. Éstas deben ser biocompatibles, integrarse en los tejidos del huésped, manejarse clínicamente con facilidad, mantener el espacio y poseer propiedades físicas y mecánicas adecuadas. La primera generación de membranas fueron membranas no reabsorbibles, como las de politetrafluoroetileno (PTFE), con buenas propiedades en cuanto a biocompatibilidad y mantenimiento de espacio, pero con la necesidad de una segunda intervención quirúrgica para su retirada y una mayor tasa de complicaciones, por lo que surgieron las membranas de segunda generación, hechas de materiales reabsorbibles2 .
Los principios de la ROG son un cierre primario adecuado, sin tensión (para evitar una dehiscencia de la herida que produzca un fracaso de la ROG, por aumento del riesgo de infección), una correcta angiogénesis (que permite un aporte sanguíneo adecuado, que mejora la regeneración ósea), el mantenimiento del espacio (que garantiza la exclusión de células no deseadas en el interior del defecto), y la estabilidad3,6.
Estas membranas empleadas en ROG presentan un efecto sinérgico cuando se utilizan de manera conjunta con biomateriales. Los sustitutos óseos constituyen una matriz tridimensional, que aloja a las células osteogénicas y permite la formación ósea, además de prevenir el colapso de la membrana4 . Se han descrito múltiples materiales de injerto (autoinjertos, aloinjertos, xenoinjertos y materiales aloplásticos o sintéticos), habiendo un consenso en que el hueso autógeno, se sigue considerando el “gold standard” en procedimientos de regeneración. Entre las propiedades ideales del biomaterial se describen la osteoconducción (capacidad del material para servir de andamiaje para la regeneración ósea), la osteoinducción (propiedad por la cual el material promueve el reclutamiento de células formadoras de hueso), y la osteogénesis (propiedad por la que el material induce a las células contenidas en el material de injerto para promover la regeneración ósea), teniendo cada tipo de injerto unas propiedades diferentes7 .
En este sentido, el empleo de dentina como injerto autógeno surge en 2008, siendo Kim y cols.,8 los primeros autores en describir su uso, al sugerir la utilización de dientes extraídos como material de injerto, por poseer propiedades físicas (densidad, rugosidad y homogeneidad) y químicas (composición de calcio/fosfato similar al hueso humano en la región cortical) idóneas. Además, se comporta como un material biocompatible, estimulando la formación de tejido óseo, siendo bien aceptado por el huésped, e integrándose completamente en el nuevo hueso formado9 . El empleo de dentina autógena ha mostrado buenos resultados en ROG8, 10-12.
La dentina humana se compone de un 70% de contenido inorgánico con 4 tipos de fosfatos cálcicos (hidroxiapatita, fosfato tricálcico, fosfato octacálcico y fosfato cálcico amorfo), que le otorgan al diente propiedades osteoconductivas, haciendo que sea un material de injerto biocompatible. La hidroxiapatita en la dentina se presenta en forma de fosfato cálcico con bajo contenido cristalino, lo que hace que pueda ser degradado más fácilmente por los osteoclastos, confiriéndole de esta manera buenas propiedades osteoconductivas13,14. Se compone de un 20 % de contenido orgánico, donde el 90% es una red de colágeno tipo I y el 10% son proteínas no colágenas (osteocalcina, osteonectina, sialoproteína y fosfoproteína, que participan en la calcificación ósea) y factores de crecimiento (proteínas morfogenéticas óseas: BMPs, LIM y factor de crecimiento tipo insulina, que le confieren al diente propiedades osteoinductivas). El 10% restante es agua13,15. Por tanto, la composición química de la dentina y el hueso humano es similar15.
El objetivo de este caso clínico es presentar la eficacia de la dentina autógena como material de injerto en un procedimiento de ROG, tras la exodoncia de un premolar superior izquierdo retenido, en posición invertida.
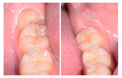
Se presenta un caso clínico de una mujer de 20 años de edad, que acudió remitida por su ortodoncista para la extracción de un premolar retenido maxilar, en posición invertida, previo a la realización de tratamiento ortodóntico. Se realizó la Historia Clínica de la paciente, que no presentó antecedentes médico-quirúrgicos de interés, alergias medicamentosas conocidas ni hábitos nocivos. A la exploración extraoral no se apreció ningún dato relevante. A la exploración intraoral, la paciente presentó la ausencia en boca del segundo premolar superior izquierdo y la presencia de los terceros molares inferiores retenidos (Figuras 1, 2 y 3).



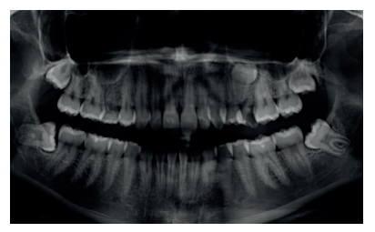
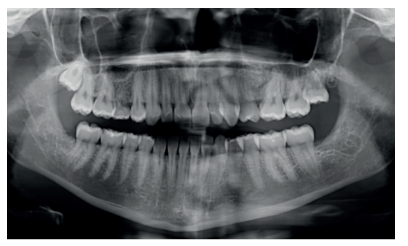
A la exploración radiográfica mediante radiografía panorámica se apreciaron ambos terceros molares inferiores retenidos, en una posición mesioangular, los superiores retenidos en posición vertical y la presencia de un premolar maxilar retenido, en posición invertida, en el segundo cuadrante (Figura 4).

Se planificó la exodoncia del 2.5 y el 3.8 retenidos, para, tras la extracción, realizar la regeneración ósea guiada del defecto del 2.5 con dentina autógena procedente de ambos dientes.
Tras el consentimiento informado, se realizó un bloqueo anestésico mediante Articaína al 4% con adrenalina 1: 100.000 del nervio dentario inferior y lingual, y posteriormente del nervio bucal. Se realizó una incisión festoneada lineal desde la cara distal del primer molar inferior izquierdo, hasta la cara distal del segundo molar inferior izquierdo, y se realizó una incisión oblicua hacia la rama ascendente mandibular. Tras el despegamiento mucoperióstico, se realizó una protección del nervio lingual durante las maniobras de ostectomía (Figura 5). Posteriormente, se realizó la ostectomía necesaria para liberar el límite amelocementario (LAC) del tercer molar inferior (Figura 6), procediendo a su luxación mediante botador recto, odontosección coronal con pieza de mano y fresa redonda de carburo de tungsteno (Figura 7), y exodoncia del fragmento radicular una vez retirado el fragmento coronal. El alveolo se lavó con suero fisiológico y se suturó la herida con seda de 4/0 (Figura 8).




Una vez suturada la herida, se procedió a la extracción del premolar retenido en posición 2.5, para lo cual, tras el bloqueo anestésico de los nervios alveolares superiores posterior, medio y anterior y del nasopalatino y palatino mayor, se realizó una incisión festoneada lineal en la mucosa palatina, y un despegamiento mucoperióstico desde distal del primer molar superior izquierdo hasta distal del incisivo lateral superior izquierdo (Figura 9). Tras el despegamiento, se realizaron las maniobras de ostectomía con pieza de mano y fresa de carburo de tungsteno, la odontosección coronal, y la exodoncia del fragmento coronal y radicular (Figura 10). Al observar la cavidad resultante (Figura 11), se apreció una perforación en la membrana del seno maxilar (Figura 12), en la que se colocó una membrana reabsorbible de colágeno (XFina, Osteógenos®, Madrid, España), de manera previa a la colocación del injerto de dentina (Figura 13). Se le hizo morder al paciente una gasa estéril empapada en clorhexidina al 0,12%, durante la preparación del material de injerto.





Los fragmentos coronal y radicular procedentes del tercer molar inferior y del premolar superior se limpiaron de restos de tejidos blandos y, secos, se introdujeron en la máquina Smart Dentin Grinder® (Kometa Bio, BIONER, España), tal y como aparece en la Figura 14. Tras un ciclo de triturado de 3 segundos, y otro de tamizado de 20 segundos, el material obtenido se limpió con la primera solución durante 12 minutos, y después durante 3 minutos con la segunda solución (Figura 15), para después transportar el material de injerto al alveolo, con presión controlada (Figura 16). Una vez compactado, se colocó una membrana de colágeno (Figura 17) y se suturó la herida con seda de 4/0, mediante puntos periodontales en las papilas (Figura 18). Se realizó una radiografía panorámica en el postoperatorio inmediato (Figura 19).






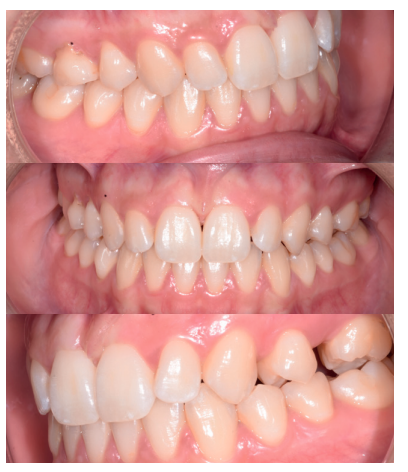
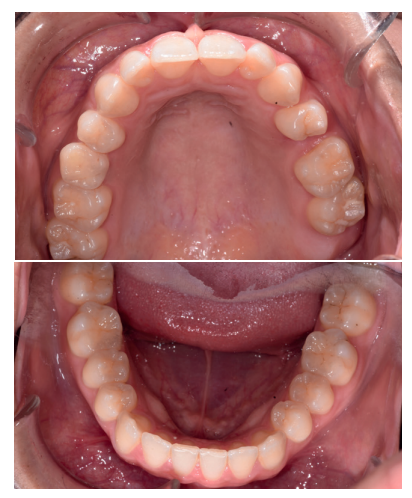
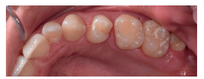
A los diez días se retiró la sutura (Figura 20), donde se puede observar una buena cicatrización de los tejidos blandos. A los 4 meses se realizó una revisión, clínica (Figura 21) y radiográfi ca, mediante radiografía panorámica (Figura 22) y un escáner de haz cónico (Figura 23), donde se puede apreciar la integración del material de injerto y una densidad ósea similar al hueso adyacente, derivando de nuevo a la paciente para comenzar el tratamiento ortodóntico.




La extracción de dientes retenidos supone la mayor actividad del cirujano bucal y maxilofacial. La retención dentaria defi ne al diente que, llegada su época normal de erupción, se encuentra detenido total o parcialmente y permanece en el hueso sin erupcionar. En cuanto a su situación, estos dientes pueden presentarse incluidos (diente retenido rodeado del saco pericoronario y de su lecho óseo intacto) o enclavados (diente retenido que ha perforado el techo óseo, con apertura del saco pericoronario o no, y que puede hacer su aparición en boca o mantenerse submucoso). En cuanto a su posición, el diente retenido puede encontrarse vertical, mesioangular, distoangular, horizontal, invertido, linguoangular, palatoangular y vestibuloangular16.
Los dientes que mas frecuentemente se encuentran retenidos son los terceros molares y los caninos. Otros dientes como los segundos premolares inferiores, incisivos centrales superiores, segundos molares superiores e inferiores, dientes supernumerarios y dientes reincluidos constituyen un bajo porcentaje dentro de las retenciones dentarias16. El segundo premolar superior, en concreto, presenta una frecuencia de retención del 0,0012%, según algunos autores17.
Se han descrito multitud de biomateriales empleados tras la extracción de dientes retenidos, tales como terceros molares inferiores y superiores, pero a día de hoy no se han publicado casos clínicos en donde se emplee dentina autógena para la regeneración de defectos tras la extracción de otros dientes retenidos. Sin embargo, la dentina autógena ha mostrado resultados prometedores en reducción de la profundidad de sondaje tras la extracción de terceros molares inferiores en posición mesioangular y horizontal, en comparación con la extracción convencional1 , sugiriendo por tanto su validez para la regeneración en otras localizaciones de la cavidad oral.
Kim y cols.,8 describieron por primera vez el empleo de dentina autógena en procedimientos de ROG con colocación de implantes en 6 pacientes, realizando a los 3 meses de la regeneración, durante la segunda fase de los implantes, biopsias en esas zonas, obteniendo una reabsorción de casi la totalidad de la dentina, la sustitución de hueso nuevo en un 46-87% del material injertado, con presencia de componentes inorgánicos (hidroxiapatita, betafosfato tricálcico, fosfato cálcico amorfo y fosfato octacálcico), componentes similares en dentina y hueso humanos. Tras 5 años de seguimiento, estos mismos autores mostraron la pérdida ósea marginal de los 10 implantes colocados en estos pacientes, concluyendo que la dentina autógena parecía mantener el volumen óseo, con unos parámetros de pérdida ósea marginal aceptables, pero con la necesidad de más estudios clínicos, que aumentaran el tamaño muestral y el tiempo de seguimiento10.
Desde ese momento, múltiples autores han descrito el uso de la dentina autógena en casos de preservación alveolar, en comparación con la formación de un coágulo sanguíneo18, o en comparación con otros biomateriales19,20. Se ha empleado también en casos de elevación del seno maxilar de acceso lateral21 y por vía transcrestal22.
En el presente caso clínico se utilizaron los fragmentos dentarios completos, sin retirar esmalte, cemento ni tejido pulpar. Valdec y cols.23 publicaron una serie de casos en los que emplearon dentina autógena en casos de preservación alveolar, pero retirando el esmalte y el cemento con fresas de turbina de alta velocidad, el tejido pulpar con limas de endodoncia, y utilizando solamente la dentina. Otros autores, como Minetti y cols.24 y Kabir y cols.25, utilizan en sus estudios esmalte y dentina procedente del fragmento coronal, mientras que Pohl y cols.26 utilizaron únicamente dentina coronal. Otros autores, como Schwarz y cols.27, utilizaron dentina y pulpa radiculares, con remoción del cemento, por lo que no parece haber consenso sobre la mejor manera de utilizar la dentina autógena, si sólo dentina, o de manera conjunta con otros tejidos dentarios. En lo que sí parece haber consenso es en la retirada de tejidos blandos de los dientes empleados para procedimientos de regeneración. No obstante, todos los estudios muestran buenos resultados para procedimientos de regeneración ósea guiada y preservación alveolar, independientemente del modo de preparación del injerto autógeno de dentina.
Otros autores han empleado la dentina autógena en forma de injertos en bloque, en comparación con bloques de hueso autólogo27,28, obteniéndose datos similares en cuanto a ganancia ósea horizontal y aparición de complicaciones, por lo que además de mostrar eficacia en diferentes procedimientos quirúrgicos, también presenta buenos resultados tanto empleada en forma particulada como en forma de bloques.
Lee y cols.29 utilizaron dentina autógena procedente de dientes extraídos, en combinación con otros biomateriales (xenoinjerto, aloinjerto o hueso sintético), con colocación simultánea o diferida de implantes, obteniendo una rápida formación ósea, y una estructura ósea estable, mediante análisis histológico, no produciéndose complicaciones, obteniendo una cicatrización correcta en todos los casos. Otros autores, como Pang y cols.11 compararon el empleo de dentina autógena con respecto al uso de xenoinjerto bovino para procedimientos de ROG e implantes diferidos, obteniendo a los 6 meses mediante biopsias datos similares en cuanto al hueso nuevo formado y la presencia de biomaterial residual.
Li P y cols.12 evaluaron la eficacia de la dentina autógena en comparación con el empleo de xenoinjerto bovino, en 40 pacientes a los que colocaron 45 implantes inmediatos post-extracción, con ROG, sin complicaciones en ninguno de los dos grupos, y con una densidad ósea radiográfica similar entre el material de injerto y el hueso adyacente, concluyendo que la dentina autógena es una alternativa válida para ROG.
Esta densidad ósea obtenida es ligeramente superior al hueso circundante al emplear dentina autógena para ROG en el presente caso clínico, mediante exploración con escáner de haz cónico, dato que coincide con el obtenido por otros autores que han evaluado esta similitud radiográfica tras la extracción de terceros molares inferiores1 , superiores25 y dientes unirradiculares18.
La mayoría de los autores coinciden en utilizar la dentina autógena con un tamaño de partícula de 300-1200 micras30, que se puede conseguir con los diferentes sistemas descritos en la literatura para la preparación del injerto de dentina. En este artículo se ha descrito la utilización del sistema Smart Dentin Grinder® (Kometa Bio, Bioner, España), que es el utilizado por diferentes autores18,26,31,32 para casos de preservación alveolar, que tiene un tiempo total de procesado de 15 minutos y que obtiene el tamaño de partícula de 300-1200 micras. Sin embargo, otros autores describen la utilización del dispositivo Tooth Transformer® (Tooth Transformer, Milán, Italia)24,33 con un tiempo de procesado más largo en la preparación del injerto, de en torno a 25 minutos.
Se presenta un caso clínico, el cual, tras realizar un procedimiento de ROG con dentina autógena, presentó una buena cicatrización, sin la aparición de complicaciones ni efectos adversos, probablemente debido a la naturaleza autógena del material de injerto. En este sentido, la revisión sistematica de Gual-Vaqués y cols.34 registró como mayor complicación tras la utilización de dentina autógena la dehiscencia de sutura, en un 29,1% de los casos, seguido de la aparición de hematoma e infección. Concluyeron que la dentina autógena se trataba de un material de injerto que permitía la formación de hueso nuevo en un periodo de tiempo de 3-6 meses, debido a sus propiedades de osteoconducción y osteoinducción.
La dentina autógena ya ha demostrado su eficacia como material de injerto tras la extracción de terceros molares inferiores retenidos en posición horizontal o mesioangular1, 35 en la reducción de la profundidad de sondaje, consiguiendo una densidad ósea radiográfica similar al hueso circundante, evaluado de manera postoperatoria. Pero hasta la fecha, no se ha publicado la utilización de dentina autógena en regeneración ósea guiada tras la extracción de otros dientes retenidos, apreciándose en este caso, tras 4 meses de seguimiento, una adecuada formación ósea, sin aparición de complicaciones, tras la extracción de un premolar maxilar retenido en posición invertida.
La dentina autógena es un material biocompatible, con propiedades osteoconductoras y osteoinductivas, que ha demostrado su eficacia en diferentes procedimientos regenerativos, que también parece ser adecuado para procedimientos de ROG tras la extracción de dientes retenidos.
En este caso clínico se muestra una densidad ósea similar entre el injerto de dentina autógena y el hueso adyacente, sin aparición de complicaciones asociadas a este material de injerto.
Sánchez-Labrador L, Martín-Ares M, Ortega-Aranegui R, López-Quiles J, Martínez-González JM. Autogenous dentin graft in bone defects after lower third molar extraction: A split-mouth clinical trial. Materials (Basel) 2020;13(14): 3090.
Elgali I, Omar O, Dahlin C, Thomsen P. Guided bone regeneration: materials and biological mechanisms revisited. Eur J Oral Sci 2017; 125: 315-37.
Kim YK, Ku JK. Guided bone regeneration. J Korean Assoc Oral Maxillofac Surg 2020; 46: 361-6.
Omar O, Elgali I, Dahlin C, Thomsen P. Barrier membranes: More than the barrier effect? J Clin Periodontol 2019; 46 (21): 103-23.
Takata T, Wang HL, Miyauchi M. Migration of osteoblastic cells on various guided bone regeneration membranes. Clin Oral Impl Res 2001; 12: 332-8.
Wang HL, Boyapati L. “PASS” principles for predictable bone regeneration. Implant Dentistry 2006; 15 (1): 8-17.
Sanchez-Labrador L, Pérez-González F, Martín-Ares M, Madrigal Martínez-Pereda C, López-Quiles Martínez J, MartínezGonzález JM. Utilización de dentina autógena como material de injerto en cirugía bucal. Cient Dent 2019; 16 (2): 155-60.
Kim YK, Kim SG, Byeon JH, Lee HJ, Um IU, Lim SC, Kim SY. Development of a novel bone grafting material using autogenous teeth. Oral Surg Oral Med Oral Pathol Oral Radiol Endod 2010; 109; 496-503.
Kim YK, Lee J, Um IW, Kim KW, Murata M, Akazawa T, Mitsugi M. Tooth-derived bone graft material. J Korean Assoc Oral Maxillofac Surg 2013; 39; 103-11.
Kim YK, Lee JH, Um IW, Cho WJ. Guided bone regeneration using demineralized dentin matrix: long term follow-up. J Oral Maxillofac Surg 2016; 74 (3): 515.e1-9.
Pang K-M, Um I-W, Kim Y-K, Woo J-M, Kim S-M, Lee J-H. Autogenous demineralized dentin matrix from extracted tooth for the augmentation of alveolar bone defect: a prospective randomized clinical trial in comparison with anorganic bovine bone. Clin Oral Impl Res 2017; 28: 809-15.
Li P, Zhu H, Huang D. Autogenous DDM versus bio-oss granules in GBR for immediate implantation in periodontal postextraction sites: a prospective clinical study. Clin Implant Dent Relat Res 2018; 20 (6) 923-8.
De Oliveira GS, Miziara MN, Silva ER, Ferreira EL, Biulchi AP, Alved JB. Enhanced bone formation during healing process of tooth sockets filled with demineralized human dentine matrix. Aust Dent J 2013; 58 (3): 326-32.
Reis-Filho CR, Silva ER, Martins AB, Pessoa FF, Gomes PV, de Araujo MS y cols. Demineralised human dentine matrix stimulates the expression od VEGF and accelerates the bone repair in tooth sockets of rats. Arch Oral Biol 2012; 57 (5): 469-76.
Kabir MA, Murata M, Akazawa T, Kusano K, Yamada K, Ito M. Evaluation of perforated demineralized dentin scaffold on bone regeneration in critical-size sheep iliac defects. Clin Oral Impl Res 2017; 28: e227-35.
Donado M, Martínez-González JM. Cirugía Bucal: Patología y técnica. Madrid: Masson, 4ª edición.
Grover PS, Lorton L. The incidence of unerupted permanent teeth and related clinical cases. Oral Surg Oral Med Oral Pathol 1985; 59 (4): 420-5.
Del Canto-Díaz A, de Elío-Oliveros J, Del Canto-Díaz M, Alobera-Gracia MA, Del Canto-Pingarrón M, Martínez-González JM. Use of autologous tooth-derived graft material in the post-extraction dental socket. Pilot study. Med Oral Patol Oral Cir Bucal. 2019; 24(1): e53-e60.
Joshi CP, Dani NH, Khedkar SU. Alveolar ridge preservation using autogenous tooth graft versus beta-tricalcium phosphate alloplast: A randomized, controlled, prospective, clinical pilot study. J Indian Soc Periodontol. 2016; 20(4):429-34.
Jung GU, Jeon MH, Um IW, Song IS, Ryu JJ, Jun SH. Volumetric, radiographic, and histologic analyses of demineralized dentin matrix combined with recombinant human bone morphogenetic protein-2 for ridge preservation: a prospective randomized controlled trial in comparison with xenograft. Appl Sci 2018; 8 (8): 1288.
Jeong KI, Kim SG, Kim YK, Oh JS, Jeong MA, Park JJ. Clinical study of graft materials using autogenous teeth in maxillary sinus augmentation. Implant Dent 2011; 20 (6): 471-5.
Kim YK, Lee J, Yun JY, Yun PY, Um IW. Comparison of autogenous tooth bone graft and synthetic bone graft materials used for bone resorption around implantes after crestal approach sinus lifting: a retrospective study. J Periodontal Implant Sci 2014; 44 (5): 216-21.
Valdec S, Pasic P, Soltermann A, Thoma D, Stadlinger B, Rucker M. Alveolar ridge preservation with autologous particulated dentin – a case series. Int J Implant Dent 2017; 3 (12): 1-9.
Minetti E, Giacometti E, Gambardella U, Contessi M, Ballini A, Marenzi G, et al. Alveolar socket preservation with different autologous graft materials: Preliminary results of a multicenter pilot study in human. Materials 2020;13(5).
Kabir AM, Murata M, Kusano K, Akazawa T, Shibata T. Autogenous demineralized dentin graft for third molar socket regeneration. Dentistry 2015; 5 (11): 11- 14.
Pohl S, Binderman I, Tomac J. Maintenance of Alveolar Ridge Dimensions Utilizing an Extracted Tooth Dentin Particulate Autograft and Platelet Rich Fibrin: A Retrospective Radiographic Cone Beam Computed Tomography Study. Materials (Basel). 2020;29;13(5):1083.
Schwarz F, Hazar D, Becker K, Sader R, Becker J. Efficacy of autogenous tooth roots for lateral alveolar ridge augmentation and staged implant placement. A prospective controlled clinical study. J Clin Periodontol 2018; 45(8): 996-1004.
Parvini P, Sader R, Sahin D, Becker J, Schwarz F. Radiographic outcomes following lateral alveolar ridge augmentation using autogenous tooth roots. Int J Implant Dent 2018; 4(1):31.
Lee JY, Kim YK, Yi YJ, Choi JH. Clinical evaluation of ridge augmentation using autogenous tooth bone graft material: case series study. J Korean Assoc Oral Maxillofac Surg 2013, 39: 156-60.
Khanijou M, Seriwatanachai D, Boonsiriseth K, Suphangul S, Pairuchvej V, Srisatjaluk RL, Wongsirichat N. Bone graft material derived from extracted tooth: A review literature. Journal of Oral and Maxillofacial Surgerym Medicine and Pathology 2019; 31: 1-7.
Mazor Z, Horowitz RA, Prasad H, Kotsakis GA. Healing dynamics following alveolar ridge preservation with autologous tooth structure. Int J Periodontics Restorative Dent 2019; 39 (5): 697-702.
Andrade C, Camino J, Nally M, Quirynen M, Martínez B, Pinto N. Combining autologous particulate dentin, L-PRF, and fibrinogen to create a matrix for predictable ridge preservation: a pilot clinical study. Clin Oral Investig. 2020;24(3):1151-60.
Minetti E, Palermo A, Ferrante F, Schmitz JH, Ho HKL, Hann SND, et al. Autologous tooth graft after endodontical treated used for socket preservation: A multicenter clinical study. Appl Sci 2019; 9(24).
Gual-Vaqués P, Polis-Yanes C, EstrugoDevesa A, Ayuso-Montero R, Marí-Roid A, Lopez-Lopez J. Autogenous teeth used for bone grafting: A systematic review. Med Oral Patol Oral Cir Bucal 2018; 23 (1): e112-9.
Kuperschlag A, Keršytė G, Kurtzman GM, Horowitz RA. Autogenous Dentin Grafting of Osseous Defects Distal to Mandibular Second Molars After Extraction of Impacted Third Molars. Compend Contin Educ Dent 2020;41(2):76-82.

Sánchez-Labrador Martínez de Morentin, Luis
Profesor del Máster en Cirugía Bucal e Implantología Universidad Complutense de Madrid (UCM).
Bazal-Bonelli, Santiago
Alumno Máster en Cirugía Bucal e Implantología UCM.
Martín-Ares, María
Profesora del Máster en Cirugía Bucal e Implantología UCM.
Barona-Dorado, Cristina
Profesora contratada doctora Departamento de Especialidades Clínicas Odontológicas UCM.
Martínez-González, José María
Profesor titular Cirugía Maxilofacial UCM.
Indexada en / Indexed in: – IME – IBECS – LATINDEX – GOOGLE ACADÉMICO























